Morphological Analysis of Intratesticular Structures Affecting Hamster Testicular Stiffness
Simple Summary
Abstract
1. Introduction
2. Materials and Methods
2.1. Animals
2.2. Measurements of Testicular Weight, Size, and Stiffness
2.3. Tissue Processing
2.4. Evaluation of JS
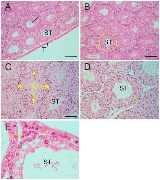
2.5. Observation and Morphological Evaluation
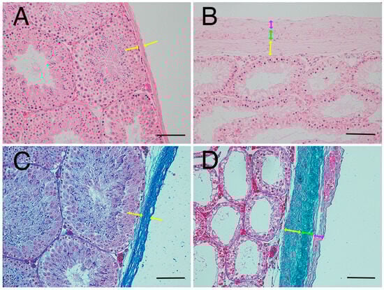
2.6. Measurement of Thickness of Testicular Tunica Albuginea
2.7. Measurement of Seminiferous Tubule Occupancy Rate in Testicular Tissues
2.8. Measurement of Diameter of Seminiferous Tubules
2.9. Measurement of Cell-Layer Thickness in the Seminiferous Tubules
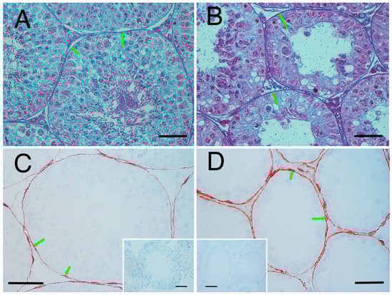
2.10. Measurement of the Thickness of the Peritubular Lamina Propria of the Seminiferous Tubules
2.11. Measurement of the Numbers of Leydig Cells
2.12. Azan Staining and Immunostaining
2.13. Statistical Analysis
3. Results
3.1. Testicular Weight
3.2. Testicular Size
3.3. Testicular Stiffness Value
3.4. JS
3.5. Sperm in Epididymides
3.6. Relationship Between JS and Stiffness Values
3.7. Thickness of Testicular Tunica Albuginea
3.8. Seminiferous Tubule Occupancy Rate in Testicular Tissues
3.9. Seminiferous Tubule Diameter
3.10. Thickness of Intraductal Cell Layers of the Seminiferous Tubule
3.11. Peritubular Lamina Propria Thickness of Seminiferous Tubule
3.12. Numbers of Leydig Cells
4. Discussion
5. Conclusions
Author Contributions
Funding
Institutional Review Board Statement
Informed Consent Statement
Data Availability Statement
Acknowledgments
Conflicts of Interest
Abbreviations
| JS | Johnsen score |
| ANOVA | Analysis of variance |
References
- Clermont, Y. Kinetics of spermatogenesis in mammals: Seminiferous epithelium cycle and spermatogonial renewal. Physiol. Rev. 1972, 52, 198–236. [Google Scholar] [CrossRef] [PubMed]
- Griswold, M.D. Spermatogenesis: The commitment to meiosis. Physiol. Rev. 2016, 96, 1–17. [Google Scholar] [CrossRef]
- Bedford, J.M. Effects of elevated temperature on the epididymis and testis: Experimental studies. Adv. Exp. Med. Biol. 1991, 286, 19–32. [Google Scholar] [CrossRef] [PubMed]
- Virtanen, H.E.; Cortes, D.; Rajpert-De Meyts, E.R.; Ritzén, E.M.; Nordenskjöld, A.; Skakkebaek, N.E.; Toppari, J. Development and descent of the testis in relation to cryptorchidism. Acta Paediatr. 2007, 96, 622–627. [Google Scholar] [CrossRef] [PubMed]
- Hutson, J.M. A biphasic model for the hormonal control of testicular descent. Lancet 1985, 2, 419–421. [Google Scholar] [CrossRef] [PubMed]
- Meistrich, M.L.; Shetty, G. Hormonal suppression for fertility preservation in males and females. Reproduction 2008, 136, 691–701. [Google Scholar] [CrossRef][Green Version]
- Hadziselmović, F.; Herzog, B.; Buser, M. Development of cryptorchid testes. Eur. J. Pediatr. 1987, 146, S8–S12. [Google Scholar] [CrossRef] [PubMed]
- Kollin, C.; Karpe, B.; Hesser, U.; Granholm, T.; Ritzén, E.M. Surgical treatment of unilaterally undescended testes: Testicular growth after randomization to orchiopexy at age 9 months or 3 years. J. Urol. 2007, 178 Pt 2, 1589–1593; discussion 1593. [Google Scholar] [CrossRef] [PubMed]
- Hoflack, G.; Van den Broeck, W.; Maes, D.; Van Damme, K.; Opsomer, G.; Duchateau, L.; de Kruif, A.; Rodriguez-Martinez, H.; Van Soom, A. Testicular dysfunction is responsible for low sperm quality in Belgian Blue bulls. Theriogenology 2008, 69, 323–332. [Google Scholar] [CrossRef]
- Dym, M.; Fawcett, D.W. The blood-testis barrier in the rat and the physiological compartmentation of the seminiferous epithelium. Biol. Reprod. 1970, 3, 308–326. [Google Scholar] [CrossRef]
- Silber, S.J.; Nagy, Z.; Devroey, P.; Tournaye, H.; Van Steirteghem, A.C. Distribution of spermatogenesis in the testicles of azoospermic men: The presence or absence of spermatids in the testes of men with germinal failure. Hum. Reprod. 1997, 12, 2422–2428. [Google Scholar] [CrossRef]
- Ogawa, K.; Tomizuka, D.; Yoshiike, M.; Nozawa, S.; Nakazawa, R.; Sato, Y.; Morikawa, Y.; Iwamoto, T.; Ohnishi, K. A new quantitative method for evaluating spermatogenesis based on measurements of the testis hardness: A study using a hamster model with experimental cryptorchidism. J. Jpn. Soc. Comput. Aided Surg. 2018, 20, 33–41. [Google Scholar] [CrossRef]
- Johnsen, S.G. Testicular biopsy score count—A method for registration of spermatogenesis in human testes: Normal values and results in 335 hypogonadal males. Hormones 1970, 1, 2–25. [Google Scholar] [CrossRef]
- Sato, Y.; Nozawa, S.; Iwamoto, T. Study of spermatogenesis and thickening of lamina propria in the human seminiferous tubules. Fertil. Steril. 2008, 90, 1310–1312. [Google Scholar] [CrossRef]
- Sato, Y.; Nozawa, S.; Yoshiike, M.; Otoi, T.; Iwamoto, T. Glycoconjugates recognized by peanut agglutinin lectin in the inner acellular layer of the lamina propria of seminiferous tubules in human testes showing impaired spermatogenesis. Hum. Reprod. 2012, 27, 659–668. [Google Scholar] [CrossRef] [PubMed]
- Weinbauer, G.F.; Nieschlag, E. Hormonal control of spermatogenesis. In The Physiology of Reproduction; Raven Press: New York, NY, USA, 1994; pp. 1335–1362. [Google Scholar]
- Intarapat, S.; Satayalai, O. Microanatomical study of embryonic gonadal development in Japanese Quail (Coturnix japonica). Anat. Res. Int. 2014, 2014, 168614. [Google Scholar] [CrossRef]
- van Haaster, L.H.; van Eerdenburg, F.J.; de Rooij, D.G. Effect of prenatal and postnatal photoperiod on spermatogenic development in the Djungarian hamster (Phodopus sungorus sungorus). J. Reprod. Fertil. 1993, 97, 223–232. [Google Scholar] [CrossRef] [PubMed][Green Version]
- Beccani, M.; Di Natali, C.D.; Sliker, L.J.; Schoen, J.A.; Rentschler, M.E.; Valdastri, P. Wireless tissue palpation for intraoperative detection of lumps in the soft tissue. IEEE Trans. Bio Med. Eng. 2014, 61, 353–361. [Google Scholar] [CrossRef] [PubMed]
- Cao, G.T.; Shi, P.F.; Hu, B. Liver fibrosis identification based on ultrasound images captured under varied imaging protocols. J. Zhejiang Univ. Sci. B 2005, 6, 1107–1114. [Google Scholar] [CrossRef][Green Version]
- Ogawa, K.; Uozumi, S.; Yu, K.; Wada, N.; Uraoka, T.; Shimojima, N.; Yahagi, N.; Kitagawa, Y.; Ohnishi, K. A method of bio-tissue hardness measurement by force sensor-less organ palpation device. J. Jpn. Soc. Comput. Aided Surg. 2015, 17, 91–100. [Google Scholar] [CrossRef]
- Ophir, J.; Céspedes, I.; Ponnekanti, H.; Yazdi, Y.; Li, X. Elastography: A quantitative method for imaging the elasticity of biological tissues. Ultrason. Imaging 1991, 13, 111–134. [Google Scholar] [CrossRef]
- Matsuzuka, T.; Suzuki, M.; Saijo, S.; Ikeda, M.; Matsui, T.; Nomoto, Y.; Nomoto, M.; Imaizumi, M.; Tada, Y.; Omori, K. Stiffness of salivary gland and tumor measured by new ultrasonic techniques: Virtual touch quantification and IQ. Auris Nasus Larynx 2015, 42, 128–133. [Google Scholar] [CrossRef]
- Nakamura, M.; Ikezoe, T.; Kobayashi, T.; Umegaki, H.; Takeno, Y.; Nishishita, S.; Ichihashi, N. Acute effects of static stretching on muscle hardness of the medial gastrocnemius muscle belly in humans: An ultrasonic shear-wave elastography study. Ultrasound Med. Biol. 2014, 40, 1991–1997. [Google Scholar] [CrossRef] [PubMed]
- Fang, C.; Virdee, S.; Jacob, J.; Rufai, O.; Agarwal, K.; Quaglia, A.; Quinlan, D.J.; Sidhu, P.S. Strain elastography for noninvasive assessment of liver fibrosis: A prospective study with histological comparison. Ultrasound 2019, 27, 262–271. [Google Scholar] [CrossRef] [PubMed]
- Zeng, B.; Chen, F.; Qiu, S.; Luo, Y.; Zhu, Z.; Chen, R.; Mao, L. Application of quasistatic ultrasound elastography for examination of scrotal lesions. J. Ultrasound Med. 2016, 35, 253–261. [Google Scholar] [CrossRef] [PubMed]
- Baleato-Gonzalez, S.; Osorio-Vazquez, I.; Flores-Ríos, E.; Santiago-Pérez, M.I.; Laguna-Reyes, J.P.; Garcia-Figueiras, R. Testicular evaluation using shear wave elastography (SWE) in patients with varicocele. J. Imaging 2023, 9, 166. [Google Scholar] [CrossRef]
- Gołyński, M.; Dębiak, P.; Gołyńska, M.; Myśliwiec, E.; Szkodziak, P.; Kalisz, G.; Śmiech, A.; Lutnicki, K.; Szczepanik, M. Elastographic and morphological testicular changes in hypothyroidism—An experimental study. J. Vet. Res. 2018, 62, 347–352. [Google Scholar] [CrossRef]
- Gloria, A.; Bracco, C.; Di Francesco, L.D.; Marruchella, G.; Contri, A. Stiffness estimated by strain elastography reflects canine testicular spermatogenesis and histology. Theriogenology 2023, 209, 1–8. [Google Scholar] [CrossRef]
- Nightingale, K.R.; Soo, M.S.; Nightingale, R.; Trahey, G.E. Acoustic radiation force impulse imaging: In vivo demonstration of clinical feasibility. Ultrasound Med. Biol. 2002, 28, 227–235. [Google Scholar] [CrossRef]
- Arda, K.; Ciledag, N.; Aktas, E.; Aribas, B.K.; Köse, K. Quantitative assessment of normal soft-tissue elasticity using shear-wave ultrasound elastography. AJR Am. J. Roentgenol. 2011, 197, 532–536. [Google Scholar] [CrossRef]
- Mowaad, N.A.; Asaad, G.F.; El-Shamarka, M.E.A.; Khalil, S. Cross-talk between down-regulation of steroidogenic genes expression and oxidative and apoptotic biomarkers in testes induced by administration of tramadol and Boldenone and their combination in male albino rats. Iran. J. Basic Med. Sci. 2022, 25, 808–815. [Google Scholar] [CrossRef]
- Davidoff, M.S.; Breucker, H.; Holstein, A.F.; Seidl, K. Cellular architecture of the lamina propria of human seminiferous tubules. Cell Tissue Res. 1990, 262, 253–261. [Google Scholar] [CrossRef]
- Seco-Rovira, V.; Martínez-Hernández, J.; Freire-Brito, L.; Beltrán-Frutos, E.; Madrid, J.F.; Pastor, L.M. Gradual thickening of the peritubular lamina propria in healthy boar seminiferous tubules due to cryptorchidism: Increased immunoexpression of diverse proteins in Sertoli and myoid cells. Animals 2025, 15, 1696. [Google Scholar] [CrossRef] [PubMed]
- Devkota, B.; Sasaki, M.; Takahashi, K.I.; Matsuzaki, S.; Matsui, M.; Haneda, S.; Takahashi, M.; Osawa, T.; Miyake, Y.I. Postnatal developmental changes in immunohistochemical localization of alpha-smooth muscle actin (SMA) and vimentin in bovine testes. J. Reprod. Dev. 2006, 52, 43–49. [Google Scholar] [CrossRef] [PubMed][Green Version]
- Gotoh, M.; Miyake, K.; Mitsuya, H. Leydig cell hyperplasia in cryptorchid patients: Quantitative evaluation of Leydig cells in undescended and contralateral scrotal testes. Urol. Res. 1984, 12, 159–164. [Google Scholar] [CrossRef] [PubMed]
- Borges, E., Jr.; Zanetti, B.F.; Braga, D.P.A.F.; Setti, A.S.; Figueira, R.C.S.; Nardi, A.C.; Iaconelli, A., Jr. Overcoming male factor infertility with intracytoplasmic sperm injection. Rev. Assoc. Med. Bras. 2017, 63, 697–703. [Google Scholar] [CrossRef]
- Franco, G.; Scarselli, F.; Casciani, V.; De Nunzio, C.; Dente, D.; Leonardo, C.; Greco, P.F.; Greco, A.; Minasi, M.G.; Greco, E. A novel stepwise micro-TESE approach in non obstructive azoospermia. BMC Urol. 2016, 16, 20. [Google Scholar] [CrossRef]
- Schlegel, P.N. Testicular sperm extraction: Microdissection improves sperm yield with minimal tissue excision. Hum. Reprod. 1999, 14, 131–135. [Google Scholar] [CrossRef]
- Schlegel, P.N. Nonobstructive azoospermia: A revolutionary surgical approach and results. Semin. Reprod. Med. 2009, 27, 165–170. [Google Scholar] [CrossRef]
- Turek, P.J.; Ljung, B.M.; Cha, I.; Conaghan, J. Diagnostic findings from testis fine needle aspiration mapping in obstructed and nonobstructed azoospermic men. J. Urol. 2000, 163, 1709–1716. [Google Scholar] [CrossRef]
- Beliveau, M.E.; Turek, P.J. The value of testicular “mapping” in men with non-obstructive azoospermia. Asian J. Androl. 2011, 13, 225–230. [Google Scholar] [CrossRef]
- Trost, L.W.; Nehra, A. Guideline-based management of male infertility: Why do we need it? Indian J. Urol. 2011, 27, 49–57. [Google Scholar] [CrossRef] [PubMed]
- Arenas, M.I.; Bethencourt, F.R.; De Miguel, M.P.; Fraile, B.; Romo, E.; Paniagua, R. Immunocytochemical and quantitative study of actin, desmin and vimentin in the peritubular cells of the testes from elderly men. J. Reprod. Fertil. 1997, 110, 183–193. [Google Scholar] [CrossRef] [PubMed][Green Version]
- Pop, O.T.; Cotoi, C.G.; Pleşea, I.E.; Gherghiceanu, M.; Enache, S.D.; Mandache, E.; Hortopan, G.; Pleşea, R.M. Histological and ultrastructural analysis of the seminiferous tubule wall in ageing testis. Rom. J. Morphol. Embryol. 2011, 52 (Suppl. 1), 241–248. [Google Scholar] [PubMed]
- Schulze, C. Response of the human testis to long-term estrogen treatment: Morphology of Sertoli cells, Leydig cells and spermatogonial stem cells. Cell Tissue Res. 1988, 251, 31–43. [Google Scholar] [CrossRef]









| Parameter | Crypt Operation Group (n = 16) | Sham Operation Group (n = 15) | Normal Group (n = 12) | |||
|---|---|---|---|---|---|---|
| mean ± SD | Range | Mean ± SD | Range | Mean ± SD | Range | |
| Weight (mg) | 0.61 ± 0.12 a | 0.42–0.89 | 1.86 ± 0.15 b | 1.52–2.08 | 1.83 ± 0.23 b | 1.15–2.05 |
| Testicular size: | ||||||
| Long diameter (mm) | 15.2 ± 1.22 a | 13–18 | 20.9 ± 0.80 b | 19–22 | 20.92 ± 0.70 b | 20–22 |
| Short diameter (mm) | 10.4 ± 1.15 a | 8–13 | 14.7 ± 0.70 b | 14–16 | 14.58 ± 0.70 b | 14–16 |
| Stiffness (µN/µm) | 0.40 ± 0.13 a | 0.24–0.68 | 1.46 ± 0.31 b | 1.01–2.00 | 1.39 ± 0.25 b | 0.92–1.99 |
| Johnsen score | 4.08 ± 0.71 a | 2.93–5.43 | 6.96 ± 0.04 b | 6.9–7.0 | 6.94 ± 0.05 b | 6.85–7.0 |
| Thickness of tunica albuginea (µm) | 82.59 ± 24.73 a | 48.65–125.15 | 25.91 ± 12.81 b | 14.87–63.94 | 30.67 ± 10.82 b | 15.98–50.48 |
| Seminiferous tubule occupancy (%) | 82.57 ± 89.24 a | 64.30–89.24 | 93.32 ± 2.23 b | 89.85–97.80 | 93.69 ± 1.77 b | 89.50–95.64 |
| Seminiferous tubule diameter (µm) | 165.67 ± 19.94 a | 132.59–212.27 | 267.49 ± 14.19 b | 246.48–294.33 | 267.49 ± 14.19 b | 234.66–296.99 |
| Thickness of intraductal cell layer (µm) | 34.59 ± 9.61 a | 18.41–51.35 | 75.57 ± 10.25 b | 56.31–92.32 | 84.37 ± 5.40 c | 75.49–91.51 |
| Thickness of peritubular lamina propria (µm) | 1.67 ± 0.16 a | 1.25–1.87 | 1.14 ± 0.08 b | 1.05–1.32 | 1.06 ± 0.06 b | 0.96–1.15 |
| Numbers of Leydig cells | 85.54 ± 17.81 a | 60.2–113 | 23.76 ± 4.14 b | 18.8–27.6 | 25.46 ± 6.33 b | 16.4–37 |
Disclaimer/Publisher’s Note: The statements, opinions and data contained in all publications are solely those of the individual author(s) and contributor(s) and not of MDPI and/or the editor(s). MDPI and/or the editor(s) disclaim responsibility for any injury to people or property resulting from any ideas, methods, instructions or products referred to in the content. |
© 2025 by the authors. Licensee MDPI, Basel, Switzerland. This article is an open access article distributed under the terms and conditions of the Creative Commons Attribution (CC BY) license (https://creativecommons.org/licenses/by/4.0/).
Share and Cite
Hagino, S.; Sato, Y.; Yoshiike, M.; Nozawa, S.; Ogawa, K.; Tomizuka, D.; Kinebuchi, A.; Tamakuma, Y.; Ohnishi, K.; Otoi, T.; et al. Morphological Analysis of Intratesticular Structures Affecting Hamster Testicular Stiffness. Animals 2025, 15, 2999. https://doi.org/10.3390/ani15202999
Hagino S, Sato Y, Yoshiike M, Nozawa S, Ogawa K, Tomizuka D, Kinebuchi A, Tamakuma Y, Ohnishi K, Otoi T, et al. Morphological Analysis of Intratesticular Structures Affecting Hamster Testicular Stiffness. Animals. 2025; 15(20):2999. https://doi.org/10.3390/ani15202999
Chicago/Turabian StyleHagino, Shiki, Yoko Sato, Miki Yoshiike, Shiari Nozawa, Kenji Ogawa, Daisuke Tomizuka, Akane Kinebuchi, Yuna Tamakuma, Kohei Ohnishi, Takeshige Otoi, and et al. 2025. "Morphological Analysis of Intratesticular Structures Affecting Hamster Testicular Stiffness" Animals 15, no. 20: 2999. https://doi.org/10.3390/ani15202999
APA StyleHagino, S., Sato, Y., Yoshiike, M., Nozawa, S., Ogawa, K., Tomizuka, D., Kinebuchi, A., Tamakuma, Y., Ohnishi, K., Otoi, T., Taniguchi, M., & Iwamoto, T. (2025). Morphological Analysis of Intratesticular Structures Affecting Hamster Testicular Stiffness. Animals, 15(20), 2999. https://doi.org/10.3390/ani15202999

