Comprehensive Genetic Exploration of Fused Teeth by Whole Exome Sequencing
Abstract
1. Introduction
2. Materials and Methods
2.1. Samples
2.2. Whole Exome Sequencing
2.3. Data Analysis
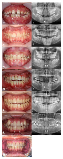
3. Results
3.1. Clinical Findings
3.2. Genetic Analysis
4. Discussion
5. Conclusions
Author Contributions
Funding
Institutional Review Board Statement
Informed Consent Statement
Data Availability Statement
Conflicts of Interest
References
- Woelfel, J.B. Dental Anatomy: Its Relevance to Dentistry, 4th ed.; Lippincott Williams & Wilkins: Philadelphia, PA, USA, 1990. [Google Scholar]
- White, S.C.; Pharoah, M.J. Oral Radiology: Principles and Interpretation, 5th ed.; Mosby/Elsevier: St. Louis, MO, USA, 1994. [Google Scholar]
- Açıkel, H.; İbiş, S.; Şen Tunç, E. Primary Fused Teeth and Findings in Permanent Dentition. Med. Princ. Pract. 2018, 27, 129–132. [Google Scholar] [CrossRef] [PubMed]
- Baratto-Filho, F.; Leonardi, D.P.; Crozeta, B.M.; Baratto, S.P.; Campos, E.A.; Tomazinho, F.S.; Deliberador, T.M. The challenges of treating a fused tooth. Braz. Dent. J. 2012, 23, 256–262. [Google Scholar] [CrossRef] [PubMed]
- Le Gall, M.; Philip, C.; Aboudharam, G. Orthodontic treatment of bilateral geminated maxillary permanent incisors. Am. J. Orthod. Dentofac. Orthop. 2011, 139, 698–703. [Google Scholar] [CrossRef] [PubMed]
- DaleKhurana, K.K.; Khurana, P. Esthetic and endodontic management of fused maxillary lateral incisor and supernumerary teeth with all ceramic restoration after trauma. Saudi Endod. J. 2014, 4, 23–27. [Google Scholar] [CrossRef]
- Karumaran, C.S.; Kumar, A.R.; Neelakantappa, K.K.; Sundaran, R.M.; Venkatesan, R.; Naik, S.B. Cone beam computed tomography aided endodontic and aesthetic management of fused mandibular incisors with communicating canals. Indian J. Dent. Res. 2020, 31, 160–163. [Google Scholar] [CrossRef] [PubMed]
- Pindborg, J.J. Pathology of the Dental Hard Tissues; W. B. Saunders Co.: Philadelphia, PA, USA, 1970. [Google Scholar]
- Sunny, J.; Kedilaya, V.; Pai, R.; Rai, D.S.; Rao, M. Fusion of teeth—A rare developmental anomaly. Brunei Int. Med. J. 2013, 9, 52–55. [Google Scholar]
- Duncan, W.K.; Helpin, M.L. Bilateral fusion and gemination: A literature analysis and case report. Oral. Surg. Oral. Med. Oral. Pathol. 1987, 64, 82–87. [Google Scholar] [CrossRef] [PubMed]
- Cetinbas, T.; Halil, S.; Akcam, M.O.; Sari, S.; Cetiner, S. Hemisection of a fused tooth. Med. Oral. Pathol. Oral. Radiol. Endod. 2007, 104, e120–e124. [Google Scholar] [CrossRef]
- Hagman, F.T. Fused primary teeth: A documented familial report of case. ASDC J. Dent. Child 1985, 52, 459–460. [Google Scholar] [PubMed]
- Guimarães Cabral, L.A.; Firoozmand, L.M.; Dias Almeida, J. Double teeth in primary dentition: Report of two clinical cases. Med. Oral. Patol. Oral. Cir. Bucal. 2008, 13, E77–E80. [Google Scholar]
- Fournier, B.P.; Bruneau, M.H.; Toupenay, S.; Kerner, S.; Berdal, A.; Cormier-Daire, V.; Hadj-Rabia, S.; Coudert, A.E.; de La Dure-Molla, M. Patterns of Dental Agenesis Highlight the Nature of the Causative Mutated Genes. J. Dent. Res. 2018, 97, 1306–1316. [Google Scholar] [CrossRef]
- Takahashi, M.; Hosomichi, K.; Yamaguchi, T.; Yano, K.; Funatsu, T.; Adel, M.; Haga, S.; Maki, K.; Tajima, A. Whole-exome sequencing analysis of supernumerary teeth occurrence in Japanese individuals. Hum. Genome. Var. 2017, 4, 16046. [Google Scholar] [CrossRef] [PubMed]
- Kimura, R.; Yamaguchi, T.; Takeda, M.; Kondo, O.; Toma, T.; Haneji, K.; Hanihara, T.; Matsukusa, H.; Kawamura, S.; Maki, K.; et al. A common variation in EDAR is a genetic determinant of shovel-shaped incisors. Am. J. Hum. Genet. 2009, 85, 528–535. [Google Scholar] [CrossRef]
- Gowans, L.; Cameron-Christie, S.; Slayton, R.L.; Busch, T.; Romero-Bustillos, M.; Eliason, S.; Sweat, M.; Sobreira, N.; Yu, W.; Kantaputra, P.N.; et al. Missense Pathogenic variants in KIF4A Affect Dental Morphogenesis Resulting in X-linked Taurodontism, Microdontia and Dens-Invaginatus. Front. Genet. 2019, 10, 800. [Google Scholar] [CrossRef] [PubMed]
- Bamshad, M.J.; Ng, S.B.; Bigham, A.W.; Tabor, H.K.; Emond, M.J.; Nickerson, D.A.; Shendure, J. Exome sequencing as a tool for Mendelian disease gene discovery. Nat. Rev. Genet. 2011, 12, 745–755. [Google Scholar] [CrossRef] [PubMed]
- Mahajan, M.C.; McLellan, A.S. Whole-Exome Sequencing (WES) for Illumina Short Read Sequencers Using Solution-Based Capture. Methods Mol. Biol. 2020, 2076, 85–108. [Google Scholar] [CrossRef] [PubMed]
- Kircher, M.; Witten, D.M.; Jain, P.; O’Roak, B.J.; Cooper, G.M.; Shendure, J. A general framework for estimating the relative pathogenicity of human genetic variants. Nat. Genet. 2014, 46, 310–315. [Google Scholar] [CrossRef]
- Mues, G.; Bonds, J.; Xiang, L.; Vieira, A.R.; Seymen, F.; Klein, O.; D’Souza, R.N. The WNT10A gene in ectodermal dysplasias and selective tooth agenesis. Am. J. Med. Genet. A 2014, 164A, 2455–2460. [Google Scholar] [CrossRef]
- Guazzarotti, L.; Tadini, G.; Mancini, G.E.; Sani, I.; Pisanelli, S.; Galderisi, F.; D’Auria, E.; Secondi, R.; Bottero, A.; Zuccotti, G.V. WNT10A gene is the second molecular candidate in a cohort of young Italian subjects with ectodermal derivative impairment (EDI). Clin. Genet. 2018, 93, 693–698. [Google Scholar] [CrossRef]
- Kanchanasevee, C.; Sriwattanapong, K.; Theerapanon, T.; Thaweesapphithak, S.; Chetruengchai, W.; Porntaveetus, T.; Shotelersuk, V. Phenotypic and Genotypic Features of Thai Patients With Nonsyndromic Tooth Agenesis and WNT10A Variants. Front. Physiol. 2020, 11, 573214. [Google Scholar] [CrossRef]
- Troelstra, C.; van Gool, A.; de Wit, J.; Vermeulen, W.; Bootsma, D.; Hoeijmakers, J.H. ERCC6, a member of a subfamily of putative helicases, is involved in Cockayne’s syndrome and preferential repair of active genes. Cell. 1992, 71, 939–953. [Google Scholar] [CrossRef]
- Troelstra, C.; Hesen, W.; Bootsma, D.; Hoeijmakers, J.H. Structure and expression of the excision repair gene ERCC6, involved in the human disorder Cockayne’s syndrome group B. Nucleic Acids Res. 1993, 21, 419–426. [Google Scholar] [CrossRef] [PubMed]
- Bloch-Zupan, A.; Rousseaux, M.; Laugel, V.; Schmittbuhl, M.; Mathis, R.; Desforges, E.; Koob, M.; Zaloszyc, A.; Dollfus, H.; Laugel, V. A possible cranio-oro-facial phenotype in Cockayne syndrome. Orphanet J. Rare. Dis. 2013, 8, 9. [Google Scholar] [CrossRef] [PubMed]
- Zhang, Q.; Liu, M.; Liu, Y.; Tang, H.; Wang, T.; Li, H.; Xiang, J. Two heterozygous mutations in the ERCC6 gene associated with Cockayne syndrome in a Chinese patient. J. Int. Med. Res. 2020, 48, 300060519877997. [Google Scholar] [CrossRef] [PubMed]
- Xin, B.; Wang, H. Identification of Two Novel ERCC6 Mutations in Old Order Amish with Cockayne Syndrome. Mol. Syndromol. 2013, 3, 288–290. [Google Scholar] [CrossRef]
- Young, P.; Ehler, E.; Gautel, M. Obscurin, a giant sarcomeric Rho guanine nucleotide exchange factor protein involved in sarcomere assembly. J. Cell Biol. 2001, 154, 123–136. [Google Scholar] [CrossRef]
- Shriver, M.; Stroka, K.M.; Vitolo, M.I.; Martin, S.; Huso, D.L.; Konstantopoulos, K.; Kontrogianni-Konstantopoulos, A. Loss of giant obscurins from breast epithelium promotes epithelial-to-mesenchymal transition, tumorigenicity and metastasis. Oncogene 2015, 34, 4248–4259. [Google Scholar] [CrossRef]
- Perry, N.A.; Shriver, M.; Mameza, M.G.; Grabias, B.; Balzer, E.; Kontrogianni-Konstantopoulos, A. Loss of giant obscurins promotes breast epithelial cell survival through apoptotic resistance. FASEB J. 2012, 26, 2764–2775. [Google Scholar] [CrossRef][Green Version]
- Sjöblom, T.; Jones, S.; Wood, L.D.; Parsons, D.W.; Lin, J.; Barber, T.D.; Mandelker, D.; Leary, R.J.; Ptak, J.; Silliman, N.; et al. The consensus coding sequences of human breast and colorectal cancers. Science 2006, 314, 268–274. [Google Scholar] [CrossRef]
- Balakrishnan, A.; Bleeker, F.E.; Lamba, S.; Rodolfo, M.; Daniotti, M.; Scarpa, A.; van Tilborg, A.A.; Leenstra, S.; Zanon, C.; Bardelli, A. Novel somatic and germline mutations in cancer candidate genes in glioblastoma, melanoma, and pancreatic carcinoma. Cancer Res. 2007, 67, 3545–3550. [Google Scholar] [CrossRef]
- Price, N.D.; Trent, J.; El-Naggar, A.K.; Cogdell, D.; Taylor, E.; Hunt, K.K.; Pollock, R.E.; Hood, L.; Shmulevich, I.; Zhang, W. Highly accurate two-gene classifier for differentiating gastrointestinal stromal tumors and leiomyosarcomas. Proc. Natl. Acad. Sci. USA 2007, 104, 3414–3419. [Google Scholar] [CrossRef] [PubMed]
- Guardia, T.; Eason, M.; Kontrogianni-Konstantopoulos, A. Obscurin: A multitasking giant in the fight against cancer. Biochim. Biophys. Acta Rev. Cancer 2021, 1876, 188567. [Google Scholar] [CrossRef] [PubMed]
- Nichols, A.C.; Yoo, J.; Palma, D.A.; Fung, K.; Franklin, J.H.; Koropatnick, J.; Mymryk, J.S.; Batada, N.N.; Barrett, J.W. Frequent mutations in TP53 and CDKN2A found by next-generation sequencing of head and neck cancer cell lines. Arch. Otolaryngol. Head Neck Surg. 2012, 138, 732–739. [Google Scholar] [CrossRef] [PubMed][Green Version]
- Maekawa, M.; Iwayama, Y.; Ohnishi, T.; Toyoshima, M.; Shimamoto, C.; Hisano, Y.; Toyota, T.; Balan, S.; Matsuzaki, H.; Iwata, Y.; et al. Investigation of the fatty acid transporter-encoding genes SLC27A3 and SLC27A4 in autism. Sci. Rep. 2015, 5, 16239. [Google Scholar] [CrossRef]
- Miki, H.; Setou, M.; Kaneshiro, K.; Hirokawa, N. All kinesin superfamily protein, KIF, genes in mouse and human. Proc. Natl. Acad. Sci. USA 2001, 98, 7004–7011. [Google Scholar] [CrossRef]
- Zhang, S.; Zhang, Q.; Sun, Q.; Tang, J.; Chen, J.; Ji, N.; Zheng, Y.; Fang, F.; Lei, W.; Li, P.; et al. Genome Evolution Analysis of Recurrent Testicular Malignant Mesothelioma by Whole-Genome Sequencing. Cell Physiol. Biochem. 2018, 45, 163–174. [Google Scholar] [CrossRef]
- Mosley, J.D.; Van Driest, S.L.; Larkin, E.K.; Weeke, P.E.; Witte, J.S.; Wells, Q.S.; Karnes, J.H.; Guo, Y.; Bastarache, L.; Olson, L.M.; et al. Mechanistic phenotypes: An aggregative phenotyping strategy to identify disease mechanisms using GWAS data. PLoS ONE 2013, 8, e81503. [Google Scholar] [CrossRef]
- Okamoto, S.; Matsushima, M.; Nakamura, Y. Identification, genomic organization, and alternative splicing of KNSL3, a novel human gene encoding a kinesin-like protein. Cytogenet. Cell Genet. 1998, 83, 25–29. [Google Scholar] [CrossRef] [PubMed]
- Buda, P.; Chyb, M.; Smorczewska-Kiljan, A.; Wieteska-Klimczak, A.; Paczesna, A.; Kowalczyk-Domagała, M.; Okarska-Napierała, M.; Sobalska-Kwapis, M.; Grochowalski, Ł.; Słomka, M.; et al. Association Between rs12037447, rs146732504, rs151078858, rs55723436, and rs6094136 Polymorphisms and Kawasaki Disease in the Population of Polish Children. Front. Pediatr. 2021, 9, 624798. [Google Scholar] [CrossRef] [PubMed]
- Scardina, G.A.; Fucà, G.; Carini, F.; Valenza, V.; Spicola, M.; Procaccianti, P.; Messina, P.; Maresi, E. Oral necrotizing microvasculitis in a patient affected by Kawasaki disease. Med. Oral. Patol. Oral. Cir. Bucal. 2007, 12, E560–E564. [Google Scholar]
- Chen, Y.; Wang, Z.; Lin, C.; Chen, Y.; Hu, X.; Zhang, Y. Activated Epithelial FGF8 Signaling Induces Fused Supernumerary Incisors. J. Dent. Res. 2022, 101, 458–464. [Google Scholar] [CrossRef] [PubMed]
- Balic, A.; Thesleff, I. Tissue Interactions Regulating Tooth Development and Renewal. Curr. Top. Dev. Biol. 2015, 115, 157–186. [Google Scholar] [CrossRef] [PubMed]


| Subject | Sex | Dental Arch | Fusion Tooth | Type of Inclusion |
|---|---|---|---|---|
| A-1 | Female | Lower | Right central incisor + Right lateral incisor | Monolateral |
| A-2 | Female | - | - | - |
| B-1 | Female | Lower | Right central incisor + Right lateral incisor | Monolateral |
| B-2 | Female | - | - | - |
| C-1 | Female | Lower | Right central incisor + Right lateral incisor and Left central incisor + Left lateral incisor | Bilateral |
| C-2 | Female | - | - | - |
| D-1 | Male | Lower | Right central incisor + Right lateral incisor | Monolateral |
| D-2 | Female | - | - | - |
| E-1 | Female | Lower | Left central incisor + Right central incisor | Monolateral |
| E-2 | Male | - | - | - |
| E-3 | Female | - | - | - |
| F-1 | Female | Lower | Right central incisor + Right lateral incisor and Left central incisor + Left lateral incisor | Monolateral |
| F-2 | male | Lower | Right central incisor + Right lateral incisor | Bilateral |
| F-3 | Female | - | - | - |
| F-4 | Female | - | - | - |
| Gene | Subject * | ||||
|---|---|---|---|---|---|
| A-1 | B-1 | C-1 | F-1 | F-2 | |
| ERCC6 | c.2204G>T | c.2204G>T | |||
| OBSCN | c.5867C>G | c.5867C>G | |||
| SLC27A3 | c.1385G>A | ||||
| c.1036C>T | |||||
| KIF25 | c.208G>A | ||||
| Gene | GenBank Accession Number | Nucleotide Substitution | Amino Acid Substitution | Variant ID | MAF | CADD (scaled) | PolyPhen2 | |||
|---|---|---|---|---|---|---|---|---|---|---|
| gnomAD | gnomAD EAS | 1000 Genomes | ExAC | |||||||
| ERCC6 | NM_000124 | c.2204G>T | p.Arg735Leu | rs75037497 | 0 | 0.0014 | 0 | 0.00009885 | 35 | Damaging |
| OBSCN | NM_001098623 | c.5867C>G | p.Thr1956Ser | rs559944127 | 0 | 0 | 0.0002 | 0.00004997 | 23 | Damaging |
| SLC27A3 | NM_024330 | c.1385G>A | p.Arg462His | rs143908472 | 0.0001 | 0.0025 | 0.0002 | 0.0002 | 34 | Damaging |
| NM_024330 | c.1036C>T | p.Arg346Trp | rs150357360 | 0.0002 | 0.002 | 0.0002 | 0.0002 | 25.7 | Damaging | |
| KIF25 | NM_005355 | c.208G>A | p.Gly70Arg | rs746548637 | 0 | 0 | 0 | 0.000008241 | 26.8 | Damaging |
Publisher’s Note: MDPI stays neutral with regard to jurisdictional claims in published maps and institutional affiliations. |
© 2022 by the authors. Licensee MDPI, Basel, Switzerland. This article is an open access article distributed under the terms and conditions of the Creative Commons Attribution (CC BY) license (https://creativecommons.org/licenses/by/4.0/).
Share and Cite
Park, H.; Hosomichi, K.; Kim, Y.-I.; Hikita, Y.; Tajima, A.; Yamaguchi, T. Comprehensive Genetic Exploration of Fused Teeth by Whole Exome Sequencing. Appl. Sci. 2022, 12, 11899. https://doi.org/10.3390/app122311899
Park H, Hosomichi K, Kim Y-I, Hikita Y, Tajima A, Yamaguchi T. Comprehensive Genetic Exploration of Fused Teeth by Whole Exome Sequencing. Applied Sciences. 2022; 12(23):11899. https://doi.org/10.3390/app122311899
Chicago/Turabian StylePark, Heetae, Kazuyoshi Hosomichi, Yong-Il Kim, Yu Hikita, Atsushi Tajima, and Tetsutaro Yamaguchi. 2022. "Comprehensive Genetic Exploration of Fused Teeth by Whole Exome Sequencing" Applied Sciences 12, no. 23: 11899. https://doi.org/10.3390/app122311899
APA StylePark, H., Hosomichi, K., Kim, Y.-I., Hikita, Y., Tajima, A., & Yamaguchi, T. (2022). Comprehensive Genetic Exploration of Fused Teeth by Whole Exome Sequencing. Applied Sciences, 12(23), 11899. https://doi.org/10.3390/app122311899

