Endovascular Treatment of Stroke Caused by Carotid Artery Dissection
Abstract
1. Introduction
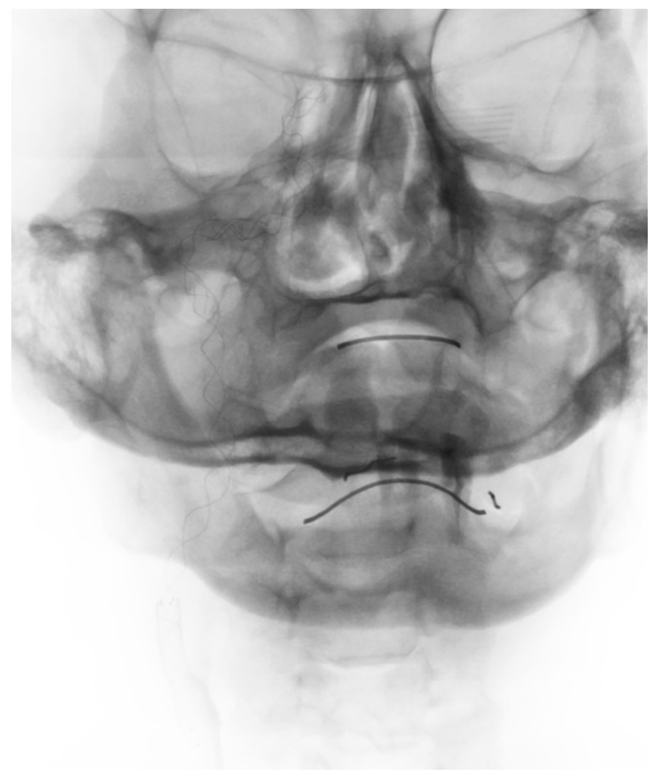
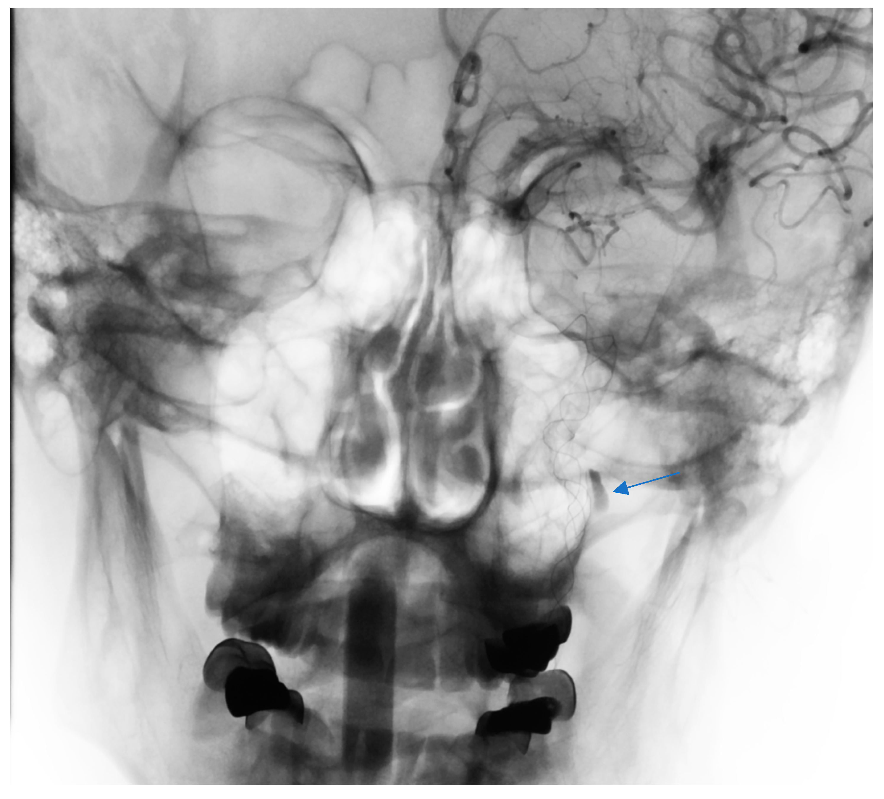
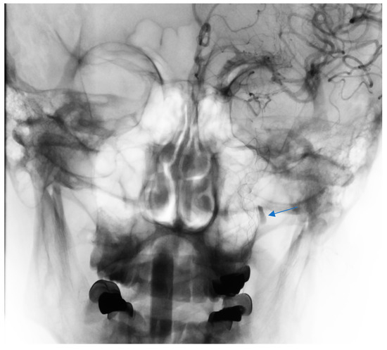
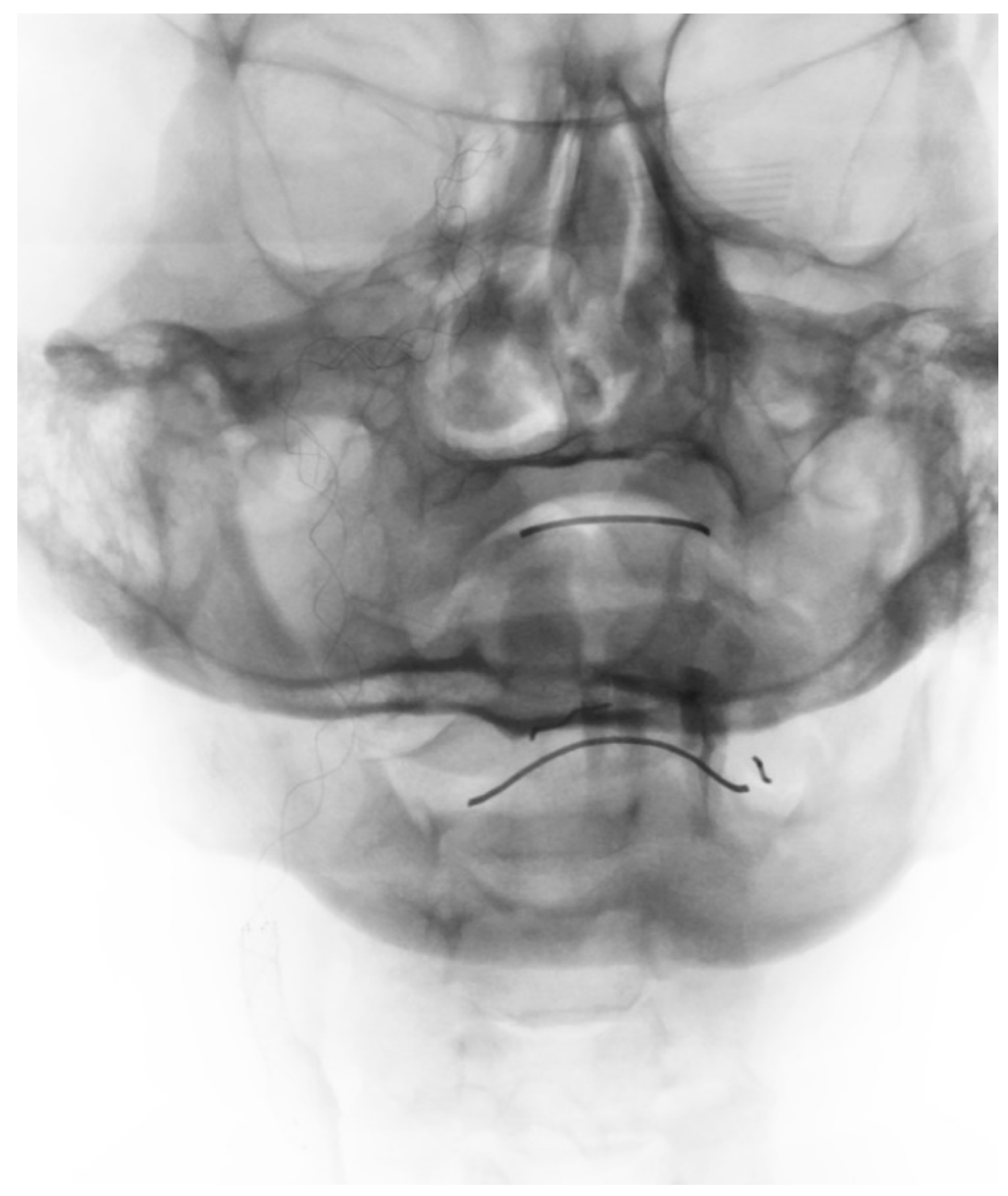
2. Case Presentation
3. Discussion
4. Conclusions and Future Directions
Author Contributions
Funding
Conflicts of Interest
Abbreviations
| CT | Computed tomography |
| DSA | Digital subtraction arteriography |
| ER | Emergency Room |
| GCS | Glasgow Coma Scale |
| mRS | modified Rankin Scale |
| ICA | Internal carotid artery |
| ICU | Intensive Care Unit |
| MCA | Middle cerebral artery |
| MRA | Magnetic resonance angiography |
| MRI | Magnetic resonance imaging |
| NIHSS | National Institute of Health Stroke Scale |
| ICA segments | Bouthillier classification (C1–C7) |
| LVO: | Large vessel occlusion |
| ASA | acetylsalicylic acid |
| MT | mechanical thrombectomy |
| EVT | endovascular treatment |
| LMWH | low molecular weight heparin |
| ICH | intracranial hemorrhage |
| ASPECTS | Alberta Stroke Program Early CT score |
References
- Rennert, R.C.; Wali, A.R.; Steinberg, J.A.; Santiago-Dieppa, D.R.; Olson, S.E.; Pannell, J.S.; Khalessi, A.A. Epidemiology, Natural History, and Clinical Presentation of Large Vessel Ischemic Stroke. Neurosurgery 2019, 85 (Suppl. 1), S4–S8. [Google Scholar] [CrossRef]
- Nagumo, K.; Nakamori, A.; Kojima, S. Spontaneous intracranial internal carotidartery dissection: 6 case reports and a review of 39 cases in the literature. Rinsho Shinkeigaku 2003, 43, 313–321. [Google Scholar]
- Chandra, A.; Suliman, A.; Angle, N. Spontaneous dissection of the carotid andvertebral arteries: The 10-year UCSD experience. Ann. Vasc. Surg. 2007, 21, 178–185. [Google Scholar] [CrossRef]
- Fusca, M.R.; Harrigan, M.R. Cerebrovascular dissections—A review part I: Spontaneous dissections. Neurosurgery 2011, 68, 242–257. [Google Scholar] [CrossRef] [PubMed]
- Mehdi, E.; Aralasmak, A.; Toprak, H.; Yıldız, S.; Kurtcan, S.; Kolukisa, M.; Asıl, T.; Alkan, A. Craniocervical Dissections: Radiologic Findings, Pitfalls, Mimicking Diseases: A Pictorial Review. Curr. Med. Imaging Rev. 2018, 14, 207–222. [Google Scholar] [CrossRef] [PubMed]
- Biffl, W.L.; Moore, E.E.; Offner, P.J.; Brega, K.E.; Franciose, R.J.; Burch, J.M. Blunt Carotid Arterial Injuries: Implications of a New Grading Scale. J. Trauma Inj. Infect. Crit. Care 1999, 47, 845–853. [Google Scholar] [CrossRef] [PubMed]
- Biffl, W.L.; Moore, E.E.; Offner, P.J.; Burch, J.M. Blunt Carotid and Vertebral Arterial Injuries. World J. Surg. 2001, 25, 1036–1043. [Google Scholar] [CrossRef]
- Stence, N.V.; Fenton, L.Z.; Goldenberg, N.A.; Armstrong-Wells, J.; Bernard, T.J. Craniocervical arterial dissectionin children: Diagnosis and treatment. Curr. Treat. Options Neurol. 2011, 13, 636–648. [Google Scholar] [CrossRef]
- Brott, T.G.; Halperin, J.L.; Abbara, S.; Bacharach, J.M.; Barr, J.D.; Bush, R.L.; Cates, C.U.; Creager, M.A.; Fowler, S.B.; Friday, G.; et al. 2011 ASA/ACCF/AHA/AANN/AANS/ACR/ASNR/CNS/SAIP/SCAI/SIR/SNIS/SVM/SVS guideline on the management of patients with extracranial carotid and vertebral artery disease. Stroke 2011, 42, e420–e463. [Google Scholar]
- Lyrer, P.; Engelter, S.T. Antithrombotic drugs for carotid artery dissection. Cochrane Database Syst. Rev. 2010, 10, CD000255. [Google Scholar] [CrossRef]
- Lavallée, P.C.; Mazighi, M.; Saint-Maurice, J.-P.; Meseguer, E.; Abboud, H.; Klein, I.F.; Houdart, E.; Amarenco, P. Stent-Assisted Endovascular Thrombolysis Versus Intravenous Thrombolysis in Internal Carotid Artery Dissection with Tandem Internal Carotid and Middle Cerebral Artery Occlusion. Stroke 2007, 38, 2270–2274. [Google Scholar] [CrossRef]
- Mourand, I.; Brunel, H.; Vendrell, J.-F.; Thouvenot, E.; Bonafé, A. Endovascular stent-assisted thrombolysis in acute occlusive carotid artery dissection. Neuroradiology 2010, 52, 135–140. [Google Scholar] [CrossRef] [PubMed]
- Wahlgren, N.; Moreira, T.; Michel, P.; Steiner, T.; Jansen, O.; Cognard, C.; Mattle, H.P.; van Zwam, W.; Holmin, S.; Tatlisumak, T.; et al. Mechanical thrombectomy in acute ischemic stroke: Consensus statement by ESO-Karolinska Stroke Update 2014/2015, supported by ESO, ESMINT, ESNR and EAN. Int. J. Stroke 2016, 11, 134–147. [Google Scholar] [CrossRef]
- Procházka, V.; Jonszta, T.; Czerny, D.; Krajca, J.; Roubec, M.; Hurtikova, E.; Urbanec, R.; Streitová, D.; Pavliska, L.; Vrtkova, A. Comparison of Mechanical Thrombectomy with Contact Aspiration, Stent Retriever, and Combined Procedures in Patients with Large-Vessel Occlusion in Acute Ischemic Stroke. Med. Sci. Monit. 2018, 24, 9342–9353. [Google Scholar] [CrossRef] [PubMed]
- Lee, J.S.; Hong, J.M.; Lee, S.J.; Joo, I.S.; Lim, Y.C.; Kim, S.Y. The combined use of mechanical thrombectomy devices is feasible for treating acute carotid terminus occlusion. Acta Neurochir. 2013, 155, 635–641. [Google Scholar] [CrossRef]
- Humphries, W.; Hoit, D.; Doss, V.T.; Elijovich, L.; Frei, D.; Loy, D.; Dooley, G.; Turk, A.S.; Chaudry, I.; Turner, R.; et al. Distal aspiration with retrievable stent assisted thrombectomy for the treatment of acute ischemic stroke. J. NeuroInterventional Surg. 2015, 7, 90–94. [Google Scholar] [CrossRef]
- Wang, Y.; Chen, W.; Lin, Y.; Meng, X.; Chen, G.; Wang, Z.; Wu, J.; Wang, D.; Li, J.; Cao, Y.; et al. Ticagrelor plus aspirin versus clopidogrel plus aspirin for platelet reactivity in patients with minor stroke or transient ischaemic attack: Open label, blinded endpoint, randomised controlled phase II trial. BMJ 2019, 365, l2211. [Google Scholar] [CrossRef]
- Stampfl, S.; Ringleb, P.A.; Mohlenbruch, M.; Hametner, C.; Herweh, C.; Pham, M.; Bosel, J.; Haehnel, S.; Bendszus, M.; Rohde, S. Emergency Cervical Internal Carotid Artery Stenting in Combination with Intracranial Thrombectomy in Acute Stroke. Am. J. Neuroradiol. 2014, 35, 741–746. [Google Scholar] [CrossRef] [PubMed]
- Matsubara, N.; Miyachi, S.; Tsukamoto, N.; Kojima, T.; Izumi, T.; Haraguchi, K.; Asai, T.; Yamanouchi, T.; Ota, K.; Wakabayashi, T. Endovascular intervention for acute cervical carotid artery occlusion. Acta Neurochir. 2013, 155, 1115–1123. [Google Scholar] [CrossRef]
- Papanagiotou, P.; Roth, C.; Walter, S.; Behnke, S.; Grunwald, I.Q.; Viera, J.; Politi, M.; Körner, H.; Kostopoulos, P.; Haass, A.; et al. Carotid Artery Stenting in Acute Stroke. J. Am. Coll. Cardiol. 2011, 58, 2363–2369. [Google Scholar] [CrossRef]
- Jadhav, A.P.; Zaidat, O.; Liebeskind, D.S.; Yavagal, D.R.; Haussen, D.; Hellinger, F.R.; Jahan, R.; Jumaa, M.A.; Szeder, V.; Nogueira, R.G.; et al. Emergent Management of Tandem Lesions in Acute Ischemic Stroke. Stroke 2019, 50, 428–433. [Google Scholar] [CrossRef]
- Zhu, F.; Anadani, M.; Labreuche, J.; Spiotta, A.; Turjman, F.; Piotin, M.; Steglich-Arnholm, H.; Holtmannspötter, M.; Taschner, C.; Eiden, S.; et al. Impact of Antiplatelet Therapy During Endovascular Therapy for Tandem Occlusions. Stroke 2020, 51, 1522–1529. [Google Scholar] [CrossRef]
- Nawabi, J.; Kniep, H.; Schön, G.; Flottmann, F.; Leischner, H.; Kabiri, R.; Sporns, P.; Kemmling, A.; Thomalla, G.; Fiehler, J.; et al. Hemorrhage After Endovascular Recanalization in Acute Stroke: Lesion Extent, Collaterals and Degree of Ischemic Water Uptake Mediate Tissue Vulnerability. Front. Neurol. 2019, 10, 569. [Google Scholar] [CrossRef] [PubMed]
- Dostovic, Z.; Dostovic, E.; Smajlovic, D.; Avdic, L.; Ibrahimagic, O.C. Brain Edema After Ischaemic Stroke. Med. Arch. 2016, 70, 339–341. [Google Scholar] [CrossRef] [PubMed]
- Barber, P.A.; Demchuk, A.M.; Zhang, J.; Buchan, A.M. Validity and reliability of a quantitative computed tomography score in predicting outcome of hyperacute stroke before thrombolytic therapy. Lancet 2000, 355, 1670–1674, Erratum in 2000, 355, 2170. [Google Scholar] [CrossRef]
- Ferraris, V.A.; Bernard, A.C.; Hyde, B.; Kearney, P.A. The impact of antiplatelet drugs on trauma outcomes. J. Trauma Acute Care Surg. 2012, 73, 492–497. [Google Scholar] [CrossRef]
- Hao, Y.; Zhang, Z.; Zhang, H.; Xu, L.; Ye, Z.; Dai, Q.; Liu, X.; Xu, G. Risk of Intracranial Hemorrhage after Endovascular Treatment for Acute Ischemic Stroke: Systematic Review and Meta-Analysis. Interv. Neurol. 2017, 6, 57–64. [Google Scholar] [CrossRef]
- Salman, M.M.; Marsh, G.; Kusters, I.; Delincé, M.; Di Caprio, G.; Upadhyayula, S.; De Nola, G.; Hunt, R.; Ohashi, K.G.; Gray, T.; et al. Design and Validation of a Human Brain Endothelial Microvessel-on-a-Chip Open Microfluidic Model Enabling Advanced Optical Imaging. Front. Bioeng. Biotechnol. 2020, 8, 1077. [Google Scholar] [CrossRef]
- Zheng, Y.; Chen, J.; Craven, M.; Choi, N.W.; Totorica, S.; Diaz-Santana, A.; Kermani, P.; Hempstead, B.; Fischbach-Teschl, C.; López, J.A.; et al. In vitro microvessels for the study of angiogenesis and thrombosis. Proc. Natl. Acad. Sci. USA 2012, 109, 9342–9347. [Google Scholar] [CrossRef]





| Grade | Type of Dissection | Stroke in Carotid Artery Dissection (%) | Stroke in Vertebral Artery Dissection (%) |
|---|---|---|---|
| I | Luminal irregularity or dissection with < 25% luminal narrowing | 3 | 19 |
| II | Intimal flap or intramural hematoma with luminal narrowing ≥ 25% or intraluminal thrombus | 11 | 40 |
| III | Pseudoaneurysm | 33 | 13 |
| IV | Total occlusion | 44 | 33 |
| V | Transection and free bleeding | 100 | N/A |
Publisher’s Note: MDPI stays neutral with regard to jurisdictional claims in published maps and institutional affiliations. |
© 2020 by the authors. Licensee MDPI, Basel, Switzerland. This article is an open access article distributed under the terms and conditions of the Creative Commons Attribution (CC BY) license (http://creativecommons.org/licenses/by/4.0/).
Share and Cite
Meder, G.; Świtońska, M.; Płeszka, P.; Palacz-Duda, V.; Dzianott-Pabijan, D.; Sokal, P. Endovascular Treatment of Stroke Caused by Carotid Artery Dissection. Brain Sci. 2020, 10, 800. https://doi.org/10.3390/brainsci10110800
Meder G, Świtońska M, Płeszka P, Palacz-Duda V, Dzianott-Pabijan D, Sokal P. Endovascular Treatment of Stroke Caused by Carotid Artery Dissection. Brain Sciences. 2020; 10(11):800. https://doi.org/10.3390/brainsci10110800
Chicago/Turabian StyleMeder, Grzegorz, Milena Świtońska, Piotr Płeszka, Violetta Palacz-Duda, Dorota Dzianott-Pabijan, and Paweł Sokal. 2020. "Endovascular Treatment of Stroke Caused by Carotid Artery Dissection" Brain Sciences 10, no. 11: 800. https://doi.org/10.3390/brainsci10110800
APA StyleMeder, G., Świtońska, M., Płeszka, P., Palacz-Duda, V., Dzianott-Pabijan, D., & Sokal, P. (2020). Endovascular Treatment of Stroke Caused by Carotid Artery Dissection. Brain Sciences, 10(11), 800. https://doi.org/10.3390/brainsci10110800

