Prevalence and Patterns of Permanent Tooth Agenesis among Orthodontic Patients—Treatment Options and Outcome
Abstract
1. Introduction
- (1)
- To evaluate the prevalence and patterns of permanent tooth agenesis and compare bilateral with unilateral agenesis in orthodontic individuals in a university clinic.
- (2)
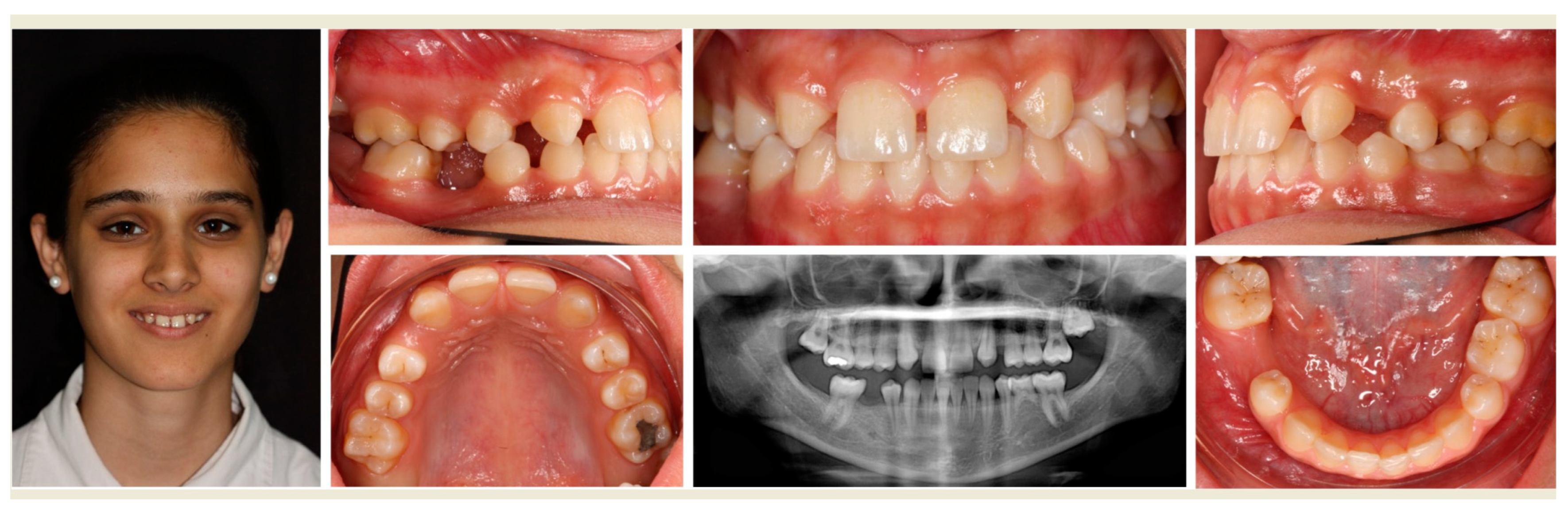
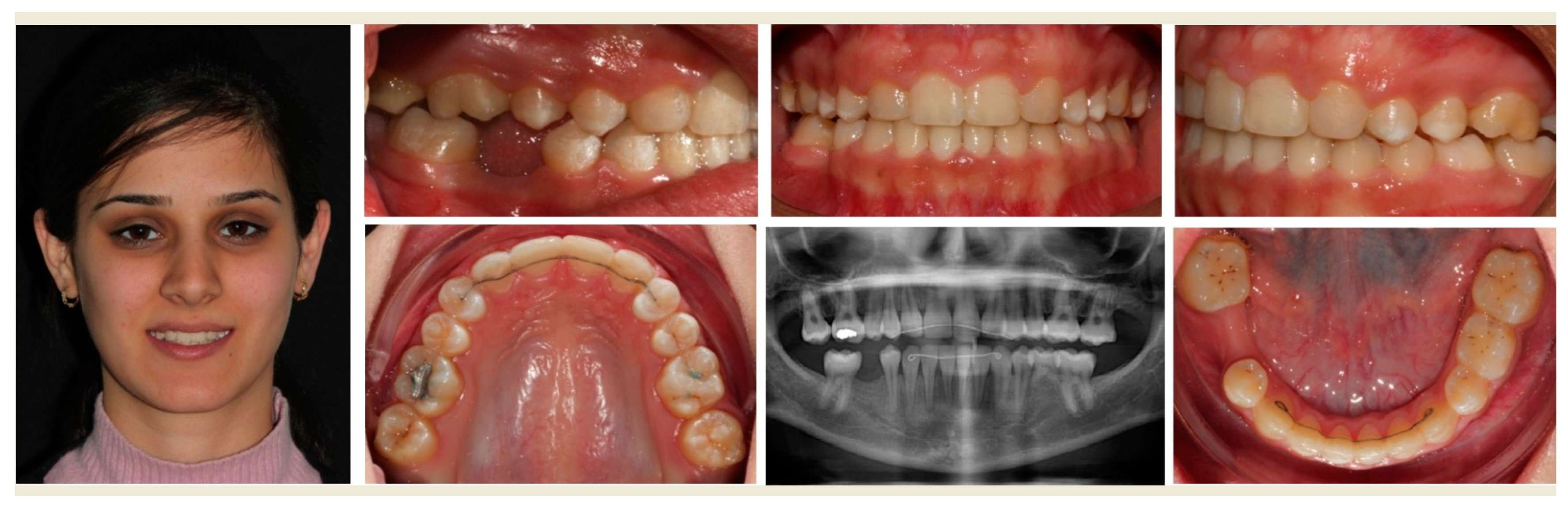
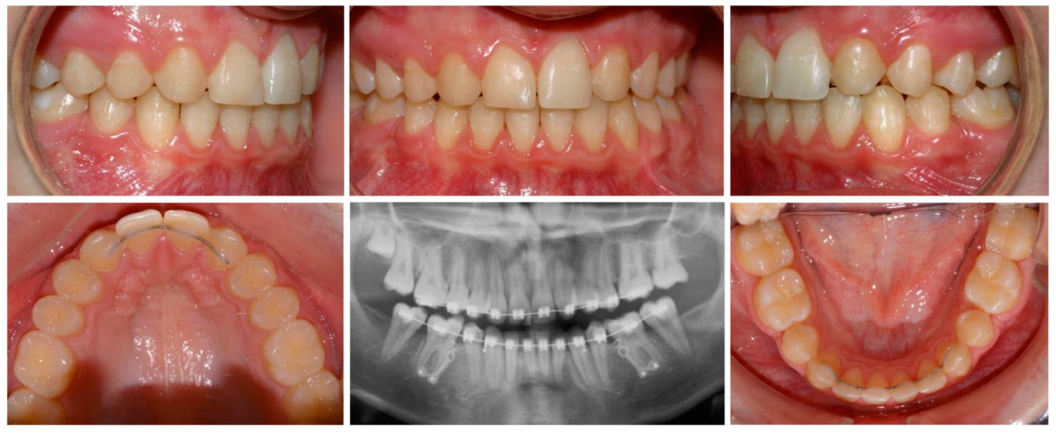
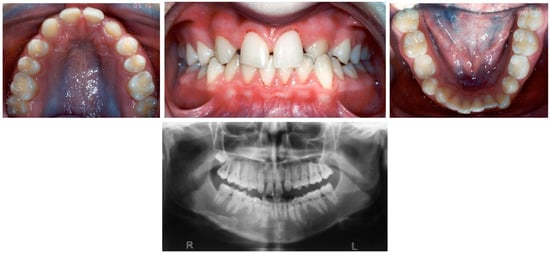
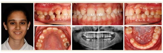
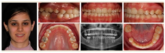
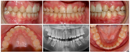
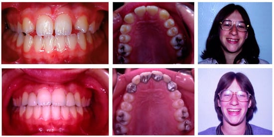
- To demonstrate the clinical management of agenesis of maxillary lateral incisors specifically, because of esthetic concerns, and that of missing second premolars.
2. Materials and Methods
3. Results
4. Discussion
5. Limitations of the Study
6. Conclusions
Author Contributions
Funding
Institutional Review Board Statement
Informed Consent Statement
Data Availability Statement
Acknowledgments
Conflicts of Interest
References
- Garib, D.G.; Alencar, B.M.; Lauris, J.; Baccetti, T. Agenesis of maxillary lateral incisors and associated dental anomalies. Am. J. Orthod. Dentofac. Orthop. 2010, 137, 732.e1–e6, discussion 732–733. [Google Scholar] [CrossRef]
- Peck, S.; Peck, L.; Kataja, M. Prevalence of tooth agenesis and peg-shaped maxillary lateral incisor associated with palatally displaced canine (PDC) anomaly. Am. J. Orthod. Dentofac. Orthop. 1996, 110, 441–443. [Google Scholar] [CrossRef]
- Abu-Hussein, M.; Watted, N.; Yehia, M.; Proff, P.; Iraqi, F. Clinical genetic basis of tooth agenesis. J. Dent. Med. Sci. 2015, 14, 68–77. [Google Scholar]
- Whittington, B.R.; Durward, C.S. Survey of anomalies in primary teeth and their correlation with the permanent dentition. N. Z. Dent. J. 1996, 92, 4–8. [Google Scholar]
- Kapadia, H.; Mues, G.; D’Souza, R. Genes affecting tooth morphogenesis. Orthod. Craniofac. Res. 2007, 10, 105–113. [Google Scholar] [CrossRef]
- Scribante, A.; Sfondrini, M.F.; Cassani, M.; Fraticelli, D.; Beccari, S.; Gandini, P. Sella Turcica bridging and dental anomalies: Is there an association? Int. J. Paediatr. Dent. 2017, 27, 568–573. [Google Scholar] [CrossRef] [PubMed]
- Janes, L.E.; Bazina, M.; Morcos, S.S.; Ukaigwe, A.; Valiathan, M.; Jacobson, R.; Gosain, A.K. The relationship between dental agenesis and maxillary hypoplasia in patients with cleft lip and palate. J. Craniofac. Surg. 2021, 32, 2012–2015. [Google Scholar] [CrossRef] [PubMed]
- Dahlberg, A.A. The dentition of the American Indians. In The Physical Anthropology of the American Indian; The Viking Fund: New York, NY, USA, 1949; pp. 138–176. [Google Scholar]
- Vastardis, H. The genetics of human tooth agenesis: New discoveries for understanding dental anomalies. Am. J. Orthod. Dentofac. Orthop. 2000, 117, 650–656. [Google Scholar] [CrossRef]
- Thesleff, I. Genetic basis of tooth development and dental defects. Acta Odontol. Scand. 2000, 58, 191–194. [Google Scholar] [CrossRef]
- Vieira, A.R.; Meira, R.; Modesto, A.; Murray, J.C. MSX1, PAX9, and TGFA contribute to tooth agenesis in humans. J. Dent. Res. 2004, 83, 723–727. [Google Scholar] [CrossRef]
- Vastardis, H.; Karimbux, N.; Guthua, S.W.; Seidman, J.; Seidman, C.E. A human MSX1 homeodomain missense mutation causes selective tooth agenesis. Nat. Genet. 1996, 13, 417–421. [Google Scholar] [CrossRef]
- Brook, A. A unifying aetiological explanation for anomalies of human tooth number and size. Arch. Oral Biol. 1984, 29, 373–378. [Google Scholar] [CrossRef] [PubMed]
- Grahnen, H. Hypodontia in the permanent dentition. A clinical and genetical investigation. Odontol. Rev. 1956, 7 (Suppl. S3), 1–100. [Google Scholar]
- Butler, P.M. Studies of the mammalian dentition. Differentiation of the post-canine dentition. In Proceedings of the Zoological Society of London; Blackwell Publishing Ltd.: Oxford, UK, 1939; Volume B109, pp. 1–36. [Google Scholar]
- Al-Abdallah, M.; AlHadidi, A.; Hammad, M.; Al-Ahmad, H.; Saleh, R. Prevalence and distribution of dental anomalies: A comparison between maxillary and mandibular tooth agenesis. Am. J. Orthod. Dentofac. Orthop. 2015, 148, 793–798. [Google Scholar] [CrossRef] [PubMed]
- Souza-Silva, B.N.; de Andrade Vieira, W.; de Macedo Bernardino, Í.; Batista, M.J.; Bittencourt, M.A.V.; Paranhos, L.R. Non-syndromic tooth agenesis patterns and their association with other dental anomalies: A retrospective study. Arch. Oral Biol. 2018, 96, 26–32. [Google Scholar] [CrossRef]
- Larmour, C.J.; Mossey, P.A.; Thind, B.S.; Forgie, A.H.; Stirrups, D.R. Hypodontia—A retrospective review of prevalence and etiology. Part I. Quintessence Int. 2005, 36, 263–270. [Google Scholar]
- Brabant, H. Comperison of the characteristics and anomalies of the deciduous and the permanent dentition. J. Dent. Res. 1967, 46, 897–902. [Google Scholar] [CrossRef] [PubMed]
- Jarvinen, S.; Lehtinen, L. Supernumerary and congenitally missing primary teeth in Finish children. An epidemiologic study. Acta Odontol. Scand. 1981, 39, 83–86. [Google Scholar] [CrossRef]
- Abu-Hussein, M.; Watted, N.; Watted, A.; Abu-Hussein, Y.; Yehia, M.; Awadi, O.; Azzaldeen, A. Prevalence of tooth agenesis in orthodontic patients at Arab population in Israel. Int. J. Public Health Res. 2015, 3, 77–82. [Google Scholar]
- Celikoglu, M.; Kazanci, F.; Miloglu, O.; Oztek, O.; Kamak, H.; Ceylan, I. Frequency and charateristics of tooth agenesis among an orthodontic patient population. Med. Oral Pathol. Oral Cir. Bucal 2010, 15, e797–e801. [Google Scholar] [CrossRef]
- Nordgarden, H.; Jensen, J.L.; Storhaug, K. Reported prevalence of congenitally missing teeth in two Norwegian counties. Commun. Dent. Health 2002, 19, 258–261. [Google Scholar]
- Endo, T.; Ozoe, R.; Kubota, M.; Akiyama, M.; Shimooka, S. A survey of hypodontia in Japanese orthodontic patients. Am. J. Orthod. Dentofac. Orthop. 2006, 129, 29–35. [Google Scholar] [CrossRef]
- Gabris, K.; Fabian, G.; Kaan, M.; Rozsa, N.; Tarjan, I. Prevalence of agenesis and hyperdontia in paedodontic and orthodontic patients in Budapest. Commun. Dent. Health 2006, 23, 80–82. [Google Scholar]
- Muller, T.; Hill, I.; Petersen, A.; Blayney, J. A Survey of Congenitally Missing Permanent Teeth. J. Am. Dent. Assoc. 1970, 81, 101–107. [Google Scholar] [CrossRef]
- Serrano, J. Gemination, hypodontia and supernumerary teeth. Oral Surg. Oral Med. Oral Pathol. 1986, 62, 737–738. [Google Scholar] [CrossRef] [PubMed]
- Khan, R.S.; Horrocks, E.N. A Study of Adult Orthodontic Patients and their Treatment. Br. J. Orthod. 1991, 18, 183–194. [Google Scholar] [CrossRef]
- Nattrass, C.; Sandy, J.R. Adult orthodontics: A review. Br. J. Orthod. 1995, 22, 331–337. [Google Scholar] [CrossRef]
- Kokich, V.O. Congenitally missing teeth: Orthodontic management in the adolescent patient. Am. J. Orthod. Dentofac. Orthop. 2002, 121, 594–595. [Google Scholar] [CrossRef]
- Sisman, Y.; Uysal, T.; Gelgor, I.E. Hypodontia. Does the prevalence and distribution pattern differ in orthodontic patients? Eur. J. Dent. 2007, 1, 167–173. [Google Scholar] [CrossRef]
- Symons, A.L.; Stritzel, F.; Stamation, J. Anomalies associated with hypodontia of the permanent lateral incisor and second premolar. J. Clin. Pediatr. Dent. 1993, 17, 109–111. [Google Scholar]
- Gomes, R.R.; Da Fonseca, J.A.C.; Paula, L.M.; Faber, J.; Acevedo, A.C.; Da Fonseca, J.A.C. Prevalence of hypodontia in orthodontic patients in Brasilia, Brazil. Eur. J. Orthod. 2009, 32, 302–306. [Google Scholar] [CrossRef] [PubMed]
- Al Jawad, F.H.A.; Al Yafei, H.; Al Sheeb, M.; Al Emadi, B. Hypodontia prevalence and distribution pattern in a group of Qatari orthodontic and pediatric patients: A retrospective study. Eur. J. Dent. 2015, 9, 267–271. [Google Scholar] [CrossRef] [PubMed]
- Goya, H.A.; Tanaka, S.; Maeda, T.; Akimoto, Y. An orthopantomographic study of hypodontia in permanent teeth of Japanese pediatric patients. J. Oral Sci. 2008, 50, 143–150. [Google Scholar] [CrossRef] [PubMed]
- Zhang, J.; Liu, H.C.; Lyu, X.; Shen, G.H.; Deng, X.X.; Li, W.R.; Zhang, X.X.; Feng, H.L. Prevalence of tooth agenesis in adolescent Chinese populations with or without orthodontics. Chin. J. Dent. Res. 2015, 18, 59–65. [Google Scholar]
- Fekonja, A. Hypodontia in orthodontically treated children. Eur. J. Orthod. 2005, 27, 457–460. [Google Scholar] [CrossRef]
- Alsoleihat, F.; Khraisat, A. Hypodontia: Prevalence and pattern amongst the living Druze population—A Near Eastern genetic isolate. J. Comp. Human Biol. 2014, 65, 201–213. [Google Scholar] [CrossRef]
- Montasser, M.; Taha, M. Prevalence and distribution of dental anomalies in orthodontic patients. Orthod. Art Pract. Dentofac. Enhanc. 2012, 13, 52–59. [Google Scholar]
- Mani, S.A.; Mohsin, W.S.Y.; John, J. Prevalence and patterns of tooth agenesis among Malay children. Southeast Asian J. Trop. Med. Public Health 2014, 45, 490–498. [Google Scholar]
- Tunis, T.S.; Sarne, O.; Hershkovitz, I.; Finkelstein, T.; Pavlidi, A.; Shapira, Y.; Davidovitch, M.; Shpack, N. Dental Anomalies’ Characteristics. Diagnostics 2021, 11, 1161. [Google Scholar] [CrossRef]
- Stamatiou, J.; Symons, A.L. Agenesis of the permanent lateral incisor: Distribution, number and sites. J. Clin. Pediatr. Dent. 1991, 15, 244–246. [Google Scholar]
- Padmanabhan, V.; Rahhal, L.M.K.; Omar Khaled, A.M. Prevalence of bilateral agenesis of mandibular second premolars and maxillary lateral incisors—A retrospective study. EC Dent. Sci. 2020, 19, 89–94. [Google Scholar]
- Ben-Bassat, Y.; Brin, I. Skeletal and dental patterns in patients with severe congenital absence of teeth. Am. J. Orthod. Dentofac. Orthop. 2009, 135, 349–356. [Google Scholar] [CrossRef]
- Øgaard, B.; Krogstad, O. Craniofacial structure and soft tissue profile in patients with severe hypodontia. Am. J. Orthod. Dentofac. Orthop. 1995, 108, 472–477. [Google Scholar] [CrossRef]
- Becker, A. In defense of the guidance theory of palatal canine displacement. Angle Orthod. 1995, 65, 95–98. [Google Scholar] [PubMed]
- Peck, S.; Peck, L.; Kataja, M. The palatally displaced canine as a dental anomaly of genetic origin. Angle Orthod. 1994, 64, 249–256. [Google Scholar]
- Ranta, R. Hypodontia and delayed development of the second premolars in cleft palate children. Eur. J. Orthod. 1983, 5, 145–148. [Google Scholar] [CrossRef] [PubMed]
- Shapira, Y.; Lubit, E.; Kuftinec, M.M. Congenitally missing second premolars in cleft lip and cleft palate children. Am. J. Orthod. Dentofac. Orthop. 1999, 115, 396–400. [Google Scholar] [CrossRef]
- Sharma, P.K.; Sharma, P. Interdisciplinary management of congenitally absent maxillary lateral incisors: Orthodontic/prosthodontic perspectives. Sem. Orthod 2015, 21, 27–37. [Google Scholar] [CrossRef]
- Zachrisson, B.U.; Rosa, M.; Toreskog, S. Congenitally missing maxillary lateral incisors: Canine substitution. Am. J. Orthod. Dentofac. Orthop. 2011, 139, 434–444. [Google Scholar] [CrossRef]
- Kokich, V.O., Jr.; Kinzer, G.A.; Janakievski, J. Congenitally missing maxillary lateral incisors: Restorative replacement. Am. J. Orthod. Dentofac. Orthop. 2011, 139, 441. [Google Scholar] [CrossRef]
- Czochrowska, E.M.; Stenvik, A.; Album, B.; Zachrisson, B.U. Autotransplantation of premolars to replace maxillary incisors: A comparison with natural incisors. Am. J. Orthod. Dentofac. Orthop. 2000, 118, 592–600. [Google Scholar] [CrossRef] [PubMed]
- Czochrowska, E.M.; Stenvik, A.; Bjercke, B.; Zachrisson, B.U. Outcome of tooth transplantation: Survival and success rates 17–41 years posttreatment. Am. J. Orthod. Dentofac. Orthop. 2002, 121, 110–119. [Google Scholar] [CrossRef] [PubMed]





| Gender | Patients | Patients with Missing Teeth | Missing Maxillary Lateral Incisors | Missing Mandibular Second Premolars | ||||
|---|---|---|---|---|---|---|---|---|
| No. | % | No. | % | No. | % | No. | % | |
| Male | 1220 | 41 | 139 | 43 | 65 | 37 | 66 | 48 |
| Female | 1780 | 59 | 187 | 57 | 111 | 63 | 71 | 52 |
| Total | 3000 | 100 | 326 | 100 | 176 | 100 | 137 | 100 |
| Side | Maxillary Lateral Incisors | Mandibular Second Premolars | ||
|---|---|---|---|---|
| No. | % | No. | % | |
| Right | 93 | 53 | 61 | 45 |
| Left | 83 | 47 | 76 | 55 |
| Total | 176 | 100 | 137 | 100 |
| Tooth | Frequency (No.) | % |
|---|---|---|
| Max. Right Lat. Incisor | 93 | 18 |
| Max. Left Lat. Incisor | 83 | 16 |
| Mand. Right 2nd Premolar | 61 | 12 |
| Mand. Left 2nd Premolar | 76 | 15 |
| Max. Right 2nd Premolar | 36 | 7 |
| Max. Left 2nd Premolar | 37 | 7 |
| Max. Right 1st Premolar | 16 | 3 |
| Max. Left 1st Premolar | 18 | 3 |
| Mand. Right 1st Premolar | 15 | 3 |
| Mand. Left 1st Premolar | 12 | 2 |
| Max. Right Canine | 13 | 3 |
| Max. Left Canine | 12 | 2 |
| Mand. Right Canine | 8 | 2 |
| Mand. Left Canine | 8 | 2 |
| Mand. Right Lat. Incisor | 15 | 3 |
| Mand. Left Lat. Incisor | 15 | 3 |
| Total | 518 | 100 |
| Location | Total | Patients with Missing Maxillary Lateral Incisors | Patients with Missing Maxillary Second Premolars | Patients with Missing Mandibular Second Premolars | ||||
|---|---|---|---|---|---|---|---|---|
| No. | % | No. | % | No. | % | No. | % | |
| Unilateral | 33 | 20 | 12 | 16 | 7 | 22 | 14 | 24 |
| Bilateral | 131 | 80 | 62 | 84 | 25 | 78 | 44 | 76 |
| Total | 164 | 100 | 74 | 100 | 32 | 100 | 58 | 100 |
Publisher’s Note: MDPI stays neutral with regard to jurisdictional claims in published maps and institutional affiliations. |
© 2022 by the authors. Licensee MDPI, Basel, Switzerland. This article is an open access article distributed under the terms and conditions of the Creative Commons Attribution (CC BY) license (https://creativecommons.org/licenses/by/4.0/).
Share and Cite
Schonberger, S.; Shapira, Y.; Pavlidi, A.M.; Finkelstein, T. Prevalence and Patterns of Permanent Tooth Agenesis among Orthodontic Patients—Treatment Options and Outcome. Appl. Sci. 2022, 12, 12252. https://doi.org/10.3390/app122312252
Schonberger S, Shapira Y, Pavlidi AM, Finkelstein T. Prevalence and Patterns of Permanent Tooth Agenesis among Orthodontic Patients—Treatment Options and Outcome. Applied Sciences. 2022; 12(23):12252. https://doi.org/10.3390/app122312252
Chicago/Turabian StyleSchonberger, Shirley, Yehoshua Shapira, Aikaterini Maria Pavlidi, and Tamar Finkelstein. 2022. "Prevalence and Patterns of Permanent Tooth Agenesis among Orthodontic Patients—Treatment Options and Outcome" Applied Sciences 12, no. 23: 12252. https://doi.org/10.3390/app122312252
APA StyleSchonberger, S., Shapira, Y., Pavlidi, A. M., & Finkelstein, T. (2022). Prevalence and Patterns of Permanent Tooth Agenesis among Orthodontic Patients—Treatment Options and Outcome. Applied Sciences, 12(23), 12252. https://doi.org/10.3390/app122312252

