Lifetime Deletion of Skeletal Muscle Keap1 Attenuates Aging-Induced Cardiac Dysfunction via an Nrf2–Antioxidant Mechanism
Abstract
1. Introduction
2. Materials and Methods
2.1. Animal Model
2.2. Cardiac Function Evaluation
2.2.1. Echocardiography
2.2.2. Left Ventricular Hemodynamics Measurement
2.3. Western Blot Assay, Proteomics, and Bioinformatics Analysis
2.3.1. Tissue Harvesting and Processing
2.3.2. Western Blot Assay
2.3.3. Mass Spectrometry-Based Proteomics
2.3.4. Differential Proteomic and Pathway Enrichment Analyses
2.4. Statistical Analysis
3. Results
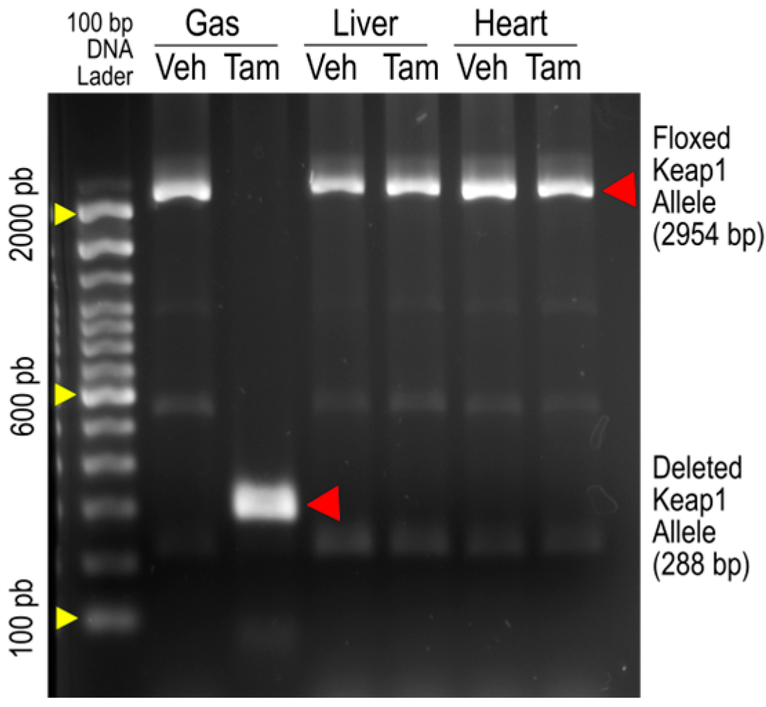
3.1. SkM-Specific Deletion of the Keap1 Gene
3.2. Protein Expression of GSTA2, NQO1, and Nrf2
3.3. Baseline Echocardiography
3.4. Dobutamine Stress Echocardiography
3.5. Left Ventricular Hemodynamics
3.6. Mass Spectrometry-Based Global Expression Analysis
3.7. Pathway Enrichment Analysis
4. Discussion
5. Conclusions
Author Contributions
Funding
Institutional Review Board Statement
Informed Consent Statement
Data Availability Statement
Acknowledgments
Conflicts of Interest
References
- Li, H.; Hastings, M.H.; Rhee, J.; Trager, L.E.; Roh, J.D.; Rosenzweig, A. Targeting Age-Related Pathways in Heart Failure. Circ. Res. 2020, 126, 533–551. [Google Scholar] [CrossRef]
- Sohal, R.S.; Orr, W.C. The redox stress hypothesis of aging. Free Radic. Biol. Med. 2012, 52, 539–555. [Google Scholar] [CrossRef]
- Ungvari, Z.; Tarantini, S.; Donato, A.J.; Galvan, V.; Csiszar, A. Mechanisms of Vascular Aging. Circ. Res. 2018, 123, 849–867. [Google Scholar] [CrossRef] [PubMed]
- Ji, Z.; Liu, G.H.; Qu, J. Mitochondrial sirtuins, key regulators of aging. Life Med. 2025, 4, lnaf019. [Google Scholar] [CrossRef]
- Bellezza, I.; Giambanco, I.; Minelli, A.; Donato, R. Nrf2-Keap1 signaling in oxidative and reductive stress. Biochim. Biophys. Acta Mol. Cell Res. 2018, 1865, 721–733. [Google Scholar] [CrossRef] [PubMed]
- Ma, Q. Role of nrf2 in oxidative stress and toxicity. Annu. Rev. Pharmacol. Toxicol. 2013, 53, 401–426. [Google Scholar] [CrossRef]
- Pomatto, L.C.D.; Davies, K.J.A. Adaptive homeostasis and the free radical theory of ageing. Free Radic. Biol. Med. 2018, 124, 420–430. [Google Scholar] [CrossRef] [PubMed]
- Pietrangelo, D.; Lopa, C.; Litterio, M.; Cotugno, M.; Rubattu, S.; Lombardi, A. Metabolic Disturbances Involved in Cardiovascular Diseases: The Role of Mitochondrial Dysfunction, Altered Bioenergetics and Oxidative Stress. Int. J. Mol. Sci. 2025, 26, 6791. [Google Scholar] [CrossRef]
- Dhyani, N.; Tian, C.; Gao, L.; Rudebush, T.L.; Zucker, I.H. Nrf2-Keap1 in Cardiovascular Disease: Which Is the Cart and Which the Horse? Physiology 2024, 39, 288–301. [Google Scholar] [CrossRef]
- Ahn, B.; Pharaoh, G.; Premkumar, P.; Huseman, K.; Ranjit, R.; Kinter, M.; Szweda, L.; Kiss, T.; Fulop, G.; Tarantini, S.; et al. Nrf2 deficiency exacerbates age-related contractile dysfunction and loss of skeletal muscle mass. Redox Biol. 2018, 17, 47–58. [Google Scholar] [CrossRef]
- Fasipe, B.; Li, S.; Laher, I. Harnessing the cardiovascular benefits of exercise: Are Nrf2 activators useful? Sports Med. Health Sci. 2021, 3, 70–79. [Google Scholar] [CrossRef]
- Li, Q.; Qian, Z.; Huang, Y.; Yang, X.; Yang, J.; Xiao, N.; Liang, G.; Zheang, H.; Fu, Y.; Lin, Y.; et al. Mechanisms of endothelial senescence and vascular aging. Biogerontology 2025, 26, 128. [Google Scholar] [CrossRef]
- Gao, L.; Wang, H.J.; Tian, C.; Zucker, I.H. Skeletal Muscle Nrf2 Contributes to Exercise-Evoked Systemic Antioxidant Defense Via Extracellular Vesicular Communication. Exerc. Sport Sci. Rev. 2021, 49, 213–222. [Google Scholar] [CrossRef]
- Just, J.; Yan, Y.; Farup, J.; Sieljacks, P.; Sloth, M.; Veno, M.; Gu, T.; de Paoli, F.V.; Nyengaard, J.R.; Baek, R.; et al. Blood flow-restricted resistance exercise alters the surface profile, miRNA cargo and functional impact of circulating extracellular vesicles. Sci. Rep. 2020, 10, 5835. [Google Scholar] [CrossRef]
- Gao, L.; Kumar, V.; Vellichirammal, N.N.; Park, S.Y.; Rudebush, T.L.; Yu, L.; Son, W.M.; Pekas, E.J.; Wafi, A.M.; Hong, J.; et al. Functional, proteomic and bioinformatic analyses of Nrf2- and Keap1- null skeletal muscle. J. Physiol. 2020, 598, 5427–5451. [Google Scholar] [CrossRef]
- Wafi, A.M.; Yu, L.; Gao, L.; Zucker, I.H. Exercise training upregulates Nrf2 protein in the rostral ventrolateral medulla of mice with heart failure. J. Appl. Physiol. 2019, 127, 1349–1359. [Google Scholar] [CrossRef] [PubMed]
- Ma, A.; Hong, J.; Shanks, J.; Rudebush, T.; Yu, L.; Hackfort, B.T.; Wang, H.; Zucker, I.H.; Gao, L. Upregulating Nrf2 in the RVLM ameliorates sympatho-excitation in mice with chronic heart failure. Free Radic. Biol. Med. 2019, 141, 84–92. [Google Scholar] [CrossRef] [PubMed]
- Kong, X.; Thimmulappa, R.; Craciun, F.; Harvey, C.; Singh, A.; Kombairaju, P.; Reddy, S.P.; Remick, D.; Biswal, S. Enhancing Nrf2 pathway by disruption of Keap1 in myeloid leukocytes protects against sepsis. Am. J. Respir. Crit. Care Med. 2011, 184, 928–938. [Google Scholar] [CrossRef] [PubMed]
- Walters, T.S.; McIntosh, D.J.; Ingram, S.M.; Tillery, L.; Motley, E.D.; Arinze, I.J.; Misra, S. SUMO-Modification of Human Nrf2 at K110 and K533 Regulates Its Nucleocytoplasmic Localization, Stability and Transcriptional Activity. Cell. Physiol. Biochem. 2021, 55, 141–159. [Google Scholar] [CrossRef]
- Lau, A.; Tian, W.; Whitman, S.A.; Zhang, D.D. The predicted molecular weight of Nrf2: It is what it is not. Antioxid. Redox Signal 2013, 18, 91–93. [Google Scholar] [CrossRef]
- Kopacz, A.; Rojo, A.I.; Patibandla, C.; Lastra-Martinez, D.; Piechota-Polanczyk, A.; Kloska, D.; Jozkowicz, A.; Sutherland, C.; Cuadrado, A.; Grochot-Przeczek, A. Overlooked and valuable facts to know in the NRF2/KEAP1 field. Free Radic. Biol. Med. 2022, 192, 37–49. [Google Scholar] [CrossRef]
- Jyothidasan, A.; Sunny, S.; Murugesan, S.; Quiles, J.M.; Challa, A.K.; Dalley, B.; Cinghu, S.K.; Nanda, V.; Rajasekaran, N.S. Transgenic Expression of Nrf2 Induces a Pro-Reductive Stress and Adaptive Cardiac Remodeling in the Mouse. Genes 2022, 13, 1514. [Google Scholar] [CrossRef]
- Bhat, A.; Abu, R.; Jagadesan, S.; Vellichirammal, N.N.; Pendyala, V.V.; Yu, L.; Rudebush, T.L.; Guda, C.; Zucker, I.H.; Kumar, V.; et al. Quantitative Proteomics Identifies Novel Nrf2-Mediated Adaptative Signaling Pathways in Skeletal Muscle Following Exercise Training. Antioxidants 2023, 12, 151. [Google Scholar] [CrossRef] [PubMed]
- Pribil Pardun, S.; Bhat, A.; Anderson, C.P.; Allen, M.F.; Bruening, W.; Jacob, J.; Pendyala, V.V.; Yu, L.; Bruett, T.; Zimmerman, M.; et al. Electrical Pulse Stimulation Protects C2C12 Myotubes against Hydrogen Peroxide-Induced Cytotoxicity via Nrf2/Antioxidant Pathway. Antioxidants 2024, 13, 716. [Google Scholar] [CrossRef]
- Gao, L.; Zimmerman, M.C.; Biswal, S.; Zucker, I.H. Selective Nrf2 Gene Deletion in the Rostral Ventrolateral Medulla Evokes Hypertension and Sympathoexcitation in Mice. Hypertension 2017, 69, 1198–1206. [Google Scholar] [CrossRef]
- Tian, C.; Gao, L.; Rudebush, T.L.; Yu, L.; Zucker, I.H. Extracellular Vesicles Regulate Sympatho-Excitation by Nrf2 in Heart Failure. Circ. Res. 2022, 131, 687–700. [Google Scholar] [CrossRef]
- Grotle, A.K.; Langlo, J.V.; Holsbrekken, E.; Stone, A.J.; Tanaka, H.; Fadel, P.J. Age-related alterations in the cardiovascular responses to acute exercise in males and females: Role of the exercise pressor reflex. Front. Physiol. 2023, 14, 1287392. [Google Scholar] [CrossRef]
- Bigalke, J.A.; Young, B.E.; Cleveland, E.L.; Fadel, P.J.; Carter, J.R. Aging and sympathetic transduction to blood pressure in humans: Methodological and physiological considerations. Am. J. Physiol. Heart Circ. Physiol. 2024, 326, H148–H157. [Google Scholar] [CrossRef]
- Giunta, S.; Xia, S.; Pelliccioni, G.; Olivieri, F. Autonomic nervous system imbalance during aging contributes to impair endogenous anti-inflammaging strategies. Geroscience 2024, 46, 113–127. [Google Scholar] [CrossRef] [PubMed]
- Rim, D.; Henderson, L.A.; Macefield, V.G. Brain and cardiovascular-related changes are associated with aging, hypertension, and atrial fibrillation. Clin. Auton. Res. 2022, 32, 409–422. [Google Scholar] [CrossRef] [PubMed]
- Frame, A.A.; Nist, K.M.; Kim, K.; Puleo, F.; Moreira, J.D.; Swaldi, H.; McKenna, J., 3rd; Wainford, R.D. Integrated renal and sympathetic mechanisms underlying the development of sex- and age-dependent hypertension and the salt sensitivity of blood pressure. Geroscience 2024, 46, 6435–6458. [Google Scholar] [CrossRef] [PubMed]
- Tian, C.; Gao, L.; Zucker, I.H. Regulation of Nrf2 signaling pathway in heart failure: Role of extracellular vesicles and non-coding RNAs. Free Radic. Biol. Med. 2021, 167, 218–231. [Google Scholar] [CrossRef]
- Lin, H.; Yin, L.; Liu, W.; Li, R.; Jiang, T.; Yang, M.; Cao, Y.; Wang, S.; Yu, Y.; Chen, C.; et al. Muscle-Derived Small Extracellular Vesicles Mediate Exercise-Induced Cognitive Protection in Chronic Cerebral Hypoperfusion. Adv. Sci. 2025, 12, e2410209. [Google Scholar] [CrossRef]
- Ozerklig, B.; Turkel, I.; Yilmaz, M.; Vaizoglu, R.D.; Akan, H.S.; Dikmen, Z.G.; Saleem, A.; Kosar, S.N. Exercise-induced extracellular vesicles mediate apoptosis in human colon cancer cells in an exercise intensity-dependent manner. Eur. J. Appl. Physiol. 2025, 125, 2831–2842. [Google Scholar] [CrossRef]
- Lundy, D.J.; Liao, C.T. Extracellular Vesicles in Aging and Age-Related Diseases. How Important Are They? Adv. Biol. 2025, 9, e2400656. [Google Scholar] [CrossRef]
- Obi, P.O.; Souza, T.F.G.; Ozerklig, B.; Seif, S.; Bydak, B.; Klassen, N.; Duhamel, T.A.; West, A.R.; Gordon, J.W.; Saleem, A. Extracellular Vesicles Released from Skeletal Muscle Post-Chronic Contractile Activity Increase Mitochondrial Biogenesis in Recipient Myoblasts. J. Extracell. Vesicles 2025, 14, e70045. [Google Scholar] [CrossRef]
- Allemann, M.S.; Lee, P.; Beer, J.H.; Saeedi Saravi, S.S. Targeting the redox system for cardiovascular regeneration in aging. Aging Cell 2023, 22, e14020. [Google Scholar] [CrossRef]
- Izzo, C.; Vitillo, P.; Di Pietro, P.; Visco, V.; Strianese, A.; Virtuoso, N.; Ciccarelli, M.; Galasso, G.; Carrizzo, A.; Vecchione, C. The Role of Oxidative Stress in Cardiovascular Aging and Cardiovascular Diseases. Life 2021, 11, 60. [Google Scholar] [CrossRef]
- Morris, B.J. Seven sirtuins for seven deadly diseases of aging. Free Radic. Biol. Med. 2013, 56, 133–171. [Google Scholar] [CrossRef] [PubMed]
- Kitaoka, Y. The Role of Nrf2 in Skeletal Muscle on Exercise Capacity. Antioxidants 2021, 10, 1712. [Google Scholar] [CrossRef] [PubMed]
- Ngo, V.; Duennwald, M.L. Nrf2 and Oxidative Stress: A General Overview of Mechanisms and Implications in Human Disease. Antioxidants 2022, 11, 2345. [Google Scholar] [CrossRef] [PubMed]
- Zinovkin, R.A.; Grebenchikov, O.A. Transcription Factor Nrf2 as a Potential Therapeutic Target for Prevention of Cytokine Storm in COVID-19 Patients. Biochemistry 2020, 85, 833–837. [Google Scholar] [CrossRef]
- Dinkova-Kostova, A.T.; Abramov, A.Y. The emerging role of Nrf2 in mitochondrial function. Free Radic. Biol. Med. 2015, 88 Pt B, 179–188. [Google Scholar] [CrossRef] [PubMed]
- Bersell, K.; Choudhury, S.; Mollova, M.; Polizzotti, B.D.; Ganapathy, B.; Walsh, S.; Wadugu, B.; Arab, S.; Kuhn, B. Moderate and high amounts of tamoxifen in αMHC-MerCreMer mice induce a DNA damage response, leading to heart failure and death. Dis. Model. Mech. 2013, 6, 1459–1469. [Google Scholar] [PubMed]







| Gene | Description | logFC Aging-WT/Young-WT | logFC Aging-KO/Aging-WT |
|---|---|---|---|
| Sod2 | Superoxide dismutase [Mn] | −0.7734859 | 0.8561775 |
| Glrx | Glutaredoxin-1 | −0.4202023 | 0.53331114 |
| Glrx3 | Glutaredoxin-3 | −0.3643137 | 0.32566092 |
| Sod1 | Superoxide dismutase | −0.323255 | 0.10450807 |
| Txn2 | Thioredoxin, mitochondrial | −0.2258084 | 0.51128203 |
| Glrx5 | Glutaredoxin-5 | −0.1030895 | 0.33220526 |
| Glrx2 | Glrx2 protein | −0.0253805 | 0.42047178 |
Disclaimer/Publisher’s Note: The statements, opinions and data contained in all publications are solely those of the individual author(s) and contributor(s) and not of MDPI and/or the editor(s). MDPI and/or the editor(s) disclaim responsibility for any injury to people or property resulting from any ideas, methods, instructions or products referred to in the content. |
© 2025 by the authors. Licensee MDPI, Basel, Switzerland. This article is an open access article distributed under the terms and conditions of the Creative Commons Attribution (CC BY) license (https://creativecommons.org/licenses/by/4.0/).
Share and Cite
Sharma, K.; Pribil Pardun, S.; Dhyani, N.; Zucker, I.H.; Nair, B.G.; Nair, S.S.; Kumar, V.; Gao, L. Lifetime Deletion of Skeletal Muscle Keap1 Attenuates Aging-Induced Cardiac Dysfunction via an Nrf2–Antioxidant Mechanism. Antioxidants 2025, 14, 1491. https://doi.org/10.3390/antiox14121491
Sharma K, Pribil Pardun S, Dhyani N, Zucker IH, Nair BG, Nair SS, Kumar V, Gao L. Lifetime Deletion of Skeletal Muscle Keap1 Attenuates Aging-Induced Cardiac Dysfunction via an Nrf2–Antioxidant Mechanism. Antioxidants. 2025; 14(12):1491. https://doi.org/10.3390/antiox14121491
Chicago/Turabian StyleSharma, Kanika, Sarah Pribil Pardun, Neha Dhyani, Irving H. Zucker, Bipin G. Nair, Sudarslal Sadasivan Nair, Vikas Kumar, and Lie Gao. 2025. "Lifetime Deletion of Skeletal Muscle Keap1 Attenuates Aging-Induced Cardiac Dysfunction via an Nrf2–Antioxidant Mechanism" Antioxidants 14, no. 12: 1491. https://doi.org/10.3390/antiox14121491
APA StyleSharma, K., Pribil Pardun, S., Dhyani, N., Zucker, I. H., Nair, B. G., Nair, S. S., Kumar, V., & Gao, L. (2025). Lifetime Deletion of Skeletal Muscle Keap1 Attenuates Aging-Induced Cardiac Dysfunction via an Nrf2–Antioxidant Mechanism. Antioxidants, 14(12), 1491. https://doi.org/10.3390/antiox14121491

