Alkyphenol Exposure Alters Steroidogenesis in Male Lizard Podarcis siculus
Abstract
Simple Summary
Abstract
1. Introduction
2. Material and Methods
2.1. Chemicals
2.2. Animals
2.3. Treatments
2.4. Histological and Immunohistochemistry Analysis
2.5. Statistical Analysis
3. Results
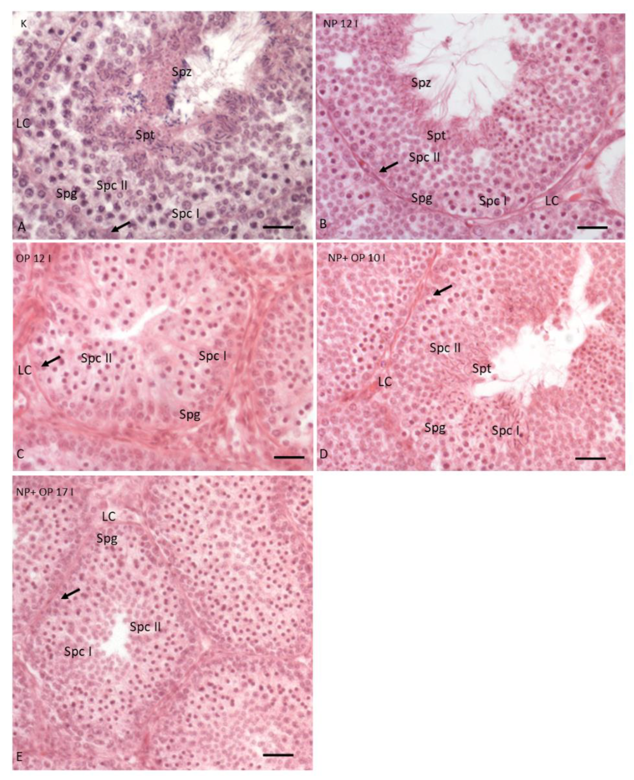
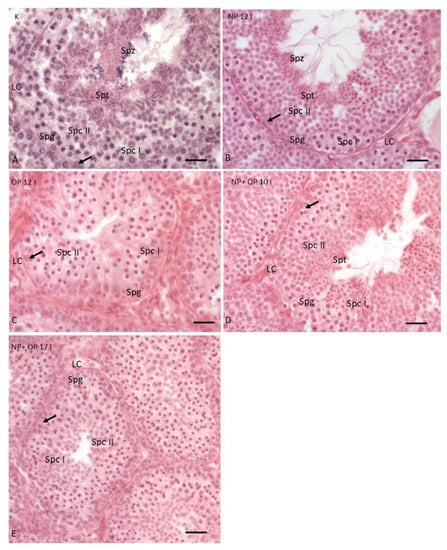
3.1. NP and OP Induce Alteration in Testis Morphology
3.2. Immunohistochemistry for 3 βHSD, 17 βHSD and P450 Aromatase
4. Discussion
5. Conclusions
Author Contributions
Funding
Institutional Review Board Statement
Data Availability Statement
Conflicts of Interest
References
- Eurostat, 2020. Sales of Pesticides in the EU. Available online: https://ec.europa.eu/eurostat/web/products-eurostat-news/-/DDN-20200603-1 (accessed on 3 June 2020).
- Xie, Y.; Jiang, H.; Chang, J.; Wang, Y.; Li, J.; Wang, H. Gonadal disruption after single dose exposure of prothioconazole and prothioconazole-desthio in male lizards (Eremias argus). Environ. Poll. 2019, 255, 113297. [Google Scholar] [CrossRef] [PubMed]
- Kassotis, C.D.; Vandenberg, L.N.; Demeneix, B.A.; Porta, M.; Slama, R.; Trasande, L. Endocrine-disrupting chemicals: Economic, regulatory, and policy implications. Lancet Diabetes Endocrinol. 2020, 8, 719–730. [Google Scholar] [CrossRef]
- La Merrill, M.A.; Vandenberg, L.N.; Smith, M.T.; Goodson, W.; Browne, P.; Patisaul, H.B.; Guyton, K.Z.; Kortenkamp, A.; Cogliano, V.J.; Woodruff, T.J.; et al. Consensus on the key characteristics of endocrine-disrupting chemicals as a basis for hazard identification. Nat. Rev. Endocrinol. 2020, 16, 45–57. [Google Scholar] [CrossRef] [PubMed]
- Salgueiro-González, N.; Muniategui-Lorenzo, S.; López-Mahía, P.; Prada-Rodríguez, D. Trends in analytical methodologies for the determination of alkylphenols and bisphenol A in water samples. Anal. Chim. Acta 2017, 962, 1–14. [Google Scholar] [CrossRef] [PubMed]
- Asimakopoulos, A.G.; Thomaidis, N.S.; Koupparis, M.A. Recent trends in biomonitoring of bisphenol A, 4-t-octylphenol, and 4-nonylphenol. Toxicol. Lett. 2012, 210, 141–154. [Google Scholar] [CrossRef] [PubMed]
- Careghini, A.; Mastorgio, F.; Saponaro, S.; Sezenna, E. Bisphenol A, nonylphenols, benzophenons, and benzotriazoles in soils, groundwater, surface water, sediments and food: A review. Environ. Sci. Pollut. Res. Int. 2015, 8, 5711–5741. [Google Scholar] [CrossRef] [PubMed]
- Zhang, Z.; Ren, N.; Kannan, K.; Nan, J.; Liu, L.; Ma, W.; Qi, H.; Li, Y. Occurrence of endocrine-disrupting phenols and estrogens in water and sediment of the Songhua river, northeastern China. Arch. Environ. Contam. Toxicol. 2014, 66, 361–369. [Google Scholar] [CrossRef]
- Salgueiro-Gonzáles, N.; Turnes-Carou, I.; Viñas, L.; Besada, V.; Muniategui-Lorenzo, S.; López-Mahía, P.; Prada-Rodríguez, D. Occurrence of alkylphenols and bisphenol A in wild mussel samples from the Spanish Atlantic coast and Bay of Biscay. Mar. Pollut. Bull. 2016, 106, 360–365. [Google Scholar] [CrossRef] [PubMed]
- Luo, L.; Yang, Y.; Wang, Q.; Li, H.P.; Luo, Z.F.; Qu, Z.P.; Yang, Z.G. Determination of 4-n-octylphenol, 4-n-nonylphenol and bisphenol A in fish samples from lake and rivers within Hunan Province China. Microchem. J. 2017, 132, 100–106. [Google Scholar] [CrossRef]
- Maggioni, S.; Balaguer, S.; Chiozzotto, P.; Benfenati, E. Screening of endocrinig disrupting phenols, herbicides, steroid estrogens, and estrogenicity in drinking water from the waterworks of 35 Italian cities and from PET-bottled mineral water. Environ. Sci. Pollut. Res. Int. 2013, 20, 1649–1660. [Google Scholar] [CrossRef] [PubMed]
- Ademollo, N.; Ferrara, F.; Delise, M.; Fabietti, F.; Funari, E. Nonylphenol and octylphenol in human breast milk. Environ. Int. 2008, 34, 984–987. [Google Scholar] [CrossRef]
- Shekhar, S.; Sood, S.; Showkat, S.; Lite, C.; Chandrasekhar, A.; Vairamani, M.; Barathi, S.; Santosh, W. Detection of phenolic endocrine disrupting chemicals (EDCs) from maternal blood plasma and amniotic fluid in Indian population. Gen. Comp. Endocrinol. 2017, 241, 100–107. [Google Scholar] [CrossRef] [PubMed]
- Nappi, F.; Barrea, L.; Di Somma, C.; Savanelli, M.C.; Muscogiuri, G.; Orio, F.; Savastano, S. Endocrine aspects of environmental “obesogen” pollutants. Int. J. Environ. Res. Public Health 2016, 13, 765–781. [Google Scholar] [CrossRef]
- Forte, M.; Di Lorenzo, M.; Carrizzo, A.; Valiante, S.; Vecchione, C.; Laforgia, V.; De Falco, M. Nonylphenol effects on human prostate non tumorigenic cells. Toxicology 2016, 357, e358. [Google Scholar] [CrossRef] [PubMed]
- Forte, M.; Di Lorenzo, M.; Iachetta, G.; Mita, D.G.; Laforgia, V.; De Falco, M. Nonylphenol acts on prostate adenocarcinoma cells via estrogen molecular pathways. Ecotoxicol. Environ. Saf. 2019, 180, e419. [Google Scholar] [CrossRef] [PubMed]
- Laws, S.C.; Carey, S.A.; Ferrell, J.M.; Bodman, G.J.; Cooper, R.L. Estrogenic activity of octylphenol, nonylphenol, bisphenol A and methoxychlor in rats. Toxicol. Sci. 2000, 54, e167. [Google Scholar] [CrossRef] [PubMed]
- Liu, C.; Lai, Y.; Ouyang, J.; Yang, T.; Guo, Y.; Yang, J.; Huang, S. Influence of nonylphenol and octylphenol exposure on 5-HT, 5-HT transporter, and 5-HT2A receptor. Environ. Sci. Pollut. Res. Int. 2017, 24, e8286. [Google Scholar] [CrossRef] [PubMed]
- Acconcia, F.; Fiocchetti, M.; Marino, M. Xenoestrogen regulation of ERa/ERb balance in hormone-associated cancers. Mol. Cell. Endocrinol. 2017, 457, 3–12. [Google Scholar] [CrossRef]
- Annamalai, J.; Namasivayam, V. Endocrine disrupting chemicals in the atmosphere: Their effects on humans and wildlife. Environ. Int. 2015, 76, 78–97. [Google Scholar] [CrossRef]
- Chen, M.; Tang, R.; Fu, G.; Xu, B.; Zhu, P.; Qiao, S.; Chen, X.; Xu, B.; Qin, Y.; Lu, C.; et al. Association of exposure to phenols and idiopathic male infertility. J. Hazard Mater. 2013, 250–251, 115–121. [Google Scholar] [CrossRef]
- Bian, Q.; Qian, J.; Xu, L.; Chen, J.; Song, L.; Wang, X. The toxic effects of 4-tertoctylphenol on the reproductive system of male rats. Food Chem. Toxicol. 2006, 44, 1355–1361. [Google Scholar] [CrossRef] [PubMed]
- Puy-Azurmendi, E.; Olivares, A.; Vallejo, A.; Ortiz-Zarragoitia, M.; Piña, B.; Zuloaga, O.; Cajara ville, M.P. Estrogenic effects of nonylphenol and octylphenol isomers in vitro by recombinant yeast assay (RYA) and in vivo with early life stages of zebrafish. Sci. Total Environ. 2014, 466–467, 1–10. [Google Scholar] [CrossRef] [PubMed]
- Del Giudice, G.; Prisco, M.; Agnese, M.; Verderame, M.; Rosati, L.; Limatola, E.; Andreuccetti, P. Effects of nonylphenol on vitellogenin synthesis in adult males of the spotted ray Torpedo marmorata. J. Fish Biol. 2012, 80, 2112–2121. [Google Scholar] [CrossRef] [PubMed]
- Di Lorenzo, M.; Barra, T.; Rosati, L.; Valiante, S.; Capaldo, A.; De Falco, M.; Laforgia, V. Adrenal gland response to endocrine disrupting chemicals in fishes, amphibians and reptiles: A comparative overview. Gen. Comp. Endocrinol. 2020, 297, 113550. [Google Scholar] [CrossRef]
- El-Sayed Ali, T.; Abdel-Aziz, S.H.; El-Sayed, A.F.; Zeid, S. Structural and functional effects of early exposure to 4-nonylphenol on gonadal development of Nile tilapia (Oreochromis niloticus): A-histological alterations in ovaries. Fish Physiol. Biochem. 2014, 40, 1509–1519. [Google Scholar] [CrossRef]
- Xiao, Q.; Zhang, S.C.; Hu, J.H.; Xu, Y.Y. Sperm of rosy barb (Puntius conchonius) as an in vitro assay system of nonylphenol cytotoxicity. J. Environ. Sci. 2006, 18, 417–419. [Google Scholar]
- Kim, Y.B.; Cheon, Y.P.; Choi, D.; Lee, S.H. Histological Analysis of Reproductive System in Low-Dose Nonylphenol-treated F1 Female Mice. Dev. Repr. 2020, 24, 159–165. [Google Scholar] [CrossRef] [PubMed]
- Malmir, M.; Faraji, T.; Ghafarizadeh, A.A.; Khodabandelo, H. Effect of nonylphenol on spermatogenesis: A systematic review. Andrologia 2020, 52, e13748. [Google Scholar] [CrossRef] [PubMed]
- Verderame, M.; Limatola, E. Interferences of an environmental pollutant with estrogen-like action in the male reproductive system of the terrestrial vertebrate Podarcis sicula. Gen. Comp. Endocrinol. 2015, 213, 9–15. [Google Scholar] [CrossRef]
- Angelini, F.; Botte, V. Spermatogenesis in Reptiles: Dynamic and regulatory aspect. Sex Orig. Evol. 1992, 6, 211–230. [Google Scholar]
- Angelini, F.; Picariello, O.; Botte, V. Influence of Photoperiod and Temperature on the Testicular Activity of the Lizard, Lacerta S. Sicula Raf. Ital. J. Zool. 1976, 43, 11–123. [Google Scholar]
- Agnese, M.; Rosati, L.; Prisco, M.; Coraggio, F.; Valiante, S.; Scudiero, R.; Andreuccetti, P. The VIP/VPACR system in the reproductive cycle of male lizard Podarcis sicula. Gen. Comp. Endocrinol. 2014, 205, 94–101. [Google Scholar] [CrossRef] [PubMed]
- Rosati, L.; Andreuccetti, P.; Prisco, M. Vasoactive intestinal peptide (VIP) localization in the epididymis of two vertebrate species. C. R. Biol. 2017, 340, 379–385. [Google Scholar] [CrossRef] [PubMed]
- Paolucci, M.; Di Fiore, M.M. Putative steroid-binding receptors and non receptor components ad testicular activity in the lizard Podarcis sicula sicula. Reproduction 1992, 96, 471–481. [Google Scholar] [CrossRef] [PubMed]
- Raucci, F.; Di Fiore, M.M. The reproductive activity in the testis of Podarcis s. sicula involves D-aspartic acid: A study on c-kit receptor protein, tyrosine kinase activity and PCNA protein during annual sexual cycle. Gen. Comp. Endocrinol. 2009, 161, 373–383. [Google Scholar] [CrossRef] [PubMed]
- Raucci, F.; D’Aniello, S.; Di Fiore, M.M. Endocrine roles of D-aspartic acid in the testis of lizard Podarcis s. sicula. J. Endocrinol. 2005, 187, 347–359. [Google Scholar] [CrossRef]
- Rosati, L.; Prisco, M.; Coraggio, F.; Valiante, S.; Scudiero, R.; Laforgia, V.; Andreuccetti, P.; Agnese, M. PACAP and PAC1 receptor in the reproductive cycle of male lizard Podarcis sicula. Gen. Comp. Endocrinol. 2014, 205, 102–108. [Google Scholar] [CrossRef]
- Rosati, L.; Agnese, M.; Di Fiore, M.M.; Andreuccetti, P.; Prisco, M. P450 aromatase: A key enzyme in the spermatogenesis of the Italian wall lizard, Podarcis sicula. J. Exp. Biol. 2016, 219, 2402–2408. [Google Scholar] [CrossRef] [PubMed]
- Rosati, L.; Agnese, M.; Di Lorenzo, M.; Barra, T.; Valiante, S.; Prisco, M. Spermatogenesis and regulatory factors in the wall lizard Podarcis sicula. Gen. Comp. Endocrinol. 2020, 298, 113579. [Google Scholar] [CrossRef]
- Verderame, M.; Limatola, E.; Scudiero, R. Ectopic synthesis of vitellogenin in testis and epididymis of estrogen-treated lizard Podarcis sicula. Gen. Comp. Endocrinol. 2016, 235, 57–63. [Google Scholar] [CrossRef]
- Verderame, M.; Limatola, E.; Scudiero, R. Estrogenic contamination by manure fertilizer in organic farming: A case study with the lizard Podarcis sicula. Ecotoxicol. 2016, 25, 105–114. [Google Scholar] [CrossRef] [PubMed]
- Rosati, L.; Prisco, M.; Di Lorenzo, M.; De Falco, M.; Andreuccetti, P. Immunolocalization of aromatase P450 in the epididymis of Podarcis sicula and Rattus rattus. Eur. J. Histochem. 2020, 64, 32–40. [Google Scholar] [CrossRef] [PubMed]
- De Falco, M.; Sellitti, A.; Sciarrillo, R.; Capaldo, A.; Valiante, S.; Iachetta, G.; Forte, M.; Laforgia, V. Nonylphenol effects on the HPA axis of the bioindicator vertebrate, Podarcis sicula lizard. Chemosphere 2014, 104, 190–196. [Google Scholar] [CrossRef] [PubMed]
- Di Lorenzo, M.; Sciarrillo, R.; Rosati, L.; Sellitti, A.; Barra, T.; De Luca, A.; Laforgia, V.; De Falco, M. Effects of alkylphenols mixture on the adrenal gland of the lizard Podarcis sicula. Chemosphere 2020, 258, 127239. [Google Scholar] [CrossRef] [PubMed]
- Sciarrillo, R.; Capaldo, A.; Valiante, S.; Gay, F.; Sellitti, A.; Laforgia, V.; De Falco, M. Thyroid Hormones as Potential Early Biomarkers of Exposure to Nonylphenol in Adult Male Lizard (Podarcis sicula). Open Zool. J. 2010, 17, 3. [Google Scholar]
- Sciarrillo, R.; Di Lorenzo, M.; Valiante, S.; Rosati, L.; De Falco, M. OctylPhenol (OP) alone and in combination with NonylPhenol (NP) alters the structure and the function of thyroid gland of the lizard Podarcis siculus. Arch. Environ. Contam. Toxicol. 2021. [Google Scholar] [CrossRef] [PubMed]
- Di Lorenzo, M.; Winge, S.B.; Svingen, T.; De Falco, M.; Boberg, J. Intrauterine exposure to diethylhexyl phthalate disrupts gap junctions in the fetal rat testis. Curr. Res. Toxicol. 2020, 1, 5–11. [Google Scholar] [CrossRef]
- Prisco, M.; Rosati, L.; Agnese, M.; Aceto, S.; Andreuccetti, P.; Valiante, S. Pituitary adenylate cyclase-activating polypeptide in the testis of the quail Coturnix coturnix: Expression, localization, and phylogenetic analysis. Evol. Dev. 2019, 218, 145–156. [Google Scholar] [CrossRef]
- Rosati, L.; Di Fiore, M.M.; Prisco, M.; Di Giacomo Russo, F.; Venditti, M.; Andreuccetti, P.; Chieffi Baccari, G.; Santillo, A. Seasonal expression and cellular distribution of star and steroidogenic enzymes in quail testis. J. Exp. Zool. B Mol. Dev. Evol. 2019, 332, 198–209. [Google Scholar] [CrossRef] [PubMed]
- Rosati, L.; Santillo, A.; Di Fiore, M.M.; Andreuccetti, P.; Prisco, M. Testicular steroidogenic enzymes in the lizard Podarcis sicula during the spermatogenic cycle. C. R. Biol. 2017, 340, 492–498. [Google Scholar] [CrossRef]
- Chieffi, P.; Colucci D’Amato, L.; Guarino, F.; Salvatore, G.; Angelini, F. 17 betaestradiol induces spermatogonial proliferation through mitogen-activated protein kinase (extracellular signal-regulated kinase 1/2) activity in the lizard (Podarcis s. sicula). Mol. Reprod. Dev. 2002, 61, 218–225. [Google Scholar] [CrossRef] [PubMed]
- Rosati, L.; Prisco, M.; Di Fiore, M.M.; Santillo, A.; Sciarrillo, R.; Valiante, S.; Laforgia, V.; Andreuccetti, P. Sex steroid hormone secretion in the wall lizard Podarcis sicula testis: The involvement of VIP. J. Exp. Zool. Ecol. Genet. Physiol. 2015, 323, 714–721. [Google Scholar] [CrossRef]
- Rosati, L.; Prisco, M.; Di Fiore, M.M.; Santillo, A.; Valiante, S.; Andreuccetti, P.; Agnese, M. Role of PACAP on Testosterone and 17βestradiol production in the testis of wall lizard Podarcis sicula. Comp. Biochem. Physiol. A Mol. Integr. Physiol. 2016, 191, 180–186. [Google Scholar] [CrossRef] [PubMed]
- Weber, L.P.; Kiparissis, Y.; Hwang, G.S.; Niimi, A.J.; Janz, D.M.; Metcalfe, C.D. Increased cellular apoptosis after chronic aqueous exposure to nonylphenol and quercetin in adult medaka (Oryzias latipes). Comp. Biochem. Physiol. 2002, 131, 51–59. [Google Scholar] [CrossRef]
- Kaptaner, B.; Unal, G. Effects of 17α-ethynylestradiol and nonylphenol on liver and gonadal apoptosis and histopathology in Chacalburnus tarichii. Environ. Toxicol. 2011, 26, 610–622. [Google Scholar] [CrossRef]
- Cardone, A. Testicular toxicity of methyl thiophanate in the Italian wall lizard (Podarcis sicula): Morphological and molecular evaluation. Ecotoxicology 2012, 21, 512–523. [Google Scholar] [CrossRef] [PubMed]
- Kortenkamp, A. Ten years of mixing cocktails: A review of combination effects of endocrine disrupting chemicals. Environ. Health Perspect. 2007, 115, 98–105. [Google Scholar] [CrossRef] [PubMed]
- Vandenberg, L.N.; Colborn, T.; Hayes, T.B.; Heindel, J.J.; Jacobs, D.R., Jr.; Lee, D.H.; Myers, J.P.; Shioda, T.; Soto, A.M.; von Saal, F.M.; et al. Regulatory decisions on endocrine disrupting chemicals should be based on the principles of endocrinology. Reprod. Toxicol. 2013, 38, 1–15. [Google Scholar] [CrossRef] [PubMed]
- Vandenberg, L.N. Non-monotonic dose responses in studies of endocrine disrupting chemicals: Bisphenol A as a case study. Dose-Response 2014, 12, 259–276. [Google Scholar] [CrossRef] [PubMed]
- Ying, F.; Ding, C.; Ge, R.; Wang, X.; Li, F.; Zhang, Y.; Zeng, Q.; Yu, B.; Rong, J.; Han, X. Comparative evaluation of nonylphenol isomers on steroidogenesis of rat Leydig cells. Toxicol. Vitro 2012, 26, 1114–1121. [Google Scholar] [CrossRef] [PubMed]
- Cooke, P.S.; Nanjappa, M.K.; Ko, C.; Prins, G.S.; Hess, R.A. Estrogens in male physiology. Physiol. Rev. 2017, 97, 995–1043. [Google Scholar] [CrossRef] [PubMed]






Publisher’s Note: MDPI stays neutral with regard to jurisdictional claims in published maps and institutional affiliations. |
© 2021 by the authors. Licensee MDPI, Basel, Switzerland. This article is an open access article distributed under the terms and conditions of the Creative Commons Attribution (CC BY) license (https://creativecommons.org/licenses/by/4.0/).
Share and Cite
Di Lorenzo, M.; Mileo, A.; Laforgia, V.; De Falco, M.; Rosati, L. Alkyphenol Exposure Alters Steroidogenesis in Male Lizard Podarcis siculus. Animals 2021, 11, 1003. https://doi.org/10.3390/ani11041003
Di Lorenzo M, Mileo A, Laforgia V, De Falco M, Rosati L. Alkyphenol Exposure Alters Steroidogenesis in Male Lizard Podarcis siculus. Animals. 2021; 11(4):1003. https://doi.org/10.3390/ani11041003
Chicago/Turabian StyleDi Lorenzo, Mariana, Aldo Mileo, Vincenza Laforgia, Maria De Falco, and Luigi Rosati. 2021. "Alkyphenol Exposure Alters Steroidogenesis in Male Lizard Podarcis siculus" Animals 11, no. 4: 1003. https://doi.org/10.3390/ani11041003
APA StyleDi Lorenzo, M., Mileo, A., Laforgia, V., De Falco, M., & Rosati, L. (2021). Alkyphenol Exposure Alters Steroidogenesis in Male Lizard Podarcis siculus. Animals, 11(4), 1003. https://doi.org/10.3390/ani11041003

