Identification of Molecular Profile of Ear Fibroblasts Derived from Spindle-Transferred Holstein Cattle with Ooplasts from Taiwan Yellow Cattle under Heat Stress
Abstract
Simple Summary
Abstract
1. Introduction
2. Materials and Methods
2.1. Animals
2.2. Preparation of Ear Fibroblasts and Culture
2.3. Ear Fibroblast Heat Shock Treatment
2.4. Evaluation of Thermotolerance of Ear Fibroblasts
2.4.1. Analysis of Protein Expression Types
Sample Preparation
Analysis of Protein Expression Types Utilizing Liquid Chromatography–Mass Spectrometry (LC-MS/MS)
Selection of Candidate Genes and Proteins
2.4.2. Analysis of the Relative Gene Expression Levels Utilizing RT-PCR
2.4.3. Detection of Relative Expression of Proteins
Western Blotting
Enzyme-Linked Immunosorbent Assay (ELISA)
2.5. Experimental Designs
2.5.1. Evaluation of the Protein Profiles of Heat-Shocked Bovine Ear Fibroblasts from Cattle with Different Cytoplasmic Origins
2.5.2. Effects of Heat Shock Treatment on the Expression of Apoptosis-Related Factors in Bovine Ear Fibroblasts with Different Cytoplasmic Origins
2.5.3. Effects of Heat Shock Treatment on the Expression of Electron Transport Chain-Related Factors in Bovine Ear Fibroblasts with Different Cytoplasmic Origins
2.6. Statistical Analysis
3. Results
3.1. Evaluation of the Protein Profiles of Heat-Shocked Bovine Ear Fibroblasts from Cattle with Different Cytoplasmic Origins
3.2. Effects of Heat Shock Treatment on the Expression of Apoptosis-Related Factors in Bovine Ear Fibroblasts with Different Cytoplasmic Origins
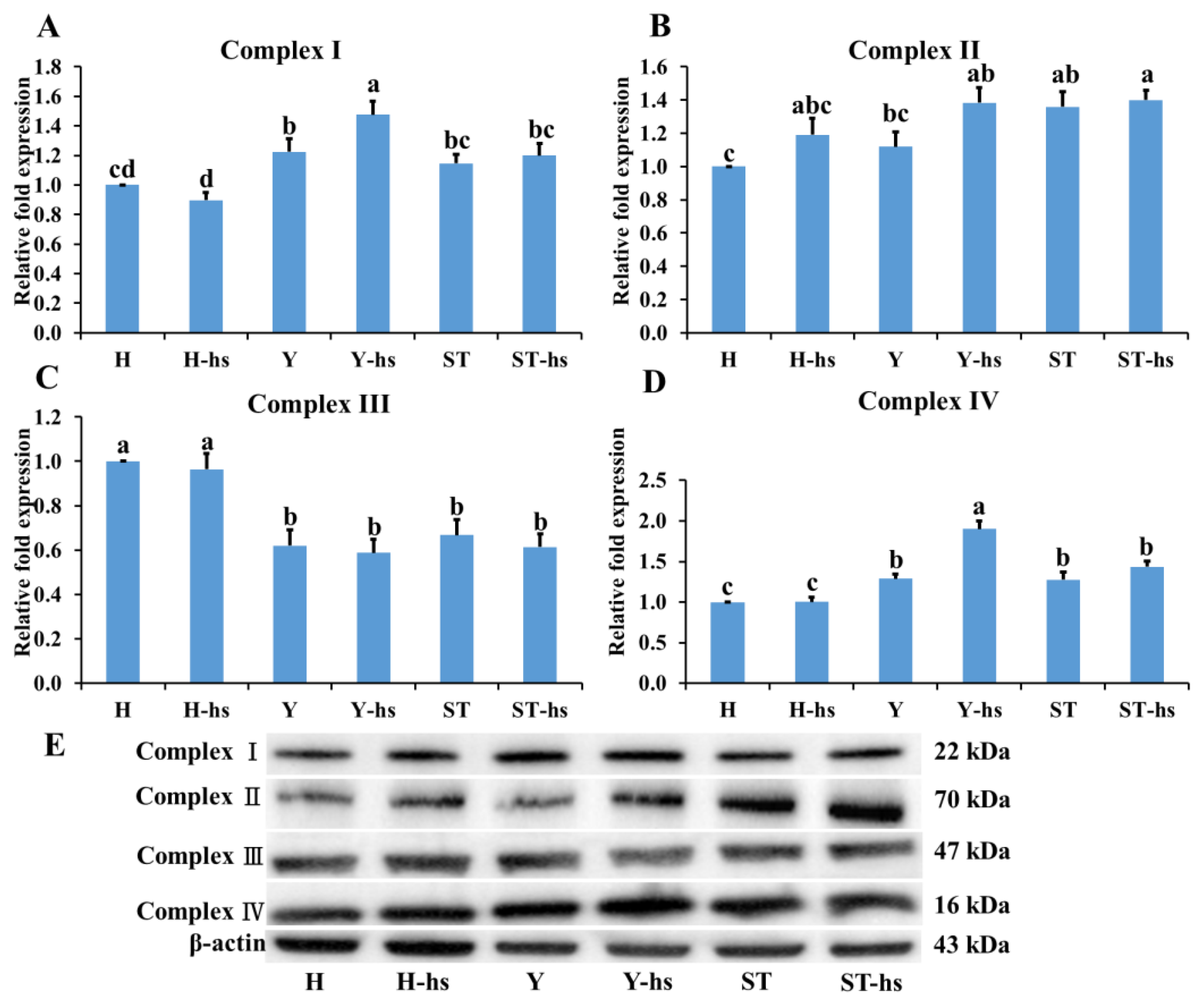
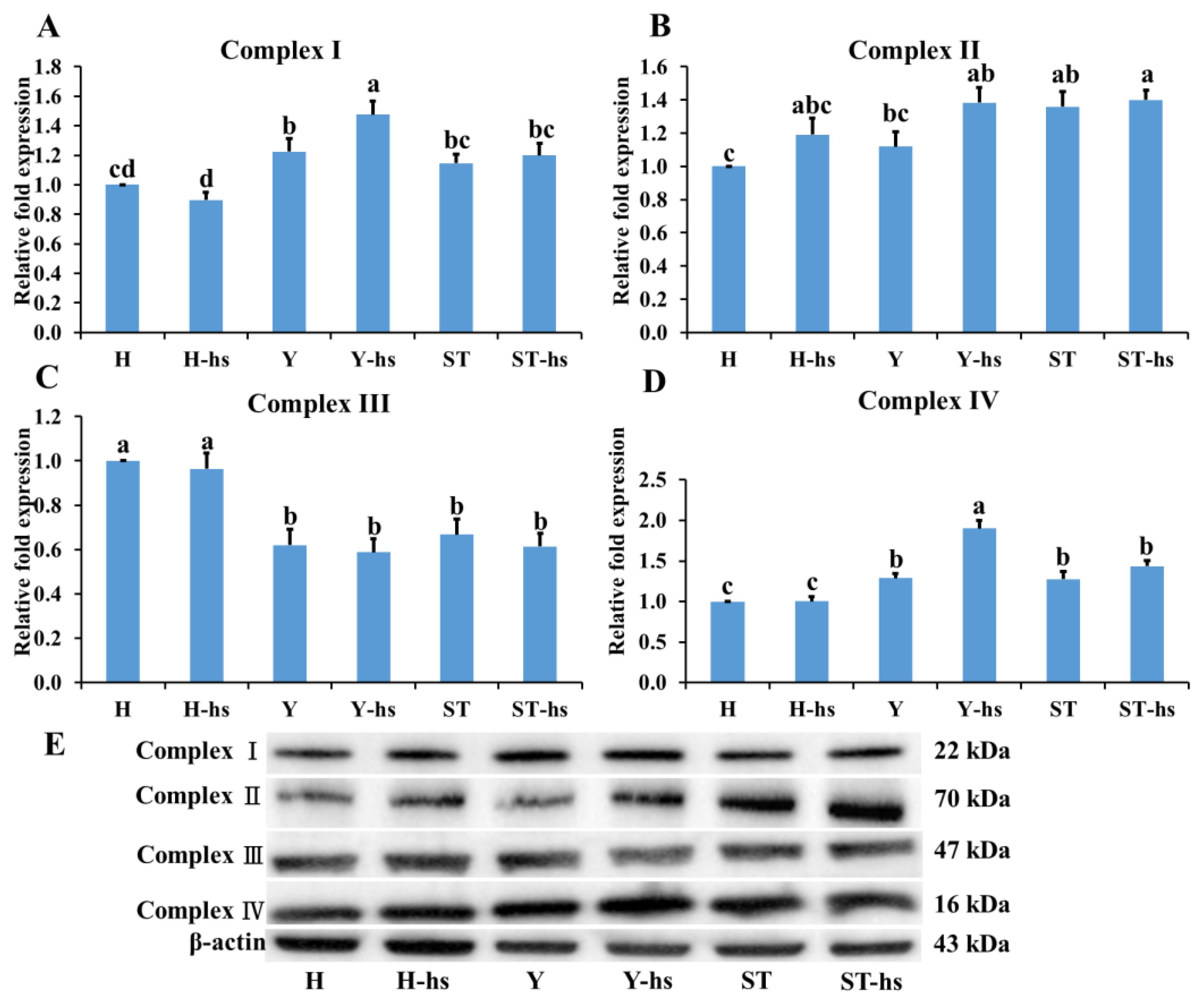
3.3. Effects of Heat Shock Treatment on the Expression of Electron Transport Chain-Related Factors in Bovine Ear Fibroblasts with Different Cytoplasmic Origins
4. Discussion
5. Conclusions
Supplementary Materials
Author Contributions
Funding
Institutional Review Board Statement
Informed Consent Statement
Data Availability Statement
Conflicts of Interest
References
- Kamwanja, L.A.; Chase, C.C.; Gutierrez, J.A.; Guerriero, V.; Olson, T.A.; Hammond, A.C.; Hansen, P.J. Responses of Bovine Lymphocytes to Heat Shock as Modified by Breed and Antioxidant Status. J. Anim. Sci. 1994, 72, 438–444. [Google Scholar] [CrossRef] [PubMed]
- Gaughan, J.B.; Mader, T.L.; Holt, S.M.; Josey, M.J.; Rowan, K.J. Heat Tolerance of Boran and Tuli Crossbred Steers. J. Anim. Sci. 1999, 77, 2398–2405. [Google Scholar] [CrossRef] [PubMed]
- Wu, H.Y.; Peng, S.Y.; Li, H.; Lee, J.W.; Kesorn, P.; Wu, H.H.; Ju, J.C.; Shen, P.C. Ear Fibroblasts Derived from Taiwan Yellow Cattle Are More Heat Resistant than Those from Holstein Cattle. J. Therm. Biol. 2017, 66, 56–62. [Google Scholar] [CrossRef] [PubMed]
- Malayer, J.R.; Hansen, P.J. Differences between Brahman and Holstein Cows in Heat-Shock Induced Alterations of Protein Synthesis and Secretion by Oviducts and Uterine Endometrium. J. Anim. Sci. 1990, 68, 266–280. [Google Scholar] [CrossRef] [PubMed]
- Hansen, P.J. Physiological and Cellular Adaptations of Zebu Cattle to Thermal Stress. Anim. Reprod. Sci. 2004, 82–83, 349–360. [Google Scholar] [CrossRef] [PubMed]
- Hoffmann, I. Climate Change and the Characterization, Breeding and Conservation of Animal Genetic Resources. Anim. Genet. 2010, 41 (Suppl. S1), 32–46. [Google Scholar] [CrossRef] [PubMed]
- Badinga, L.; Thatcher, W.W.; Wilcox, C.J.; Morris, G.; Entwistle, K.; Wolfenson, D. Effect of Season on Follicular Dynamics and Plasma Concentrations of Estradiol-17β, Progesterone and Luteinizing Hormone in Lactating Holstein Cows. Theriogenology 1994, 42, 1263–1274. [Google Scholar] [CrossRef]
- Collier, R.J.; Dahl, G.E.; VanBaale, M.J. Major Advances Associated with Environmental Effects on Dairy Cattle. J. Dairy Sci. 2006, 89, 1244–1253. [Google Scholar] [CrossRef] [PubMed]
- Schüller, L.K.; Burfeind, O.; Heuwieser, W. Impact of Heat Stress on Conception Rate of Dairy Cows in the Moderate Climate Considering Different Temperature-Humidity Index Thresholds, Periods Relative to Breeding, and Heat Load Indices. Theriogenology 2014, 81, 1050–1057. [Google Scholar] [CrossRef]
- Silanikove, N.; Shapiro, F.; Shinder, D. Acute Heat Stress Brings down Milk Secretion in Dairy Cows by Up-Regulating the Activity of the Milk-Borne Negative Feedback Regulatory System. BMC Physiol. 2009, 9, 13. [Google Scholar] [CrossRef]
- Bernabucci, U.; Lacetera, N.; Baumgard, L.H.; Rhoads, R.P.; Ronchi, B.; Nardone, A. Metabolic and Hormonal Acclimation to Heat Stress in Domesticated Ruminants. Animal 2010, 4, 1167–1183. [Google Scholar] [CrossRef] [PubMed]
- Lakshmi, B.S.; Gupta, B.R.; Prakash, M.G.; Sudhakar, K.; Susheel Sharma, S.S. Genetic analysis of the production performance of Frieswal cattle. Tamilnadu J. Vet. Anim. Sciences 2010, 6, 215–222. [Google Scholar]
- Laguna, J.G.; Cardoso, M.S.; Lima, J.A.; Reis, R.B.; Carvalho, A.U.; Saturnino, H.M.; Teixeira, S.M.R. Expression of Hepatic Genes Related to Energy Metabolism during the Transition Period of Holstein and F1 Holstein-Gir Cows. J. Dairy Sci. 2017, 100, 9861–9870. [Google Scholar] [CrossRef] [PubMed]
- Santos, S.A.; de Campos Valadares Filho, S.; Detmann, E.; Valadares, R.F.D.; de Mendes Ruas, J.R.; Prados, L.F.; da Silva Menchaca Vega, D. Voluntary Intake and Milk Production in F1 Holstein × Zebu Cows in Confinement. Trop. Anim. Health Prod. 2012, 44, 1303–1310. [Google Scholar] [CrossRef] [PubMed]
- Sailo, L.; Gupta, I.; Das, R.; Chaudhari, M.V. Physiological Response to Thermal Stress in Sahiwal and Karan Fries Cows. Int. J. Livest. Res. 2017, 7, 275. [Google Scholar] [CrossRef]
- Block, J.; Chase, C.C.; Hansen, P.J. Inheritance of Resistance of Bovine Preimplantation Embryos to Heat Shock: Relative Importance of the Maternal versus Paternal Contribution. Mol. Reprod. Dev. 2002, 63, 32–37. [Google Scholar] [CrossRef] [PubMed]
- Eberhardt, B.G.; Satrapa, R.A.; Capinzaiki, C.R.L.; Trinca, L.A.; Barros, C.M. Influence of the Breed of Bull (Bos Taurus Indicus vs. Bos Taurus Taurus) and the Breed of Cow (Bos Taurus Indicus, Bos Taurus Taurus and Crossbred) on the Resistance of Bovine Embryos to Heat. Anim. Reprod. Sci. 2009, 114, 54–61. [Google Scholar] [CrossRef]
- Shen, P.C.; Lee, J.W.; Cheng, W.T.K.; Su, H.Y.; Lee, S.N.; Liu, B.T.; Wang, C.H.; Chen, L.R.; Ju, J.C. Differential Thermal Sensitivity between the Recipient Ooplasm and the Donor Nucleus in Holstein and Taiwan Native Yellow Cattle. Theriogenology 2010, 74, 1587–1595. [Google Scholar] [CrossRef] [PubMed]
- Lee, J.W.; Li, H.; Wu, H.Y.; Liu, S.S.; Shen, P.C. Improved Cellular Thermotolerance in Cloned Holstein Cattle Derived with Cytoplasts from a Thermotolerant Breed. Theriogenology 2016, 85, 709–717. [Google Scholar] [CrossRef]
- Kesorn, P.; Lee, J.W.; Wu, H.Y.; Ju, J.C.; Peng, S.Y.; Liu, S.S.; Wu, H.H.; Shen, P.C. Cellular Thermotolerance Is Inheritable from Holstein Cattle Cloned with Ooplasts of Taiwan Native Yellow Cattle. Theriogenology 2017, 88, 244–253. [Google Scholar] [CrossRef]
- Xue, F.; Tian, X.C.; Du, F.; Kubota, C.; Taneja, M.; Dinnyes, A.; Dai, Y.; Levine, H.; Pereira, L.V.; Yang, X. Aberrant Patterns of X Chromosome Inactivation in Bovine Clones. Nat. Genet. 2002, 31, 216–220. [Google Scholar] [CrossRef] [PubMed]
- Lee, Y.J.; Lin, W.; Peng, S.Y.; Lee, J.W.; Lin, Y.H.; Yu, C.; Shen, P.C. Effects of Intracytoplasmic Sperm Injection Timing and Fertilization Methods on the Development of Bovine Spindle Transferred Embryos. Theriogenology 2022, 180, 63–71. [Google Scholar] [CrossRef] [PubMed]
- Käll, L.; Canterbury, J.D.; Weston, J.; Noble, W.S.; MacCoss, M.J. Semi-Supervised Learning for Peptide Identification from Shotgun Proteomics Datasets. Nat. Methods 2007, 4, 923–925. [Google Scholar] [CrossRef] [PubMed]
- Spivak, M.; Weston, J.; Bottou, L.; Käll, L.; Noble, W.S. Improvements to the Percolator Algorithm for Peptide Identification from Shotgun Proteomics Data Sets. J. Proteome Res. 2009, 8, 3737–3745. [Google Scholar] [CrossRef] [PubMed]
- Mathy-Hartert, M.; Hogge, L.; Sanchez, C.; Deby-Dupont, G.; Crielaard, J.M.; Henrotin, Y. Interleukin-1beta and Interleukin-6 Disturb the Antioxidant Enzyme System in Bovine Chondrocytes: A Possible Explanation for Oxidative Stress Generation. Osteoarthr. Cartil. 2008, 16, 756–763. [Google Scholar] [CrossRef] [PubMed]
- Arya, R.; Mallik, M.; Lakhotia, S.C. Heat Shock Genes—Integrating Cell Survival and Death. J. Biosci. 2007, 32, 595–610. [Google Scholar] [CrossRef] [PubMed]
- Kumar, A.; Ashraf, S.; Goud, T.S.; Grewal, A.; Singh, S.V.; Yadav, B.R.; Upadhyay, R.C. Expression Profiling of Major Heat Shock Protein Genes during Different Seasons in Cattle (Bos Indicus) and Buffalo (Bubalus Bubalis) under Tropical Climatic Condition. J. Therm. Biol. 2015, 51, 55–64. [Google Scholar] [CrossRef]
- Westermann, B. Mitochondrial Dynamics in Model Organisms: What Yeasts, Worms and Flies Have Taught Us about Fusion and Fission of Mitochondria. Semin. Cell Dev. Biol. 2010, 21, 542–549. [Google Scholar] [CrossRef] [PubMed]
- Youle, R.J.; van der Bliek, A.M. Mitochondrial Fission, Fusion, and Stress. Science 2012, 337, 1062–1065. [Google Scholar] [CrossRef]
- Yang, L.; Tan, G.Y.; Fu, Y.Q.; Feng, J.H.; Zhang, M.H. Effects of Acute Heat Stress and Subsequent Stress Removal on Function of Hepatic Mitochondrial Respiration, ROS Production and Lipid Peroxidation in Broiler Chickens. Comp. Biochem. Physiol. C Toxicol. Pharmacol. 2010, 151, 204–208. [Google Scholar] [CrossRef]
- Liu, C.T.; Brooks, G.A. Mild Heat Stress Induces Mitochondrial Biogenesis in C2C12 Myotubes. J. Appl. Physiol. 2012, 112, 354–361. [Google Scholar] [CrossRef] [PubMed]
- Budihardjo, I.; Oliver, H.; Lutter, M.; Luo, X.; Wang, X. Biochemical Pathways of Caspase Activation during Apoptosis. Annu. Rev. Cell Dev. Biol. 1999, 15, 269–290. [Google Scholar] [CrossRef] [PubMed]
- Wang, J.H.; Redmond, H.P.; Watson, R.W.; Bouchier-Hayes, D. Induction of Human Endothelial Cell Apoptosis Requires Both Heat Shock and Oxidative Stress Responses. Am. J. Physiol. 1997, 272, C1543–C1551. [Google Scholar] [CrossRef] [PubMed]
- Nagdas, S.; Kashatus, D.F. The Interplay between Oncogenic Signaling Networks and Mitochondrial Dynamics. Antioxidants 2017, 6, 33. [Google Scholar] [CrossRef]
- Ježek, J.; Cooper, K.F.; Strich, R. Reactive Oxygen Species and Mitochondrial Dynamics: The Yin and Yang of Mitochondrial Dysfunction and Cancer Progression. Antioxidants 2018, 7, 13. [Google Scholar] [CrossRef] [PubMed]
- Elmore, S. Apoptosis: A Review of Programmed Cell Death. Toxicol. Pathol. 2007, 35, 495–516. [Google Scholar] [CrossRef]
- Slee, E.A.; Adrain, C.; Martin, S.J. Executioner Caspase-3, -6, and -7 Perform Distinct, Non-Redundant Roles during the Demolition Phase of Apoptosis. J. Biol. Chem. 2001, 276, 7320–7326. [Google Scholar] [CrossRef] [PubMed]
- Guérin, P.; El Mouatassim, S.; Ménézo, Y. Oxidative Stress and Protection against Reactive Oxygen Species in the Pre-Implantation Embryo and Its Surroundings. Hum. Reprod. Update 2001, 7, 175–189. [Google Scholar] [CrossRef] [PubMed]
- Hancock, J.T.; Desikan, R.; Neill, S.J. Role of Reactive Oxygen Species in Cell Signalling Pathways. Biochem. Soc. Trans. 2001, 29, 345–350. [Google Scholar] [CrossRef]
- Belhadj Slimen, I.; Najar, T.; Ghram, A.; Abdrrabba, M. Heat Stress Effects on Livestock: Molecular, Cellular and Metabolic Aspects, a Review. J. Anim. Physiol. Anim. Nutr. 2016, 100, 401–412. [Google Scholar] [CrossRef]
- Kesorn, P.; Shen, P.C.; Wu, H.Y.; Ju, J.C.; Liu, S.S.; Wu, H.H.; Lee, J.W.; Peng, S.Y. Effects of Cytoplasts from Taiwan Native Yellow Cattle on the Cellular Antioxidant Ability of Cloned Holstein Cattle and Their Offspring. Theriogenology 2017, 103, 76–82. [Google Scholar] [CrossRef] [PubMed]
- Sammut, I.A.; Jayakumar, J.; Latif, N.; Rothery, S.; Severs, N.J.; Smolenski, R.T.; Bates, T.E.; Yacoub, M.H. Heat Stress Contributes to the Enhancement of Cardiac Mitochondrial Complex Activity. Am. J. Pathol. 2001, 158, 1821–1831. [Google Scholar] [CrossRef] [PubMed]
- Balaban, R.S.; Nemoto, S.; Finkel, T. Mitochondria, Oxidants, and Aging. Cell 2005, 120, 483–495. [Google Scholar] [CrossRef]
- Li, C.; Chen, J.; Li, Y.; Wu, B.; Ye, Z.; Tian, X.; Wei, Y.; Hao, Z.; Pan, Y.; Zhou, H.; et al. 6-Phosphogluconolactonase Promotes Hepatocellular Carcinogenesis by Activating Pentose Phosphate Pathway. Front. Cell Dev. Biol. 2021, 9, 753196. [Google Scholar] [CrossRef]
- Singh, A.K.; Upadhyay, R.C.; Malakar, D.; Kumar, S.; Singh, S.V. Effect of Thermal Stress on HSP70 Expression in Dermal Fibroblast of Zebu (Tharparkar) and Crossbred (Karan-Fries) Cattle. J. Therm. Biol. 2014, 43, 46–53. [Google Scholar] [CrossRef]
- Namekawa, T.; Ikeda, S.; Sugimoto, M.; Kume, S. Effects of Astaxanthin-Containing Oil on Development and Stress-Related Gene Expression of Bovine Embryos Exposed to Heat Stress. Reprod. Domest. Anim. 2010, 45, e387–e391. [Google Scholar] [CrossRef]
- Sakatani, M.; Balboula, A.Z.; Yamanaka, K.; Takahashi, M. Effect of Summer Heat Environment on Body Temperature, Estrous Cycles and Blood Antioxidant Levels in Japanese Black Cow. Anim. Sci. J. 2012, 83, 394–402. [Google Scholar] [CrossRef] [PubMed]
- Aengwanich, W.; Kongbuntad, W.; Boonsorn, T. Effects of Shade on Physiological Changes, Oxidative Stress, and Total Antioxidant Power in Thai Brahman Cattle. Int. J. Biometeorol. 2011, 55, 741–748. [Google Scholar] [CrossRef]
- Waiz, S.A.; Raies-Ul-Haq, M.; Dhanda, S.; Kumar, A.; Goud, T.S.; Chauhan, M.S.; Upadhyay, R.C. Heat Stress and Antioxidant Enzyme Activity in Bubaline (Bubalus Bubalis) Oocytes during in Vitro Maturation. Int. J. Biometeorol. 2016, 60, 1357–1366. [Google Scholar] [CrossRef]







| Genes | Primer Sequence (5′-3′) | Size (bp) |
|---|---|---|
| GPX1 | F: CAGATGAATGACCTGCAGCG R: GACGTACTTCAGGCAATTCAGGAT | 126 |
| CRELD2 | F: GTGCTCCGACTGCATGGAC R: CGCAGTCCCTGTTGGTGG | 116 |
| PRKCQ | F: AGGATGAAGAGGAGCTTTTCCA R: CGCTTCTCAGGCTCTCTTACG | 118 |
| GAPDH | F: AGTGGACATCGTCGCCATC R: CGTTCTCTGCCTTGACTGTGC | 113 |
Disclaimer/Publisher’s Note: The statements, opinions and data contained in all publications are solely those of the individual author(s) and contributor(s) and not of MDPI and/or the editor(s). MDPI and/or the editor(s) disclaim responsibility for any injury to people or property resulting from any ideas, methods, instructions or products referred to in the content. |
© 2024 by the authors. Licensee MDPI, Basel, Switzerland. This article is an open access article distributed under the terms and conditions of the Creative Commons Attribution (CC BY) license (https://creativecommons.org/licenses/by/4.0/).
Share and Cite
Lee, Y.-J.; Lee, J.-W.; Huang, C.-W.; Yang, K.-T.; Peng, S.-Y.; Yu, C.; Lee, Y.-H.; Lai, I.-L.; Shen, P.-C. Identification of Molecular Profile of Ear Fibroblasts Derived from Spindle-Transferred Holstein Cattle with Ooplasts from Taiwan Yellow Cattle under Heat Stress. Animals 2024, 14, 1371. https://doi.org/10.3390/ani14091371
Lee Y-J, Lee J-W, Huang C-W, Yang K-T, Peng S-Y, Yu C, Lee Y-H, Lai I-L, Shen P-C. Identification of Molecular Profile of Ear Fibroblasts Derived from Spindle-Transferred Holstein Cattle with Ooplasts from Taiwan Yellow Cattle under Heat Stress. Animals. 2024; 14(9):1371. https://doi.org/10.3390/ani14091371
Chicago/Turabian StyleLee, Yu-Ju, Jai-Wei Lee, Chao-Wei Huang, Kuo-Tai Yang, Shao-Yu Peng, Chi Yu, Yen-Hua Lee, I-Ling Lai, and Perng-Chih Shen. 2024. "Identification of Molecular Profile of Ear Fibroblasts Derived from Spindle-Transferred Holstein Cattle with Ooplasts from Taiwan Yellow Cattle under Heat Stress" Animals 14, no. 9: 1371. https://doi.org/10.3390/ani14091371
APA StyleLee, Y.-J., Lee, J.-W., Huang, C.-W., Yang, K.-T., Peng, S.-Y., Yu, C., Lee, Y.-H., Lai, I.-L., & Shen, P.-C. (2024). Identification of Molecular Profile of Ear Fibroblasts Derived from Spindle-Transferred Holstein Cattle with Ooplasts from Taiwan Yellow Cattle under Heat Stress. Animals, 14(9), 1371. https://doi.org/10.3390/ani14091371

