Efficient Detection of Pre-Proinsulin by Double Antibody Sandwich ELISA
Abstract
:1. Introduction
2. Materials and Methods
2.1. Materials
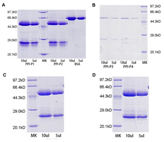
2.2. Preparation, Purification and Marking of Monoclonal Antibodies
2.3. Double Antibody Sandwich ELISA Screening for Paired Antibodies
2.4. Specific Evaluation of Paired Antibody
2.5. Construction of Quantitative Curve
2.6. Accuracy and Sensitivity Evaluation
2.7. Statistical Analysis
3. Results
3.1. Preparation and Purification of Monoclonal Antibody
3.2. Double Antibody Sandwich ELISA Screening for Paired Antibodies
3.3. Specific Evaluation of Paired Antibody
3.4. Construction of Quantitative Curves
3.5. Accuracy and Sensitivity Evaluation of PPI Method for Double Antibody Sandwich ELISA
4. Discussion
5. Conclusions
Author Contributions
Funding
Institutional Review Board Statement
Informed Consent Statement
Data Availability Statement
Conflicts of Interest
References
- Mathieu, C.; Martens, P.-J.; Vangoitsenhoven, R. One Hundred Years of Insulin Therapy. Nat. Rev. Endocrinol. 2021, 17, 715–725. [Google Scholar] [CrossRef] [PubMed]
- Wondmkun, Y.T. Obesity, Insulin Resistance, and Type 2 Diabetes: Associations and Therapeutic Implications. Diabetes Metab. Syndr. Obes. Target. 2020, 13, 3611–3616. [Google Scholar] [CrossRef] [PubMed]
- Ruttenberg, M.A. Human Insulin: Facile Synthesis by Modification of Porcine Insulin. Science 1972, 177, 623–626. [Google Scholar] [CrossRef] [PubMed]
- Chaudhury, A.; Duvoor, C.; Dendi, V.S.R.; Kraleti, S.; Chada, A.; Ravilla, R.; Marco, A.; Shekhawat, N.S.; Montales, M.T.; Kuriakose, K.; et al. Clinical Review of Antidiabetic Drugs: Implications for Type 2 Diabetes Mellitus Management. Front. Endocrinol. 2017, 8, 6. [Google Scholar] [CrossRef]
- Patil, N.H.; Devarajan, P.V. Colloid and Interface Science in Pharmaceutical Research and Development; Elsevier: Amsterdam, The Netherlands, 2014; pp. 411–442. [Google Scholar] [CrossRef]
- Landgraf, W.; Germany, M.A.D.D.; Frankfurt, S.A.; Sandow, J.; Germany, P. Centre of Pharmacology, Johann-Wolfgang-Goethe University, Frankfurt/Main, Recombinant Human Insulins–Clinical Efficacy and Safety in Diabetes Therapy. Eur. Endocrinol. 2016, 12, 12. [Google Scholar] [CrossRef] [PubMed]
- Govender, K.; Naicker, T.; Lin, J.; Baijnath, S.; Chuturgoon, A.A.; Abdul, N.S.; Docrat, T.; Kruger, H.G.; Govender, T. A Novel and More Efficient Biosynthesis Approach for Human Insulin Production in Escherichia coli (E. coli). Amb. Express. 2020, 10, 43. [Google Scholar] [CrossRef]
- Bhoria, S.; Yadav, J.; Yadav, H.; Chaudhary, D.; Jaiwal, R.; Jaiwal, P.K. Current Advances and Future Prospects in Production of Recombinant Insulin and Other Proteins to Treat Diabetes Mellitus. Biotechnol. Lett. 2022, 44, 643–669. [Google Scholar] [CrossRef]
- Luo, Z.; Fu, J.P.; Li, N.; Liu, Z.X.; Qin, T.; Zhang, X.L.; Nie, P. Immunogenic Proteins and Their Vaccine Development Potential Evaluation in Outer Membrane Proteins (OMPs) of Flavobacterium Columnare. Aquac. Fish. 2016, 1, 1–8. [Google Scholar] [CrossRef]
- Riggs, A.D. Making, Cloning and Expression of Human Insulin Genes in Bacteria: The Path to Humulin. Endocr. Rev. 2020, 42, bnaa029. [Google Scholar] [CrossRef]
- Zieliński, M.; Romanik-Chruścielewska, A.; Mikiewicz, D.; Łukasiewicz, N.; Sokołowska, I.; Antosik, J.; Sobolewska-Ruta, A.; Bierczyńska-Krzysik, A.; Zaleski, P.; Płucienniczak, A. Expression and Purification of Recombinant Human Insulin from E. coli 20 Strain. Protein. Expres. Purif. 2019, 157, 63–69. [Google Scholar] [CrossRef]
- Asai, S.; Žáková, L.; Selicharová, I.; Marek, A.; Jiráček, J. A Radioligand Receptor Binding Assay for Measuring of Insulin Secreted by MIN6 Cells after Stimulation with Glucose, Arginine, Ornithine, Dopamine, and Serotonin. Anal. Bioanal. Chem. 2021, 413, 4531–4543. [Google Scholar] [CrossRef] [PubMed]
- Hazra, P.; Sreenivas, S.; Venkatesan, K.; Patale, M.B.; Chatterjee, A.; Ramprabu, N.; Shaikh, A.M.; Kusumanchi, M. A Novel Peptide Design Aids in the Expression and Its Simplified Process of Manufacturing of Insulin Glargine in Pichia Pastoris. Appl. Microbiol. Biot. 2021, 105, 3061–3074. [Google Scholar] [CrossRef] [PubMed]
- Siew, Y.Y.; Rai, A.; Pek, H.B.; Ow, D.S.-W.; Zhang, W. New and Efficient Purification Process for Recombinant Human Insulin Produced in Escherichia Coli. Appl. Microbiol. Biot. 2021, 105, 9137–9151. [Google Scholar] [CrossRef] [PubMed]
- Shen, Y.; Prinyawiwatkul, W.; Xu, Z. Insulin: A Review of Analytical Methods. Analyst 2019, 144, 4139–4148. [Google Scholar] [CrossRef]
- Kaki, S.B.; Prasad, A.N.; Chintagunta, A.D.; Dirisala, V.R.; Kumar, N.S.S.; Naidu, S.J.K.; Ramesh, B. Industrial Scale Production of Recombinant Human Insulin Using Escherichia Coli BL-21. Iran. J. Sci. Technol. Trans. Sci. 2022, 46, 373–383. [Google Scholar] [CrossRef]
- Association, A.D. Diagnosis and Classification of Diabetes Mellitus. Diabetes Care 2006, 29, s43–s48. [Google Scholar] [CrossRef]
- Harrigan, R.A.; Nathan, M.S.; Beattie, P. Oral Agents for the Treatment of Type 2 Diabetes Mellitus: Pharmacology, Toxicity, and Treatment. Ann. Emerg. Med. 2001, 38, 68–78. [Google Scholar] [CrossRef]
- Klein, S.; Burke, L.E.; Bray, G.A.; Blair, S.; Allison, D.B.; Pi-Sunyer, X.; Hong, Y.; Eckel, R.H.; Metabolism, A.H.A.C. on N., Physical Activity, and Clinical Implications of Obesity with Specific Focus on Cardiovascular Disease. Circulation 2004, 110, 2952–2967. [Google Scholar] [CrossRef]
- Siew, Y.Y.; Zhang, W. Downstream Processing of Recombinant Human Insulin and Its Analogues Production from E. Coli Inclusion Bodies. Bioresour. Bioprocess. 2021, 8, 65. [Google Scholar] [CrossRef]
- Polez, S.; Origi, D.; Zahariev, S.; Guarnaccia, C.; Tisminetzky, S.G.; Skoko, N.; Baralle, M. A Simplified and Efficient Process for Insulin Production in Pichia Pastoris. PLoS ONE 2016, 11, e0167207. [Google Scholar] [CrossRef]
- Ramaswamy, S.G.; Nayak, V.G.; Jha, S.K.; Hegde, V.; Waichale, V.S.; Melarkode, R.; Chirmule, N.; Rao, A.U.; Sengupta, N. Development and Validation of an Electrochemiluminescent ELISA for Quantitation of Oral Insulin Tregopil in Diabetes Mellitus Serum. Bioanalysis 2017, 9, 975–986. [Google Scholar] [CrossRef] [PubMed]
- Cho, B.; Lee, E.-J.; Ahn, S.M.; Kim, G.; Lee, S.H.; Ji, D.-Y.; Kang, J.-T. Production of Genetically Modified Pigs Expressing Human Insulin and C-Peptide as a Source of Islets for Xenotransplantation. Transg. Res. 2019, 28, 549–559. [Google Scholar] [CrossRef] [PubMed]
- Leng, C.; Li, Q.; Wu, F.; Chen, L.; Su, P. Detection of the Single-Chain Precursor in the Production and Purification Process of Recombinant Human Insulin. Monoclon. Antibod. Immunodiagn. Immunother. 2013, 32, 255–261. [Google Scholar] [CrossRef] [PubMed]




| P1 | P2 | P3 | P4 | P5 | P6 | |
|---|---|---|---|---|---|---|
| P1-bio | - | - | - | - | + | - |
| P2-bio | - | - | - | - | + | - |
| P3-bio | - | - | - | - | + | - |
| P4-bio | - | - | - | - | + | - |
| P5-bio | + | - | + | + | - | + |
| P6-bio | - | - | - | - | + | - |
| Theoretical Concentration (pg/mL) | Measured Concentration (pg/mL) | Sample Concentration (pg/mL) | Recovery Rate (%) |
|---|---|---|---|
| 41.25 | 38.34 | 0.638 | 91 |
| 10.31 | 9.78 | 89 | |
| 2.58 | 3.10 | 95 |
Publisher’s Note: MDPI stays neutral with regard to jurisdictional claims in published maps and institutional affiliations. |
© 2022 by the authors. Licensee MDPI, Basel, Switzerland. This article is an open access article distributed under the terms and conditions of the Creative Commons Attribution (CC BY) license (https://creativecommons.org/licenses/by/4.0/).
Share and Cite
Zhu, Z.; Wang, H.; Wang, L.; Wei, Z.; Zheng, Z.; Wang, P. Efficient Detection of Pre-Proinsulin by Double Antibody Sandwich ELISA. Appl. Sci. 2022, 12, 9868. https://doi.org/10.3390/app12199868
Zhu Z, Wang H, Wang L, Wei Z, Zheng Z, Wang P. Efficient Detection of Pre-Proinsulin by Double Antibody Sandwich ELISA. Applied Sciences. 2022; 12(19):9868. https://doi.org/10.3390/app12199868
Chicago/Turabian StyleZhu, Zhu, Han Wang, Li Wang, Zhou Wei, Zhiming Zheng, and Peng Wang. 2022. "Efficient Detection of Pre-Proinsulin by Double Antibody Sandwich ELISA" Applied Sciences 12, no. 19: 9868. https://doi.org/10.3390/app12199868
APA StyleZhu, Z., Wang, H., Wang, L., Wei, Z., Zheng, Z., & Wang, P. (2022). Efficient Detection of Pre-Proinsulin by Double Antibody Sandwich ELISA. Applied Sciences, 12(19), 9868. https://doi.org/10.3390/app12199868

