Pharmacoresistant Epilepsy in Childhood: Think of the Cerebral Folate Deficiency, a Treatable Disease
Abstract
1. Introduction
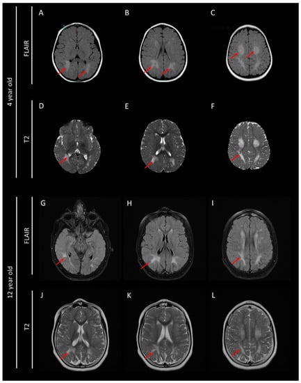
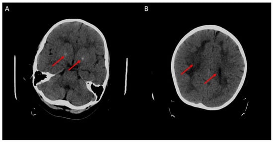
2. Case Presentation
3. Discussion
4. Conclusions
Author Contributions
Funding
Acknowledgments
Conflicts of Interest
Appendix A. List of Genes Analyzed in the NGS Folate Metabolism Panel
References
- Grapp, M.; Just, I.A.; Linnankivi, T.; Wolf, P.; Lücke, T.; Häusler, M.; Gärtner, J.; Steinfeld, R. Molecular characterization of folate receptor 1 mutations delineates cerebral folate transport deficiency. Brain 2012, 135, 2022–2031. [Google Scholar] [CrossRef]
- Imbard, A.; Benoist, J.F.; Blom, H.J. Neural tube defects, folic acid and methylation. Int. J. Environ. Res. Public Health 2013, 10, 4352–4389. [Google Scholar] [CrossRef]
- Frewin, R. Biochemical aspects of anaemia. In Clinical Biochemistry: Metabolic and Clinical Aspects: Third Edition; Churchill Livingstone, Elsevier: London, UK, 2014; pp. 515–532. ISBN 9780702054785. [Google Scholar]
- Cario, H.; Smith, D.E.C.; Blom, H.; Blau, N.; Bode, H.; Holzmann, K.; Pannicke, U.; Hopfner, K.P.; Rump, E.M.; Ayric, Z.; et al. Dihydrofolate reductase deficiency due to a homozygous DHFR mutation causes megaloblastic anemia and cerebral folate deficiency leading to severe neurologic disease. Am. J. Hum. Genet. 2011, 88, 226–231. [Google Scholar] [CrossRef]
- Scaglione, F.; Panzavolta, G. Folate, folic acid and 5-methyltetrahydrofolate are not the same thing. Xenobiotica 2014, 44, 480–488. [Google Scholar] [CrossRef]
- Pope, S.; Artuch, R.; Heales, S.; Rahman, S. Cerebral folate deficiency: Analytical tests and differential diagnosis. J. Inherit. Metab. Dis. 2019, 42, 655–672. [Google Scholar] [CrossRef]
- Zhao, R.; Aluri, S.; Goldman, I.D. The proton-coupled folate transporter (PCFT-SLC46A1) and the syndrome of systemic and cerebral folate deficiency of infancy: Hereditary folate malabsorption. Mol. Aspects Med. 2017, 53, 57–72. [Google Scholar] [CrossRef]
- Grapp, M.; Wrede, A.; Schweizer, M.; Hüwel, S.; Galla, H.J.; Snaidero, N.; Simons, M.; Bückers, J.; Low, P.S.; Urlaub, H.; et al. Choroid plexus transcytosis and exosome shuttling deliver folate into brain parenchyma. Nat. Commun. 2013, 4, 2123. [Google Scholar] [CrossRef]
- Jimenez, A.R.; Naz, N.; Miyan, J.A. Altered folate binding protein expression and folate delivery are associated with congenital hydrocephalus in the hydrocephalic Texas rat. J. Cereb. Blood Flow Metab. 2019, 39, 2061–2073. [Google Scholar] [CrossRef]
- Pérez-Dueñas, B.; Toma, C.; Ormazábal, A.; Muchart, J.; Sanmartí, F.; Bombau, G.; Serrano, M.; García-Cazorla, A.; Cormand, B.; Artuch, R. Progressive ataxia and myoclonic epilepsy in a patient with a homozygous mutation in the FOLR1 gene. J. Inherit. Metab. Dis. 2010, 33, 795–802. [Google Scholar] [CrossRef]
- Gordon, N. Cerebral Folate Deficiency Syndromes. Dev. Med. Child Neurol. 2009, 51, 180–182. [Google Scholar] [CrossRef]
- Karczewski, K.J.; Francioli, L.C.; Tiao, G.; Cummings, B.B.; Alföldi, J.; Wang, Q.; Collins, R.L.; Laricchia, K.M.; Ganna, A.; Birnbaum, D.P.; et al. The mutational constraint spectrum quantified from variation in 141,456 humans. Nature 2020, 581, 434–443. [Google Scholar] [CrossRef] [PubMed]
- Ng, P.C.; Henikoff, S. SIFT: Predicting amino acid changes that affect protein function. Nucleic Acids Res. 2003, 31, 3812–3814. [Google Scholar] [CrossRef] [PubMed]
- Adzhubei, I.A.; Schmidt, S.; Peshkin, L.; Ramensky, V.E.; Gerasimova, A.; Bork, P.; Kondrashov, A.S.; Sunyaev, S.R. A method and server for predicting damaging missense mutations. Nat. Methods 2010, 7, 248–249. [Google Scholar] [CrossRef] [PubMed]
- Rentzsch, P.; Witten, D.; Cooper, G.M.; Shendure, J.; Kircher, M. CADD: Predicting the deleteriousness of variants throughout the human genome. Nucleic Acids Res. 2019, 47, D886–D894. [Google Scholar] [CrossRef]
- Pejaver, V.; Urresti, J.; Lugo-Martinez, J.; Pagel, K.; Lin, G.N.; Nam, H.-J.; Mort, M.; Cooper, D.; Sebat, J.; Iakoucheva, L.; et al. MutPred2: Inferring the molecular and phenotypic impact of amino acid variants. bioRxiv 2017, 134981. [Google Scholar] [CrossRef]
- Schwarz, J.M.; Cooper, D.N.; Schuelke, M.; Seelow, D. Mutationtaster2: Mutation prediction for the deep-sequencing age. Nat. Methods 2014, 11, 361–362. [Google Scholar] [CrossRef]
- Cheng, J.; Randall, A.; Baldi, P. Prediction of protein stability changes for single-site mutations using support vector machines. Proteins Struct. Funct. Genet. 2006, 62, 1125–1132. [Google Scholar] [CrossRef]
- Parthiban, V.; Gromiha, M.M.; Schomburg, D. CUPSAT: Prediction of protein stability upon point mutations. Nucleic Acids Res. 2006, 34, W239–W242. [Google Scholar] [CrossRef] [PubMed]
- Masso, M.; Vaisman, I.I. AUTO-MUTE: Web-based tools for predicting stability changes in proteins due to single amino acid replacements. Protein Eng. Des. Sel. 2010, 23, 683–687. [Google Scholar] [CrossRef]
- Worth, C.L.; Preissner, R.; Blundell, T.L. SDM—A server for predicting effects of mutations on protein stability and malfunction. Nucleic Acids Res. 2011, 39, W215–W222. [Google Scholar] [CrossRef]
- Capriotti, E.; Fariselli, P.; Casadio, R. I-Mutant2.0: Predicting stability changes upon mutation from the protein sequence or structure. Nucleic Acids Res. 2005, 33, W306–W310. [Google Scholar] [CrossRef] [PubMed]
- Pires, D.E.V.; Ascher, D.B.; Blundell, T.L. MCSM: Predicting the effects of mutations in proteins using graph-based signatures. Bioinformatics 2014, 30, 335–342. [Google Scholar] [CrossRef]
- Al-Baradie, R.S.; Chaudhary, M.W. Diagnosis and management of cerebral folate deficiency A form of folinic Acid-Responsive seizures. Neurosciences 2014, 19, 312–316. [Google Scholar]
- Steinfeld, R.; Grapp, M.; Kraetzner, R.; Dreha-Kulaczewski, S.; Helms, G.; Dechent, P.; Wevers, R.; Grosso, S.; Gärtner, J. Folate Receptor Alpha Defect Causes Cerebral Folate Transport Deficiency: A Treatable Neurodegenerative Disorder Associated with Disturbed Myelin Metabolism. Am. J. Hum. Genet. 2009, 85, 354–363. [Google Scholar] [CrossRef]
- Chen, C.; Ke, J.; Zhou, X.E.; Yi, W.; Brunzelle, J.S.; Li, J.; Yong, E.L.; Xu, H.E.; Melcher, K. Crystal Structure of Human Folate Receptor Alpha in Complex with Folic Acid ENTRY 4LRH. Available online: https://www.rcsb.org/structure/4LRH (accessed on 25 March 2020).
- Gocheva, G.; Ivanova, N.; Iliev, S.; Petrova, J.; Madjarova, G.; Ivanova, A. Characteristics of a Folate Receptor-α Anchored into a Multilipid Bilayer Obtained from Atomistic Molecular Dynamics Simulations. J. Chem. Theory Comput. 2020, 16, 749–764. [Google Scholar] [CrossRef]
- Della-Longa, S.; Arcovito, A. Structural and functional insights on folate receptor a (FRa) by homology modeling, ligand docking and molecular dynamics. J. Mol. Graph. Model. 2013, 44, 197–207. [Google Scholar] [CrossRef]
- Karin, I.; Borggraefe, I.; Catarino, C.B.; Kuhm, C.; Hoertnagel, K.; Biskup, S.; Opladen, T.; Blau, N.; Heinen, F.; Klopstock, T. Folinic acid therapy in cerebral folate deficiency: Marked improvement in an adult patient. J. Neurol. 2017, 264, 578–582. [Google Scholar] [CrossRef]
- Ramaekers, V.T.; Rothenberg, S.P.; Sequeira, J.M.; Opladen, T.; Blau, N.; Quadros, E.V.; Selhub, J. Autoantibodies to folate receptors in the cerebral folate deficiency syndrome. N. Engl. J. Med. 2005, 352, 1985–1991. [Google Scholar] [CrossRef]
- Kobayashi, Y.; Tohyama, J.; Akiyama, T.; Magara, S.; Kawashima, H.; Akasaka, N.; Nakashima, M.; Saitsu, H.; Matsumoto, N. Severe leukoencephalopathy with cortical involvement and peripheral neuropathy due to FOLR1 deficiency. Brain Dev. 2017, 39, 266–270. [Google Scholar] [CrossRef]
- Delmelle, F.; Thöny, B.; Clapuyt, P.; Blau, N.; Nassogne, M.C. Neurological improvement following intravenous high-dose folinic acid for cerebral folate transporter deficiency caused by FOLR-1 mutation. Eur. J. Paediatr. Neurol. 2016, 20, 709–713. [Google Scholar] [CrossRef]
- Romero, J.; Goldenholz, D.M. Statistical efficiency of patient data in randomized clinical trials of epilepsy treatments. Epilepsia 2020, 1–9. [Google Scholar] [CrossRef]




| Parameters | CSF Concentrations in Patient | Reference Range |
|---|---|---|
| Lactate | 0.40 | <2.20 mmol/L |
| Pyruvate | 0.05 | <0.14 mmol/L |
| Lactate/pyruvate Ratio | 7.9 | <20 |
| Acetoacetic acid | 0.02 | |
| Beta-hydroxybutyric acid | <0.01 | |
| 3-methoxy DOPA | 10.5 | 3–54 nmol//L |
| 3-methoxy-4-hydroxyphenylglycol | 19.6 | 11–46 nmol/L |
| 5-hydroxytryptophane | 8.6 | 3–12 nmol/L |
| 5-hydroxyindolacetic acid (HIAA) | 88 | 63–185 nmol/L |
| Homovanillic acid | 231 | 156–410 nmol/L |
| Biopterin | 10.8 ↓ | 14–36 nmol/L |
| Neopterin | 10.2 | 10–24 nmol/L |
| 5-methyltetrahydrofolate | 1↓↓↓ | >44 nmol/L |
| Alpha-Interferon | <2 | <2 UI/mL |
| Software | Version | Score | Prediction |
|---|---|---|---|
| Sift [13] | From dbNSFP3.5 | 0.02 | Deleterious |
| Polyphen2 hvar [14] | From dbNSFP3.5 | 0.999 | Probably Damaging |
| CADD phred [15] | 1.4 | 27.5 | Correspond to the top 0.0018% of the most pathogenic variants predicted |
| MutPred2 [16] | 2.0 | 0.952 | Damaging |
| MutationTaster [17] | From dbNSFP3.5 | 1 | Disease causing |
| Software | Version | Prediction |
|---|---|---|
| MUpro [18] | 1.1 | Decrease stability |
| CUPSAT [19] | Release 2018.1 | Destabilising |
| AUTO-MUTE [20] | 2.0 | Decrease stability |
| Site Directed Mutator (SDM) [21] | Server Access 02/21/2020 | Reduced stability |
| I-Mutant2.0 [22] | 2.0 | Decrease |
| mCSM [23] | Server Access 02/21/2020 | Destabilising |
| Before Treatment | After Treatment (2 Months) | |
|---|---|---|
| Seizure | ++++ | + |
| Myoclonia | +++ |
|
| Tremor | +++ | + |
| Cognitive functions | Non measurable (due to seizure, myoclonia, fatigue, tremor, language skills, neuromotor skills and limited interaction) |
|
| Language skills |
|
|
| Motor coordination |
|
|
| Neuromotor skills |
|
|
| Interaction |
|
|
Publisher’s Note: MDPI stays neutral with regard to jurisdictional claims in published maps and institutional affiliations. |
© 2020 by the authors. Licensee MDPI, Basel, Switzerland. This article is an open access article distributed under the terms and conditions of the Creative Commons Attribution (CC BY) license (http://creativecommons.org/licenses/by/4.0/).
Share and Cite
Mafi, S.; Laroche-Raynaud, C.; Chazelas, P.; Lia, A.-S.; Derouault, P.; Sturtz, F.; Baaj, Y.; Froget, R.; Rio, M.; Benoist, J.-F.; et al. Pharmacoresistant Epilepsy in Childhood: Think of the Cerebral Folate Deficiency, a Treatable Disease. Brain Sci. 2020, 10, 762. https://doi.org/10.3390/brainsci10110762
Mafi S, Laroche-Raynaud C, Chazelas P, Lia A-S, Derouault P, Sturtz F, Baaj Y, Froget R, Rio M, Benoist J-F, et al. Pharmacoresistant Epilepsy in Childhood: Think of the Cerebral Folate Deficiency, a Treatable Disease. Brain Sciences. 2020; 10(11):762. https://doi.org/10.3390/brainsci10110762
Chicago/Turabian StyleMafi, Sarah, Cécile Laroche-Raynaud, Pauline Chazelas, Anne-Sophie Lia, Paco Derouault, Franck Sturtz, Yasser Baaj, Rachel Froget, Marlène Rio, Jean-François Benoist, and et al. 2020. "Pharmacoresistant Epilepsy in Childhood: Think of the Cerebral Folate Deficiency, a Treatable Disease" Brain Sciences 10, no. 11: 762. https://doi.org/10.3390/brainsci10110762
APA StyleMafi, S., Laroche-Raynaud, C., Chazelas, P., Lia, A.-S., Derouault, P., Sturtz, F., Baaj, Y., Froget, R., Rio, M., Benoist, J.-F., Poumeaud, F., Favreau, F., & Faye, P.-A. (2020). Pharmacoresistant Epilepsy in Childhood: Think of the Cerebral Folate Deficiency, a Treatable Disease. Brain Sciences, 10(11), 762. https://doi.org/10.3390/brainsci10110762

