The Emerging Role of Cyclodextrin Metal–Organic Frameworks in Ostheotherapeutics
Abstract
:1. Introduction
2. Cyclodextrin-Coated Metal–Organic Frameworks of the MIL Series
3. Cyclodextrin-Based MOFs
3.1. γ-CD-MOFs Loaded with Anti-Inflammatory Agents for the Management of Osteoarthritis
3.2. γ-CD-MOFs Stabilised into Cross-Linked Materials and Their Application in Periosteum Bone
3.2.1. Preparation and Early Biological Evaluation
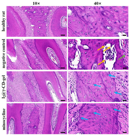
3.2.2. Application to Periosteum Bone
4. Overview and Future Outlook
Author Contributions
Funding
Conflicts of Interest
Abbreviations
| API | Active Pharmaceutical Ingredient |
| DMF | Dimethylformamide |
| EMA | European Medicines Agency |
| FAO | Food and Agriculture Organisation |
| GI | Gastro-Intestinal |
| GRAS | Generally Regarded as Safe |
| γ-CD | Gamma-Cyclodextrin |
| JECFA | Joint FAO/WHO Expert Committee on Food Additives |
| HPβCD | (2-Hydroxy)propyl-beta-cyclodextrin |
| HPγCD | (2-Hydroxy)propyl-gamma-cyclodextrin |
| MIL | Materiaux de l’Institut Lavoisier |
| MOF | Metal–Organic Framework |
| NSAID | Non-Steroidal Anti-Inflammatory Drug |
| SEM | Scanning electron microscopy |
| TEA | Triethylamine |
| WHO | World Health Organisation |
References
- Carreon, M.A.; Venna, S.R. Metal Organic Frameworks History and Structural Features. In Metal-Organic Framework Membranes for Molecular Gas Separations, 1st ed.; World Scientific Publishing Europe Ltd.: Singapore, 2020; Chapter 1; pp. 1–29. [Google Scholar] [CrossRef]
- Tomic, E.A. Thermal stability of coordination polymers. J. Appl. Polym. Sci. 1965, 9, 3745–3752. [Google Scholar] [CrossRef]
- Pascanu, V.; Miera, G.G.; Inge, A.K.; Martín-Matute, B. Metal–organic frameworks as catalysts for organic synthesis: A Critical perspective. J. Am. Chem. Soc. 2019, 141, 7223–7234. [Google Scholar] [CrossRef] [PubMed] [Green Version]
- Tran, Y.B.N.; Nguyen, P.T.K.; Luong, Q.T.; Nguyen, K.D. Series of M-MOF-184 (M = Mg, Co, Ni, Zn, Cu, Fe) metal–organic frameworks for catalysis cycloaddition of CO2. Inorg. Chem. 2020, 59, 16747–16759. [Google Scholar] [CrossRef] [PubMed]
- Razavi, S.A.A.; Morsali, A. Metal ion detection using luminescent-MOFs: Principles, strategies and roadmap. Coord. Chem. Rev. 2020, 415, 213299. [Google Scholar] [CrossRef]
- Li, H.Y.; Zhao, S.N.; Zang, S.Q.; Li, J. Functional metal–organic frameworks as effective sensors of gases and volatile compounds. Chem. Soc. Rev. 2020, 49, 6364–6401. [Google Scholar] [CrossRef]
- Chen, L.D.W.; Zhu, P.; Tian, Y.; Chen, Y.; Wu, C. Applications of Functional Metal-Organic Frameworks in Biosensors. Biotechnol. J. 2020, 16, 1900424. [Google Scholar] [CrossRef]
- Figueira, F.; Barbosa, J.S.; Mendes, R.F.; Braga, S.S.; Paz, F.A.A. Virus meet metal-organic frameworks: A nanoporous solution to a world-sized problem? Mater. Today 2021, 43, 84–98. [Google Scholar] [CrossRef]
- McKinlay, A.C.; Morris, R.E.; Horcajada, P.; Férey, G.; Gref, R.; Couvreur, P.; Serre, C. BioMOFs: Metal–organic frameworks for biological and medical applications. Angew. Chem. Int. Ed. 2010, 49, 6260–6266. [Google Scholar] [CrossRef]
- Vassaki, M.; Papathanasiou, K.E.; Hadjicharalambous, C.; Chandrinou, D.; Turhanen, P.; Choquesillo-Lazarte, D.; Demadis, K.D. Self-sacrificial MOFs for ultra-long controlled release of bisphosphonate anti-osteoporotic drugs. Chem. Commun. 2020, 56, 5166–5169. [Google Scholar] [CrossRef]
- Smaldone, R.A.; Forgan, R.S.; Furukawa, H.; Gassensmith, J.J.; Slawin, A.M.Z.; Yaghi, O.M.; Stoddart, J.F. Metal–organic frameworks from edible natural products. Angew. Chem. Int. Ed. 2010, 49, 1–6. [Google Scholar] [CrossRef]
- Rincón-López, J.; Almanza-Arjona, Y.C.; Riascos, A.P.; Rojas-Aguirrea, Y. Technological evolution of cyclodextrins in the pharmaceutical field. J. Drug Deliv. Sci. Technol. 2021, 61, 102156. [Google Scholar] [CrossRef] [PubMed]
- Aiassa, Z.; Garnero, C.; Longhi, M.R.; Zoppi, A. Cyclodextrin multicomponent complexes: Pharmaceutical applications. Pharmaceutics 2021, 13, 1099. [Google Scholar] [CrossRef] [PubMed]
- Braga, S.S.; Pais, J. Getting under the skin: Cyclodextrin inclusion for the controlled delivery of active substances to the dermis. In Design of Nanostructures for Versatile Therapeutic Applications, 1st ed.; Grumezescu, A., Ed.; Elsevier: Amsterdam, The Netherlands, 2018; Chapter 10; pp. 407–449. [Google Scholar] [CrossRef]
- Pereira, A.B.; Braga, S.S. Cyclodextrin Inclusion of Nutraceuticals, from the Bench to your Table. In Cyclodextrins: Synthesis, Chemical Applications and Role in Drug Delivery, 1st ed.; Ramirez, F.G., Ed.; NovaSience: Hauppage, NY, USA, 2015; Chapter 6; pp. 195–224. ISBN 978-1-63482-788-1. [Google Scholar]
- Agency Response Letter Gras Notice GRN, No. 155; Office of Food Additive Safety, Center for Food Safety and Applied Nutrition, US Food and Drug Administration: College Park, MD, USA, 2004.
- Agency Response Letter Gras Notice GRN, No. 74; Office of Food Additive Safety, Center for Food Safety and Applied Nutrition, US Food and Drug Administration: Washington, DC, USA, 2001.
- Agency Response Letter Gras Notice GRN, No. 46; Office of Food Additive Safety, Center for Food Safety and Applied Nutrition, US Food and Drug Administration: Washington, DC, USA, 2000.
- European Medicines Agency. Background Review for Cyclodextrins Used as Excipients; EMA: London, UK, 2014; Available online: http://www.ema.europa.eu/docs/en_GB/document_library/Report/2014/12/WC500177936.pdf (accessed on 8 February 2021).
- Kroes, R.; Verger, P.; Larsen, J.C. Safety evaluation of certain food additives (α-cyclodextrin—Addendum). WHO Food Addit. Ser. 2006, 54, 3–15. [Google Scholar]
- Pollit, F.D. Safety evaluation of certain food additives (β-cyclodextrin). WHO Food Addit. Ser. 1996, 35, 257–268. [Google Scholar]
- Abbott, P.J. JEFCA 55th meeting: Safety evaluation of certain food additives and contaminants (γ-cyclodextrin). WHO Food Addit. Ser. 2000, 44, 969. [Google Scholar]
- Li, X.; Guo, T.; Lachmanski, L.; Manoli, F.; Menendez-Miranda, M.; Manet, I.; Guo, Z.; Wu, L.; Zhang, J.; Gref, R. Cyclodextrin-based metal-organic frameworks particles as efficient carriers for lansoprazole: Study of morphology and chemical composition of individual particles. Int. J. Pharm. 2017, 513, 424–432. [Google Scholar] [CrossRef]
- Xu, X.; Wang, C.; Li, H.; Li, X.; Liu, B.; Singh, V.; Wang, S.; Sun, L.; Gref, R.; Zhang, J. Evaluation of drug loading capabilities of γ-cyclodextrin-metal organic frameworks by high performance liquid chromatography. J. Chromatogr. A 2017, 1488, 37–44. [Google Scholar] [CrossRef]
- Chen, Y.; Tai, K.; Ma, P.; Su, J.; Dong, W.; Gao, Y.; Mao, L.; Liu, J.; Yuan, F. Novel γ-cyclodextrin-metal–organic frameworks for encapsulation of curcumin with improved loading capacity, physicochemical stability and controlled release properties. Food Chem. 2021, 347, 128978. [Google Scholar] [CrossRef]
- Xu, J.; Wu, L.; Guo, T.; Zhang, G.; Wang, C.; Li, H.; Li, X.; Singh, V.; Chen, W.; Gref, R.; et al. A “Ship-in-a-Bottle” strategy to create folic acid nanoclusters inside the nanocages of γ-cyclodextrin metal-organic frameworks. Int. J. Pharm. 2019, 556, 89–96. [Google Scholar] [CrossRef]
- Surble, S.; Serre, C.; Mellot-Draznieks, C.; Millange, F.; Férey, G. A new isoreticular class of metal-organic-frameworks with the MIL-88 topology. Chem. Commun. 2006, 284–286. [Google Scholar] [CrossRef]
- Huynh, N.T.X.; Chihaia, V.; Son, D.N. Hydrogen storage in MIL-88 series. J. Mater. Sci. 2018, 54, 3994–4010. [Google Scholar] [CrossRef]
- Barbosa, J.S.; Figueira, F.; Braga, S.S.; Paz, F.A.A. Metal-organic frameworks for biomedical applications: The case of functional ligands. In Metal-Organic Frameworks for Biomedical Applications, 1st ed.; Mozafari, M., Ed.; Woodhead Publishing: Cambridge, UK; Elsevier: Duxford, UK, 2020; Chapter 4; pp. 69–92. [Google Scholar] [CrossRef]
- Agostoni, V.; Horcajada, P.; Noiray, M.; Malanga, M.; Aykaç, A.; Jicsinszky, L.; Vargas-Berenguel, A.; Semiramoth, N.; Daoud-Mahammed, S.; Nicolas, V.; et al. A ‘‘green’’ strategy to construct non-covalent, stable and bioactive coatings on porous MOF nanoparticles. Sci. Rep. 2014, 5, 7925. [Google Scholar] [CrossRef] [PubMed] [Green Version]
- Golmohamadpour, A.; Bahramian, B.; Shafiee, A.; Ma’mani, L. Slow released delivery of alendronate using β-cyclodextrine modified Fe–MOF encapsulated porous hydroxyapatite. J. Inorg. Organomet. Polym. Mat. 2018, 28, 1991–2000. [Google Scholar] [CrossRef]
- Forgan, R.S.; Smaldone, R.A.; Gassensmith, J.J.; Furukawa, H.; Cordes, D.B.; Li, Q.; Wilmer, C.E.; Botros, Y.Y.; Snurr, R.Q.; Slawin, A.M.Z.; et al. Nanoporous carbohydrate metal-organic frameworks. J. Am. Chem. Soc. 2012, 134, 406–417. [Google Scholar] [CrossRef] [PubMed]
- Henrotin, Y.; Pesesse, L.; Sanchez, C. Subchondral bone and osteoarthritis: Biological and cellular aspects. Osteoporos. Int. 2012, 23 (Suppl. 8), S847–S851. [Google Scholar] [CrossRef]
- Goldring, S.R. The role of bone in osteoarthritis pathogenesis. Rheum. Dis. Clin. N. Am. 2008, 34, 561–571. [Google Scholar] [CrossRef]
- Walsh, D.A.; McWilliams, D.F.; Turley, M.J.; Dixon, M.R.; Fransès, R.E.; Mapp, P.I.; Wilson, D. Angiogenesis and nerve growth factor at the osteochondral junction in rheumatoid arthritis and osteoarthritis. Rheumatology 2010, 49, 1852–1861. [Google Scholar] [CrossRef] [Green Version]
- Dougados, M. Why and how to use NSAIDs in osteoarthritis. J. Cardiovasc. Pharmacol. 2006, 47, S49–S54. Available online: https://journals.lww.com/cardiovascularpharm/fulltext/2006/05001/why_and_how_to_use_nsaids_in_osteoarthritis.9.aspx (accessed on 18 November 2021). [CrossRef] [Green Version]
- Pelletier, J.P.; Martel-Pelletier, J.; Rannou, F.; Cooper, C. Efficacy and safety of oral NSAIDs and analgesics in the management of osteoarthritis: Evidence from real-life setting trials and surveys. Semin. Arthritis Rheum. 2016, 45, S22–S27. [Google Scholar] [CrossRef] [Green Version]
- Abuçafy, M.P.; Caetano, B.L.; Chiari-Andréo, B.G.; Fonseca-Santos, B.; Santos, A.M.; Chorilli, M.; Chiavacci, L.A. Supramolecular cyclodextrin-based metal-organic frameworks as efficient carrier for anti-inflammatory drugs. Eur. J. Pharm. Biopharm. 2018, 127, 112–119. [Google Scholar] [CrossRef] [Green Version]
- Hartlieb, K.J.; Ferris, D.P.; Holcroft, J.M.; Kandela, I.; Stern, C.L.; Nassar, M.S.; Botros, Y.Y.; Stoddart, J.F. Encapsulation of ibuprofen in CD-MOF and related bioavailability studies. Mol. Pharm. 2017, 14, 1831–3189. [Google Scholar] [CrossRef] [PubMed] [Green Version]
- Qiu, J.; Li, X.; Gref, R.; Vargas-Berenguel, A. Carbohydrates in metal organic frameworks: Supramolecular assembly and surface modification for biomedical applications. In Metal-Organic Frameworks for Biomedical Applications, 1st ed.; Mozafari, M., Ed.; Woodhead Publishing: Cambridge, UK; Elsevier: Duxford, UK, 2020; Chapter 20; pp. 445–465. [Google Scholar] [CrossRef]
- Furukawa, Y.; Ishiwata, T.; Sugikawa, K.; Kokado, K.; Sada, K. Nano- and microsized cubic gel particles from cyclodextrin metal–organic frameworks. Angew. Chem. Int. Ed. 2012, 51, 10566–10569. [Google Scholar] [CrossRef] [PubMed]
- He, Y.; Xiong, T.; He, S.; Sun, H.; Huang, C.; Ren, X.; Wu, L.; Patterson, L.H.; Zhang, J. Pulmonary Targeting Crosslinked Cyclodextrin Metal–Organic Frameworks for Lung Cancer Therapy. Adv. Funct. Mater. 2021, 31, 2004550. [Google Scholar] [CrossRef]
- Singh, V.; Guo, T.; Wu, L.; Xu, J.; Liu, B.; Gref, R.; Zhang, J. Template-directed synthesis of a cubic cyclodextrin polymer with aligned channels and enhanced drug payload. RSC Adv. 2017, 7, 20789–20794. [Google Scholar] [CrossRef] [Green Version]
- Lu, S.; Ren, X.; Guo, T.; Cao, Z.; Sun, H.; Huang, C.; Huang, F.; Shu, Z.; Hao, J.; Gui, S.; et al. Controlled release of iodine from cross-linked cyclodextrin metal-organic frameworks for prolonged periodontal pocket therapy. Carbohydr. Polym. 2021, 267, 118187. [Google Scholar] [CrossRef] [PubMed]







| Guest Drug | Carrier | In Vivo Studies—GI Tract Model | In Vivo Studies | Ref. |
|---|---|---|---|---|
| Diclofenac sodium | Na-γ-CD-MOF | Sustained release profile 40% drug release at 24 h | Anti-inflammatory action slightly lower than pure drug | [38] |
| Diclofenac sodium | K-γ-CD-MOF | Sustained release profile 40% drug release at 24 h | Anti-inflammatory action similar to pure drug | [38] |
| Diclofenac sodium | Na-γ-CD-MOF | Sustained release profile 60% drug release at 24 h | Three-fold increase in anti-inflammatory action | [38] |
| Ibuprofen potassium | K-γ-CD-MOF | - | Two-fold increase of serum half-life (given per orum) | [39] |
| Ketoprofen | K-γ-CD-MOF | - | - | [24] |
| Fenbufen | K-γ-CD-MOF | - | - | [24] |
Publisher’s Note: MDPI stays neutral with regard to jurisdictional claims in published maps and institutional affiliations. |
© 2022 by the authors. Licensee MDPI, Basel, Switzerland. This article is an open access article distributed under the terms and conditions of the Creative Commons Attribution (CC BY) license (https://creativecommons.org/licenses/by/4.0/).
Share and Cite
Braga, S.S.; Paz, F.A.A. The Emerging Role of Cyclodextrin Metal–Organic Frameworks in Ostheotherapeutics. Appl. Sci. 2022, 12, 1574. https://doi.org/10.3390/app12031574
Braga SS, Paz FAA. The Emerging Role of Cyclodextrin Metal–Organic Frameworks in Ostheotherapeutics. Applied Sciences. 2022; 12(3):1574. https://doi.org/10.3390/app12031574
Chicago/Turabian StyleBraga, Susana Santos, and Filipe A. Almeida Paz. 2022. "The Emerging Role of Cyclodextrin Metal–Organic Frameworks in Ostheotherapeutics" Applied Sciences 12, no. 3: 1574. https://doi.org/10.3390/app12031574
APA StyleBraga, S. S., & Paz, F. A. A. (2022). The Emerging Role of Cyclodextrin Metal–Organic Frameworks in Ostheotherapeutics. Applied Sciences, 12(3), 1574. https://doi.org/10.3390/app12031574
