Nephroprotective Effect of the Virgin Olive Oil Polyphenol Hydroxytyrosol in Type 1-like Experimental Diabetes Mellitus: Relationships with Its Antioxidant Effect
Abstract
1. Introduction
2. Material and Methods
2.1. Material
2.2. Study Design
2.3. Analytical Techniques
2.3.1. Samples
- −
- Whole blood, collected in tubes without anticoagulants and with coagulation activator gel. The samples were centrifuged at 3500× g for 10 min and the supernatant was separated and frozen in aliquots at −80 °C until determination of the corresponding variables.
- −
- Kidneys: Both kidneys were perfused with isotonic saline by cannulation of the renal artery to eliminate the blood in the renal vessels. Subsequently, they were weighed, the cortex was separated from the medullary tissue, and the left renal cortex was homogenized in 50 mM phosphate-buffered saline, pH 7.0 (1/15 w/v), centrifuging the resulting sample at 13,000× g for 15 min at 4 °C, separating the supernatant, and freezing the aliquots at −80 °C until determination of the corresponding variables. The right kidney was used for histological analysis.
- −
- Urine. Rats were individually placed in modular metabolic cages (Tecniplast S.p.A., Buguggiate, Italy) and 24 h urine was collected. Total diuresis was measured, and the samples were centrifuged at 3500× g for 10 min at 4 °C and frozen at −80 °C in aliquots until the corresponding analytical determinations were made.
2.3.2. Serum and Urine Biochemistry
2.3.3. Oxidative and Nitrosative Stress
2.3.4. Eicosanoids
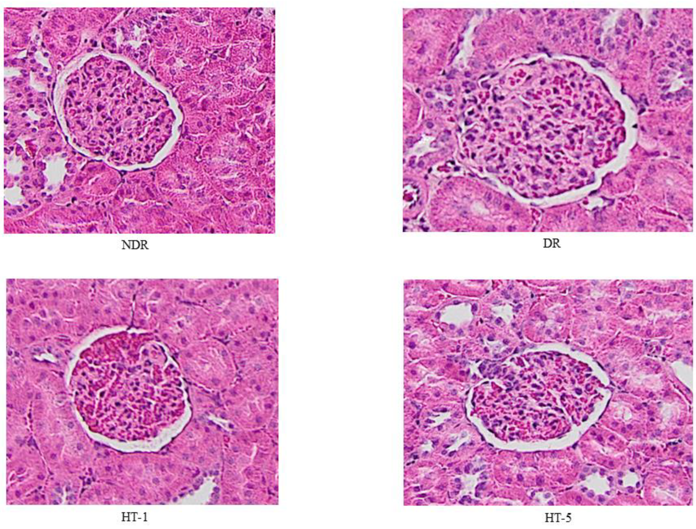
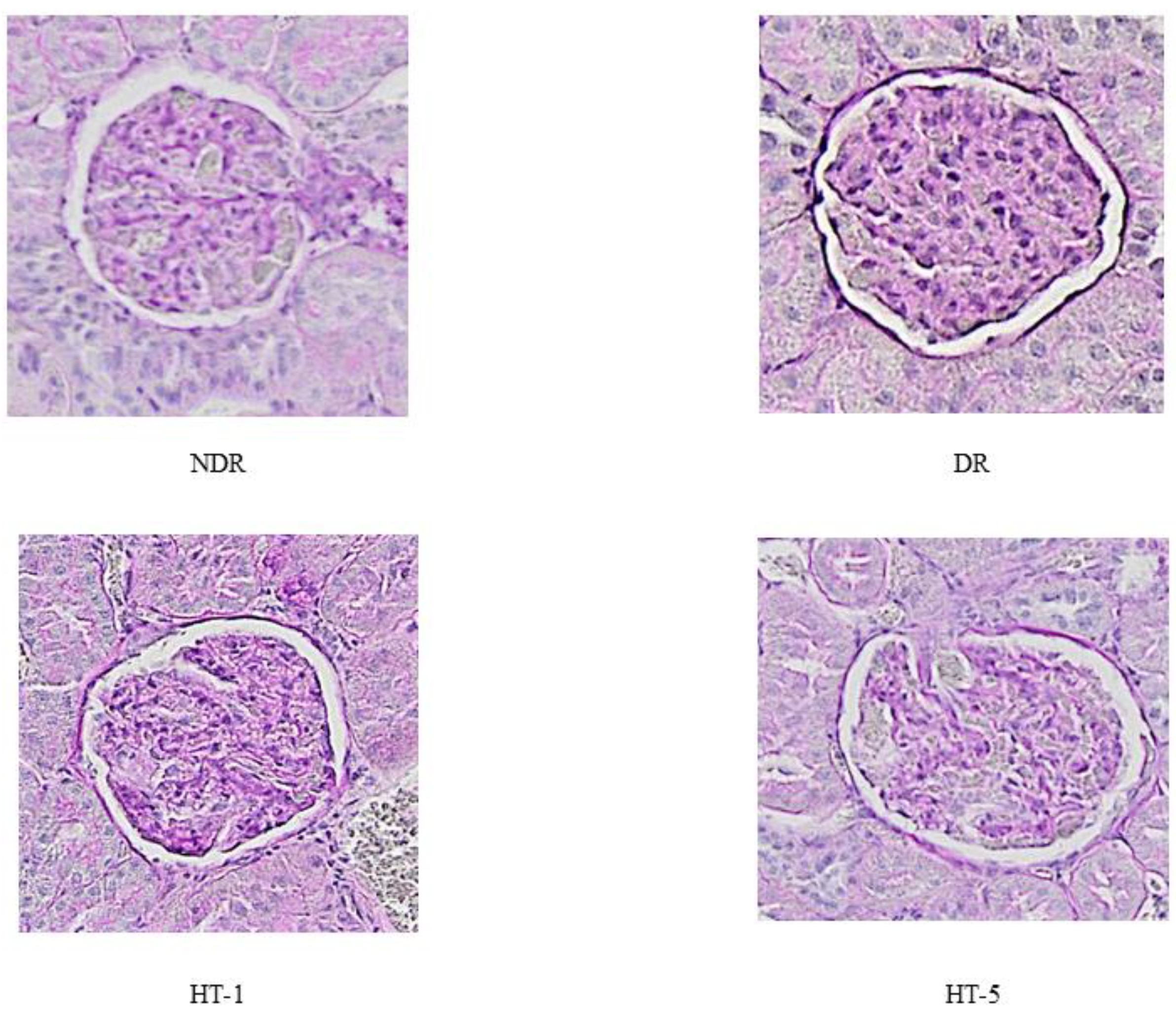
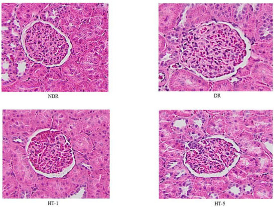
2.3.5. Morphological Procedure
2.4. Statistical Analysis
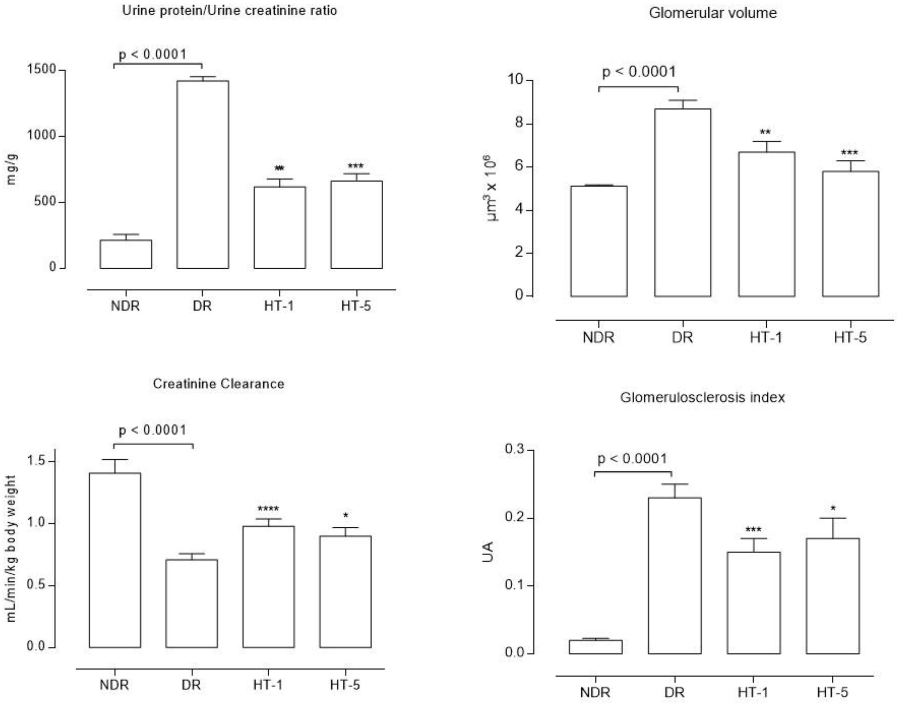
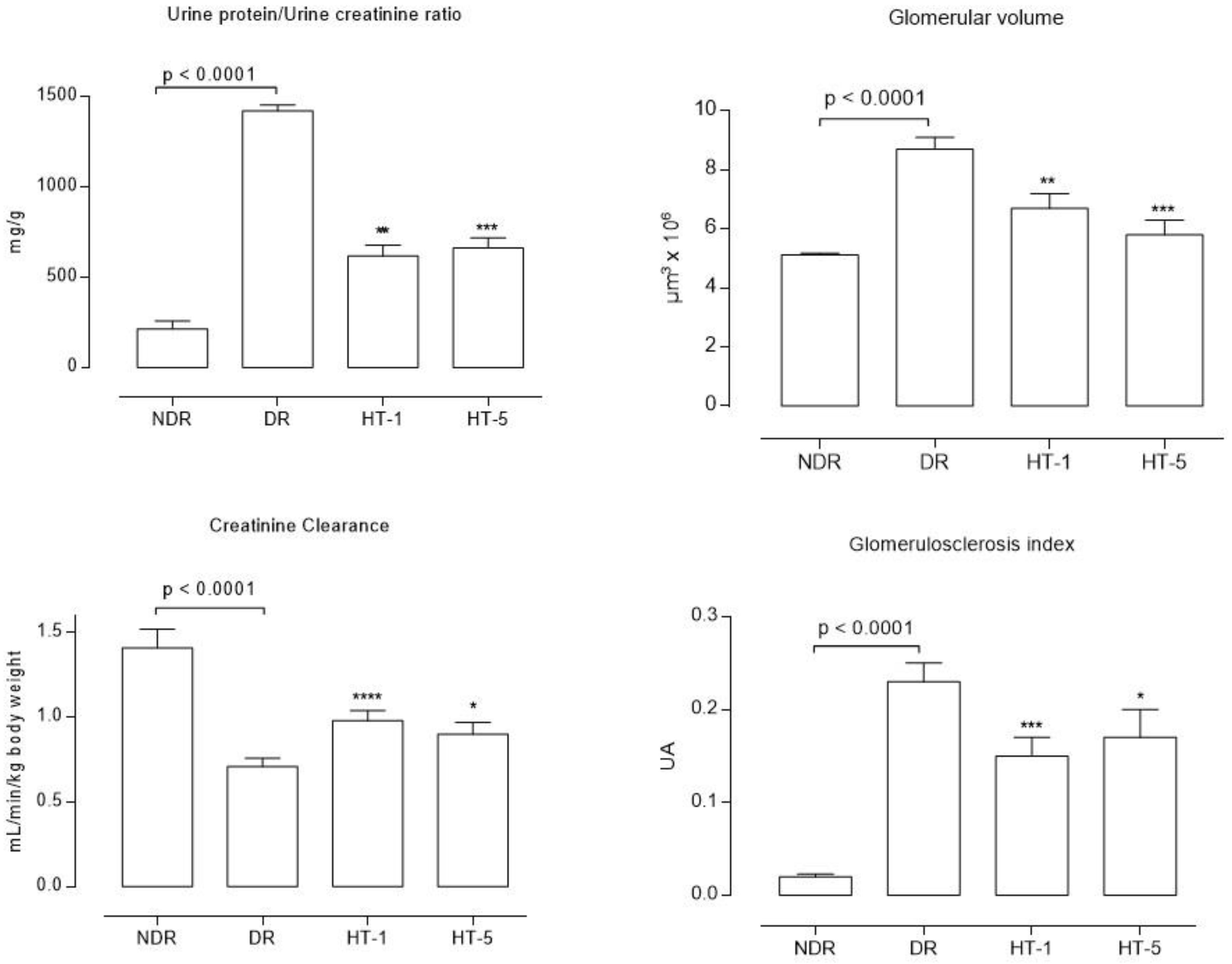
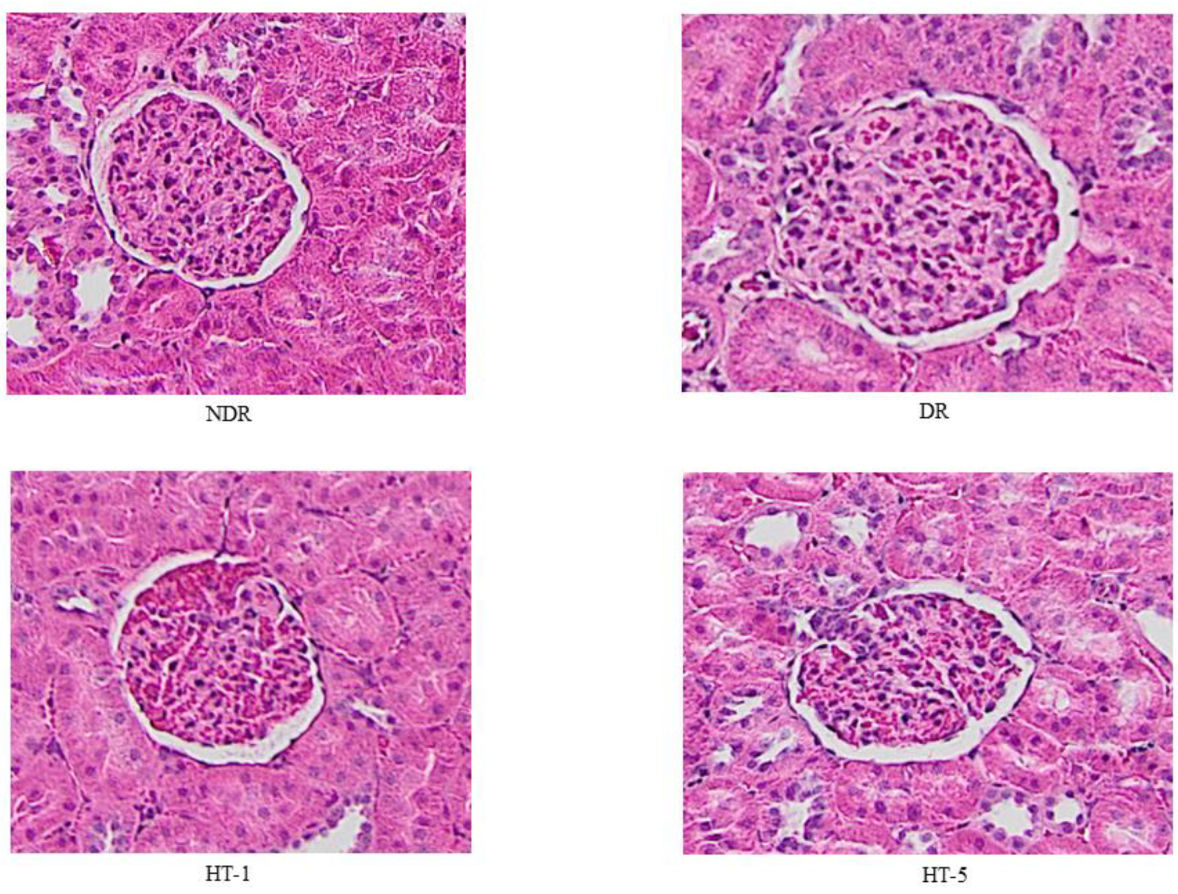
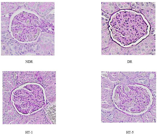
3. Results
4. Discussion
5. Conclusions
Author Contributions
Funding
Institutional Review Board Statement
Informed Consent Statement
Data Availability Statement
Acknowledgments
Conflicts of Interest
References
- NCD Risk Factor Collaboration (NCD-RisC). Worldwide trends in diabetes since 1980: A pooled analysis of 751 population-based studies with 4.4 million participants. Lancet 2016, 387, 1513–1530. [Google Scholar] [CrossRef]
- Koye, D.N.; Magliano, D.J.; Nelson, R.G.; Pavkov, M.E. The global epidemiology of diabetes and kidney disease. Adv. Chronic Kidney Dis. 2018, 25, 121–132. [Google Scholar] [CrossRef]
- Gnudi, L.; Thomas, S.M.; Viberti, G. Mechanical forces in diabetic kidney disease: A trigger for impaired glucose metabolism. J. Am. Soc. Nephrol. 2007, 18, 2226–2232. [Google Scholar] [CrossRef]
- Sagoo, M.K.; Gnudi, L. Diabetic nephropathy: An overview. Methods Mol. Biol. 2020, 2067, 3–7. [Google Scholar]
- Alicic, R.Z.; Rooney, M.T.; Tuttle, K.R. Diabetic kidney disease: Challenges, progress, and possibilities. Clin. J. Am. Soc. Nephrol. 2017, 12, 2032–2045. [Google Scholar] [CrossRef] [PubMed]
- Sagoo, M.K.; Gnudi, L. Diabetic nephropathy: Is there a role for oxidative stress? Free Radic. Biol. Med. 2018, 116, 50–63. [Google Scholar] [CrossRef]
- Al-Waili, N.; Al-Waili, H.; Al-Waili, T.; Salom, K. Natural antioxidants in the treatment and prevention of diabetic nephropathy, a potential approach that warrants clinical trials. Redox Rep. 2017, 22, 99–118. [Google Scholar] [CrossRef]
- Chauveau, P.; Aparicio, M.; Bellizzi, V.; Campbell, K.; Hong, X.; Johansson, L.; Kolko, A.; Molina, P.; Sezer, S.; Wanner, C.; et al. Mediterranean diet as the diet of choice for patients with chronic kidney disease. Nephrol. Dial. Transpl. 2018, 33, 725–735. [Google Scholar] [CrossRef] [PubMed]
- Ros, E.; Martínez-González, M.A.; Estruch, R.; Salas-Salvadó, J.; Fitó, M.; Martínez, J.A.; Corella, D. Mediterranean diet and cardiovascular health: Teachings of the PREDIMED study. Adv. Nutr. 2014, 5, 330S–336S. [Google Scholar] [CrossRef]
- Aparicio-Soto, M.; Sánchez-Hidalgo, M.; Cárdeno, A.; Rosillo, M.Á.; Sánchez-Fidalgo, S.; Utrilla, J.; Martín-Lacave, I.; Alarcón de la Lastra, C. Dietary extra virgin olive oil attenuates kidney injury in pristane-induced SLE model via activation of HO-1/Nrf-2 antioxidant pathway and suppression of JAK/STAT, NF-κB and MAPK activation. J. Nutr. Biochem. 2016, 27, 278–288. [Google Scholar] [CrossRef]
- Ghorbel, I.; Elwej, A.; Fendri, N.; Mnif, H.; Jamoussi, K.; Boudawara, T.; Grati Kamoun, N.; Zeghal, N. Olive oil abrogates acrylamide induced nephrotoxicity by modulating biochemical and histological changes in rats. Ren. Fail. 2017, 39, 236–245. [Google Scholar] [CrossRef] [PubMed]
- Serreli, G.; Deiana, M. Extra virgin olive oil polyphenols: Modulation of cellular pathways related to oxidant species and inflammation in aging. Cells 2020, 9, 478. [Google Scholar] [CrossRef] [PubMed]
- González-Correa, J.A.; Rodríguez-Pérez, M.D.; Márquez-Estrada, L.; López-Villodres, J.A.; Reyes, J.J.; Rodriguez-Gutierrez, G.; Fernández-Bolaños, J.; De La Cruz, J.P. Neuroprotective effect of hydroxytyrosol in experimental diabetic retinopathy: Relationship with cardiovascular biomarkers. J. Agric. Food Chem. 2018, 66, 637–644. [Google Scholar] [CrossRef] [PubMed]
- López-Villodres, J.A.; Abdel-Karim, M.; De La Cruz, J.P.; Rodríguez-Pérez, M.D.; Reyes, J.J.; Guzmán-Moscoso, R.; Rodriguez-Gutierrez, G.; Fernández-Bolaños, J.; González-Correa, J.A. Effects of hydroxytyrosol on cardiovascular biomarkers in experimental diabetes mellitus. J. Nutr. Biochem. 2016, 37, 94–100. [Google Scholar] [CrossRef]
- Rubio-Senent, F.; Rodríguez-Gutiérrez, G.; Lama-Muñoz, A.; Fernández-Bolaños, J. New phenolic compounds hydrothermally extracted from the olive oil by-product alperujo and their antioxidative activities. J. Agric. Food Chem. 2012, 60, 1175–1186. [Google Scholar] [CrossRef]
- Fernández-Bolaños, J.; Rodríguez, G.; Rodríguez, R.; Heredia, A.; Guillén, R.; Jiménez, A. Production in large quantities of highly purified hidroxitirosol from liquid-solid waste of two-phase olive oil processing or “Alperujo”. J. Agric. Food Chem. 2002, 50, 6804–6811. [Google Scholar] [CrossRef]
- Giribabu, N.; Karim, K.; Kilari, E.K.; Salleh, N. Phyllanthus niruri leaves aqueous extract improves kidney functions, ameliorates kidney oxidative stress, inflammation, fibrosis and apoptosis and enhances kidney cell proliferation in adult male rats with diabetes mellitus. J. Ethnopharmacol. 2017, 205, 123–137. [Google Scholar] [CrossRef]
- Costabile, G.; Della Pepa, G.; Bozzetto, L.; Annuzzi, G.; Vetrani, C.; Giacco, R.; Della Corte, G.; Conte, F.S.; Di Marino, L.; Rivellese, A.A. Urine 8-isoprostane in relation to adiposity and insulin resistance in individuals at high cardiometabolic risk. Metab. Syndr. Relat. Disord. 2015, 13, 187–191. [Google Scholar] [CrossRef]
- Lane, P.H.; Steffes, M.W.; Mauer, S.M. Estimation of glomerular volume: A comparison of four methods. Kidney Int. 1992, 41, 1085–1089. [Google Scholar] [CrossRef]
- Hamden, K.; Allouche, N.; Damak, M.; Elfeki, A. Hypoglycemic and antioxidant effects of phenolic extracts and purified hydroxytyrosol from olive mill waste in vitro and in rats. Chem. Biol. Interact. 2009, 180, 421–432. [Google Scholar] [CrossRef]
- Samir, S.M.; Sheta, H.A.; Bakry, N. Hydroxytyrosol: A prospective preventive option for diabetic nephropathy in rats. Bull. Egypt. Soc. Physiol. Sci. 2019, 39, 18–34. [Google Scholar] [CrossRef]
- Chashmi, N.A.; Emadi, S.; Khastar, H. Protective effects of hydroxytyrosol on gentamicin induced nephrotoxicity in mice. Biochem. Biophys. Res. Commun. 2017, 482, 1427–1429. [Google Scholar] [CrossRef] [PubMed]
- Capasso, G.; Di Gennaro, C.I.; Della Ragione, F.; Manna, C.; Ciarcia, R.; Florio, S.; Perna, A.; Pollastro, R.M.; Damiano, S.; Mazzoni, O.; et al. In vivo effect of the natural antioxidant hydroxytyrosol on cyclosporine nephrotoxicity in rats. Nephrol. Dial. Transplant. 2008, 23, 1186–1195. [Google Scholar] [CrossRef] [PubMed][Green Version]
- Poudyal, H.; Lemonakis, N.; Efentakis, P.; Gikas, E.; Halabalaki, M.; Andreadou, I.; Skaltsounis, L.; Brown, L. Hydroxytyrosol ameliorates metabolic, cardiovascular and liver changes in a rat model of diet-induced metabolic syndrome: Pharmacological and metabolism-based investigation. Pharmacol. Res. 2017, 17, 32–45. [Google Scholar] [CrossRef]
- DCCT/EDIC Research Group; de Boer, I.H.; Sun, W.; Cleary, P.A.; Lachin, J.M.; Molitch, M.E.; Steffes, M.W.; Zinman, B. Intensive diabetes therapy and glomerular filtration rate in type 1 diabetes. N. Engl. J. Med. 2011, 365, 2366–2376. [Google Scholar] [PubMed]
- Fiorentino, T.V.; Prioletta, A.; Zuo, P.; Folli, F. Hyperglycemia-induced oxidative stress and its role in diabetes mellitus related cardiovascular diseases. Curr. Pharm. Des. 2013, 19, 5695–5703. [Google Scholar] [CrossRef] [PubMed]
- Incalza, M.A.; D’Oria, R.; Natalicchio, A.; Perrini, S.; Laviola, L.; Giorgino, F. Oxidative stress and reactive oxygen species in endothelial dysfunction associated with cardiovascular and metabolic diseases. Vasc. Pharmacol. 2018, 100, 1–19. [Google Scholar] [CrossRef]
- Jha, J.C.; Banal, C.; Chow, B.S.M.; Cooper, M.E.; Jandeleit-Dahm, K. Diabetes and kidney disease: Role of oxidative stress. Antioxid. Redox Signal. 2016, 25, 657–684. [Google Scholar] [CrossRef]
- Reyes, J.J.; Villanueva, B.; López-Villodres, J.A.; De La Cruz, J.P.; Romero, L.; Rodríguez-Pérez, M.D.; Rodriguez-Gutierrez, G.; Fernández-Bolaños, J.; González-Correa, J.A. Neuroprotective effect of hydroxytyrosol in experimental diabetes mellitus. J. Agric. Food Chem. 2017, 65, 4378–4383. [Google Scholar] [CrossRef]
- Bertelli, M.; Kiani, A.K.; Paolacci, S.; Manara, E.; Kurti, D.; Dhuli, K.; Bushati, V.; Miertus, J.; Pangallo, D.; Baglivo, M.; et al. Hydroxytyrosol: A natural compound with promising pharmacological activities. J. Biotechnol. 2020, 309, 29–33. [Google Scholar] [CrossRef]
- Hishinuma, T.; Tsukamoto, H.; Suzuki, K.; Mizugaki, M. Relationship between thromboxane/prostacyclin ratio and diabetic vascular complications. Prostaglandins Leukot. Essent. Fatty Acids 2001, 65, 191–196. [Google Scholar] [CrossRef] [PubMed]
- Reyes, J.J.; De La Cruz, J.P.; Muñoz-Marin, J.; Guerrero, A.; Lopez-Villodres, J.A.; Madrona, A.; Espartero, J.L.; Gonzalez-Correa, J.A. Antiplatelet effect of new lipophilic hydroxytyrosol alkyl ether derivatives in human blood. Eur. J. Nutr. 2013, 52, 591–599. [Google Scholar] [CrossRef] [PubMed]
- Abdelrahman, A.M.; Al Salam, S.; Al Suleimani, Y.; Ashique, M.; Manoj, P.; Ali, B.H. Effect of levosimendan, an inodilator, on streptozotocin-induced diabetic nephropathy in rats. Eur. J. Pharmacol. 2020, 873, 172960. [Google Scholar] [CrossRef]
- Al-Rasheed, N.M.; Bassiouni, Y.A.; Hasan, I.H.; Al-Amin, M.A.; Al-Ajmi, H.N.; Mahmoud, A.M. Simvastatin ameliorates diabetic nephropathy by attenuating oxidative stress and apoptosis in a rat model of streptozotocin-induced type 1 diabetes. Biomed. Pharmacother. 2018, 105, 290–298. [Google Scholar] [CrossRef] [PubMed]
- Noce, A.; Marrone, G.; Urciuoli, S.; Di Daniele, F.; Di Lauro, M.; Pietroboni Zaitseva, A.; Di Daniele, N.; Romani, A. Usefulness of extra virgin olive oil minor polar compounds in the management of chronic kidney disease patients. Nutrients 2021, 13, 581. [Google Scholar] [CrossRef]




| Variable | NDR | DR | p vs. NDR | DR + HT-1 | p vs. DR | DR + HT-5 | p vs. DR |
|---|---|---|---|---|---|---|---|
| Serum | |||||||
| Blood glucose (mg/dL) | 90.0 ± 5.5 | 471 ± 9.9 | 0.0001 | 442 ± 30.5 | n.s. | 451 ± 42.7 | n.s. |
| Creatinine (mg/dL) | 0.3 ± 0.01 | 0.7 ± 0.03 | 0.0001 | 0.4 ± 0.04 | 0.001 | 0.5 ± 0.04 | 0.0001 |
| Protein (g/dL) | 5.7 ± 0.07 | 5.5 ± 0.1 | n.s. | 5.2 ± 0.05 | n.s. | 5.6 ± 0.2 | n.s. |
| Albumin (g/dL) | 1.5 ± 0.08 | 1.4 ± 0.1 | n.s. | 1.4 ± 0.08 | n.s. | 1.5 ± 0.1 | n.s. |
| Urine | |||||||
| Creatinine (mg/dL) | 103 ± 3.7 | 60.6 ± 3.2 | 0.0001 | 72.5 ± 3.1 | 0.01 | 74.7 ± 3.8 | 0.001 |
| Proteinuria (mg/L) | 13.1 ± 0.8 | 91.9 ± 4.7 | 0.0001 | 57.8 ± 5.8 | 0.004 | 37.7 ± 3.4 | 0.0001 |
| Proteinuria (mg/24 h) | 31.1 ± 8.1 | 185 ± 17.5 | 0.005 | 59.4 ± 7.0 | 0.004 | 50.0 ± 2.65 | 0.008 |
| Glucosuria (mg/L) | 0.0 ± 0.0 | 4065 ± 1611 | 0.0001 | 1958 ± 643 | n.s. | 4752 ± 1803 | n.s. |
| pH | 7.8 ± 0.6 | 7.3 ± 0.8 | n.s. | 6.9 ± 1.1 | n.s. | 7.5 ± 0.9 | n.s. |
| 8-isoprostane (ng/mg creatinine) | 6.9 ± 0.6 | 49.1 ± 0.6 | 0.0001 | 5.2 ± 0.5 | 0.0001 | 5.5 ± 0.5 | 0.0001 |
| 11-dH-TxB2 (ng/mg creatinine) | 4.1 ± 0.8 | 9.8 ± 0.6 | 0.003 | 6.4 ± 1.0 | 0.045 | 4.3 ± 0.8 | 0.009 |
| 6-keto-PGF1α (pg/mg creatinine) | 13.8 ± 2.1 | 7.0 ± 0.5 | 0.045 | 8.4 ± 0.7 | n.s. | 11.8 ± 1.3 | 0.01 |
| Variable | NDR | DR | p vs. NDR | HT-1 | p vs. DR | HT-5 | p vs. DR |
|---|---|---|---|---|---|---|---|
| Serum | |||||||
| TBARS (nmol/mL) | 4.2 ± 0.4 | 8.44 ± 0.4 | 0.0001 | 6.9 ± 0.8 | 0.023 | 4.3 ± 0.3 * | 0.0001 |
| oxLDL (ng/mL) | 14.6 ± 1.6 | 24.4 ± 0.7 | 0.0001 | 21.5 ± 1.7 | n.s. | 13.3 ± 0.5 * | 0.0001 |
| 8-OHdG (ng/mL) | 16.1 ± 0.2 | 26.3 ± 0.8 | 0.0001 | 19.6 ± 1.7 | 0.010 | 15.4 ± 0.7 | 0.0001 |
| GHS (nmol/mL) | 127 ± 3.9 | 91.3 ± 3.9 | 0.0001 | 109 ± 5.7 | 0.030 | 117 ± 7.8 | 0.02 |
| GSHpx (nmol/min/mL) | 7.8 ± 0.6 | 19.0 ± 1.8 | 0.0001 | 11.3 ± 1.3 | 0.005 | 11.6 ± 1.7 | 0.02 |
| TAC (U/mL) | 17.9 ± 0.3 | 13.2 ± 0.4 | 0.0001 | 16.6 ± 0.3 | 0.001 | 16.6 ± 0.7 | 0.01 |
| 3-nitrotyrosine (pg/mL) | 1.5 ± 0.05 | 6.4 ± 0.3 | 0.0001 | 3.2 ± 0.1 | 0.0001 | 3.5 ± 0.2 | 0.0001 |
| Kidney | |||||||
| TBARS (nmol/mg protein) | 35.7 ± 3.4 | 135 ± 14.2 | 0.001 | 61.0 ± 4.4 | 0.002 | 44.9 ± 1.8 | 0.002 |
| 8-OHdG (ng/0.1 g tissue) | 7.1 ± 0.3 | 12.6 ± 0.3 | 0.0001 | 9.0 ± 0.3 | 0.0001 | 8.2 ± 0.3 | 0.0001 |
| GHS (µmol/0.1 g tissue) | 475 ± 12.8 | 150 ± 10.1 | 0.0001 | 289 ± 25.1 | 0.002 | 365 ± 20.5 | 0.0001 |
| GSHpx (nmol/min/0.1 g tissue) | 91.4 ± 3.4 | 65.0 ± 3.1 | 0.0001 | 56.4 ± 4.3 | n.s. | 63.9 ± 3.2 | n.s. |
| TAC (U/0.1 g tissue) | 87.2 ± 3.0 | 40.2 ± 7.6 | 0.001 | 58.5 ± 7.0 | n.s. | 70.1 ± 15.1 | n.s. |
| 3-nitrotyrosine (pg/0.1 g tissue) | 20.7 ± 0.7 | 117 ± 6.1 | 0.0001 | 81.6 ± 12.0 | 0.032 | 41.6 ± 7.6 * | 0.001 |
| Variable | GV | CrCl | Prot/Creat | |||
|---|---|---|---|---|---|---|
| Pc | p | Pc | p | Pc | p | |
| Serum | ||||||
| TBARS | 0.846 | 0.0001 | −0.686 | 0.005 | 0.732 | 0.003 |
| 8-HdG | 0.888 | 0.0001 | −0.587 | 0.021 | 0.764 | 0.001 |
| oxLDL | 0.767 | 0.0001 | −0.560 | 0.030 | 0.597 | 0.024 |
| GSH | −0.829 | 0.0001 | 0.639 | 0.010 | −0.810 | 0.0001 |
| GSHpx | 0.820 | 0.0001 | −0.736 | 0.002 | 0.786 | 0.001 |
| TAC | −0.833 | 0.0001 | 0.723 | 0.002 | −0.889 | 0.0001 |
| 3-NTy | 0.913 | 0.0001 | −0.875 | 0.0001 | 0.960 | 0.0001 |
| Kidney | ||||||
| TBARS | 0.926 | 0.0001 | −0.681 | 0.005 | 0.918 | 0.0001 |
| 8-HdG | 0.948 | 0.0001 | −0.780 | 0.001 | 0.935 | 0.0001 |
| GSH | −0.953 | 0.0001 | 0.816 | 0.0001 | −0.861 | 0.0001 |
| GSHpx | −0.546 | 0.035 | 0.724 | 0.002 | −0.478 | 0.084 |
| TAC | −0.783 | 0.001 | 0.707 | 0.003 | −0.709 | 0.004 |
| 3-NTy | 0.844 | 0.0001 | −0.719 | 0.003 | 0.769 | 0.001 |
| Urine | ||||||
| 8-isoprostane | 0.856 | 0.0001 | −0.596 | 0.015 | 0.859 | 0.0001 |
| 11-dHTxB2 | 0.831 | 0.0001 | −0.602 | 0.023 | 0.700 | 0.005 |
| 6-keto-PGF1α | −0.636 | 0.015 | 0.595 | 0.025 | −0.546 | 0.043 |
Publisher’s Note: MDPI stays neutral with regard to jurisdictional claims in published maps and institutional affiliations. |
© 2021 by the authors. Licensee MDPI, Basel, Switzerland. This article is an open access article distributed under the terms and conditions of the Creative Commons Attribution (CC BY) license (https://creativecommons.org/licenses/by/4.0/).
Share and Cite
Rodríguez-Pérez, M.D.; López-Villodres, J.A.; Arrebola, M.M.; Martín-Aurioles, E.; Fernández-Prior, Á.; Bermúdez-Oria, A.; Ríos, M.C.; De La Cruz, J.P.; González-Correa, J.A. Nephroprotective Effect of the Virgin Olive Oil Polyphenol Hydroxytyrosol in Type 1-like Experimental Diabetes Mellitus: Relationships with Its Antioxidant Effect. Antioxidants 2021, 10, 1783. https://doi.org/10.3390/antiox10111783
Rodríguez-Pérez MD, López-Villodres JA, Arrebola MM, Martín-Aurioles E, Fernández-Prior Á, Bermúdez-Oria A, Ríos MC, De La Cruz JP, González-Correa JA. Nephroprotective Effect of the Virgin Olive Oil Polyphenol Hydroxytyrosol in Type 1-like Experimental Diabetes Mellitus: Relationships with Its Antioxidant Effect. Antioxidants. 2021; 10(11):1783. https://doi.org/10.3390/antiox10111783
Chicago/Turabian StyleRodríguez-Pérez, María Dolores, Juan Antonio López-Villodres, María Monsalud Arrebola, Esther Martín-Aurioles, África Fernández-Prior, Alejandra Bermúdez-Oria, María Carmen Ríos, José Pedro De La Cruz, and José Antonio González-Correa. 2021. "Nephroprotective Effect of the Virgin Olive Oil Polyphenol Hydroxytyrosol in Type 1-like Experimental Diabetes Mellitus: Relationships with Its Antioxidant Effect" Antioxidants 10, no. 11: 1783. https://doi.org/10.3390/antiox10111783
APA StyleRodríguez-Pérez, M. D., López-Villodres, J. A., Arrebola, M. M., Martín-Aurioles, E., Fernández-Prior, Á., Bermúdez-Oria, A., Ríos, M. C., De La Cruz, J. P., & González-Correa, J. A. (2021). Nephroprotective Effect of the Virgin Olive Oil Polyphenol Hydroxytyrosol in Type 1-like Experimental Diabetes Mellitus: Relationships with Its Antioxidant Effect. Antioxidants, 10(11), 1783. https://doi.org/10.3390/antiox10111783

