Left Atrial Mechanics and Remodeling in Paroxysmal Atrial Fibrillation: Introducing the EASE Score for Pre-Ablation Risk Prediction
Abstract
1. Introduction
2. Pathophysiological Background
3. Components of the EASE Score
4. Echocardiographic–Electrophysiological Correlation
5. Discussion
6. Preliminary Data and Validation Outlook
7. Limitations and Future Directions
8. Conclusions
Author Contributions
Funding
Institutional Review Board Statement
Informed Consent Statement
Data Availability Statement
Conflicts of Interest
Correction Statement
Abbreviations
| PAF | Paroxysmal Atrial Fibrillation |
| PVI | Pulmonary Vein Isolation |
| EASE | Echocardiographic Atrial Strain and conduction Evaluation (Score) |
| LAVI | Left Atrial Volume Index |
| LASr | Left Atrial Reservoir Strain |
| LASct | Left Atrial Contractile Strain |
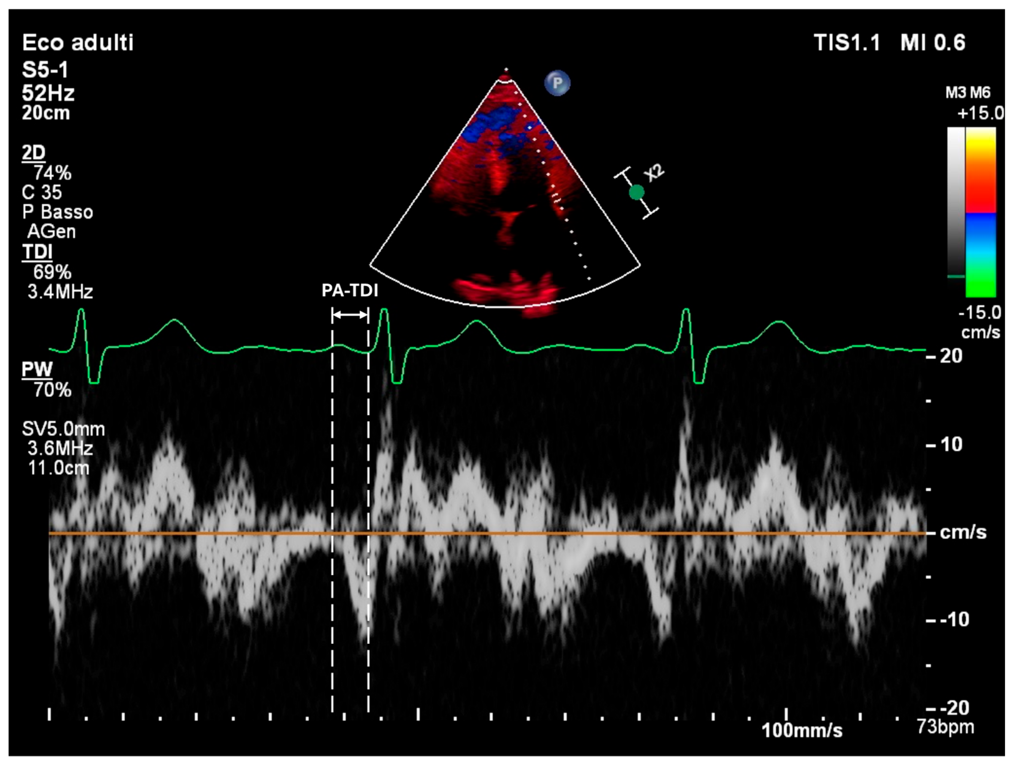
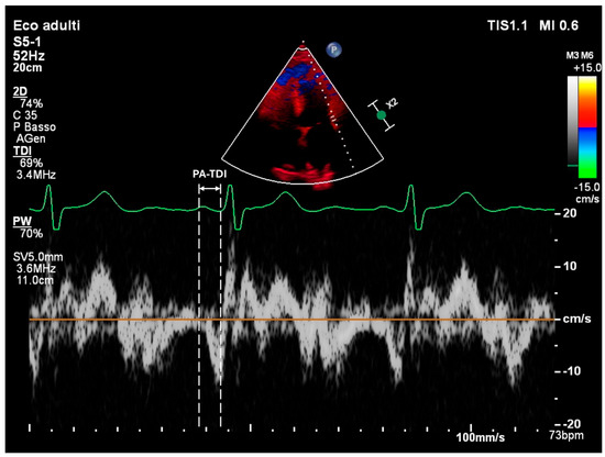
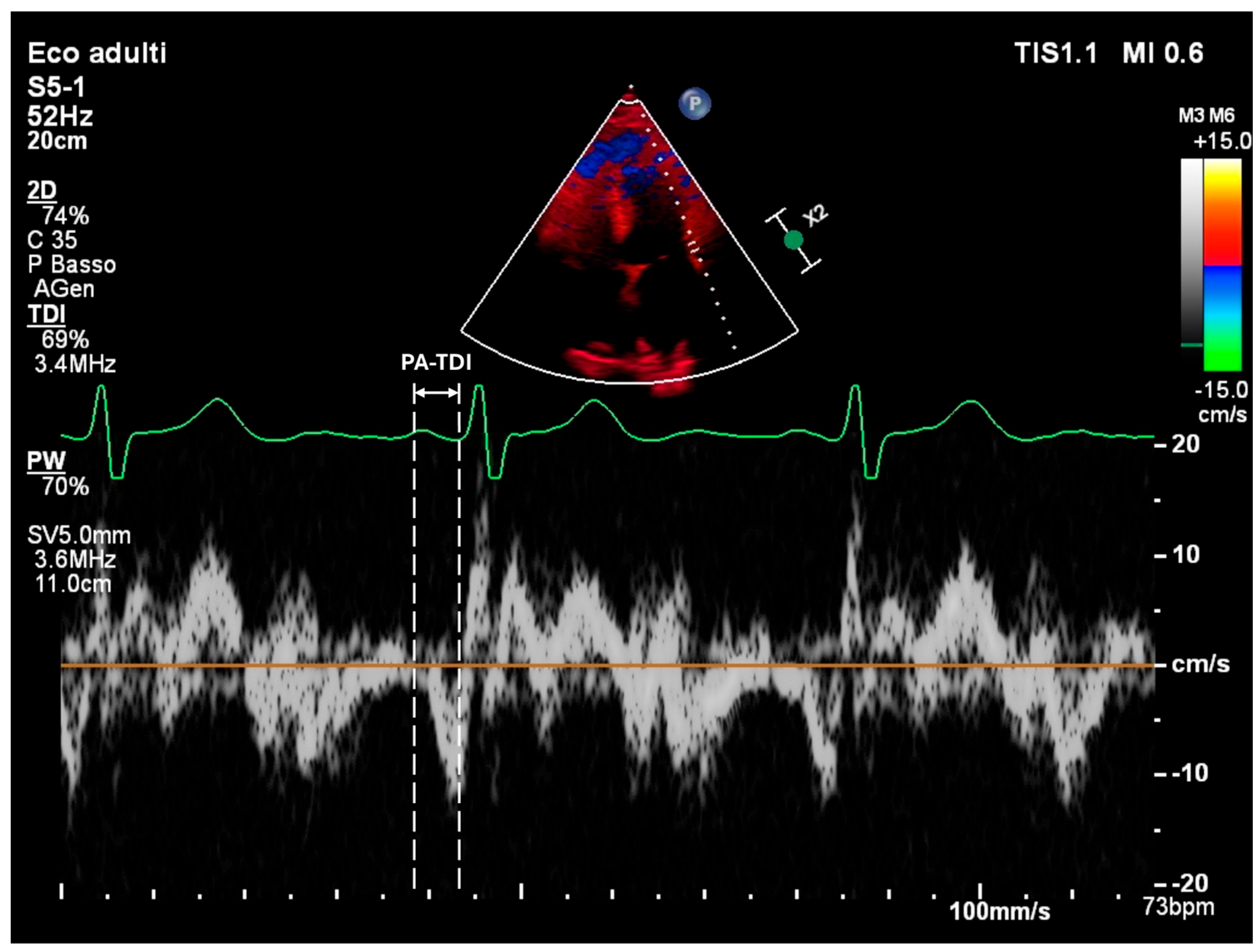
| PA-TDI | Atrial Conduction Time Measured by Tissue Doppler Imaging |
| E/e′ | Ratio of early mitral inflow to early diastolic mitral annular velocity |
| E/e′/LASr | Stiffness Index (a derived parameter combining diastolic function and strain) |
| EAT | Epicardial Adipose Tissue |
References
- Van Gelder, I.C.; Rienstra, M.; Bunting, K.V.; Casado-Arroyo, R.; Caso, V.; Crijns, H.J.G.M.; De Potter, T.J.R.; Dwight, J.; Guasti, L.; Hanke, T.; et al. 2024 ESC Guidelines for the management of atrial fibrillation developed in collaboration with the European Association for Cardio-Thoracic Surgery (EACTS). Eur. Heart J. 2024, 45, 3314–3414. [Google Scholar] [CrossRef]
- Camm, A.J.; Naccarelli, G.V.; Mittal, S.; Crijns, H.J.G.M.; Hohnloser, S.H.; MA, C.S.; Natale, A.; Turakhia, M.P.; Kirchhof, P. The Increasing Role of Rhythm Control in Patients with Atrial Fibrillation: JACC State-of-the-Art Review. J. Am. Coll. Cardiol. 2022, 79, 1932–1948. [Google Scholar] [CrossRef] [PubMed]
- Ghannam, M.; Chugh, A. Pulmonary Vein Isolation for Paroxysmal Atrial Fibrillation: When Can We Have It All? JACC Clin. Electrophysiol. 2021, 7, 364–366. [Google Scholar] [CrossRef] [PubMed]
- Cluckey, A.; Perino, A.C.; Yunus, F.N.; Leef, G.C.; Askari, M.; Heidenreich, P.A.; Narayan, S.M.; Wang, P.J.; Turakhia, M.P. Efficacy of Ablation Lesion Sets in Addition to Pulmonary Vein Isolation for Paroxysmal Atrial Fibrillation: Findings from the SMASH—AF Meta-Analysis Study Cohort. J. Am. Heart Assoc. 2019, 8, e009976. [Google Scholar] [CrossRef]
- Kueffer, T.; Bordignon, S.; Neven, K.; Blaauw, Y.; Hansen, J.; Adelino, R.; Ouss, A.; Füting, A.; Roten, L.; Mulder, B.A.; et al. Durability of Pulmonary Vein Isolation Using Pulsed-Field Ablation: Results from the Multicenter EU-PORIA Registry. JACC Clin. Electrophysiol. 2024, 10, 698–708. [Google Scholar] [CrossRef]
- Kogawa, R.; Okumura, Y.; Watanabe, I.; Nagashima, K.; Takahashi, K.; Iso, K.; Watanabe, R.; Arai, M.; Kurokawa, S.; Ohkubo, K.; et al. Left atrial remodeling: Regional differences between paroxysmal and persistent atrial fibrillation. J. Arrhythm. 2017, 33, 483–487. [Google Scholar] [CrossRef]
- Ji, M.; He, L.; Gao, L.; Lin, Y.; Xie, M.; Li, Y. Assessment of Left Atrial Structure and Function by Echocardiography in Atrial Fibrillation. Diagnostics 2022, 12, 1898. [Google Scholar] [CrossRef]
- Olsen, F.J.; Darkner, S.; Chen, X.; Pehrson, S.; Johannessen, A.; Hansen, J.; Gislason, G.; Svendsen, J.H.; Biering-Sørensen, T. Left atrial structure and function among different subtypes of atrial fibrillation: An echocardiographic substudy of the AMIO-CAT trial. Eur. Heart J. Cardiovasc. Imaging 2020, 21, 1386–1394. [Google Scholar] [CrossRef] [PubMed]
- Sim, I.; Bishop, M.; O’Neill, M.; Williams, S.E. Left atrial voltage mapping: Defining and targeting the atrial fibrillation substrate. J. Interv. Card. Electrophysiol. 2019, 56, 213–227. [Google Scholar] [CrossRef] [PubMed]
- Huang, B.H.; Wu, M.H.; Tsao, H.M.; Tai, C.T.; Lee, K.T.; Lin, Y.J.; Hsieh, M.H.; Lee, S.H.; Chen, Y.J.; Kuo, J.Y.; et al. Morphology of the thoracic veins and left atrium in paroxysmal atrial fibrillation initiated by superior caval vein ectopy. J. Cardiovasc. Electrophysiol. 2005, 16, 411–417. [Google Scholar] [CrossRef] [PubMed]
- Zeljkovic, I.; Knecht, S.; Spies, F.; Reichlin, T.; Osswald, S.; Kühne, M.; Sticherling, C. Paroxysmal atrial fibrillation recurrence after redo procedure-ablation modality impact. J. Interv. Card. Electrophysiol. 2020, 57, 77–85. [Google Scholar] [CrossRef]
- Kong, Q.; Shi, L.; Yu, R.; Long, D.; Zhang, Y.; Chen, Y.; Li, J. Biatrial enlargement as a predictor for reablation of atrial fibrillation. Int. J. Med. Sci. 2020, 17, 3031–3038. [Google Scholar] [CrossRef]
- Pirruccello, J.P.; Di Achille, P.; Choi, S.H.; Rämö, J.T.; Khurshid, S.; Nekoui, M.; Jurgens, S.J.; Nauffal, V.; Kany, S.; FinnGen, N.K.; et al. Deep learning of left atrial structure and function provides link to atrial fibrillation risk. Nat. Commun. 2024, 15, 4304. [Google Scholar] [CrossRef]
- Zhao, Y.; Wang, Y.; Hu, C.; Liu, Y.; Cheng, Y.; Chen, H.; Shu, X. Left atrial strain superior to structural remodeling in identifying occult atrial fibrillation. J. Clin. Ultrasound. 2023, 51, 1301–1307. [Google Scholar] [CrossRef]
- Karam, B.S.; Chavez-Moreno, A.; Koh, W.; Akar, J.G.; Akar, F.G. Oxidative stress and inflammation as central mediators of atrial fibrillation in obesity and diabetes. Cardiovasc. Diabetol. 2017, 16, 120. [Google Scholar] [CrossRef] [PubMed]
- Bizhanov, K.A.; Abzaliyev, K.B.; Baimbetov, A.K.; Sarsenbayeva, A.B.; Lyan, E. Atrial fibrillation: Epidemiology, pathophysiology, and clinical complications (literature review). J. Cardiovasc. Electrophysiol. 2023, 34, 153–165. [Google Scholar] [CrossRef] [PubMed]
- Matsunaga-Lee, Y.; Inoue, K.; Tanaka, N.; Masuda, M.; Watanabe, T.; Makino, N.; Egami, Y.; Oka, T.; Minamiguchi, H.; Miyoshi, M.; et al. Duration of atrial fibrillation persistence: Implications for recurrence risk after catheter ablation and efficacy of additional substrate ablation. Heart Rhythm. 2024, 21, 733–740. [Google Scholar] [CrossRef]
- Cacciapuoti, F.; Caso, I.; Crispo, S.; Verde, N.; Capone, V.; Gottilla, R.; Materazzi, C.; Volpicelli, M.; Ziviello, F.; Mauro, C.; et al. Linking Epicardial Adipose Tissue to Atrial Remodeling: Clinical Implications of Strain Imaging. Hearts 2025, 6, 3. [Google Scholar] [CrossRef]
- Hoit, B.D. Left Atrial Reservoir Strain: Its Time Has Come. JACC Cardiovasc. Imaging 2022, 15, 392–394. [Google Scholar] [CrossRef]
- Pathan, F.; D’ELia, N.; Nolan, M.T.; Marwick, T.H.; Negishi, K. Normal Ranges of Left Atrial Strain by Speckle-Tracking Echocardiography: A Systematic Review and Meta-Analysis. J. Am. Soc. Echocardiogr. 2017, 30, 59–70.e8. [Google Scholar] [CrossRef]
- Mirza, M.; Caracciolo, G.; Khan, U.; Mori, N.; Saha, S.K.; Srivathsan, K.; Altemose, G.; Scott, L.; Sengupta, P.; Jahangir, A. Left atrial reservoir function predicts atrial fibrillation recurrence after catheter ablation: A two-dimensional speckle strain study. J. Interv. Card. Electrophysiol. 2011, 31, 197–206. [Google Scholar] [CrossRef]
- Müller, P.; Weijs, B.; Bemelmans, N.M.A.A.; Mügge, A.; Eckardt, L.; Crijns, H.J.G.M.; Bax, J.J.; Linz, D.; den Uijl, D.W. Echocardiography-derived total atrial conduction time (PA-TDI duration): Risk stratification and guidance in atrial fibrillation management. Clin. Res. Cardiol. 2021, 110, 1734–1742. [Google Scholar] [CrossRef]
- Karantoumanis, I.; Doundoulakis, I.; Zafeiropoulos, S.; Oikonomou, K.; Makridis, P.; Pliakos, C.; Karvounis, H.; Giannakoulas, G. Atrial conduction time associated predictors of recurrent atrial fibrillation. Int. J. Cardiovasc. Imaging. 2021, 37, 1267–1277. [Google Scholar] [CrossRef]
- Weijs, B.; de Vos, C.B.; Tieleman, R.G.; Pisters, R.; Cheriex, E.C.; Prins, M.H.; Crijns, H.J. Clinical and echocardiographic correlates of intra-atrial conduction delay. Europace 2011, 13, 1681–1687. [Google Scholar] [CrossRef]
- Thadani, S.R.; Shaw, R.E.; Fang, Q.; Whooley, M.A.; Schiller, N.B. Left Atrial End-Diastolic Volume Index as a Predictor of Cardiovascular Outcomes: The Heart and Soul Study. Circ. Cardiovasc. Imaging. 2020, 13, e009746. [Google Scholar] [CrossRef] [PubMed]
- Chollet, L.; Iqbal, S.U.R.; Wittmer, S.; Thalmann, G.; Madaffari, A.; Kozhuharov, N.; Galuszka, O.; Küffer, T.; Gräni, C.; Brugger, N.; et al. Impact of atrial fibrillation phenotype and left atrial volume on outcome after pulmonary vein isolation. Europace 2024, 26, euae071. [Google Scholar] [CrossRef] [PubMed]
- Lage, J.G.B.; Bortolotto, A.L.; Scanavacca, M.I.; Bortolotto, L.A.; Darrieux, F.C.D.C. Arterial stiffness and atrial fibrillation: A review. Clinics 2022, 77, 100014. [Google Scholar] [CrossRef]
- Khurram, I.M.; Maqbool, F.; Berger, R.D.; Marine, J.E.; Spragg, D.D.; Ashikaga, H.; Zipunnikov, V.; Kass, D.A.; Calkins, H.; Nazarian, S.; et al. Association Between Left Atrial Stiffness Index and Atrial Fibrillation Recurrence in Patients Undergoing Left Atrial Ablation. Circ. Arrhythm. Electrophysiol. 2016, 9, e003163. [Google Scholar] [CrossRef]
- Arques, S.; Roux, E.; Luccioni, R. Current clinical applications of spectral tissue Doppler echocardiography (E/E′ ratio) as a noninvasive surrogate for left ventricular diastolic pressures in the diagnosis of heart failure with preserved left ventricular systolic function. Cardiovasc. Ultrasound 2007, 5, 16. [Google Scholar] [CrossRef]
- Obokata, M.; Reddy, Y.N.V.; Borlaug, B.A. Diastolic Dysfunction and Heart Failure with Preserved Ejection Fraction: Understanding Mechanisms by Using Noninvasive Methods. JACC Cardiovasc. Imaging 2020, 13, 245–257. [Google Scholar] [CrossRef] [PubMed]
- Arques, S. Clinical Relevance of the Spectral Tissue Doppler E/e′ Ratio in the Management of Patients with Atrial Fibrillation: A Comprehensive Review of the Literature. J. Atr. Fibrillation 2018, 11, 2038. [Google Scholar] [CrossRef]
- Gold, A.K.; Kiefer, J.J.; Feinman, J.W.; Augoustides, J.G. Left Atrial Strain-A Valuable Window on Left Ventricular Diastolic Function. J. Cardiothorac. Vasc. Anesth. 2021, 35, 1626–1627. [Google Scholar] [CrossRef]
- Morris, D.A.; Takeuchi, M.; Krisper, M.; Köhncke, C.; Bekfani, T.; Carstensen, T.; Hassfeld, S.; Dorenkamp, M.; Otani, K.; Takigiku, K.; et al. Normal values and clinical relevance of left atrial myocardial function analysed by speckle-tracking echocardiography: Multicentre study. Eur. Heart J. Cardiovasc. Imaging 2015, 16, 364–372. [Google Scholar] [CrossRef] [PubMed]
- Morris, D.A.; Takeuchi, M.; Krisper, M.; Köhncke, C.; Bekfani, T.; Carstensen, T.; Hassfeld, S.; Dorenkamp, M.; Otani, K.; Takigiku, K.; et al. Left atrial sphericity in relation to atrial strain and strain rate in atrial fibrillation patients. Int. J. Cardiovasc. Imaging 2023, 39, 1753–1763. [Google Scholar] [CrossRef]
- Lisi, M.; Mandoli, G.E.; Cameli, M.; Pastore, M.C.; Righini, F.M.; Benfari, G.; Rubboli, A.; D’Ascenzi, F.; Focardi, M.; Tsioulpas, C.; et al. Left atrial strain by speckle tracking predicts atrial fibrosis in patients undergoing heart transplantation. Eur. Heart J. Cardiovasc. Imaging 2022, 23, 829–835. [Google Scholar] [CrossRef]
- Laish-Farkash, A.; Perelshtein Brezinov, O.; Valdman, A.; Tam, D.; Rahkovich, M.; Kogan, Y.; Marincheva, G. Evaluation of left atrial remodeling by 2D-speckle-tracking echocardiography versus by high-density voltage mapping in patients with atrial fibrillation. J. Cardiovasc. Electrophysiol. 2021, 32, 305–315. [Google Scholar] [CrossRef] [PubMed]
- Kanda, T.; Masuda, M.; Asai, M.; Iida, O.; Okamoto, S.; Ishihara, T.; Nanto, K.; Tsujimura, T.; Matsuda, Y.; Hata, Y.; et al. Extensive Left Atrial Low-Voltage Area During Initial Ablation is Associated with A Poor Clinical Outcome Even Following Multiple Procedures. J. Atr. Fibrillation 2021, 14, 20200491. [Google Scholar] [CrossRef] [PubMed]
- Müller, P.; Schiedat, F.; Bialek, A.; Bösche, L.; Ewers, A.; Kara, K.; Dietrich, J.W.; Mügge, A.; Deneke, T. Total atrial conduction time assessed by tissue doppler imaging (PA-TDI Interval) to predict early recurrence of persistent atrial fibrillation after successful electrical cardioversion. J. Cardiovasc. Electrophysiol. 2014, 25, 161–167. [Google Scholar] [CrossRef]
- Miragoli, M.; Glukhov, A.V. Atrial Fibrillation and Fibrosis: Beyond the Cardiomyocyte Centric View. Biomed. Res. Int. 2015, 2015, 798768. [Google Scholar] [CrossRef]
- Beyer, C.; Tokarska, L.; Stühlinger, M.; Feuchtner, G.; Hintringer, F.; Honold, S.; Fiedler, L.; Schönbauer, M.S.; Schönbauer, R.; Plank, F. Structural Cardiac Remodeling in Atrial Fibrillation. JACC Cardiovasc. Imaging 2021, 14, 2199–2208. [Google Scholar] [CrossRef]
- Yoon, Y.E.; Kim, H.J.; Kim, S.A.; Kim, S.H.; Park, J.H.; Park, K.H.; Choi, S.; Kim, M.K.; Kim, H.S.; Cho, G.Y. Left atrial mechanical function and stiffness in patients with paroxysmal atrial fibrillation. J. Cardiovasc. Ultrasound 2012, 20, 140–145. [Google Scholar] [CrossRef]
- Masuda, M.; Fujita, M.; Iida, O.; Okamoto, S.; Ishihara, T.; Nanto, K.; Kanda, T.; Sunaga, A.; Tsujimura, T.; Matsuda, Y.; et al. An E/e′ ratio on echocardiography predicts the existence of left atrial low-voltage areas and poor outcomes after catheter ablation for atrial fibrillation. Europace 2018, 20, e60–e68. [Google Scholar] [CrossRef] [PubMed]
- Nielsen, A.B.; Skaarup, K.G.; Djernæs, K.; Hauser, R.; San José Estépar, R.; Sørensen, S.K.; Ruwald, M.H.; Hansen, M.L.; Worck, R.H.; Johannessen, A.; et al. Left atrial contractile strain predicts recurrence of atrial tachyarrhythmia after catheter ablation. Int. J. Cardiol. 2022, 358, 51–57. [Google Scholar] [CrossRef] [PubMed]
- Strisciuglio, T.; El Haddad, M.; Debonnaire, P.; De Pooter, J.; Demolder, A.; Wolf, M.; Phlips, T.; Kyriakopoulou, M.; Almorad, A.; Knecht, S.; et al. Paroxysmal atrial fibrillation with high vs. low arrhythmia burden: Atrial remodelling and ablation outcome. Europace 2020, 22, 1189–1196. [Google Scholar] [CrossRef]
- Barletta, V.; Canu, A.M.; Parollo, M.; Di Cori, A.; Segreti, L.; De Lucia, R.; Bongiorni, M.G.; Zucchelli, G. A Long Atrial Electromechanical Interval is Associated with Arrhythmic Recurrence after Catheter Ablation: How to Find What Has Been Lost. J. Cardiovasc. Echogr. 2024, 34, 125–131. [Google Scholar] [CrossRef]
- Bajraktari, G.; Bytyçi, I.; Henein, M.Y. Left atrial structure and function predictors of recurrent fibrillation after catheter ablation: A systematic review and meta-analysis. Clin. Physiol. Funct. Imaging 2020, 40, 1–13. [Google Scholar] [CrossRef]
- Correia, E.T.d.O.; Barbetta, L.M.d.S.; da Silva, O.M.P.; Mesquita, E.T. Left Atrial Stiffness: A Predictor of Atrial Fibrillation Recurrence after Radiofrequency Catheter Ablation—A Systematic Review and Meta-Analysis. Arq. Bras. Cardiol. 2019, 112, 501–508. [Google Scholar] [CrossRef] [PubMed]
- Lin, J.; Ma, H.; Gao, L.; Wang, Y.; Wang, J.; Zhu, Z.; Pang, K.; Wang, H.; Wu, W. Left atrial reservoir strain combined with E/E′ as a better single measure to predict elevated LV filling pressures in patients with coronary artery disease. Cardiovasc. Ultrasound 2020, 18, 11. [Google Scholar] [CrossRef]
- Chahine, Y.; Chamoun, N.; Kassar, A.; Bockus, L.; Macheret, F.; Akoum, N. Atrial fibrillation substrate and impaired left atrial function: A cardiac MRI study. Europace 2024, 26, euae258. [Google Scholar] [CrossRef]
- Samaras, A.; Doundoulakis, I.; Antza, C.; Zafeiropoulos, S.; Farmakis, I.; Tzikas, A. Comparative Analysis of Risk Stratification Scores in Atrial Fibrillation. Curr. Pharm. Des. 2021, 27, 1298–1310. [Google Scholar] [CrossRef] [PubMed]
- Wijesurendra, R.S.; Casadei, B. Mechanisms of atrial fibrillation. Heart 2019, 105, 1860–1867. [Google Scholar] [CrossRef] [PubMed]
- Stefani, L.D.; Trivedi, S.J.; Ferkh, A.; Altman, M.; Thomas, L. Changes in left atrial phasic strain and mechanical dispersion: Effects of age and gender. Echocardiography 2021, 38, 417–426. [Google Scholar] [CrossRef]
- Chiotis, S.; Doundoulakis, I.; Pagkalidou, E.; Piperis, C.; Zafeiropoulos, S.; Botis, M.; Haidich, A.B.; Economou, F.; Chierchia, G.B.; de Asmundis, C.; et al. Total Atrial Conduction Time as a Predictor of Atrial Fibrillation Recurrence: A Systematic Review and Meta-Analysis. Cardiol. Rev. 2025, 33, 70–76. [Google Scholar] [CrossRef] [PubMed]
- Parajuli, P.; Alahmadi, M.H.; Ahmed, A.A. Left Atrial Enlargement. In StatPearls; StatPearls Publishing: Treasure Island, FL, USA, 2025. [Google Scholar]
- Pilichowska-Paszkiet, E.; Baran, J.; Sygitowicz, G.; Sikorska, A.; Stec, S.; Kułakowski, P.; Zaborska, B. Noninvasive assessment of left atrial fibrosis. Correlation between echocardiography, biomarkers, and electroanatomical mapping. Echocardiography 2018, 35, 1326–1334. [Google Scholar] [CrossRef]
- Kiliszek, M.; Uziębło-Życzkowska, B.; Krzyżanowski, K.; Jurek, A.; Wierzbowski, R.; Smalc-Stasiak, M.; Krzesiński, P. Value of Left Atrial Strain in Predicting Recurrence after Atrial Fibrillation Ablation. J. Clin. Med. 2023, 12, 4034. [Google Scholar] [CrossRef]
- Lang, R.M.; Badano, L.P.; Mor-Avi, V.; Afilalo, J.; Armstrong, A.; Ernande, L.; Flachskampf, F.A.; Foster, E.; Goldstein, S.A.; Kuznetsova, T.; et al. Recommendations for cardiac chamber quantification by echocardiography in adults: An update from the American Society of Echocardiography and the European Association of Cardiovascular Imaging. J. Am. Soc. Echocardiogr. 2015, 28, 1–39.e14. [Google Scholar] [CrossRef]
- Chahine, Y.; Macheret, F.; Ordovas, K.; Kim, J.; Boyle, P.M.; Akoum, N. MRI-quantified left atrial epicardial adipose tissue predicts atrial fibrillation recurrence following catheter ablation. Front. Cardiovasc. Med. 2022, 9, 1045742. [Google Scholar] [CrossRef] [PubMed]
- Dell’Aversana, F.; Tuccillo, R.; Monfregola, A.; De Angelis, L.; Ferrandino, G.; Tedeschi, C.; Cacciapuoti, F.; Tamburro, F.; Liguori, C. Epicardial Adipose Tissue Volume Assessment in the General Population and CAD-RADS 2.0 Score Correlation Using Dual Source Cardiac CT. Diagnostics 2025, 15, 681. [Google Scholar] [CrossRef]






| EASE Score | Risk Category | Interpretation |
|---|---|---|
| 0–3 | Low | Minimal atrial remodeling; high likelihood of ablation success |
| 4–8 | Intermediate | Moderate remodeling; variable outcomes; consider enhanced monitoring |
| 9–12 | High | Extensive remodeling; increased risk of recurrence; consider adjunctive strategies |
| EASE Parameter | Pathophysiological Role | Electrophysiological Correlate |
|---|---|---|
| LASr (Reservoir Strain) | Reflects LA compliance and fibrosis; lower values indicate impaired reservoir function | Corresponds to low-voltage zones (<0.5 mV), reduced CFAE density, and fibrotic substrate |
| PA-TDI (Atrial Conduction Time) | Indicates intra-atrial conduction delay and electromechanical dysfunction | Associated with prolonged activation time, interatrial dyssynchrony, and zig-zag conduction |
| LAVI (Volume Index) | Indicates chronic structural remodeling and LA dilation due to volume/pressure overload | Correlates with widespread CFAEs, multiple breakthrough sites, and complex activation patterns |
| E/e′ (Diastolic Pressure Estimate) | Reflects elevated LV filling pressure and LA pressure overload | Associated with prolonged electrogram duration, low voltage density, and post-ablation recurrence |
| Stiffness Index (E/e′/LASr) | Integrates diastolic burden and atrial compliance; higher values reflect stiffer LA | Overlaps with fragmented potentials, conduction heterogeneity, and low-voltage regions |
| LASct (Contractile Strain) | Reflects active LA contraction; low values indicate poor contractile function | Predictive of atrial standstill, late potentials loss, and reduced sinus rhythm maintenance post-ablation |
| Variable | Value |
|---|---|
| Age, years (mean ± SD) | 64.3 ± 9.4 |
| Sex, male (%) | 75 (68.0%) |
| Hypertension (%) | 68 (55.5%) |
| Diabetes mellitus (%) | 22 (21.9%) |
| BMI, kg/m2 (mean ± SD) | 27.2 ± 3.0 |
| LA Volume Index, mL/m2 (mean ± SD) | 34.2 ± 5.4 |
| E/e′ ratio (mean ± SD) | 9.0 ± 2.1 |
| Follow-up duration, months (median (IQR)) | 14 [11–18] |
| EASE score—Low (0–3) | 38 (29.7%) |
| EASE score—Intermediate (4–7) | 61 (47.7%) |
| EASE score—High (8–12) | 29 (22.6%) |
Disclaimer/Publisher’s Note: The statements, opinions and data contained in all publications are solely those of the individual author(s) and contributor(s) and not of MDPI and/or the editor(s). MDPI and/or the editor(s) disclaim responsibility for any injury to people or property resulting from any ideas, methods, instructions or products referred to in the content. |
© 2025 by the authors. Licensee MDPI, Basel, Switzerland. This article is an open access article distributed under the terms and conditions of the Creative Commons Attribution (CC BY) license (https://creativecommons.org/licenses/by/4.0/).
Share and Cite
Cacciapuoti, F.; Caso, I.; Gottilla, R.; Minicucci, F.; Volpicelli, M.; Caso, P. Left Atrial Mechanics and Remodeling in Paroxysmal Atrial Fibrillation: Introducing the EASE Score for Pre-Ablation Risk Prediction. Med. Sci. 2025, 13, 131. https://doi.org/10.3390/medsci13030131
Cacciapuoti F, Caso I, Gottilla R, Minicucci F, Volpicelli M, Caso P. Left Atrial Mechanics and Remodeling in Paroxysmal Atrial Fibrillation: Introducing the EASE Score for Pre-Ablation Risk Prediction. Medical Sciences. 2025; 13(3):131. https://doi.org/10.3390/medsci13030131
Chicago/Turabian StyleCacciapuoti, Fulvio, Ilaria Caso, Rossella Gottilla, Fabio Minicucci, Mario Volpicelli, and Pio Caso. 2025. "Left Atrial Mechanics and Remodeling in Paroxysmal Atrial Fibrillation: Introducing the EASE Score for Pre-Ablation Risk Prediction" Medical Sciences 13, no. 3: 131. https://doi.org/10.3390/medsci13030131
APA StyleCacciapuoti, F., Caso, I., Gottilla, R., Minicucci, F., Volpicelli, M., & Caso, P. (2025). Left Atrial Mechanics and Remodeling in Paroxysmal Atrial Fibrillation: Introducing the EASE Score for Pre-Ablation Risk Prediction. Medical Sciences, 13(3), 131. https://doi.org/10.3390/medsci13030131

