Treatment of a Large Tibial Non-Union Bone Defect in a Cat Using Xenograft with Canine-Derived Cancellous Bone, Demineralized Bone Matrix, and Autograft
Abstract
Simple Summary
Abstract
1. Introduction
2. Case Presentation
2.1. History and Clinical Examination
2.2. Anesthesia and Surgical Treatment
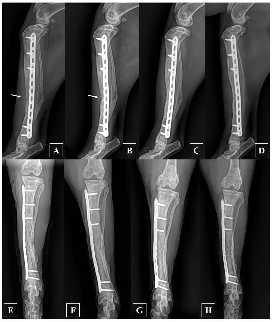
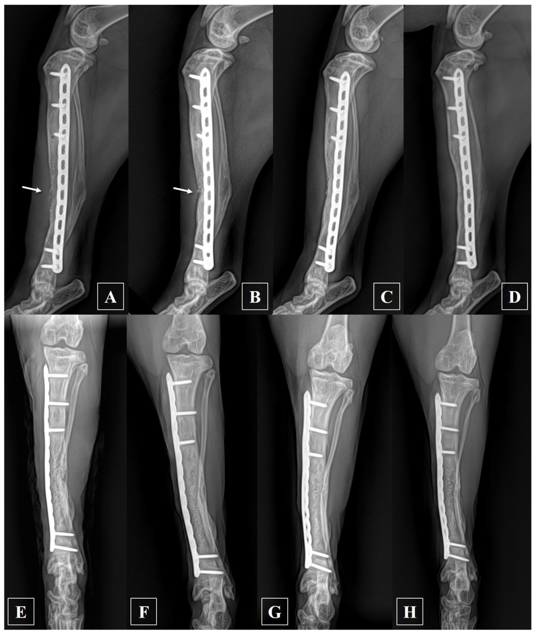
2.3. Postoperative Management and Prognosis
3. Discussion
4. Conclusions
Author Contributions
Funding
Institutional Review Board Statement
Informed Consent Statement
Data Availability Statement
Conflicts of Interest
References
- Nolte, D.M.; Fusco, V.F.; Peterson, M.E. Incidence of and predisposing factors for non union of fractures involving the appendicular skeleton in cats. J. Am. Vet. Med. Assoc. 2005, 226, 77–82. [Google Scholar] [CrossRef] [PubMed]
- Richardson, E.F.; Thacher, C.W. Tibial fractures in cats. Compend. Cont. Educ. 1993, 15, 383–393. [Google Scholar]
- Boone, E.G.; Johnson, A.L.; Montavon, P.; Hohn, R.B. Fractures of the tibial diaphysis in dogs and cats. J. Am. Vet Med. Assoc. 1986, 188, 41–45. [Google Scholar] [PubMed]
- Harari, J. Treatments for feline long bone fractures. Vet. Clin. North Am. Small Anim. Pract. 2002, 32, 927–947. [Google Scholar] [CrossRef] [PubMed]
- Dugat, D.; Rochat, M.; Ritchey, J.; Payton, M. Quantitative analysis of the intramedullary arterial supply of the feline tibia. Vet. Comp. Orthop. Traumatol. 2011, 24, 313–319. [Google Scholar] [CrossRef]
- Stevens, A.; Lowe, J.S. Pathology, 1st ed.; Elsevier Health Sciences: Philadelphia, PA, USA, 1995. [Google Scholar]
- Alexander, J.W. Bone grafting. Vet. Clin. North Am. Small Anim. Pract. 1987, 17, 811–819. [Google Scholar] [CrossRef] [PubMed]
- Alexander, J.W. Bone grafting. In Leonard’s Orthopaedic Surgery of the Dog and Cat, 3rd ed.; Alexander, J.W., Ed.; WB Saunders: Philadelphia, PA, USA, 1985; pp. 43–48. [Google Scholar]
- Brinker, W.O.; Piermattei, D.L.; Flo, G.L. Bone grafting. In Small Animal Orthopaedics and Fracture Repair, 3rd ed.; Piermattei, D.L., Ed.; WB Saunders: Philadelphia, PA, USA, 1997; pp. 147–153. [Google Scholar] [CrossRef]
- Fox, S.M. Cancellous bone grafting in the dog: An overview. J. Am. Anim. Hosp. Assoc. 1984, 20, 840–848. [Google Scholar]
- Dorea, H.C.; McLaughlin, R.M.; Cantwell, H.D.; Read, R.; Armbrust, L.; Pool, R.; Roush, J.K.; Boyle, C. Evaluation of healing in feline femoral defects filled with cancellous autograft, cancellous allograft or Bioglass. Vet. Comp. Orthop. Traumatol. 2005, 18, 157–168. [Google Scholar] [CrossRef]
- Kerwin, S.C.; Lewis, D.D.; Elkins, A.D. Bone grafting and banking. Compend. Contin. Educ. Vet. 1991, 13, 1558–1566. [Google Scholar]
- Sinibaldi, K.R. Evaluation of full cortical allografts in 25 dogs. J. Am. Vet Medic Assoc. 1989, 194, 1570–1577. [Google Scholar]
- Vertenten, G.; Gasthuys, F.; Cornelissen, M.; Schacht, E.; Vlaminck, L. Enhancing bone healing and regeneration: Present and future perspectives in veterinary orthopaedics. Vet. Comp. Orthop. Traumatol. 2010, 23, 153–162. [Google Scholar] [CrossRef]
- Snell, G.D. The terminology of tissue transplantation. Transplantation 1964, 2, 655–657. [Google Scholar]
- Tuominen, T.; Jamsa, T.; Tuukkanen, J.; Marttinen, A.; Lindholm, T.S.; Jalovaara, P. Bovine bone implant with bovine bone morphogenetic protein in healing a canine ulnar defect. Int. Orthop. 2001, 25, 5–8. [Google Scholar] [CrossRef][Green Version]
- Young, C.; Sandstedt, P.; Skoglund, A. A comparative study of anorganic xenogenic bone and autogenous bone implants for bone regeneration in rabbits. Int. J. Oral. Maxillofac. Implant. 1999, 14, 72–76. [Google Scholar]
- Hollinger, J.O.; Schmitz, J.P.; Mark, D.E.; Seyfer, A.E. Osseous wound healing with xenogeneic bone implants with a biodegradable carrier. Surgery 1990, 107, 50–54. [Google Scholar]
- Worth, A.J.; Thompson, K.G.; Owen, M.C.; Mucalo, M.R.; Firth, E.C. Combined xeno/auto-grafting of a benign osteolytic lesion in a dog, using a novel bovine cancellous bone biomaterial. New Zealand Vet. J. 2007, 55, 143–148. [Google Scholar] [CrossRef]
- Kao, S.T.; Scott, D.D. A review of bone substitutes. Oral. Maxillofac. Surg. Clin. North Am. 2007, 19, 513–521. [Google Scholar] [CrossRef]
- Hoffer, M.J.; Griffon, D.J.; Schaeffer, D.J.; Johnson, A.L.; Thomas, M.W. Clinical applications of demineralized bone matrix: A retrospective and case-matched study of seventy-five dogs. Vet. Surg. 2008, 37, 639–647. [Google Scholar] [CrossRef] [PubMed]
- Lafaver, S.; Miller, N.A.; Stubbs, W.P.; Taylor, R.A.; Boudrieau, R.J. Tibial tuberosity advancement for stabilization of the canine cranial cruciate ligament-deficient stifle joint: Surgical technique, early results, and complications in 101 dogs. Vet. Surg. 2007, 36, 573–586. [Google Scholar] [CrossRef] [PubMed]
- Innes, J.F.; Myint, P. Demineralised bone matrix in veterinary orthopaedics: A review. Vet Comp. Orthop. Traumatol. 2010, 23, 393–399. [Google Scholar] [CrossRef] [PubMed]
- Calori, G.M.; Giannoudis, P.V. Enhancement of fracture healing with the diamond concept: The role of the biological chamber. Injury 2011, 42, 1191–1193. [Google Scholar] [CrossRef]
- Key, J.A. The effect of a local calcium depot on osteogenesis and healing of fractures. J. Bone Joint. Surg. 1934, 16A, 176–184. [Google Scholar]
- Toombs, J.P.; Wallace, L.J.; Bjorling, D.E.; Rowland, G.N. Evaluation of Key’s hypothesis in the feline tibia: An experimental model for augmented bone healing studies. Am. J. Vet. Res. 1985, 46, 513–518. [Google Scholar] [PubMed]
- DeCamp, C.E.; Johnson, S.A.; Schaefer, S.L. Brinker, Piermattei, and Flo’s Handbook of Small Anim.al Orthopedics and Fracture Repair, 5th ed.; Saunders: Philadelphia, PA, USA, 2016; pp. 674–679. [Google Scholar]
- Olivier, V.; Faucheux, N.; Hardouin, P. Biomaterial challenges and approaches to stem cell use in bone reconstructive surgery. Drug Discov. Today 2004, 9, 803–811. [Google Scholar] [CrossRef]
- Kolk, A.; Handschel, J.; Drescher, W.; Rothamel, D.; Kloss, F.; Blessmann, M.; Heiland, M.; Wolff, K.D.; Smeets, R. Current trends and future perspectives of bone substitute materials—From space holders to innovative biomaterials. J. Craniomaxillofac. Surg. 2012, 40, 706–718. [Google Scholar] [CrossRef] [PubMed]
- Millis, D.L.; Martinez, S.A. Bone grafts. In Textbook of Small Animal Surgery, 3rd ed.; Slatter, D., Ed.; WB Saunders Company: Philadelphia, PA, USA, 2003; Volume 2, pp. 1875–1891. [Google Scholar]
- Bharadwaz, A.; Jayasuriya, A.C. Osteogenic differentiation cues of the bone morphogenetic protein-9 (BMP-9) and its recent advances in bone tissue regeneration. Mater. Sci. Eng. C 2021, 120, 111748. [Google Scholar] [CrossRef]
- Mahendra, A.; Maclean, A.D. Available biological treatments for complex non-unions. Injury 2007, 38, S7–S12. [Google Scholar] [CrossRef]
- Kirker-Head, C.A. Recombinant bone morphogenetic proteins: Novel substances for enhancing bone healing. Vet. Surg. 1995, 24, 408–419. [Google Scholar] [CrossRef]
- Cheng, H.; Jiang, W.; Phillips, F.M.; Haydon, R.C.; Peng, Y.; Zhou, L.; Luu, H.H.; An, N.; Breyer, B.; Vanichakarn, P.; et al. Osteogenic activity of the fourteen types of human bone morphogenetic proteins (BMPs). J. Bone Jt. Surg. Am. 2003, 85, 1544–1552. [Google Scholar] [CrossRef] [PubMed]
- Simpson, A.H.; Mills, L.; Noble, B. The role of growth factors and related agents in accelerating fracture healing. J. Bone Jt. Surg. Br. 2006, 88, 701–705. [Google Scholar] [CrossRef]
- Bansal, M.R.; Bhagat, S.B.; Shukla, D.D. Bovine cancellous xenograft in the treatment of tibial plateau fractures in elderly patients. Int. Orthop. 2009, 33, 779–784. [Google Scholar] [CrossRef]
- Dulaurent, T.; Azoulay, T.; Goulle, F.; Dulaurent, A.; Mentek, M.; Peiffer, R.L.; Isard, P.F. Use of bovine pericardium (Tutopatch(R)) graft for surgical repair of deep melting corneal ulcers in dogs and corneal sequestra in cats. Vet. Ophthalmol. 2014, 17, 91–99. [Google Scholar] [CrossRef] [PubMed]
- Na, J.Y.; Song, K.; Kim, S.; Lee, H.B.; Kim, J.K.; Kim, J.H.; Lee, J.W.; Kwon, J. Evaluation of porcine xenograft in collateral ligament reconstruction in beagle dogs. Res. Vet. Sci. 2014, 97, 605–610. [Google Scholar] [CrossRef] [PubMed]
- Anderson, I.A.; Mucalo, M.R.; Johnson, G.S.; Lorier, M.A. The processing and characterization of animal-derived bone to yield materials with biomedical applications. Part III: Material and mechanical properties of fresh and processed bovine cancellous bone. J. Mater. Sci. Mater. Med. 2000, 11, 743–749. [Google Scholar] [CrossRef] [PubMed]




Disclaimer/Publisher’s Note: The statements, opinions and data contained in all publications are solely those of the individual author(s) and contributor(s) and not of MDPI and/or the editor(s). MDPI and/or the editor(s) disclaim responsibility for any injury to people or property resulting from any ideas, methods, instructions or products referred to in the content. |
© 2024 by the authors. Licensee MDPI, Basel, Switzerland. This article is an open access article distributed under the terms and conditions of the Creative Commons Attribution (CC BY) license (https://creativecommons.org/licenses/by/4.0/).
Share and Cite
Kim, K.-Y.; Oh, M.; Kim, M. Treatment of a Large Tibial Non-Union Bone Defect in a Cat Using Xenograft with Canine-Derived Cancellous Bone, Demineralized Bone Matrix, and Autograft. Animals 2024, 14, 690. https://doi.org/10.3390/ani14050690
Kim K-Y, Oh M, Kim M. Treatment of a Large Tibial Non-Union Bone Defect in a Cat Using Xenograft with Canine-Derived Cancellous Bone, Demineralized Bone Matrix, and Autograft. Animals. 2024; 14(5):690. https://doi.org/10.3390/ani14050690
Chicago/Turabian StyleKim, Keun-Yung, Minha Oh, and Minkyung Kim. 2024. "Treatment of a Large Tibial Non-Union Bone Defect in a Cat Using Xenograft with Canine-Derived Cancellous Bone, Demineralized Bone Matrix, and Autograft" Animals 14, no. 5: 690. https://doi.org/10.3390/ani14050690
APA StyleKim, K.-Y., Oh, M., & Kim, M. (2024). Treatment of a Large Tibial Non-Union Bone Defect in a Cat Using Xenograft with Canine-Derived Cancellous Bone, Demineralized Bone Matrix, and Autograft. Animals, 14(5), 690. https://doi.org/10.3390/ani14050690

