Dietary EPA Increases Rat Mortality in Diabetes Mellitus, a Phenomenon Which Is Compensated by Green Tea Extract
Abstract
1. Introduction
2. Materials and Methods
2.1. Ethical Approval
2.2. Experimental Rats and Diet
2.3. Diabetes Triggering
2.4. Morphological Data
2.5. Assessment of Ex Vivo Cardiac Mechanical Function
2.6. Coronary Reactivity
2.7. Preparation of Isolated Mitochondria
2.8. Western Blot Analysis
2.9. Gene Expression
2.10. Other Biochemical Determinations
2.11. Fatty Acid Composition of Cardiac Phospholipids
2.12. Statistical Analysis
3. Results
3.1. Glycemia and Insulinemia
3.2. Survival Rate
3.3. Fatty Acid Composition of Cardiac Phospholipids
3.4. Morphological Data and Food Intake
3.5. Plasma Biochemical Parameters
3.6. Cardiac Morphology and Mechanical Function
3.7. Coronary Reactivity
3.8. Inflammation of Myocardial Tissue
3.9. Cardiac Oxidative Stress
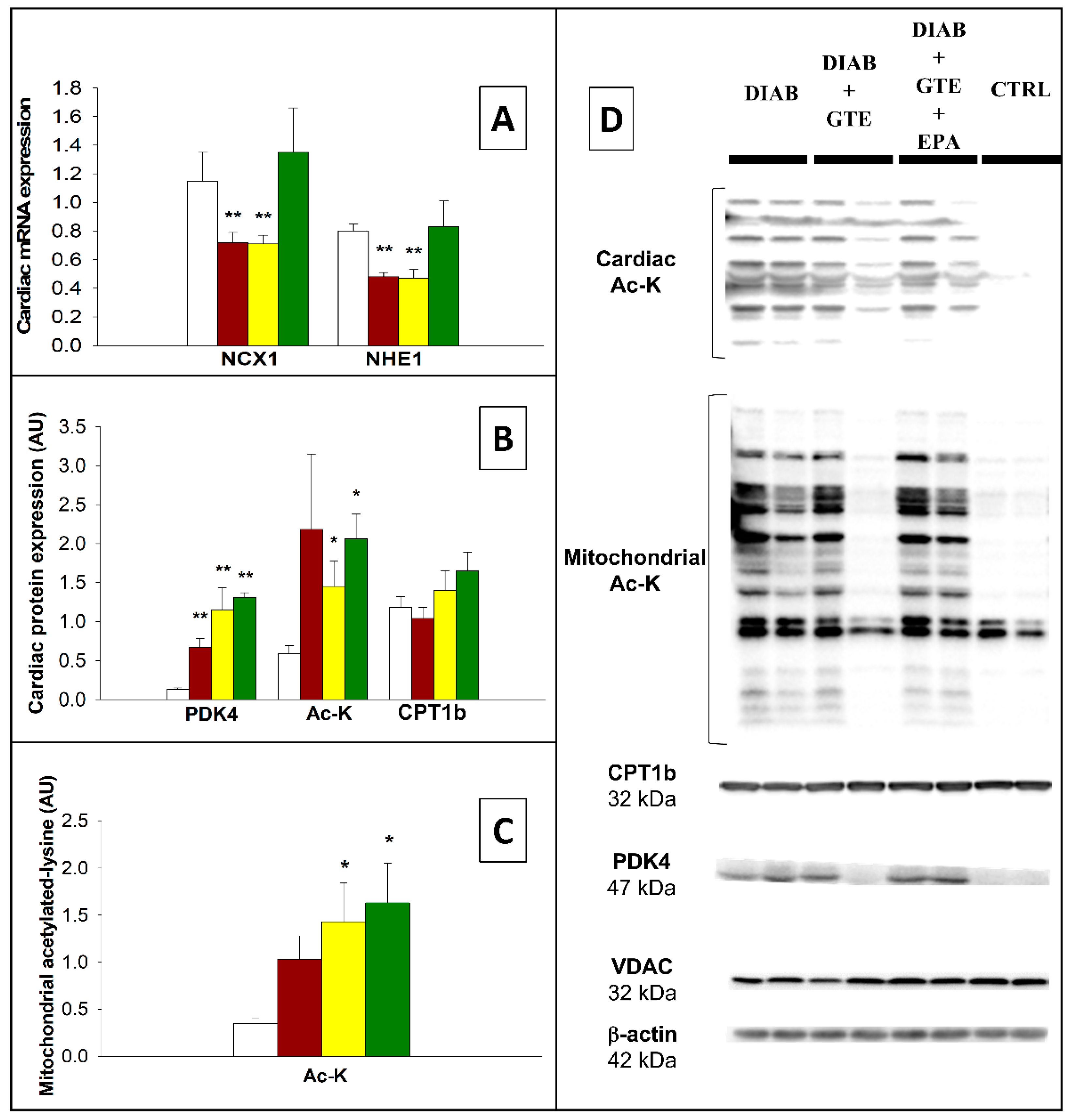
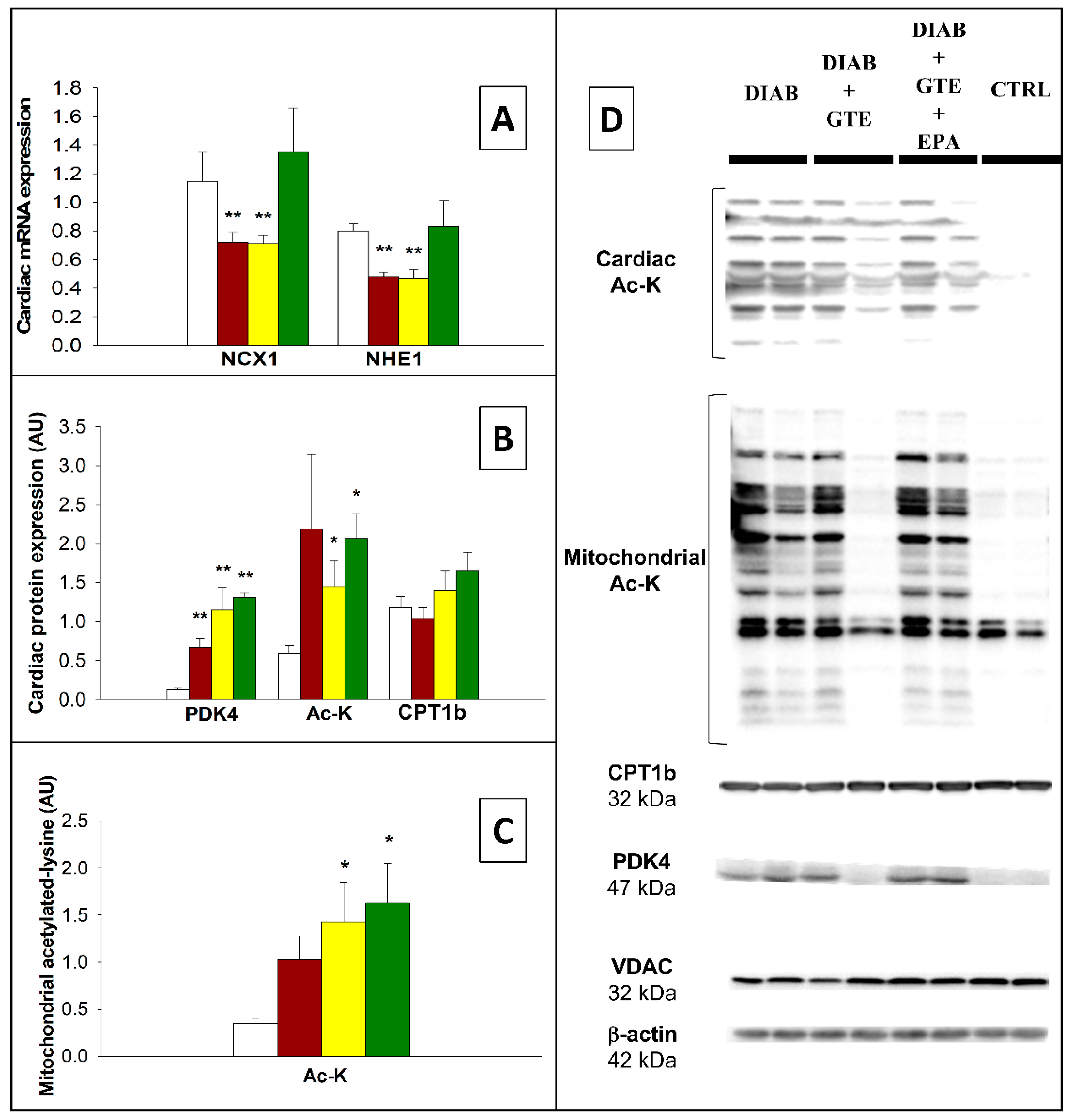
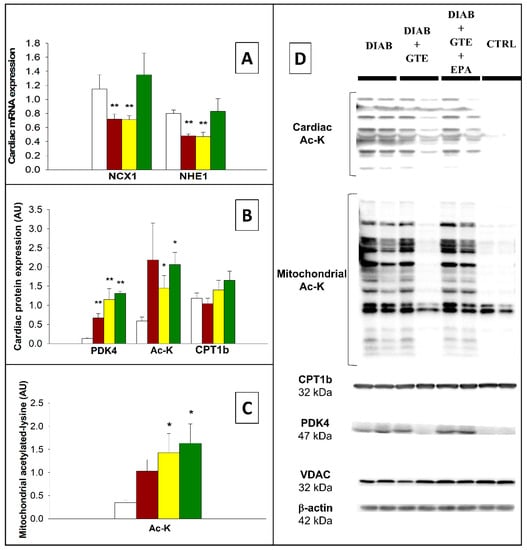
3.10. Energy Metabolism and Mitochondrial Pathways-Related Factors
4. Discussion
4.1. Experimental Model
4.2. Animal Morphology and Survival Rate during Diabetes
4.3. Cardiac Effects of the Various Interventions
Physiological Effects
4.4. Oxidative Stress
4.5. Fatty Acid Composition of Cardiac Phospholipids
4.6. Energy Metabolism
5. Conclusions
Author Contributions
Funding
Acknowledgments
Conflicts of Interest
Abbreviations
References
- IDF Diabetes Atlas—2017 Atlas. Available online: https://diabetesatlas.org/resources/2017-atlas.html (accessed on 24 August 2019).
- Thomas, C.C.; Philipson, L.H. Update on diabetes classification. Med. Clin. N. Am. 2015, 99, 1–16. [Google Scholar] [CrossRef]
- Nathan, D.M. The Diabetes Control and Complications Trial/Epidemiology of Diabetes Interventions and Complications Study at 30 Years: Overview. Diabetes Care 2014, 37, 9–16. [Google Scholar] [CrossRef]
- King, P.; Peacock, I.; Donnelly, R. The UK Prospective Diabetes Study (UKPDS): Clinical and therapeutic implications for type 2 diabetes. Br. J. Clin. Pharmacol. 1999, 48, 643–648. [Google Scholar] [CrossRef] [PubMed]
- Jia, G.; Whaley-Connell, A.; Sowers, J.R. Diabetic cardiomyopathy: A hyperglycaemia- and insulin-resistance-induced heart disease. Diabetologia 2018, 61, 21–28. [Google Scholar] [CrossRef] [PubMed]
- Diabetes Control and Complications Trial Research Group; Nathan, D.M.; Genuth, S.; Lachin, J.; Cleary, P.; Crofford, O.; Davis, M.; Rand, L.; Siebert, C. The effect of intensive treatment of diabetes on the development and progression of long-term complications in insulin-dependent diabetes mellitus. N. Engl. J. Med. 1993, 329, 977–986. [Google Scholar] [PubMed]
- Jia, G.; DeMarco, V.G.; Sowers, J.R. Insulin resistance and hyperinsulinaemia in diabetic cardiomyopathy. Nat. Rev. Endocrinol. 2016, 12, 144–153. [Google Scholar] [CrossRef]
- Adeghate, E.; Singh, J. Structural changes in the myocardium during diabetes-induced cardiomyopathy. Heart Fail. Rev. 2014, 19, 15–23. [Google Scholar] [CrossRef]
- Aragno, M.; Mastrocola, R.; Medana, C.; Catalano, M.G.; Vercellinatto, I.; Danni, O.; Boccuzzi, G. Oxidative stress-dependent impairment of cardiac-specific transcription factors in experimental diabetes. Endocrinology 2006, 147, 5967–5974. [Google Scholar] [CrossRef]
- Gordon, J.W.; Shaw, J.A.; Kirshenbaum, L.A. Multiple facets of NF-κB in the heart: To be or not to NF-κB. Circ. Res. 2011, 108, 1122–1132. [Google Scholar] [CrossRef]
- Mariappan, N.; Elks, C.M.; Sriramula, S.; Guggilam, A.; Liu, Z.; Borkhsenious, O.; Francis, J. NF-kappaB-induced oxidative stress contributes to mitochondrial and cardiac dysfunction in type II diabetes. Cardiovasc. Res. 2010, 85, 473–483. [Google Scholar] [CrossRef]
- Adameova, A.; Dhalla, N.S. Role of microangiopathy in diabetic cardiomyopathy. Heart Fail. Rev. 2014, 19, 25–33. [Google Scholar] [CrossRef] [PubMed]
- Gao, H.; Yang, Q.; Dong, R.; Hou, F.; Wu, Y. Sequential changes in autophagy in diabetic cardiac fibrosis. Mol. Med. Rep. 2016, 13, 327–332. [Google Scholar] [CrossRef] [PubMed][Green Version]
- Ahn, C.; Kang, J.H.; Jeung, E.B. Calcium homeostasis in diabetes mellitus. J. Vet. Sci. 2017, 18, 261–266. [Google Scholar] [CrossRef] [PubMed]
- Zhang, Y.; Wang, Y.; Yanni, J.; Qureshi, M.A.; Logantha, S.J.R.J.; Kassab, S.; Boyett, M.R.; Gardiner, N.J.; Sun, H.; Howarth, F.C.; et al. Electrical Conduction System Remodeling in Streptozotocin-Induced Diabetes Mellitus Rat Heart. Front. Physiol. 2019, 10, 826. [Google Scholar] [CrossRef]
- Skyler, J.S. Primary and secondary prevention of Type 1 diabetes. Diabet. Med. 2013, 30, 161–169. [Google Scholar] [CrossRef]
- Ley, S.H.; Hamdy, O.; Mohan, V.; Hu, F.B. Prevention and management of type 2 diabetes: Dietary components and nutritional strategies. Lancet 2014, 383, 1999–2007. [Google Scholar] [CrossRef]
- Demaison, L.; Moreau, D.; Vergely-Vandriesse, C.; Grégoire, S.; Degois, M.; Rochette, L. Effects of dietary polyunsaturated fatty acids and hepatic steatosis on the functioning of isolated working rat heart under normoxic conditions and during post-ischemic reperfusion. Mol. Cell. Biochem. 2001, 224, 103–116. [Google Scholar] [CrossRef]
- McLennan, P.L.; Abeywardena, M.Y.; Dallimore, J.A.; Raederstorff, D. Dietary fish oil preserves cardiac function in the hypertrophied rat heart. Br. J. Nutr. 2012, 108, 645–654. [Google Scholar] [CrossRef]
- Charnock, J.S.; Sundram, K.; Abeywardena, M.Y.; McLennan, P.L.; Tan, D.T. Dietary fats and oils in cardiac arrhythmia in rats. Am. J. Clin. Nutr. 1991, 53, 1047S–1049S. [Google Scholar] [CrossRef]
- Kazemian, P.; Kazemi-Bajestani, S.M.R.; Alherbish, A.; Steed, J.; Oudit, G.Y. The use of ω-3 poly-unsaturated fatty acids in heart failure: A preferential role in patients with diabetes. Cardiovasc. Drugs Ther. 2012, 26, 311–320. [Google Scholar] [CrossRef]
- Eclov, J.A.; Qian, Q.; Redetzke, R.; Chen, Q.; Wu, S.C.; Healy, C.L.; Ortmeier, S.B.; Harmon, E.; Shearer, G.C.; O’Connell, T.D. EPA, not DHA, prevents fibrosis in pressure overload-induced heart failure: Potential role of free fatty acid receptor 4. J. Lipid Res. 2015, 56, 2297–2308. [Google Scholar] [CrossRef] [PubMed]
- Calder, P.C. Omega-3 fatty acids and inflammatory processes: From molecules to man. Biochem. Soc. Trans. 2017, 45, 1105–1115. [Google Scholar] [CrossRef] [PubMed]
- Sergiel, J.P.; Martine, L.; Raederstorff, D.; Grynberg, A.; Demaison, L. Individual effects of dietary EPA and DHA on the functioning of the isolated working rat heart. Can. J. Physiol. Pharmacol. 1998, 76, 728–736. [Google Scholar] [CrossRef] [PubMed]
- Calder, P.C. Marine omega-3 fatty acids and inflammatory processes: Effects, mechanisms and clinical relevance. Biochim. Biophys. Acta 2015, 1851, 469–484. [Google Scholar] [CrossRef] [PubMed]
- Demaison, L.; Sergiel, J.P.; Moreau, D.; Grynberg, A. Influence of the phospholipid n-6/n-3 polyunsaturated fatty acid ratio on the mitochondrial oxidative metabolism before and after myocardial ischemia. Biochim. Biophys. Acta 1994, 1227, 53–59. [Google Scholar] [CrossRef]
- Pinel, A.; Morio-Liondore, B.; Capel, F. n-3 Polyunsaturated fatty acids modulate metabolism of insulin-sensitive tissues: Implication for the prevention of type 2 diabetes. J. Physiol. Biochem. 2014, 70, 647–658. [Google Scholar] [CrossRef]
- Bhardwaj, P.; Khanna, D. Green tea catechins: Defensive role in cardiovascular disorders. Chin. J. Nat. Med. 2013, 11, 345–353. [Google Scholar] [CrossRef]
- Zhang, C.; Qin, Y.Y.; Wei, X.; Yu, F.F.; Zhou, Y.H.; He, J. Tea consumption and risk of cardiovascular outcomes and total mortality: A systematic review and meta-analysis of prospective observational studies. Eur. J. Epidemiol. 2015, 30, 103–113. [Google Scholar] [CrossRef]
- Kim, S.J.; Li, M.; Jeong, C.W.; Bae, H.B.; Kwak, S.H.; Lee, S.H.; Lee, H.J.; Heo, B.H.; Yook, K.B.; Yoo, K.Y. Epigallocatechin-3-gallate, a green tea catechin, protects the heart against regional ischemia-reperfusion injuries through activation of RISK survival pathways in rats. Arch. Pharm. Res. 2014, 37, 1079–1085. [Google Scholar] [CrossRef]
- Ellinger, S.; Müller, N.; Stehle, P.; Ulrich-Merzenich, G. Consumption of green tea or green tea products: Is there an evidence for antioxidant effects from controlled interventional studies? Phytomedicine 2011, 18, 903–915. [Google Scholar] [CrossRef]
- Sharifzadeh, M.; Ranjbar, A.; Hosseini, A.; Khanavi, M. The Effect of Green Tea Extract on Oxidative Stress and Spatial Learning in Streptozotocin-diabetic Rats. Iran. J. Pharm. Res. IJPR 2017, 16, 201–209. [Google Scholar] [PubMed]
- Vinson, J.A.; Zhang, J. Black and green teas equally inhibit diabetic cataracts in a streptozotocin-induced rat model of diabetes. J. Agric. Food Chem. 2005, 53, 3710–3713. [Google Scholar] [CrossRef] [PubMed]
- Anderson, R.A.; Polansky, M.M. Tea enhances insulin activity. J. Agric. Food Chem. 2002, 50, 7182–7186. [Google Scholar] [CrossRef] [PubMed]
- Waltner-Law, M.E.; Wang, X.L.; Law, B.K.; Hall, R.K.; Nawano, M.; Granner, D.K. Epigallocatechin gallate, a constituent of green tea, represses hepatic glucose production. J. Biol. Chem. 2002, 277, 34933–34940. [Google Scholar] [CrossRef] [PubMed]
- Shimizu, M.; Kobayashi, Y.; Suzuki, M.; Satsu, H.; Miyamoto, Y. Regulation of intestinal glucose transport by tea catechins. BioFactors 2000, 13, 61–65. [Google Scholar] [CrossRef]
- Babu, P.V.A.; Sabitha, K.E.; Shyamaladevi, C.S. Therapeutic effect of green tea extract on oxidative stress in aorta and heart of streptozotocin diabetic rats. Chem. Biol. Interact. 2006, 162, 114–120. [Google Scholar] [CrossRef]
- Babu, P.V.A.; Liu, D. Green tea catechins and cardiovascular health: An update. Curr. Med. Chem. 2008, 15, 1840–1850. [Google Scholar] [CrossRef]
- Vinson, J.A.; Teufel, K.; Wu, N. Green and black teas inhibit atherosclerosis by lipid, antioxidant, and fibrinolytic mechanisms. J. Agric. Food Chem. 2004, 52, 3661–3665. [Google Scholar] [CrossRef]
- Liu, J.; Tang, Y.; Feng, Z.; Liu, J.; Liu, J.; Long, J. (−)-Epigallocatechin-3-gallate attenuated myocardial mitochondrial dysfunction and autophagy in diabetic Goto-Kakizaki rats. Free Radic. Res. 2014, 48, 898–906. [Google Scholar] [CrossRef]
- Kilkenny, C.; Browne, W.J.; Cuthill, I.C.; Emerson, M.; Altman, D.G. Improving bioscience research reporting: The ARRIVE guidelines for reporting animal research. J. Pharmacol. Pharmacother. 2010, 1, 94–99. [Google Scholar] [CrossRef]
- Srinivasan, K.; Viswanad, B.; Asrat, L.; Kaul, C.L.; Ramarao, P. Combination of high-fat diet-fed and low-dose streptozotocin-treated rat: A model for type 2 diabetes and pharmacological screening. Pharmacol. Res. 2005, 52, 313–320. [Google Scholar] [CrossRef] [PubMed]
- Demaison, L.; Moreau, D.; Clauw, F.; Vergely, C.; Rochette, L. Mitochondrial basis of the anti-arrhythmic action of lidocaine and modulation by the n-6 to n-3 PUFA ratio of cardiac phospholipids. Fundam. Clin. Pharmacol. 2013, 27, 373–386. [Google Scholar] [CrossRef] [PubMed]
- Folch, J.; Lees, M.; Sloane Stanley, G.H. A simple method for the isolation and purification of total lipides from animal tissues. J. Biol. Chem. 1957, 226, 497–509. [Google Scholar] [PubMed]
- Capel, F.; Acquaviva, C.; Pitois, E.; Laillet, B.; Rigaudière, J.P.; Jouve, C.; Pouyet, C.; Gladine, C.; Comte, B.; Vianey Saban, C.; et al. DHA at nutritional doses restores insulin sensitivity in skeletal muscle by preventing lipotoxicity and inflammation. J. Nutr. Biochem. 2015, 26, 949–959. [Google Scholar] [CrossRef] [PubMed]
- Radenković, M.; Stojanović, M.; Prostran, M. Experimental diabetes induced by alloxan and streptozotocin: The current state of the art. J. Pharmacol. Toxicol. Methods 2016, 78, 13–31. [Google Scholar] [CrossRef]
- Suman, R.K.; Ray Mohanty, I.; Borde, M.K.; Maheshwari, U.; Deshmukh, Y.A. Development of an Experimental Model of Diabetes Co-Existing with Metabolic Syndrome in Rats. Adv. Pharmacol. Sci. 2016, 2016, 9463476. [Google Scholar] [CrossRef]
- Skovsø, S. Modeling type 2 diabetes in rats using high fat diet and streptozotocin. J. Diabetes Investig. 2014, 5, 349–358. [Google Scholar] [CrossRef]
- Mourmoura, E.; Chaté, V.; Couturier, K.; Laillet, B.; Vial, G.; Rigaudiere, J.P.; Morio, B.; Malpuech-Brugère, C.; Azarnoush, K.; Demaison, L. Body adiposity dictates different mechanisms of increased coronary reactivity related to improved in vivo cardiac function. Cardiovasc. Diabetol. 2014, 13, 54. [Google Scholar] [CrossRef]
- Yang, X.F.; Qiu, Y.Q.; Wang, L.; Gao, K.G.; Jiang, Z.Y. A high-fat diet increases body fat mass and up-regulates expression of genes related to adipogenesis and inflammation in a genetically lean pig. J. Zhejiang Univ. Sci. B 2018, 19, 884–894. [Google Scholar] [CrossRef]
- Engelking, L.R. Chapter 88—Diabetes Mellitus (Metabolic Acidosis and Potassium Balance). In Textbook of Veterinary Physiological Chemistry, 3rd ed.; Engelking, L.R., Ed.; Academic Press: Boston, MA, USA, 2015; pp. 568–575. ISBN 978-0-12-391909-0. [Google Scholar]
- Li, D. Omega-3 polyunsaturated fatty acids and non-communicable diseases: Meta-analysis based systematic review. Asia Pac. J. Clin. Nutr. 2015, 24, 10–15. [Google Scholar]
- Guichardant, M.; Calzada, C.; Bernoud-Hubac, N.; Lagarde, M.; Véricel, E. Omega-3 polyunsaturated fatty acids and oxygenated metabolism in atherothrombosis. Biochim. Biophys. Acta 2015, 1851, 485–495. [Google Scholar] [CrossRef] [PubMed]
- Leger, T.; Hininger-Favier, I.; Capel, F.; Geloen, A.; Rigaudière, J.P.; Jouve, C.; Pitois, E.; Pineau, G.; Vaysse, C.; Chardigny, J.M.; et al. Dietary canolol protects the heart against the deleterious effects induced by the association of rapeseed oil, vitamin E and coenzyme Q10 in the context of a high-fat diet. Nutr. Metab. 2018, 15, 15. [Google Scholar] [CrossRef] [PubMed]
- Dyall, S.C. Methodological issues and inconsistencies in the field of omega-3 fatty acids research. Prostaglandins Leukot. Essent. Fat. Acids 2011, 85, 281–285. [Google Scholar] [CrossRef] [PubMed]
- Wang, P.; Zhang, L.; Gong, Y.; Zhang, H.; Wang, X.; Li, Y. Impacts of systemic hypertension and left ventricular hypertrophy on outcome of cardiopulmonary resuscitation and therapeutic hypothermia in a cardiac arrest model of rat. Shock 2016, 45, 434–440. [Google Scholar] [CrossRef]
- Liu, C.; Yang, C.X.; Chen, X.R.; Liu, B.X.; Li, Y.; Wang, X.Z.; Sun, W.; Li, P.; Kong, X.Q. Alamandine attenuates hypertension and cardiac hypertrophy in hypertensive rats. Amino Acids 2018, 50, 1071–1081. [Google Scholar] [CrossRef]
- Wang, Z.; do Carmo, J.M.; Aberdein, N.; Zhou, X.; Williams, J.M.; da Silva, A.A.; Hall, J.E. Synergistic Interaction of Hypertension and Diabetes in Promoting Kidney Injury and the Role of Endoplasmic Reticulum Stress. Hypertension 2017, 69, 879–891. [Google Scholar] [CrossRef]
- Khan, S.S.; Quaggin, S.E. Therapies on the Horizon for Diabetic Kidney Disease. Curr. Diabetes Rep. 2015, 15, 111. [Google Scholar] [CrossRef]
- Montezano, A.C.; Dulak-Lis, M.; Tsiropoulou, S.; Harvey, A.; Briones, A.M.; Touyz, R.M. Oxidative Stress and Human Hypertension: Vascular Mechanisms, Biomarkers, and Novel Therapies. Can. J. Cardiol. 2015, 31, 631–641. [Google Scholar] [CrossRef]
- Nath, S.; Ghosh, S.K.; Choudhury, Y. A murine model of type 2 diabetes mellitus developed using a combination of high fat diet and multiple low doses of streptozotocin treatment mimics the metabolic characteristics of type 2 diabetes mellitus in humans. J. Pharmacol. Toxicol. Methods 2017, 84, 20–30. [Google Scholar] [CrossRef]
- Dennis, K.E.; Hill, S.; Rose, K.L.; Sampson, U.K.A.; Hill, M.F. Augmented cardiac formation of oxidatively-induced carbonylated proteins accompanies the increased functional severity of post-myocardial infarction heart failure in the setting of type 1 diabetes mellitus. Cardiovasc. Pathol. 2013, 22, 473–480. [Google Scholar] [CrossRef]
- Thum, T.; Fraccarollo, D.; Schultheiss, M.; Froese, S.; Galuppo, P.; Widder, J.D.; Tsikas, D.; Ertl, G.; Bauersachs, J. Endothelial nitric oxide synthase uncoupling impairs endothelial progenitor cell mobilization and function in diabetes. Diabetes 2007, 56, 666–674. [Google Scholar] [CrossRef] [PubMed]
- Luo, S.; Lei, H.; Qin, H.; Xia, Y. Molecular mechanisms of endothelial NO synthase uncoupling. Curr. Pharm. Des. 2014, 20, 3548–3553. [Google Scholar] [CrossRef] [PubMed]
- Konior, A.; Schramm, A.; Czesnikiewicz-Guzik, M.; Guzik, T.J. NADPH Oxidases in Vascular Pathology. Antioxid. Redox Signal. 2014, 20, 2794–2814. [Google Scholar] [CrossRef] [PubMed]
- Jansen, F.; Yang, X.; Franklin, B.S.; Hoelscher, M.; Schmitz, T.; Bedorf, J.; Nickenig, G.; Werner, N. High glucose condition increases NADPH oxidase activity in endothelial microparticles that promote vascular inflammation. Cardiovasc. Res. 2013, 98, 94–106. [Google Scholar] [CrossRef]
- Lee, M.S.; Kim, C.T.; Kim, Y. Green tea (−)-epigallocatechin-3-gallate reduces body weight with regulation of multiple genes expression in adipose tissue of diet-induced obese mice. Ann. Nutr. Metab. 2009, 54, 151–157. [Google Scholar] [CrossRef]
- Kao, Y.H.; Chang, H.H.; Lee, M.J.; Chen, C.L. Tea, obesity, and diabetes. Mol. Nutr. Food Res. 2006, 50, 188–210. [Google Scholar] [CrossRef]
- Mourmoura, E.; Rigaudière, J.P.; Couturier, K.; Hininger, I.; Laillet, B.; Malpuech-Brugère, C.; Azarnoush, K.; Demaison, L. Long-term abdominal adiposity activates several parameters of cardiac energy function. J. Physiol. Biochem. 2016, 72, 525–537. [Google Scholar] [CrossRef]
- Ruiz-Gutierrez, V.; Molina, M.T.; Vázquez, C.M. Comparative Effects of Feeding Different Fats on Fatty Acid Composition of Major Individual Phospholipids of Rat Hearts. Ann. Nutr. Metab. 1990, 34, 350–358. [Google Scholar] [CrossRef]
- Limbu, R.; Cottrell, G.S.; McNeish, A.J. Characterisation of the vasodilation effects of DHA and EPA, n-3 PUFAs (fish oils), in rat aorta and mesenteric resistance arteries. PLoS ONE 2018, 13, e0192484. [Google Scholar] [CrossRef]
- Patterson, E.; Wall, R.; Fitzgerald, G.F.; Ross, R.P.; Stanton, C. Health Implications of High Dietary Omega-6 Polyunsaturated Fatty Acids. Available online: https://www.hindawi.com/journals/jnme/2012/539426/ (accessed on 26 August 2019).
- Mustad, V.A.; Demichele, S.; Huang, Y.S.; Mika, A.; Lubbers, N.; Berthiaume, N.; Polakowski, J.; Zinker, B. Differential effects of n-3 polyunsaturated fatty acids on metabolic control and vascular reactivity in the type 2 diabetic ob/ob mouse. Metabolism 2006, 55, 1365–1374. [Google Scholar] [CrossRef]
- Skrzydlewska, E.; Ostrowska, J.; Farbiszewski, R.; Michalak, K. Protective effect of green tea against lipid peroxidation in the rat liver, blood serum and the brain. Phytomedicine 2002, 9, 232–238. [Google Scholar] [CrossRef]
- Fukushima, A.; Lopaschuk, G.D. Acetylation control of cardiac fatty acid β-oxidation and energy metabolism in obesity, diabetes, and heart failure. Biochim. Biophys. Acta 2016, 1862, 2211–2220. [Google Scholar] [CrossRef] [PubMed]
- Casanova, E.; Salvadó, J.; Crescenti, A.; Gibert-Ramos, A. Epigallocatechin Gallate Modulates Muscle Homeostasis in Type 2 Diabetes and Obesity by Targeting Energetic and Redox Pathways: A Narrative Review. Int. J. Mol. Sci. 2019, 20, 532. [Google Scholar] [CrossRef] [PubMed]
- Al-Biltagi, M.A.M.; Abo-Elezz, A.A.E.; Abd-Elhafez, M.A.; Mabrouk, M.M.; Suliman, G.A. Beneficial Effects of Omega-3 Supplement to the Enteral Feeding in Children with Mild to Moderate Sepsis. J. Intensive Care Med. 2017, 32, 212–217. [Google Scholar] [CrossRef] [PubMed]
- Singer, P.; Theilla, M.; Fisher, H.; Gibstein, L.; Grozovski, E.; Cohen, J. Benefit of an enteral diet enriched with eicosapentaenoic acid and gamma-linolenic acid in ventilated patients with acute lung injury. Crit. Care Med. 2006, 34, 1033–1038. [Google Scholar] [CrossRef] [PubMed]
- Yang, D.; Yang, D. Role of Intracellular Ca2. Available online: https://www.hindawi.com/journals/bmri/2013/678456/ (accessed on 27 August 2019).
- Karmazyn, M.; Sostaric, J.V.; Gan, X.T. The myocardial Na+/H+ exchanger: A potential therapeutic target for the prevention of myocardial ischaemic and reperfusion injury and attenuation of postinfarction heart failure. Drugs 2001, 61, 375–389. [Google Scholar] [CrossRef]
- Matteucci, E.; Rizvi, S.I.; Giampietro, O. Erythrocyte sodium/hydrogen exchange inhibition by (−) epicatechin. Cell Biol. Int. 2001, 25, 771–776. [Google Scholar] [CrossRef]








| Food Components | CTRL | DIAB | DIAB+EPA | DIAB+GTE | DIAB+EPA+GTE |
|---|---|---|---|---|---|
| Fatty acid composition: (% of lipids of the diet) | |||||
| C14:0 | 14.27 | 12.29 | 13.36 | 12.71 | |
| C15:0 | 1.39 | 1.17 | 1.24 | 1.19 | |
| C16:0 | 20.32 | 38.25 | 33.78 | 36.96 | 34.3 |
| C17:0 | 0.59 | 0.63 | 0.6 | ||
| C18:0 | 10.85 | 10.23 | 9.81 | 10.18 | |
| C20:0 | 0.04 | ||||
| SFAs | 20.32 | 64.76 | 58.1 | 62.01 | 58.97 |
| C14:1 | 1.65 | 1.18 | 0.84 | 0.75 | |
| C16:1 ω7 | 1.34 | 1.4 | 1.78 | 1.69 | |
| C17:1 | 0.1 | 0.16 | |||
| C18:1 trans | 1.46 | 2.13 | 1.66 | 2.14 | |
| C18:1 ω9 | 20.43 | 20.61 | 22.99 | 23.61 | 23.45 |
| C18:1 ω7 | 1.69 | 0.73 | |||
| MUFAs | 22.11 | 25.05 | 28.53 | 27.89 | 28.19 |
| C18:2 ω6 cis | 53.66 | 8.67 | 8.74 | 8.64 | 8.7 |
| C20:4 ω6 | 0.25 | 0.2 | |||
| ω6 PUFAs | 53.66 | 8.67 | 8.99 | 8.64 | 8.9 |
| C18:3 ω3 | 3.9 | 1.52 | 4.38 | 1.46 | 1.51 |
| C18:4 ω3 | 0.22 | ||||
| C20:5 ω3 | 2.67 | 2.43 | |||
| ω3 PUFAs | 3.9 | 1.52 | 4.38 | 1.46 | 3.94 |
| ω6/ω3 PUFAs | 13.75 | 5.71 | 2.05 | 5.9 | 2.26 |
| Lipid part of diet (%) | 3 | 35.2 | 35.2 | 35.2 | 35.2 |
| EPA (% of the diet) | / | / | 1.2 | / | 1.2 |
| GTE (% of the diet) | / | / | / | 0.5 | 0.5 |
| GTE component: (% of GTE) | |||||
| Total phospholipids | / | / | / | ≥40 | ≥40 |
| Catechins | / | / | / | ≥25 | ≥25 |
| EGCG | / | / | / | ≥10 | ≥10 |
| Caffeine | / | / | / | ≤7 | ≤7 |
| Vitamin E: (mg/kg of EFM) | / | 346 | 419 | 357 | 430 |
| Peroxide value: (mEq O2/kg of EFM) | / | 3 | 6.9 | 3.1 | 5.6 |
| Gene | Sequence (5′-3′) |
|---|---|
| β-Actin (NM_031144.3) | (F) TCTGTGTGGATTGGTGGCTCTA (R) CTGCTTGCTGATCCACATCTG |
| Catalase (NM_012520.2) | (F) CCTGACATGGTCTGGGACTTC (R) AGCTTGAAGGTGTGTGAGCC |
| GAPDH (NM_017008.4) | (F) GAACATCATCCCTGCATCCA (R) CCAGTGAGCTTCCCGTTCA |
| IL10 (NM_012854.2) | (F) GTAGAAGTGATGCCCCAGGC (R) AGACACCTTTGTCTTGGAGC |
| IL-1β (NM_031512.2) | (F) AAATGCCTCGTGCTGTCTGA (R) GGTGTGCCGTCTTTCATCAC |
| IL6 (NM_012589.2) | (F) AGCGATGATGCACTGTCAGA (R) GGAACTCCAGAAGACCAGAGC |
| NCX1 (NM_019268.3) | (F) TGTTGTTAAATGAGCTTGGTGG (R) TTACGGTAGAGGGAATCGGATG |
| NHE1 (NM_012652.1) | (F) AACGGCTGCGGTCCTATAAC (R) CGAGACATGGTGGGTGAGTC |
| SOD2 (NM_017051.2) | (F) TGAACAATCTGAACGTCACCG (R) CCTTAGGGCTCAGGTTTGTC |
| Fatty Acid | CTRL | DIAB | DIAB+GTE | DIAB+EPA+GTE | p-Value |
|---|---|---|---|---|---|
| C12:0 | 0.44 ± 0.05 | 0.42 ± 0.02 | 0.34 ± 0.04 | 0.65 ± 0.17 | NS |
| C14:0 | 0.32 ± 0.07 a | 0.30 ± 0.08 a | 0.30 ± 0.06 a | 0.69 ± 0.15 b | p < 0.05 |
| C15:0 | 0.23 ± 0.03 a | 0.30 ± 0.04 ab | 0.32 ± 0.01 ab | 0.40 ± 0.04 b | p < 0.05 |
| C16:0 | 13.6 ± 0.4 a | 9.1 ± 0.6 b | 10.0 ± 0.6 b | 9.9 ± 0.5 b | p < 0.001 |
| C17:0 | 0.30 ± 0.01 a | 0.36 ± 0.02 b | 0.39 ± 0.01 b | 0.39 ± 0.01 b | p < 0.001 |
| C18:0 DMA | 0.31 ± 0.04 a | 0.61 ± 0.10 b | 0.67 ± 0.02 b | 0.73 ± 0.11 b | p < 0.01 |
| C18:0 | 19.0 ± 0.3 a | 23.1 ± 0.2 b | 23.2 ± 0.2 b | 22.4 ± 0.3 b | p < 0.001 |
| SFAs | 34.2 ± 0.4 | 34.2 ± 0.7 | 34.4 ± 0.4 | 36.1 ± 0.6 | NS |
| C15:1 | 0.08 ± 0.01 a | 0.21 ± 0.03 b | 0.24 ± 0.03 b | 0.19 ± 0.05 b | p < 0.01 |
| C16:1 ω7 | 0.54 ± 0.05 a | 0.06 ± 0.02 b | 0.08 ± 0.01 b | 0.07 ± 0.01 b | p < 0.01 |
| C17:1 | 0.24 ± 0.02 | 0.20 ± 0.04 | 0.21 ± 0.02 | 0.25 ± 0.03 | NS |
| trans-C18:1 | 0.01 ± 0.01 a | 0.18 ± 0.00 b | 0.20 ± 0.01 b | 0.19 ± 0.02 b | p < 0.01 |
| C18:1 ω9 | 4.0 ± 0.2 a | 6.5 ± 0.6 b | 6.5 ± 0.5 b | 7.2 ± 0.6 b | p < 0.01 |
| C18:1 ω7 | 5.0 ± 0.2 a | 1.1 ± 0.1 b | 1.2 ± 0.0 b | 1.2 ± 0.1 b | p < 0.001 |
| C22:1 ω9 | 0.87 ± 0.02 a | 0.81 ± 0.08 ab | 0.86 ± 0.14 ab | 0.68 ± 0.06 b | p < 0.05 |
| MUFAs | 10.8 ± 0.4 | 9.2 ± 0.5 | 9.4 ± 0.4 | 10.3 ± 0.5 | NS |
| C18:2 ω6 | 23.5 ± 0.3 a | 30.9 ± 2.9 b | 30.1 ± 1.1 b | 30.1 ± 2.3 b | p < 0.05 |
| C20:2 ω6 | 0.04 ± 0.02 | 0.00 ± 0.00 | 0.03 ± 0.02 | 0.09 ± 0.06 | NS |
| C20:3 ω6 | 0.20 ± 0.02 a | 0.55 ± 0.01 b | 0.50 ± 0.02 b | 0.43 ± 0.02 c | p < 0.001 |
| C20:4 ω6 | 18.2 ± 0.4 a | 17.8 ± 1.7 ab | 18.6 ± 1.0 ab | 15.7 ± 1.1 b | p < 0.05 |
| C22:4 ω6 | 0.66 ± 0.04 a | 0.58 ± 0.04 a | 0.58 ± 0.06 a | 0.28 ± 0.02 b | p < 0.05 |
| C22:5 ω6 | 0.77 ± 0.07 a | 0.50 ± 0.12 ab | 0.41 ± 0.09 bc | 0.09 ± 0.02 c | p < 0.01 |
| ω6PUFAs | 43.6 ± 0.6 a | 50.4 ± 1.6 b | 47.8 ± 1.7 b | 48.3 ± 0.6 b | p < 0.01 |
| C20:5 ω3 | 0.01 ± 0.01 a | 0.03 ± 0.02 a | 0.05 ± 0.02 a | 1.21 ± 0.12 b | p < 0.01 |
| C22:5 ω3 | 1.19 ± 0.10 a | 1.58 ± 0.26 ab | 2.21 ± 0.41 b | 3.72 ± 0.97 b | p < 0.05 |
| C22:6 ω3 | 10.2 ± 0.57 a | 4.7 ± 1.0 b | 4.0 ± 0.2 b | 3.3 ± 0.4 b | p < 0.001 |
| ω3 PUFAs | 11.4 ± 0.6 a | 6.3 ± 1.2 b | 6.2 ± 0.5 b | 7.7 ± 0.2 ab | p < 0.01 |
| PUFAs | 55.0 ± 0.5 | 56.6 ± 0.7 | 55.5 ± 0.6 | 55.5 ± 0.4 | NS |
| ω6/ω3 PUFAs | 3.9 ± 0.3 a | 9.8 ± 2.3 b | 7.4 ± 1.1 b | 5.5 ± 0.7 ab | p < 0.05 |
| Cardiac Parameters | CTRL | DIAB | DIAB+GTE | DIAB+EPA+GTE |
|---|---|---|---|---|
| Heart mass (g/100 g of body weight) | 0.26 ± 0.01 | 0.32 ± 0.01 *** | 0.33 ± 0.01 *** | 0.30 ± 0.01 *** |
| Collagen (µg/mg of proteins) | 163 ± 5 | 170 ± 15 | 154 ± 24 | 129 ± 6 # |
| Coronary flow (mL/min/g of heart) | 8.29 ± 0.38 | 9.40 ± 0.46 | 8.87 ± 0.76 | 9.38 ± 0.21 |
| Developed pressure (mmHg) | 66.7 ± 4.2 | 51.3 ± 10.3 | 73.0 ± 4.3 | 66.2 ± 10.1 |
| Developed pressure/coronary flow (mmHg/mL/min/g of heart) | 8.03 ± 0.34 | 5.76 ± 1.45 | 9.29 ± 1.17 # | 7.03 ± 1.00 |
| Heart rate (bpm) | 368.0 ± 0.3 | 368.6 ± 0.2 | 368.6 ± 0.4 | 368.4 ± 0.2 |
| RPP (bpm·mmHg) | 24425 ± 1534 | 19021 ± 3795 | 26947 ± 1580 | 24377 ± 3721 |
| dPdtmax (mmHg·s−1) | 2458 ± 341 | 1532 ± 310 | 2067 ± 356 | 1988 ± 322 |
| dPdtmin (mmHg·s−1) | −1497 ± 119 | −1277 ± 280 | −1749 ± 98 | −1565 ± 201 |
| Perfusion pressure (mmHg) | 50.4 ± 6.0 | 84.8 ± 11.1 * | 70.4 ± 5.7 | 67.04 ± 10.8 |
© 2019 by the authors. Licensee MDPI, Basel, Switzerland. This article is an open access article distributed under the terms and conditions of the Creative Commons Attribution (CC BY) license (http://creativecommons.org/licenses/by/4.0/).
Share and Cite
Leger, T.; He, B.; Azarnoush, K.; Jouve, C.; Rigaudiere, J.-P.; Joffre, F.; Bouvier, D.; Sapin, V.; Pereira, B.; Demaison, L. Dietary EPA Increases Rat Mortality in Diabetes Mellitus, a Phenomenon Which Is Compensated by Green Tea Extract. Antioxidants 2019, 8, 526. https://doi.org/10.3390/antiox8110526
Leger T, He B, Azarnoush K, Jouve C, Rigaudiere J-P, Joffre F, Bouvier D, Sapin V, Pereira B, Demaison L. Dietary EPA Increases Rat Mortality in Diabetes Mellitus, a Phenomenon Which Is Compensated by Green Tea Extract. Antioxidants. 2019; 8(11):526. https://doi.org/10.3390/antiox8110526
Chicago/Turabian StyleLeger, Thibault, Beibei He, Kasra Azarnoush, Chrystèle Jouve, Jean-Paul Rigaudiere, Florent Joffre, Damien Bouvier, Vincent Sapin, Bruno Pereira, and Luc Demaison. 2019. "Dietary EPA Increases Rat Mortality in Diabetes Mellitus, a Phenomenon Which Is Compensated by Green Tea Extract" Antioxidants 8, no. 11: 526. https://doi.org/10.3390/antiox8110526
APA StyleLeger, T., He, B., Azarnoush, K., Jouve, C., Rigaudiere, J.-P., Joffre, F., Bouvier, D., Sapin, V., Pereira, B., & Demaison, L. (2019). Dietary EPA Increases Rat Mortality in Diabetes Mellitus, a Phenomenon Which Is Compensated by Green Tea Extract. Antioxidants, 8(11), 526. https://doi.org/10.3390/antiox8110526

