Percutaneous Fluoroscopic-Guided Celiac Plexus Approach: Results in a Pig Cadaveric Model
Abstract
Simple Summary
Abstract
1. Introduction
2. Materials and Methods
2.1. Animals
2.2. Preliminary Anatomical Description and Fluoroscopic Technique Development
2.3. Tissue Collection, Processing, and Histological and Immunocytochemistry Studies
3. Results
3.1. Preliminary Anatomical Description and Fluoroscopic Technique Development
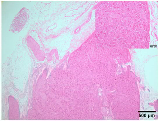
3.2. Gross Anatomical and Microscopic Studies
4. Discussion
- -
- Availability of fresh cadavers; with respect to the 3Rs principle, subjects used in this study were obtained from an unrelated no-survival study, and no animal was euthanized for this purpose.
- -
- The similarity of the swine spine anatomy to that of humans facilitated the execution of the technique, as described in people.
- -
- In the last few decades, many regional analgesia techniques described in human medicine have been translated into veterinary medicine following cadaveric descriptive studies [28]. Following refinement, the cadaveric techniques have been largely employed in clinical settings for pain management in different target species.
- -
- The supervision of an interventional radiologist (GS) familiar with the execution of this technique in people would not have been possible outside the research facility using another species.
5. Conclusions
Author Contributions
Funding
Institutional Review Board Statement
Informed Consent Statement
Data Availability Statement
Conflicts of Interest
References
- Sachdev, A.; Gress, F. Celiac plexus block and neurolysis: A Review. Gastrointest. Endosc. Clin. N. Am. 2018, 28, 579–586. [Google Scholar] [CrossRef] [PubMed]
- Catanzaro, A.; della Rocca, G.; Di Salvo, A.; Goldberg, M.E. Medical Abdominal Visceral Pain. Am. J. Anim. Vet. Sci. 2015, 10, 67–76. [Google Scholar] [CrossRef]
- Catanzaro, A.; Di Salvo, A.; Steagall, P.V.; Zampini, D.; Polisca, A.; della Rocca, G. Preliminary study on attitudes, opinions and knowledge of Italian veterinarians with regard to abdominal visceral pain in dogs. Vet. Anaesth. Analg. 2016, 43, 361–370. [Google Scholar] [CrossRef] [PubMed]
- Regmi, B.; Shah, M.K. Possible implications of animals model for the assessment of visceral pain. Anim. Models Exp. Med. 2020, 3, 215–228. [Google Scholar] [CrossRef] [PubMed]
- Sengupta, J.N. Visceral pain: The neurophysiological mechanism. Handb. Exp. Pharmacol. 2009, 194, 31–74. [Google Scholar]
- Kambadakone, A.; Thabet, A.; Gervais, D.A.; Mueller, P.R.; Arellano, R.S. CT-guided celiac plexus neurolysis: A review of anatomy, indications, technique, and tips for successful treatment. RadioGraphics 2011, 31, 1599–1621. [Google Scholar] [CrossRef] [PubMed]
- Urits, I.; Jones, M.R.; Orhurhu, V.; Peck, J.; Corrigan, D.; Hubble, A.; Andrews, M.; Feng, R.; Manchikanti, L.; Kaye, A.D.; et al. A Comprehensive Review of the Celiac Plexus Block for the Management of Chronic Abdominal Pain. Curr. Pain Headache Rep. 2020, 24, 42. [Google Scholar] [CrossRef] [PubMed]
- Ravasio, G.; Carotenuto, A.M.; Roccabianca, P.; Casati, E.; Fonda, D.; Borghi, L. Celiac and cranial mesenteric ganglia (celiac plexus) block in dogs: Preliminary cadaveric study using a blind technique (abstract). Vet. Anaesth. Analg. 2015, 42, 23. [Google Scholar]
- Rabbogliatti, V.; Zani, D.D.; Longo, M.; De Zani, D.; Ravasio, G. Celiac plexus block in equine ileus: A pilot study. Proceedings SiSVET, Perugia, Italia, Ed. SiSVET 2015, 69, 216. [Google Scholar]
- Kappis, M. Erfahrungen mit Lokalanaesthesie bei Bauchopen ationen. Verh. Dtsch. Gas. Chir. 1914, 43, 87–89. [Google Scholar]
- Vig, S.; Bhan, S.; Bhatnagar, S. Celiac Plexus Block—An old technique with New Developments. Pain Physician 2021, 24, 379–398. [Google Scholar]
- Underwood, R.; Wu, J.; Quasebarth, M.; Brunt, L. Development of a laparoscopic approach to neurolytic celiac plexus block in a porcine model. Surg. Endosc. 2000, 14, 839–843. [Google Scholar] [CrossRef]
- Wang, K.; Jin, Z.; Du, Y.; Chen, J.; Zhan, X.; Wang, L.; Li, Z.; Zou, D.; Liu, Y. Evaluation of endoscopic-ultrasound-guided celiac ganglion irradiation with iodine-125 seeds: A pilot study in porcine model. Endoscopy 2009, 41, 346–351. [Google Scholar] [CrossRef]
- Obstein, K.; Martins, F.; Fernandez-Esparrach, G.; Thompson, C. Endoscopic ultrasound-guided celiac plexus neurolysis using a reverse phase polymer. World J. Gastroenterol. 2010, 16, 728–731. [Google Scholar] [CrossRef]
- Cornman-Homonoff, J.; Holzwanger, D.; Lee, K.; Madoff, D.; Li, D. Celiac plexus block and neurolysis in the management of chronic upper abdominal pain. Semin. Interv. Radiol. 2017, 34, 376–386. [Google Scholar] [CrossRef]
- Basurto, O.X.; Rigau, C.D.; Urrutia, G. Opioids for acute pancreatitis pain. Cochrane Database Syst. Rev. 2013, 7. [Google Scholar] [CrossRef]
- Helm, J.F.; Venu, R.P.; Geenen, J.E.; Hogan, W.J.; Dodds, W.J.; Toouli, J.; R C Arndorfer, R.C. Effects of morphine on the human sphincter of Oddi. Gut 1988, 29, 1402–1407. [Google Scholar] [CrossRef]
- Manchikanti, L.; Manchikanti, K.N.; Kaye, A.D.; Kaye, A.M.; Hirsch, J.A. Challenges and concerns of persistent opioid use in cancer patients. Exp. Rev. Anticancer. Ther. 2018, 18, 705–718. [Google Scholar] [CrossRef]
- Bini, G.; Vettorato, E.; De Gennaro, C.; Corletto, F. A retrospective comparison of two analgesic strategies after uncomplicated tibial plateau levelling osteotomy in dogs. Vet. Anaesth. Analg. 2018, 45, 557–565. [Google Scholar] [CrossRef]
- Mansfield, C.; Beths, T. Management of acute pancreatitis in dogs: A critical appraisal with focus on feeding and analgesia. J. Small Anim. Pract. 2015, 56, 27–39. [Google Scholar] [CrossRef]
- Fregni, F.; Pascual-Leone, A.; Freedman, S.D. Pain in chronic pancreatitis: A salutogenic mechanism or a maladaptative brain response? Pancreatology 2007, 7, 411–422. [Google Scholar] [CrossRef]
- Yang, J.; Bauer, B.A.; Wahner-Roedler, D.L.; Chon, T.Y.; Xiao, L. The Modified WHO Analgesic Ladder: Is It Appropriate for Chronic Non-Cancer Pain? J. Pain Res. 2020, 17, 411–417. [Google Scholar] [CrossRef] [PubMed]
- Montero Matamala, A.; Vidal Lopez, F.; Inaraja Martinez, L. The percutaneous anterior approach to the celiac plexus using CT guidance. Pain 1988, 34, 285–288. [Google Scholar] [CrossRef] [PubMed]
- Romanelli, D.F.; Beckmann, C.F.; Heiss, F.W. Celiac plexus block: Efficacy and safety of the anterior approach. Am. J. Roentgenol. 1993, 160, 497–500. [Google Scholar] [CrossRef] [PubMed]
- Ischia, S.; Luzzani, A.; Ischia, A.; Faggion, S. A new approach to the neurolytic block of the coeliac plexus: The transaortic technique. Pain 1983, 16, 333–341. [Google Scholar] [CrossRef] [PubMed]
- Bhatnagar, S.; Joshi, S.; Rana, S.P.; Mishra, S.; Garg, R.; Ahmed, S.M. Bedside ultrasound-guided celiac plexus neurolysis in upper abdominal cancer patients: A randomized, prospective study for comparison of percutaneous bilateral paramedian vs. unilateral paramedian needle-insertion technique. Pain Pract. 2014, 14, 63–68. [Google Scholar] [CrossRef] [PubMed]
- Abdelghaffar, N.A.; El-Rahmawy, G.F.; Elmaddawy, A.; El-Badrawy, A. Single needle versus double needle celiac trunk neurolysis in abdominal malignancy pain management: A randomized controlled trial. Rev. Bras. Anestesiol. 2019, 69, 284–290. [Google Scholar] [CrossRef] [PubMed]
- Trujanovic, R.; Otero, P.E.; Marhofer, P.; Auer, U.; Kau, S. Proximal Perineural Femoral Nerve Injection in Pigs Using an Ultrasound-Guided Lateral Subiliac Approach-A Cadaveric Study. Animals 2021, 11, 1759. [Google Scholar] [CrossRef] [PubMed]
- de la Torre, S.; Montero, M.; Bello, G.; Castillo, E.; Durán, R.; Sancho, E.; Martínez, M.; de la Torre, J.M. Utilización de la aguja de Chiba en el tratamiento analgésico del cáncer de páncreas. Rev. Esp. Enferm. Apar. Dig. 1985, 68, 131–134. [Google Scholar]
- Eisenberg, E.; Carr, D.B.; Chalmers, T.C. Neurolytic celiac plexus block for treatment of cancer pain: A meta-analysis. Anesth. Analg. 1995, 80, 290–295. [Google Scholar]
- Zhong, W.; Yu, Z.; Zeng, J.X.; Lin, Y.; Yu, T.; Min, X.H.; Yuan, Y.H.; Chen, Q.K. Celiac plexus block for treatment of pain associated with pancreatic cancer: A meta-analysis. Pain Pract. 2014, 14, 43–51. [Google Scholar] [CrossRef] [PubMed]
- Garbin, M.; Portela, D.A.; Bertolizio, G.; Garcia-Pereira, F.; Gallastegui, A.; Otero, P.E. Description of ultrasound–guided quadratus lumborum block technique and evaluation of injectate spread in canine cadavers. Vet. Anaesth. Analg. 2020, 47, 249–258. [Google Scholar] [CrossRef] [PubMed]
- Rahman, A.; Rahman, R.; Macrinici, G.; Li, S. Low volume neurolytic retrocrural celiac plexus block for visceral cancer pain: Retrospective review of 507 patients with severe malignancy related pain due to primary abdominal cancer or metastatic disease. Pain Physician 2018, 21, 497–504. [Google Scholar] [CrossRef] [PubMed]
- de Miguel Garcia, C.; Whyte, M.; St James, M.; Ferreira, T.H. Effect of contrast and local anesthetic on dye spread following transversus abdominis plane injection in dog cadavers. Vet. Anaesth. Analg. 2020, 47, 391–395. [Google Scholar] [CrossRef]
- Rana, M.V.; Candido, K.D.; Raja, O.; Knezevic, N.N. Celiac plexus block in the management of chronic abdominal pain. Curr. Pain Headache Rep. 2014, 18, 394. [Google Scholar] [CrossRef]






Disclaimer/Publisher’s Note: The statements, opinions and data contained in all publications are solely those of the individual author(s) and contributor(s) and not of MDPI and/or the editor(s). MDPI and/or the editor(s) disclaim responsibility for any injury to people or property resulting from any ideas, methods, instructions or products referred to in the content. |
© 2024 by the authors. Licensee MDPI, Basel, Switzerland. This article is an open access article distributed under the terms and conditions of the Creative Commons Attribution (CC BY) license (https://creativecommons.org/licenses/by/4.0/).
Share and Cite
Aprea, F.; Millan, Y.; Tomás, A.; Campello, G.S.; Calvo, R.N.; Granados, M.d.M. Percutaneous Fluoroscopic-Guided Celiac Plexus Approach: Results in a Pig Cadaveric Model. Animals 2024, 14, 1478. https://doi.org/10.3390/ani14101478
Aprea F, Millan Y, Tomás A, Campello GS, Calvo RN, Granados MdM. Percutaneous Fluoroscopic-Guided Celiac Plexus Approach: Results in a Pig Cadaveric Model. Animals. 2024; 14(10):1478. https://doi.org/10.3390/ani14101478
Chicago/Turabian StyleAprea, Francesco, Yolanda Millan, Anna Tomás, Gemma Sempere Campello, Rocio Navarrete Calvo, and Maria del Mar Granados. 2024. "Percutaneous Fluoroscopic-Guided Celiac Plexus Approach: Results in a Pig Cadaveric Model" Animals 14, no. 10: 1478. https://doi.org/10.3390/ani14101478
APA StyleAprea, F., Millan, Y., Tomás, A., Campello, G. S., Calvo, R. N., & Granados, M. d. M. (2024). Percutaneous Fluoroscopic-Guided Celiac Plexus Approach: Results in a Pig Cadaveric Model. Animals, 14(10), 1478. https://doi.org/10.3390/ani14101478

