Cryptosporidium varanii Infection in Captive Leopard Gecko (Eublepharis macularius) and Its Association with Wasting Syndrome in Thailand
Simple Summary
Abstract
1. Introduction
2. Materials and Methods
2.1. Animals
2.2. Sample and Data Collection
2.3. Determination of Wasting Syndrome
2.4. Determination of Cryptosporidium spp. Infections
2.4.1. DNA Extraction
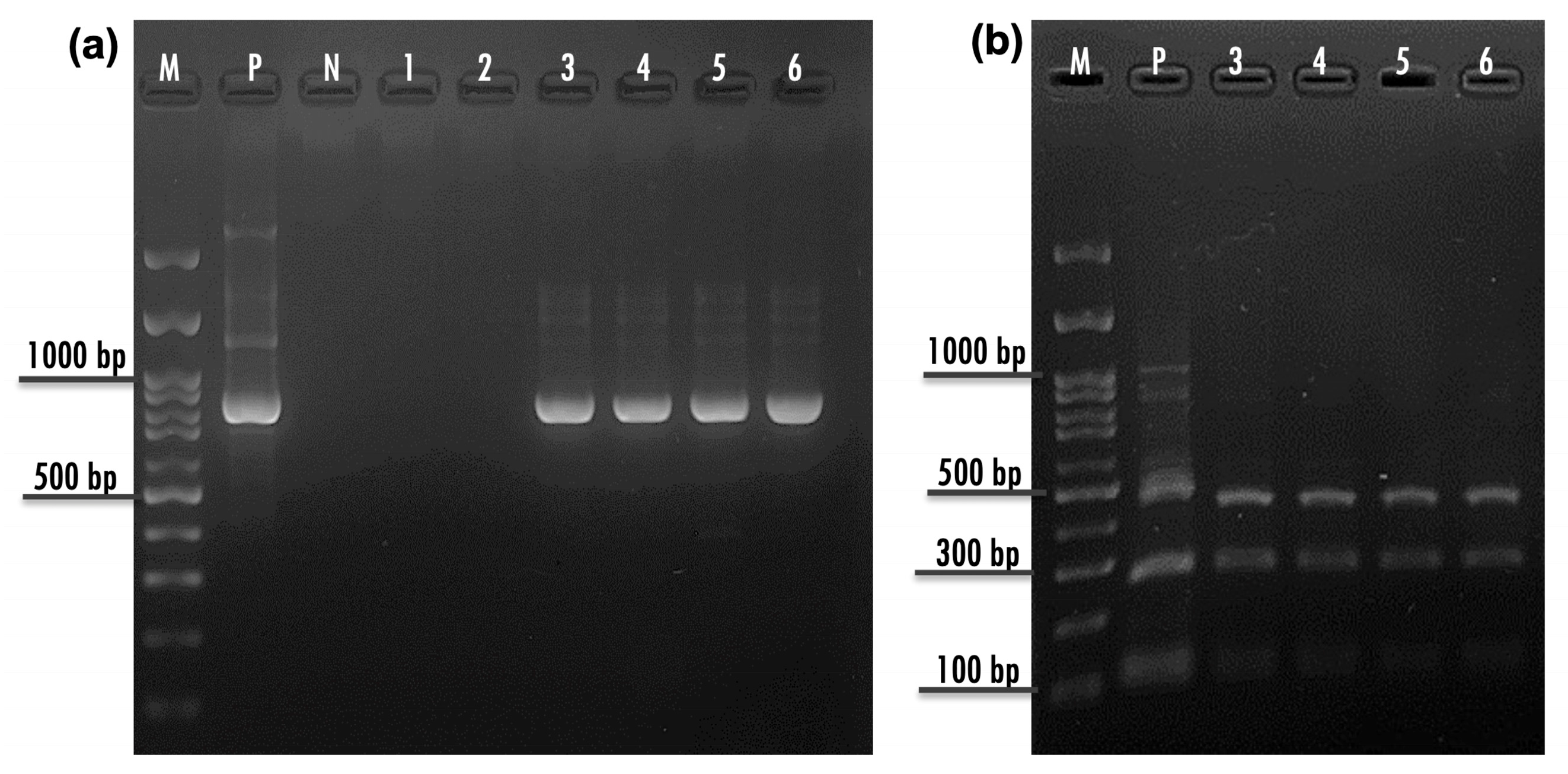
2.4.2. Nested PCR—RFLP Analysis
2.4.3. DNA Sequencing and Phylogenetic Analysis
2.5. Frequency and Persistence of Shedding
2.6. Necropsy, Histopathology, and DMSO Modified Acid-Fast Staining Method
2.6.1. Necropsy
2.6.2. DMSO Modified Acid-Fast Staining Method and Microscopy
2.7. Statistical Analysis
3. Results
3.1. Overall Infection Rate and Persistence of Cryptosporidium Infection
3.2. Occurrence of Wasting Syndrome in This Breeding Farm
3.3. Gross and Histopathological Findings in Deceased Leopard Geckos
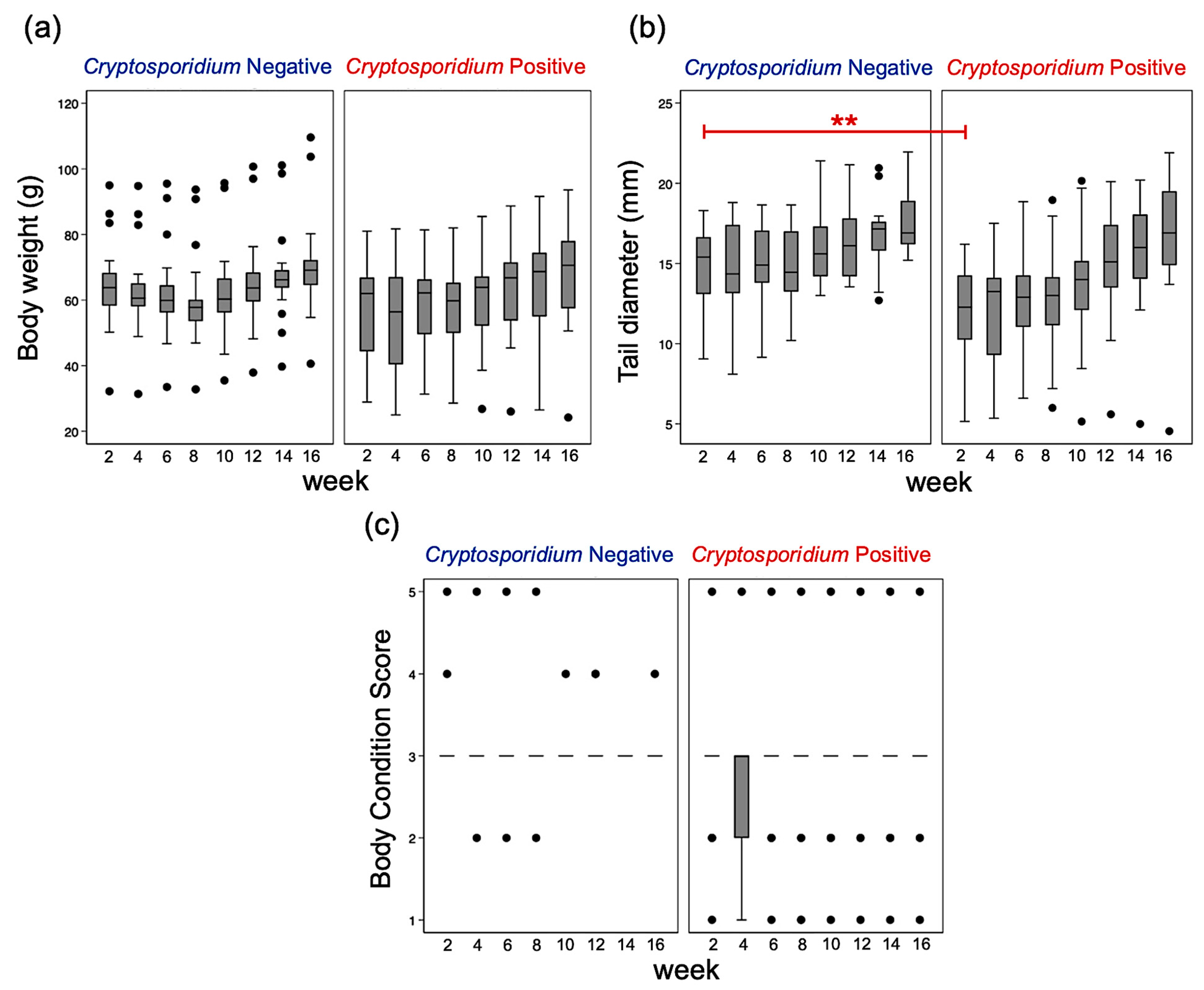
3.4. Association of Cryptosporidium spp. and Body Weight, Tail Diameter, and BCS
3.4.1. Association of Cryptosporidium spp. Infection with Sex and Age (Table 2)
3.4.2. Association of Wasting Syndrome with Cryptosporidium spp. Infection, Cage Type, Sex, Age, Body Weight, Tail Diameter, and BCS (Table 3 and Table 4)
4. Discussion
5. Conclusions
Supplementary Materials
Author Contributions
Funding
Institutional Review Board Statement
Informed Consent Statement
Data Availability Statement
Acknowledgments
Conflicts of Interest
Abbreviations
| nPCR | Nested Polymerase chain reaction |
| RFLP | Restriction Fragment Length Polymorphism |
| BLAST | Basic local alignment search tool |
| BCS | Body Condition Score |
| BW | Body Weight |
| 18s rRNA | 18S ribosomal RNA |
References
- Miles, S. Common conditions in leopard geckos (Eublepharis macularius). Comp. Anim. 2017, 22, 546–551. [Google Scholar] [CrossRef]
- Coke, R.L.; Tristan, T.E. Cryptosporidium infection in a colony of leopard geckos, Eublepharis macularius. Proc. ARAV, 1998; 157–165. [Google Scholar]
- Dellarupe, A.; Unzaga, J.M.; Moré, G.; Kienast, M.; Larsen, A.; Stiebel, C.; Rambeaud, M.; Venturini, M.C. Cryptosporidium varanii infection in leopard geckos (Eublepharis macularius) in Argentina. Open Vet. J. 2016, 6, 98–101. [Google Scholar] [CrossRef]
- Deming, C.; Greiner, E.; Uhl, E.W. Prevalence of Cryptosporidium infection and characteristics of oocyst shedding in a breeding colony of leopard geckos (Eublepharis macularius). J. Zoo Wildl. Med. 2008, 39, 600–607. [Google Scholar] [CrossRef]
- Terrell, S.P.; Uhl, E.W.; Funk, R.S. Proliferative enteritis in leopard geckos (Eublepharis macularius) associated with Cryptosporidium sp. infection. J. Zoo Wildl. Med. 2003, 34, 69–75. [Google Scholar] [CrossRef]
- Pumipuntu, N.; Piratae, S. Cryptosporidiosis: A zoonotic disease concern. Vet. World 2018, 11, 681. [Google Scholar] [CrossRef]
- Angus, K.W. Cryptosporidiosis in man, domestic animals and birds: A review. J. R. Soc. Med. 1983, 76, 62–70. [Google Scholar] [CrossRef]
- Cranfield, M.R. Reptile Medicine and Surgery; Cryptosporidiosis; Saunders Publications: Collingwood, ON, Canada, 2006; pp. 756–761. [Google Scholar]
- Smith, H. Diagnostics. In Cryptosporidium and Cryptosporidiosis; CRC Press: Boca Raton, FL, USA, 2007; pp. 173–208. [Google Scholar]
- Pedraza-Díaz, S.; Ortega-Mora, L.M.; Carrión, B.A.; Navarro, V.; Gómez-Bautista, M. Molecular characterisation of Cryptosporidium isolates from pet reptiles. Vet. Parasitol. 2009, 160, 204–210. [Google Scholar] [CrossRef]
- Richter, B.; Nedorost, N.; Maderner, A.; Weissenböck, H. Detection of Cryptosporidium species in feces or gastric contents from snakes and lizards as determined by polymerase chain reaction analysis and partial sequencing of the 18S ribosomal RNA gene. J. Vet. Diagn. Investig. 2011, 23, 430–435. [Google Scholar] [CrossRef]
- De Vosjoli, P.; Mazorlig, T.; Klingenberg, R.J.; Tremper, R.; Viets, B.X. The Leopard Gecko Manual: Expert Advice for Keeping and Caring for a Healthy Leopard Gecko; CompanionHouse Books: Mount Joy, PA, USA, 2017. [Google Scholar]
- DeCourcy, K.; Hostnik, E.T.; Lorbach, J.; Knoblaugh, S. Unsedated computed tomography for diagnosis of pelvic canal obstruction in a leopard gecko (Eublepharis macularius). J. Zoo Wildl. Med. 2016, 47, 1073–1076. [Google Scholar] [CrossRef]
- Xiao, L.; Morgan, U.M.; Limor, J.; Escalante, A.; Arrowood, M.; Shulaw, W.; Thompson, R.C.A.; Fayer, R.; Lal, A.A. Genetic diversity within Cryptosporidium parvum and related Cryptosporidium species. Appl. Environ. Microbiol. 1999, 65, 3386–3391. [Google Scholar] [CrossRef]
- Xiao, L.; Escalante, L.; Yang, C.; Sulaiman, I.; Escalante, A.A.; Montali, R.J.; Fayer, R.; Lal, A.A. Phylogenetic analysis of Cryptosporidium parasites based on the small-subunit rRNA gene locus. Appl. Environ. Microbiol. 1999, 65, 1578–1583. [Google Scholar] [CrossRef]
- Kumar, S.; Stecher, G.; Suleski, M.; Sanderford, M.; Sharma, S.; Tamura, K. MEGA12: Molecular Evolutionary Genetic Analysis version 12 for adaptive and green computing. Mol. Biol. Evol. 2024, 41, msae263. [Google Scholar] [CrossRef] [PubMed]
- Stecher, G.; Tamura, K.; Kumar, S. Molecular evolutionary genetics analysis (MEGA) for macOS. Mol. Biol. Evol. 2020, 37, 1237–1239. [Google Scholar] [CrossRef] [PubMed]
- Bronsdon, M.A. Rapid dimethyl sulfoxide-modified acid-fast stain of Cryptosporidium oocysts in stool specimens. J. Clin. Microbiol. 1984, 19, 952–953. [Google Scholar] [CrossRef]
- Yimming, B.; Pattanatanang, K.; Sanyathitiseree, P.; Inpankaew, T.; Kamyingkird, K.; Pinyopanuwat, N.; Chimnoi, W.; Phasuk, J. Molecular identification of Cryptosporidium species from pet snakes in Thailand. Korean J. Parasitol. 2016, 54, 423. [Google Scholar] [CrossRef]
- Zhang, H.; Lin, Z.; Jiang, Y.; Qian, W.; Lv, C.; Zhang, L.; Wang, S.; Qi, M.; Xia, Z. Molecular identification of Cryptosporidium spp. in pet snakes in Beijing, China. Parasitol. Res. 2020, 119, 3119–3123. [Google Scholar] [CrossRef] [PubMed]
- Zhang, Y.; Lu, Z.; He, L.; Xiao, G.; Tian, L.; Zhu, J.; Liu, T.; Ou, Q.; Chen, H.; Hwong, Y. Cryptosporidium spp. in captive snakes from 26 provinces in China: Prevalence, molecular characterization, and symptoms. Parasite 2024, 31, 47. [Google Scholar] [CrossRef]
- Upton, S.J.; McAllister, C.T.; Freed, P.S.; Barnard, S.M. Cryptosporidium spp. in wild and captive reptiles. J. Wildl. Dis. 1989, 25, 20–30. [Google Scholar] [CrossRef]
- Xiao, L.; Ryan, U.M.; Graczyk, T.K.; Limor, J.; Li, L.; Kombert, M.; Junge, R.; Sulaiman, I.M.; Zhou, L.; Arrowood, M.J. Genetic diversity of Cryptosporidium spp. in captive reptiles. Appl. Environ. Microbiol. 2004, 70, 891–899. [Google Scholar] [CrossRef]
- Plutzer, J.; Karanis, P. Molecular identification of a Cryptosporidium saurophilum from corn snake (Elaphe guttata guttata). Parasitol. Res. 2007, 101, 1141–1145. [Google Scholar] [CrossRef]
- Kubota, R.; Tokiwa, T.; Matsubara, K.; Okamoto, M.; Ike, K. Detection and molecular characterization of Cryptosporidium species in wild-caught pet spiny-tailed lizards. Int. J. Parasitol. Parasites 2020, 11, 83–87. [Google Scholar] [CrossRef]
- Graczyk, T.K.; Cranfield, M.R. Cryptosporidium serpentis oocysts and microsporidian spores in feces of captive snakes. J. Parasitol. 2000, 86, 413–414. [Google Scholar] [CrossRef]
- Pasmans, F.; Blahak, S.; Martel, A.; Pantchev, N. Introducing reptiles into a captive collection: The role of the veterinarian. Vet. J. 2008, 175, 53–68. [Google Scholar] [CrossRef]
- Sevá, A.D.P.; Sercundes, M.K.; Martins, J.; De Souza, S.O.; Da Cruz, J.B.; Lisboa, C.S.; Correa, S.H.R.; Soares, R.M. Occurrence and molecular diagnosis of Cryptosporidium serpentis in captive snakes in Sao Paulo, Brazil. J. Zoo Wildl. Med. 2011, 42, 326–329. [Google Scholar] [CrossRef] [PubMed]
- Graczyk, T.K.; Cranfield, M.R. Assessment of the conventional detection of fecal Cryptosporidium serpentis oocysts in subclinically infected captive snakes. Vet. Res. 1996, 27, 185–192. [Google Scholar] [PubMed]
- Karasawa, A.S.M.; Silva, R.J.d.; Mascarini, L.M.; Barrella, T.H.; Lopes, C.A.d.M. Occurrence of Cryptosporidium (Apicomplexa, Cryptosporidiidae) in Crotalus durissus terrificus (Serpentes, Viperidae) in Brazil. Mem. Inst. Oswaldo Cruz 2002, 97, 779–781. [Google Scholar] [CrossRef] [PubMed]
- Chauret, C.; Nolan, K.; Chen, P.; Springthorpe, S.; Sattar, S. Aging of Cryptosporidium parvum oocysts in river water and their susceptibility to disinfection by chlorine and monochloramine. Can. J. Microbiol. 1998, 44, 1154–1160. [Google Scholar] [CrossRef]
- Finch, G.R.; Black, E.K.; Gyurek, L.L. Ozone and chlorine inactivation of Cryptosporidium. In Proceedings of the Water Quality Technology Conference, Vancouver, BC, Canada, 24–30 July 1994. [Google Scholar]
- Korich, D.G.; Mead, J.R.; Madore, M.S.; Sinclair, N.A.; Sterling, C.R. Effects of ozone, chlorine dioxide, chlorine, and monochloramine on Cryptosporidium parvum oocyst viability. Appl. Environ. Microbiol. 1990, 56, 1423–1428. [Google Scholar] [CrossRef]
- Finch, G.R. Effect of Various Disinfection Methods on the Inactivation of Cryptosporidium; American Water Works Association: Denver, CO, USA, 1997. [Google Scholar]
- Weir, S.C.; Pokorny, N.J.; Carreno, R.A.; Trevors, J.T.; Lee, H. Efficacy of common laboratory disinfectants on the infectivity of Cryptosporidium parvum oocysts in cell culture. Appl. Environ. Microbiol. 2002, 68, 2576–2579. [Google Scholar] [CrossRef]
- Pantchev, N.; Rueschoff, B.; Kamhuber-Pohl, A.; Biron, K. Cryptosporidiosis treatment in Leopard Geckos (Eublepharis macularius) with azithromycin (Zithromax®) and paromomycin sulfate (Humatin®)-case reports and review of the literature. Kleintierpraxis 2008, 53, 95–104. [Google Scholar]
- Biron, K. Efficacy of rifaximine and nitazoxanide against Cryptosporidia in leopard geckos (Eublepharis macularius). Proc. ARAV 2009, 19, 67–68. [Google Scholar]
- Graczyk, T.K.; Cranfield, M.R.; Bostwick, E.F. Hyperimmune bovine colostrum treatment of moribund Leopard geckos (Eublepharis macularius) infected with Cryptosporidium sp. Vet. Res. 1999, 30, 377–382. [Google Scholar] [PubMed]









| Outcome | Effect | Estimate (β) | 95% CI | p-Value |
|---|---|---|---|---|
| Body weight (g) | Cryptosporidium (positive vs. negative) | −8.93 | −18.60–0.75 | 0.070 |
| Week (1–8) | 0.90 | 0.21–1.60 | 0.010 * | |
| Crypto × Week | 0.69 | −0.29–1.67 | 0.166 | |
| Tail diameter (mm) | Cryptosporidium (positive vs. negative) | −3.16 | (−5.26)–(−1.06) | 0.003 * |
| Week (1–8) | 0.43 | 0.23–0.63 | <0.001 * | |
| Crypto × Week | 0.20 | −0.09–0.48 | 0.177 | |
| BCS | Cryptosporidium (positive vs. negative) | −0.41 | −0.90–0.07 | 0.095 |
| Week (1–8) | −0.01 | −0.05–0.02 | 0.533 | |
| Crypto × Week | 0.02 | −0.03–0.07 | 0.417 |
| Variables | Number of Cryptosporidium Positive (%) | Odd Ratios (95% CI) | p Value |
|---|---|---|---|
| Enclosure type (n = 23) | |||
| Individual | 7/18 (38.89) | 1.17 (0.30–4.61) | 0.826 |
| Group | 6/17 (32.29) | Ref. | |
| Sex (n = 35) | |||
| Male | 3/3 (100.00) | 3.99 * (0.40–Inf) Ref. | 0.249 |
| Female | 15/32 (47.88) | ||
| Age (year) (n = 35) | |||
| <1 | 2/4 (50.00) | 0.94 (0.12–7.52) | 0.952 |
| 1–5 | 16/31 (51.62) | Ref. |
| Variables | Number of Wasting Positive (%) | Odd Ratios (95% CI) | p Value |
|---|---|---|---|
| Cryptosporidium nPCR (n = 35) | |||
| Positive | 6/18 (33.33) | 8.00 (0.847–75.56) | 0.070 |
| Negative | 1/17 (5.88) | Ref. | |
| Cage type (n = 35) | |||
| Individual | 2/13 (15.38) | Ref. | |
| Group | 5/22 (18.18) | 1.62 (0.27–9.85) | 0.602 |
| Sex (n = 35) | |||
| Male | 0/3 (0.00) | Ref. | |
| Female | 7/32 (21.88) | 1.00 * (0.00–10.30) | ≅1.000 |
| Age (year) (n = 35) | |||
| <1 | 1/4 (25.00) | 1.39 (0.12–15.81) | 0.791 |
| 1–5 | 6/31 (19.35) | Ref. | |
| Body weight | 0.89 (0.82–0.97) | 0.007 ** | |
| Tail diameter | 0.17 (0.04–0.78) | 0.022 ** | |
| BCS | 0.04 * (0–0.35) | 0.001 ** | |
| Variables | Odd Ratios (95% CI) | p Value |
|---|---|---|
| More than 1 gecko | 13.64 (1.28–145.78) | 0.031 * |
| <1 year | 7.14 (0.60–84.71) | 0.119 |
| Cryptosporidium positive | 11.15 (1.78–69.98) | 0.010 * |
| Tail diameter (mm) | 0.33 (0.21–0.50) | <0.001 * |
Disclaimer/Publisher’s Note: The statements, opinions and data contained in all publications are solely those of the individual author(s) and contributor(s) and not of MDPI and/or the editor(s). MDPI and/or the editor(s) disclaim responsibility for any injury to people or property resulting from any ideas, methods, instructions or products referred to in the content. |
© 2025 by the authors. Licensee MDPI, Basel, Switzerland. This article is an open access article distributed under the terms and conditions of the Creative Commons Attribution (CC BY) license.
Share and Cite
Nipithakul, P.; Yodpunya, S.; Prasitwiset, W.; Buranapim, N.; Tangtrongsup, S.; Tiwananthagorn, S. Cryptosporidium varanii Infection in Captive Leopard Gecko (Eublepharis macularius) and Its Association with Wasting Syndrome in Thailand. Animals 2026, 16, 33. https://doi.org/10.3390/ani16010033
Nipithakul P, Yodpunya S, Prasitwiset W, Buranapim N, Tangtrongsup S, Tiwananthagorn S. Cryptosporidium varanii Infection in Captive Leopard Gecko (Eublepharis macularius) and Its Association with Wasting Syndrome in Thailand. Animals. 2026; 16(1):33. https://doi.org/10.3390/ani16010033
Chicago/Turabian StyleNipithakul, Panasaya, Sasiwimon Yodpunya, Wareerat Prasitwiset, Nithidol Buranapim, Sahatchai Tangtrongsup, and Saruda Tiwananthagorn. 2026. "Cryptosporidium varanii Infection in Captive Leopard Gecko (Eublepharis macularius) and Its Association with Wasting Syndrome in Thailand" Animals 16, no. 1: 33. https://doi.org/10.3390/ani16010033
APA StyleNipithakul, P., Yodpunya, S., Prasitwiset, W., Buranapim, N., Tangtrongsup, S., & Tiwananthagorn, S. (2026). Cryptosporidium varanii Infection in Captive Leopard Gecko (Eublepharis macularius) and Its Association with Wasting Syndrome in Thailand. Animals, 16(1), 33. https://doi.org/10.3390/ani16010033

