Polymeric Delivery Systems as a Potential Vaccine against Visceral Leishmaniasis: Formulation Development and Immunogenicity
Abstract
1. Introduction
2. Materials and Methods
2.1. Materials
2.2. Methods
2.2.1. Development and Characterization of Submicrometric Particles (SMP)
2.2.2. Determination of Antigen Encapsulation Efficiency in SMP
2.2.3. Determination of Inflammatory Profile of Blank-Submicrometric Particles (SMP) in Mice Dermis
Animals and Immunization Protocol
Histological Examination
Cytometric Bead Array
Determination of Myeloperoxidase and N-Acetyl-D-Glucosaminidase Activities
2.2.4. Systemic Evaluation of Leishmania braziliensis Antigen Encapsulated SMPs
Immunization Protocol
Immunophenotyping of Blood Cells by Flow Cytometry
2.3. Statistical Analyses
3. Results
3.1. Physicochemical Characterization of Particles
| Formulations (1 mL) | PLA (mg) | Chitosan (mg) | Crude Antigen (mg) | Hydrodynamic Diameter (nm) | PdI | Zeta Potential (mV ± SD) | Encapsulation Efficiency (%) | Payload (%) wt/wt |
|---|---|---|---|---|---|---|---|---|
| Ag | (-) | (-) | 14 | 423.9 ± 39.8 | 0.354 | −35.7 ± 0.6 | (-) | (-) |
| Blank-SMP1 | 10 | 10 | 0 | 347.9 ± 53.7 | 0.556 | +71.6 ± 2.2 | (-) | (-) |
| SMP1Ag | 10 | 10 | 14 | 416.2 ± 49.5 | 0.521 | +57.0 ± 1.5 ** | 69.15 ± 31.60 | 28.47 |
| Blank-SMP2 | 50 | 50 | 0 | 802.0 ± 29.7 | 0.263 | +68.4 ± 1.7 | (-) | (-) |
| SMP2Ag | 50 | 50 | 14 | 938.4 ± 33.2 * | 0.226 | +58.1 ± 1.0 ** | 92.83 ± 9.15 | 11.40 |
3.2. Characteristics of the L. braziliensis-Loaded SMPs
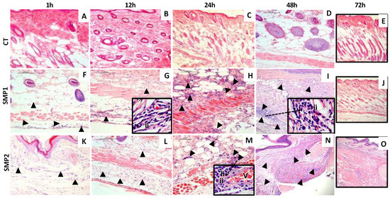
3.3. Kinetics of Cellular Infiltration in Mice Skin after Sensitization with SMPs
3.4. Cytokine Production in Mice Skin after Blank-SMPs Sensitization
3.5. Proinflammatory Soluble Protein in Mice Skin at Different Time Points after Sensitization with Blank-SMPs
3.6. Immunophenotyping of Circulating Leukocytes after Sensitization with Blank- and Antigen-Loaded SMPs
4. Discussion
5. Conclusions
Supplementary Materials
Author Contributions
Funding
Institutional Review Board Statement
Informed Consent Statement
Data Availability Statement
Acknowledgments
Conflicts of Interest
References
- Desjeux, P. Leishmaniasis: Current situation and new perspectives. Comp. Immunol. Microbiol. Infect. Dis. 2004, 27, 305–318. [Google Scholar] [CrossRef] [PubMed]
- Chappuis, F.; Sundar, S.; Hailu, A.; Ghalib, H.; Rijal, S.; Peeling, R.W.; Alvar, J.; Boelaert, M. Visceral leishmaniasis: What are the needs fordiagnosis, treatment and control? Nat. Rev. Microbiol. 2007, 5, 873–882. [Google Scholar] [CrossRef] [PubMed]
- Murray, H.W.; Berman, J.D.; Davies, C.R.; Saravia, N.G. Advances in leishmaniasis. Lancet 2005, 366, 1561–1577. [Google Scholar] [CrossRef] [PubMed]
- WHO. 2022. Available online: https://www.who.int/news-room/fact-sheets/detail/leishmaniasis (accessed on 11 November 2022).
- OPAS. Leishmanioses: Informe Epidemiológico nas Américas; OPAS: Washington, DC, USA, 2020; Núm. 9; Available online: https://iris.paho.org/handle/10665.2/51742 (accessed on 11 November 2022).
- Deane, L.M.; Deane, M.P. Visceral leishmaniosis in Brazil. Geographical distribution and transmission. Rev. Inst. Med. Trop. 1962, 4, 149–212. [Google Scholar]
- Leite, B.M.M.; Solcà, M.S.; Santos, L.C.S.; Coelho, L.V.; Amorim, L.D.A.F.; Donato, L.E.; Passos, S.M.S.; de Almeida, A.O.; Veras, P.S.T.; Fraga, D.B.M. The mass use of deltamethrin collars to control and prevent canine visceral leishmaniasis: A field effectiveness study in a highly endemic area. PLoS Neglected Trop. Dis. 2018, 12, e0006496. [Google Scholar] [CrossRef]
- Cecílio, P.; Oliveira, F.; Silva, A.C. Vaccines for Human Leishmaniasis: Where Do We Stand and What Is Still Missing? In Leishmaniases as Re-Emerging Diseases; IntechOpen: London, UK, 2018. [Google Scholar]
- Di Pasquale, A.; Preiss, S.; Silva, F.T.; Garçon, N. Vaccine Adjuvants: From 1920 to 2015 and beyond. Vaccines 2015, 3, 320–343. [Google Scholar] [CrossRef]
- Zaharoff, D.A.; Rogers, C.J.; Hance, K.W.; Schlom, J.; Greiner, J.W. Chitosan solution enhances both tumoral and cell-mediated immune responses to subcutaneous vaccination. Vaccine 2007, 25, 2085–2094. [Google Scholar] [CrossRef]
- Danesh-Bahreini, M.A.; Shokri, J.; Samiel, A.; Kamali-Sarvestani, E.; Barzegar-Jalali, M.; Mohgammadi-Samani, S. Nanovaccine for leishmaniasis: Preparation of chitosan nanoparticles containing Leishmania superoxide dismutase and evaluation of its immunogenicity in BALB/c mice. Int. J. Nanomed. 2011, 6, 835–842. [Google Scholar] [CrossRef]
- Boroumand, H.; Badie, F.; Mazaheri, S.; Seyedi, Z.S.; Nahand, J.S.; Nejati, M.; Baghi, H.B.; Abbasi-Kolli, M.; Badehnoosh, B.; Ghandali, M.; et al. Chitosan-Based Nanoparticles Against Viral Infections. Front. Cell. Infect. Microbiol. 2021, 11, 643953. [Google Scholar] [CrossRef]
- Parmaksız, S.; Şenel, S. An Overview on Chitosan-Based Adjuvant/Vaccine Delivery Systems. Adv. Polym. Sci. 2021, 288, 293–379. [Google Scholar] [CrossRef]
- Gutiérrez, V.; Seabra, A.B.; Reguera, R.M.; Khandare, J.; Calderón, M. New approaches from nanomedicine for treating leishmaniasis. Chem. Soc. Rev. 2015, 45, 152–168. [Google Scholar] [CrossRef]
- Shargh, V.H.; Jaafari, M.R.; Khamesipour, A.; Jalali, S.A.; Firouzmand, H.; Abbasi, A.; Badiee, A. Cationic liposomes containing soluble Leishmania antigens (SLA) plus CpG ODNs induce protection against murine model of leishmaniasis. Parasitol. Res. 2012, 111, 105–114. [Google Scholar] [CrossRef]
- Salvador, A.; Igartua, M.; Hernández, R.M.; Pedraz, J.L. An overview on the field of micro and nanotechnologies for synthetic peptide-based vaccines. J. Drug Deliv. 2011, 2011, 181646. [Google Scholar] [CrossRef]
- Gomes, D.C.O.; Souza, B.L.D.S.C.; Schwedersky, R.P.; Covre, L.P.; de Matos Guedes, H.L.; Lopes, U.G.; Ré, M.I.; Rossi-Bergmann, B. Intranasal immunization with chitosan microparticles enhances LACK-DNA vaccine protection and induces specific long-lasting immunity against visceral leishmaniasis. Microbes Infect. 2022, 24, 104884. [Google Scholar] [CrossRef]
- Doroud, D.; Rafati, S. Leishmaniasis: Focus on the design of nanoparticulate vaccine delivery systems. Expert Rev. Vaccines 2012, 11, 69–86. [Google Scholar] [CrossRef]
- Bracho, G.; Lastre, M.; del Campo, J.; Zayas, C.; González, D.; Gil, D.; Acevedo, R.; Taboada, C.; Solís, R.L.; Pérez, O. Proteoliposome derived cochleate as novel adjuvant. Vaccine 2006, 24, 30–31. [Google Scholar] [CrossRef]
- Temmerman, M.L.; Rejman, J.; Demeester, J.; Irvine, D.J.; Gander, B.; de Smedt, S.C. Particulate vaccines: On the quest for optimal delivery and immune response. Drug Discov. Today 2011, 16, 569–583. [Google Scholar] [CrossRef]
- Chua, B.Y.; Al-Kobaisi, M.; Zeng, W.; Mainwaring, D.; Jackson, D.C. Chitosan microparticles and nanoparticles as biocompatible delivery vehicles for peptide and protein-based immunocontraceptive vaccines. Mol. Pharm. 2012, 9, 81–90. [Google Scholar] [CrossRef]
- Peres, C.; Matos, A.I.; Conniot, J.; Sainz, V.; Zupančič, E.; Silva, J.M.; Graça, L.; Sá Gaspar, R.; Préat, V.; Florindo, H.F. Poly(lactic acid)-based particulate systems are promising tools for immune modulation. Acta Biomater. 2017, 48, 41–57. [Google Scholar] [CrossRef]
- Johansen, P.; Moon, L.; Tamber, H.; Merkle, H.P.; Gander, B.; Sesardic, D. Immunogenicity of single-dose diphtheria vaccines based on PLA/PLGA microspheres in guinea pigs. Vaccine 1999, 18, 209–215. [Google Scholar] [CrossRef]
- Gupta, R.K.; Goswami, D.G.; Singh, R.R.; Surolia, A.; Panda, A.K. Soybean agglutinin coated PLA particles entrapping candidate vaccines induces enhanced primary and sustained secondary antibody response from single point immunization. Eur. J. Pharm. Sci. 2012, 45, 282–295. [Google Scholar] [CrossRef] [PubMed]
- Moura, A.P.V.; Santos, L.C.B.; Brito, C.R.N.; Valencia, E.; Junqueira, C.; Filho, A.A.P.; Sant’Anna, M.R.V.; Gontijo, N.F.; Bartholomeu, D.C.; Fujiwara, R.T.; et al. Virus-like Particle Display of the α-Gal Carbohydrate for Vaccination against Leishmania Infection. ACS Cent. Sci. 2017, 3, 1026–1031. [Google Scholar] [CrossRef] [PubMed]
- Agallou, M.; Athanasiou, E.; Kammona, O.; Tastsoglou, S.; Hatzigeorgiou, A.G.; Kiparissides, C.; Karagouni, E. Transcriptome Analysis Identifies Immune Markers Related to Visceral Leishmaniasis Establishment in the Experimental Model of BALB/c Mice. Front. Immunol. 2019, 10, 2749. [Google Scholar] [CrossRef] [PubMed]
- Tosyali, O.A.; Allahverdivev, A.; Bagirova, M.; Abamor, E.S.; Avdogdu, M.; Dinparvar, S.; Acar, T.; Mustafaeva, Z.; Derman, S. Nano-Co-delivery of Lipophosphoglycan with Soluble and Autoclaved Leishmania Antigens into PLGA nanoparticles: Evaluation of in Vitro and in Vivo Immunostimulatory Effects against Visceral Leishmaniasis. Mater. Sci. Eng. C 2020, 120, 111684. [Google Scholar] [CrossRef] [PubMed]
- Giunchetti, R.C.; Correa-Oliveira, R.; Martins-Filho, O.A.; Teixeira-Carvalho, A.; Roatt, B.M.; Aguiar-Soares, R.D.O.; Souza, J.V.; Moreira, N.D.; Malaquias, L.C.C.; Castro, L.L.M.; et al. Immunogenicity of a killed Leishmania vaccine with saponin adjuvant in dogs. Vaccine 2007, 25, 7674–7686. [Google Scholar] [CrossRef]
- Giunchetti, R.C.; Reis, A.B.; Silveira-Lemos, D.; Martins-Filho, O.A.; Corrêa-Oliveira, R.; Bethony, J.; Vale, A.M.; Quetz, J.S.; Bueno, L.L.; França-Silva, J.C.; et al. Antigenicity of a whole parasite vaccine as promising candidate against canine leishmaniasis. Res. Vet. Sci. 2008, 85, 106–112. [Google Scholar] [CrossRef]
- Aguiar-Soares, R.D.; Roatt, B.M.; Gama-Ker, H.; Moreira, N.D.; Mathias, F.A.S.; Cardoso, J.M.O.; Gontijo, N.F.; Bruna-Romero, O.; Teixeira-Carvalho, A.; Martins-Filho, O.A.; et al. LbSapSal-vaccinated dogs exhibit increased circulating T-lymphocyte subsets (CD4+ and CD8+) as well as a reduction of parasitism after challenge with Leishmania infantum plus salivary gland of Lutzomyia longipalpis. Parasites Vectors 2014, 7, 61. [Google Scholar] [CrossRef]
- Roatt, B.M.; Aguiar-Soares, R.D.; Vitoriano-Souza, J.; Coura-Vital, W.; Braga, S.L.; Corrêa-Oliveira, R.; Martins-Filho, O.A.; Carvalho, A.T.; Lana, M.; Gontijo, N.F.; et al. Performance of LBSap vaccine after intradermal challenge with L. infantum and saliva of Lu. longipalpis: Immunogenicity and parasitological evaluation. PLoS ONE 2012, 7, e49780. [Google Scholar] [CrossRef]
- Fessi, H.; Pusieux, F.; Devissaguet, J.P.; Ammoury, N.; Benita, S. Nanocapsule formation by interfacial polymer deposition following solvent displacement. Int. J. Pharm. 1989, 55, R1–R4. [Google Scholar] [CrossRef]
- Oliveira, L.T.; de Paul, M.A.; Roatt, B.M.; Garcia, G.M.; Silva, L.S.B.; Reis, A.B.; de Paula, C.S.; Vilela, J.M.C.; Andrade, M.S.; Pound-Lana, G.; et al. Impact of dose and surface features on plasmatic and liver concentrations of biodegradable polymeric nanocapsules. Eur. J. Pharm. Sci. 2017, 105, 19–32. [Google Scholar] [CrossRef]
- de Paula, C.S.; Tedesco, A.C.; Primo, F.L.; Vilela, J.M.; Andrade, M.S.; Mosqueira, V.C.F. Chloroaluminium phthalocyanine polymeric nanoparticles as photosensitisers: Photophysical and physicochemical characterisation, release and phototoxicity in vitro. Eur. J. Pharm. Sci. 2013, 49, 371–381. [Google Scholar] [CrossRef]
- Garcia, G.M.; Oliveira, L.T.; Pitta, I.R.; De Lima, M.C.A.; Vilela, J.M.C.; Andrade, M.S.; Abdalla, D.S.P.; Mosqueira, V.C.F. Improved nonclinical pharmacokinetics and biodistribution of a new PPAR pan-agonist and COX inhibitor in nanocapsule formulation. J. Control. Release 2015, 209, 207–218. [Google Scholar] [CrossRef] [PubMed]
- de Moura, S.A.L.; Ferreira, M.A.N.D.; Andrade, S.P.; Reis, M.L.C.; Noviello, M.D.; Cara, D.C. Brazilian green propolis inhibits inflammatory angiogenesis in a murine sponge model. Evid. Based Complement. Alternat. Med. 2011, 2011, 182703. [Google Scholar] [CrossRef] [PubMed]
- Shah, R.R.; O’Hagan, D.T.; Amiji, M.M.; Brito, L.A. The impact of size on particulate vaccine adjuvants. Nanomedicine 2014, 9, 2671–2681. [Google Scholar] [CrossRef] [PubMed]
- Dmour, I.; Islam, N. Recent advances on chitosan as an adjuvant for vaccine delivery. Int. J. Biol. Macromol. 2022, 200, 498–519. [Google Scholar] [CrossRef] [PubMed]
- Gumustas, M.; Sengel-Turk, C.T.; Gumustas, A.; Ozkan, S.A.; Uslu, B. Effect of Polymer-Based Nanoparticles on the Assay of Antimicrobial Drug Delivery Systems. In Multifunctional Systems for Combined Delivery, Biosensing and Diagnostics; Grumezescu, A.M., Ed.; Elsevier: London, UK, 2017; pp. 67–108. [Google Scholar]
- Firouzmand, H.; Badiee, A.; Khamesipour, A.; Shargh, V.H.; Alavizadeh, S.H.; Abbasi, A.; Jaafari, M.A. Induction of protection against Leishmania in susceptible BALB/c mice using simple DOTAP cationic nanoliposomes containing soluble Leishmania antigen (SLA). Acta Trop. 2013, 123, 528–535. [Google Scholar] [CrossRef]
- Getts, D.R.; Shea, L.D.; Miller, S.D.; King, N.J. Harnessing nanoparticles for immune modulation. Trends Immunol. 2015, 36, 419–427. [Google Scholar] [CrossRef]
- Singh, M. Vaccine Adjuvants and Delivery Systems, 1st ed.; John Wiley & Sons, Inc.: New York, NY, USA, 2006; pp. 1–449. [Google Scholar]
- Coler, R.N.; Bertholet, S.; Moutaftsi, M.; Guderian, J.A.; Windish, H.P.; Baldwin, S.L.; Laughlin, E.M.; Duthie, M.S.; Fox, C.B.; Carter, D.; et al. Development and characterization of synthetic glucopyranosyl lipid adjuvant system as a vaccine adjuvant. PLoS ONE 2011, 6, e16333. [Google Scholar] [CrossRef]
- Pulendran, B.; Arunachalam, P.S.; O’Hagan, D.T. Emerging concepts in the science of vaccine adjuvants. Nat. Rev. Drug Discov. 2021, 20, 454–475. [Google Scholar] [CrossRef]
- Singh, M.; O’Hagan, D. Advances in vaccine adjuvants. Nat. Biotechnol. 1999, 17, 1075–1081. [Google Scholar] [CrossRef]
- Coffman, R.L.; Sher, A.; Seder, R.A. Vaccine Adjuvants: Putting Innate Immunity to Work. Immunity 2010, 33, 492–503. [Google Scholar] [CrossRef]
- Sarkara, I.; Garga, R.; van Drunen Littel-van den Hurk, S. Selection of adjuvants for vaccines targeting specific pathogens. Expert Rev. Vaccines 2019, 18, 505–521. [Google Scholar] [CrossRef]
- Yasmin, H.; Adhikary, A.; Al-Ahdal, M.N.; Roy, S.; Kishore, U. Host–Pathogen Interaction in Leishmaniasis: Immune Response and Vaccination Strategies. Immuno 2022, 2, 218–254. [Google Scholar] [CrossRef]
- Schijns, V.E. Immunological concepts of vaccine adjuvant activity. Curr. Opin. Immunol. 2000, 12, 456–463. [Google Scholar] [CrossRef]
- Batista-Duharte, A.; Martínez, D.T.; Carlos, I.Z. Efficacy and safety of immunological adjuvants. Where is the cut-off? Biomed. Pharmacother. 2018, 105, 616–624. [Google Scholar] [CrossRef]
- Calabro, S.; Tortoli, M.; Baudner, B.C.; Pacitto, A.; Cortese, M.; O’Hagan, D.T.; Gregorio, E.; Seubert, A.; Wack, A. Vaccine adjuvants alum and MF59 induce rapid recruitment of neutrophils and monocytes that participate in antigen transport to draining lymph nodes. Vaccine 2011, 29, 1812–1823. [Google Scholar] [CrossRef]
- Banchereau, J.; Steinman, R.M. Dendritic cells and the control of immunity. Nature 1998, 392, 245–252. [Google Scholar] [CrossRef]
- Jakovija, A.; Chtanova, T. Neutrophil Interactions with the Lymphatic System. Cells 2021, 10, 2106. [Google Scholar] [CrossRef]
- Kumar, R.; Nylén, S. Immunobiology of visceral leishmaniasis. Front. Immunol. 2012, 3, 251. [Google Scholar] [CrossRef]
- Vitoriano-Souza, J.; Moreira, N.D.; Teixeira-Carvalho, A.; Carneiro, C.M.; Siqueira, F.A.M.; Vieira, P.M.A.; Giunchetti, R.C.; Moura, S.A.L.; Fujiwara, R.T.; Melo, M.N.; et al. Cell Recruitment and Cytokines in Skin Mice Sensitized with the Vaccine Adjuvants: Saponin, Incomplete Freund’s Adjuvant, and Monophosphoryl Lipid A. PLoS ONE 2012, 7, e40745. [Google Scholar] [CrossRef]
- Iwasaki, A.; Medzhitov, R. Toll-like receptor control of the adaptive immune responses. Nat. Immunol. 2004, 5, 987–995. [Google Scholar] [CrossRef] [PubMed]
- Tafaghodi, M.; Eskandari, M.; Kharazizadeh, M.; Khamesipour, A.; Jaafari, M.R. Immunization against leishmaniasis by PLGA nanospheres loaded with an experimental autoclaved Leishmania major (ALM) and Quillaja saponins. Trop. Biomed. 2010, 27, 639–650. [Google Scholar] [PubMed]
- Lage, D.P.; Ribeiro, P.A.F.; Dias, D.S.; Mendonça, D.V.C.; Ramos, F.F.; Carvalho, L.M.; Steiner, B.T.; Tavares, G.S.V.; Martins, V.T.; Machado, A.S.; et al. Liposomal Formulation of ChimeraT, a Multiple T-Cell Epitope-Containing Recombinant Protein, Is a Candidate Vaccine for Human Visceral Leishmaniasis. Vaccines 2020, 8, 289. [Google Scholar] [CrossRef] [PubMed]
- Vitoriano-Souza, J.; Reis, A.B.; Moreira, N.D.; Giunchetti, R.C.; Correa-Oliveira, R.; Carneiro, C.M. Kinetics of cell migration to the dermis and hypodermis in dogs vaccinated with antigenic compounds of Leishmania braziliensis plus saponin. Vaccine 2008, 26, 3922–3931. [Google Scholar] [CrossRef]
- Sánchez-Sampedro, L.; Gómez, C.E.; Mejías-Pérez, E.; Sorzano, C.O.; Esteban, M. High quality long-term CD4+ and CD8+ effector memory populations stimulated by DNA-LACK/MVA-LACK regimen in Leishmania major BALB/c model of infection. PLoS ONE 2012, 7, e38859. [Google Scholar] [CrossRef]





Disclaimer/Publisher’s Note: The statements, opinions and data contained in all publications are solely those of the individual author(s) and contributor(s) and not of MDPI and/or the editor(s). MDPI and/or the editor(s) disclaim responsibility for any injury to people or property resulting from any ideas, methods, instructions or products referred to in the content. |
© 2023 by the authors. Licensee MDPI, Basel, Switzerland. This article is an open access article distributed under the terms and conditions of the Creative Commons Attribution (CC BY) license (https://creativecommons.org/licenses/by/4.0/).
Share and Cite
Silva, J.G.L.d.; Gonçalves, A.A.M.; Oliveira, L.T.; Garcia, G.M.; Batista, M.A.; Mendonça, L.Z.d.; Viana, K.F.; Sant’Ana, R.d.C.O.; Melo Júnior, O.A.d.O.; Silveira-Lemos, D.; et al. Polymeric Delivery Systems as a Potential Vaccine against Visceral Leishmaniasis: Formulation Development and Immunogenicity. Vaccines 2023, 11, 1309. https://doi.org/10.3390/vaccines11081309
Silva JGLd, Gonçalves AAM, Oliveira LT, Garcia GM, Batista MA, Mendonça LZd, Viana KF, Sant’Ana RdCO, Melo Júnior OAdO, Silveira-Lemos D, et al. Polymeric Delivery Systems as a Potential Vaccine against Visceral Leishmaniasis: Formulation Development and Immunogenicity. Vaccines. 2023; 11(8):1309. https://doi.org/10.3390/vaccines11081309
Chicago/Turabian StyleSilva, João Guilherme Lino da, Ana Alice Maia Gonçalves, Liliam Teixeira Oliveira, Giani Martins Garcia, Maurício Azevedo Batista, Ludmila Zanandreis de Mendonça, Kelvinson Fernandes Viana, Rita de Cássia Oliveira Sant’Ana, Otoni Alves de Oliveira Melo Júnior, Denise Silveira-Lemos, and et al. 2023. "Polymeric Delivery Systems as a Potential Vaccine against Visceral Leishmaniasis: Formulation Development and Immunogenicity" Vaccines 11, no. 8: 1309. https://doi.org/10.3390/vaccines11081309
APA StyleSilva, J. G. L. d., Gonçalves, A. A. M., Oliveira, L. T., Garcia, G. M., Batista, M. A., Mendonça, L. Z. d., Viana, K. F., Sant’Ana, R. d. C. O., Melo Júnior, O. A. d. O., Silveira-Lemos, D., Dutra, W. O., Martins-Filho, O. A., Galdino, A. S., de Moura, S. A. L., Mosqueira, V. C. F., & Giunchetti, R. C. (2023). Polymeric Delivery Systems as a Potential Vaccine against Visceral Leishmaniasis: Formulation Development and Immunogenicity. Vaccines, 11(8), 1309. https://doi.org/10.3390/vaccines11081309

