Surgically Induced Demyelination in Rat Sciatic Nerve
Abstract
1. Introduction
2. Materials and Methods
2.1. Ethics Statement
2.2. Animals
2.3. Animal Groups
2.4. Surgical Procedure
2.5. TF Administration
2.6. Euthanasia Followed by Nerve Harvesting Procedure
2.7. Paraffin-Embedded Tissue Sections
2.8. Haematoxylin and Eosin Staining (H & E)
2.9. Eriochrome (Solo Chrome) Cyanine R Myelin Staining (EC)
2.10. Luxol Fast blue Myelin Staining (LFB)
2.11. Immunostaining
2.12. Transmission Electron Microscopic Imaging (TEM)
2.13. Rotarod Test
2.14. Statistical Analysis
3. Results
3.1. The Surgical Approach for Inducing Demyelination in the Rat Sciatic Nerve
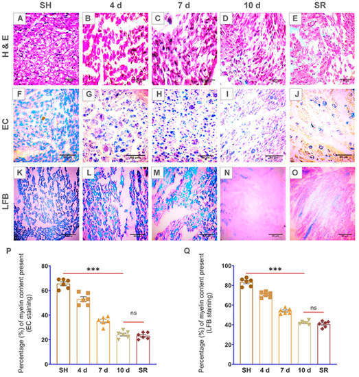
3.2. Pathological Evaluation Demonstrates the Changes in Cell Morphology and Demyelination Phases at Prolonged-Time Periods after p-SNI in Rats
3.3. TF Therapy Helps p-SNI Rats by Suppressing Macrophage Activation and Boosting Myelin Secretion or Remyelination
3.4. Inter Axonal Gaps Were Discovered Using TEM Imaging Following p-SNI, Which Was Repaired by TF Treatment
3.5. Rotarod Test Identified the Motor-Functional Deficit in p-SNI Rats That Was Remedied by TF Therapy
4. Discussion
5. Conclusions
Author Contributions
Funding
Institutional Review Board Statement
Data Availability Statement
Acknowledgments
Conflicts of Interest
References
- Bouçanova, F.; Chrast, R. Metabolic Interaction Between Schwann Cells and Axons Under Physiological and Disease Conditions. Front. Cell. Neurosci. 2020, 14, 148. [Google Scholar] [CrossRef] [PubMed]
- Johnson, E.S.; Ludwin, S.K. The demonstration of recurrent demyelination and remyelination of axons in the central nervous system. Acta Neuropathol. 1981, 53, 93–98. [Google Scholar] [CrossRef] [PubMed]
- Wallace, V.C.; Cottrell, D.F.; Brophy, P.J.; Fleetwood-Walker, S.M. Focal lysolecithin-induced demyelination of peripheral afferents results in neuropathic pain behavior that is attenuated by cannabinoids. J. Neurosci. 2003, 23, 3221–3233. [Google Scholar] [CrossRef] [PubMed]
- Said, G.; Duckett, S.; Sauron, B. Proliferation of schwann cells in tellurium-induced demyelination in young rats. Acta Neuropathol. 1981, 53, 173–179. [Google Scholar] [CrossRef] [PubMed]
- Bondan, E.F.; Custódio, P.R.; Lallo, M.A.; Bentubo, H.D.L.; Graça, D.L. Ethidium bromide-induced demyelination in the sciatic nerve of diabetic rats. Arquivos de Neuro-Psiquiatria 2009, 67, 1066–1070. [Google Scholar] [CrossRef]
- Drescher, K.M.; Tracy, S.M. Injection of the sciatic nerve with TMEV: A new model for peripheral nerve demyelination. Virology 2007, 359, 233–242. [Google Scholar] [CrossRef]
- Glatigny, S.; Bettelli, E. Experimental Autoimmune Encephalomyelitis (EAE) as Animal Models of Multiple Sclerosis (MS). Cold. Spring. Harb. Perspect. Med. 2018, 8, a028977. [Google Scholar] [CrossRef]
- Shubayev, V.I.; Angert, M.; Dolkas, J.; Campana, W.M.; Palenscar, K.; Myers, R.R. TNFalpha-induced MMP-9 promotes macrophage recruitment into injured peripheral nerve. Mol. Cell. Neurosci. 2006, 31, 407–415. [Google Scholar] [CrossRef]
- Gupta, R.; Nassiri, N.; Hazel, A.; Bathen, M.; Mozaffar, T. Chronic nerve compression alters Schwann cell myelin architecture in a murine model. Muscle Nerve 2012, 45, 231–241. [Google Scholar] [CrossRef]
- Yalcin, I.; Megat, S.; Barthas, F.; Waltisperger, E.; Kremer, M.; Salvat, E.; Barrot, M. The sciatic nerve cuffing model of neuropathic pain in mice. J. Vis. Exp. JoVE 2014, 89, 51608. [Google Scholar] [CrossRef]
- He, D.; Zhang, C.; Zhao, X.; Zhang, Y.; Dai, Q.; Li, Y.; Chu, L. Teriflunomide for multiple sclerosis. Cochrane Database Syst. Rev. 2016, 3, CD009882. [Google Scholar] [CrossRef] [PubMed]
- Aly, L.; Hemmer, B.; Korn, T. From Leflunomide to Teriflunomide: Drug Development and Immunosuppressive Oral Drugs in the Treatment of Multiple Sclerosis. Curr. Neuropharmacol. 2014, 15, 874–891. [Google Scholar] [CrossRef] [PubMed]
- Göttle, P.; Manousi, A.; Kremer, D.; Reiche, L.; Hartung, H.P.; Küry, P. Teriflunomide promotes oligodendroglial differentiation and myelination. J. Neuroinflamm. 2018, 15, 018–1110. [Google Scholar] [CrossRef] [PubMed]
- Van Pelt, L. Ketamine and for surgical anesthesia in rats. J. Am. Vet. Med. Assoc. 1977, 171, 842–844. [Google Scholar] [PubMed]
- Ringheim, G.E. Teriflunomide attenuates immunopathological changes in the dark agouti rat model of experimental autoimmune encephalomyelitis. Front. Neurol. 2013, 4, 169. [Google Scholar] [CrossRef]
- Spurr, A.R. A low-viscosity epoxy resin embedding medium for electron microscopy. J. Ultrastruct. Res. 1969, 26, 31–43. [Google Scholar] [CrossRef]
- Gilli, F.; Li, L.; Royce, D.B.; DiSano, K.D.; Pachner, A.R. Treatment of Theiler’s virus-induced demyelinating disease with Teriflunomide. J. Neurovirol. 2017, 23, 825–838. [Google Scholar] [CrossRef]
- Cai, M.; Huang, T.; Hou, B.; Guo, Y. Role of Demyelination Efficiency within Acellular Nerve Scaffolds during Nerve Regeneration across Peripheral Defects. BioMed. Res. Int. 2017, 21, 4606387. [Google Scholar] [CrossRef]
- Wang, I.C.; Chung, C.Y.; Liao, F.; Chen, C.C.; Lee, C. H Peripheral sensory neuron injury contributes to neuropathic pain in experimental autoimmune encephalomyelitis. Sci. Rep. 2017, 7, 42304. [Google Scholar] [CrossRef]
- Clasen, R.A.; Simon, R.G.; Scott, R.; Pandolfi, S.; Laing, I.; Lesak, A. The staining of the myelin sheath by luxol dye techniques. J. Neuropathol. Exp. Neurol. 1973, 32, 271–283. [Google Scholar] [CrossRef]
- Kiernan, J.A. Histochemistry of Staining Methods for Normal and Degenerating Myelin in the Central and Peripheral Nervous Systems. J. Histotechnol. 2007, 30, 87–106. [Google Scholar] [CrossRef]
- Blackwell, M.L.; Farrar, C.T.; Fischl, B.; Rosen, B.R. Target-specific contrast agents for magnetic resonance microscopy. Neuroimage 2009, 46, 382–393. [Google Scholar] [CrossRef] [PubMed]
- Cloutier, F.; Sears-Kraxberger, I.; Keachie, K.; Keirstead, H.S. Immunological demyelination triggers macrophage/microglial cells activation without inducing astrogliosis. Clin. Dev. Immunol. 2013, 11, 812456. [Google Scholar] [CrossRef]
- Stefanović, D.; Stefanović, M.; Lalošević, D. Use of eriochrome cyanine R in routine histology and histopathology: Is it time to say goodbye to hematoxylin? Biotech. Histochem. 2015, 90, 461–469. [Google Scholar] [CrossRef] [PubMed]
- Choi, M.-H.; Na, J.E.; Yoon, Y.R.; Lee, H.J.; Yoon, S.; Rhyu, I.J.; Baik, J.-H. Role of Dopamine D2 Receptor in Stress-Induced Myelin Loss. Sci. Rep. 2015, 7, 11654. [Google Scholar] [CrossRef]
- Zigmond, R.E.; Echevarria, F.D. Macrophage biology in the peripheral nervous system after injury. Prog. Neurobiol. 2019, 173, 102–121. [Google Scholar] [CrossRef]
- Mata, M.; Alessi, D.; Fink, D.J. S100 is preferentially distributed in myelin-forming Schwann cells. J. Neurocytol. 1990, 19, 432–442. [Google Scholar] [CrossRef]
- Chernov, A.V.; Dolkas, J.; Hoang, K.; Angert, M.; Srikrishna, G.; Vogl, T.; Baranovskaya, S.; Strongin, A.Y.; Shubayev, V.I. The calcium-binding proteins S100A8 and S100A9 initiate the early inflammatory program in injured peripheral nerves. J. Biol. Chem. 2015, 290, 11771–11784. [Google Scholar] [CrossRef]
- Rozeik, C.; Schulz-Harder, B. Myelin basic protein immunohistochemistry: A study of the early stages of myelination in the brainstem of the rat. Acta Histochem. 1990, 88, 149–158. [Google Scholar] [CrossRef]
- Bodhireddy, S.R.; Lyman, W.D.; Rashbaum, W.K.; Weidenheim, K.M. Immunohistochemical detection of myelin basic protein is a sensitive marker of myelination in second trimester human fetal spinal cord. J. Neuropathol. Exp. Neurol. 1994, 53, 144–149. [Google Scholar] [CrossRef]
- Vercellino, M.; Masera, S.; Lorenzatti, M.; Condello, C.; Merola, A.; Mattioda, A.; Tribolo, A.; Capello, E.; Mancardi, G.L.; Mutani, R.; et al. Demyelination, inflammation, and neurodegeneration in multiple sclerosis deep gray matter. J. Neuropathol. Exp. Neurol. 2009, 68, 489–502. [Google Scholar] [CrossRef] [PubMed]
- Xing, Y.; Samuvel, D.J.; Stevens, S.M.; Dubno, J.R.; Schulte, B.A.; Lang, H. Age-related changes of myelin basic protein in mouse and human auditory nerve. PLoS ONE 2012, 7, e34500. [Google Scholar] [CrossRef] [PubMed]
- Frid, K.; Einstein, O.; Friedman-Levi, Y.; Binyamin, O.; Ben-Hur, T.; Gabizon, R. Aggregation of MBP in chronic demyelination. Ann. Clin. Transl. Neurol. 2015, 2, 711–721. [Google Scholar] [CrossRef]
- Kim, H.S.; Lee, J.; Lee, D.Y.; Kim, Y.D.; Kim, J.Y.; Lim, H.J.; Lim, S.; Cho, Y.S. Schwann Cell Precursors from Human Pluripotent Stem Cells as a Potential Therapeutic Target for Myelin Repair. Stem Cell Rep. 2017, 8, 1714–1726. [Google Scholar] [CrossRef] [PubMed]
- Lindborg, J.A.; Niemi, J.P.; Howarth, M.A.; Liu, K.W.; Moore, C.Z.; Mahajan, D.; Zigmond, R.E. Molecular and cellular identification of the immune response in peripheral ganglia following nerve injury. J. Neuroinflamm. 2018, 15, 192. [Google Scholar] [CrossRef] [PubMed]
- Qian, T.; Wang, P.; Chen, Q.; Yi, S.; Liu, Q.; Wang, H.; Wang, S.; Geng, W.; Liu, Z.; Li, S. The dynamic changes of main cell types in the microenvironment of sciatic nerves following sciatic nerve injury and the influence of let-7 on their distribution. RSC Adv. 2018, 8, 41181–41191. [Google Scholar] [CrossRef]
- Stratton, J.A.; Holmes, A.; Rosin, N.L.; Sinha, S.; Vohra, M.; Burma, N.E.; Trang, T.; Midha, R.; Biernaskie, J. Macrophages Regulate Schwann Cell Maturation after Nerve Injury. Cell. Rep. 2018, 24, 2561–2572. [Google Scholar] [CrossRef] [PubMed]
- Abada, Y.S.; Nguyen, H.P.; Schreiber, R.; Ellenbroek, B. Assessment of motor function, sensory motor gating and recognition memory in a novel BACHD transgenic rat model for huntington disease. PLoS ONE 2013, 8, e68584. [Google Scholar] [CrossRef] [PubMed]
- Tiwari, V.; He, S.-Q.; Huang, Q.; Liang, L.; Yang, F.; Chen, Z.; Tiwari, V.; Fujita, W.; Devi, L.A.; Dong, X.; et al. Activation of µ-δ opioid receptor heteromers inhibits neuropathic pain behavior in rodents. Pain 2020, 161, 842–855. [Google Scholar] [CrossRef]
- Shi, X.; Chen, Y.; Nadeem, L.; Xu, G. Beneficial effect of TNF-α inhibition on diabetic peripheral neuropathy. J. Neuroinflamm. 2013, 10, 69. [Google Scholar] [CrossRef]
- Byun, S.-H.; Ahn, K.-M. Functional and electron-microscopic changes after differential traction injury in the sciatic nerve of a rat. Maxillofac. Plast. Reconstr. Surg. 2021, 43, 12. [Google Scholar] [CrossRef] [PubMed]
- Placheta-Györi, E.; Brandstetter, L.; Zemann-Schälss, J.; Wolf, S.; Radtke, C. Myelination, axonal loss and Schwann cell characteristics in axonal polyneuropathy compared to controls. PLoS ONE 2021, 16, e0259654. [Google Scholar] [CrossRef] [PubMed]







| Animal Group | Species, Age, Weight, and Sex | Number of Animals per Group (n) |
|---|---|---|
| Sham | Sprague Dawley (SD) male rats, 8-week-old, and weighing 220–250 g | 6 |
| 4d p-SNI | Sprague Dawley (SD) male rats, 8-week-old, and weighing 220–250 g | 6 |
| 7 d p-SNI | Sprague Dawley (SD) male rats, 8-week-old, and weighing 220–250 g | 6 |
| 10 d p-SNI | Sprague Dawley (SD) male rats, 8-week-old, and weighing 220–250 g | 6 |
| SR p-SNI | Sprague Dawley (SD) male rats, 8-week-old, and weighing 220–250 g | 6 |
| Animal Group | Species, Age, Weight, and Sex | Number of Animals per Group (n) |
|---|---|---|
| Vehicle | Sprague Dawley (SD) male rats, 8-week-old, and weighing 220–250 g | 6 |
| 10 d p-SNI | Sprague Dawley (SD) male rats, 8-week-old, and weighing 220–250 g | - |
| TF administered rats group | Sprague Dawley (SD) male rats, 8-week-old, and weighing 220–250 g | 6 |
| Animal Group | Species, Age, Weight, and Sex | Number of Animals per Group (n) |
|---|---|---|
| Vehicle | Sprague Dawley (SD) male rats, 8-week-old, and weighing 220–250 g | 6 |
| 4 d p-SNI | Sprague Dawley (SD) male rats, 8-week-old, and weighing 220–250 g | 6 |
| 10 d p-SNI | Sprague Dawley (SD) male rats, 8-week-old, and weighing 220–250 g | 6 |
| TF administered rats group | Sprague Dawley (SD) male rats, 8-week-old, and weighing 220–250 g | 6 |
Disclaimer/Publisher’s Note: The statements, opinions and data contained in all publications are solely those of the individual author(s) and contributor(s) and not of MDPI and/or the editor(s). MDPI and/or the editor(s) disclaim responsibility for any injury to people or property resulting from any ideas, methods, instructions or products referred to in the content. |
© 2023 by the authors. Licensee MDPI, Basel, Switzerland. This article is an open access article distributed under the terms and conditions of the Creative Commons Attribution (CC BY) license (https://creativecommons.org/licenses/by/4.0/).
Share and Cite
Rayilla, R.S.R.; Naidu, M.; Babu, P.P. Surgically Induced Demyelination in Rat Sciatic Nerve. Brain Sci. 2023, 13, 754. https://doi.org/10.3390/brainsci13050754
Rayilla RSR, Naidu M, Babu PP. Surgically Induced Demyelination in Rat Sciatic Nerve. Brain Sciences. 2023; 13(5):754. https://doi.org/10.3390/brainsci13050754
Chicago/Turabian StyleRayilla, Rahul Shankar Rao, MUR Naidu, and Phanithi Prakash Babu. 2023. "Surgically Induced Demyelination in Rat Sciatic Nerve" Brain Sciences 13, no. 5: 754. https://doi.org/10.3390/brainsci13050754
APA StyleRayilla, R. S. R., Naidu, M., & Babu, P. P. (2023). Surgically Induced Demyelination in Rat Sciatic Nerve. Brain Sciences, 13(5), 754. https://doi.org/10.3390/brainsci13050754

