Clinical Profiles and CMR Findings of Young Adults and Pediatrics with Acute Myocarditis Following mRNA COVID-19 Vaccination: A Case Series
Abstract
:1. Introduction
2. Materials and Methods
2.1. Therapeutic Intervention
2.2. Cardiovascular Magnetic Resonance Imaging
2.3. Statistical Analysis
3. Results
3.1. Clinical Characteristics and Laboratory Findings
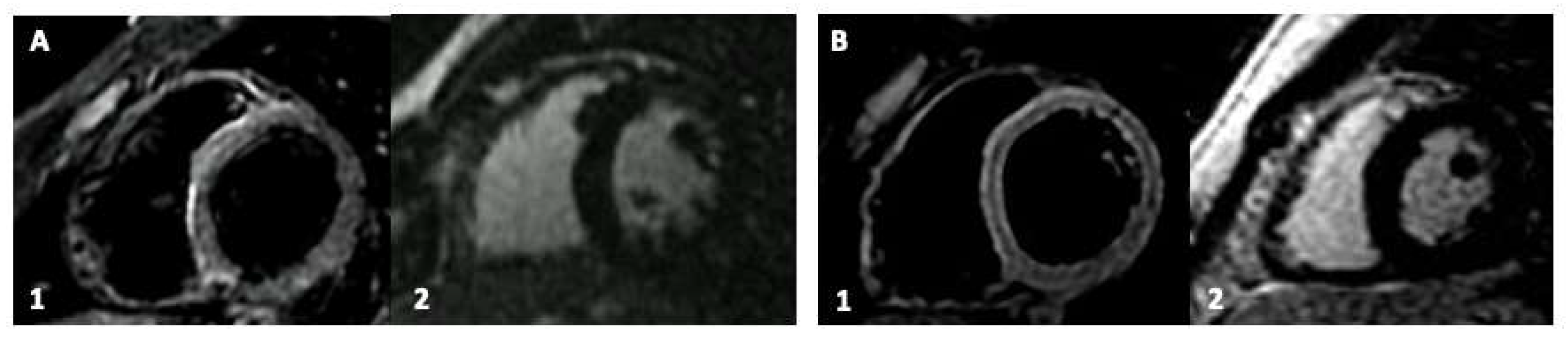
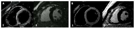
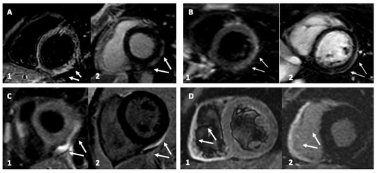
3.2. Cardiac Magnetic Resonance Findings
3.3. Follow-Up
4. Discussion
5. Conclusions
Author Contributions
Funding
Institutional Review Board Statement
Informed Consent Statement
Data Availability Statement
Acknowledgments
Conflicts of Interest
References
- Wang, C.; Horby, P.W.; Hayden, F.G.; Gao, G.F. A novel coronavirus outbreak of global health concern. Lancet 2020, 395, 470–473. [Google Scholar] [CrossRef] [Green Version]
- Witberg, G.; Barda, N.; Hoss, S.; Richter, I.; Wiessman, M.; Aviv, Y.; Grinberg, T.; Auster, O.; Dagan, N.; Balicer, R.D.; et al. Myocarditis after Covid-19 Vaccination in a Large Health Care Organization. N. Engl. J. Med. 2021, 385, 2132–2139. [Google Scholar] [CrossRef] [PubMed]
- Covid-19, Situation in Italy. Available online: https://www.salute.gov.it/portale/nuovocoronavirus/dettaglioContenutiNuovoCoronavirus.jsp?lingua=english&id=5367&area=nuovoCoronavirus&menu=vuoto (accessed on 30 December 2021).
- Polack, F.P.; Thomas, S.J.; Kitchin, N.; Absalon, J.; Gurtman, A.; Lockhart, S.; Perez, J.L.; Pérez Marc, G.; Moreira, E.D.; Zerbini, C.; et al. Safety and Efficacy of the BNT162b2 mRNA Covid-19 Vaccine. N. Engl. J. Med. 2020, 383, 2603–2615. [Google Scholar] [CrossRef] [PubMed]
- Heymans, S.; Cooper, L.T. Myocarditis after COVID-19 mRNA vaccination: Clinical observations and potential mechanisms. Nat. Rev. Cardiol. 2021, 19, 75–77. [Google Scholar] [CrossRef] [PubMed]
- Husby, A.; Hansen, J.V.; Fosbol, E.; Thiesson, E.M.; Madsen, M.; Thomsen, R.W.; Sorensen, H.T.; Andersen, M.; Wohlfahrt, J.; Gislason, G.; et al. SARS-CoV-2 vaccination and myocarditis or myopericarditis: Population based cohort study. BMJ 2021, 375, e068665. [Google Scholar] [CrossRef] [PubMed]
- Adler, Y.; Charron, P.; Imazio, M.; Badano, L.; Baron-Esquivias, G.; Bogaert, J.; Brucato, A.; Gueret, P.; Klingel, K.; Lionis, C.; et al. 2015 ESC Guidelines for the diagnosis and management of pericardial diseases: The Task Force for the Diagnosis and Management of Pericardial Diseases of the European Society of Cardiology (ESC)Endorsed by: The European Association for Cardio-Thoracic Surgery (EACTS). Eur. Heart J. 2015, 36, 2921–2964. [Google Scholar] [CrossRef] [PubMed]
- Aquaro, G.D.; Negri, F.; De Luca, A.; Todiere, G.; Bianco, F.; Barison, A.; Camastra, G.; Monti, L.; Dellegrottaglie, S.; Moro, C.; et al. Role of right ventricular involvement in acute myocarditis, assessed by cardiac magnetic resonance. Int. J. Cardiol. 2018, 271, 359–365. [Google Scholar] [CrossRef] [PubMed]
- Caforio, A.L.; Pankuweit, S.; Arbustini, E.; Basso, C.; Gimeno-Blanes, J.; Felix, S.B.; Fu, M.; Helio, T.; Heymans, S.; Jahns, R.; et al. Current state of knowledge on aetiology, diagnosis, management, and therapy of myocarditis: A position statement of the European Society of Cardiology Working Group on Myocardial and Pericardial Diseases. Eur. Heart J. 2013, 34, 2636–2648. [Google Scholar] [CrossRef] [PubMed]
- Ammirati, E.; Frigerio, M.; Adler, E.D.; Basso, C.; Birnie, D.H.; Brambatti, M.; Friedrich, M.G.; Klingel, K.; Lehtonen, J.; Moslehi, J.J.; et al. Management of Acute Myocarditis and Chronic Inflammatory Cardiomyopathy: An Expert Consensus Document. Circ. Heart Fail. 2020, 13, e007405. [Google Scholar] [CrossRef] [PubMed]
- Seferovic, P.M.; Tsutsui, H.; McNamara, D.M.; Ristic, A.D.; Basso, C.; Bozkurt, B.; Cooper, L.T.; Jr Filippatos, G.; Ide, T.; Inomata, T.; et al. Heart Failure Association of the ESC, Heart Failure Society of America and Japanese Heart Failure Society Position statement on endomyocardial biopsy. Eur. J. Heart Fail. 2021, 23, 854–871. [Google Scholar] [CrossRef] [PubMed]
- Law, Y.M.; Lal, A.K.; Chen, S.; Cihakova, D.; Cooper, L.T.; Deshpande, S., Jr.; Godown, J.; Grosse-Wortmann, L.; Robinson, J.D.; Towbin, J.A.; et al. Diagnosis and Management of Myocarditis in Children: A Scientific Statement From the American Heart Association. Circulation 2021, 144, e123–e135. [Google Scholar] [CrossRef] [PubMed]
- Vojdani, A.; Kharrazian, D. Potential antigenic cross-reactivity between SARS-CoV-2 and human tissue with a possible link to an increase in autoimmune diseases. Clin. Immunol. 2020, 217, 108480. [Google Scholar] [CrossRef] [PubMed]
- Su, J.R.; McNeil, M.M.; Welsh, K.J.; Marquez, P.L.; Ng, C.; Yan, M.; Cano, M.V. Myopericarditis after vaccination, Vaccine Adverse Event Reporting System (VAERS), 1990–2018. Vaccine 2021, 39, 839–845. [Google Scholar] [CrossRef] [PubMed]


| Patient | Age 1 | Sex 2 | Vaccination | History | Medication | Temp 3 | HR 4 | BP 5 | CRP 5 | Adm Hs-TnI 6 | Nadir Hs-TnI 6 | BNP 7 |
|---|---|---|---|---|---|---|---|---|---|---|---|---|
| 1 | 17 | F | Pfizer/BioNTech | AVNRT | Atenolol | 37.1 | 98 | 110/70 | 2.2 | 439 | 6609 | 73 |
| 2 | 18 | M | Pfizer/BioNTech | RBBB | // | 38.2 | 70 | 120/80 | 4.3 | 8123 | 9897 | 57 |
| 3 | 25 | M | Moderna | // | // | 38 | 57 | 120/70 | 7.3 | 40568 | 12500 | 5 |
| 4 | 16 | F | Moderna | // | // | 37.6 | 77 | 125/65 | 3.5 | 576 | 5703 | 76 |
| 5 | 15 | M | Pfizer/BioNTech | // | // | 38.3 | 78 | 115/67 | 4.5 | 4070 | 6078 | 58 |
| 6 | 14 | M | Pfizer/BioNTech | // | Acetaminophen | 37.7 | 69 | 123/70 | 2.7 | 676 | 5047 | 45 |
| Patient (n°) | LV EDV 1 | CMR EF 2 | LGE 3 | LGE Distribution | Triple-IR 3 | FU-LGE |
|---|---|---|---|---|---|---|
| 1 | 67 | 55 | y | Pericardium | y | n |
| 2 | 75 | 65 | y | Inferolateral | y | n |
| 3 | 77 | 57 | y | RV | y | n |
| 4 | 62 | 62 | y | Pericardium | y | n |
| 5 | 67 | 60 | y | Inferolateral | y | n |
| 6 | 65 | 67 | y | Inferolateral | y | n |
Publisher’s Note: MDPI stays neutral with regard to jurisdictional claims in published maps and institutional affiliations. |
© 2022 by the authors. Licensee MDPI, Basel, Switzerland. This article is an open access article distributed under the terms and conditions of the Creative Commons Attribution (CC BY) license (https://creativecommons.org/licenses/by/4.0/).
Share and Cite
Manfredi, R.; Bianco, F.; Bucciarelli, V.; Ciliberti, G.; Guerra, F.; Schicchi, N.; Tavio, M.; Berton, E.; Surace, F.C.; Colaneri, M.; et al. Clinical Profiles and CMR Findings of Young Adults and Pediatrics with Acute Myocarditis Following mRNA COVID-19 Vaccination: A Case Series. Vaccines 2022, 10, 169. https://doi.org/10.3390/vaccines10020169
Manfredi R, Bianco F, Bucciarelli V, Ciliberti G, Guerra F, Schicchi N, Tavio M, Berton E, Surace FC, Colaneri M, et al. Clinical Profiles and CMR Findings of Young Adults and Pediatrics with Acute Myocarditis Following mRNA COVID-19 Vaccination: A Case Series. Vaccines. 2022; 10(2):169. https://doi.org/10.3390/vaccines10020169
Chicago/Turabian StyleManfredi, Roberto, Francesco Bianco, Valentina Bucciarelli, Giuseppe Ciliberti, Federico Guerra, Nicolò Schicchi, Marcello Tavio, Emanuela Berton, Francesca Chiara Surace, Massimo Colaneri, and et al. 2022. "Clinical Profiles and CMR Findings of Young Adults and Pediatrics with Acute Myocarditis Following mRNA COVID-19 Vaccination: A Case Series" Vaccines 10, no. 2: 169. https://doi.org/10.3390/vaccines10020169
APA StyleManfredi, R., Bianco, F., Bucciarelli, V., Ciliberti, G., Guerra, F., Schicchi, N., Tavio, M., Berton, E., Surace, F. C., Colaneri, M., Gallina, S., & Pozzi, M. (2022). Clinical Profiles and CMR Findings of Young Adults and Pediatrics with Acute Myocarditis Following mRNA COVID-19 Vaccination: A Case Series. Vaccines, 10(2), 169. https://doi.org/10.3390/vaccines10020169

