Engineering His-Tagged Senecavirus A for One-Step Purification of Viral Antigens
Abstract
:1. Introduction
2. Materials and Methods
2.1. Ethics Statement
2.2. Cell Lines and Viruses
2.3. Construction and Recovery of rSVA-His Recombinant Virus
2.4. Replication Kinetics of Recombinant Virus
2.5. IMAC Purification of Inactivated rSVA-His Particles
2.6. Indirect Immunofluorescence Assay (IFA)
2.7. SDS-PAGE and Western Blot
2.8. Animal Experiments
2.9. Virus Neutralization Test
2.10. Statistical Analysis
3. Results
3.1. Generation and Characterization of His-Tagged SVA
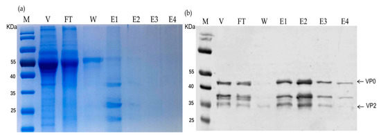
3.2. One-Step Purification of the Recombinant Virus rSVA-His Using IMAC
3.3. Electron Microscopy Detection of rSVA-His
3.4. Evaluation of rSVA-His for Immunogenicity in Rabbit
4. Discussion
5. Conclusions
Author Contributions
Funding
Institutional Review Board Statement
Informed Consent Statement
Data Availability Statement
Acknowledgments
Conflicts of Interest
References
- Segales, J.; Barcellos, D.; Alfieri, A.; Burrough, E.; Marthaler, D. Senecavirus A: An emerging pathogen causing vesicular disease and mortality in pigs? Vet. Pathol. 2017, 54, 11–21. [Google Scholar] [CrossRef]
- Hales, L.M.; Knowles, N.J.; Reddy, P.S.; Xu, L.; Hay, C.; Hallenbeck, P.L. Complete genome sequence analysis of Seneca Valley virus-001, a novel oncolytic picornavirus. J. Gen. Virol. 2008, 89, 1265–1275. [Google Scholar] [CrossRef] [PubMed]
- Venkataraman, S.; Reddy, S.P.; Loo, J.; Idamakanti, N.; Hallenbeck, P.L.; Reddy, V.S. Structure of Seneca Valley Virus-001: An oncolytic picornavirus representing a new genus. Structure 2008, 16, 1555–1561. [Google Scholar] [CrossRef] [Green Version]
- Singh, K.; Corner, S.; Clark, S.G.; Scherba, G.; Fredrickson, R. Seneca Valley Virus and Vesicular Lesions in a Pig with Idiopathic Vesicular Disease. J. Vet. Sci. Technol. 2012, 3, 1–3. [Google Scholar] [CrossRef]
- Pasma, T.; Davidson, S.; Shaw, S.L. Idiopathic vesicular disease in swine in Manitoba. Can. Vet. J. 2008, 49, 84–85. [Google Scholar] [PubMed]
- Leme, R.A.; Zotti, E.; Alcântara, B.K.; Oliveira, M.V.; Freitas, L.A.; Alfieri, A.F.; Alfieri, A.A. Senecavirus A: An Emerging Vesicular Infection in Brazilian Pig Herds. Transbound. Emerg. Dis. 2015, 62, 603–611. [Google Scholar] [CrossRef]
- Vannucci, F.A.; Linhares, D.C.L.; Barcellos, D.E.S.N.; Lam, H.C.; Collins, J.; Marthaler, D. Identification and Complete Genome of Seneca Valley Virus in Vesicular Fluid and Sera of Pigs Affected with Idiopathic Vesicular Disease, Brazil. Transbound. Emerg. Dis. 2015, 62, 589–593. [Google Scholar] [CrossRef] [PubMed]
- Hause, B.M.; Myers, O.; Duff, J.; Hesse, R.A. Senecavirus A in Pigs, United States, 2015. Emerg. Infect. Dis. 2016, 22, 1323–1325. [Google Scholar] [CrossRef]
- Guo, B.; Piñeyro, P.E.; Rademacher, C.J.; Zheng, Y.; Li, G.; Yuan, J.; Hoang, H.; Gauger, P.C.; Madson, D.M.; Schwartz, K.J.; et al. Novel Senecavirus A in Swine with Vesicular Disease, United States, July 2015. Emerg. Infect. Dis. 2016, 22, 1325–1327. [Google Scholar] [CrossRef]
- Joshi, L.R.; Mohr, K.A.; Clement, T.; Hain, K.S.; Myers, B.; Yaros, J.; Nelson, E.A.; Christopher-Hennings, J.; Gava, D.; Schaefer, R.; et al. Detection of the Emerging Picornavirus Senecavirus A in Pigs, Mice, and Houseflies. J. Clin. Microbiol. 2016, 54, 1536–1545. [Google Scholar] [CrossRef] [Green Version]
- Wang, H.; Li, C.; Zhao, B.; Yuan, T.; Yang, D.; Zhou, G.; Yu, L. Complete genome sequence and phylogenetic analysis of Senecavirus A isolated in Northeast China in 2016. Arch. Virol. 2017, 162, 3173–3176. [Google Scholar] [CrossRef] [PubMed]
- Xu, W.; Hole, K.; Goolia, M.; Pickering, B.; Salo, T.; Lung, O.; Nfon, C. Genome wide analysis of the evolution of Senecavirus A from swine clinical material and assembly yard environmental samples. PLoS ONE 2017, 12, e0176964. [Google Scholar] [CrossRef]
- Saeng-Chuto, K.; Rodtian, P.; Temeeyasen, G.; Wegner, M.; Nilubol, D. The first detection of Senecavirus A in pigs in Thailand, 2016. Transbound. Emerg. Dis. 2018, 65, 285–288. [Google Scholar] [CrossRef] [PubMed]
- Sun, D.; Vannucci, F.; Knutson, T.P.; Corzo, C.; Marthaler, D.G. Emergence and whole-genome sequence of Senecavirus A in Colombia. Transbound. Emerg. Dis. 2017, 64, 1346–1349. [Google Scholar] [CrossRef]
- Arzt, J.; Bertram, M.R.; Vu, L.T.; Pauszek, S.J.; Hartwig, E.J.; Smoliga, G.R.; Palinski, R.; Stenfeldt, C.; Fish, I.H.; Hoang, B.H.; et al. First Detection and Genome Sequence of Senecavirus A in Vietnam. Microbiol. Resour. Announc. 2019, 8, e01247-18. [Google Scholar] [CrossRef] [PubMed] [Green Version]
- Montiel, N.; Buckley, A.; Guo, B.; Kulshreshtha, V.; VanGeelen, A.; Hoang, H.; Rademacher, C.; Yoon, K.-J.; Lager, K. Vesicular Disease in 9-Week-Old Pigs Experimentally Infected with Senecavirus A. Emerg. Infect. Dis. 2016, 22, 1246–1248. [Google Scholar] [CrossRef] [PubMed] [Green Version]
- Baker, K.L.; Mowrer, C.; Canon, A.; Linhares, D.C.L.; Rademacher, C.; Karriker, L.A.; Holtkamp, D.J. Systematic Epidemiological Investigations of Cases of Senecavirus A in US Swine Breeding Herds. Transbound. Emerg. Dis. 2017, 64, 11–18. [Google Scholar] [CrossRef]
- Canning, P.; Canon, A.; Bates, J.L.; Gerardy, K.; Linhares, D.C.L.; Piñeyro, P.E.; Schwartz, K.J.; Yoon, K.J.; Rademacher, C.J.; Holtkamp, D.; et al. Neonatal Mortality, Vesicular Lesions and Lameness Associated with Senecavirus A in a U.S. Sow Farm. Transbound. Emerg. Dis. 2016, 63, 373–378. [Google Scholar] [CrossRef]
- Yang, F.; Zhu, Z.; Cao, W.; Liu, H.; Zhang, K.; Tian, H.; Liu, X.; Zheng, H. Immunogenicity and protective efficacy of an inactivated cell culture-derived Seneca Valley virus vaccine in pigs. Vaccine 2018, 36, 841–846. [Google Scholar] [CrossRef]
- Sharma, B.; Fernandes, M.H.V.; de Lima, M.; Joshi, L.R.; Lawson, S.; Diel, D.G. A Novel Live Attenuated Vaccine Candidate Protects Against Heterologous Challenge. Front. Immunol. 2019, 10, 2660. [Google Scholar] [CrossRef] [Green Version]
- Rodrigues, A.F.; Soares, H.R.; Guerreiro, M.R.; Alves, P.M.; Coroadinha, A.S. Viral vaccines and their manufacturing cell substrates: New trends and designs in modern vaccinology. Biotechnol. J. 2015, 10, 1329–1344. [Google Scholar] [CrossRef]
- Junter, G.-A.; Lebrun, L. Polysaccharide-based chromatographic adsorbents for virus purification and viral clearance. J. Pharm. Anal. 2020, 10, 291–312. [Google Scholar] [CrossRef] [PubMed]
- Mahmoudi Gomari, M.; Saraygord-Afshari, N.; Farsimadan, M.; Rostami, N.; Aghamiri, S.; Farajollahi, M.M. Opportunities and challenges of the tag-assisted protein purification techniques: Applications in the pharmaceutical industry. Biotechnol. Adv. 2020, 45, 107653. [Google Scholar] [CrossRef]
- Biswal, J.K.; Bisht, P.; Subramaniam, S.; Ranjan, R.; Sharma, G.K.; Pattnaik, B. Engineering foot-and-mouth disease virus serotype O IND R2/1975 for one-step purification by immobilized metal affinity chromatography. Biologicals 2015, 43, 390–398. [Google Scholar] [CrossRef]
- Koerber, J.T.; Jang, J.-H.; Yu, J.H.; Kane, R.S.; Schaffer, D.V. Engineering adeno-associated virus for one-step purification via immobilized metal affinity chromatography. Hum. Gene Ther. 2007, 18, 367–378. [Google Scholar] [CrossRef] [PubMed]
- Jiang, C.; Glorioso, J.C.; Ataai, M. Presence of imidazole in loading buffer prevents formation of free radical in immobilized metal affinity chromatography and dramatically improves the recovery of herpes simplex virus type 1 gene therapy vectors. J. Chromatogr. A 2006, 1121, 40–45. [Google Scholar] [CrossRef] [PubMed]
- Ye, K.; Jin, S.; Ataai, M.M.; Schultz, J.S.; Ibeh, J. Tagging retrovirus vectors with a metal binding peptide and one-step purification by immobilized metal affinity chromatography. J. Virol. 2004, 78, 9820–9827. [Google Scholar] [CrossRef] [PubMed] [Green Version]
- Li, C.; Wang, H.; Shi, J.; Yang, D.; Zhou, G.; Chang, J.; Cameron, C.E.; Woodman, A.; Yu, L. Senecavirus-Specific Recombination Assays Reveal the Intimate Link between Polymerase Fidelity and RNA Recombination. J. Virol. 2019, 93, e00576-19. [Google Scholar] [CrossRef] [Green Version]
- Liu, F.; Wang, Q.; Huang, Y.; Wang, N.; Shan, H. A 5-Year Review of Senecavirus A in China since Its Emergence in 2015. Front. Vet. Sci. 2020, 7, 567792. [Google Scholar] [CrossRef]
- Zhang, Z.; Ni, B.; Zhang, L.; Zhang, H.; Zhang, F.; Liu, S.; Dong, Y.; Cui, J.; Wu, F.; Li, X.; et al. Complete Genome Sequence of a Novel Senecavirus A Isolate from an Asymptomatic Pig in China. Microbiol. Resour. Announc. 2019, 8, e01660-18. [Google Scholar] [CrossRef] [Green Version]
- Maggioli, M.F.; Lawson, S.; de Lima, M.; Joshi, L.R.; Faccin, T.C.; Bauermann, F.V.; Diel, D.G. Adaptive Immune Responses following Senecavirus A Infection in Pigs. J. Virol. 2018, 92, e01717-17. [Google Scholar] [CrossRef] [PubMed] [Green Version]
- Wang, H.; Xue, M.; Yang, D.; Zhou, G.; Wu, D.; Yu, L. Insertion of type O-conserved neutralizing epitope into the foot-and-mouth disease virus type Asia1 VP1 G-H loop: Effect on viral replication and neutralization phenotype. J. Gen. Virol. 2012, 93, 1442–1448. [Google Scholar] [CrossRef] [Green Version]
- Morenweiser, R. Downstream processing of viral vectors and vaccines. Gene Ther. 2005, 12, S103–S110. [Google Scholar] [CrossRef]
- Rai, D.K.; Segundo, F.D.-S.; Schafer, E.; Burrage, T.G.; Rodriguez, L.L.; de Los Santos, T.; Hoeprich, P.D.; Rieder, E. Novel 6xHis tagged foot-and-mouth disease virus vaccine bound to nanolipoprotein adjuvant via metal ions provides antigenic distinction and effective protective immunity. Virology 2016, 495, 136–147. [Google Scholar] [CrossRef]
- Willemsen, A.; Zwart, M.P. On the stability of sequences inserted into viral genomes. Virus Evol. 2019, 5, vez045. [Google Scholar] [CrossRef] [PubMed]
- Mattion, N.M.; Reilly, P.A.; DiMichele, S.J.; Crowley, J.C.; Weeks-Levy, C. Attenuated poliovirus strain as a live vector: Expression of regions of rotavirus outer capsid protein VP7 by using recombinant Sabin 3 viruses. J. Virol. 1994, 68, 3925–3933. [Google Scholar] [CrossRef] [PubMed] [Green Version]
- Lichty, J.J.; Malecki, J.L.; Agnew, H.D.; Michelson-Horowitz, D.J.; Tan, S. Comparison of affinity tags for protein purification. Protein Expr. Purif. 2005, 41, 98–105. [Google Scholar] [CrossRef]






| Primer | Sequence a (5′–3′) | |
|---|---|---|
| 1 | In772U | CAC CAC CAC CAC CAC CAC AAG CAG AAG ATG CTG ATG CA |
| 2 | Ou750L | GTG GTG GTG GTG GTG GTG GTA GCT GCG AAA GGG AAG CAT G |
| 3 | SVA3241U | ACT CTG TCT CTT CCG TGC TTC |
| 4 | SVA5450L | CCC GGT CCG AGA CGT ACC ATC |
Publisher’s Note: MDPI stays neutral with regard to jurisdictional claims in published maps and institutional affiliations. |
© 2022 by the authors. Licensee MDPI, Basel, Switzerland. This article is an open access article distributed under the terms and conditions of the Creative Commons Attribution (CC BY) license (https://creativecommons.org/licenses/by/4.0/).
Share and Cite
Fan, J.; Xiao, P.; Kong, D.; Liu, X.; Meng, L.; An, T.; Cai, X.; Wang, H.; Yu, L. Engineering His-Tagged Senecavirus A for One-Step Purification of Viral Antigens. Vaccines 2022, 10, 170. https://doi.org/10.3390/vaccines10020170
Fan J, Xiao P, Kong D, Liu X, Meng L, An T, Cai X, Wang H, Yu L. Engineering His-Tagged Senecavirus A for One-Step Purification of Viral Antigens. Vaccines. 2022; 10(2):170. https://doi.org/10.3390/vaccines10020170
Chicago/Turabian StyleFan, Junhao, Peiyu Xiao, Dongni Kong, Xinran Liu, Liang Meng, Tongqing An, Xuehui Cai, Haiwei Wang, and Li Yu. 2022. "Engineering His-Tagged Senecavirus A for One-Step Purification of Viral Antigens" Vaccines 10, no. 2: 170. https://doi.org/10.3390/vaccines10020170
APA StyleFan, J., Xiao, P., Kong, D., Liu, X., Meng, L., An, T., Cai, X., Wang, H., & Yu, L. (2022). Engineering His-Tagged Senecavirus A for One-Step Purification of Viral Antigens. Vaccines, 10(2), 170. https://doi.org/10.3390/vaccines10020170

