A Morphological and Ultrastructural Study of the Anterior Digestive Tract of Adult Nile Tilapia Oreochromis niloticus
Simple Summary
Abstract
1. Introduction
2. Materials and Methods
2.1. Sample Collection
2.2. Morphological and Conventional Glycohistochemical Analysis
2.3. Morphometry
2.4. Scanning Electron Microscopy (SEM)
3. Results
3.1. Gross Morphology
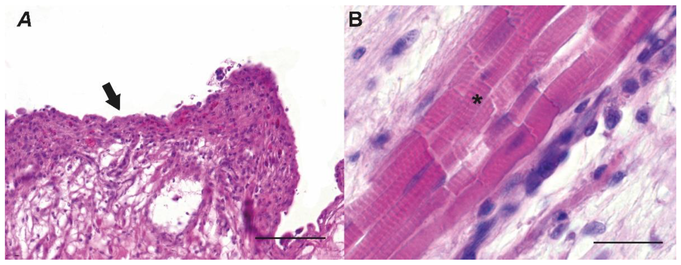
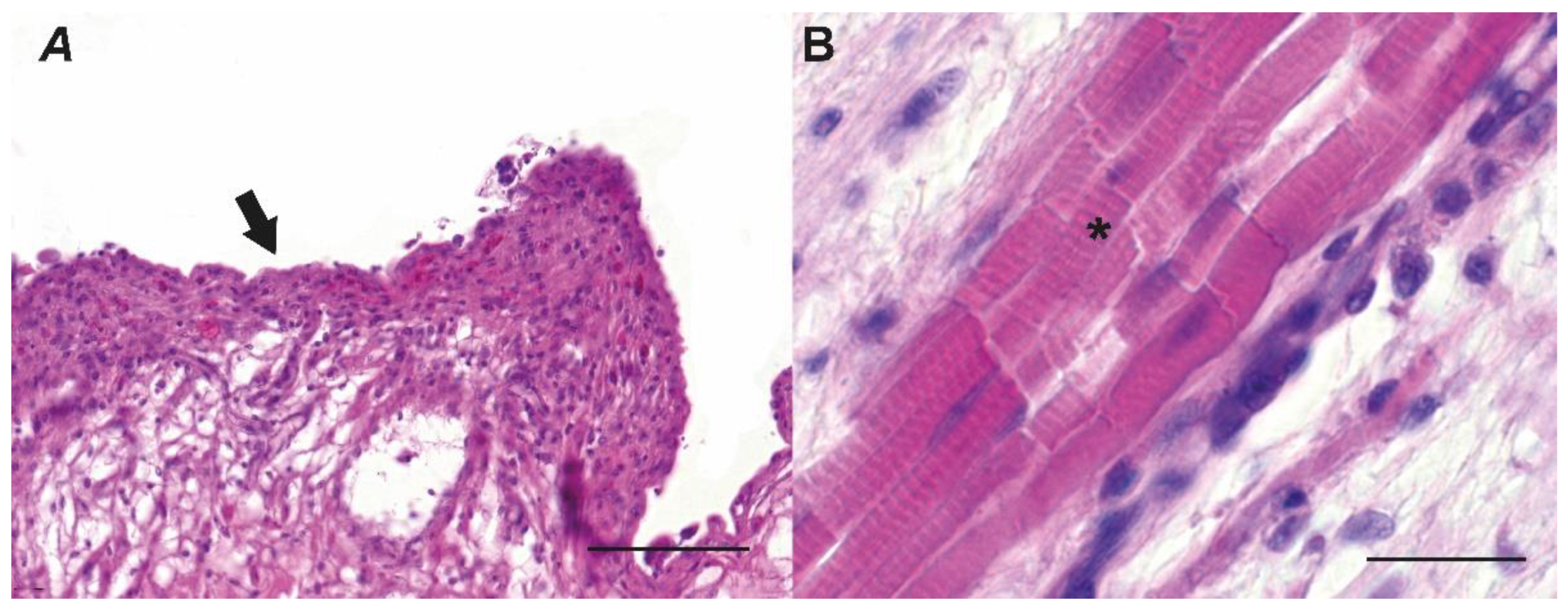
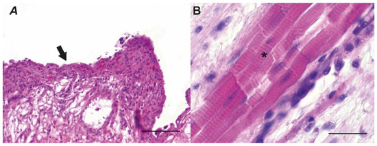
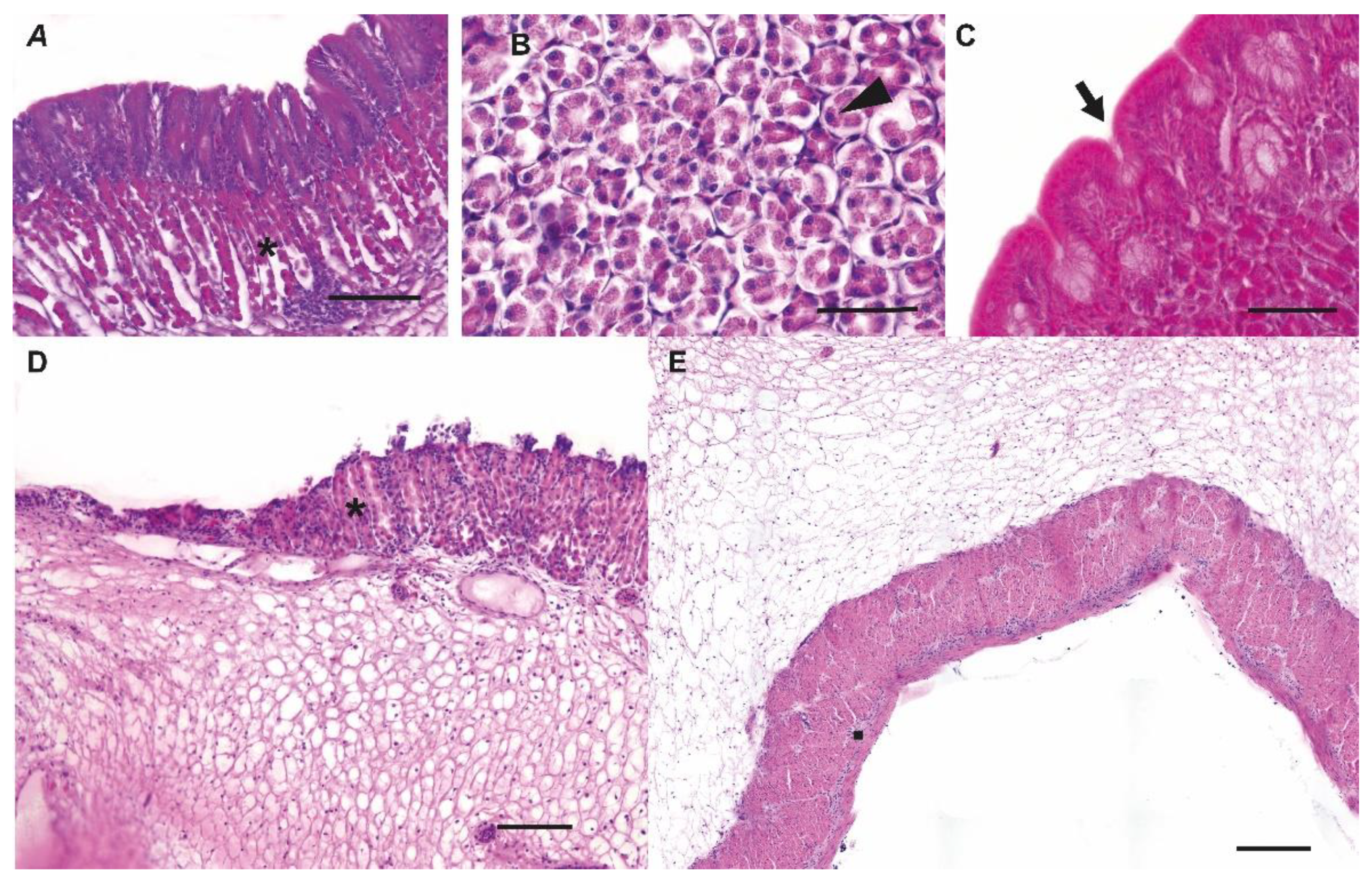
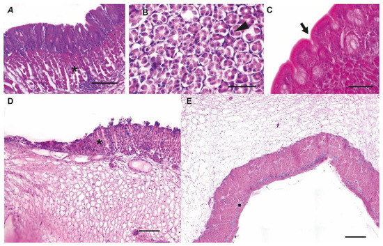
3.2. Microscopical Organization
- ZONE 1: esophagus–gastric lumen passage
- ZONE 2: descending glandular portion
- ZONE 3: fundic portion
- ZONE 4: ascending glandular portion
- ZONE 5: gastric–pyloric transition portion
3.3. Morphometrical Analysis
3.4. Histochemical Analysis
3.5. Scanning Electron Microscopy Obsevations
4. Discussion
5. Conclusions
Author Contributions
Funding
Institutional Review Board Statement
Data Availability Statement
Conflicts of Interest
References
- Ishibashi, Y.; Ekawa, H.; Hirata, H.; Kumai, H. Stress response and energy metabolism in various tissues of Nile tilapia (Oreochromis niloticus) exposed to hypoxic conditions. Fish. Sci. 2002, 68, 1374–1383. [Google Scholar] [CrossRef]
- Díaz, A.O.; García, A.M.; Devincenti, C.V.; Goldemberg, A.L. Morphological and Histochemical Characterization of the Mucosa of the Digestive Tract in Engraulis anchoita (Hubbs and Marini, 1935). Anat. Histol. Embryol. 2003, 32, 341–346. [Google Scholar] [CrossRef] [PubMed]
- Carrassón, M.; Grau, A.; Dopazo, L.R.; Crespo, S. A histological, histochemical and ultrastructural study of the digestive tract of Dentex dentex (Pisces, Sparidae). Histol. Histopathol. 2006, 21, 579–593. [Google Scholar] [CrossRef] [PubMed]
- Klumpp, D.W.; Nichols, P.D. Nutrition of the Southern Sea garfish Hyporhamphus rnelanoehir: Gut passage rate and daily consumption of two food types and assimilation of seagrass components. Mar. Ecol. Prog. Ser. 1983, 12, 207–216. [Google Scholar] [CrossRef]
- Unal, G.; Cetinkaya, O.; Kankaya, E.; Elp, M. Histological study of the organogenesis of the digestive system and swim bladder of the Chalcalburnus tarichi Pallas, 1811 (Cyprinidae). Turk. J. Zool. 2001, 25, 217–228. [Google Scholar]
- Sinha, B.M.; Moitra, S.K. Morpho-histology of the intestine in a freshwater major carp, Cirrhinus mrigala (Hamilton) during the different life-history stages in relation to food and feeding habits. Anat. Anz. 1974, 137, 395–407. [Google Scholar]
- Dasgupta, M. Morphological adaptation of the alimentary canal of four Labeo species in relation to their food and feeding habits. Indian J. Fish 2001, 48, 255–257. [Google Scholar]
- Naguib, S.A.A.; EI-Shabaka, H.A.; Ashour, F. Comparative histological and ultrastructural studies on the stomach of Schilbe mystus and the intestinal swelling of Labeo niloticus. J. Am. Sci. 2011, 7, 251–263. [Google Scholar]
- Musa, M.; Yanuhar, U.; Susilo, E.; Soemarno. Stomach histological decay of milkfish, Chanos Chanos (Forsskål, 1775): Ontogeny, environmental stress, shifting food composition, and disease infection. J. Nat. Sci. Res. 2013, 3, 194–200. [Google Scholar]
- Ghosh, S.K.; Chakrabarti, P. Histological and histochemical characterization on the stomach of Mystus cavasius (Hamilton), Oreochromis niloticus (Linnaeus) and Gambusia chapra (Hamilton): Comparative study. J. Basic Appl. Zool. 2015, 70, 16–24. [Google Scholar] [CrossRef]
- Ghosh, S.K.; Chakrabarti, P. Histological, surface ultrastructural, and histochemical study of the stomach of red piranha, Pygocentrus nattereri (Kner). Arch. Pol. Fish. 2015, 23, 205–215. [Google Scholar] [CrossRef]
- Reifel, C.W.; Travill, A.A. Structure and carbohydrate histochemistry of the stomach in eight species of teleosts. J. Morphol. 1978, 158, 155–167. [Google Scholar] [CrossRef] [PubMed]
- Kozarić, Z.; Kužir, S.; Petrinec, Z.; Gjurćević, E.; Baturina, N. Histochemistry of complex glycoproteins in the digestive tract mucosa of Atlantic Bluefin tuna (Thynnus L.). Vet. Arch. 2007, 77, 441–452. [Google Scholar]
- Hernándes, D.R.; Pérez Gianeselli, M.; Domitrovic, H.A. Morphology and Histochemistry of the Digestive system of South American Catfish (Rhamdia quelen). Internat. J. Morphol. 2009, 27, 105–111. [Google Scholar] [CrossRef]
- Santos, M.L.D.; Arantes, F.P.; Pessali, T.C.; Santos, J.E.D. Morphological, histological and histochemical analysis of the digestive tract of Trachelyopterus striatulus (Siluriformes: Auchenipteridae). Zoologia 2015, 32, 296–305. [Google Scholar] [CrossRef]
- Xiong, D.; Zhang, L.; YU, H.; Xie, C.; Kong, Y.; Zeng, Y.; Huo, B.; Liu, Z. A study of morphology and histology of the alimentary tract of Glyptosternum maculatum (Sisoridae, Siluriformes). Acta Zool. 2011, 92, 161–169. [Google Scholar] [CrossRef]
- Qu, M.; Ding, S.; Xu, X.; Shen, M.; You, Y.; Su, Y. Ontogenetic development of the digestive system and growth in coral trout (Plectropomus leopardus). Aquaculture 2012, 334, 132–141. [Google Scholar] [CrossRef]
- De Felice, E.; Palladino, A.; Tardella, F.M.; Giaquinto, D.; Barone, C.M.A.; Crasto, A.; Scocco, P. A morphological, glycohistochemical and ultrastructural study on the stomach of adult Rainbow trout Oncorhynchus mykiss. Eur. Zool. J. 2021, 88, 269–278. [Google Scholar] [CrossRef]
- Smith, L.S. Digestive functions in teleost fishes. In Fish Nutrition, 2nd ed.; Halver, J.E., Ed.; Academic Press: London, UK, 1989; pp. 331–421. [Google Scholar]
- Okuthe, G.E.; Bhomela, B. Morphology, histology and histochemistry of the digestive tract of the Banded tilapia, Tilapia sparrmanii (Perciformes: Cichlidae). Zoologia 2020, 37, e51043. [Google Scholar] [CrossRef]
- Moraes, M.F.P.G.; Barbola, I.F.; Guedes, E.A.C. Alimentac¸ ão e relac¸ ões morfológicas com o aparelho digestivo do “curimbatá”, Prochilodus lineatus (Valenciennes) (Osteichthyes, Prochilodontidae), de uma lagoa do sul do Brasil. Rev. Bras. Zool. 1997, 14, 169–180. [Google Scholar] [CrossRef]
- Seixas Filho, J.T.; Brás, J.M.; Gomide, A.T.M.; Oliveira, M.G.A.; Donzele, J.L.; Menin, E. Anatomia funcional e morfometria dos intestinos e dos cecos pilóricos do Teleostei (Pisces) de água doce Brycon orbignyanus (Valenciennes 1849) Rev. Bras. Zootec. 2000, 29, 313–324. [Google Scholar] [CrossRef]
- Seixas Filho, J.T.; Brás, J.M.; Gomide, A.T.M.; Oliveira, M.G.A.; Donzele, J.L.; Menin, E. Anatomia funcional e morfométrica do intestino no Teleostei (Pisces), de água doce surubim (Pseudoplatystoma corruscans—Agassiz 1829). Rev. Bras. Zootec. 2001, 30, 1670–1680. [Google Scholar] [CrossRef]
- Peretti, D.; Andrian, I.F. Feeding and morphological analysis of the digestive tract of four species of fish (Astyanax altiparanae, Parauchenipterus galeatus, Serrasalmus marginatus and Hoplias aff. malabaricus) from the upper Paraná River floodplain, Brazil. Braz. J. Biol. 2008, 68, 671–679. [Google Scholar] [CrossRef] [PubMed]
- Rodrigues, S.S.; Menin, E. Anatomia do tubo digestivo de Salminus brasiliensis (Cuvier, 1817) (Pisces, Characidae, Salmininae). Biotemas 2008, 21, 65–75. [Google Scholar] [CrossRef]
- Sanchez-Amaya, M.I.; Ortiz-Delgado, J.B.; Garcia-Lopez, A.; Cardenas, S.; Sarasquet, C. Larval ontogeny of red banded seabream Pagrus auriga valencieness, 1843 with special reference to the digestive system. A histological and histochemical approach. Aquaculture 2007, 263, 259–279. [Google Scholar] [CrossRef]
- Smith, L.S. Introduction to Fish Physiology. In An Atlas of Fish Histology: Normal and Pathological Features; Takashima, F., Hibiya, T., Eds.; Argent Laboratories Press: Redmond, WA, USA; Gustav Fisher Verlag: Kodansha, Tokyo, 1995; p. 192. [Google Scholar]
- Yan, B.; Wang, Z.H.; Zhao, J.L. Mechanism of osmoregulatory adaptation in tilapia. Mol. Biol. Rep. 2013, 40, 925–931. [Google Scholar] [CrossRef] [PubMed]
- Akalu, B. The main factors affecting growth performance of Oreochromis niloticus L. (1758) in aquaculture system. J. Fish. Livest. Prod. 2021, 9, 1–9. [Google Scholar] [CrossRef]
- Awaad, A.S.; Moawad, U.K.; Tawfiek, M.G. Comparative Histomorphological and histochemical studies on the oesophagus of Nile Tilapia Oreochromis niloticus and African Catfish Clarias Gariepinus. J. Histol. 2014, 2014, 1–10. [Google Scholar] [CrossRef]
- Osmand, A.H.K.; Caceci, T. Histology of the stomach of Tilapia nilotica (Linnaeus 1758) from the River Nile. J. Fish Biol. 1991, 38, 211–223. [Google Scholar] [CrossRef]
- Caceci, T.; EL-Habback, H.A.; Smith, S.A.; Smith, B.J. The stomach of Oreochromis niloticus has three regions. J. Fish Biol. 1997, 50, 939–952. [Google Scholar] [CrossRef]
- Morrison, C.M.; Wright, J.R., Jr. A study of the histology of the digestive tract of the Nile tilapia. J. Fish Biol. 1999, 54, 597–606. [Google Scholar] [CrossRef]
- Wilson, J.M.; Castro, L.F. Morphological diversity of the gastrointestinal tract in fishes. Fish Physiol. 2010, 30, 1–55. [Google Scholar] [CrossRef]
- Pearse, A.G.E. Histochemistry: Theoretical and Applied, 4th ed.; Churchill Livingstone: Edinburgh, UK; London, UK; Melbourne, Australia; New York, NY, USA, 1985. [Google Scholar]
- Mercati, F.; Dall’Aglio, C.; Acuti, G.; Faeti, V.; Tardella, F.M.; Pirino, C.; De Felice, E.; Scocco, P. Oregano feed supplementation affects glycoconjugates production in swine gut. Animals 2020, 10, 149. [Google Scholar] [CrossRef] [PubMed]
- Bancroft, J.D.; Gamble, A. Theory and Practice of Histological Techniques, 6th ed.; Churchill-Livingstone: London, UK, 2008; pp. 1–744. [Google Scholar]
- Vieira-Lopes, D.A.; Pinheiro, N.L.; Sales, A.; Ventura, A.; Araújo, F.G.; Gomes, I.D.; Nascimento, A.A. Immunohistochemical study of the digestive tract of Oligosarcus hepsetus. World J. Gastroenterol. 2013, 19, 1919–1929. [Google Scholar] [CrossRef][Green Version]
- Zug, G.R.; Vittand, L.J.; Caldwell, J.P. Introduction Biology of Amphibian and Reptiles, 2nd ed.; Academic Press: San Diego, CA, USA, 2001; pp. 1–776. [Google Scholar]
- Al-Hussaini, A.H. On the functional morphology of the alimentary tract of some omnivorous fish. Egypt. Acad. Sci. 1953, 4, 17–39. [Google Scholar]
- Scocco, P.; Ceccarelli, P.; Menghi, G. Glycohistochemistry of the Tilapia spp. stomach. J. Fish Biol. 1996, 49, 584–593. [Google Scholar] [CrossRef]
- Gargiulo, A.M.; Ceccarelli, P.; Dall’Aglio, C.; Pedini, V. Ultrastructure study on the stomach of Tilapia spp. (Teleostei). Anat. Histol. Embryol. 1997, 26, 331–336. [Google Scholar] [CrossRef]
- Grau, A.; Crespo, S.; Sarasquete, M.C.; De Canales, M.G. The digestive tract of the amberjack Seriola dumerili, Risso: A light and scanning electron microscope study. J. Fish Biol. 1992, 41, 287–303. [Google Scholar] [CrossRef]
- Murray, H.M.; Wright, G.M.; Goff, G.P. A comparative histological and histochemical study of the stomach from three species of pleuronectid, the Atlantic halibut, Hippoglossus hippoglossus, the yellowtail flounder, Pleuronectes ferruginea, and the winter flounder, Pleuronectes americanus. Canad. J. Zool. 1994, 72, 1199–1210. [Google Scholar] [CrossRef]
- Oliveira-Ribeiro, C.A.D.; Fanta, E. Microscopic morphology and histochemistry of the digestive system of a tropical freshwater fish Trichomycterus brasiliensis (Lütken) (Siluroidei, Trichomycteridae). Rev. Brasil. Zool. 2000, 17, 953–971. [Google Scholar] [CrossRef]
- Dai, X.; Shu, M.; Fang, W. Histological and ultrastructural study of the digestive tract of rice field eel, Monopterus albus. J. Appl. Ichthyol. 2007, 23, 177–183. [Google Scholar] [CrossRef]
- Ikpegbu, E.; Ezeasor, D.N.; Nlebedum, U.C.; Nnadozie, O. Morphological and histochemical observations on the oesogaster of the domesticated African catfish (Clarias gariepinus Burchell,1822). Bulg. J. Vet. Med. 2013, 16, 88–95. [Google Scholar]
- Raji, A.R.; Norouzi, E. Histological and histochemical study on the alimentary canal in walking catfish (Clarius batrachus) and Piranha (Serrasalmus nattereri). Iran. J. Vet. Res. 2010, 11, 255–261. [Google Scholar]
- Caceci, T.; Hrubec, T.C. Histology and ultrastructure of the gut of the black mollie (Poecilia spp.), a hybrid teleost. J. Morphol. 1990, 204, 265–280. [Google Scholar] [CrossRef] [PubMed]
- Bowen, S.H. Detrital nonprotein amino acids are the key to rapid growth of Tilapia in Lake Valencia, Venezuela. Science 1980, 207, 1216–1218. [Google Scholar] [CrossRef]
- Lobel, P.S. Trophic biology of herbivorous reef fishes: Alimentary pH and digestive capabilities. J. Fish Biol. 1981, 19, 365–397. [Google Scholar] [CrossRef]
- Domeneghini, C.; Arrighi, S.; Radaelli, G.; Bosi, G.; Mascarello, F. Morphological and histochemical peculiarities of the gut in the white sturgeon, Acipenser transmontanus. Eur. J. Histochem. 1999, 43, 135–145. [Google Scholar]
- Giaquinto, D.; De Felice, E.; Attanasio, C.; Palladino, A.; Schiano, V.; Mollo, E.; Lucini, C.; de Girolamo, P.; D’Angelo, L. Central and peripheral NPY age-related regulation: A comparative analysis in fish translational models. Int. J. Mol. Sci. 2022, 23, 3839. [Google Scholar] [CrossRef]
- Montesano, A.; De Felice, E.; Leggieri, A.; Palladino, A.; Lucini, C.; Scocco, P.; de Girolamo, P.; Baugmart, M.; D’Angelo, L. Ontogenetic pattern changes of Nucleobindin-2/Nesfatin-1 in the brain and intestinal bulb of the short lived African turquoise killifish. J. Clin. Med. 2019, 9, 103. [Google Scholar] [CrossRef]







Disclaimer/Publisher’s Note: The statements, opinions and data contained in all publications are solely those of the individual author(s) and contributor(s) and not of MDPI and/or the editor(s). MDPI and/or the editor(s) disclaim responsibility for any injury to people or property resulting from any ideas, methods, instructions or products referred to in the content. |
© 2023 by the authors. Licensee MDPI, Basel, Switzerland. This article is an open access article distributed under the terms and conditions of the Creative Commons Attribution (CC BY) license (https://creativecommons.org/licenses/by/4.0/).
Share and Cite
Palladino, A.; De Felice, E.; Attanasio, C.; Barone, C.M.A.; Crasto, A.; D’Angelo, L.; Giaquinto, D.; Lambiase, C.; Scocco, P.; Serrapica, F.; et al. A Morphological and Ultrastructural Study of the Anterior Digestive Tract of Adult Nile Tilapia Oreochromis niloticus. Animals 2023, 13, 420. https://doi.org/10.3390/ani13030420
Palladino A, De Felice E, Attanasio C, Barone CMA, Crasto A, D’Angelo L, Giaquinto D, Lambiase C, Scocco P, Serrapica F, et al. A Morphological and Ultrastructural Study of the Anterior Digestive Tract of Adult Nile Tilapia Oreochromis niloticus. Animals. 2023; 13(3):420. https://doi.org/10.3390/ani13030420
Chicago/Turabian StylePalladino, Antonio, Elena De Felice, Chiara Attanasio, Carmela M. A. Barone, Antonio Crasto, Livia D’Angelo, Daniela Giaquinto, Claudia Lambiase, Paola Scocco, Francesco Serrapica, and et al. 2023. "A Morphological and Ultrastructural Study of the Anterior Digestive Tract of Adult Nile Tilapia Oreochromis niloticus" Animals 13, no. 3: 420. https://doi.org/10.3390/ani13030420
APA StylePalladino, A., De Felice, E., Attanasio, C., Barone, C. M. A., Crasto, A., D’Angelo, L., Giaquinto, D., Lambiase, C., Scocco, P., Serrapica, F., & Maruccio, L. (2023). A Morphological and Ultrastructural Study of the Anterior Digestive Tract of Adult Nile Tilapia Oreochromis niloticus. Animals, 13(3), 420. https://doi.org/10.3390/ani13030420

