Skeletal, Dentoalveolar, and Soft Tissue Effects of Conventional and Digitally Designed Functional Appliances in Class II Malocclusion: A Retrospective Pilot Study
Featured Application
Abstract
1. Introduction
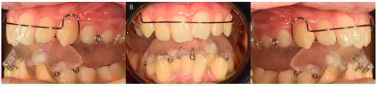
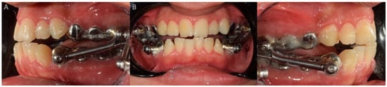
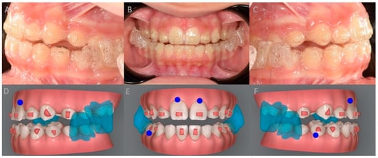
2. Materials and Methods
3. Results
4. Discussion
5. Conclusions
- An increase in mandibular length (Co–Gn) was observed in all treatment groups, with the greatest mean change identified in the Twin Block group.
- The PowerScope appliance demonstrated more pronounced dentoalveolar changes compared with the other functional appliances.
- Among the treatment groups, the mandibular advancement (MA) appliance showed relatively stable vertical facial height measurements throughout the treatment period.
- Changes in overjet and overbite were observed across all groups, with the greatest mean reductions identified in the Herbst group.
- The design and material characteristics of different functional appliances may influence the dentoskeletal and soft tissue responses observed during treatment. Therefore, individualizing appliance selection not only according to skeletal treatment objectives but also based on the biomechanical properties of the materials used and the patient’s specific expectations may be beneficial for achieving favorable treatment outcomes.
Supplementary Materials
Author Contributions
Funding
Institutional Review Board Statement
Informed Consent Statement
Data Availability Statement
Conflicts of Interest
References
- Cozza, P.; Baccetti, T.; Franchi, L.; De Toffol, L.; McNamara, J.A. Mandibular changes produced by functional appliances in Class II malocclusion: A systematic review. Am. J. Orthod. Dentofac. Orthop. 2006, 129, 599.e1–599.e12. [Google Scholar] [CrossRef]
- Do Rego, M.V.N.N.; Martinez, E.F.; Coelho, R.M.I.; Leal, L.M.P.; Thiesen, G. Perception of changes in soft-tissue profile after Herbst appliance treatment of Class II Division 1 malocclusion. Am. J. Orthod. Dentofac. Orthop. 2017, 151, 559–564. [Google Scholar] [CrossRef]
- Sun, Z.; Pan, Y.; Lin, T.; Lu, H.; Ai, H.; Mai, Z. Comparison of cephalometric measurements of the Twin Block and A6 appliances in the treatment of Class II malocclusion: A retrospective comparative cohort study. Ann. Transl. Med. 2022, 10, 876. [Google Scholar] [CrossRef]
- Ruf, S.; Pancherz, H. When is the ideal period for Herbsttherapy—Early or late? Semin. Orthod. 2003, 9, 47–56. [Google Scholar]
- Bishara, S.E.; Ziaja, R.R. Functional appliances: A review. Am. J. Orthod. Dentofac. Orthop. 1989, 95, 250–258. [Google Scholar] [CrossRef] [PubMed]
- Sahm, G.; Bartsch, A.; Witt, E. Micro-electronic monitoring of functional appliance wear. Eur. J. Orthod. 1990, 12, 297–301. [Google Scholar] [CrossRef]
- Segnini, C.; D’Antò, V.; Antonio, N.; Roser, C.J.; Knode, V.; Björn, L. 3D printed removable functional appliances for early orthodontic treatment—Possibilities and limitations. Semin. Orthod. 2023, 29, 237–242. [Google Scholar] [CrossRef]
- Clark, W.J. The twin block traction technique. Eur. J. Orthod. 1982, 4, 129–138. [Google Scholar] [CrossRef] [PubMed]
- Moro, A. Simplified correction of Class II using PowerScope. Orthotown 2016, 9, 20–27. [Google Scholar]
- Antony, T.; Amin, V.; Hegde, S.; Hegde, S.; Shetty, D.; Khan, M.B. The Evaluation and Clinical Efficiency of Power Scope: An Original Research. J. Int. Soc. Prev. Community Dent. 2018, 8, 264–270. [Google Scholar] [CrossRef]
- Singaraju, G.; Vannala, V.; Ankisetti, S.; Mandava, P.; Ganugapanta, V.; Unnam, D. Evaluation of sagittal changes in Class II Div 2 patients with decelerating phase of growth by PowerScope appliance: A retrospective cephalometric investigation. J. Pharm. Bioallied Sci. 2019, 11, 208. [Google Scholar] [CrossRef]
- Moro, A.; Borges, S.W.; Spada, P.P.; Morais, N.D.; Correr, G.M.; Chaves, C.M., Jr.; Cevidanes, L.H.S. Twenty-year clinical experience with fixed functional appliances. Dent. Press J. Orthod. 2018, 23, 87–109. [Google Scholar] [CrossRef] [PubMed]
- Tarraf, N.E.; Ali, D.M. Present and the future of digital orthodontics. Semin. Orthod. 2018, 24, 376–385. [Google Scholar] [CrossRef]
- Al Mortadi, N.; Eggbeer, D.; Lewis, J.; Williams, R.J. CAD/CAM/AM applications in the manufacture of dental appliances. Am. J. Orthod. Dentofac. Orthop. 2012, 142, 727–733. [Google Scholar] [CrossRef]
- Graf, S.; Tarraf, N.E.; Kravitz, N.D. Three-dimensional metal printed orthodontic laboratory appliances. Semin. Orthod. 2021, 27, 189–193. [Google Scholar] [CrossRef]
- Graf, S.; Cornelis, M.A.; Hauber Gameiro, G.; Cattaneo, P.M. Computer-aided design and manufacture of hyrax devices: Can we really go digital? Am. J. Orthod. Dentofac. Orthop. 2017, 152, 870–874. [Google Scholar] [CrossRef]
- Ender, A.; Attin, T.; Mehl, A. In vivo precision of conventional and digital methods of obtaining complete-arch dental impressions. J. Prosthet. Dent. 2016, 115, 313–320. [Google Scholar] [CrossRef]
- Caruso, S.; Nota, A.; Caruso, S.; Severino, M.; Gatto, R.; Meuli, S.; Mattei, A.; Tecco, S. Mandibular Advancement with Clear Aligners in the Treatment of Skeletal Class II. A Retrospective Controlled Study. 2021. Available online: https://iris.unisr.it/handle/20.500.11768/120397 (accessed on 19 June 2025).
- Koukou, M.; Damanakis, G.; Tsolakis, A.I. Orthodontic Management of Skeletal Class II Malocclusion with the Invisalign Mandibular Advancement Feature Appliance: A Case Report and Review of the Literature. Case Rep. Dent. 2022, 2022, 7095467. [Google Scholar] [CrossRef]
- Mills, C.M.; McCulloch, K.J. Treatment effects of the twin block appliance: A cephalometric study. Am. J. Orthod. Dentofac. Orthop. 1998, 114, 15–24. [Google Scholar] [CrossRef]
- Trenouth, M.J. Cephalometric evaluation of the Twin-block appliance in the treatment of Class II Division 1 malocclusion with matched normative growth data. Am. J. Orthod. Dentofac. Orthop. 2000, 117, 54–59. [Google Scholar] [CrossRef] [PubMed]
- Arora, V.; Sharma, R.; Chowdhary, S. Comparative evaluation of treatment effects between two fixed functional appliances for correction of Class II malocclusion: A single-center, randomized controlled trial. Angle Orthod. 2018, 88, 259–266. [Google Scholar] [CrossRef]
- Kong, L.; Liu, X.Q. Efficacy of invisible advancement correction for mandibular retraction in adolescents based on Pancherz analysis. World J. Clin. Cases 2023, 11, 1299–1309. [Google Scholar] [CrossRef]
- Ruf, S.; Pancherz, H. Herbst/multibracket appliance treatment of Class II division 1 malocclusions in early and late adulthood. a prospective cephalometric study of consecutively treated subjects. Eur. J. Orthod. 2006, 28, 352–360. [Google Scholar] [CrossRef]
- Ruf, S.; Pancherz, H. The mechanism of Class II correction during Herbst therapy in relation to the vertical jaw base relationship: A cephalometric roentgenographic study. Angle Orthod. 1997, 67, 271–276. [Google Scholar]
- Pangrazio, M.N.K.; Pangrazio-Kulbersh, V.; Berger, J.L.; Bayirli, B.; Movahhedian, A. Treatment effects of the mandibular anterior repositioning appliance in patients with Class II skeletal malocclusions. Angle Orthod. 2012, 82, 971–977. [Google Scholar] [CrossRef] [PubMed]
- Koretsi, V.; Zymperdikas, V.F.; Papageorgiou, S.N.; Papadopoulos, M.A. Treatment effects of removable functional appliances in patients with Class II malocclusion: A systematic review and meta-analysis. Eur. J. Orthod. 2015, 37, 418–434. [Google Scholar] [CrossRef]
- Eliades, T.; Panayi, N.; Papageorgiou, S.N. From biomimetics to smart materials and 3D technology: Applications in orthodontic bonding, debonding, and appliance design or fabrication. Jpn. Dent. Sci. Rev. 2023, 59, 403–411. [Google Scholar] [CrossRef] [PubMed]
- Glaser, B.J.; Tai, S.K.; Blevins, R.; Daher, S. Prospective multicenter investigation of Invisalign treatment with the mandibular-advancement feature: An interim report. J. Clin. Orthod. 2022, 56, 458–463. [Google Scholar]
- Zybutz, T.; Drummond, R.; Lekic, M.; Brownlee, M. Investigation and comparison of patient experiences with removable functional appliances. Angle Orthod. 2021, 91, 490–495. [Google Scholar] [CrossRef]
- Blackham, S.S. A Study of Short-Term Skeletal, Dental, and Soft Tissue Effects of Class II Malocclusions Treated with Invisalign ® with Mandibular Advancement Feature or Twin Block Appliance Compared with Historical Controls. University of British Columbia. 2020. Available online: https://open.library.ubc.ca/soa/cIRcle/collections/ubctheses/24/items/1.0392341 (accessed on 6 October 2025).
- Ravera, S.; Castroflorio, T.; Galati, F.; Cugliari, G.; Garino, F.; Deregibus, A.; Quinzi, V. Short term dentoskeletal effects of mandibular advancement clear aligners in Class II growing patients. A prospective controlled study according to STROBE Guidelines. Eur. J. Paediatr. Dent. 2021, 22, 119–124. [Google Scholar]
- Kalra, A.; Swami, V.; Bhosale, V. Treatment effects of “PowerScope” fixed functional appliance—A clinical study. Folia Med. 2021, 63, 253–263. [Google Scholar] [CrossRef]
- Kim, I.; Duncan, W.J.; Farella, M. Evaluation of mandibular growth using cone-beam computed tomography in a rabbit model: A pilot study. New Zealand Dent. J. 2012, 108, 9–12. [Google Scholar]
- Wang, J.; Yuan, L.; Liu, J.; Mao, L.; Xia, L.; Fang, B. Hemifacial microsomia treated with a hybrid technique combining distraction osteogenesis and a mandible-guided functional appliance: Pilot study. Am. J. Orthod. Dentofac. Orthop. 2019, 155, 801–811. [Google Scholar] [CrossRef]
- Talens-Cogollos, L.; Vela-Hernández, A.; Peiró-Guijarro, M.A.; García-Sanz, V.; Montiel-Company, J.M.; Gandía-Franco, J.L.; Bellot-Arcís, C.; Paredes-Gallardo, V. Unplanned molar intrusion after Invisalign treatment. Am. J. Orthod. Dentofac. Orthop. 2022, 162, 451–458. [Google Scholar] [CrossRef]
- Harris, K.; Ojima, K.; Dan, C.; Upadhyay, M.; Alshehri, A.; Kuo, C.L.; Mu, J.; Uribe, F.; Nanda, R. Evaluation of open bite closure using clear aligners: A retrospective study. Prog. Orthod. 2020, 21, 23. [Google Scholar] [CrossRef]
- Baysal, A.; Uysal, T. Soft tissue effects of Twin Block and Herbst appliances in patients with Class II division 1 mandibular retrognathy. Eur. J. Orthod. 2013, 35, 71–81. [Google Scholar] [CrossRef]
- de Almeida, M.R.; Flores-Mir, C.; Brandão, A.G.; de Almeida, R.R.; de Almeida-Pedrin, R.R. Soft tissue changes produced by a banded-type Herbst appliance in late mixed dentition patients. World J. Orthod. 2008, 9, 121–131. [Google Scholar]
- Wu, Y.; Yu, Q.; Xia, Y.; Wang, B.; Chen, S.; Gu, K.; Zhang, B.; Zhu, M. Does mandibular advancement with clear aligners have the same skeletal and dentoalveolar effects as traditional functional appliances? BMC Oral Health 2023, 23, 65. [Google Scholar] [CrossRef]
- Jena, A.K.; Duggal, R. Treatment effects of twin-block and mandibular protraction appliance-IV in the correction of class II malocclusion. Angle Orthod. 2010, 80, 485–491. [Google Scholar] [CrossRef]
- Burkhardt, D.R.; McNamara, J.A.; Baccetti, T. Maxillary molar distalization or mandibular enhancement: A cephalometric comparison of comprehensive orthodontic treatment including the pendulum and the Herbst appliances. Am. J. Orthod. Dentofac. Orthop. 2003, 123, 108–116. [Google Scholar] [CrossRef]
- Proffit, W.R.; Fields, H.; Larson, B.; Sarver, D.M. Contemporary Orthodontics—E-Book; Elsevier Health Sciences: Amsterdam, The Netherlands, 2018. [Google Scholar]




| Group | Sex Distribution (F/M) | Mean Age (Years) | Mean Treatment Duration (Months) |
|---|---|---|---|
| Twin Block | 3F/4M | 12.2 | 12.29 |
| Power Scope | 7F | 12.8 | 7.71 |
| Digital Herbst | 3F/4M | 12.9 | 8.57 |
| Invisalign Mandibular Advancement (MA) | 3F/4M | 12.5 | 9.71 |
| Variable | Time Effect p-Value | Time Effect η2 | Treatment Method p-Value | Treatment Method η2 |
|---|---|---|---|---|
| SNA | <0.001 | 0.404 | 0.439 | 0.105 |
| SNB | <0.001 | 0.728 | 0.447 | 0.103 |
| ANB | <0.001 | 0.688 | 0.094 | 0.230 |
| Wits | <0.001 | 0.846 | 0.208 | 0.170 |
| Co–Gn | <0.001 | 0.782 | 0.840 | 0.034 |
| A–Na Perp | 0.804 | 0.003 | 0.093 | 0.231 |
| Pg–Na Perp | <0.001 | 0.692 | 0.019 | 0.333 |
| FMA | <0.001 | 0.518 | 0.400 | 0.113 |
| GoGn–SN | <0.001 | 0.642 | 0.253 | 0.154 |
| P–A Face Height | 0.113 | 0.101 | 0.209 | 0.169 |
| Skeletal Convexity | <0.001 | 0.590 | 0.035 | 0.296 |
| UPH/TFH | 0.231 | 0.059 | 0.057 | 0.264 |
| LFH/TFH | 0.023 | 0.196 | 0.070 | 0.251 |
| Overjet | <0.001 | 0.862 | 0.008 | 0.386 |
| Overbite | <0.001 | 0.733 | 0.238 | 0.159 |
| U1–SN | <0.001 | 0.623 | 0.705 | 0.056 |
| U1–PP | <0.001 | 0.647 | 0.179 | 0.182 |
| U1–FH | <0.001 | 0.777 | 0.975 | 0.009 |
| U1–NA (mm) | <0.001 | 0.488 | 0.547 | 0.083 |
| L1–NB (mm) | <0.001 | 0.435 | <0.001 | 0.589 |
| IMPA | <0.001 | 0.687 | 0.160 | 0.190 |
| U1–PP (mm) | 0.117 | 0.099 | 0.690 | 0.058 |
| L1–MP (mm) | 0.055 | 0.145 | 0.109 | 0.219 |
| U6–PP | 0.650 | 0.009 | 0.682 | 0.059 |
| L6–MP | <0.001 | 0.662 | 0.668 | 0.062 |
| UL–E Plane | <0.001 | 0.720 | 0.047 | 0.278 |
| LL–E Plane | 0.005 | 0.287 | 0.068 | 0.252 |
| Nasolabial Angle | <0.001 | 0.463 | 0.841 | 0.034 |
| Soft Tissue Convexity | <0.001 | 0.536 | 0.164 | 0.189 |
| Variable | Herbst (Mean ± SD) | MA (Mean ± SD) | PowerScope (Mean ± SD) | Twin Block (Mean ± SD) | p-Value |
|---|---|---|---|---|---|
| SNA (°) | 82.49 ± 3.24 | 80.13 ± 4.01 | 80.90 ± 5.63 | 83.17 ± 0.76 | 0.439 |
| SNB (°) | 75.30 ± 3.37 | 74.13 ± 4.43 | 76.23 ± 4.73 | 76.83 ± 1.04 | 0.553 |
| ANB (°) | 7.20 ± 1.49 | 6.01 ± 1.44 | 4.69 ± 1.79 | 6.50 ± 1.01 | 0.026 * |
| Wits (mm) | 5.94 ± 1.87 | 5.69 ± 1.58 | 4.31 ± 2.59 | 4.91 ± 1.63 | 0.407 |
| Co–Gn (mm) | 102.13 ± 10.05 | 103.64 ± 4.57 | 105.63 ± 7.26 | 103.09 ± 6.94 | 0.843 |
| A–Na Perp (mm) | 2.04 ± 2.87 | 1.07 ± 1.72 | 3.74 ± 2.76 | 3.51 ± 0.90 | 0.043 * |
| Pg–Na Perp (mm) | −7.36 ± 3.87 | −5.21 ± 6.54 | 1.56 ± 6.03 | −1.76 ± 2.63 | 0.022 * |
| FMA (°) | 22.40 ± 4.68 | 19.93 ± 5.13 | 23.76 ± 5.24 | 20.57 ± 4.45 | 0.460 |
| GoGn–SN (°) | 28.24 ± 6.21 | 28.07 ± 6.81 | 33.63 ± 6.47 | 27.20 ± 4.88 | 0.216 |
| P–A Face Height (mm) | 67.93 ± 4.09 | 67.44 ± 4.51 | 64.30 ± 3.31 | 64.84 ± 4.39 | 0.272 |
| Skeletal Convexity (°) | 9.34 ± 3.92 | 12.89 ± 1.37 | 6.14 ± 5.00 | 11.06 ± 4.03 | 0.048 * |
| UPH/TFH | 47.97 ± 2.19 | 46.23 ± 2.83 | 44.33 ± 2.16 | 45.07 ± 2.31 | 0.046 * |
| LFH/TFH | 52.03 ± 2.19 | 53.77 ± 2.83 | 55.67 ± 2.16 | 54.93 ± 2.31 | 0.046 * |
| Overjet (mm) | 9.44 ± 1.21 | 6.84 ± 1.92 | 6.46 ± 2.37 | 6.79 ± 1.86 | 0.024 * |
| Overbite (mm) | 5.09 ± 1.58 | 3.96 ± 2.04 | 3.41 ± 1.48 | 3.90 ± 2.60 | 0.457 |
| U1–SN (°) | 107.34 ± 5.32 | 105.40 ± 11.29 | 103.20 ± 7.58 | 104.39 ± 6.51 | 0.681 |
| U1–PP (°) | 116.33 ± 4.61 | 113.23 ± 6.54 | 109.33 ± 6.71 | 110.53 ± 6.55 | 0.177 |
| U1–FH (°) | 115.89 ± 3.19 | 114.86 ± 8.00 | 116.26 ± 5.66 | 114.53 ± 6.76 | 0.945 |
| U1–NA (mm) | 5.11 ± 1.99 | 3.90 ± 2.73 | 4.70 ± 2.45 | 4.87 ± 3.87 | 0.868 |
| L1–NB (mm) | 5.67 ± 1.91 | 24.29 ± 4.96 | 16.80 ± 11.31 | 25.64 ± 7.11 | <0.001 * |
| IMPA (°) | 99.67 ± 6.75 | 99.57 ± 4.69 | 89.59 ± 8.98 | 98.66 ± 6.57 | 0.031 * |
| U1–PP (mm) | 26.23 ± 2.22 | 25.60 ± 2.33 | 26.26 ± 2.24 | 26.87 ± 1.12 | 0.717 |
| L1–MP (mm) | 39.11 ± 3.90 | 36.57 ± 3.26 | 31.99 ± 8.22 | 35.84 ± 2.46 | 0.209 |
| U6–PP (mm) | 20.36 ± 3.37 | 19.00 ± 1.54 | 20.11 ± 1.91 | 18.97 ± 1.74 | 0.545 |
| L6–MP (mm) | 26.99 ± 2.82 | 26.81 ± 2.44 | 27.24 ± 7.07 | 24.36 ± 1.64 | 0.167 |
| UL–E Plane (mm) | 0.50 ± 1.50 | −1.94 ± 1.88 | −2.37 ± 1.06 | 22121.56 ± 1.48 | 0.008 * |
| LL–E Plane (mm) | 1.53 ± 1.47 | −1.16 ± 2.30 | −0.90 ± 2.55 | −2.30 ± 1.51 | 0.012 * |
| Nasolabial Angle (°) | 108.50 ± 8.51 | 112.06 ± 11.09 | 112.29 ± 9.88 | 110.99 ± 5.73 | 0.855 |
| Soft Tissue Convexity (°) | 23.43 ± 6.54 | 23.24 ± 5.05 | 17.30 ± 6.93 | 20.66 ± 3.51 | 0.176 |
| Variable | Group | T1–T0 (Mean ± SD) | p (Between-Group) |
|---|---|---|---|
| SNA | Herbst | 0.06 ± 0.08 | 0.032 |
| Invisalign MA | 0.19 ± 0.07 | ||
| PowerScope | −0.01 ± 0.16 | ||
| Twin Block | 0.11 ± 0.12 | ||
| SNB | Herbst | 2.04 ± 1.20 | 0.114 |
| Invisalign MA | 1.44 ± 0.64 | ||
| PowerScope | 1.04 ± 0.43 | ||
| Twin Block | 2.69 ± 1.90 | ||
| ANB | Herbst | −1.66 ± 0.84 | 0.118 |
| Invisalign MA | −1.26 ± 0.62 | ||
| PowerScope | −1.06 ± 0.44 | ||
| Twin Block | −2.73 ± 2.16 | ||
| Co–Gn (mm) | Herbst | 2.63 ± 2.09 | 0.037 |
| Invisalign MA | 3.71 ± 1.32 | ||
| PowerScope | 2.67 ± 1.13 | ||
| Twin Block | 6.19 ± 3.37 | ||
| FMA (°) | Herbst | 1.50 ± 1.11 | 0.172 |
| Invisalign MA | 0.39 ± 0.27 | ||
| PowerScope | 1.30 ± 1.71 | ||
| Twin Block | 1.24 ± 1.04 | ||
| PA Face Height (mm) | Herbst | 0.99 ± 0.73 | 0.001 |
| Invisalign MA | −0.20 ± 0.37 | ||
| PowerScope | 0.77 ± 0.98 | ||
| Twin Block | −0.73 ± 0.40 | ||
| Overjet (mm) | Herbst | −5.93 ± 1.62 | 0.147 |
| Invisalign MA | −3.81 ± 2.00 | ||
| PowerScope | −5.24 ± 2.75 | ||
| Twin Block | −3.73 ± 1.50 | ||
| Overbite (mm) | Herbst | −3.50 ± 1.49 | 0.019 |
| Invisalign MA | −1.11 ± 1.70 | ||
| PowerScope | −3.23 ± 1.51 | ||
| Twin Block | −1.77 ± 1.55 | ||
| L1–NB (mm) | Herbst | 0.57 ± 0.99 | 0.008 |
| Invisalign MA | 3.46 ± 1.75 | ||
| PowerScope | 8.39 ± 8.49 | ||
| Twin Block | 1.96 ± 1.40 | ||
| IMPA (°) | Herbst | 5.30 ± 3.01 | 0.002 |
| Invisalign MA | 3.13 ± 1.72 | ||
| PowerScope | 11.36 ± 7.15 | ||
| Twin Block | 2.21 ± 1.11 | ||
| L1–MP (mm) | Herbst | −1.50 ± 1.56 | 0.002 |
| Invisalign MA | 0.30 ± 0.21 | ||
| PowerScope | −0.04 ± 0.99 | ||
| Twin Block | −0.19 ± 0.27 | ||
| U6–PP (mm) | Herbst | 0.00 ± 0.43 | 0.001 |
| Invisalign MA | 0.04 ± 0.10 | ||
| PowerScope | −0.79 ± 0.82 | ||
| Twin Block | 0.57 ± 0.33 | ||
| L6–MP (mm) | Herbst | 0.33 ± 0.32 | 0.019 |
| Invisalign MA | 0.50 ± 0.47 | ||
| PowerScope | 0.71 ± 0.91 | ||
| Twin Block | 1.50 ± 0.48 | ||
| UL–E Plane (mm) | Herbst | −2.27 ± 0.94 | 0.002 |
| Invisalign MA | −0.21 ± 0.29 | ||
| PowerScope | −1.40 ± 1.01 | ||
| Twin Block | −0.33 ± 0.13 | ||
| LL–E Plane (mm) | Herbst | −0.60 ± 0.89 | 0.008 |
| Invisalign MA | 0.90 ± 0.40 | ||
| PowerScope | 0.27 ± 1.20 | ||
| Twin Block | 1.63 ± 1.06 |
Disclaimer/Publisher’s Note: The statements, opinions and data contained in all publications are solely those of the individual author(s) and contributor(s) and not of MDPI and/or the editor(s). MDPI and/or the editor(s) disclaim responsibility for any injury to people or property resulting from any ideas, methods, instructions or products referred to in the content. |
© 2026 by the authors. Licensee MDPI, Basel, Switzerland. This article is an open access article distributed under the terms and conditions of the Creative Commons Attribution (CC BY) license.
Share and Cite
Öztürk Kırkpunar, İ.; Kırlangıç Alnıaçık, M.; Sezen Erhamza, T.; Erdugan, F.; Koçak, E.İ.; Tekeli, A. Skeletal, Dentoalveolar, and Soft Tissue Effects of Conventional and Digitally Designed Functional Appliances in Class II Malocclusion: A Retrospective Pilot Study. Appl. Sci. 2026, 16, 756. https://doi.org/10.3390/app16020756
Öztürk Kırkpunar İ, Kırlangıç Alnıaçık M, Sezen Erhamza T, Erdugan F, Koçak Eİ, Tekeli A. Skeletal, Dentoalveolar, and Soft Tissue Effects of Conventional and Digitally Designed Functional Appliances in Class II Malocclusion: A Retrospective Pilot Study. Applied Sciences. 2026; 16(2):756. https://doi.org/10.3390/app16020756
Chicago/Turabian StyleÖztürk Kırkpunar, İrem, Merve Kırlangıç Alnıaçık, Türkan Sezen Erhamza, Funda Erdugan, Ebru İlhan Koçak, and Alaattin Tekeli. 2026. "Skeletal, Dentoalveolar, and Soft Tissue Effects of Conventional and Digitally Designed Functional Appliances in Class II Malocclusion: A Retrospective Pilot Study" Applied Sciences 16, no. 2: 756. https://doi.org/10.3390/app16020756
APA StyleÖztürk Kırkpunar, İ., Kırlangıç Alnıaçık, M., Sezen Erhamza, T., Erdugan, F., Koçak, E. İ., & Tekeli, A. (2026). Skeletal, Dentoalveolar, and Soft Tissue Effects of Conventional and Digitally Designed Functional Appliances in Class II Malocclusion: A Retrospective Pilot Study. Applied Sciences, 16(2), 756. https://doi.org/10.3390/app16020756

