Diagnosis and Surgical Treatment of Drug-Resistant Epilepsy
Abstract
1. Introduction
2. New Classification of Seizure Types
3. Drug-Resistant (Refractory) Epilepsy
4. Presurgical Evaluation
4.1. Scalp Video-EEG Monitoring
4.2. Brain Imaging Techniques
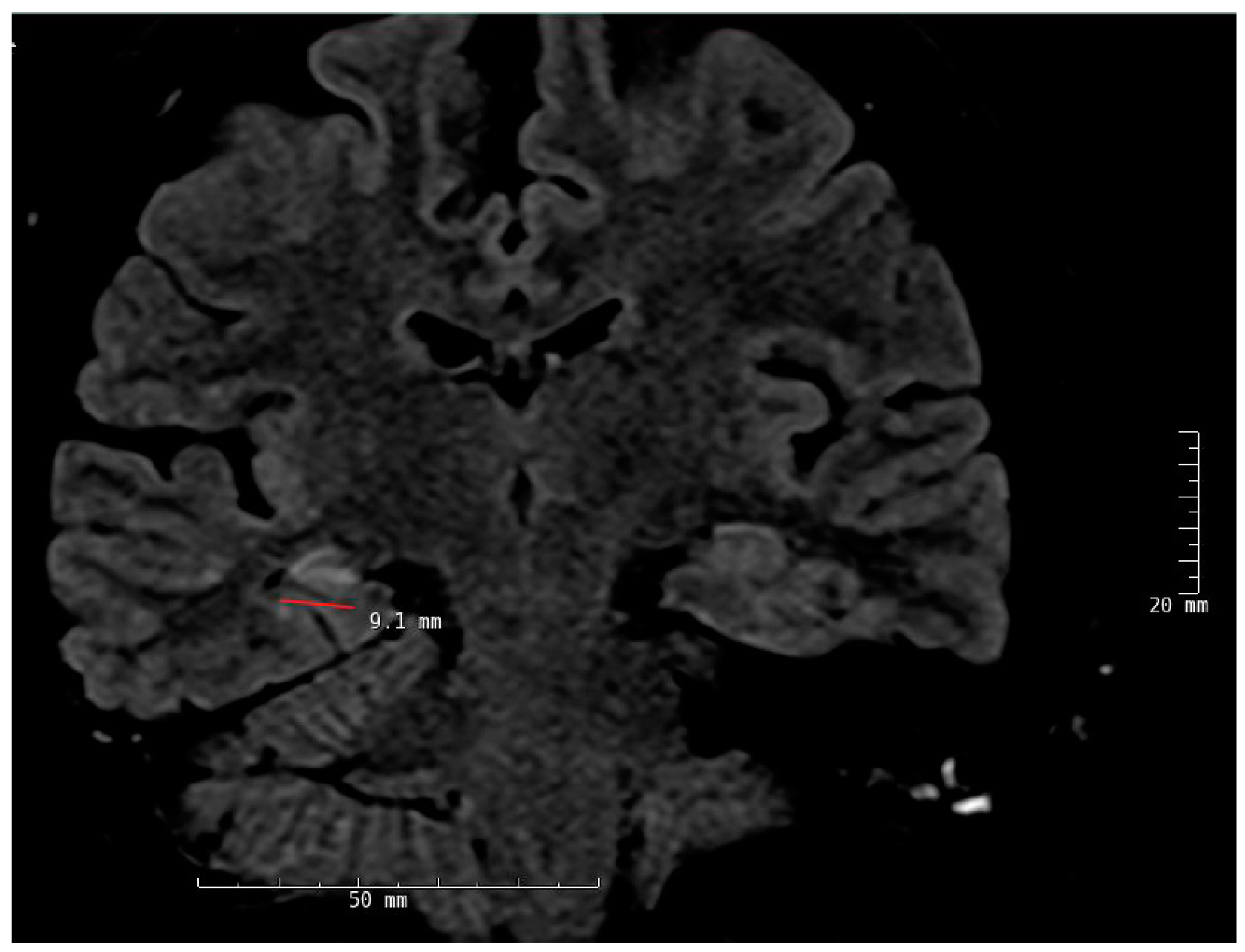
4.2.1. MRI (Magnetic Resonance Imaging)
4.2.2. SPECT Scan (Single-Photon Emission Computerized Tomography)
4.2.3. FDG-PET Scan (Fluorodeoxyglucose Positron Emission Tomography)
4.2.4. MEG (Magnetoencephalography)
4.2.5. fMRI (Functional MRI)
4.2.6. Intracarotid Amobarbital Injection Procedure (IAP, Wada Test)
4.2.7. Neuropsychological Testing
5. Intracranial EEG Recording (Intracranial Electroencephalography; iEEG)
5.1. Subdural Electrodes
5.2. Stereoelectroencephalography (SEEG)
5.3. Intracranial Seizure Lateralization and Localization
5.4. Electrical Stimulation (Cortical) Mapping
6. Epilepsy Surgery
6.1. Surgery of Temporal Lobe Epilepsy
6.2. Laser Ablation Surgery
6.3. Corpus Callosotomy
6.4. Multiple Subpial Transection Procedure
6.5. Hemispherectomy
7. Non-Resective Surgical Treatments
7.1. Vagus Nerve Stimulation (VNS)
7.2. Responsive Neurostimulation (RNS)
7.3. Stimulation of the Anterior Nucleus of Thalamus (Deep Brain Stimulation, DBS)
8. Postsurgical Outcome
8.1. Mesial Temporal Lobe Epilepsy with Hippocampal Sclerosis
8.1.1. Standard (en Block) Anterior Temporal Lobectomy (ATL)
8.1.2. Selective Amygdalohippocampectomy (SAH)
9. Neurocognitive Deficits Following ATL
10. Conclusions
Supplementary Materials
Conflicts of Interest
References
- Wiebe, S.; Blume, W.T.; Girvin, J.P.; Eliasziw, M.; Effectiveness and Efficiency of Surgery for Temporal Lobe Epilepsy Study Group. A randomized, controlled trial of surgery for temporal lobe epilepsy. N. Engl. J. Med. 2001, 345, 311–318. [Google Scholar] [CrossRef] [PubMed]
- Engel, J., Jr. Why is there still doubt to cut it out? Epilepsy Curr. 2013, 13, 198–204. [Google Scholar] [CrossRef] [PubMed]
- Engel, J. Another Good Reason to Consider Surgical Treatment for Epilepsy More Often and Sooner. Arch. Neurol. 2011, 68, 707–708. [Google Scholar] [CrossRef] [PubMed]
- Tellez-Zenteno, J.F.; Dhar, R.; Wiebe, S. Long-term seizure outcomes following epilepsy surgery: A systematic review and meta-analysis. Brain 2005, 128, 1188–1198. [Google Scholar] [CrossRef] [PubMed]
- Scheffer, I.E.; Berkovic, S.; Capovilla, G.; Connolly, M.B.; Frence, J.; Guihoto, L.; Hirsch, E.; Jain, S.; Mathern, G.W.; Moshe, S.L.; et al. ILAE classification of the epilepsies: Position paper of the ILAE Commission for Classification and Terminology. Epilepsia 2017, 58, 512–521. [Google Scholar] [CrossRef] [PubMed]
- Fisher, R.S.; Cross, J.H.; D’Souza, C.; French, J.A.; Haut, S.R.; Hiqurashi, N.; Hisch, E.; Jansen, F.E.; Laqae, L.; Moshe, S.L.; et al. Instruction manual for the ILAE 2017 operational classification of seizure types. Epilepsia 2017, 58, 531–542. [Google Scholar] [CrossRef] [PubMed]
- Kwan, P.; Brodie, M.J. Early Identification of Refractory Epilepsy. N. Engl. J. Med. 2000, 342, 314–319. [Google Scholar] [CrossRef] [PubMed]
- Kwan, P.; Arzimanoglou, A.; Berg, A.T.; Brodie, M.J.; Hauser, A.W.; Mathern, G.; Moshé, S.L.; Perucca, E.; Wiebe, S.; French, J. Definition of drug resistant epilepsy: Consensus proposal by the ad hoc Task Force of the ILAE Commission on Therapeutic Strategies. Epilepsia 2010, 51, 1069–1077. [Google Scholar] [CrossRef] [PubMed]
- Lüders, H.O.; Najm, I.; Nair, D.; Widdess-Walsh, P.; Bingman, W. The epileptogenic zone: General principles. Epileptic Disord. 2006, 8 (Suppl. 2), S1–S9. [Google Scholar] [PubMed]
- Carreño, M.; Lüders, H.O. General Principles of Presurgical Evaluation. In Epilepsy Surgery, 2nd ed.; Lüders, H.O., Comair, Y.G., Eds.; Lippincott Williams & Wilkins: Philadelphia, PA, USA, 2001; pp. 185–200. [Google Scholar]
- Spencer, S.S.; Sperling, M.R.; Shewmon, D.A. Intracranial electrodes. In Epilepsy: A Comprehensive Textbook; Engel, J., Pedley, T.A., Eds.; Lippincott-Raven: Philadelphia, PA, USA, 1997; pp. 1719–1747. [Google Scholar]
- Cooper, R.; Winter, A.L.; Crow, H.J.; Grey Walter, W. Comparison of subcortical, cortical and scalp activity using chronically indwelling electrodes in man. Electroencephalogr. Clin. Neurophysiol. 1964. [Google Scholar] [CrossRef]
- Schulz, R.; Lüders, H.O.; Hoppe, M.; Tuxhorn, I.; May, T.; Ebner, A. Interictal EEG and ictal scalp EEG propagation are highly predictive of surgical outcome in mesial temporal lobe epilepsy. Epilepsia 2000, 41, 564–570. [Google Scholar] [CrossRef] [PubMed]
- Pataraia, E.; Lurger, S.; Serles, W.; Lindinger, G.; Aull, S.; Leutmezer, F.; Bacher, J.; Olbrich, A.; Czech, T.; Novak, K.; et al. Ictal scalp EEG in unilateral mesial temporal lobe epilepsy. Epilepsia 1998, 39, 608–614. [Google Scholar] [CrossRef] [PubMed]
- Kuzniecky, R.I. Neuroimaging of Epilepsy: Therapeutic Implications. NeuroRx 2005, 2, 384–393. [Google Scholar] [CrossRef] [PubMed]
- Boxerman, J.L.; Hawash, K.; Bali, B.; Clarke, T.; Rogg, J.; Pal, D.K. Is Rolandic Epilepsy Associated with Abnormal Findings On Cranial MRI? Epilepsy Res. 2007, 75, 180–185. [Google Scholar] [CrossRef] [PubMed]
- Spencer, D. MRI (Minimum Recommended Imaging) in Epilepsy. Epilepsy Curr. 2014, 14, 261–263. [Google Scholar] [CrossRef] [PubMed]
- Bernasconi, A. Magnetic resonance imaging in intractable epilepsy: Focus on structural image analysis. In Advances in Neurology; Blume, W., Carlen, P.L., Wiebe, S., Young, A.B., Padjen, A., Starrveld, E., Eds.; Lippincott-Williams: Philadelphia, PA, USA, 2005; pp. 273–278. [Google Scholar]
- Chassoux, F.; Landre, E.; Mellerio, C.; Turak, B.; Mann, M.W.; Daumas-Duport, C.; Chiron, C.; Devaux, B. Type II focal cortical dysplasia: Electroclinical phenotype and surgical outcome related to imaging. Epilepsia 2012, 53, 349–358. [Google Scholar] [CrossRef] [PubMed]
- Adams, C.; Hwang, P.A.; Gilday, D.L.; Armstrong, D.C.; Becker, L.E.; Hoffman, H.J. Comparison of SPECT, EEG, CT, MRI, and pathology in partial epilepsy. Pediatr. Neurol. 1992, 8, 97–103. [Google Scholar] [CrossRef]
- Devous, M.D., Sr.; Thisted, R.A.; Morgan, G.F.; Leroy, R.F.; Rowe, C.C. SPECT brain imaging in epilepsy: A meta-analysis. J. Nucl. Med. 1998, 39, 285–293. [Google Scholar] [PubMed]
- Spencer, S.S. The relative contributions of MRI SPECT and PET imaging in epilepsy. Epilepsia 1994, 35, S72–S89. [Google Scholar] [CrossRef] [PubMed]
- Weil, S.; Noachtar, S.; Arnold, S.; Yousry, T.A.; Winkler, P.A.; Tatsch, K. Ictal ECD-SPECT differentiates between temporal and extratemporal epilepsy: Confirmation by excellent postoperative seizure control. Nucl. Med. Commun. 2001, 22, 233–237. [Google Scholar] [CrossRef] [PubMed]
- Ingvar, D.H. Epilepsy related to cerebral blood flow and metabolism. Acta Psychiatr. Scand. Suppl. 1984, 313, 21–26. [Google Scholar] [CrossRef] [PubMed]
- Sunhee, K.; Mountz, J.M. Review Article: SPECT Imaging of Epilepsy: An Overview and Comparison with F-18 FDG PET. Int. J. Mol. Imaging 2011, 2011, 813028. [Google Scholar] [CrossRef]
- Engel, J.J.; Brown, W.J.; Kuhl, D.E.; Phelps, M.E.; Mazziotta, J.C.; Crandall, P.H. Pathological findings underlying focal temporal lobe hypometabolism in partial epilepsy. Ann. Neurol. 1982, 12, 518–528. [Google Scholar] [CrossRef] [PubMed]
- Meadow, K.J.; Loring, D.W. The Wada test for language and memory lateralization. Neurology 2005, 65, 659. [Google Scholar]
- Willmann, O.; Wennberg, R.; May, T.; Woermann, F.G.; Pohlmann-Eden, B. The contribution of 18F-FDG PET in preoperative epilepsy surgery evaluation for patients with temporal lobe epilepsy A meta-analysis. Seizure 2007, 16, 509–520. [Google Scholar] [CrossRef] [PubMed]
- Wheless, J.W.; Willmore, L.J.; Breier, J.I.; Kataki, M.; Smith, J.R.; King, D.W.; Meador, K.J.; Park, Y.D.; Loring, D.W.; Clifton, G.L.; et al. A comparison of magnetoencephalography, MRI and V-EEG in patients evaluated for epilepsy surgery. Epilepsia 1999, 40, 931–941. [Google Scholar] [CrossRef] [PubMed]
- Heers, M.; Rampp, S.; Kaltenhäuser, M.; Pauli, E.; Rauch, C.; Dölken, M.T.; Stefan, H. Detection of epileptic spikes by magnetoencephalography and electroencephalography after sleep deprivation. Seizure 2010, 19, 397–403. [Google Scholar] [CrossRef] [PubMed]
- Abou-Khalil, B. An update on determination of language dominance in screening for epilepsy surgery: The Wada test and newer noninvasive alternatives. Epilepsia 2007, 48, 442–455. [Google Scholar] [CrossRef] [PubMed]
- Klöppel, S.; Büchel, C. Alternatives to the Wada test: A critical view of functional magnetic resonance imaging in preoperative use. Curr. Opin. Neurol. 2005, 18, 418–423. [Google Scholar] [CrossRef] [PubMed]
- Binder, J.R.; Swanson, S.J.; Hammeke, T.A.; Morris, G.L.; Mueller, W.M.; Fischer, M.; Benbadis, S.; Frost, J.A.; Rao, S.M.; Hauqhton, V.M. Determination of language dominance using functional MRI: A comparison with the Wada test. Neurology 1996, 46, 978–984. [Google Scholar] [CrossRef] [PubMed]
- Powell, H.W.; Duncan, J.S. Functional magnetic resonance imaging for assessment of language and memory in clinical practice. Curr. Opin. Neurol. 2005, 18, 161–166. [Google Scholar] [CrossRef] [PubMed]
- Sabsevitz, D.S.; Swanson, S.J.; Hammeke, T.A.; Spanaki, M.V.; Possing, E.T.; Morris, G.L.; Mueller, W.M.; Binder, J.R. Use of preoperative functional neuroimaging to predict language deficits from epilepsy surgery. Neurology 2003, 60, 1788–1792. [Google Scholar] [CrossRef] [PubMed]
- Binder, J.R.; Sabsevitz, D.S.; Swanson, S.J.; Hammeke, T.A.; Raghavan, M.; Mueller, W.M. Use of preoperative functional MRI to predict verbal memory decline after temporal lobe epilepsy surgery. Epilepsia 2008, 49, 1377–1394. [Google Scholar] [CrossRef] [PubMed]
- Lehéricy, S.; Cohen, L.; Bazin, B.; Samson, S.; Giacomini, E.; Rougetet, R.; Hertz-Pannier, L.; Le Bihan, D.; Marsault, C.; Baulac, M. Functional MR evaluation of temporal and frontal language dominance compared with the Wada test. Neurology 2000, 54, 1625–1633. [Google Scholar] [CrossRef] [PubMed]
- Dupont, S. Can functional MRI replace the Wada test? Neurochirurgie 2008, 54, 208–211. [Google Scholar] [CrossRef] [PubMed]
- Constable, R.T.; Carpentier, A.; Pugh, K.; Westerveld, M.; Oszunar, Y.; Spencer, D.D. Investigation of the hippocampal formation using a randomized event-related paradigm and z-shimmed functional MRI. Neuroimage 2000, 12, 55–62. [Google Scholar] [CrossRef] [PubMed]
- Binder, J.R. Functional MRI is a valid noninvasive alternative to Wada testing. Epilepsy Behav. 2011, 20, 214–222. [Google Scholar] [CrossRef] [PubMed]
- Woermann, F.G.; Jokeit, H.; Luerding, R.; Freitag, H.; Schulz, R.; Guertler, S.; Okujava, M.; Wolf, P.; Tuxhorn, I.; Ebner, A. Language lateralization by Wada test and fMRI in 100 patients with epilepsy. Neurology 2003, 61, 699–701. [Google Scholar] [CrossRef] [PubMed]
- Wada, J.A. A new method for determination of the side of cerebral dominance: A preliminary report on the intra-carotid injection of sodium amytal in man. Igaku Seibutsugaku 1949, 14, 221–222. [Google Scholar]
- Simkins-Bullock, J. Beyond speech lateralization: A review of the variability, reliability, and validity of the intracarotid amobarbital procedure and its nonlanguage uses in epilepsy surgery candidates. Neuropsychol. Rev. 2000, 10, 41–74. [Google Scholar] [CrossRef] [PubMed]
- Haag, A.; Knake, S.; Hamer, H.M.; Boesebeck, F.; Freitag, H.; Schulz, R.; Baum, P.; Helmstaedter, C.; Wellmer, J.; Urbach, H.; et al. The Wada test in Austrian, Dutch, German, and Swiss epilepsy centers from 2000 to 2005: A review of 1421 procedures. Epilepsy Behav. 2008, 13, 83–89. [Google Scholar] [CrossRef] [PubMed]
- Bauer, P.R.; Reitsma, J.B.; Houweling, B.M.; Ferrier, C.H.; Ramsey, N.F. Can fMRI safely replace the Wada test for preoperative assessment of language lateralisation? A meta-analysis and systematic review. J. Neurol. Neurosurg. Psychiatry 2014, 85, 581–588. [Google Scholar] [CrossRef] [PubMed]
- Dade, L.A.; Jones-Gotman, M. Sodium amobarbital memory tests: What do they predict? Brain Cogn. 1997, 33, 189–209. [Google Scholar] [CrossRef] [PubMed][Green Version]
- Loring, D.W.; Bowden, S.C.; Lee, G.P.; Meadow, K.J. Diagnostic utility of WADA memory Asymmetries: Sensitivity, specificity and likelihood ratio characterization. Neuropsychology 2009, 23, 687–693. [Google Scholar] [CrossRef] [PubMed]
- Curot, J.; Denuelle, M.; Busigny, T.; Barragan-Jason, G.; Kany, M.; Tall, P.; Marlat, F.; Fabre, N.; Valton, L. Bilateral Wada test: Amobarbital or propofol? Seizure 2014, 23, 122–128. [Google Scholar] [CrossRef] [PubMed]
- Möddel, G.; Lineweaver, T.; Schuele, S.U.; Reinholz, J.; Loddenkemper, T. Atypical language lateralization in epilepsy patients. Epilepsia 2009, 50, 1505–1516. [Google Scholar] [CrossRef] [PubMed]
- Gilmore, R.L.; Heilman, K.M.; Schmidt, R.P.; Fennell, E.M.; Quisling, R. Anosognosia during Wada testing. Neurology 1992, 42, 925–927. [Google Scholar] [CrossRef] [PubMed]
- Andelman, F.; Fried, I.; Neufeld, M.Y. Quality of life self-assessment as a function of lateralization of lesion in candidates for epilepsy surgery. Epilepsia 2001, 42, 549–555. [Google Scholar] [CrossRef] [PubMed]
- Andelman, F.; Neufeld, M.Y.; Fried, L. Contribution of neuropsychology to epilepsy surgery. Isr. J. Psychiatry Relat. Sci. 2004, 41, 125–132. [Google Scholar] [PubMed]
- Jones-Gotman, M.; Smith, M.L.; Zatorre, R.J. Neuropsychological testing for localizing and lateralizaing the epileptogenic region. In Surgical Treatment of the Epilepsies, 2nd ed.; Engel, J., Jr., Ed.; Raven Press, Ltd.: New York, NY, USA, 1993; pp. 245–261. [Google Scholar]
- Raspall, T.; Donate, M.; Boget, T.; Carreno, M.; Donaire, A.; Agudo, R.; Bargallo, N.; Rumia, J.; Setoain, X.; Pintor, L.; et al. Neuropsychological tests with lateralizing value in patients with temporal lobe epilepsy: Reconsidering material-specific theory. Seizure 2005, 14, 569–576. [Google Scholar] [CrossRef] [PubMed]
- Squire, L.R.; Zola, S.M. Structure and function of declarative and non-declarative memory systems. Proc. Natl. Acad. Sci. USA 1996, 93, 13515–13522. [Google Scholar] [CrossRef] [PubMed]
- Jenssen, S.; Liporace, J.; Nei, M.; O′Connor, M.J.; Sperling, M.R. Value of non-invasive testing when there are independent bitemporal seizures in the scalp EEG. Epilepsy Res. 2006, 68, 115–122. [Google Scholar] [CrossRef] [PubMed]
- Spencer, S.S.; Nguyen, D.K.; Duckrow, R.B. Invasive EEG in presurgical evaluation of epilepsy. In The Treatment of Epilepsy, 3rd ed.; Shoruon, S., Perucca, E., Engel, J., Jr., Eds.; Wiley Blackwell: West Sussex, UK, 2009; pp. 767–798. [Google Scholar]
- Schiller, Y.; Cascino, G.D.; Sharbrough, F.W. Chronic intracranial EEG monitoring for localizing the epileptogenic zone: An electroclinical correlation. Epilepsia 1998, 39, 1302–1308. [Google Scholar] [CrossRef] [PubMed]
- Engel, J.; Van Ness, P.C.; Rasmussen, T.B.; Ojemann, L.M. Outcome with respect to epileptic seizures. In Surgical Treatment of the Epilepsies; Engel, J., Jr., Ed.; Raven Press: New York, NY, USA, 1993; pp. 609–621. [Google Scholar]
- Fisher, R.S.; Webber, W.R.; Lesser, R.P.; Arroyo, S.; Uamatsu, S. High-frequency EEG activity at the start of seizures. Clin. Neurophysiol. 1992, 9, 441–448. [Google Scholar]
- Gloor, P. Preoperative electroencephalographic investigation in temporal lobe epilepsy: Extracranial and intracranial recordings. Can. J. Neurol. Sci. 1991, 18, 554–558. [Google Scholar] [CrossRef] [PubMed]
- Kaiboriboon, K.; Malkhachroum, A.M.; Zrik, A.; Daif, A.; Schiltz, N.M.; Labiner, D.M.; Lhatoo, S.D. Epilepsy surgery in the United States: Analysis of data from the national association of epilepsy centers. Epilepsy Res. 2015, 116, 105–109. [Google Scholar] [CrossRef] [PubMed]
- Wong, C.H.; Birkett, J.; Byth, K.; Dexter, M.; Somerville, E.; Gill, D.; Chaseling, R.; Fearnside, M.; Bleasel, A. Risk factors for complications during intracranial electrode recording in presurgical evaluation of drug resistant partial epilepsy. Acta Neurochir. (Wien) 2009, 151, 37–50. [Google Scholar] [CrossRef] [PubMed]
- Barnett, G.H.; Burgess, R.C.; Awad, I.A.; Skipper, G.J.; Edwards, C.R.; Luders, H. Epidural peg electrodes for the presurgical evaluation of intractable epilepsy. Neurosurgery 1990, 27, 113–115. [Google Scholar] [CrossRef] [PubMed]
- Bancaud, J.; Dell, M.B. Technics and method of stereotaxic functional exploration of the brain structures in man (cortex, subcortex, central gray nuclei). Rev. Neurol. 1959, 101, 213–227. (In French) [Google Scholar] [PubMed]
- Jeha, L.E.; Najm, I.; Bingaman, W.; Dinner, D.; Widdess-Walsh, P.; Luders, H. Surgical outcome and prognostic factors of frontal lobe epilepsy surgery. Brain 2007, 130, 574–584. [Google Scholar] [CrossRef] [PubMed]
- Cossu, M.; Chabardes, S.; Hoffmann, D.; Lo Russo, G. Presurgical evaluation of intractable epilepsy using stereo-electro-encephalography methodology: Principles, technique and morbidity. Neurochirurgie 2008, 54, 367–373. (In French) [Google Scholar] [CrossRef] [PubMed]
- Tanriverdi, T.; Ajlan, A.; Poulin, N.; Olivier, A. Morbidity in epilepsy surgery: An experience based on 2449 epilepsy surgery procedures from a single institution. J. Neurosurg. 2009, 110, 1111–1123. [Google Scholar] [CrossRef] [PubMed]
- Guenot, M.; Isnard, J. Epilepsy and insula. Neurochirurgie 2008, 54, 374–381. [Google Scholar] [CrossRef] [PubMed]
- Gonzalez-Martinez, J. The Stereo-Electroencephalography: The Epileptogenic Zone. J. Clin. Neurophysiol. 2016, 33, 522–529. [Google Scholar] [CrossRef] [PubMed]
- Bulacio, J.C.; Chauvel, P.; McGonigal, A. Stereoelectroencephalography: Interpretation. J. Clin. Neurophysiol. 2016, 33, 503–510. [Google Scholar] [CrossRef] [PubMed]
- Wu, S.; Kunhi Veedu, H.P.; Lhatoo, S.D.; Kouberssi, M.Z.; Miller, J.P.; Luders, H.O. Role of ictal baseline shifts and ictal high-frequency oscillations in stereo-electroencephalography analysis of mesial temporal lobe seizures. Epilepsia 2014, 55, 690–698. [Google Scholar] [CrossRef] [PubMed]
- Chassoux, F.; Devaux, B.; Landré, E.; Turak, B.; Nataf, F.; Varlet, P.; Chodkiewicz, J.P.; Daumas-Duport, C. Stereoelectroencephalography in focal cortical dysplasia A 3D approach to delineating the dysplastic cortex. Brain 2000, 123, 1733–1751. [Google Scholar] [CrossRef] [PubMed]
- Chabardès, S.; Kahane, P.; Minotti, L.; Tassi, L.; Grand, S.; Hoffmann, D.; Benabid, A.L. The temporopolar cortex plays a pivotal role in temporal lobe seizures. Brain 2005, 128, 1818–1831. [Google Scholar] [CrossRef] [PubMed]
- Townsend, J.B.; Engel, J. Clinicopathological correlations of low voltage fast and high amplitude spike and wave medial temporal sterioencephalographic ictal onsets. Epilepsia 1991, 32, 21. [Google Scholar]
- Motamedi, G.K.; Lesser, R.P.; Miglioretti, D.L.; Mizuno-Matsumoto, Y.; Gordon, B.; Webber, W.R.; Jackson, D.C.; Sepkuty, J.P.; Crone, N.E. Optimizing parameters for terminating cortical 1446 afterdischarges with pulse stimulation. Epilepsia 2002, 43, 836–846. [Google Scholar] [CrossRef] [PubMed]
- Englot, D.J.; Wang, D.D.; Rolston, J.D.; Shih, T.T.; Chang, E.F. Rates and predictors of long-term seizure freedom after frontal lobe epilepsy surgery: A systematic review and meta-analysis. J. Neurosurg. 2012, 116, 1042–1048. [Google Scholar] [CrossRef] [PubMed]
- Olivier, A.; Boling, W.W.; Tanriverdi, T. Techniques in Epilepsy Surgery: The MNI Approach; Cambridge University Press: Cambridge, UK, 2012. [Google Scholar]
- Engel, J., Jr. Surgery for seizures. N. Engl. J. Med. 1996, 334, 647–657. [Google Scholar] [CrossRef] [PubMed]
- Spencer, D.D.; Spencer, S.S.; Mattson, R.H.; Williamson, P.D.; Novelly, R.A. Access to the posterior medial temporal lobe structure in surgical treatment of temporal lobe epilepsy. Neurosurgery 1984, 15, 667–671. [Google Scholar] [CrossRef] [PubMed]
- Gross, R.E.; Willie, J.T.; Drane, D.L. The Role of Stereotactic Laser Amygdalohippocampotomy in Mesial Temporal Lobe Epilepsy. Neurosurg. Clin. N. Am. 2016, 27, 37–50. [Google Scholar] [CrossRef] [PubMed]
- Prince, E.; Hakimian, S.; Ko, A.L.; Ojemann, J.G.; Kim, M.S.; Miller, J.W. Laser Interstitial Thermal Therapy for Epilepsy. Curr. Neurol. Neurosci. Rep. 2017, 17, 63. [Google Scholar] [CrossRef] [PubMed]
- Gonzalez-Martinez, J.; Vadera, S.; Mullin, J.; Enatsu, R.; Alexopoulos, A.V.; Patwardhan, R.; Bingaman, W.; Najm, I. Robot-assisted stereotactic laser ablation in medically intractable epilepsy: Operative technique. Neurosurgery 2014, 10 (Suppl. 2), 167–172; [Google Scholar] [CrossRef] [PubMed]
- Shukla, N.D.; Ho, A.L.; Pendharkar, A.V.; Sussman, E.S.; Halpern, C.H. Laser interstitial thermal therapy for the treatment of epilepsy: Evidence to date. Neuropsychiatr. Dis. Treat. 2017, 13, 2469–2475. [Google Scholar] [CrossRef] [PubMed]
- Kang, J.Y.; Wu, C.; Tracy, J.; Lorenzo, M.; Evans, J.; Nei, M.; Skidmore, C.; Mintzer, S.; Sharan, A.D.; Sperling, M.R. Laser interstitial thermal therapy for medically intractable mesial temporal lobe epilepsy. Epilepsia 2016, 57, 325–334. [Google Scholar] [CrossRef] [PubMed]
- Waseem, H.; Osborn, K.E.; Schoenberg, M.R.; Kelley, V.; Bozorg, A.; Cabello, D.; Benbadis, S.R.; Vale, F.L. Laser ablation therapy: An alternative treatment for medically resistant mesial temporal lobe epilepsy after age 50. Epilepsy Behav. 2015, 51, 152–157. [Google Scholar] [CrossRef] [PubMed]
- Dredla, B.K.; Lucas, J.A.; Wharen, R.E.; Tatum, W.O. Neurocognitive outcome following stereotactic laser ablation in two patients with MRI-/PET+ mTLE. Epilepsy Behav. 2016, 56, 44–47. [Google Scholar] [CrossRef] [PubMed]
- Gleissner, U.; Helmstaedter, C.; Schramm, J.; Elger, C.E. Memory outcome after selective amygdalohippocampectomy: A study in 140 patients with temporal lobe epilepsy. Epilepsia 2002, 43, 87–95. [Google Scholar] [CrossRef] [PubMed]
- Stigsdotter-Broman, L.; Olsson, I.; Flink, R.; Rydenhag, B.; Malmgren, K. Long-term follow-up after callosotomy-a prospective, population-based, observational study. Epilepsia 2014, 55, 316–321. [Google Scholar] [CrossRef] [PubMed]
- Morrell, F.; Whisler, W.W.; Bleck, T.P. Multiple subpial transection: A new approach to the surgical treatment of focal epilepsy. J. Neurosurg. 1989, 70, 231–239. [Google Scholar] [CrossRef] [PubMed]
- Villemure, J.G.; Rasmussen, T. Functional hemispherectomy in children. Neuropediatrics 1993, 24, 53–55. [Google Scholar] [CrossRef] [PubMed]
- Bien, C.G.; Schramm, J. Treatment of Rasmussen encephalitis half a century after its initial description: Promising prospects and a dilemma. Epilepsy Res. 2009, 86, 101–112. [Google Scholar] [CrossRef] [PubMed]
- Uthman, B.M.; Reichl, A.M.; Dean, J.C.; Eisenschenk, S.; Gilmore, R.; Reid, S.; Roper, S.N.; Wilder, B.J. Effectiveness of vagus nerve stimulation in epilepsy patients: A 12-year observation. Neurology 2004, 63, 1124–1126. [Google Scholar] [CrossRef] [PubMed]
- Heck, C.N.; King-Stephens, D.; Massey, A.D.; Nair, D.R.; Jobst, B.C.; Barkley, G.L.; Salanova, V.; Cole, A.J.; Smith, M.C.; Gwinn, R.P.; et al. Two-year seizure reduction in adults with medically intractable partial onset epilepsy treated with responsive neurostimulation: Final results of the RNS System Pivotal trial. Epilepsia 2014, 55, 432–441. [Google Scholar] [CrossRef] [PubMed]
- Fisher, R.; Salanova, V.; Witt, T.; Worth, R.; Henry, T.; Gross, R.; Oommen, K.; Osori, I.; Nazzzaro, J.; Labar, D.; et al. Electrical stimulation of the anterior nucleus of thalamus for treatment of refractory epilepsy. Epilepsia 2010, 51, 899–908. [Google Scholar] [CrossRef] [PubMed]
- Lowe, A.J.; David, E.; Kilpatrick, C.J.; Matkovic, Z.; Cook, M.J.; Kaye, A.; O’Brien, T.J. Epilepsy surgery for pathologically proven Hippocampal sclerosis provides long-term seizure control and improved quality of life. Epilepsia 2004, 45, 237–242. [Google Scholar] [CrossRef] [PubMed]
- Elliott, R.E.; Bollo, R.J.; Berliner, J.L.; Silverberg, A.; Carlson, C.; Geller, E.B.; Barr, W.B.; Barr, W.B.; Devinsky, O.; Doyle, W.K. Anterior temporal lobectomy with amygdalohippocampectomy for mesial temporal sclerosis: Predictors of long-term seizure control. J. Neurosurg. 2013, 119, 261–272. [Google Scholar] [CrossRef] [PubMed]
- Tanriverdi, T.; Olivier, A.; Poulin, N.; Andermann, F.; Dubeau, F. Long-term seizure outcome after mesial temporal lobe epilepsy surgery: Corticalamygdalohippocampectomy versus selective amygdalohippocampectomy. J. Neurosurg. 2008, 108, 517–524. [Google Scholar] [CrossRef] [PubMed]
- Wieser, H.G.; Yaşargil, M.G. Selective amygdalohippocampectomy as a surgical treatment of mesiobasal limbic epilepsy. Surg. Neurol. 1982, 17, 445–457. [Google Scholar] [CrossRef]
- Tanriverdi, T.; Dudley, R.W.; Hasan, A.; Al Jishi, A.; Al Hinai, Q.; Poulin, N.; Coulnat-Coulbois, S.; Olivier, A. Memory outcome after temporal lobe epilepsy surgery: Corticoamygdalohippocampectomy versus selective amygdalohippocampectomy. J. Neurosurg. 2010, 113, 1164–1175. [Google Scholar] [CrossRef] [PubMed]
- Schramm, J. Temporal lobe epilepsy surgery and the quest for optimal extent of resection: A review. Epilepsia 2008, 49, 1296–1307. [Google Scholar] [CrossRef] [PubMed]
- Helmstaedter, C. Cognitive outcomes of different surgical approaches in temporal lobe epilepsy. Epileptic Disord. 2013, 15, 221–239. [Google Scholar] [PubMed]
- Wolf, R.L.; Ivnik, R.J.; Hirschorn, K.A.; Sharbrough, F.W.; Cascino, G.D.; Marsh, W.R. Neurocognitive efficiency following left temporal lobectomy: Standard versus limited resection. J. Neurosurg. 1993, 79, 76–83. [Google Scholar] [CrossRef] [PubMed]







© 2018 by the authors. Licensee MDPI, Basel, Switzerland. This article is an open access article distributed under the terms and conditions of the Creative Commons Attribution (CC BY) license (http://creativecommons.org/licenses/by/4.0/).
Share and Cite
Anyanwu, C.; Motamedi, G.K. Diagnosis and Surgical Treatment of Drug-Resistant Epilepsy. Brain Sci. 2018, 8, 49. https://doi.org/10.3390/brainsci8040049
Anyanwu C, Motamedi GK. Diagnosis and Surgical Treatment of Drug-Resistant Epilepsy. Brain Sciences. 2018; 8(4):49. https://doi.org/10.3390/brainsci8040049
Chicago/Turabian StyleAnyanwu, Chinekwu, and Gholam K. Motamedi. 2018. "Diagnosis and Surgical Treatment of Drug-Resistant Epilepsy" Brain Sciences 8, no. 4: 49. https://doi.org/10.3390/brainsci8040049
APA StyleAnyanwu, C., & Motamedi, G. K. (2018). Diagnosis and Surgical Treatment of Drug-Resistant Epilepsy. Brain Sciences, 8(4), 49. https://doi.org/10.3390/brainsci8040049

