Influence of Obesity on Histological Tissue Structure of the Cardiovascular System in Horses
Abstract
Simple Summary
Abstract
1. Introduction
2. Materials and Methods
2.1. Materials
2.2. Methods
2.2.1. Anatomical and Histological Analysis
- The total height at the long axis of the heart from base to apex;
- The total width of the heart at the widest point of the heart perpendicularly to the long axis;
- The width and height of atria in perpendicular planes at the external surface of the heart;
- The height in the long axis of the heart from the heart base to the coronary sulcus;
- The width in the middle height of the atrium;
- The height of the ventricles at the external surface in the long axis of the heart from the coronary sulcus to the heart apex (left ventricle) or paraseptal sulcus (right ventricle);
- The width of the right and left ventricle and the thickness of the ventricular walls and interventricular septum at the cross section of the heart—the cross section was made under the valvular ring in a plane perpendicular to the long axis.
2.2.2. Blood Analysis
2.3. Statistical Analysis
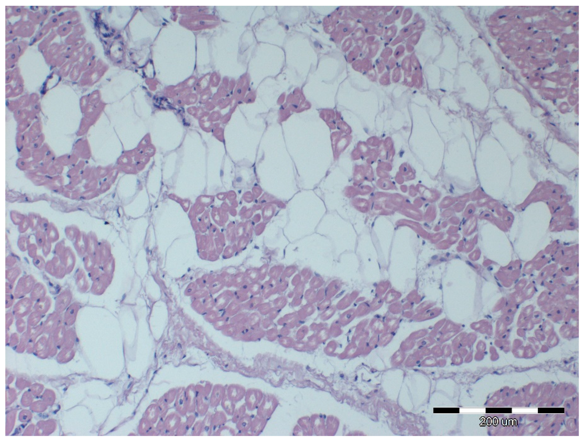
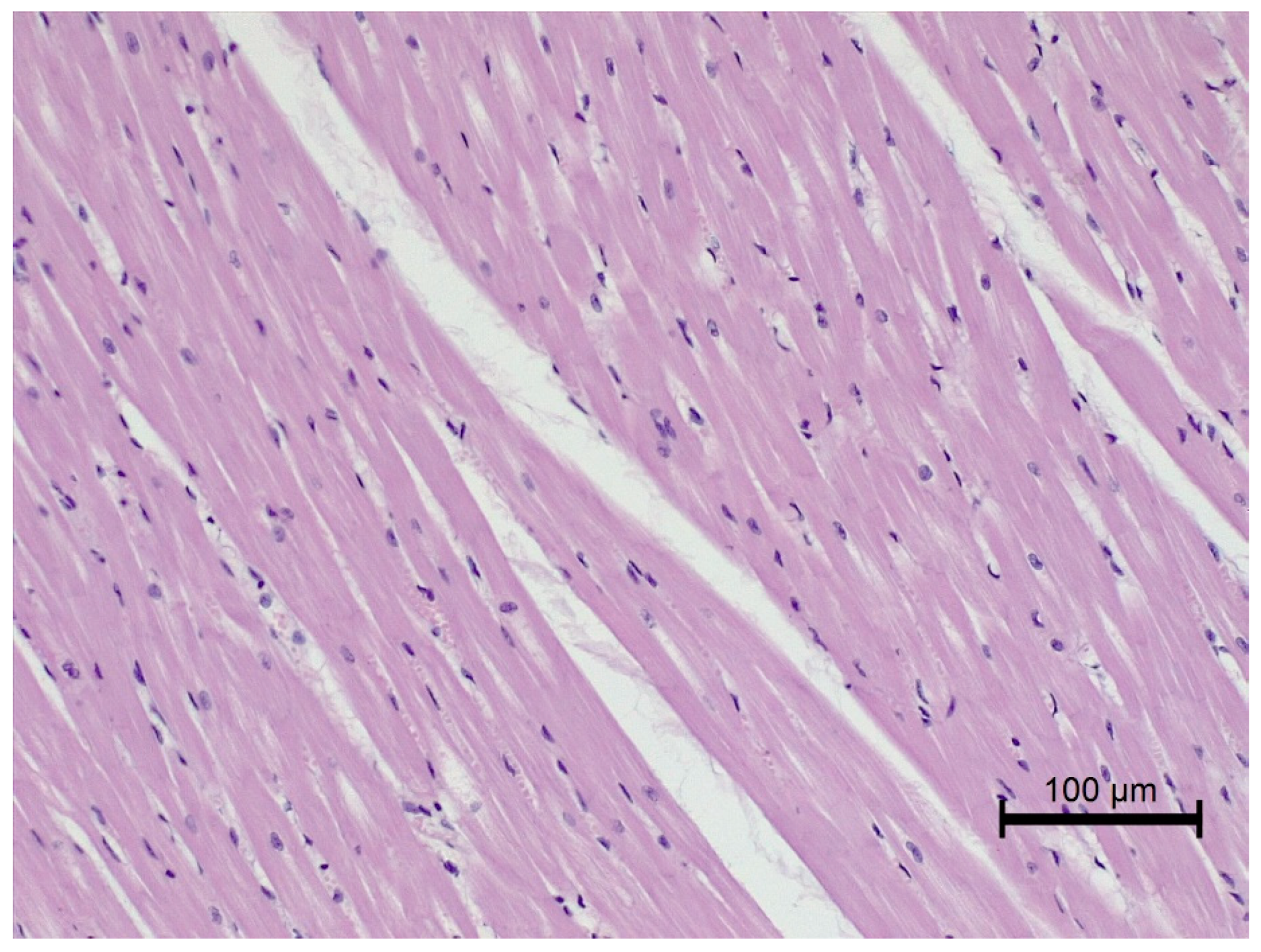
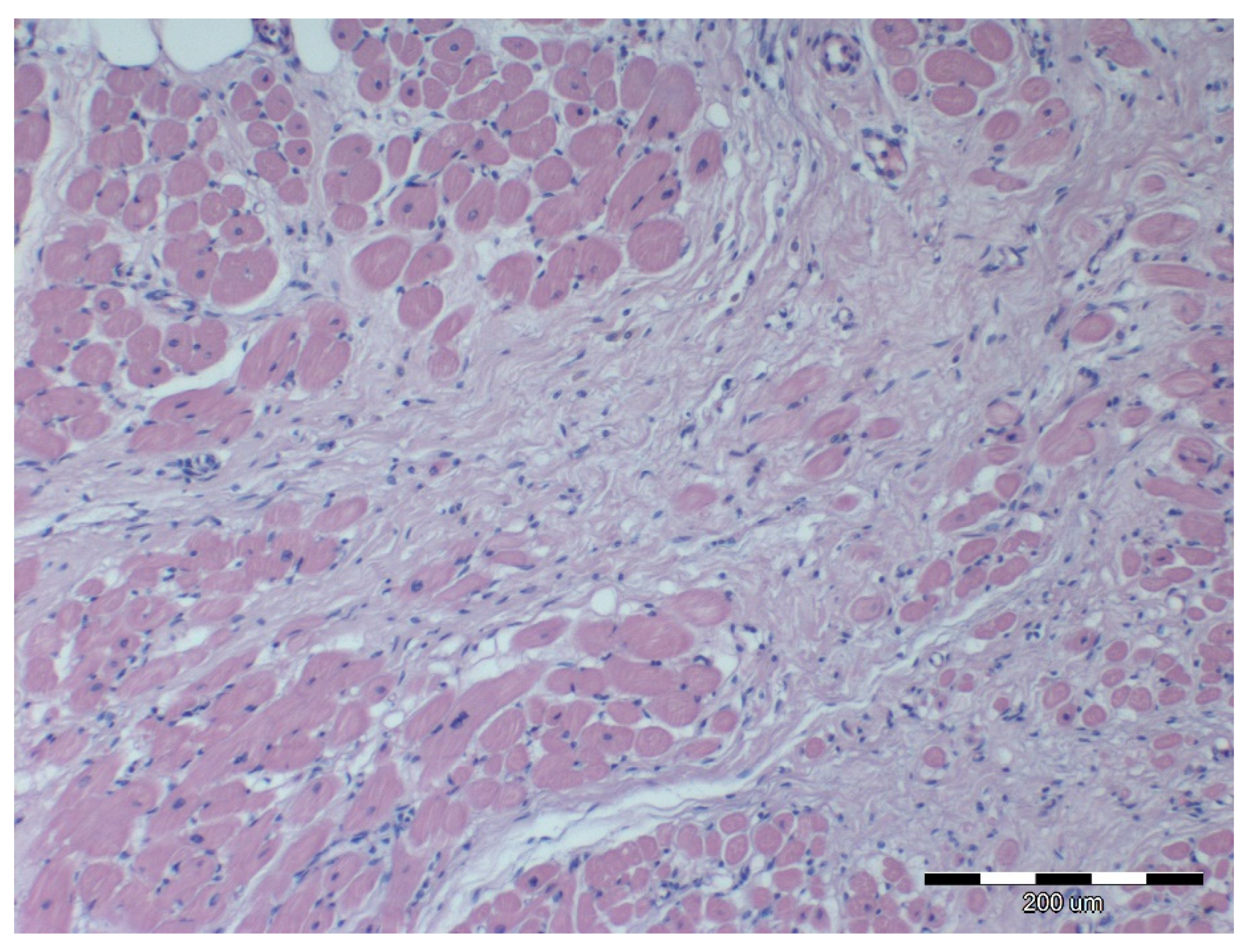
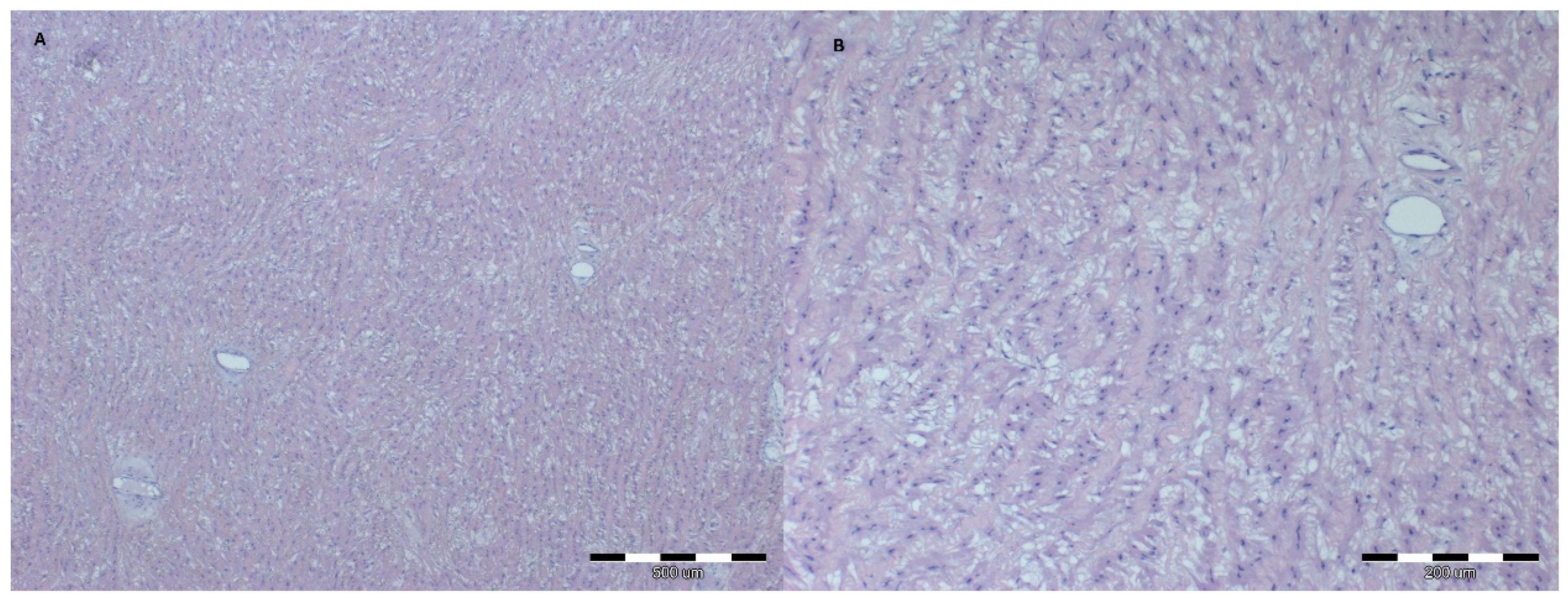
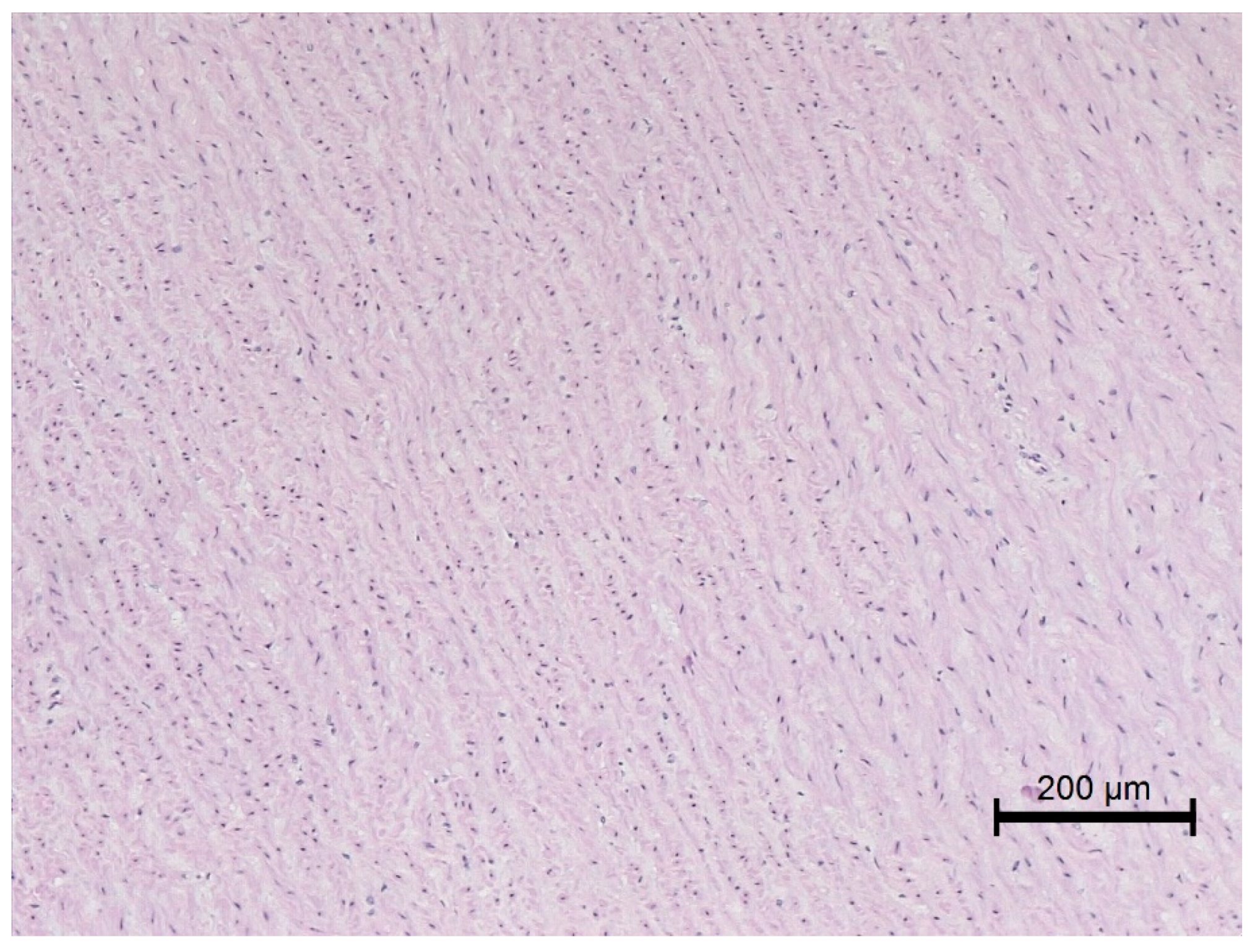
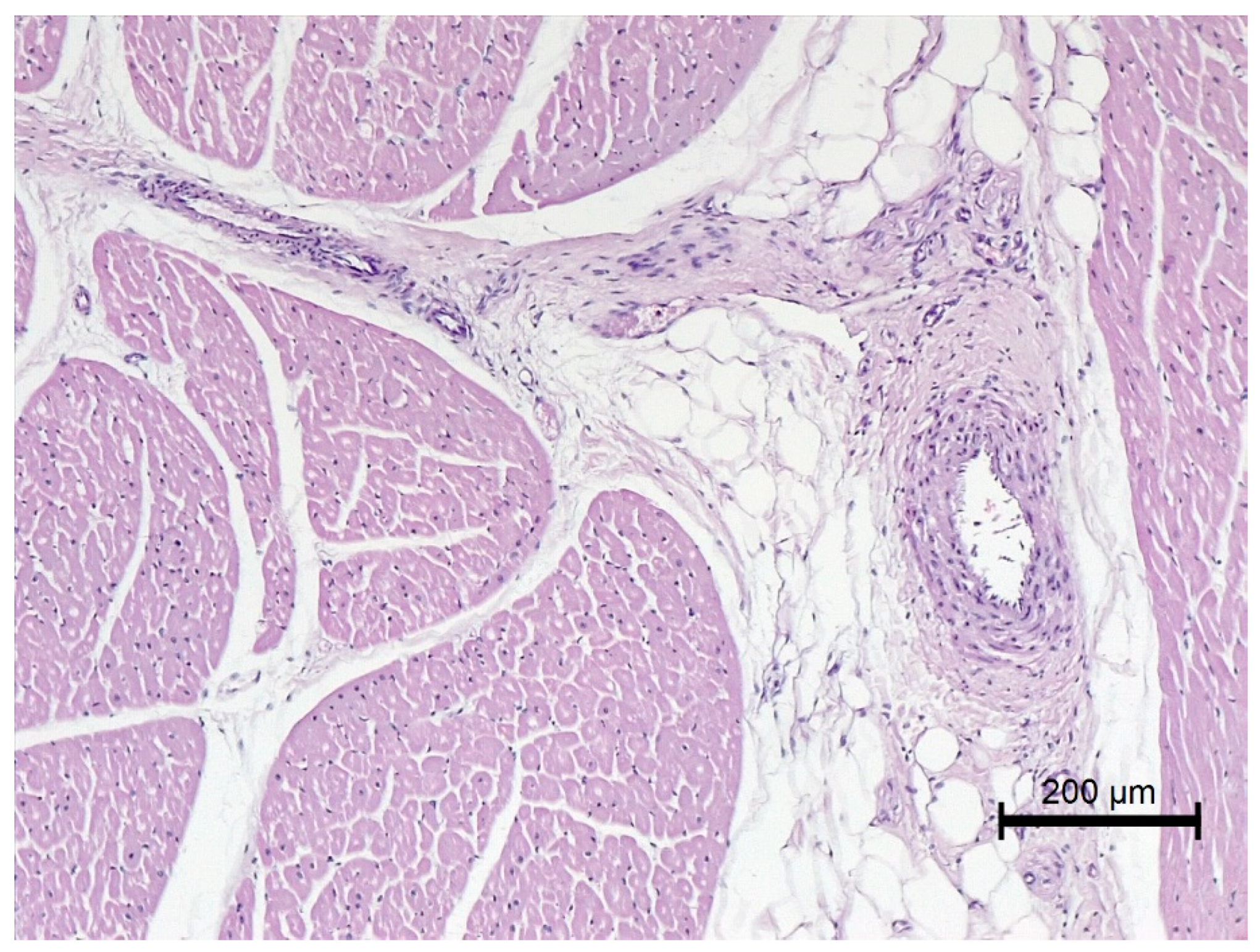
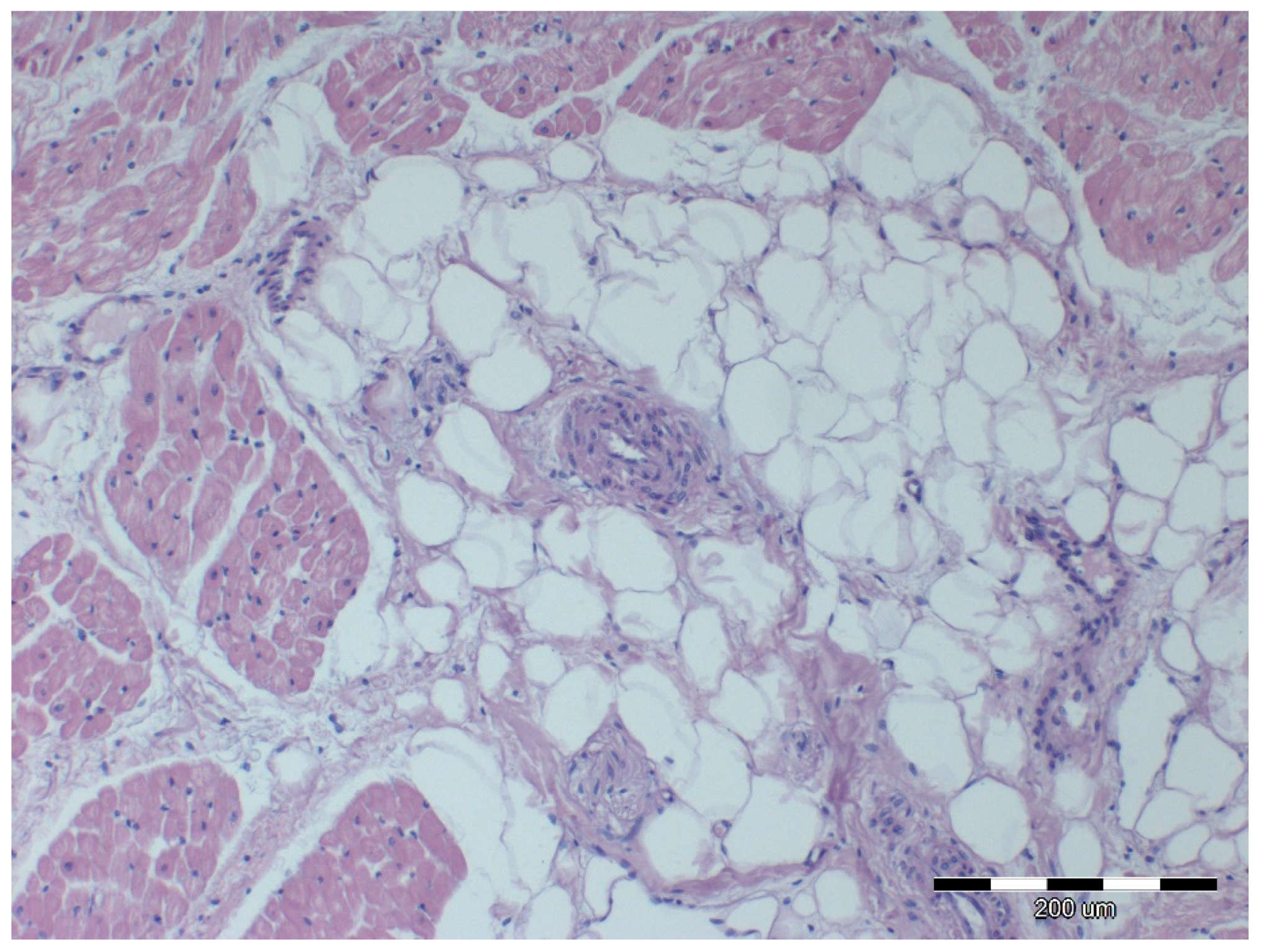
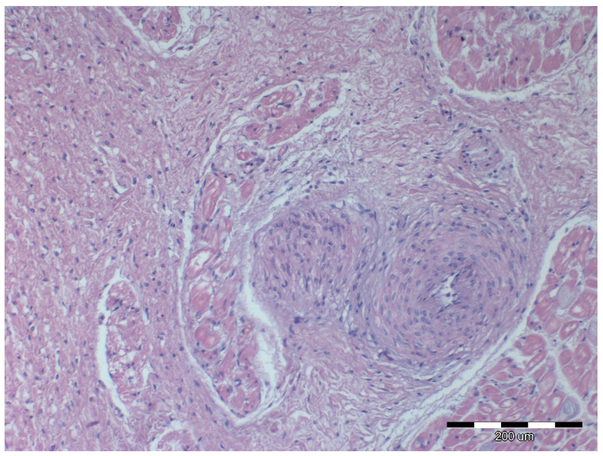
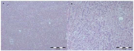
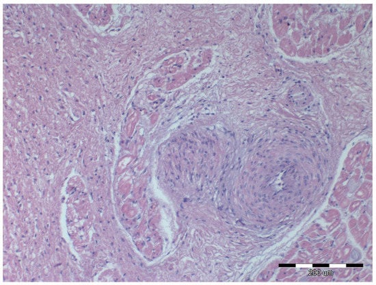
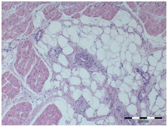
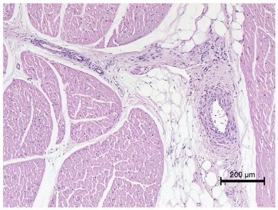
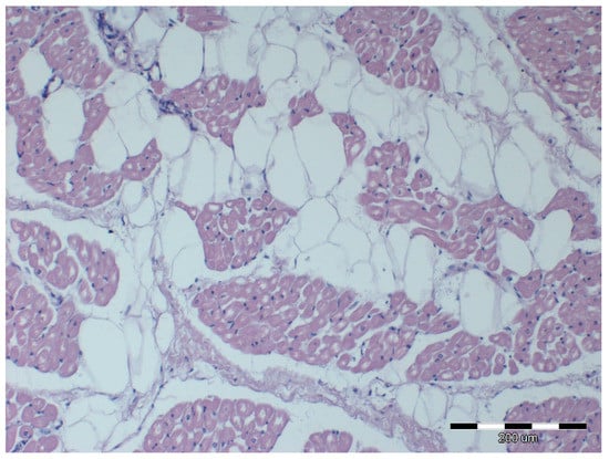
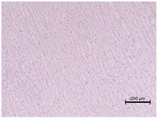
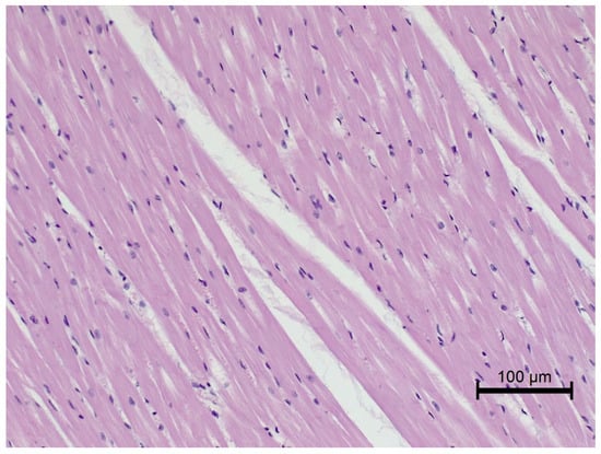
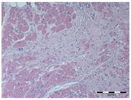
3. Results
4. Discussion
5. Conclusions
Author Contributions
Funding
Institutional Review Board Statement
Informed Consent Statement
Data Availability Statement
Acknowledgments
Conflicts of Interest
References
- Giles, S.L.; Rands, S.A.; Nicol, C.J.; Harris, P.A. Obesity prevalence and associated risk factors in outdoor living domestic horses and ponies. PeerJ 2014, 2, e299. [Google Scholar] [CrossRef] [PubMed]
- Dugdale, A.H.; Curtis, G.C.; Harris, P.A.; Argo, C.M. Assessment of body fat in the pony: Part I. Relationships between the anatomical distribution of adipose tissue, body composition and body condition. Equine Vet. J. 2011, 43, 552–561. [Google Scholar] [CrossRef] [PubMed]
- Dugdale, A.H.A.; Curtis, G.C.; Cripps, P.J.; Harris, P.A.; Argo, C.M. Effects of season and body condition on appetite, body mass and body composition in ad libitum fed pony mares. Vet. J. 2011, 190, 329–337. [Google Scholar] [CrossRef] [PubMed]
- Johnson, P.J.; Wiedmeyer, C.E.; Messer, N.T.; Ganjam, V.K. Medical implications of obesity in horses--lessons for human obesity. J. Diabetes Sci. Technol. 2009, 3, 163–174. [Google Scholar] [CrossRef] [PubMed]
- Khan, S.S.; Ning, H.; Wilkins, J.T.; Allen, N.; Carnethon, M.; Berry, J.D.; Sweis, R.N.; Lloyd-Jones, D.M. Association of Body Mass Index With Lifetime Risk of Cardiovascular Disease and Compression of Morbidity. JAMA Cardiol. 2018, 3, 280–287. [Google Scholar] [CrossRef] [PubMed]
- Iliodromiti, S.; Celis-Morales, C.A.; Lyall, D.M.; Anderson, J.; Gray, S.R.; Mackay, D.F.; Nelson, S.M.; Welsh, P.; Pell, J.P.; Gill, J.M.R.; et al. The impact of confounding on the associations of different adiposity measures with the incidence of cardiovascular disease: A cohort study of 296 535 adults of white European descent. Eur. Heart J. 2018, 39, 1514–1520. [Google Scholar] [CrossRef] [PubMed]
- Carbone, S.; Canada, J.M.; Billingsley, H.E.; Siddiqui, M.S.; Elagizi, A.; Lavie, C.J. Obesity paradox in cardiovascular disease: Where do we stand? Vasc. Health Risk Manag. 2019, 15, 89–100. [Google Scholar] [CrossRef]
- Jayedi, A.; Shab-Bidar, S. Nonlinear dose-response association between body mass index and risk of all-cause and cardiovascular mortality in patients with hypertension: A meta-analysis. Obes. Res. Clin. Pract. 2018, 12, 16–28. [Google Scholar] [CrossRef]
- Badheka, A.O.; Rathod, A.; Kizilbash, M.A.; Garg, N.; Mohamad, T.; Afonso, L.; Jacob, S. Influence of obesity on outcomes in atrial fibrillation: Yet another obesity paradox. Am. J. Med. 2010, 123, 646–651. [Google Scholar] [CrossRef] [PubMed]
- Brida, M.; Dimopoulos, K.; Kempny, A.; Liodakis, E.; Alonso-Gonzalez, R.; Swan, L.; Uebing, A.; Baumgartner, H.; Gatzoulis, M.A.; Diller, G.P. Body mass index in adult congenital heart disease. Heart 2017, 103, 1250–1257. [Google Scholar] [CrossRef]
- Van Gaal, L.F.; Mertens, I.L.; De Block, C.E. Mechanisms linking obesity with cardiovascular disease. Nature 2006, 444, 875–880. [Google Scholar] [CrossRef] [PubMed]
- Douketis, J.D.; Sharma, A.M. Obesity and cardiovascular disease: Pathogenic mechanisms and potential benefits of weight reduction. Semin. Vasc. Med. 2005, 5, 25–33. [Google Scholar] [CrossRef] [PubMed]
- Abel, E.D.; Litwin, S.E.; Sweeney, G. Cardiac remodeling in obesity. Physiol. Rev. 2008, 88, 389–419. [Google Scholar] [CrossRef]
- Eijsvogels, T.M.; Veltmeijer, M.T.; George, K.; Hopman, M.T.; Thijssen, D.H. The impact of obesity on cardiac troponin levels after prolonged exercise in humans. Eur. J. Appl. Physiol. 2012, 112, 1725–1732. [Google Scholar] [CrossRef][Green Version]
- Makris, M.C.; Alexandrou, A.; Papatsoutsos, E.G.; Malietzis, G.; Tsilimigras, D.I.; Guerron, A.D.; Moris, D. Ghrelin and Obesity: Identifying Gaps and Dispelling Myths. A Reappraisal. In Vivo 2017, 31, 1047–1050. [Google Scholar] [CrossRef]
- Obradovic, M.; Sudar-Milovanovic, E.; Soskic, S.; Essack, M.; Arya, S.; Stewart, A.J.; Gojobori, T.; Isenovic, E.R. Leptin and Obesity: Role and Clinical Implication. Front. Endocrinol. 2021, 12, 585887. [Google Scholar] [CrossRef]
- Zhang, G.; Yin, X.; Qi, Y.; Pendyala, L.; Chen, J.; Hou, D.; Tang, C. Ghrelin and cardiovascular diseases. Curr. Cardiol. Rev. 2010, 6, 62–70. [Google Scholar] [CrossRef] [PubMed]
- Poetsch, M.S.; Strano, A.; Guan, K. Role of Leptin in Cardiovascular Diseases. Front. Endocrinol. 2020, 11, 354. [Google Scholar] [CrossRef]
- Henneke, D.R.; Potter, G.D.; Kreider, J.L.; Yeates, B.F. Relationship between condition score, physical measurements and body fat percentage in mares. Equine Vet. J. 1983, 15, 371–372. [Google Scholar] [CrossRef]
- Čebulj-Kadunc, N.; Cestnic, V. Circulating leptin concentrations in Lipizzaner horses and jetersko-solchava sheep. Slov. Vet. Res. 2005, 42, 11–14. [Google Scholar]
- Hemmann, K.; Koho, N.; Vainio, O.; Raekallio, M.R. Effects of feed on plasma leptin and ghrelin concentrations in crib-biting horses. Vet. J. 2013, 198, 122–126. [Google Scholar] [CrossRef] [PubMed]
- de Wit-Verheggen, V.H.W.; Altintas, S.; Spee, R.J.M.; Mihl, C.; van Kuijk, S.M.J.; Wildberger, J.E.; Schrauwen-Hinderling, W.G.; Kietselaer, B.L.J.H.; van de Weijer, T. Pericardial fat and its influence on cardiac diastolic function. Cardiovasc. Diabetol. 2020, 19, 129. [Google Scholar] [CrossRef]
- Iacobellis, G.; Leonetti, F. Epicardial adipose tissue and insulin resistance in obese subjects. J. Clin. Endocrinol. Metab. 2005, 90, 6300–6302. [Google Scholar] [CrossRef] [PubMed]
- Kim, E.; Choe, Y.H.; Han, B.K.; Kim, S.M.; Kim, J.S.; Park, S.W.; Sung, J. Right ventricular fat infiltration in asymptomatic subjects: Observations from ECG-gated 16-slice multidetector CT. J. Comput. Assist. Tomogr. 2007, 31, 22–28. [Google Scholar] [CrossRef]
- Tansey, D.K.; Aly, Z.; Sheppard, M.N. Fat in the right ventricle of the normal heart. Histopathology 2005, 46, 98–104. [Google Scholar] [CrossRef]
- Iacobellis, G. Local and systemic effects of the multifaceted epicardial adipose tissue depot. Nat. Rev. Endocrinol. 2015, 11, 363–371. [Google Scholar] [CrossRef] [PubMed]
- Gaborit, B.; Abdesselam, I.; Dutour, A. Epicardial fat: More than just an “epi” phenomenon? Horm. Metab. Res. 2013, 45, 991–1001. [Google Scholar] [CrossRef] [PubMed]
- Cherian, S.; Lopaschuk, G.D.; Carvalho, E. Cellular cross-talk between epicardial adipose tissue and myocardium in relation to the pathogenesis of cardiovascular disease. Am. J. Physiol.-Endocrinol. Metab. 2012, 303, 937–949. [Google Scholar] [CrossRef]
- Guzzardi, M.A.; Iozzo, P. Fatty heart, cardiac damage, and inflammation. Rev. Diabet. Stud. 2011, 8, 403–417. [Google Scholar] [CrossRef]
- Avelar, E.; Cloward, T.V.; Walker, J.M.; Farney, R.J.; Strong, M.; Pendleton, R.C.; Segerson, N.; Adams, T.D.; Gress, R.E.; Hunt, S.C.; et al. Left ventricular hypertrophy in severe obesity: Interactions among blood pressure, nocturnal hypoxemia, and body mass. Hypertension 2007, 49, 34–39. [Google Scholar] [CrossRef]
- Iacobellis, G.; Ribaudo, M.C.; Zappaterreno, A.; Iannucci, C.V.; Di Mario, U.; Leonetti, F. Adapted changes in left ventricular structure and function in severe uncomplicated obesity. Obes. Res. Clin. Pract. 2004, 12, 1616–1621. [Google Scholar] [CrossRef] [PubMed]
- Wong, C.Y.; O’Moore-Sullivan, T.; Leano, R.; Hukins, C.; Jenkins, C.; Marwick, T.H. Association of subclinical right ventricular dysfunction with obesity. J. Am. Coll. Cardiol. 2006, 47, 611–616. [Google Scholar] [CrossRef] [PubMed]
- Wang, T.J.; Parise, H.; Levy, D.; D’Agostino, R.B.; Wolf, P.A.; Vasan, R.S.; Benjamin, E.J. Obesity and the risk of new-onset atrial fibrillation. JAMA 2004, 292, 2471–2477. [Google Scholar] [CrossRef] [PubMed]
- Pascual, M.; Pascual, D.A.; Soria, F.; Vicente, T.; Hernández, A.M.; Tébar, F.J.; Valdés, M. Effects of isolated obesity on systolic and diastolic left ventricular function. Heart 2003, 89, 1152–1156. [Google Scholar] [CrossRef] [PubMed]
- Ouwens, D.M.; Boer, C.; Fodor, M.; de Galan, P.; Heine, R.J.; Maassen, J.A.; Diamant, M. Cardiac dysfunction induced by high-fat diet is associated with altered myocardial insulin signalling in rats. Diabetologia 2005, 48, 1229–1237. [Google Scholar] [CrossRef] [PubMed]
- Carroll, J.F.; Zenebe, W.J.; Strange, T.B. Cardiovascular function in a rat model of diet-induced obesity. Hypertension 2006, 48, 65–72. [Google Scholar] [CrossRef]
- Wong, C.Y.; O’Moore-Sullivan, T.; Leano, R.; Byrne, N.; Beller, E.; Marwick, T.H. Alterations of left ventricular myocardial characteristics associated with obesity. Circulation 2004, 110, 3081–3087. [Google Scholar] [CrossRef]
- Yap, C.G.; Naidu, R.; Jin, K.D.; Sirasanagandla, S.R.; Pamidi, N. Pleiotropic effects of metformin in managing type 2 diabetes and metabolicsyndrome: Evidences from experimental mouse model. Biomed. Res. 2018, 29, 3323–3335. [Google Scholar]
- Sahraoui, A.; Dewachter, C.; de Medina, G.; Naeije, R.; Aouichat Bouguerra, S.; Dewachter, L. Myocardial Structural and Biological Anomalies Induced by High Fat Diet in Psammomys obesus Gerbils. PLoS ONE 2016, 11, e0148117. [Google Scholar] [CrossRef]
- Zhou, Y.T.; Grayburn, P.; Karim, A.; Shimabukuro, M.; Higa, M.; Baetens, D.; Orci, L.; Unger, R.H. Lipotoxic heart disease in obese rats: Implications for human obesity. Proc. Natl. Acad. Sci. USA 2000, 97, 1784–1789. [Google Scholar] [CrossRef]
- Cittadini, A.; Mantzoros, C.S.; Hampton, T.G.; Travers, K.E.; Katz, S.E.; Morgan, J.P.; Flier, J.S.; Douglas, P.S. Cardiovascular abnormalities in transgenic mice with reduced brown fat: An animal model of human obesity. Circulation 1999, 100, 2177–2183. [Google Scholar] [CrossRef] [PubMed]
- Kotsis, V.T.; Stabouli, S.V.; Papamichael, C.M.; Zakopoulos, N.A. Impact of obesity in intima media thickness of carotid arteries. Obesity 2006, 14, 1708–1715. [Google Scholar] [CrossRef] [PubMed]
- Simşek, E.; Balta, H.; Balta, Z.; Dallar, Y. Childhood obesity-related cardiovascular risk factors and carotid intima-media thickness. Turk. J. Pediatrics 2010, 52, 602–611. [Google Scholar]
- Zhu, W.; Huang, X.; He, J.; Li, M.; Neubauer, H. Arterial intima-media thickening and endothelial dysfunction in obese Chinese children. Eur. J. Pediatrics 2005, 164, 337–344. [Google Scholar] [CrossRef] [PubMed]
- Manco, M.; Nobili, V.; Alisi, A.; Panera, N.; Handberg, A. Arterial Stiffness, Thickness and Association to Suitable Novel Markers of Risk at the Origin of Cardiovascular Disease in Obese Children. Int. J. Med. Sci. 2017, 14, 711–720. [Google Scholar] [CrossRef] [PubMed]
- Wildman, R.P.; Mehta, V.; Thompson, T.; Brockwell, S.; Sutton-Tyrrell, K. Obesity Is Associated With Larger Arterial Diameters in Caucasian and African-American Young Adults. Diabetes Care 2004, 27, 2997–2999. [Google Scholar] [CrossRef] [PubMed][Green Version]
- Lakatta, E.G. Arterial and cardiac aging: Major shareholders in cardiovascular disease enterprises. Part III: Cellular and molecular clues to heart and arterial aging. Circulation 2003, 107, 490–497. [Google Scholar] [CrossRef]
- Robinson, M.R.; Scheuermann-Freestone, M.; Leeson, P.; Channon, K.M.; Clarke, K.; Neubauer, S.; Wiesmann, F. Uncomplicated obesity is associated with abnormal aortic function assessed by cardiovascular magnetic resonance. J. Cardiovasc. Magn. Reson. Off. J. Soc. Cardiovasc. Magn. Reson. 2008, 10, 10. [Google Scholar] [CrossRef]
- Vera, L.; Muylle, S.; Van Steenkiste, G.; Segers, P.; Decloedt, A.; Chiers, K.; van Loon, G. Histological and biomechanical properties of systemic arteries in young and old Warmblood horses. PLoS ONE 2021, 16, e0253730. [Google Scholar] [CrossRef]
- Peroni, J.F.; Eades, S.C.; Bailey, S.R. Equine Laminitis; Belknap, J.K., Ed.; Wiley-Blackwell: Oxford, UK, 2017; pp. 75–81. [Google Scholar]
- Morgan, R.A.; Keen, J.A.; Walker, B.R.; Hadoke, P.W.F. Vascular Dysfunction in Horses with Endocrinopathic Laminitis. PLoS ONE 2016, 11, e0163815. [Google Scholar] [CrossRef] [PubMed]
- Kearns, C.F.; McKeever, K.H.; Roegner, V.; Brady, S.M.; Malinowski, K. Adiponectin and leptin are related to fat mass in horses. Vet. J. 2016, 172, 460–465. [Google Scholar] [CrossRef] [PubMed]
- Pratt-Phillips, S.E.; Owens, K.M.; Dowler, L.E.; Cloninger, M.T. Assessment of resting insulin and leptin concentrations and their association with managerialand innate factors in horses. J. Equine Vet. Sci. 2010, 30, 127–133. [Google Scholar] [CrossRef]
- Barouch, L.A.; Gao, D.; Chen, L.; Miller, K.L.; Xu, W.; Phan, A.C.; Kittleson, M.M.; Minhas, K.M.; Berkowitz, D.E.; Wei, C.; et al. Cardiac myocyte apoptosis is associated with increased DNA damage and decreased survival in murine models of obesity. Circ. Res. 2006, 98, 119–124. [Google Scholar] [CrossRef] [PubMed]
- Ali, N.; Sumon, A.H.; Fariha, K.A.; Asaduzzaman, M.; Kathak, R.R.; Molla, N.M.; Mou, A.D.; Barman, Z.; Hasan, M.; Miah, R.; et al. Assessment of the relationship of serum liver enzymes activity with general and abdominal obesity in an urban Bangladeshi population. Sci. Rep. 2021, 11, 6640. [Google Scholar] [CrossRef] [PubMed]
- Strauss, R.S.; Barlow, S.E.; Dietz, W.H. Prevalence of abnormal serum aminotransferase values in overweight and obese adolescents. J. Pediatrics 2000, 136, 727–733. [Google Scholar] [CrossRef]









| Parameter | Lean Group (n = 7) | Obese Group (n = 12) |
|---|---|---|
| Coronary artery thickness [μm] | 1137.6 ± 134.1 | 1052.2 ± 316.2 |
| Palmar artery thickness [μm] | 731.4 ± 224.9 | 603.1 ± 79.5 |
| Palmar artery lumen diameter [μm] | 1081 ± 349.3 * | 1641.3 ± 313.6 * |
| Palmar artery total diameter [μm] | 2469.2 ± 550.3 | 2798.6 ± 351.4 |
| Palmar artery lumen-to-total diameter ratio | 0.42 ± 0.05 * | 0.58 ± 0.05 * |
| Parameter | Lean Group (n = 7) | Obese Group (n = 12) |
|---|---|---|
| Albumin (µmol/L) | 31.3 ± 2.6 | 33.9 ± 3.3 |
| ALT (U/L) | 24.4 ± 27.9 | 17.3 ± 10.9 |
| AP (U/L) | 288.3 ± 115.6 | 262.8 ± 80.9 |
| AST (U/L) | 251.3 ± 51.7 * | 480.3 ± 176.1 * |
| Bilirubin total (µmol/L) | 42.4 ± 12.8 | 38.2 ± 18.0 |
| Bilirubin unconjugated (µmol/L) | 6.2 ± 1.3 | 8.8 ± 3.6 |
| Cholesterol (mmol/L) | 2.5 ± 0.5 | 2.5 ± 0.5 |
| GGT (U/L) | 21.3 ± 6.8 | 35.4 ± 22.0 |
| Ghrelin (pg/mL) | 303.6 ± 44.7 * | 237.7 ± 74.8 * |
| GLDH (U/L) | 7.6 ± 7.1 | 17.0 ± 27.2 |
| Glucose (mmol/L) | 4.5 ± 1.0 | 6.4 ± 1.0 |
| Insulin (µU/mL) | 9.4 ± 5.8 | 8.5 ± 9.5 |
| LDH (U/L) | 671.3 ± 220.8 | 620.2 ± 189.3 |
| Leptin (ng/mL) | 6.28 ± 2.7 * | 21.41 ± 15.09 * |
| Urea (mmol/L) | 3.9 ± 0.8 | 5.2 ± 1.3 |
| TR (mmol/L) | 0.5 ± 0.3 | 0.5 ± 0.4 |
| Troponin (ng/L) | 11.0 ± 2.3 | 13.9 ± 9.1 |
Publisher’s Note: MDPI stays neutral with regard to jurisdictional claims in published maps and institutional affiliations. |
© 2022 by the authors. Licensee MDPI, Basel, Switzerland. This article is an open access article distributed under the terms and conditions of the Creative Commons Attribution (CC BY) license (https://creativecommons.org/licenses/by/4.0/).
Share and Cite
Siwinska, N.; Janus, I.; Zak-Bochenek, A.; Noszczyk-Nowak, A. Influence of Obesity on Histological Tissue Structure of the Cardiovascular System in Horses. Animals 2022, 12, 732. https://doi.org/10.3390/ani12060732
Siwinska N, Janus I, Zak-Bochenek A, Noszczyk-Nowak A. Influence of Obesity on Histological Tissue Structure of the Cardiovascular System in Horses. Animals. 2022; 12(6):732. https://doi.org/10.3390/ani12060732
Chicago/Turabian StyleSiwinska, Natalia, Izabela Janus, Agnieszka Zak-Bochenek, and Agnieszka Noszczyk-Nowak. 2022. "Influence of Obesity on Histological Tissue Structure of the Cardiovascular System in Horses" Animals 12, no. 6: 732. https://doi.org/10.3390/ani12060732
APA StyleSiwinska, N., Janus, I., Zak-Bochenek, A., & Noszczyk-Nowak, A. (2022). Influence of Obesity on Histological Tissue Structure of the Cardiovascular System in Horses. Animals, 12(6), 732. https://doi.org/10.3390/ani12060732

