Characterizing the Norway Lobster Nephrops norvegicus (L., Homarida: Decapoda) Maturity of Males in the Mediterranean Sea: Morphological and Physiological Aspects
Simple Summary
Abstract
1. Introduction
2. Materials and Methods
2.1. Sampling and Biological Data Collection
2.2. Analysis of Gonado-Somatic Index (GSI%) Evolution Among Sampled Seasons
2.3. Population Size-Structure and Allometric Growth Equation
2.4. Macroscopic Observation of Reproductive System and Histological Procedure
2.5. Measurements of Secondary Sexual Characteristics
2.6. Statistical Analyses
3. Results
3.1. Gonado-Somatic Index, Populations Size-Structure and Allometric Growth
3.2. Primary Sexual Characteristics Analysis
General Anatomy of the Male Reproductive System
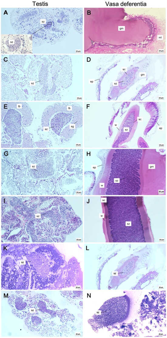
3.3. Histology
3.4. Statistical Analysis
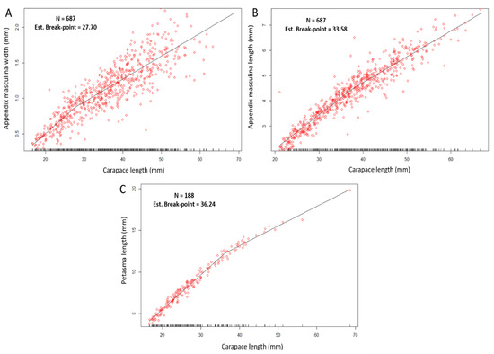
Segmented Regression Analysis
4. Discussions
5. Conclusions
Author Contributions
Funding
Institutional Review Board Statement
Informed Consent Statement
Data Availability Statement
Acknowledgments
Conflicts of Interest
References
- McQuaid, N.; Briggs, R.P.; Roberts, D. Estimation of the size of onset of sexual maturity in Nephrops norvegicus (L.). Fish. Res. 2006, 81, 26–36. [Google Scholar] [CrossRef]
- Stearns, S.C. The Evolution of Life Histories; Oxford University Press: Oxford, UK, 1992; 262p. [Google Scholar]
- Bailey, N. Some aspects of reproduction in Nephrops. ICES CM 1984, 33, 1–26. [Google Scholar]
- Queirós, A.M.; Weetman, A.; McLay, H.A.; Dobby, H. Geographical variation in size at the onset of maturity of male and female Norway lobster Nephrops norvegicus in Scottish waters. Fish. Res. 2013, 139, 132–144. [Google Scholar] [CrossRef]
- Bolognini, L.; Donato, F.; Lucchetti, A.; Olivotto, I.; Truzzi, C.; Randazzo, B.; Antonucci, M.; Illuminati, S.; Grati, F. A multidisciplinary approach to study the reproductive biology of wild prawns. Sci. Rep. 2017, 7, 16781. [Google Scholar] [CrossRef]
- Arculeo, M.; Payen, G.; Cuttitta, A.; Galioto, G.; Riggio, S. A survey of ovarian maturation in a population of Aristaeus antennatus. Anim. Biol. J. 1995, 4, 13–18. [Google Scholar]
- da Silva Castiglioni, D.; Negreiros-Fransozo, M.L.; López-Greco, L.; Silveira, A.F.; Silveira, S.O. Gonad development in females of the fiddler crab Uca rapax using macro- and microscopic techniques. Iheringia Sér. Zool. 2007, 97, 505–510. [Google Scholar] [CrossRef]
- ICES. Report of the Workshop on Crustaceans (Aristeus antennatus, Aristaeomorpha foliacea, Parapenaeus longirostris, Nephrops norvegicus) Maturity Stages (WKMSC); ICES: Messina, Italy, 2009; 77p. [Google Scholar]
- Moraes, I.R.R.; Antunes, M.; López-Greco, L.S.; Zara, F.J.; Castilho, A.L. Functional reproductive morphology of the snapping shrimp genus Synalpheus Spence Bate, 1888 (Decapoda, Alpheidae). Curr. Zool. 2024, 71, 338–352. [Google Scholar] [CrossRef] [PubMed]
- Waiho, K.; Fazhan, H.; Baylon, J.C.; Madihah, H.; Noorbaiduri, S.; Ma, H.; Ikhwanuddin, M. On types of sexual maturity in brachyurans, with special reference to size at the onset of sexual maturity. J. Shellfish Res. 2017, 36, 807–839. [Google Scholar] [CrossRef]
- da Silva Santana, C.A.; Lordan, C.; Power, A.M. Theoretical size at the onset of maturity and its density-dependent variability in crustacean fisheries management. ICES J. Mar. Sci. 2021, 78, 1421–1433. [Google Scholar] [CrossRef]
- Haig, J.A.; Bakke, S.; Bell, M.C.; Bloor, I.S.M.; Cohen, M.; Coleman, M.; Dignan, S.; Kaiser, M.J.; Pantin, J.R.; Roach, M.; et al. Reproductive traits and factors affecting the size at maturity of Cancer pagurus across Northern Europe. ICES J. Mar. Sci. 2016, 73, 2572–2585. [Google Scholar] [CrossRef]
- MacDiarmid, A.B.; Sainte-Marie, B. Reproduction. In Lobsters: Biology, Management, Aquaculture and Fisheries; Phillips, B.F., Ed.; Blackwell Publishing: Oxford, UK, 2006; pp. 45–77. [Google Scholar]
- Bell, M.C.; Redant, F.; Tuck, I. Nephrops species. In Lobsters: Biology, Management, Aquaculture and Fisheries; Phillips, B.F., Ed.; Blackwell Publishing: Oxford, UK, 2006; pp. 412–461. [Google Scholar] [CrossRef]
- Angelini, S.; Martinelli, M.; Santojanni, A.; Colella, S. Biological evidence of different subpopulations of Nephrops norvegicus in the Adriatic Sea. Fish. Res. 2020, 221, 105365. [Google Scholar] [CrossRef]
- Johnson, M.P.; Lordan, C.; Power, A.M. Habitat and ecology of Nephrops norvegicus. In Advances in Marine Biology; Johnson, M.L., Johnson, M.P., Eds.; Academic Press: Cambridge, MA, USA, 2013; Volume 64, pp. 27–63. [Google Scholar] [CrossRef]
- Lolas, A.; Vafidis, D. Population dynamics, fishery and exploitation status of Norway lobster (Nephrops norvegicus) in the Eastern Mediterranean. Water 2021, 13, 289. [Google Scholar] [CrossRef]
- Abelló, P.; Abella, A.; Adamidou, A.; Jukic-Peladic, S.; Maiorano, P.; Spedicato, M.T. Geographical patterns in abundance and population structure of Nephrops norvegicus and Parapenaeus longirostris (Crustacea: Decapoda) along the European Mediterranean coasts. Sci. Mar. 2002, 66, 125–141. [Google Scholar] [CrossRef]
- Sbrana, M.; Zupa, W.; Ligas, A.; Capezzuto, F.; Chatzispyrou, A.; Follesa, M.C.; Gancitano, V.; Guijarro, B.; Isajlovic, I.; Jadaud, A.; et al. Spatiotemporal abundance pattern of deep-water rose shrimp Parapenaeus longirostris and Norway lobster Nephrops norvegicus in European Mediterranean waters. Sci. Mar. 2019, 83, 71–80. [Google Scholar] [CrossRef]
- Colloca, F.; Garofalo, G.; Bitetto, I.; Facchini, M.T.; Grati, F.; Martiradonna, A.; Mastrantonio, G.; Nikolioudakis, N.; Ordinas, F.; Scarcella, G.; et al. The seascape of demersal fish nursery areas in the North Mediterranean Sea: A first step towards the implementation of spatial planning for trawl fisheries. PLoS ONE 2015, 10, e0119590. [Google Scholar] [CrossRef]
- Sardà, F. Nephrops norvegicus (L.): Comparative biology and fishery in the Mediterranean Sea. Introduction, conclusions and recommendations. Sci. Mar. 1998, 2, 1–143. [Google Scholar] [CrossRef]
- Bell, M.; Tuck, I.; Dobby, H. Nephrops species. In Lobsters: Biology, Management, Aquaculture and Fisheries, 2nd ed.; Phillips, B., Ed.; Blackwell: Oxford, UK, 2013; pp. 412–461. [Google Scholar] [CrossRef]
- Ungfors, A.; Bell, E.; Johnson, M.L.; Cowing, D.; Dobson, N.C.; Bublitz, R.; Sandell, J. Nephrops fisheries in European waters. Adv. Mar. Biol. 2013, 64, 247–314. [Google Scholar] [CrossRef] [PubMed]
- Chapman, C.J. Ecology of juvenile and adult nephrops. In The Biology and Management of Lobsters: Physiology and Behavior; Cobb, J.S., Phillips, B.F., Eds.; Elsevier: Amsterdam, The Netherlands, 1980. [Google Scholar] [CrossRef]
- Bianchini, M.L.; Di Stefano, L.; Ragonese, S. Size and age at onset of sexual maturity of female Norway lobster Nephrops norvegicus L. (Crustacea: Nephropidae) in the Strait of Sicily (Central Mediterranean Sea). Sci. Mar. 1998, 62, 151–159. [Google Scholar] [CrossRef]
- FAO. The State of World Fisheries and Aquaculture 2022; Towards Blue Transformation; FAO: Rome, Italy, 2022. [Google Scholar]
- Tully, O.; Hillis, J.P. Causes and spatial scales of variability in population structure of Nephrops norvegicus (L.) in the Irish Sea. Fish. Res. 1995, 21, 329–347. [Google Scholar] [CrossRef]
- Mouat, B. Reproductive Dynamics of the Male Norway Lobster, Nephrops norvegicus (L.). Ph.D. thesis, University of Glasgow, Glasgow, UK, 2004. [Google Scholar]
- Farmer, A.S.D. Synopsis of Biological Data on the Norway Lobster Nephrops norvegicus (L.); FAO Fisheries Synopsis; FAO: Rome, Italy, 1975; 112p. [Google Scholar]
- Sabatini, M.; Hill, J.M. Nephrops norvegicus Norway lobster. In Marine Life Information Network: Biology and Sensitivity Key Information Reviews; Tyler-Walters, H., Hiscock, K., Eds.; Marine Biological Association of the United Kingdom: Plymouth, UK, 2008. [Google Scholar] [CrossRef]
- Lampri, P.N.; Chatzispyrou, A.; Kapiris, K. The growth of appendix masculina of the Norway lobster (Nephrops norvegicus) in the Central Aegean Sea (E Mediterranean). Turk. J. Fish. Aquat. Sci. 2015, 15, 745–750. [Google Scholar] [CrossRef]
- Sardà, F. Reproduction and moult synchronism in Nephrops norvegicus (L.) (Decapoda, Nephropidae) in the Western Mediterranean: Is spawning annual or biennial? Crustaceana 1991, 60, 186–199. [Google Scholar] [CrossRef]
- Sardà, F. A review (1967–1990) of some aspects of the life history of Nephrops norvegicus (L.). ICES Mar. Sci. Symp. 1995, 199, 78–88. [Google Scholar]
- Tuck, I.D.; Chapman, C.J.; Atkinson, R.J.A. Population biology of the Norway lobster, Nephrops norvegicus (L.) in the Firth of Clyde, Scotland. I: Growth and density. ICES J. Mar. Sci. 1997, 54, 125–135. [Google Scholar] [CrossRef]
- Orsi-Relini, L.; Zamboni, A.; Fiorentino, F.; Massi, D. Reproductive patterns in Norway lobster Nephrops norvegicus (L.) (Crustacea: Decapoda: Nephropidae) of different Mediterranean areas. Sci. Mar. 1998, 62, 25–41. [Google Scholar] [CrossRef]
- Mori, M.; Modena, M.; Biagi, F. Fecundity and egg volume in Norway lobster (Nephrops norvegicus) from different depths in the northern Tyrrhenian Sea. Sci. Mar. 2001, 65, 111–116. [Google Scholar] [CrossRef]
- Rotllant, G.; Ribes, E.; Company, J.B.; Durfort, M. The ovarian maturation cycle of the Norway lobster Nephrops norvegicus (Linnaeus, 1758) (Crustacea: Decapoda) from the western Mediterranean Sea. Invertebr. Reprod. Dev. 2005, 48, 161–169. [Google Scholar] [CrossRef]
- Mente, E.; Karapanagiotidis, I.T.; Logothetis, P.; Vafidis, D.; Malandrakis, E.; Neofitou, N.; Exadactylos, A.; Stratakos, A. The reproductive cycle of Norway lobster. J. Zool. 2009, 278, 324–332. [Google Scholar] [CrossRef]
- Hankin, D.G.; Butler, T.H.; Wild, P.W.; Xue, Q.L. Does intense fishing on males impair mating success of female Dungeness crabs? Can. J. Fish. Aquat. Sci. 1997, 54, 655–669. [Google Scholar] [CrossRef]
- MacDiarmid, A.B.; Butler, M.J. Sperm economy and limitation in spiny lobster. Behav. Ecol. Sociobiol. 1999, 46, 14–24. [Google Scholar] [CrossRef]
- Rondeau, A.; Sainte-Marie, B. Variable mate-guarding time and sperm allocation by male snow crabs (Chionoecetes opilio) in response to sexual competition, and their impact on the mating success of females. Biol. Bull. 2001, 201, 204–217. [Google Scholar] [CrossRef]
- Carver, A.M.; Wolcott, T.G.; Wolcott, D.L.; Hines, A.H. Unnatural selection: Effects of a male-focused size-selective fishery on reproductive potential of a blue crab population. J. Exp. Mar. Biol. Ecol. 2005, 319, 29–41. [Google Scholar] [CrossRef]
- Sato, T.; Ashidate, M.; Jinbo, T.; Goshima, S. Variation of sperm allocation with male size and recovery rate of sperm numbers in spiny king crab Paralithodes brevipes. Mar. Ecol. Prog. Ser. 2006, 312, 189–199. [Google Scholar] [CrossRef]
- Williams, A.B. Shrimps, Lobsters and Crabs of the Atlantic Coast of the Eastern United States, Maine to Florida; Smithsonian Institution Press: Washington, DC, USA, 1984; 550p. [Google Scholar]
- Bauer, R.T. Role of the petasma and appendix masculinae during copulation and insemination in the penaeoid shrimp Sicyonia dorsalis (Crustacea: Decapoda: Dendrobranchiata). Invert. Reprod. Dev. 1996, 29, 173–184. [Google Scholar] [CrossRef]
- Becker, C.; Dick, J.T.A.; Cunningham, E.M.; Lundy, M.; Bell, E.; Eagling, L.; Sigwart, J.D. Ovary resorption in the Norway lobster (Nephrops norvegicus) and its possible causes with special reference to sperm storage. Helgol. Mar. Res. 2020, 74, 12. [Google Scholar] [CrossRef]
- Pinheiro, M.; Amaro, A.; Fransozo, A. Sexual maturity of the speckled swimming crab Arenaeus cribrarius (Lamarck, 1818) (Decapoda: Brachyura: Portunidae) in the Ubatuba littoral, São Paulo State, Brazil. Crustaceana 1998, 71, 434–452. [Google Scholar] [CrossRef]
- Sal Moyano, M.; Gavio, M.; Maggi, M. Morphometric and gonad maturity of the spider crab Libinia spinosa (Crustacea: Brachyura: Majoidea: Epialtidae) in Argentina. J. Mar. Biol. Assoc. UK 2011, 91, 837–844. [Google Scholar] [CrossRef]
- Cau, A.; Avio, C.G.; Dessì, C.; Follesa, M.C.; Moccia, D.; Regoli, F.; Pusceddu, A. Microplastic pollution in the crustaceans Nephrops norvegicus and Aristeus antennatus: Flagship species for deep-sea environments? Environ. Pollut. 2019, 255, 113107. [Google Scholar] [CrossRef] [PubMed]
- Boenish, R.; Kritze, J.P.; Kleisner, K.; Steneck, R.S.; Werner, K.M.; Zhu, W.; Schram, F.; Rader, D.; Cheung, W.; Ingles, J.; et al. The global rise of crustacean fisheries. Front. Ecol. Environ. 2021, 20, 102–110. [Google Scholar] [CrossRef]
- Spedicato, M.T.; Massutí, E.; Mérigot, B.; Tserpes, G.; Jadaud, A.; Relini, G. The MEDITS trawl survey specifications in an ecosystem approach to fishery management. Sci. Mar. 2019, 83, 9–20. [Google Scholar] [CrossRef]
- Zar, J.H. Biostatistical Analysis, 4th ed.; Prentice Hall: Upper Saddle River, NJ, USA, 1999; 663p. [Google Scholar]
- Fox, J.; Weisberg, S. An R Companion to Applied Regression, 3rd ed.; SAGE Publications, Inc.: Thousand Oaks, CA, USA, 2019. [Google Scholar]
- Díaz-Pérez, J.; Landeira, J.M.; Hernández-León, S.; Reyes-Martínez, M.J.; González-Gordillo, J.I. Distribution patterns of micronektonic crustaceans (Decapoda, Euphausiacea, and Lophogastrida) in the tropical and subtropical Atlantic Ocean. Prog. Oceanogr. 2024, 228, 103331. [Google Scholar] [CrossRef]
- de Carvalho-Souza, G.F.; Medeiros, D.V.; Silva, R.A.; González-Ortegón, E. Width/length–weight relationships and condition factor of seven decapod crustaceans in a Brazilian tropical estuary. Reg. Stud. Mar. Sci. 2023, 60, 102880. [Google Scholar] [CrossRef]
- Rohlf, F.J. tpsDig, Digitize Landmarks and Outlines, version 2.16; Department of Ecology and Evolution, State University of New York at Stony Brook: New York, NY, USA, 2005.
- Muggeo, V.M.R. Segmented: An R package to fit regression models with broken-line relationships. R News 2008, 8, 20–25. [Google Scholar] [CrossRef]
- Muggeo, V.M.R. Interval estimation for the breakpoint in segmented regression: A smoothed score-based approach. Aust. N. Z. J. Stat. 2017, 59, 311–322. [Google Scholar] [CrossRef]
- Muggeo, V.M.R. Segmented: Regression Models with Break-Points/Change-Points Estimation (with Possibly Random Effects), R Package. Version 2.1-4. 2025. Available online: https://CRAN.R-project.org/package=segmented (accessed on 26 November 2025).
- Davies, R.B. Hypothesis testing when a nuisance parameter is present only under the alternative. Biometrika 1987, 74, 33–43. [Google Scholar] [CrossRef] [PubMed]
- Muggeo, V.M.R. Testing with a nuisance parameter present only under the alternative: A score-based approach with application to segmented modelling. J. Stat. Comput. Simul. 2016, 86, 3059–3067. [Google Scholar] [CrossRef]
- Williner, V.; Torres, M.V.; Carvalho, D.A.; König, N. Relative growth and morphological sexual maturity size of the freshwater crab Trichodactylus borellianus (Crustacea: Decapoda: Trichodactylidae) in the Middle Paraná River, Argentina. ZooKeys 2014, 457, 159–170. [Google Scholar] [CrossRef]
- ICES. Report of the Workshop on Nephrops stock (WKNEPH); ICES CM 2006/ACFM:36; ICES: Messina, Italy, 2006; pp. 12–85. [Google Scholar]
- R Core Team. R: A Language and Environment for Statistical Computing; R Foundation for Statistical Computing: Vienna, Austria, 2023; Available online: https://www.R-project.org/ (accessed on 26 November 2025).
- Storrow, B. The prawn (Norway lobster, Nephrops norvegicus), and the prawn fishery of North Shields. Rep. Dove Mar. Lab. 1912, 1, 10–31. [Google Scholar]
- Farmer, A.S.D. The development of the external sexual characters of Nephrops norvegicus (L.) (Decapoda: Nephropidae). J. Nat. Hist. 1974, 8, 241–255. [Google Scholar] [CrossRef]
- Tuck, I.D.; Chapman, C.J.; Atkinson, R.J.A. Population biology of the Norway lobster, Nephrops norvegicus (L.) in the Firth of Clyde, Scotland. II: Fecundity and size at onset of maturity. ICES J. Mar. Sci. 2000, 57, 1227–1239. [Google Scholar] [CrossRef]
- Martins, C.A.; Nascimento, C.A.D.; Nascimento, W.M.; Nobre, P.H.P.; de Araújo, J.G.; Pinheiro, A.P.; Alencar, C.E.R.D. Onset of morphological sexual maturity, sexual size dimorphism, relative growth, heterochely, and laterality of the endemic and potentially endangered freshwater crab Kingsleya attenboroughi (Decapoda, Pseudothelphusidae). Invertebr. Biol. 2024, 144, e2024-00011. [Google Scholar] [CrossRef]
- Collins, P.A.; Giri, F.; Williner, V. Sexual maturity and ontogenetic shape variations in the freshwater anomuran crab Aegla uruguayana (Decapoda: Aeglidae). Invertebr. Reprod. Dev. 2008, 52, 113–119. [Google Scholar] [CrossRef]
- Hobbs, H.H., Jr.; Harvey, M.C.; Hobbs, H.H., III. A comparative study of functional morphology of the male reproductive systems in the Astacidea with emphasis on the freshwater crayfishes (Crustacea: Decapoda). Smithson. Contrib. Zool. 2007, 624, 1–69. [Google Scholar] [CrossRef]
- Rotllant, G.; Chiva, M.; Durfort, M.; Ribes, E. Internal anatomy and ultrastructure of the male reproductive system of the Norway lobster Nephrops norvegicus (Decapoda: Astacidea). J. Morphol. 2012, 273, 572–585. [Google Scholar] [CrossRef] [PubMed]
- López Greco, L.S.; Vazquez, F.; Rodríguez, E.M. Morphology of the male reproductive system and spermatophore formation in the freshwater “red claw” crayfish Cherax quadricarinatus (Von Martens, 1898) (Decapoda: Parastacidae). Acta Zool. 2007, 88, 223–229. [Google Scholar] [CrossRef]
- Noro, C.; López Greco, L.S.; Buckup, L. Gonad morphology and type of sexuality in Parastacus defossus Faxon, 1898, a burrowing, intersexed crayfish from southern Brazil (Decapoda: Parastacidae). Acta Zool. 2008, 89, 59–67. [Google Scholar] [CrossRef]
- Ruiz, T.F.R.; Vidal, M.R.; Gardiani, M.V.B.; Ribeiro, K.; Vicentini, C.A.; Vicentini, I.B.F. Morphology of the male reproductive system of the freshwater prawn Macrobrachium carcinus (Decapoda: Caridea): Functional and comparative aspects. J. Morphol. 2020, 281, 476–490. [Google Scholar] [CrossRef]
- Figueiredo, M.J.; Barraca, I.F. Contribuicao para o conhecimento da pesca e da biologia do lagostim (Nephrops norvegicus L.) na costa portuguesa. Notas Estud. Inst. Biol. Mar. 1963, 28, 1–45. [Google Scholar]
- Falsone, F.; Geraci, M.L.; Scannella, D.; Gancitano, V.; Di Maio, F.; Sardo, G.; Quattrocchi, F.; Vitale, S. Length–weight relationships of 52 species from the south of Sicily (Central Mediterranean Sea). Fishes 2022, 7, 92. [Google Scholar] [CrossRef]
- Elner, R.W.; Campbell, A. Force, function and mechanical advantage in the chelae of the American lobster Homarus americanus (Decapoda: Crustacea). J. Zool. 2009, 193, 269–286. [Google Scholar] [CrossRef]
- Waiho, K.; Mustaqim, M.; Fazhan, H.; Wan Norfaizza, W.I.; Megat, F.H.; Ikhwanuddin, M. Mating behaviour of the orange mud crab Scylla olivacea: The effect of sex ratio and stocking density on mating success. Aquac. Rep. 2015, 2, 50–57. [Google Scholar] [CrossRef]
- Bauer, R.T. Mating behaviour and spermatophore transfer in the shrimp Hepaeurus pictus (Stimpson) (Decapoda: Caridea: Hippolytidae). J. Nat. Hist. 1976, 10, 415–440. [Google Scholar] [CrossRef]
- Bauer, R.T. Phylogenetic trends in sperm transfer and storage complexity in decapod crustaceans. J. Crustac. Biol. 1986, 6, 313–325. [Google Scholar] [CrossRef]
- Berg, A.B.; Sandifer, P. Mating behavior of the grass shrimp Palaemonetes pugio Holthuis (Decapoda: Caridea). J. Crustac. Biol. 1984, 4, 417–424. [Google Scholar] [CrossRef]
- Andrioli, G.C.; Paschoal, L.R.P.; Davanso, T.M.; Costa, R.C.; Zara, F.J. Does morphological maturity anticipate physiological maturity? The pattern of sexual maturity in males of the seabob shrimp Xiphopenaeus kroyeri (Heller, 1862). Reg. Stud. Mar. Sci. 2024, 73, 103489. [Google Scholar] [CrossRef]
- Ahamed, F.; Ahmed, Z.F.; Ohtomi, J. Relative growth and morphological sexual maturity of the caridean prawn Macrobrachium villosimanus (Tiwari, 1949) (Decapoda: Palaemonidae). Lakes Reserv. 2023, 28, e12437. [Google Scholar] [CrossRef]
- Sardà, F.; Demestre, M. Estudio biológico de la gamba Aristeus antennatus en el Mar Catalán (NE de España). Investig. Pesq. 1987, 51, 213–232. [Google Scholar]
- Kapiris, K.; Moraitou-Apostolopoulou, M.; Papaconstantinou, C. The growth of male secondary sexual characters in Aristaeomorpha foliacea and Aristeus antennatus (Decapoda: Aristeidae) in the Greek Ionian Sea (Eastern Mediterranean). J. Crustac. Biol. 2002, 22, 784–789. [Google Scholar] [CrossRef][Green Version]
- Froglia, C.; Gramitto, M.E. Summary of the biological parameters on the Norway lobster, Nephrops norvegicus (L.) in the Adriatic. FAO Fish. Rep. 1981, 253, 165–178. [Google Scholar]
- Froglia, C.; Gramitto, M.E. An estimate of growth and mortality parameters for Norway lobster (Nephrops norvegicus) in the Central Adriatic Sea. FAO Fish. Rep. 1988, 394, 189–203. [Google Scholar]
- IMBC; UMBSM; IRPEM. Nephrops norvegicus: Stock Variability and Assessment in Relation to Fishing Pressure and Environmental Factors; Final Report to the Commission of the European Communities, Contract XIV 1/MED/91/003; Institute of Marine Biology of Crete (IMBC): Crete, Greece; University Marine Biological Station (UMBS): Millport, UK; Instituto di Richerche sulla Pesca Marittima, Ancona (IRPEM): Ancona, Italy, 1994; 84p. [Google Scholar]
- Hines, A.H. Growth and reproductive biology of blue crabs: Density-dependent processes in benthic crustaceans. Biol. Bull. 2007, 213, 313–325. [Google Scholar]
- Moore, A.B.M.; Delargy, A.J.; Cann, R.P.; Heney, C.; Le Vay, L.; Lincoln, H.; McCarthy, I.D.; Hold, N. Spatial and temporal variation of size at maturity in an intensive crustacean fishery with limited management. Fish. Res. 2022, 255, 106450. [Google Scholar] [CrossRef]
- Vigo, M.; Galimany, E.; Poch, P.; Santos-Bethencourt, R.; Sala-Coromina, J.; Bahamón, N.; Aguzzi, J.; Navarro, J.; Company, J.B. An update on the biological parameters of the Norway lobster (Nephrops norvegicus) in the northwestern Mediterranean Sea. ICES J. Mar. Sci. 2024, 81, 426–439. [Google Scholar] [CrossRef]
- DeMartini, E.E.; DiNardo, G.T.; Williams, H.A. Temporal changes in population density, fecundity, and egg size of the Hawaiian spiny lobster (Panulirus marginatus) at Necker Bank, northwestern Hawaiian Islands. Fish. Bull. 2003, 101, 22–31. [Google Scholar]
- Porcu, C.; Carugati, L.; Bellodi, A.; Carbonara, P.; Cau, A.; Cuccu, D.; Cannea, F.B.; Marongiu, M.F.; Mulas, A.; Padiglia, A.; et al. The use of reproductive indicators for conservation purposes: The case study of Palinurus elephas in two fully protected areas and their surrounding zones (Central–Western Mediterranean). Biology 2022, 11, 1188. [Google Scholar] [CrossRef]
- Froglia, C.; Atkinson, R.J.; Tuck, I.; Arneri, E.; Finka, B. Underwater television survey, a tool to estimate Nephrops stock biomass on the Adriatic trawling grounds. In Tisucu Godina Prvoga Spomena Ribarstva u Hrvata; Hrvatska Akademija Znanosti i Umjetnosti: Zagreb, Croatia, 1997; pp. 657–667. [Google Scholar]
- Morello, E.B.; Froglia, C.; Atkinson, R.J.A. Underwater television as a fishery-independent method for stock assessment of Norway lobster, Nephrops norvegicus, in the central Adriatic Sea (Italy). ICES J. Mar. Sci. 2007, 64, 1116–1123. [Google Scholar] [CrossRef]
- Melaku Canu, D.; Laurent, C.; Morello, E.B.; Querin, S.; Scarcella, G.; Vrgoc, N.; Froglia, C.; Angelini, S.; Solidoro, C. Nephrops norvegicus in the Adriatic Sea: Connectivity modeling, essential fish habitats, and management area network. Fish. Oceanogr. 2021, 30, 349–365. [Google Scholar] [CrossRef]
- Maiorano, A.; Sabatella, R.F.; Marzocchi, B.M. Annuario sullo stato delle risorse e sulle strutture produttive dei mari italiani. Biol. Mar. Mediterr. 2015, 22, 432. [Google Scholar]
- Choy, S. Reproductive biology of Liocarcinus puber and L. holsatus (Decapoda: Brachyura: Portunidae) from the Gower Peninsula, South Wales. Mar. Ecol. 1988, 9, 227–241. [Google Scholar] [CrossRef]
- Prasad, P.N.; Neelakantan, B. Size at maturity in the male crab Scylla serrata as determined by chela allometry and gonad condition. Fish. Technol. 1990, 27, 25–29. [Google Scholar]
- González-Gurriarán, E.; Freire, J. Sexual maturity in the velvet swimming crab Necora puber (Brachyura: Portunidae): Morphometric and reproductive analyses. ICES J. Mar. Sci. 1994, 51, 133–145. [Google Scholar] [CrossRef]







| Category | Package | Function/Use |
|---|---|---|
| Base statistical environment | stats (base package) | Core functions for linear models (lm()), ANOVA (aov()), t-tests (t.test()), correlation, and descriptive statistics |
| Segmented regression | segmented | Estimation of breakpoints and segmented (piecewise) regression models; includes the Davies’ test for slope change significance |
| Regression diagnostic and ANOVA validation | car | Levene’s test for homogeneity of variance (leveneTest()), and type-II/III ANOVA (Anova()) |
| Robust and generalized regression | MASS | Robust linear models (rlm()), generalized linear models, and support for diagnostic statistics |
| Data manipulation | dplyr | Data filtering, transformation, and summarization for morphometric and biometric datasets |
| Data visualization | ggplot2 | Graphical visualization of morphometric relationships, segmented regressions, and descriptive plots |
| Descriptive statistics | psych | Summary and descriptive functions for biological and morphometric variables |
| Relationship | n | CL Range (mm) (Mean ± SD) | BP (±SE) (mm CL) | Intercept | Slope (Before BP) | Intercept | Slope (After BP) | R2 | Davies’ Test (p) |
|---|---|---|---|---|---|---|---|---|---|
| WAM–CL | 687 | 16.6–68.6 (36.3 ± 10.12) | 27.70 ± 2.09 | –0.45 | 0.065 | –1.63 | 0.146 | 0.88 | 0.0049 *** |
| LAM–CL | 687 | 16.6–68.6 (36.3 ± 10.12) | 33.58 ± 0.93 | –1.32 | 0.218 | –7.37 | 0.402 | 0.92 | <2.2 × 10−16 *** |
| PL–CL | 188 | 16.6–68.6 (27.9 ± 8.36) | 36.24 ± 0.69 | –3.87 | 0.295 | –9.30 | 0.621 | 0.91 | <2.2 × 10−16 *** |
| Geographical Area | SOM (CL, mm) | Method | Reference |
|---|---|---|---|
| NE Atlantic Ocean | |||
| North Shields area (North Sea) | 30.0 | Histology (VD) | [65] |
| Irish Sea | 26.5 | Allometry (LAM) | [66] |
| W Irish Sea | 15.1 | Histology (VD) | [1] |
| 25.5–26.3 (MATURE); 24.3–26.9 (RMA) | Allometry (LAM) | ||
| Clyde (Scottish waters) | 27.48 (S) | Allometry (LAM) | [4] |
| Fladen (Scottish waters) | 41.12 (S) | ||
| North Minch (Scottish waters) | 31.88 (S) | ||
| Noup (Scottish waters) | 43.2 (S) | ||
| Sound of Jura (Scottish waters) | 22.77 (S) | ||
| Stanton Banks (Scottish waters) | 36.04 (S) | ||
| Moray Firth (Scottish waters) | 30.14 (S) | ||
| Firth of Clyde (Scottish waters) | 29.0–46.3 (LSR); 24.0–46.3 (RMA) | Allometry (CrL) | [67] |
| Mediterranean Sea | |||
| Off Ancona (Italy, N Adriatic) | 41.67 (LAM, S); 42.82 (WAM, S) | Allometry (LAM, WAM) | [15] |
| Pomo/Jabuk Pits (Croatia, N Adriatic) | 24.33 (LAM, S); 25.39 (WAM, S) | Allometry (LAM, WAM) | [15] |
| Sardinian seas (Italy) | 23.5 | Histology (VD) | Present study |
| 18.3 | Histology (T) | ||
| 33.53 (LAM, S) | Allometry (LAM, WAM, PL) | ||
| 27.7 (WAM, S) | |||
| 36.24 (PL, S) |
Disclaimer/Publisher’s Note: The statements, opinions and data contained in all publications are solely those of the individual author(s) and contributor(s) and not of MDPI and/or the editor(s). MDPI and/or the editor(s) disclaim responsibility for any injury to people or property resulting from any ideas, methods, instructions or products referred to in the content. |
© 2025 by the authors. Licensee MDPI, Basel, Switzerland. This article is an open access article distributed under the terms and conditions of the Creative Commons Attribution (CC BY) license (https://creativecommons.org/licenses/by/4.0/).
Share and Cite
Porcu, C.; Pascale, N.; Bellodi, A.; Carbonara, P.; Cau, A.; Demurtas, R.; Mulas, A.; Follesa, M.C. Characterizing the Norway Lobster Nephrops norvegicus (L., Homarida: Decapoda) Maturity of Males in the Mediterranean Sea: Morphological and Physiological Aspects. Animals 2025, 15, 3478. https://doi.org/10.3390/ani15233478
Porcu C, Pascale N, Bellodi A, Carbonara P, Cau A, Demurtas R, Mulas A, Follesa MC. Characterizing the Norway Lobster Nephrops norvegicus (L., Homarida: Decapoda) Maturity of Males in the Mediterranean Sea: Morphological and Physiological Aspects. Animals. 2025; 15(23):3478. https://doi.org/10.3390/ani15233478
Chicago/Turabian StylePorcu, Cristina, Noemi Pascale, Andrea Bellodi, Pierluigi Carbonara, Alessandro Cau, Riccardo Demurtas, Antonello Mulas, and Maria Cristina Follesa. 2025. "Characterizing the Norway Lobster Nephrops norvegicus (L., Homarida: Decapoda) Maturity of Males in the Mediterranean Sea: Morphological and Physiological Aspects" Animals 15, no. 23: 3478. https://doi.org/10.3390/ani15233478
APA StylePorcu, C., Pascale, N., Bellodi, A., Carbonara, P., Cau, A., Demurtas, R., Mulas, A., & Follesa, M. C. (2025). Characterizing the Norway Lobster Nephrops norvegicus (L., Homarida: Decapoda) Maturity of Males in the Mediterranean Sea: Morphological and Physiological Aspects. Animals, 15(23), 3478. https://doi.org/10.3390/ani15233478

