An Image Segmentation Method Based on Improved Regularized Level Set Model
Abstract
1. Introduction
2. Related Work
2.1. Chan Vese (CV) Model
2.2. Distance Regularization Term
3. Proposed Method
3.1. New Distance Regularization Term
3.2. New Energy Functional
3.3. Regularized Level Set Model-Based Image Segmentation Algorithm
| Algorithm 1. IRLS-IS |
| Input: An original image |
| Output: The result of image segmentation Step 1: Initialize parameters δ, μ, λ and ν Step 2: Set the level set function Step 3: ComCompute the Dirac delta functionStn Step 4: For n = 1: iterNum Step 5: Calculate , that is, the Gaussian kernel function in [66] is convolved with image I, and then the Laplacian operator is applied Step 6: Compute to determine the curvature of the level set function Step 7: Compute dp(s) using Equation (8) Step 8: Update the level set function Step 9: If min is found by using Equation (16), then output the result Step 10: Else return to Step 4 Step 11: End for |
4. Experimental Results
4.1. Experiment Preparation
4.2. Segmentation of Single-Objective Images
4.3. Segmentation of Multiobjective Images
4.4. Segmentation of Noisy Images
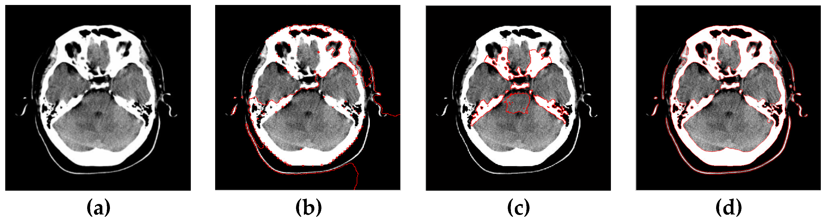
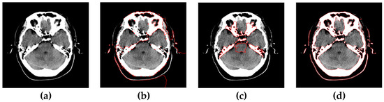
4.5. Segmentation of Medical Images
4.6. Comparative Evaluation
4.7. Discussion
5. Conclusion
Author Contributions
Funding
Conflicts of Interest
References
- Min, H.; Jia, W.; Wang, X.; Zhao, Y.; Hu, R.X.; Luo, Y.T.; Xue, F.; Lu, J.T. An intensity-texture model based level set method for image segmentation. Pattern Recognit. 2015, 48, 1547–1562. [Google Scholar] [CrossRef]
- Chouhan, S.S.; Kaul, A.; Singh, U.P. Soft computing approaches for image segmentation: A survey. Multimed. Tools Appl. 2018, 77, 28483–28537. [Google Scholar] [CrossRef]
- Wang, X.F.; Min, H.; Zou, L.; Zhang, Y.G. A novel level set method for image segmentation by incorporating local statistical analysis and global similarity measurement. Pattern Recognit. 2015, 48, 189–204. [Google Scholar] [CrossRef]
- Jiao, L.C.; Gong, M.G.; Wang, S.; Hou, B.A.; Zheng, Z.; Wu, Q.D. Natural and remote sensing image segmentation using memetic computing. IEEE Comput. Intell. Mag. 2010, 5, 78–91. [Google Scholar] [CrossRef]
- Shi, Y.; Chen, Z.S.; Qi, Z.Q.; Meng, F.; Cui, L.M. A novel clustering-based image segmentation via density peaks algorithm with mid-level feature. Neural Comput. Appl. 2017, 28, S29–S39. [Google Scholar] [CrossRef]
- Wang, Z.; Wang, K.; Pan, S.; Han, Y. Segmentation of crop disease images with an improved K-means clustering algorithm. Appl. Eng. Agric. 2018, 34, 277–289. [Google Scholar] [CrossRef]
- Mahata, N.; Kahali, S.; Adhikari, S.K.; Sing, J.K. Local contextual information and Gaussian function induced fuzzy clustering algorithm for brain MR image segmentation and intensity inhomogeneity estimation. Appl. Soft Comput. 2018, 68, 586–596. [Google Scholar] [CrossRef]
- Ramudu, K.; Babu, T.R. Segmentation of tissues from MRI biomedical images using kernel fuzzy PSO clustering based level set approach. Curr. Med. Imaging Rev. 2018, 14, 389–400. [Google Scholar] [CrossRef]
- Hu, G.; Du, Z. Adaptive kernel-based fuzzy c-means clustering with spatial constraints for image segmentation. Int. J. Pattern Recognit. Artif. Intell. 2019, 33, 1954003. [Google Scholar] [CrossRef]
- Guo, L.; Chen, L.; Wu, Y.W.; Chen, C.L.P. Image guided fuzzy c-means for image segmentation. Int. J. Fuzzy Syst. 2017, 19, 1660–1669. [Google Scholar] [CrossRef]
- He, L.; Li, Y.; Zhang, X.; Chen, C.B.; Zhu, L.; Leng, C.C. Incremental spectral clustering via fastfood features and its application to stream image segmentation. Symmetry 2018, 10, 272. [Google Scholar] [CrossRef]
- Zelnik-Manor, L.; Perona, P. Self-tuning spectral clustering. In Advances in Neural Information Processing Systems; MIT Press: Cambridge, MA, USA, 2005; pp. 1601–1608. [Google Scholar]
- Goyal, S.; Kumar, S.; Zaveri, M.A.; Shukla, A.K. Fuzzy similarity measure based spectral clustering framework for noisy image segmentation. Int. J. Uncertain. Fuzziness Knowl.-Based Syst. 2017, 25, 649–673. [Google Scholar] [CrossRef]
- Otsu, N. A threshold selection method from gray-level histograms. IEEE Trans. Syst. Man Cybern. 1979, 9, 62–66. [Google Scholar] [CrossRef]
- Tobias, O.J.; Seara, R. Image segmentation by histogram thresholding using fuzzy sets. IEEE Trans. Image Process. 2002, 11, 1457–1465. [Google Scholar] [CrossRef] [PubMed]
- Singla, A.; Patra, S. A fast automatic optimal threshold selection technique for image segmentation. Signal Image Video Process. 2017, 11, 243–250. [Google Scholar] [CrossRef]
- Ananthi, V.P.; Balasubramaniam, P.; Raveendran, P. A thresholding method based on interval-valued intuitionistic fuzzy sets: An application to image segmentation. Pattern Anal. Appl. 2018, 21, 1039–1051. [Google Scholar] [CrossRef]
- Han, J.; Yang, C.H.; Zhou, X.J.; Gui, W.H. A new multi-threshold image segmentation approach using state transition algorithm. Appl. Math. Model. 2017, 44, 588–601. [Google Scholar] [CrossRef]
- Gao, Y.; Li, X.; Dong, M.; Li, H.P. An enhanced artificial bee colony optimizer and its application to multi-level threshold image segmentation. J. Cent. South Univ. 2018, 25, 107–120. [Google Scholar] [CrossRef]
- Spina, T.V.; Falcão, A.X. Robot users for the evaluation of boundary-tracking approaches in interactive image segmentation. In Proceedings of the IEEE International Conference on Image Processing (ICIP) 2014, Paris, France, 27–30 October 2014; pp. 3248–3252. [Google Scholar]
- Miranda, P.A.V.; Falcao, A.X.; Spina, T.V. Riverbed: A novel user-steered image segmentation method based on optimum boundary tracking. IEEE Trans. Image Process. 2012, 21, 3042–3052. [Google Scholar] [CrossRef] [PubMed]
- Kass, M.; Witkin, A.; Terzopoulos, D. Snakes: Active contour models. Int. J. Comput. Vis. 1988, 1, 321–331. [Google Scholar] [CrossRef]
- Wang, X.F.; Huang, D.S.; Xu, H. An efficient local Chan-Vese model for image segmentation. Pattern Recognit. 2010, 43, 603–618. [Google Scholar] [CrossRef]
- Osher, O.; Sethian, J.A. Fronts propagating with curvature-dependent speed: Algorithms based on Hamilton-Jacobi formulations. J. Comput. Phys. 1988, 79, 12–49. [Google Scholar] [CrossRef]
- Bui, T.D.; Ahn, C.; Shin, J. Unsupervised segmentation of noisy and inhomogeneous images using global region statistics with non-convex regularization. Digit. Signal Process. 2016, 57, 13–33. [Google Scholar] [CrossRef]
- Popescu, D.; Ichim, L. Intelligent image processing system for detection and segmentation of regions of interest in retinal images. Symmetry 2018, 10, 73. [Google Scholar] [CrossRef]
- Li, C.M.; Xu, C.Y.; Gui, C.F.; Fox, M.D. Distance regularized level set evolution and its application to image segmentation. IEEE Trans. Image Process. 2010, 19, 3243–3254. [Google Scholar] [PubMed]
- Zhao, L.K.; Zheng, S.Y.; Wei, H.T.; Gui, L. Adaptive active contour model driven by global and local intensity fitting energy for image segmentation. Opt.-Int. J. Light Electron Opt. 2017, 140, 908–920. [Google Scholar] [CrossRef]
- Gao, S.; Bui, T.D. Image segmentation and selective smoothing by using Mumford-Shah model. IEEE Trans. Image Process. 2005, 14, 1537–1549. [Google Scholar] [PubMed]
- Sarti, A.; Malladi, R.; Sethian, J.A. Subjective surfaces: A geometric model for boundary completion. Int. J. Comput. Vis. 2002, 46, 201–221. [Google Scholar] [CrossRef]
- Xie, X.H.; Mirmehdi, M. MAC: Magnetostatic active contour model. IEEE Trans. Pattern Anal. Mach. Intell. 2008, 30, 632–646. [Google Scholar] [CrossRef] [PubMed]
- Mumford, D.B.; Shah, J. Optimal approximations by piecewise smooth functions and associated variational problems. Commun. Pure Appl. Math. 1989, 42, 577–685. [Google Scholar] [CrossRef]
- Tony, F.; Chan, T.F.; Vese, L.A. Active contours without edges. IEEE Trans. Image Process. 2001, 10, 266–277. [Google Scholar]
- Ji, Z.X.; Xia, Y.; Sun, Q.S.; Cao, G.; Chen, Q. Active contours driven by local likelihood image fitting energy for image segmentation. Inf. Sci. 2015, 301, 285–304. [Google Scholar] [CrossRef]
- Ge, Q.; Xiao, L.; Huang, H.; Wei, Z.H. An active contour model driven by anisotropic region fitting energy for image segmentation. Digit. Signal Process. 2013, 23, 238–243. [Google Scholar] [CrossRef]
- Estellers, V.; Zosso, D.; Bresson, X.; Thiran, J.P. Harmonic active contours. IEEE Trans. Image Process. 2014, 23, 69–82. [Google Scholar] [CrossRef] [PubMed]
- Kim, W.; Kim, C. Active contours driven by the salient edge energy model. IEEE Trans. Image Process. 2013, 22, 1667–1673. [Google Scholar] [PubMed]
- Ma, Z.; Jorge, R.N.; Mascarenhas, T.; Tavares, J.M.R.S. Novel approach to segment the inner and outer boundaries of the bladder wall in T2-weighted magnetic resonance images. Ann. Biomed. Eng. 2011, 39, 2287–2297. [Google Scholar] [CrossRef] [PubMed]
- Ma, N.; Men, Y.B.; Men, C.G.; Li, X. Accurate dense stereo matching based on image segmentation using an adaptive multi-cost approach. Symmetry-Basel 2016, 8, 159. [Google Scholar] [CrossRef]
- Jiang, X.L.; Wu, X.L.; Xiong, Y.; Li, B.L. Active contours driven by local and global intensity fitting energies based on local entropy. Opt.-Int. J. Light Electron Opt. 2015, 126, 5672–5677. [Google Scholar] [CrossRef]
- Ge, Q.; Xiao, L.; Zhang, J.; Wei, Z.H. An improved region-based model with local statistical features for image segmentation. Pattern Recognit. 2012, 45, 1578–1590. [Google Scholar] [CrossRef]
- Zhang, L.; Peng, X.G.; Li, G.; Li, H.F. A novel active contour model for image segmentation using local and global region-based information. Mach. Vis. Appl. 2017, 28, 75–89. [Google Scholar] [CrossRef]
- Wang, H.; Huang, T.Z.; Xu, Z.; Wang, Y.G. A two-stage image segmentation via global and local region active contours. Neurocomputing 2016, 205, 130–140. [Google Scholar] [CrossRef]
- Zheng, Q.; Lu, Z.T.; Yang, W.; Zhang, M.H.; Feng, Q.J.; Chen, W.F. A robust medical image segmentation method using KL distance and local neighborhood information. Comput. Biol. Med. 2013, 43, 459–470. [Google Scholar] [CrossRef] [PubMed]
- Caselles, V.; Kimmel, R.; Sapiro, G. Geodesic active contours. Int. J. Comput. Vis. 1997, 22, 61–79. [Google Scholar] [CrossRef]
- Song, Y.; Wu, Y.Q.; Dai, Y.M. A new active contour remote sensing river image segmentation algorithm inspired from the cross entropy. Digit. Signal Process. 2016, 48, 322–332. [Google Scholar] [CrossRef]
- Lv, H.L.; Wang, Z.Y.; Fu, S.J.; Zhang, C.M.; Zhai, L.; Liu, X.Y. A robust active contour segmentation based on fractional-order differentiation and fuzzy energy. IEEE Access 2017, 5, 7753–7761. [Google Scholar] [CrossRef]
- Vese, L.A.; Chan, T.F. A multiphase level set framework for image segmentation using the Mumford and Shah model. Int. J. Comput. Vis. 2002, 50, 271–293. [Google Scholar] [CrossRef]
- Li, C.M.; Kao, C.Y.; Gore, J.C.; Ding, Z.H. Implicit active contours driven by local binary fitting energy. In Proceedings of the IEEE Conference on Computer Vision and Pattern Recognition, Minneapolis, MN, USA, 17–22 June 2007; pp. 1–7. [Google Scholar]
- Zhang, K.H.; Song, H.H.; Zhang, L. Active contours driven by local image fitting energy. Pattern Recognit. 2010, 43, 1199–1206. [Google Scholar] [CrossRef]
- Zhang, K.H.; Zhang, L.; Lam, K.M.; Zhang, D. A level set approach to image segmentation with intensity inhomogeneity. IEEE Trans. Cybern. 2016, 46, 546–557. [Google Scholar] [CrossRef] [PubMed]
- He, C.J.; Wang, Y.; Chen, Q. Active contours driven by weighted region-scalable fitting energy based on local entropy. Signal Process. 2012, 92, 587–600. [Google Scholar] [CrossRef]
- Shi, N.; Pan, J.X. An improved active contours model for image segmentation by level set method. Opt.-Int. J. Light Electron Opt. 2016, 127, 1037–1042. [Google Scholar] [CrossRef]
- Li, C.M.; Xu, C.Y.; Gui, C.F.; Fox, M.D. Level set evolution without re-initialization: A new variational formulation. IEEE Conference on Computer Vision and Pattern Recognition, San Diego, CA, USA, 20–26 June 2005; pp. 430–436. [Google Scholar]
- Li, X.P.; Wang, X.; Dai, Y.X. Robust global minimization of active contour model for multi-object medical image segmentation. IEEE International Conference on Instrumentation and Measurement Technology 2014, Montevideo, Uruguay, 12–15 May 2014; pp. 1443–1448. [Google Scholar]
- Sethian, J.A. Level set methods and fast marching methods. J. Comput. Inf. Technol. 2003, 11, 1–2. [Google Scholar]
- Fedkiw, R.; Osher, S. Level set methods and dynamic implicit surfaces. Appl. Mech. Rev. 2004, 57, 266–273. [Google Scholar]
- Gomes, J.; Faugeras, O. Reconciling distance functions and level sets. J. Visual Commun. Image Represent. 2000, 11, 209–223. [Google Scholar] [CrossRef]
- Arnold, V.I. Geometrical methods in the theory of ordinary differential equations. Adv. Math. 1990, 80, 269. [Google Scholar]
- Cai, Q.; Liu, H.Y.; Qian, Y.M.; Li, J.; Duan, X.J.; Yang, Y.H. Local and global active contour model for image segmentation with intensity inhomogeneity. IEEE Access 2018, 6, 54224–54240. [Google Scholar] [CrossRef]
- Li, C.M.; Xu, C.Y.; Konwar, K.M.; Fox, M.D. Fast distance preserving level set evolution for medical image segmentation. In Proceedings of the IEEE 9th International Conference on Control, Automation, Robotics and Vision, Singapore, 5–8 December 2006; pp. 1–7. [Google Scholar]
- Gao, L.; Liu, X.Y.; Chen, W.F. Phase-and GVF-based level set segmentation of ultrasonic breast tumors. J. Appl. Math. 2012, 2012, 810805. [Google Scholar] [CrossRef]
- Huang, C.C.; Zeng, L. Level set evolution model for image segmentation based on variable exponent p-Laplace equation. Appl. Math. Model. 2016, 40, 7739–7750. [Google Scholar] [CrossRef]
- Wang, Y.; He, C.J. An adaptive level set evolution equation for contour extraction. Appl. Math. Comput. 2013, 219, 11420–11429. [Google Scholar] [CrossRef]
- Yu, C.Y.; Zhang, W.S.; Yu, Y.Y.; Li, Y. A novel active contour model for image segmentation using distance regularization term. Comput. Math. Appl. 2013, 65, 1746–1759. [Google Scholar] [CrossRef]
- Liu, C.; Liu, W.B.; Xing, W.W. An improved edge-based level set method combining local regional fitting information for noisy image segmentation. Signal Process. 2017, 130, 12–21. [Google Scholar] [CrossRef]
- Zhang, K.H.; Zhang, L.; Song, H.H.; Zhou, W.G. Active contours with selective local or global segmentation: A new formulation and level set method. Image Vis. Comput. 2010, 28, 668–676. [Google Scholar] [CrossRef]
- Zhu, G.P.; Zhang, S.Q.; Zeng, Q.S.; Wang, C.H. Boundary-based image segmentation using binary level set method. Opt. Eng. 2007, 46, 050501. [Google Scholar]
- Shi, Y.; Karl, W.C. Real-time tracking using level sets. In Proceedings of the IEEE Conference on Computer Vision and Pattern Recognition 2005, San Diego, CA, USA, 20–26 June 2005; pp. 34–41. [Google Scholar]
- Li, Q.; Liang, A.H.; Liu, H.Z. Hierarchical semantic segmentation of image scene with object labeling. EURASIP J. Image Video Process. 2018, 2018, 15. [Google Scholar] [CrossRef]
- Garcia-Garcia, A.; Orts-Escolano, S.; Oprea, S.; Villena-Martinez, V.; Martinez-Gonzalez, P.; Garcia-Rodriguez, J. A survey on deep learning techniques for image and video semantic segmentation. Appl. Soft Comput. 2018, 70, 41–65. [Google Scholar] [CrossRef]
- Xue, Y.B.; Geng, H.Q.; Zhang, H.; Xue, Z.S.; Xu, G.P. Semantic segmentation based on fusion of features and classifiers. Multimed. Tools Appl. 2018, 77, 22199–22211. [Google Scholar] [CrossRef]
- Liu, J.; Wang, Y.H.; Li, Y.; Fu, J.; Li, J.Y.; Lu, H.Q. Collaborative deconvolutional neural networks for joint depth estimation and semantic segmentation. IEEE Trans. Neural Netw. Learn. Syst. 2018, 29, 5655–5666. [Google Scholar] [CrossRef] [PubMed]
- Cao, J.F.; Wu, X.J. A novel level set method for image segmentation by combining local and global information. J. Mod. Opt. 2017, 64, 2399–2412. [Google Scholar] [CrossRef]
- Li, M.; He, C.J.; Zhan, Y. Adaptive regularized level set method for weak boundary object segmentation. Math. Probl. Eng. 2012, 2012, 369472. [Google Scholar] [CrossRef]
- Wang, Z.F.; Liu, Y.J. Active contour model by combining edge and region information discrete dynamic systems. Adv. Mech. Eng. 2017, 9, 168781401769294. [Google Scholar] [CrossRef]
- Wang, L.; Chang, Y.; Wang, H.; Wang, Z.Z.; Pu, J.T.; Yang, X.D. An active contour model based on local fitted images for image segmentation. Inf. Sci. 2017, 418, 61–73. [Google Scholar] [CrossRef] [PubMed]
- Zhang, J.; Liu, M.X.; An, L.; Gao, Y.Z.; Shen, D.G. Alzheimer’s disease diagnosis using landmark-based features from longitudinal structural MR images. IEEE J. Biomed. Health Inform. 2017, 21, 1607–1616. [Google Scholar] [CrossRef] [PubMed]
- Feng, Y.C.; Shen, X.J.; Chen, H.P.; Zhang, X.L. Segmentation fusion based on neighboring information for MR brain images. Multimed. Tools Appl. 2017, 76, 23139–23161. [Google Scholar] [CrossRef]
- Dice, L.R. Measures of the amount of ecologic association between species. Ecology 1945, 26, 297–302. [Google Scholar] [CrossRef]
- Jaccard, P. The distribution of the flora in the alpine zone. New Phytol. 1912, 11, 37–50. [Google Scholar] [CrossRef]
- Arbelaez, P.; Maire, M.; Fowlkes, C.; Malik, J. Contour detection and hierarchical image segmentation. IEEE Trans. Pattern Anal. Mach. Intell. 2011, 33, 898–916. [Google Scholar] [CrossRef] [PubMed]
- Shyu, K.K.; Pham, V.T.; Tran, T.T.; Lee, P.L. Unsupervised active contours driven by density distance and local fitting energy with applications to medical image segmentation. Mach. Vis. Appl. 2012, 23, 1159–1175. [Google Scholar] [CrossRef]
- Wang, X.C.; Shan, J.X.; Niu, Y.M.; Tan, L.W.; Zhang, S.X. Enhanced distance regularization for re-initialization free level set evolution with application to image segmentation. Neurocomputing 2014, 141, 223–235. [Google Scholar] [CrossRef]
- Yi, Z.R.; Zhang, T.J.; Niu, H.; Liu, D.C. A new level set method for image segmentation and its application to spatio-temporal image correlation. J. Med. Imaging Health Inform. 2015, 5, 1698–1702. [Google Scholar] [CrossRef]
- Xu, H.Y.; Jiang, G.Y.; Yu, M.; Luo, T. A global and local active contour model based on dual algorithm for image segmentation. Comput. Math. Appl. 2017, 74, 1471–1488. [Google Scholar] [CrossRef]
- Han, B.; Wu, Y.Q. A novel active contour model based on modified symmetric cross entropy for remote sensing river image segmentation. Pattern Recognit. 2017, 67, 396–409. [Google Scholar] [CrossRef]
- Han, B.; Wu, Y.Q. Active contours driven by median global image fitting energy for SAR river image segmentation. Digit. Signal Process. 2017, 71, 46–60. [Google Scholar] [CrossRef]









| Image ID | CV | LBF | LIF | IRLS-IS | ||||
|---|---|---|---|---|---|---|---|---|
| Dice | JSI | Dice | JSI | Dice | JSI | Dice | JSI | |
| 8068 | 0.9780 | 0.9570 | 0.9555 | 0.9149 | 0.8673 | 0.7657 | 0.9792 | 0.9592 |
| 17067 | 0.9093 | 0.8336 | 0.8783 | 0.7830 | 0.8303 | 0.7099 | 0.9425 | 0.8912 |
| 28083 | 0.9469 | 0.8991 | 0.9236 | 0.8580 | 0.8062 | 0.6753 | 0.9556 | 0.9151 |
| 29030 | 0.9525 | 0.9093 | 0.9432 | 0.8925 | 0.8106 | 0.6815 | 0.9634 | 0.9293 |
| 33044 | 0.9108 | 0.8361 | 0.8700 | 0.7699 | 0.8253 | 0.7026 | 0.9434 | 0.8929 |
| 41004 | 0.9763 | 0.9537 | 0.9565 | 0.9166 | 0.8769 | 0.7808 | 0.9769 | 0.9548 |
| 41085 | 0.9209 | 0.8534 | 0.8818 | 0.7886 | 0.8446 | 0.7310 | 0.9229 | 0.8568 |
| 86016 | 0.9345 | 0.8770 | 0.7868 | 0.6485 | 0.7481 | 0.5976 | 0.9536 | 0.9113 |
| 102061 | 0.9634 | 0.9293 | 0.9442 | 0.8944 | 0.8516 | 0.7416 | 0.9633 | 0.9291 |
| 135069 | 0.9914 | 0.9829 | 0.9909 | 0.9819 | 0.8202 | 0.6951 | 0.9950 | 0.9900 |
| 143090 | 0.9575 | 0.9185 | 0.9517 | 0.9083 | 0.8633 | 0.7595 | 0.9715 | 0.9446 |
| 147091 | 0.9693 | 0.9404 | 0.9387 | 0.8844 | 0.8254 | 0.7027 | 0.9673 | 0.9367 |
| 207056 | 0.9677 | 0.9375 | 0.9305 | 0.8700 | 0.8183 | 0.6924 | 0.9874 | 0.9482 |
| 296059 | 0.9470 | 0.8994 | 0.9276 | 0.8650 | 0.8283 | 0.7069 | 0.9658 | 0.9339 |
| 317080 | 0.9591 | 0.9214 | 0.9288 | 0.8671 | 0.8665 | 0.7645 | 0.9596 | 0.9223 |
© 2018 by the authors. Licensee MDPI, Basel, Switzerland. This article is an open access article distributed under the terms and conditions of the Creative Commons Attribution (CC BY) license (http://creativecommons.org/licenses/by/4.0/).
Share and Cite
Sun, L.; Meng, X.; Xu, J.; Zhang, S. An Image Segmentation Method Based on Improved Regularized Level Set Model. Appl. Sci. 2018, 8, 2393. https://doi.org/10.3390/app8122393
Sun L, Meng X, Xu J, Zhang S. An Image Segmentation Method Based on Improved Regularized Level Set Model. Applied Sciences. 2018; 8(12):2393. https://doi.org/10.3390/app8122393
Chicago/Turabian StyleSun, Lin, Xinchao Meng, Jiucheng Xu, and Shiguang Zhang. 2018. "An Image Segmentation Method Based on Improved Regularized Level Set Model" Applied Sciences 8, no. 12: 2393. https://doi.org/10.3390/app8122393
APA StyleSun, L., Meng, X., Xu, J., & Zhang, S. (2018). An Image Segmentation Method Based on Improved Regularized Level Set Model. Applied Sciences, 8(12), 2393. https://doi.org/10.3390/app8122393

