A Case of Purpura Annularis Telangiectodes of Majocchi after Anti-SARS-CoV-2 Pfizer-BioNTech Vaccine: Is There an Association?
Abstract
:1. Introduction
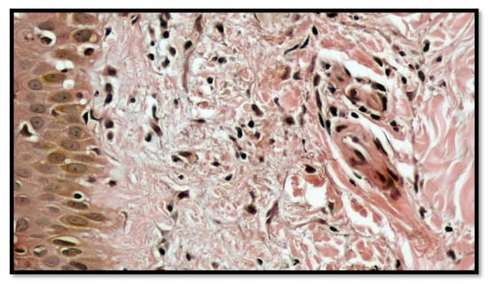
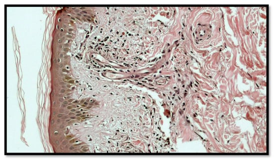
2. Case Report
3. Discussion
4. Conclusions
Author Contributions
Funding
Institutional Review Board Statement
Informed Consent Statement
Data Availability Statement
Conflicts of Interest
References
- Fiolet, T.; Kherabi, Y.; MacDonald, C.J.; Ghosn, J.; Peiffer-Smadja, N. Comparing COVID-19 vaccines for their characteristics, efficacy and effectiveness against SARS-CoV-2 and variants of concern: A narrative review. Clin. Microbiol. Infect. 2022, 28, 202–221. [Google Scholar] [CrossRef] [PubMed]
- World Health Organization (WHO) Dashboard. Available online: https://covid19.who.int/ (accessed on 10 October 2022).
- McMahon, D.E.; Kovarik, C.L.; Damsky, W.; Rosenbach, M.; Lipoff, J.B.; Tyagi, A.; Chamberlin, G.; Fathy, R.; Nazarian, R.M.; Desai, S.R.; et al. Clinical and pathologic correlation of cutaneous COVID-19 vaccine reactions including V-REPP: A registry-based study. J. Am. Acad. Dermatol. 2022, 86, 113–121. [Google Scholar] [CrossRef] [PubMed]
- Magro, C.; Crowson, A.N.; Franks, L.; Schaffer, P.R.; Whelan, P.; Nuovo, G. The histologic and molecular correlates of COVID-19 vaccine-induced changes in the skin. Clin. Dermatol. 2021, 39, 966–984. [Google Scholar] [CrossRef]
- Alpalhão, M.; Maia-Silva, J.; Filipe, P. Severe Acute Respiratory Syndrome Coronavirus 2 Vaccines and Cutaneous Adverse Reactions: A Review. Dermatitis 2021, 32, 133–139. [Google Scholar] [CrossRef] [PubMed]
- Hoesly, F.J.; Huerter, C.J.; Shehan, J.M. Purpura annularis telangiectodes of Majocchi: Case report and review of the literature. Int. J. Dermatol. 2009, 48, 1129–1133. [Google Scholar] [CrossRef] [PubMed]
- Burghaus, J.; Enk, A.; Toberer, F. Purpura annularis telangiectodes: Case report and review of the literature. Der Hautarzt Z. Fur Dermatol. Venerol. Und Verwandte Geb. 2021, 72, 65–70. [Google Scholar] [CrossRef]
- Spigariolo, C.B.; Giacalone, S.; Nazzaro, G. Pigmented Purpuric Dermatoses: A Complete Narrative Review. J. Clin. Med. 2021, 10, 2283. [Google Scholar] [CrossRef] [PubMed]
- Sadoff, J.; Gray, G.; Vandebosch, A.; Cárdenas, V.; Shukarev, G.; Grinsztejn, B.; Goepfert, P.A.; Truyers, C.; Fennema, H.; Spiessens, B.; et al. Safety and Efficacy of Single-Dose Ad26.COV2.S Vaccine against Covid-19. N. Engl. J. Med. 2021, 384, 2187–2201. [Google Scholar] [CrossRef] [PubMed]
- Agarwal, A.; Tripathy, T.; Kar, B.R. Guttate flare in a patient with chronic plaque psoriasis following COVID-19 infection: A case report. J. Cosmet. Dermatol. 2021, 20, 3064–3065. [Google Scholar] [CrossRef] [PubMed]
- Avallone, G.; Quaglino, P.; Cavallo, F.; Roccuzzo, G.; Ribero, S.; Zalaudek, I.; Conforti, C. SARS-CoV-2 vaccine-related cutaneous manifestations: A systematic review. Int. J. Dermatol. 2022, 61, 1187–1204. [Google Scholar] [CrossRef] [PubMed]
- Atak, M.F.; Farabi, B.; Kalelioglu, M.B.; Rao, B.K. Pigmented purpuric dermatosis after BNT162B2 mRNA COVID-19 vaccine administration. J. Cosmet. Dermatol. 2022, 21, 435–437. [Google Scholar] [CrossRef] [PubMed]
- Falkenhain-López, D.; Gutiérrez-Collar, C.; Arroyo-Andrés, J.; Gallego-Gutiérrez, I.; Rodríguez-Peralto, J.L.; Sánchez-Velázquez, A. Widespread purpura annularis telangiectodes following mRNA SARS-CoV-2 vaccine. J. Eur. Acad. Dermatol. Venereol. 2021, 35, e719–e721. [Google Scholar] [CrossRef] [PubMed]
- Baklouti, M.; Sellami, K.; Chaabouni, R.; Masmoudi, A.; Daldoul, M.; Hammami, S.; Charfi, S.; Zghal, K.; Sellami, T.; Turki, H. Flu vaccine-induced purpura annularis telangiectodes of Majocchi. Therapie 2022, 77, 496–498. [Google Scholar] [CrossRef] [PubMed]
- Aiba, S.; Tagami, H. Immunohistologic studies in Schamberg’s disease. Evidence for cellular immune reaction in lesional skin. Arch. Dermatol. 1988, 124, 1058–1062. [Google Scholar] [CrossRef] [PubMed]
- Cohen, S.R.; Prussick, L.; Kahn, J.S.; Gao, D.X.; Radfar, A.; Rosmarin, D. Leukocytoclastic vasculitis flare following the COVID-19 vaccine. Int. J. Dermatol. 2021, 60, 1032–1033. [Google Scholar] [CrossRef] [PubMed]
- Niebel, D.; Wenzel, J.; Wilsmann-Theis, D.; Ziob, J.; Wilhelmi, J.; Braegelmann, C. Single-center Clinico-pathological case study of 19 patients with cutaneous adverse reactions following COVID-19 vaccines. Dermatopathology 2021, 8, 463–476. [Google Scholar] [CrossRef] [PubMed]






Publisher’s Note: MDPI stays neutral with regard to jurisdictional claims in published maps and institutional affiliations. |
© 2022 by the authors. Licensee MDPI, Basel, Switzerland. This article is an open access article distributed under the terms and conditions of the Creative Commons Attribution (CC BY) license (https://creativecommons.org/licenses/by/4.0/).
Share and Cite
Ambrogio, F.; Laface, C.; Sbarra, G.; Filotico, R.; Ranieri, G.; Barlusconi, C.; De Marco, A.; Cazzato, G.; Bonamonte, D.; Romita, P.; et al. A Case of Purpura Annularis Telangiectodes of Majocchi after Anti-SARS-CoV-2 Pfizer-BioNTech Vaccine: Is There an Association? Vaccines 2022, 10, 1972. https://doi.org/10.3390/vaccines10111972
Ambrogio F, Laface C, Sbarra G, Filotico R, Ranieri G, Barlusconi C, De Marco A, Cazzato G, Bonamonte D, Romita P, et al. A Case of Purpura Annularis Telangiectodes of Majocchi after Anti-SARS-CoV-2 Pfizer-BioNTech Vaccine: Is There an Association? Vaccines. 2022; 10(11):1972. https://doi.org/10.3390/vaccines10111972
Chicago/Turabian StyleAmbrogio, Francesca, Carmelo Laface, Giorgia Sbarra, Raffaele Filotico, Girolamo Ranieri, Chiara Barlusconi, Aurora De Marco, Gerardo Cazzato, Domenico Bonamonte, Paolo Romita, and et al. 2022. "A Case of Purpura Annularis Telangiectodes of Majocchi after Anti-SARS-CoV-2 Pfizer-BioNTech Vaccine: Is There an Association?" Vaccines 10, no. 11: 1972. https://doi.org/10.3390/vaccines10111972
APA StyleAmbrogio, F., Laface, C., Sbarra, G., Filotico, R., Ranieri, G., Barlusconi, C., De Marco, A., Cazzato, G., Bonamonte, D., Romita, P., & Foti, C. (2022). A Case of Purpura Annularis Telangiectodes of Majocchi after Anti-SARS-CoV-2 Pfizer-BioNTech Vaccine: Is There an Association? Vaccines, 10(11), 1972. https://doi.org/10.3390/vaccines10111972

