A Novel Microchip Technique for Quickly Identifying Nanogranules in an Aqueous Solution by Transmission Electron Microscopy: Imaging of Platelet Granules
Abstract
1. Introduction
2. Materials and Methods
2.1. Blood Collection and Platelet Preparation
2.2. Platelet Granules Isolation
2.3. Conventional TEM
2.4. Negative Staining of Isolated Platelet Granules with the K-kit Microchip
2.5. Immunoelectron Microscopy Using the K-kit Microchip
3. Results
3.1. The Structure and Instructions of the K-Kit Microchip
3.2. Images of Platelets and Granules by Traditional TEM
3.3. Negative Staining Images of Platelet Granules with the K-kit Microchip
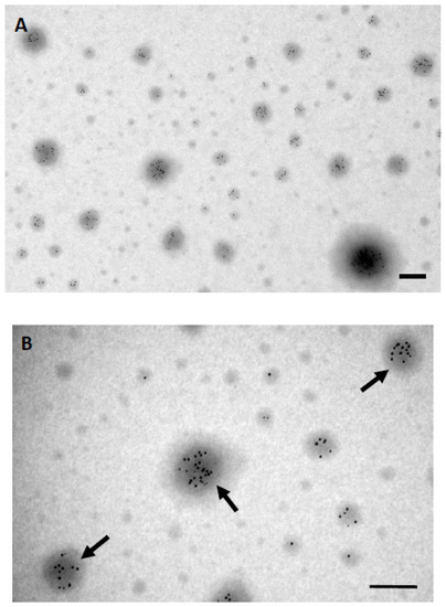
3.4. Identification of α-Granules by Immunogold Labeling Using the K-Kit Microchip
4. Discussion
5. Conclusions
Author Contributions
Funding
Acknowledgments
Conflicts of Interest
References
- Bozzola, J.J.; Russell, L.D. Specimen Preparation for Transmission Electron Microscopy. In Electron Microscopy: Principles and Techniques for Biologists; Jones and Bartlett Publishers: Boston, NV, USA, 1992; pp. 14–37. [Google Scholar]
- Sabatini, D.D.; Bensch, K.; Barrnett, R.J. Cytochemistry and electron microscopy: The preservation of cellular ultrastructure and enzymatic activity by aldehyde fixation. J. Cell Biol. 1963, 17, 19–58. [Google Scholar] [CrossRef]
- Liu, K.L.; Wu, C.C.; Huang, Y.J.; Peng, H.L.; Chang, H.Y.; Chang, P.; Hsu, L.; Yew, T.R. Novel microchip for in situ TEM imaging of living organisms and bio-reactions in aqueous conditions. Lab Chip 2008, 8, 1915–1921. [Google Scholar] [CrossRef]
- Lu, P.J.; Cheng, W.L.; Huang, S.C.; Chen, Y.P.; Chou, H.K.; Cheng, H.F. Characterizing titanium dioxide and zinc oxide nanoparticles in sunscreen spray. Int. J. Cosmet. Sci. 2015, 37, 620–626. [Google Scholar] [CrossRef]
- Lai, S.E.; Hong, Y.J.; Chen, Y.T.; Kang, Y.T.; Chang, P.; Yew, T.R. Direct-writing of Cu nano-patterns with an electron beam. Microsc. Microanal. 2015, 21, 1639–1643. [Google Scholar] [CrossRef] [PubMed]
- Tai, L.A.; Kang, Y.T.; Chen, Y.C.; Wang, Y.C.; Wang, Y.J.; Wu, Y.T.; Liu, K.L.; Wang, C.Y.; Ko, Y.F.; Chen, C.Y.; et al. Quantitative characterization of nanoparticles in blood by transmission electron microscopy with a window-type microchip nanopipet. Anal. Chem. 2012, 84, 6312–6316. [Google Scholar] [CrossRef]
- Weiss, H.J. Platelet physiology and abnormalities of platelet function. N. Engl. J. Med. 1975, 293, 531–541. [Google Scholar] [CrossRef] [PubMed]
- Shattil, S.J.; Bennett, J.S. Platelets and their membranes in hemostasis: Physiology and pathophysiology. Ann. Intern. Med. 1981, 94, 108–118. [Google Scholar] [CrossRef] [PubMed]
- Geng, J.G. Interaction of vascular endothelial cells with leukocytes, platelets and cancer cells in inflammation, thrombosis and cancer growth and metastasis. Acta Pharmacol. Sin. 2003, 24, 1297–1300. [Google Scholar]
- Mezouar, S.; Mege, D.; Darbousset, R.; Farge, D.; Debourdeau, P.; Dignat-George, F.; Panicot-Dubois, L.; Dubois, C. Involvement of platelet-derived microparticles in tumor progression and thrombosis. Semin. Oncol. 2014, 41, 346–358. [Google Scholar] [CrossRef]
- Varon, D.; Shai, E. Platelets and their microparticles as key players in pathophysiological responses. J. Thromb. Haemost. 2015, 13, 40–46. [Google Scholar] [CrossRef] [PubMed]
- Peters, C.G.; Michelson, A.D.; Flaumenhaft, R. Granule exocytosis is required for platelet spreading: Differential sorting of α-granules expressing VAMP-7. Blood 2012, 120, 199–206. [Google Scholar] [CrossRef] [PubMed]
- Mirlashari, M.R.; Ryningen, A.; Mikkelsen, H.M.; Fukami, M.H. Differential secretion of blood platelet storage granules. Platelets 1996, 7, 313–320. [Google Scholar] [CrossRef]
- King, S.M.; Reed, G.L. Development of platelet secretory granules. Semin. Cell Dev. Biol. 2002, 13, 293–302. [Google Scholar]
- Stenberg, P.E.; McEver, R.P.; Schuman, M.A.; Jacques, Y.V.; Bainton, D.F. A platelet alpha-granule membrane protein (GMP140) is expressed on the plasma membrane after activation. J. Cell Biol. 1985, 101, 880–886. [Google Scholar] [CrossRef]
- Harrison, P.; Cramer, E.M. Platelet alpha-granules. Blood Rev. 1993, 7, 52–62. [Google Scholar] [CrossRef]
- Reverter, J.C.; Escolar, G.; Sanz, C.; Cases, A.; Villamor, N.; Nieuwenhuis, H.K.; López, J.; Ordinas, A. Platelet activation during hemodialysis measured through exposure of p-selectin: Analysis by flow cytometric and ultrastructural techniques. J. Lab. Clin. Med. 1994, 124, 79–85. [Google Scholar]
- Pokrovskaya, I.D.; Yadav, S.; Rao, A.; McBride, E.; Kamykowski, J.A.; Zhang, G.; Aronova, M.A.; Leapman, R.D.; Storrie, B. 3D ultrastructural analysis of α-granule, dense granule, mitochondria, and canalicular system arrangement in resting human platelets. Res. Pract. Thromb. Haemost. 2019, 4, 72–85. [Google Scholar] [CrossRef] [PubMed]
- Kamykowski, J.; Carlton, P.; Sehgal, S.; Storrie, B. Quantitative immunofluorescence mapping reveals little functional coclustering of proteins within platelet α-granules. Blood 2011, 118, 1370–1373. [Google Scholar] [CrossRef]
- Yadav, S.; Storrie, B. The cellular basis of platelet secretion: Emerging structure/function relationships. Platelets 2017, 28, 108–118. [Google Scholar] [CrossRef] [PubMed]
- Chen, C.H.; Lo, R.W.; Urban, D.; Pluthero, F.G.; Kahr, W.H. α-Granule biogenesis: From disease to discovery. Platelets 2017, 28, 147–154. [Google Scholar] [CrossRef]
- Tian, J.; Cheng, L.H.; Cui, X.; Lei, X.X.; Tang, J.B.; Cheng, B. Investigating the effect of age on platelet ultrastructure using transmission electron microscopy. Int. Wound J. 2019, 16, 1457–1463. [Google Scholar] [CrossRef] [PubMed]
- Fukami, M.H.; Salganicoff, L. Human platelet storage organelles. A review. Thromb. Haemost. 1977, 38, 963–970. [Google Scholar] [CrossRef] [PubMed]
- McNicol, A.; Israels, S.J. Platelet dense granules: Structure, function and implications for haemostasis. Thromb. Res. 1999, 95, 1–18. [Google Scholar] [CrossRef]
- Israels, S.J.; McMillan, E.M.; Robertson, C.; Singhory, S.; McNicol, A. The lysosomal granule membrane protein, LAMP-2, is also present in platelet dense granule membranes. Thromb. Haemost. 1996, 75, 623–629. [Google Scholar] [CrossRef]
- Jedlitschky, G.; Tirschmann, K.; Lubenow, L.E.; Nieuwenhuis, H.K.; Akkerman, J.W.; Greinacher, A.; Kroemer, H.K. The nucleotide transporter MRP4 (ABCC4) is highly expressed in human platelets and present in dense granules, indicating a role in mediator storage. Blood 2004, 104, 3603–3610. [Google Scholar] [CrossRef] [PubMed]
- Niessen, J.; Jedlitschky, G.; Greinacher, A.; Kroemer, H.K. Isolation of platelet granules. Curr. Protoc. Cell Biol. 2010, 46, 3.35.1–3.35.14. [Google Scholar]
- Hsiao, G.; Lee, J.J.; Lin, K.H.; Shen, C.H.; Fong, T.H.; Chou, D.S.; Sheu, J.R. Characterization of a novel and potent collagen antagonist, caffeic acid phenethyl ester, in human platelets: In vitro and in vivo studies. Cardiovasc. Res. 2007, 75, 782–792. [Google Scholar] [CrossRef]
- Jena, B.P.; Stemmer, P.M.; Wang, S.; Mao, G.; Lewis, K.T.; Walz, D.A. Human platelet vesicles exhibit distinct size and proteome. J. Proteome Res. 2017, 16, 2333–2338. [Google Scholar] [CrossRef]
- Bozzola, J.J.; Russell, L.D. Specimen Preparation for Scanning Electron Microscopy. In Electron Microscopy: Principles and Techniques for Biologists; Jones and Bartlett Publishers: Boston, NV, USA, 1992; pp. 40–62. [Google Scholar]
- Nogales, E.; Scheres, S.H. Cryo-EM: A unique tool for the visualization of macromolecular complexity. Mol. Cell 2015, 58, 677–689. [Google Scholar] [CrossRef]
- Nogales, E. Cryo-EM. Curr. Biol. 2018, 28, R1127–R1128. [Google Scholar] [CrossRef]
- Picot, J.; Guerin, C.L.; Kim, C.L.V.; Boulanger, C.M. Flow cytometry: Retrospective, fundamentals and recent instrumentation. Cytotechnology 2012, 64, 109–130. [Google Scholar] [CrossRef] [PubMed]
- Pasalic, L.; Pennings, G.J.; Connor, D.; Campbell, H.; Kritharides, L.; Chen, V.M. Flow cytometry protocols for assessment of platelet function in whole blood. Methods Mol. Biol. 2017, 1646, 369–389. [Google Scholar] [PubMed]




© 2020 by the authors. Licensee MDPI, Basel, Switzerland. This article is an open access article distributed under the terms and conditions of the Creative Commons Attribution (CC BY) license (http://creativecommons.org/licenses/by/4.0/).
Share and Cite
Trang, N.T.T.; Chang, J.; Chen, W.-A.; Chen, C.-C.; Chen, H.-M.; Chang, C.-C.; Fong, T.-H. A Novel Microchip Technique for Quickly Identifying Nanogranules in an Aqueous Solution by Transmission Electron Microscopy: Imaging of Platelet Granules. Appl. Sci. 2020, 10, 4946. https://doi.org/10.3390/app10144946
Trang NTT, Chang J, Chen W-A, Chen C-C, Chen H-M, Chang C-C, Fong T-H. A Novel Microchip Technique for Quickly Identifying Nanogranules in an Aqueous Solution by Transmission Electron Microscopy: Imaging of Platelet Granules. Applied Sciences. 2020; 10(14):4946. https://doi.org/10.3390/app10144946
Chicago/Turabian StyleTrang, Nguyen Thi Thu, Jungshan Chang, Wei-An Chen, Chih-Chun Chen, Hui-Min Chen, Chao-Chien Chang, and Tsorng-Harn Fong. 2020. "A Novel Microchip Technique for Quickly Identifying Nanogranules in an Aqueous Solution by Transmission Electron Microscopy: Imaging of Platelet Granules" Applied Sciences 10, no. 14: 4946. https://doi.org/10.3390/app10144946
APA StyleTrang, N. T. T., Chang, J., Chen, W.-A., Chen, C.-C., Chen, H.-M., Chang, C.-C., & Fong, T.-H. (2020). A Novel Microchip Technique for Quickly Identifying Nanogranules in an Aqueous Solution by Transmission Electron Microscopy: Imaging of Platelet Granules. Applied Sciences, 10(14), 4946. https://doi.org/10.3390/app10144946

