Whole-Language and Item-Specific Inhibition in Bilingual Language Switching: The Role of Domain–General Inhibitory Control
Abstract
1. Introduction
1.1. Behavioural Markers of Inhibition
1.2. The Role of Domain-General Brain Mechanisms
1.3. Two Levels of Language Inhibition
1.4. The Present Study
2. Experiment 1: Whole-Language and Item-Specific Inhibition in Language Switching
2.1. Materials and Methods
2.1.1. Participants
2.1.2. Materials
2.1.3. Design and Procedure
2.1.4. Offline Processing
2.1.5. Data Analysis
2.2. Results
2.3. Discussion
3. Experiment 2: Domain-General Inhibitory Control in Language Switching
3.1. Materials and Methods
3.1.1. Participants
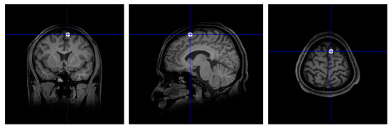
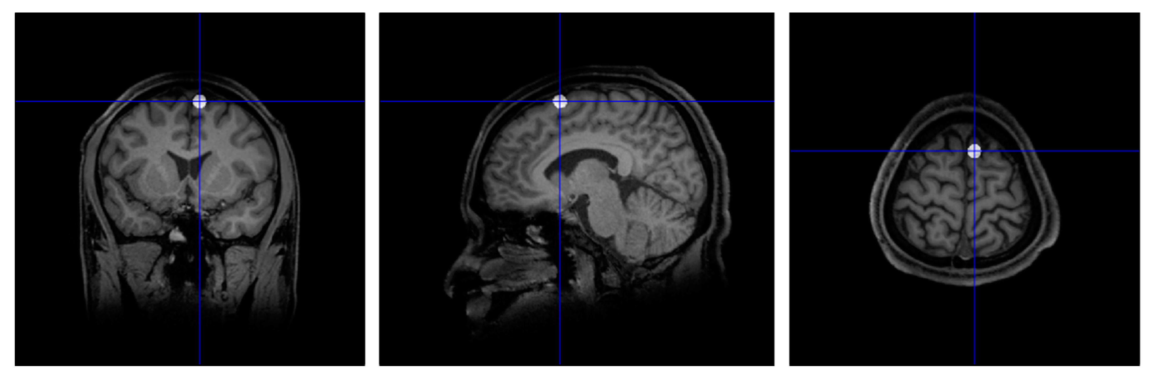
3.1.2. Target Localisation
3.1.3. TMS Procedure
3.1.4. Behavioural Task
3.1.5. Data Analysis
3.2. Results
3.3. Discussion
4. General Discussion
4.1. Item-Specific Inhibition and the Reversed Dominance Effect
4.2. Alternatives to Inhibition in Bilingual Language Control
4.3. Limitations
5. Conclusions
Author Contributions
Funding
Acknowledgments
Conflicts of Interest
Appendix A
- When we talk about “univalent” and “bivalent” here, it is in regard to the context of this experiment. Technically, all of the stimuli are bivalent to the bilinguals, as they are able to name each picture in both languages. The definitions used here are consistent with Finkbeiner et al. [15].
- In the present experimental design, this is not guaranteed on all bivalent trials. However, it is true most of the time, as bivalent items are always named in the other language when they appear on filler trials, and there are twice as many fillers as critical trials in the testing block (see Section 2.1.3 for details on the experimental design and how the trial sequence is generated). If bivalent items are guaranteed to change language every time they appear on a critical trial, that should produce an even larger valence cost; the present design simply means that we are observing a smaller version of this effect.
- It would be better if we had a balanced number of Mandarin-dominant and English-dominant bilinguals; however, this was not achievable due to recruitment constraints.
- Note that the filler trials alone may be sufficient to create the bivalency, which means the training block may be redundant.
- The term “global” here means “both stay and switch trials”; it is not referring to “the whole language”.
- Note that the overall switch costs in these experiments were symmetrical. However, this does not prevent an interaction from showing up, if the switch cost pattern was different between univalent and bivalent stimuli. Therefore, the argument is still valid in this case.
Appendix B
- (1) Error analysis
- > GLME model:
- Generalized linear mixed model fit by maximum likelihood (Laplace Approximation) [‘glmerMod’]Family: binomial (logit)Formula: error ~ valence * ttype * lang + (1 | subjectID) + (1 | item)Data: exp1_ERControl: glmerControl(optimizer = “bobyqa”)
- AIC BIC logLik deviance df.resid783.6 836.4 −381.8 763.6 1430
- Scaled residuals:Min 1Q Median 3Q Max−0.5900 −0.4005 −0.1919 −0.1194 9.3559
- Random effects:Groups Name Variance Std.Dev.subjectID (Intercept) 0.03475 0.1864item (Intercept) 0.03544 0.1883Number of obs: 1440, groups: subjectID, 15; item, 8
- Fixed effects:Estimate Std. Error z value Pr(>|z|)(Intercept) −4.5141 0.7147 −6.316 0.000000000268 ***valenceBi 2.8853 0.7379 3.910 0.000092344847 ***ttypeSwitch 1.2831 0.8061 1.592 0.111langL2 0.3960 0.9171 0.432 0.666valenceBi:ttypeSwitch −0.9888 0.8506 −1.162 0.245valenceBi:langL2 −0.8217 0.9680 −0.849 0.396ttypeSwitch:langL2 −1.2831 1.1501 −1.116 0.265valenceBi:ttypeSwitch:langL2 1.1901 1.2234 0.973 0.331---Signif. codes: 0 ‘***’ 0.001 ‘**’ 0.01 ‘*’ 0.05 ‘.’ 0.1 ‘ ‘ 1
- Correlation of Fixed Effects:(Intr) valncB ttypSw langL2 vlnB:S vlB:L2 ttS:L2valenceBi −0.955ttypeSwitch −0.871 0.844langL2 −0.767 0.744 0.679vlncB:ttypS 0.825 −0.863 −0.948 −0.643vlncB:lngL2 0.728 −0.763 −0.643 −0.947 0.658ttypSwtc:L2 0.610 −0.591 −0.701 −0.795 0.664 0.753vlncB:tS:L2 −0.574 0.600 0.658 0.747 −0.695 −0.787 −0.940
- Analysis of Deviance Table (Type II Wald chisquare tests)
- Response: errorChisq Df Pr(>Chisq)valence 57.4183 1 3.523e-14 ***ttype 2.3911 1 0.12203lang 5.5610 1 0.01836 *valence:ttype 0.4577 1 0.49870valence:lang 0.0182 1 0.89280ttype:lang 0.3479 1 0.55532valence:ttype:lang 0.9463 1 0.33067---Signif. codes: 0 ‘***’ 0.001 ‘**’ 0.01 ‘*’ 0.05 ‘.’ 0.1 ‘ ‘ 1
- (2) Reaction time analysis
- > LME model (raw RT):
- Linear mixed model fit by maximum likelihood. t-tests use Satterthwaite’s method [‘lmerModLmerTest’]Formula: RT ~ valence * ttype * lang + (1 | subjectID) + (1 | item)Data: exp1_RTControl: lmerControl(optimizer = “bobyqa”)
- AIC BIC logLik deviance df.resid17096.5 17153.4 −8537.3 17074.5 1290
- Scaled residuals:Min 1Q Median 3Q Max−2.4484 −0.6075 −0.1290 0.3592 7.0417
- Random effects:Groups Name Variance Std.Dev.subjectID (Intercept) 11283 106.22item (Intercept) 2317 48.13Residual 27729 166.52Number of obs: 1301, groups: subjectID, 15; item, 8
- Fixed effects:Estimate Std. Error df t value Pr(>|t|)(Intercept) 694.313 34.700 26.750 20.009 <2e-16 ***valenceBi 167.596 18.981 1285.279 8.830 <2e-16 ***ttypeSwitch 17.193 17.808 1278.921 0.965 0.3345langL2 −25.596 18.109 1285.085 −1.413 0.1578valenceBi:ttypeSwitch 5.280 26.558 1279.129 0.199 0.8425valenceBi:langL2 −61.948 26.511 1284.274 −2.337 0.0196 *ttypeSwitch:langL2 4.824 25.128 1278.894 0.192 0.8478valenceBi:ttypeSwitch:langL2 7.444 37.108 1279.087 0.201 0.8410---Signif. codes: 0 ‘***’ 0.001 ‘**’ 0.01 ‘*’ 0.05 ‘.’ 0.1 ‘ ’ 1
- Correlation of Fixed Effects:(Intr) valncB ttypSw langL2 vlnB:S vlB:L2 ttS:L2valenceBi −0.250ttypeSwitch −0.253 0.462langL2 −0.262 0.481 0.485vlncB:ttypS 0.169 −0.682 −0.671 −0.322vlncB:lngL2 0.180 −0.718 −0.330 −0.682 0.487ttypSwtc:L2 0.180 −0.328 −0.709 −0.690 0.475 0.471vlncB:tS:L2 −0.121 0.487 0.480 0.464 −0.716 −0.688 −0.677Analysis of Deviance Table (Type II Wald chisquare tests)
- Response: RTChisq Df Pr(>Chisq)valence 215.7919 1 < 2.2e-16 ***ttype 6.6664 1 0.009825 **lang 27.7909 1 1.352e-07 ***valence:ttype 0.2403 1 0.623982valence:lang 9.1807 1 0.002446 **ttype:lang 0.1985 1 0.655922valence:ttype:lang 0.0402 1 0.841017---Signif. codes: 0 ‘***’ 0.001 ‘**’ 0.01 ‘*’ 0.05 ‘.’ 0.1 ‘ ’ 1
- > LME model (log-transformed RT):
- Linear mixed model fit by maximum likelihood. t-tests use Satterthwaite’s method [‘lmerModLmerTest’]Formula: log(RT) ~ valence * ttype * lang + (1 | subjectID) + (1 | item)Data: exp1_RTControl: lmerControl(optimizer = “bobyqa”)
- AIC BIC logLik deviance df.resid-503.1 −446.2 262.5 −525.1 1290
- Scaled residuals:Min 1Q Median 3Q Max−3.4618 −0.6601 −0.0990 0.4947 4.6041
- Random effects:Groups Name Variance Std.Dev.subjectID (Intercept) 0.018271 0.13517item (Intercept) 0.003546 0.05955Residual 0.036868 0.19201Number of obs: 1301, groups: subjectID, 15; item, 8
- Fixed effects:Estimate Std. Error df t value Pr(>|t|)(Intercept) 6.512e+00 4.333e-02 2.581e+01 150.295 <2e-16 ***valenceBi 2.070e-01 2.189e-02 1.285e+03 9.458 <2e-16 ***ttypeSwitch 2.749e-02 2.053e-02 1.279e+03 1.339 0.1808langL2 −2.767e-02 2.089e-02 1.285e+03 −1.325 0.1855valenceBi:ttypeSwitch -7.768e-03 3.062e-02 1.279e+03 −0.254 0.7998valenceBi:langL2 -6.820e-02 3.057e-02 1.284e+03 −2.231 0.0259 *ttypeSwitch:langL2 9.590e-04 2.897e-02 1.279e+03 0.033 0.9736valenceBi:ttypeSwitch:langL2 2.274e-02 4.279e-02 1.279e+03 0.531 0.5952---Signif. codes: 0 ‘***’ 0.001 ‘**’ 0.01 ‘*’ 0.05 ‘.’ 0.1 ‘ ’ 1
- Correlation of Fixed Effects:(Intr) valncB ttypSw langL2 vlnB:S vlB:L2 ttS:L2valenceBi −0.231ttypeSwitch −0.234 0.462langL2 −0.242 0.481 0.485vlncB:ttypS 0.156 −0.682 −0.671 −0.322vlncB:lngL2 0.166 −0.718 −0.330 −0.682 0.487ttypSwtc:L2 0.166 −0.327 −0.709 −0.690 0.475 0.471vlncB:tS:L2 −0.111 0.487 0.480 0.464 −0.716 −0.688 −0.677
- Analysis of Deviance Table (Type II Wald chisquare tests)
- Response: log(RT)Chisq Df Pr(>Chisq)valence 250.0791 1 < 2.2e-16 ***ttype 7.8490 1 0.005085 **lang 23.7926 1 1.073e-06 ***valence:ttype 0.0329 1 0.856028valence:lang 6.6031 1 0.010180 *ttype:lang 0.2854 1 0.593208valence:ttype:lang 0.2825 1 0.595092---Signif. codes: 0 ‘***’ 0.001 ‘**’ 0.01 ‘*’ 0.05 ‘.’ 0.1 ‘ ’ 1
- > Permutation test on LME model:
- Analysis of Variance Table of type I with Kenward-Roger approximation for degrees of freedomSum Sq Mean Sq NumDF DenDF F value Pr(>F) DDf p.value Perm.pvalence 5943550 5943550 1 1278.4 213.1799 0.00000 1278.4 0.00000 0.001ttype 177390 177390 1 1272.2 6.3625 0.01178 1272.2 0.01178 0.012lang 755004 755004 1 1279.0 27.0800 0.00000 1279.0 0.00000 0.002valence:ttype 6140 6140 1 1272.2 0.2202 0.63896 1272.2 0.63896 0.623valence:lang 253992 253992 1 1279.1 9.1101 0.00259 1279.1 0.00259 0.008ttype:lang 5494 5494 1 1272.1 0.1971 0.65718 1272.1 0.65718 0.656valence:ttype:lang 1105 1105 1 1272.2 0.0397 0.84220 1272.2 0.84220 0.846
- > Follow-up tests to unpack the interaction between “valence” and “language”:
- lang = L1:valence emmean SE df lower.CL upper.CLUni 703 34.4 24.8 632 774Bi 873 34.6 25.5 802 944
- lang = L2:valence emmean SE df lower.CL upper.CLUni 680 34.3 24.6 609 750Bi 792 34.5 25.1 721 863
- Results are averaged over the levels of: ttypeDegrees-of-freedom method: kenward-rogerConfidence level used: 0.95
- contrast lang estimate SE df t.ratio p.valueUni - Bi L1 −170 14.0 1294 −12.203 <0.0001Uni - Bi L2 −112 13.2 1291 −8.477 <0.0001
- Results are averaged over the levels of: ttypeDegrees-of-freedom method: kenward-rogerP value adjustment: bonferroni method for 2 tests
Appendix C
- (1) Error analysis
- > GLME model:
- Generalized linear mixed model fit by maximum likelihood (Laplace Approximation) [‘glmerMod’]Family: binomial (logit)Formula: error ~ tms * valence * ttype * lang + (1 | subjectID) + (1 | item)Data: exp2_ERControl: glmerControl(optimizer = “bobyqa”)
- AIC BIC logLik deviance df.resid2000.0 2108.6 −982.0 1964.0 3054
- Scaled residuals:Min 1Q Median 3Q Max−1.4616 −0.3953 −0.1882 −0.0821 12.4798
- Random effects:Groups Name Variance Std.Dev.subjectID (Intercept) 0.76039 0.872item (Intercept) 0.04409 0.210Number of obs: 3072, groups: subjectID, 16; item, 8
- Fixed effects:Estimate Std. Error z value Pr(>|z|)(Intercept) −3.800e+00 4.795e-01 −7.925 2.27e-15 ***tmsps 2.915e-05 5.896e-01 0.000 1.000valenceBi 2.423e+00 4.563e-01 5.310 1.10e-07 ***ttypeSwitch 3.060e-01 5.538e-01 0.553 0.581langL2 −1.089e+00 8.234e-01 −1.322 0.186tmsps:valenceBi 6.446e-01 6.379e-01 1.010 0.312tmsps:ttypeSwitch 2.415e-01 7.671e-01 0.315 0.753valenceBi:ttypeSwitch 2.302e-01 6.054e-01 0.380 0.704tmsps:langL2 -7.019e-01 1.358e+00 −0.517 0.605valenceBi:langL2 1.127e+00 8.625e-01 1.307 0.191ttypeSwitch:langL2 8.278e-01 9.908e-01 0.835 0.403tmsps:valenceBi:ttypeSwitch −1.202e+00 8.397e-01 −1.432 0.152tmsps:valenceBi:langL2 −3.696e-01 1.405e+00 −0.263 0.793tmsps:ttypeSwitch:langL2 3.726e-02 1.585e+00 0.024 0.981valenceBi:ttypeSwitch:langL2 −1.238e+00 1.051e+00 −1.178 0.239tmsps:valenceBi:ttypeSwitch:langL2 1.350e+00 1.662e+00 0.813 0.416---Signif. codes: 0 ‘***’ 0.001 ‘**’ 0.01 ‘*’ 0.05 ‘.’ 0.1 ‘ ’ 1
- Analysis of Deviance Table (Type II Wald chisquare tests)
- Response: errorChisq Df Pr(>Chisq)tms 0.0153 1 0.901709valence 233.9853 1 < 2.2e-16 ***ttype 3.9657 1 0.046436 *lang 10.5175 1 0.001182 **tms:valence 0.0666 1 0.796315tms:ttype 1.0820 1 0.298242valence:ttype 2.3255 1 0.127266tms:lang 2.6250 1 0.105194valence:lang 2.0218 1 0.155055ttype:lang 1.8891 1 0.169304tms:valence:ttype 1.4000 1 0.236731tms:valence:lang 0.6289 1 0.427750tms:ttype:lang 7.0611 1 0.007877 **valence:ttype:lang 0.7354 1 0.391145tms:valence:ttype:lang 0.6603 1 0.416458---Signif. codes: 0 ‘***’ 0.001 ‘**’ 0.01 ‘*’ 0.05 ‘.’ 0.1 ‘ ’ 1
- > Follow-up tests to unpack the 3-way interaction between “TMS location”, “transition type” and “language”:
- tms = vt:ttype lang emmean SE df asymp.LCL asymp.UCLStay L1 −2.59 0.326 Inf −3.23 −1.95Switch L1 −2.17 0.307 Inf −2.77 −1.57Stay L2 −3.11 0.434 Inf −3.96 −2.26Switch L2 −2.48 0.325 Inf −3.12 −1.85
- tms = ps:ttype lang emmean SE df asymp.LCL asymp.UCLStay L1 −2.27 0.323 Inf −2.90 −1.63Switch L1 −2.20 0.299 Inf −2.79 −1.62Stay L2 −3.68 0.560 Inf −4.78 −2.58Switch L2 −2.70 0.355 Inf −3.39 −2.00
- Results are averaged over the levels of: valenceResults are given on the logit (not the response) scale.Confidence level used: 0.95
- tms = vt:ttype_pairwise lang_pairwise estimate SE df z.ratio p.valueStay - Switch L1 - L2 0.209 0.526 Inf 0.398 0.6909
- tms = ps:ttype_pairwise lang_pairwise estimate SE df z.ratio p.valueStay - Switch L1 - L2 0.921 0.644 Inf 1.430 0.1528
- Results are averaged over the levels of: valenceNote: contrasts are still on the log.o.r. scale
- (2) Reaction time analysis
- > LME model (raw RT):
- Linear mixed model fit by maximum likelihood. t-tests use Satterthwaite’s method [‘lmerModLmerTest’]Formula: RT ~ tms * valence * ttype * lang + (1 | subjectID) + (1 | item)Data: exp2_RTControl: lmerControl(optimizer = “bobyqa”)
- AIC BIC logLik deviance df.resid33315.5 33426.7 −16638.8 33277.5 2552
- Scaled residuals:Min 1Q Median 3Q Max−2.4767 −0.5420 −0.1235 0.3356 11.7271
- Random effects:Groups Name Variance Std.Dev.subjectID (Intercept) 11378 106.7item (Intercept) 1989 44.6Residual 23606 153.6Number of obs: 2571, groups: subjectID, 16; item, 8
- Fixed effects:Estimate Std. Error df t value Pr(>|t|)(Intercept) 597.411 33.052 28.332 18.075 <2e-16 ***tmsps 7.523 16.089 2548.011 0.468 0.6401valenceBi 164.865 17.256 2550.882 9.554 <2e-16 ***ttypeSwitch 18.727 16.222 2548.011 1.154 0.2484langL2 −9.721 16.203 2551.531 −0.600 0.5486tmsps:valenceBi 8.385 24.772 2548.249 0.338 0.7350tmsps:ttypeSwitch 1.678 22.864 2548.017 0.073 0.9415valenceBi:ttypeSwitch −29.910 24.810 2548.334 −1.206 0.2281tmsps:langL2 6.442 22.647 2548.025 0.284 0.7761valenceBi:langL2 −40.855 24.361 2549.373 −1.677 0.0937ttypeSwitch:langL2 2.821 22.724 2548.014 0.124 0.9012tmsps:valenceBi:ttypeSwitch 21.333 35.192 2548.380 0.606 0.5444tmsps:valenceBi:langL2 7.767 34.498 2548.162 0.225 0.8219tmsps:ttypeSwitch:langL2 −8.202 32.103 2548.020 −0.255 0.7984valenceBi:ttypeSwitch:langL2 17.303 34.821 2548.220 0.497 0.6193tmsps:valenceBi:ttypeSwitch:langL2 1.117 49.088 2548.213 0.023 0.9818---Signif. codes: 0 ‘***’ 0.001 ‘**’ 0.01 ‘*’ 0.05 ‘.’ 0.1 ‘ ’ 1
- Analysis of Deviance Table (Type II Wald chisquare tests)
- Response: RTChisq Df Pr(>Chisq)tms 10.2989 1 0.001331 **valence 516.1176 1 < 2.2e-16 ***ttype 5.8391 1 0.015674 *lang 9.4246 1 0.002141 **tms:valence 3.5719 1 0.058767.tms:ttype 0.3183 1 0.572615valence:ttype 0.6636 1 0.415286tms:lang 0.2391 1 0.624838valence:lang 5.1166 1 0.023698 *ttype:lang 0.2729 1 0.601392tms:valence:ttype 0.7972 1 0.371944tms:valence:lang 0.1149 1 0.734590tms:ttype:lang 0.1011 1 0.750459valence:ttype:lang 0.5298 1 0.466709tms:valence:ttype:lang 0.0005 1 0.981838---Signif. codes: 0 ‘***’ 0.001 ‘**’ 0.01 ‘*’ 0.05 ‘.’ 0.1 ‘ ’ 1
- > LME model (log-transformed RT):
- Linear mixed model fit by maximum likelihood. t-tests use Satterthwaite’s method [‘lmerModLmerTest’]Formula: log(RT) ~ tms * valence * ttype * lang + (1 | subjectID) + (1 | item)Data: exp2_RTControl: lmerControl(optimizer = “bobyqa”)
- AIC BIC logLik deviance df.resid−1341.3 −1230.1 689.6 −1379.3 2552
- Scaled residuals:Min 1Q Median 3Q Max−2.7452 −0.6402 −0.1076 0.4877 6.0468
- Random effects:Groups Name Variance Std.Dev.subjectID (Intercept) 0.020628 0.14363item (Intercept) 0.003841 0.06197Residual 0.032939 0.18149Number of obs: 2571, groups: subjectID, 16; item, 8
- Fixed effects:Estimate Std. Error df t value Pr(>|t|)(Intercept) 6.370e+00 4.421e-02 2.705e+01 144.096 <2e-16 ***tmsps 5.451e-03 1.901e-02 2.548e+03 0.287 0.774valenceBi 2.251e-01 2.039e-02 2.550e+03 11.041 <2e-16 ***ttypeSwitch 2.588e-02 1.916e-02 2.548e+03 1.351 0.177langL2 −1.014e-02 1.914e-02 2.551e+03 −0.530 0.596tmsps:valenceBi 7.237e-03 2.926e-02 2.548e+03 0.247 0.805tmsps:ttypeSwitch 1.237e-02 2.701e-02 2.548e+03 0.458 0.647valenceBi:ttypeSwitch −3.082e-02 2.931e-02 2.548e+03 −1.052 0.293tmsps:langL2 1.361e-02 2.675e-02 2.548e+03 0.509 0.611valenceBi:langL2 −5.912e-02 2.878e-02 2.549e+03 −2.054 0.040 *ttypeSwitch:langL2 6.306e-03 2.684e-02 2.548e+03 0.235 0.814tmsps:valenceBi:ttypeSwitch 1.320e-02 4.157e-02 2.548e+03 0.318 0.751tmsps:valenceBi:langL2 8.756e-03 4.075e-02 2.548e+03 0.215 0.830tmsps:ttypeSwitch:langL2 −1.903e-02 3.792e-02 2.548e+03 −0.502 0.616valenceBi:ttypeSwitch:langL2 2.135e-02 4.113e-02 2.548e+03 0.519 0.604tmsps:valenceBi:ttypeSwitch:langL2 −2.654e-03 5.799e-02 2.548e+03 −0.046 0.963---Signif. codes: 0 ‘***’ 0.001 ‘**’ 0.01 ‘*’ 0.05 ‘.’ 0.1 ‘ ’ 1
- Analysis of Deviance Table (Type II Wald chisquare tests)
- Response: log(RT)Chisq Df Pr(>Chisq)tms 8.7796 1 0.0030462 **valence 657.6509 1 < 2.2e-16 ***ttype 11.6650 1 0.0006369 ***lang 10.7716 1 0.0010307 **tms:valence 1.4715 1 0.2251123tms:ttype 0.2868 1 0.5922502valence:ttype 0.9213 1 0.3371374tms:lang 0.2645 1 0.6070647valence:lang 9.3186 1 0.0022684 **ttype:lang 0.1369 1 0.7114306tms:valence:ttype 0.1669 1 0.6829159tms:valence:lang 0.0660 1 0.7972995tms:ttype:lang 0.4938 1 0.4822207valence:ttype:lang 0.4766 1 0.4899545tms:valence:ttype:lang 0.0021 1 0.9634929---Signif. codes: 0 ‘***’ 0.001 ‘**’ 0.01 ‘*’ 0.05 ‘.’ 0.1 ‘ ’ 1
- > Permutation test on LME model:
- Analysis of Variance Table of type I with Kenward-Roger approximation for degrees of freedomSum Sq Mean Sq NumDF DenDF F value Pr(>F) DDf p.value Perm.ptms 247944 247944 1 2533.2 10.4417 0.00125 2533.2 0.00125 0.061valence 12144022 12144022 1 2540.8 511.4220 0.00000 2540.8 0.00000 0.001ttype 141298 141298 1 2533.1 5.9505 0.01478 2533.1 0.01478 0.022lang 217356 217356 1 2540.0 9.1535 0.00251 2540.0 0.00251 0.118tms:valence 78429 78429 1 2533.2 3.3029 0.06928 2533.2 0.06928 0.079tms:ttype 9369 9369 1 2533.2 0.3946 0.52997 2533.2 0.52997 0.568valence:ttype 16069 16069 1 2533.1 0.6767 0.41080 2533.1 0.41080 0.422tms:lang 5719 5719 1 2533.2 0.2408 0.62365 2533.2 0.62365 0.619valence:lang 123969 123969 1 2537.3 5.2207 0.02240 2537.3 0.02240 0.025ttype:lang 6931 6931 1 2533.1 0.2919 0.58906 2533.1 0.58906 0.573tms:valence:ttype 19009 19009 1 2533.2 0.8005 0.37102 2533.2 0.37102 0.378tms:valence:lang 2922 2922 1 2533.2 0.1230 0.72579 2533.2 0.72579 0.728tms:ttype:lang 2347 2347 1 2533.1 0.0988 0.75328 2533.1 0.75328 0.756valence:ttype:lang 12511 12511 1 2533.2 0.5269 0.46799 2533.2 0.46799 0.470tms:valence:ttype:lang 12 12 1 2533.2 0.0005 0.98174 2533.2 0.98174 0.980
- > Follow-up tests to unpack the interaction between “valence” and “language”:
- lang = L1:valence emmean SE df lower.CL upper.CLUni 611 32.2 24.5 544 677Bi 770 32.4 25.2 704 837
- lang = L2:valence emmean SE df lower.CL upper.CLUni 604 32.2 24.5 537 670Bi 735 32.4 25.0 669 802
- Results are averaged over the levels of: tms, ttypeDegrees-of-freedom method: kenward-rogerConfidence level used: 0.95
- contrast lang estimate SE df t.ratio p.valueUni - Bi L1 −159 9.08 2570 −17.558 <0.0001Uni - Bi L2 −131 8.83 2570 −14.878 <0.0001
- Results are averaged over the levels of: tms, ttypeDegrees-of-freedom method: kenward-rogerP value adjustment: bonferroni method for 2 tests
- > Follow-up tests to unpack the marginal interaction between “TMS location” and “valence”:
- tms = vt:valence emmean SE df lower.CL upper.CLUni 603 32.2 24.5 536 669Bi 736 32.4 25.1 670 803
- tms = ps:valence emmean SE df lower.CL upper.CLUni 612 32.2 24.5 546 679Bi 769 32.4 25.0 702 836
- Results are averaged over the levels of: ttype, langDegrees-of-freedom method: kenward-rogerConfidence level used: 0.95
- contrast tms estimate SE df t.ratio p.valueUni - Bi vt -134 8.95 2570 -14.952 <0.0001Uni - Bi ps -157 8.85 2569 -17.740 <0.0001
- Results are averaged over the levels of: ttype, langDegrees-of-freedom method: kenward-rogerP value adjustment: bonferroni method for 2 tests
References
- French, R.M.; Jacquet, M. Understanding bilingual memory: Models and data. Trends Cogn. Sci. 2004, 8, 87–93. [Google Scholar] [CrossRef] [PubMed]
- Green, D.W. Mental control of the bilingual lexico-semantic system. Biling. Lang. Cogn. 1998, 1, 67–81. [Google Scholar] [CrossRef]
- Meuter, R.F.; Allport, A. bilingual language switching in naming: Asymmetrical costs of language selection. J. Mem. Lang. 1999, 40, 25–40. [Google Scholar] [CrossRef]
- Jackson, G.M.; Swainson, R.; Cunnington, R.; Jackson, S.R. ERP correlates of executive control during repeated language switching. Biling. Lang. Cogn. 2001, 4, 169–178. [Google Scholar] [CrossRef]
- Costa, A.; Santesteban, M. Lexical access in bilingual speech production: Evidence from language switching in highly proficient bilinguals and L2 learners. J. Mem. Lang. 2004, 50, 491–511. [Google Scholar] [CrossRef]
- Philipp, A.M.; Gade, M.; Koch, I. Inhibitory processes in language switching: Evidence from switching language-defined response sets. Eur. J. Cogn. Psychol. 2007, 19, 395–416. [Google Scholar] [CrossRef]
- Schwieter, J.W.; Sunderman, G. Language switching in bilingual speech production: In search of the language-specific selection mechanism. Ment. Lex. 2008, 3, 214–238. [Google Scholar] [CrossRef]
- Fink, A.; Goldrick, M. Pervasive benefits of preparation in language switching. Psychon. Bull. Rev. 2014, 22, 808–814. [Google Scholar] [CrossRef]
- Heikoop, K.W.; Declerck, M.; Los, S.A.; Koch, I. Dissociating language-switch costs from cue-switch costs in bilingual language switching. Biling. Lang. Cogn. 2016, 19, 921–927. [Google Scholar] [CrossRef]
- Abutalebi, J.; Green, D.W. Control mechanisms in bilingual language production: Neural evidence from language switching studies. Lang. Cogn. Process. 2008, 23, 557–582. [Google Scholar] [CrossRef]
- Campbell, J.I.D. Asymmetrical language switching costs in Chinese–English bilinguals’ number naming and simple arithmetic. Biling. Lang. Cogn. 2005, 8, 85–91. [Google Scholar] [CrossRef]
- Costa, A.; Santesteban, M.; Ivanova, I. How do highly proficient bilinguals control their lexicalization process? Inhibitory and language-specific selection mechanisms are both functional. J. Exp. Psychol. Learn. Mem. Cogn. 2006, 32, 1057–1074. [Google Scholar] [CrossRef] [PubMed]
- Zhu, J.D.; Seymour, R.A.; Szakay, A.; Sowman, P.F. Neuro-dynamics of executive control in bilingual language switching: An MEG study. Cognition 2020, 199, 104247. [Google Scholar] [CrossRef] [PubMed]
- Verhoef, K.; Roelofs, A.; Chwilla, D.J. Role of inhibition in language switching: Evidence from event-related brain potentials in overt picture naming. Cognition 2009, 110, 84–99. [Google Scholar] [CrossRef] [PubMed]
- Finkbeiner, M.; Almeida, J.; Janssen, N.; Caramazza, A. Lexical selection in bilingual speech production does not involve language suppression. J. Exp. Psychol. Learn. Mem. Cogn. 2006, 32, 1075–1089. [Google Scholar] [CrossRef]
- Reynolds, M.G.; Schlöffel, S.; Peressotti, F. Asymmetric switch costs in numeral naming and number word reading: Implications for models of bilingual language production. Front. Psychol. 2016, 6, 2011. [Google Scholar] [CrossRef]
- Gollan, T.H.; Ferreira, V.S. Should I stay or should I switch? A cost–benefit analysis of voluntary language switching in young and aging bilinguals. J. Exp. Psychol. Learn. Mem. Cogn. 2009, 35, 640–665. [Google Scholar] [CrossRef]
- Martin, C.D.; Strijkers, K.; Santesteban, M.; Escera, C.; Hartsuiker, R.J.; Costa, A. The impact of early bilingualism on controlling a language learned late: An ERP study. Front. Psychol. 2013, 4, 815. [Google Scholar] [CrossRef]
- Bobb, S.C.; Wodniecka, Z. Language switching in picture naming: What asymmetric switch costs (do not) tell us about inhibition in bilingual speech planning. J. Cogn. Psychol. 2013, 25, 568–585. [Google Scholar] [CrossRef]
- Declerck, M.; Philipp, A.M. A review of control processes and their locus in language switching. Psychon. Bull. Rev. 2015, 22, 1630–1645. [Google Scholar] [CrossRef]
- Hanulová, J.; Davidson, D.J.; Indefrey, P. Where does the delay in L2 picture naming come from? Psycholinguistic and neurocognitive evidence on second language word production. Lang. Cogn. Process. 2011, 26, 902–934. [Google Scholar] [CrossRef]
- Kroll, J.F.; Bobb, S.C.; Misra, M.; Guo, T. Language selection in bilingual speech: Evidence for inhibitory processes. Acta Psychol. 2008, 128, 416–430. [Google Scholar] [CrossRef] [PubMed]
- Gollan, T.H.; Kleinman, D.; Wierenga, C.E. What’s easier: Doing what you want, or being told what to do? Cued versus voluntary language and task switching. J. Exp. Psychol. Gen. 2014, 143, 2167–2195. [Google Scholar] [CrossRef] [PubMed]
- Christoffels, I.K.; Firk, C.; Schiller, N.O. Bilingual language control: An event-related brain potential study. Brain Res. 2007, 1147, 192–208. [Google Scholar] [CrossRef]
- Verhoef, K.M.W.; Roelofs, A.; Chwilla, D.J. Electrophysiological evidence for endogenous control of attention in switching between languages in overt picture naming. J. Cogn. Neurosci. 2010, 22, 1832–1843. [Google Scholar] [CrossRef]
- Hernandez, A.E.; Dapretto, M.; Mazziotta, J.; Bookheimer, S.Y. Language switching and language representation in Spanish–English bilinguals: An fMRI study. NeuroImage 2001, 14, 510–520. [Google Scholar] [CrossRef]
- Wang, Y.; Xue, G.; Chen, C.; Xue, F.; Dong, Q. Neural bases of asymmetric language switching in second-language learners: An ER-fMRI study. NeuroImage 2007, 35, 862–870. [Google Scholar] [CrossRef]
- Abutalebi, J.; Annoni, J.M.; Zimine, I.; Pegna, A.J.; Seghier, M.L.; Lee-Jahnke, H.; Lazeyras, F.; Cappa, S.F.; Khateb, A. Language Control and Lexical Competition in Bilinguals: An event-related fMRI study. Cereb. Cortex 2008, 18, 1496–1505. [Google Scholar] [CrossRef]
- Garbin, G.; Costa, A.; Sanjuán, A.; Forn, C.; Rodriguez-Pujadas, A.; Ventura, N.; Belloch, V.; Hernández, M.; Ávila, C. Neural bases of language switching in high and early proficient bilinguals. Brain Lang. 2011, 119, 129–135. [Google Scholar] [CrossRef]
- Abutalebi, J.; Della Rosa, P.A.; Green, D.W.; Hernández, M.; Scifo, P.; Keim, R.; Cappa, S.F.; Costa, A. Bilingualism Tunes the Anterior Cingulate Cortex for Conflict Monitoring. Cereb. Cortex 2011, 22, 2076–2086. [Google Scholar] [CrossRef]
- Kroll, J.F.; Bialystok, E. Understanding the consequences of bilingualism for language processing and cognition. J. Cogn. Psychol. 2013, 25, 497–514. [Google Scholar] [CrossRef] [PubMed]
- Green, D.W.; Abutalebi, J. Language control in bilinguals: The adaptive control hypothesis. J. Cogn. Psychol. 2013, 25, 515–530. [Google Scholar] [CrossRef] [PubMed]
- Abutalebi, J.; Green, D.W. Bilingual language production: The neurocognition of language representation and control. J. Neurolinguist. 2007, 20, 242–275. [Google Scholar] [CrossRef]
- Wang, Y.; Kuhl, P.K.; Chen, C.; Dong, Q. Sustained and transient language control in the bilingual brain. NeuroImage 2009, 47, 414–422. [Google Scholar] [CrossRef]
- Abutalebi, J.; Della Rosa, P.A.; Ding, G.; Weekes, B.; Costa, A.; Green, D.W. Language proficiency modulates the engagement of cognitive control areas in multilinguals. Cortex 2013, 49, 905–911. [Google Scholar] [CrossRef]
- de Bruin, A.; Roelofs, A.; Dijkstra, T.; Fitzpatrick, I. Domain-general inhibition areas of the brain are involved in language switching: FMRI evidence from trilingual speakers. NeuroImage 2014, 90, 348–359. [Google Scholar] [CrossRef]
- De Baene, W.; Duyck, W.; Brass, M.; Carreiras, M. Brain circuit for cognitive control is shared by task and language switching. J. Cogn. Neurosci. 2015, 27, 1752–1765. [Google Scholar] [CrossRef]
- Fedorenko, E.; Duncan, J.; Kanwisher, N. Broad domain generality in focal regions of frontal and parietal cortex. Proc. Natl. Acad. Sci. USA 2013, 110, 16616–16621. [Google Scholar] [CrossRef]
- Aron, A.R.; Durston, S.; Eagle, D.M.; Logan, G.D.; Stinear, C.M.; Stuphorn, V. Converging evidence for a fronto-basal-ganglia network for inhibitory control of action and cognition. J. Neurosci. 2007, 27, 11860–11864. [Google Scholar] [CrossRef]
- Xue, G.; Aron, A.R.; Poldrack, R.A. Common neural substrates for inhibition of spoken and manual responses. Cereb. Cortex 2008, 18, 1923–1932. [Google Scholar] [CrossRef]
- Nachev, P.; Kennard, C.; Husain, M. Functional role of the supplementary and pre-supplementary motor areas. Nat. Rev. Neurosci. 2008, 9, 856–869. [Google Scholar] [CrossRef] [PubMed]
- Luk, G.; Green, D.W.; Abutalebi, J.; Grady, C. Cognitive control for language switching in bilinguals: A quantitative meta-analysis of functional neuroimaging studies. Lang. Cogn. Process. 2012, 27, 1479–1488. [Google Scholar] [CrossRef] [PubMed]
- Weissman-Fogel, I.; Granovsky, Y. The “virtual lesion” approach to transcranial magnetic stimulation: Studying the brain–behavioral relationships in experimental pain. Pain Rep. 2019, 4. [Google Scholar] [CrossRef] [PubMed]
- De Groot, A.M.; Christoffels, I.K. Language control in bilinguals: Monolingual tasks and simultaneous interpreting. Biling. Lang. Cogn. 2006, 9, 189–201. [Google Scholar] [CrossRef]
- Guo, T.; Liu, H.; Misra, M.; Kroll, J.F. Local and global inhibition in bilingual word production: fMRI evidence from Chinese–English bilinguals. NeuroImage 2011, 56, 2300–2309. [Google Scholar] [CrossRef]
- Van Assche, E.; Duyck, W.; Gollan, T.H. Whole-language and item-specific control in bilingual language production. J. Exp. Psychol. Learn. Mem. Cogn. 2013, 39, 1781–1792. [Google Scholar] [CrossRef]
- De Groot, A.M. Language and Cognition in Bilinguals and Multilinguals: An Introduction; Psychology Press: London, UK, 2011.
- Philipp, A.M.; Koch, I. Inhibition in language switching: What is inhibited when switching between languages in naming tasks? J. Exp. Psychol. Learn. Mem. Cogn. 2009, 35, 1187. [Google Scholar] [CrossRef]
- Misra, M.; Guo, T.; Bobb, S.C.; Kroll, J.F. When bilinguals choose a single word to speak: Electrophysiological evidence for inhibition of the native language. J. Mem. Lang. 2012, 67, 224–237. [Google Scholar] [CrossRef]
- Branzi, F.M.; Martin, C.D.; Abutalebi, J.; Costa, A. The after-effects of bilingual language production. Neuropsychologia 2014, 52, 102–116. [Google Scholar] [CrossRef]
- Branzi, F.M.; Della Rosa, P.A.; Canini, M.; Costa, A.; Abutalebi, J. Language control in bilinguals: Monitoring and response selection. Cereb. Cortex 2016, 26, 2367–2380. [Google Scholar] [CrossRef]
- Gollan, T.H.; Weissberger, G.H.; Runnqvist, E.; Montoya, R.I.; Cera, C.M. Self-ratings of Spoken Language Dominance: A Multi-Lingual Naming Test (MINT) and Preliminary Norms for Young and Aging Spanish-English Bilinguals. Biling. (Camb. Engl.) 2012, 15, 594–615. [Google Scholar] [CrossRef] [PubMed]
- Kleinman, D.; Gollan, T.H. Speaking Two Languages for the Price of One: Bypassing Language Control Mechanisms via Accessibility-Driven Switches. Psychol. Sci. 2016, 27, 700–714. [Google Scholar] [CrossRef] [PubMed]
- R: A Language and Environment for Statistical Computing; Version 3.4.4; R Foundation for Statistical Computing: Vienna, Austria, 2018.
- Bates, D.; Mächler, M.; Bolker, B.; Walker, S. Fitting linear mixed-effects models using lme4. J. Stat. Softw. 2015, 67, 1–48. [Google Scholar] [CrossRef]
- Feng, C.; Wang, H.; Lu, N.; Chen, T.; He, H.; Lu, Y. Log-transformation and its implications for data analysis. Shanghai Arch. Psychiatry 2014, 26, 105–109. [Google Scholar] [PubMed]
- Kherad-Pajouh, S.; Renaud, O. An exact permutation method for testing any effect in balanced and unbalanced fixed effect ANOVA. Comput. Stat. Data Anal. 2010, 54, 1881–1893. [Google Scholar] [CrossRef]
- Luo, D.; Ganesh, S.; Koolaard, J. Package ‘Predictmeans’: Calculate Predicted Means for Linear Models. R Package Version 1.0.2. 2014.
- Sale, M.V.; Ridding, M.C.; Nordstrom, M.A. Cortisol inhibits neuroplasticity induction in human motor cortex. J. Neurosci. 2008, 28, 8285–8293. [Google Scholar] [CrossRef]
- Cai, W.; George, J.S.; Verbruggen, F.; Chambers, C.D.; Aron, A.R. The role of the right presupplementary motor area in stopping action: Two studies with event-related transcranial magnetic stimulation. J. Neurophysiol. 2012, 108, 380–389. [Google Scholar] [CrossRef]
- Tremblay, P.; Gracco, V.L. Contribution of the pre-SMA to the production of words and non-speech oral motor gestures, as revealed by repetitive transcranial magnetic stimulation (rTMS). Brain Res. 2009, 1268, 112–124. [Google Scholar] [CrossRef]
- Huang, Y.-Z.; Edwards, M.J.; Rounis, E.; Bhatia, K.P.; Rothwell, J.C. Theta burst stimulation of the human motor cortex. Neuron 2005, 45, 201–206. [Google Scholar] [CrossRef]
- Huang, Y.-Z.; Chen, R.-S.; Rothwell, J.C.; Wen, H.-Y. The after-effect of human theta burst stimulation is NMDA receptor dependent. Clin. Neurophysiol. 2007, 118, 1028–1032. [Google Scholar] [CrossRef]
- Dietrich, S.; Hertrich, I.; Ackermann, H.; Ziemann, U.; Müller-Dahlhaus, F. Transient suppression of speech comprehension by continuous theta-burst magnetic stimulation of the pre-SMA. Clin. Neurophysiol. 2015, 126, e131–e132. [Google Scholar] [CrossRef]
- Chiou, R.; Sowman, P.F.; Etchell, A.C.; Rich, A.N. A conceptual lemon: Theta burst stimulation to the left anterior temporal lobe untangles object representation and its canonical color. J. Cogn. Neurosci. 2014, 26, 1066–1074. [Google Scholar] [CrossRef] [PubMed]
- Yi, X.; Fisher, K.M.; Lai, M.; Mansoor, K.; Bicker, R.; Baker, S.N. Differences between Han Chinese and Caucasians in transcranial magnetic stimulation parameters. Exp. Brain Res. 2014, 232, 545–553. [Google Scholar] [CrossRef]
- Vernet, M.; Bashir, S.; Yoo, W.K.; Oberman, L.; Mizrahi, I.; Ifert-Miller, F.; Beck, C.J.; Pascual-Leone, A. Reproducibility of the effects of theta burst stimulation on motor cortical plasticity in healthy participants. Clin. Neurophysiol. 2014, 125, 320–326. [Google Scholar] [CrossRef] [PubMed]
- Alario, F.-X.; Chainay, H.; Lehéricy, S.; Cohen, L. The role of the supplementary motor area (SMA) in word production. Brain Res. 2006, 1076, 129–143. [Google Scholar] [CrossRef] [PubMed]
- Van Heuven, W.J.; Schriefers, H.; Dijkstra, T.; Hagoort, P. Language conflict in the bilingual brain. Cereb. Cortex 2008, 18, 2706–2716. [Google Scholar] [CrossRef] [PubMed]
- Price, C.J. The anatomy of language: A review of 100 fMRI studies published in 2009. Ann. N. Y. Acad. Sci. 2010, 1191, 62–88. [Google Scholar] [CrossRef]
- Obeso, I.; Robles, N.; Muñoz-Marrón, E.; Redolar-Ripoll, D. Dissociating the Role of the pre-SMA in Response Inhibition and Switching: A Combined Online and Offline TMS Approach. Front. Hum. Neurosci. 2013, 7, 150. [Google Scholar] [CrossRef] [PubMed]
- Costa, A.; Caramazza, A. Is lexical selection in bilingual speech production language-specific? Further evidence from Spanish–English and English–Spanish bilinguals. Biling. Lang. Cogn. 1999, 2, 231–244. [Google Scholar] [CrossRef]
- Costa, A.; Miozzo, M.; Caramazza, A. Lexical selection in bilinguals: Do words in the bilingual’s two lexicons compete for selection? J. Mem. Lang. 1999, 41, 365–397. [Google Scholar] [CrossRef]
- La Heij, W. Selection Processes in Monolingual and Bilingual Lexical Access. In Handbook of Bilingualism: Psycholinguistic Approaches; Kroll, J.F., de Groot, A.M.B., Eds.; Oxford University Press: Oxford, UK, 2005; pp. 289–307. [Google Scholar]
- Finkbeiner, M.; Gollan, T.H.; Caramazza, A. Lexical access in bilingual speakers: What’s the (hard) problem? Biling. Lang. Cogn. 2006, 9, 153–166. [Google Scholar] [CrossRef]
- Runnqvist, E.; Strijkers, K.; Alario, F.-X.; Costa, A. Cumulative semantic interference is blind to language: Implications for models of bilingual speech production. J. Mem. Lang. 2012, 66, 850–869. [Google Scholar] [CrossRef]
- Howard, D.; Nickels, L.; Coltheart, M.; Cole-Virtue, J. Cumulative semantic inhibition in picture naming: Experimental and computational studies. Cognition 2006, 100, 464–482. [Google Scholar] [CrossRef] [PubMed]
- Oppenheim, G.M.; Dell, G.S.; Schwartz, M.F. The dark side of incremental learning: A model of cumulative semantic interference during lexical access in speech production. Cognition 2010, 114, 227–252. [Google Scholar] [CrossRef] [PubMed]
- Finkbeiner, M.; Forster, K.; Nicol, J.; Nakamura, K. The role of polysemy in masked semantic and translation priming. J. Mem. Lang. 2004, 51, 1–22. [Google Scholar] [CrossRef]
- Hommel, B. Event Files: Evidence for automatic integration of stimulus-response episodes. Vis. Cogn. 1998, 5, 183–216. [Google Scholar] [CrossRef]
- Heidegger, T.; Hansen-Goos, O.; Batlaeva, O.; Annak, O.; Ziemann, U.; Lotsch, J. A data-driven approach to responder subgroup identification after paired continuous theta burst stimulation. Front. Hum. Neurosci. 2017, 11, 382. [Google Scholar] [CrossRef]
- Murteira, A.; Sowman, P.F.; Nickels, L. Does TMS disruption of the left primary motor cortex affect verb retrieval following exposure to pantomimed gestures? Front. Neurosci. 2018, 12, 920. [Google Scholar] [CrossRef]
- Pestalozzi, M.I.; Annoni, J.-M.; Müri, R.M.; Jost, L.B. Effects of theta burst stimulation over the dorsolateral prefrontal cortex on language switching—A behavioral and ERP study. Brain Lang. 2020, 205, 104775. [Google Scholar] [CrossRef]







| Characteristic | Mean | SD |
|---|---|---|
| Age | 28.2 | 5.8 |
| Age of first exposure to Mandarin | 1.9 | 2.9 |
| Age of first exposure to English | 10.0 | 3.0 |
| Mandarin MINT score a | 60.9 | 4.4 |
| English MINT score a | 53.4 | 6.3 |
| Mandarin listening ability b | 6.6 | 0.9 |
| Mandarin speaking ability b | 6.4 | 0.9 |
| Mandarin reading ability b | 6.7 | 0.8 |
| Mandarin writing ability b | 6.5 | 0.9 |
| English listening ability b | 5.5 | 0.9 |
| English speaking ability b | 5.0 | 0.8 |
| English reading ability b | 5.9 | 0.5 |
| English writing ability b | 5.0 | 0.6 |
| Percent Mandarin use currently c | 47.1 | 24.9 |
| Percent English use currently c | 48.9 | 20.6 |
| Percent Mandarin use during childhood c | 75.2 | 35.4 |
| Percent English use during childhood c | 8.4 | 9.6 |
| Switching frequency currently d | 4.2 | 1.2 |
| Switching frequency in childhood d | 2.1 | 1.5 |
| Univalent | Bivalent | Univalent | Bivalent | |||||
|---|---|---|---|---|---|---|---|---|
| L1 | L2 | L1 | L2 | L1 | L2 | L1 | L2 | |
| Stay | 694 | 661 | 883 | 769 | 1.1% | 1.7% | 16.7% | 11.7% |
| Switch | 714 | 685 | 888 | 802 | 3.9% | 1.7% | 21.1% | 13.9% |
| Characteristic | Mean | SD |
|---|---|---|
| Age | 24.6 | 4.9 |
| Age of first exposure to Mandarin | 1.5 | 2.3 |
| Age of first exposure to English | 8.6 | 3.8 |
| Mandarin MINT score a | 60.8 | 4.5 |
| English MINT score a | 47.4 | 8.4 |
| Mandarin listening ability b | 6.8 | 0.7 |
| Mandarin speaking ability b | 6.6 | 0.9 |
| Mandarin reading ability b | 6.8 | 0.5 |
| Mandarin writing ability b | 6.5 | 0.9 |
| English listening ability b | 5.4 | 0.9 |
| English speaking ability b | 4.9 | 1.1 |
| English reading ability b | 5.4 | 0.9 |
| English writing ability b | 4.9 | 1.0 |
| Percent Mandarin use currently c | 61.2 | 21.9 |
| Percent English use currently c | 35.4 | 17.1 |
| Percent Mandarin use during childhood c | 81.9 | 22.9 |
| Percent English use during childhood c | 10.6 | 11.0 |
| Switching frequency currently d | 3.8 | 1.1 |
| Switching frequency in childhood d | 2.0 | 1.1 |
| Control Site | Pre-SMA | |||||||
| Univalent | Bivalent | Univalent | Bivalent | |||||
| L1 | L2 | L1 | L2 | L1 | L2 | L1 | L2 | |
| Stay | 598 | 588 | 759 | 727 | 606 | 602 | 778 | 756 |
| Switch | 616 | 611 | 744 | 731 | 628 | 618 | 791 | 773 |
| Control Site | Pre-SMA | |||||||
| Univalent | Bivalent | Univalent | Bivalent | |||||
| L1 | L2 | L1 | L2 | L1 | L2 | L1 | L2 | |
| Stay | 3.1% | 1.0% | 23.4% | 24.0% | 3.1% | 0.5% | 34.9% | 17.7% |
| Switch | 4.2% | 3.1% | 32.8% | 26.0% | 5.2% | 2.1% | 27.1% | 26.0% |
© 2020 by the authors. Licensee MDPI, Basel, Switzerland. This article is an open access article distributed under the terms and conditions of the Creative Commons Attribution (CC BY) license (http://creativecommons.org/licenses/by/4.0/).
Share and Cite
Zhu, J.D.; Sowman, P.F. Whole-Language and Item-Specific Inhibition in Bilingual Language Switching: The Role of Domain–General Inhibitory Control. Brain Sci. 2020, 10, 517. https://doi.org/10.3390/brainsci10080517
Zhu JD, Sowman PF. Whole-Language and Item-Specific Inhibition in Bilingual Language Switching: The Role of Domain–General Inhibitory Control. Brain Sciences. 2020; 10(8):517. https://doi.org/10.3390/brainsci10080517
Chicago/Turabian StyleZhu, Judy D., and Paul F. Sowman. 2020. "Whole-Language and Item-Specific Inhibition in Bilingual Language Switching: The Role of Domain–General Inhibitory Control" Brain Sciences 10, no. 8: 517. https://doi.org/10.3390/brainsci10080517
APA StyleZhu, J. D., & Sowman, P. F. (2020). Whole-Language and Item-Specific Inhibition in Bilingual Language Switching: The Role of Domain–General Inhibitory Control. Brain Sciences, 10(8), 517. https://doi.org/10.3390/brainsci10080517

