Effects of First Feed Administration on Small Intestinal Development and Plasma Hormones in Broiler Chicks
Simple Summary
Abstract
1. Introduction
2. Materials and Methods
2.1. Animal Ethics
2.2. Animals and Experimental Design
2.3. Sample Collection
2.4. Experimental Parameters Measured
2.5. Intestinal Morphological Analyses
2.6. Real-Time PCR
2.7. Western Blot Analysis
2.8. Statistical Analysis
3. Results
3.1. Small Intestinal Weight
3.2. Intestinal Morphology
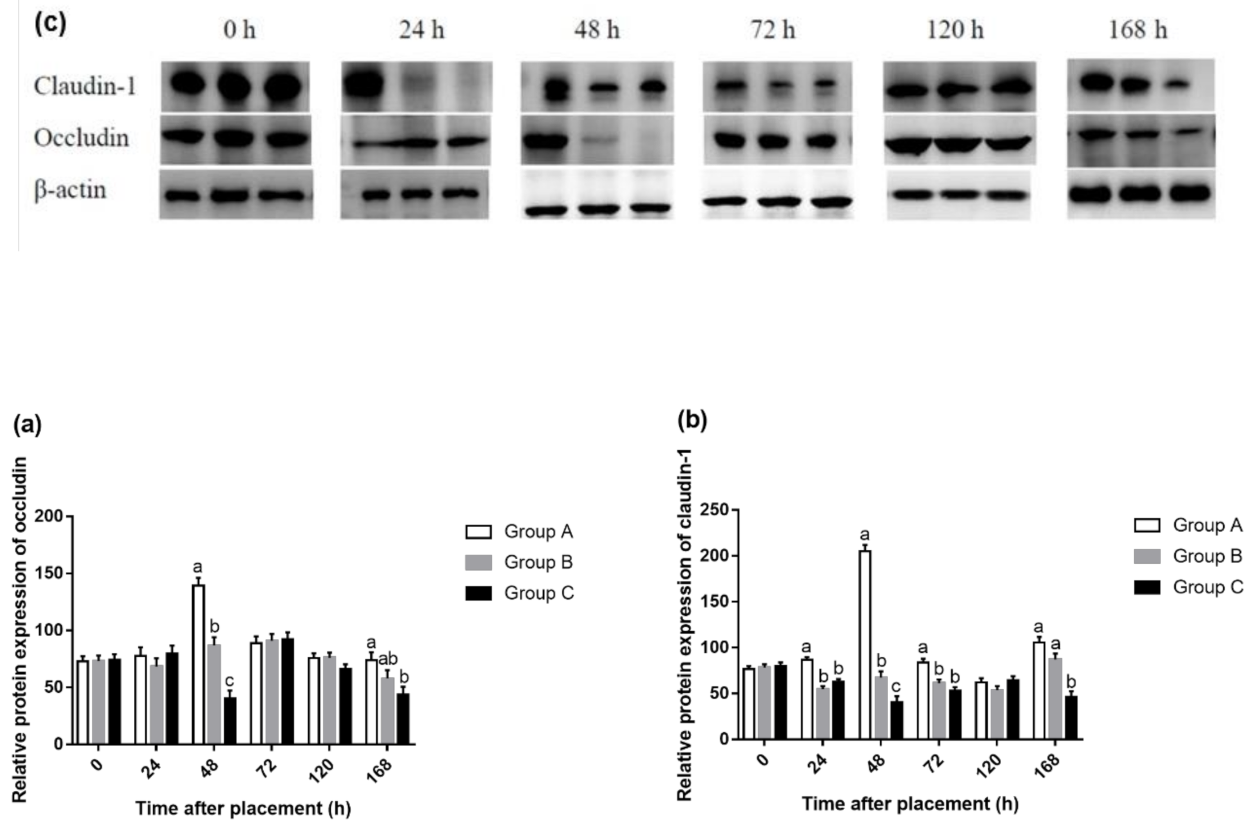
3.3. mRNA Level and Protein Expression of Intestinal Tight Junction
3.4. Plasma Hormone Levels
4. Discussion
5. Conclusions
Supplementary Materials
Author Contributions
Funding
Conflicts of Interest
References
- National Research Council. Critical Role of Animal Science Research in Food Security and Sustainability; National Academies Press: Pittsburgh, PA, USA, 2015. [Google Scholar]
- Shariatmadari, F. Plans of feeding broiler chickens. Worlds Poult. Sci. J. 2012, 68, 21–30. [Google Scholar] [CrossRef]
- Zuidhof, M.J.; Schneider, B.L.; Carney, V.L.; Korver, D.R.; Robinson, F.E. Growth, efficiency, and yield of commercial broilers from 1957, 1978, and 2005. Poult. Sci. 2014, 93, 2970–2982. [Google Scholar] [CrossRef] [PubMed]
- Bigot, K.; Mignon-Grasteau, S.; Picard, M.; Tesseraud, S. Effects of delayed feed intake on body, intestine, and muscle development in neonate broilers. Poult. Sci. 2003, 82, 781–788. [Google Scholar] [CrossRef] [PubMed]
- Willemsen, H.; Debonne, M.; Swennen, Q.; Everaert, N.; Careghi, C.; Han, H.; Bruggeman, V.; Tona, K.; Decuypere, E. Delay in feed access and spread of hatch: Importance of early nutrition. Worlds Poult. Sci. J. 2010, 66, 177–188. [Google Scholar] [CrossRef]
- Noy, Y.; Uni, Z. Early nutritional strategies. Worlds Poult. Sci. J. 2010, 66, 639–646. [Google Scholar] [CrossRef]
- Panda, A.K.; Bhanja, S.K.; Sunder, G.S. Early post hatch nutrition on immune system development and function in broiler chickens. Worlds Poult. Sci. J. 2015, 71, 285–296. [Google Scholar] [CrossRef]
- Geyra, A.; Uni, Z.; Sklan, D. Enterocyte dynamics and mucosal development in the posthatch chick. Poult. Sci. 2001, 80, 776–782. [Google Scholar] [CrossRef]
- Yi, G.F.; Allee, G.L.; Knight, C.D.; Dibner, J.J. Impact of glutamine and oasis hatchling supplement on growth performance, small intestinal morphology, and immune response of broilers vaccinated and challenged with Eimeria maxima. Poult. Sci. 2005, 84, 283–293. [Google Scholar] [CrossRef]
- Uni, Z.; Ferket, R.P. Methods for early nutrition and their potential. Worlds Poult. Sci. J. 2004, 60, 101–111. [Google Scholar] [CrossRef]
- Wang, Y.; Li, Y.; Willems, E.; Willemsen, H.; Franssens, L.; Koppenol, A.; Guo, X.; Tona, K.; Decuypere, E.; Buyse, J.; et al. Spread of hatch and delayed feed access affect post hatch performance of female broiler chicks up to day 5. Animal 2014, 8, 610–617. [Google Scholar] [CrossRef]
- De Jong, I.C.; Van Riel, J.; Bracke, M.B.; Van den Brand, H. A ‘meta-analysis’ of effects of post-hatch food and water deprivation on development, performance and welfare of chickens. PLoS ONE 2017, 12, e0189350. [Google Scholar] [CrossRef] [PubMed]
- Gonzales, E.; Kondo, N.; Saldanha, E.S.; Loddy, M.M.; Careghi, C.; Decuypere, E. Performance and physiological parameters of broiler chickens subjected to fasting on the neonatal period. Poult. Sci. 2003, 82, 1250–1256. [Google Scholar] [CrossRef] [PubMed]
- Pophal, S.; Evans, J.J.; Mozdziak, P.E. Myonuclear apoptosis occurs during early posthatch starvation. Comp. Biochem. Physiol. B Biochem. Mol. Biol. 2003, 135, 677–681. [Google Scholar] [CrossRef]
- Noy, Y.; Sklan, D. Yolk and exogenous feed utilization in the posthatch chick. Poult. Sci. 2001, 80, 1490–1495. [Google Scholar] [CrossRef]
- Van de Ven, L.J.F.; Van Wagenberg, A.V.; Koerkamp, P.G.; Kemp, B.; Van den Brand, H. Effects of a combined hatching and brooding system on hatchability, chick weight, and mortality in broilers. Poult. Sci. 2009, 88, 2273–2279. [Google Scholar] [CrossRef]
- Van de Ven, L.J.F.; Van Wagenberg, A.V.; Decuypere, E.; Kemp, B.; Van Den Brand, H. Perinatal broiler physiology between hatching and chick collection in 2 hatching systems. Poult. Sci. 2013, 92, 1050–1061. [Google Scholar] [CrossRef]
- Chaudhri, O.; Small, C.; Bloom, S. Gastrointestinal hormones regulating appetite. Philos. Trans. R Soc. B Biol. Sci. 2006, 361, 1187–1209. [Google Scholar] [CrossRef]
- Ballaz, S. The unappreciated roles of the cholecystokinin receptor CCK (1) in brain functioning. Rev. Neurosci. 2017, 28, 573–585. [Google Scholar] [CrossRef]
- Woods, S.C.; Lutz, T.A.; Geary, N.; Langhans, W. Pancreatic signals controlling food intake; insulin, glucagon and amylin. Philos. Trans. R. Soc. B Biol. Sci. 2006, 361, 1219–1235. [Google Scholar] [CrossRef]
- Turner, J.R. Intestinal mucosal barrier function in health and disease. Nat. Rev. Immunol. 2009, 9, 799. [Google Scholar] [CrossRef]
- Wijtten, P.J.; Van der Meulen, J.; Verstegen, M.W. Intestinal barrier function and absorption in pigs after weaning: A review. Br. J. Nutr. 2011, 105, 967–981. [Google Scholar] [CrossRef] [PubMed]
- Camilleri, M.; Madsen, K.; Spiller, R.; Van Meerveld, B.G.; Verne, G.N. Intestinal barrier function in health and gastrointestinal disease. Neurogastroenterol. Motil. 2012, 24, 503–512. [Google Scholar] [CrossRef] [PubMed]
- National Research Council. Nutrient Requirements of Poultry, 9th ed.; National Academies Press: Washington, DC, USA, 1994. [Google Scholar]
- Furuse, M. Central regulation of food intake in the neonatal chick. Anim. Sci. J. 2002, 73, 83–94. [Google Scholar] [CrossRef]
- Furuse, M.; Ao, R.; Bungo, T.; Ando, R.; Shimojo, M.; Masuda, Y.; Saito, N. Central gastrin inhibits feeding behavior and food passage in neonatal chicks. Life Sci. 1999, 65, 305–311. [Google Scholar] [CrossRef]
- Zhang, G.; Hasek, L.Y.; Lee, B.H.; Hamaker, B.R. Gut feedback mechanisms and food intake: A physiological approach to slow carbohydrate bioavailability. Food Funct. 2015, 6, 1072–1089. [Google Scholar] [CrossRef]
- Furuse, M.; Bungo, T.; Ao, R.; Ando, R.; Shimojo, M.; Masuda, Y.; Denbow, D.M. Involvement of central gastrin and cholecystokinin in the regulation of food intake in the neonatal chick. J. Appl. Anim. Res. 2000, 18, 129–136. [Google Scholar] [CrossRef]
- Kanayama, S.; Liddle, R.A. Influence of food deprivation on intestinal cholecystokinin and somatostatin. Gastroenterology 1991, 100, 909–915. [Google Scholar] [CrossRef]
- Shiraishi, J.I.; Yanagita, K.; Fukumori, R.; Sugino, T.; Fujita, M.; Kawakami, S.I.; McMurtry, J.; Bungo, T. Comparisons of insulin related parameters in commercial-type chicks: Evidence for insulin resistance in broiler chicks. Physiol. Behav. 2011, 103, 233–239. [Google Scholar] [CrossRef]
- Lu, J.W.; McMurtry, J.P.; Coon, C.N. Developmental changes of plasma insulin, glucagon, insulin-like growth factors, thyroid hormones, and glucose concentrations in chick embryos and hatched chicks. Poult. Sci. 2007, 86, 673–683. [Google Scholar] [CrossRef]
- Yegani, M.; Korver, D.R. Factors affecting intestinal health in poultry. Poult. Sci. 2008, 87, 2052–2063. [Google Scholar] [CrossRef]
- Lamot, D.M.; Van De Linde, I.B.; Molenaar, R.; Van Der Pol, C.W.; Wijtten, P.J.A.; Kemp, B.; Van Den Brand, H. Effects of moment of hatch and feed access on chicken development. Poult. Sci. 2014, 93, 2604–2614. [Google Scholar] [CrossRef] [PubMed]
- Maiorka, A.; Santin, E.; Dahlke, F.; Boleli, I.C.; Furlan, R.L.; Macari, M. Posthatching water and feed deprivation affect the gastrointestinal tract and intestinal mucosa development of broiler chicks. J. Appl. Poult. Res. 2003, 12, 483–492. [Google Scholar] [CrossRef]
- Bhanja, S.K.; Devi, C.A.; Panda, A.K.; Sunder, G.S. Effect of post hatch feed deprivation on yolk-sac utilization and performance of young broiler chickens. Asian Australas. J. Anim. Sci. 2009, 22, 1174–1179. [Google Scholar] [CrossRef]
- Lilburn, M.S.; Loeffler, S. Early intestinal growth and development in poultry. Poult. Sci. 2015, 94, 1569–1576. [Google Scholar] [CrossRef] [PubMed]
- Noy, Y.; Geyra, A.; Sklan, D. The effect of early feeding on growth and small intestinal development in the posthatch poult. Poult. Sci. 2001, 80, 912–919. [Google Scholar] [CrossRef]
- Mahmoud, K.Z.; Edens, F.W. Breeder age affects small intestine development of broiler chicks with immediate or delayed access to feed. Br. Poult. Sci. 2012, 53, 32–41. [Google Scholar] [CrossRef]
- Uni, Z.; Ganot, S.; Sklan, D. Posthatch development of mucosal function in the broiler small intestine. Poult. Sci. 1998, 77, 75–82. [Google Scholar] [CrossRef]
- Horn, N.; Ruch, F.; Miller, G.; Ajuwon, K.M.; Adeola, O. Impact of acute water and feed deprivation events on growth performance, intestinal characteristics, and serum stress markers in weaned pigs. J. Anim. Sci. 2014, 92, 4407–4416. [Google Scholar] [CrossRef]
- Horn, N.; Miller, G.; Ajuwon, K.M.; Adeola, O. Ability of garlic-derived diallyl disulfide and diallyl trisulfide supplemented by oral gavage to mitigate effects of an acute postweaning feed and water deprivation event in nursery pigs. J. Anim. Sci. 2017, 95, 3579–3590. [Google Scholar]
- Suzuki, T. Regulation of intestinal epithelial permeability by tight junctions. Cell. Mol. Life Sci. 2013, 70, 631–659. [Google Scholar] [CrossRef]
- Van Itallie, C.M.; Anderson, J.M. Claudins and epithelial paracellular transport. Annu. Rev. Physiol. 2006, 68, 403–429. [Google Scholar] [CrossRef] [PubMed]
- Gilani, S.; Howarth, G.S.; Tran, C.D.; Barekatain, R.; Kitessa, S.M.; Forder, R.E.A.; Hughes, R.J. Reduced fasting periods increase intestinal permeability in chickens. J. Anim. Physiol. Anim. Nutr. 2018, 102, 486–492. [Google Scholar] [CrossRef] [PubMed]
- Gilani, S.; Howarth, G.S.; Kitessa, S.M.; Tran, C.D.; Forder, R.E.A.; Hughes, R.J. New biomarkers for increased intestinal permeability induced by dextran sodium sulphate and fasting in chickens. J. Anim. Physiol. Anim. Nutr. 2017, 101, 237–245. [Google Scholar] [CrossRef] [PubMed]







| Items | 1–8 d |
|---|---|
| Ingredients (%) | |
| Corn | 54.70 |
| Wheat | 5.00 |
| Soybean meal | 29.00 |
| CGM | 6.00 |
| Soybean oil | 1.00 |
| NaCl | 0.30 |
| CaHPO4 | 1.70 |
| Limestone | 1.30 |
| Premix * | 1.00 |
| Total | 100.00 |
| Nutrient levels † (%) | |
| ME (kJ/kg) | 12,171 |
| CP | 20.96 |
| Lys | 1.10 |
| Met | 0.50 |
| Met+Cys | 0.85 |
| Ca | 0.99 |
| TP | 0.66 |
| Genes | Forward | Reverse |
|---|---|---|
| 18S ribosomal RNA | 5′-ATTCCGATAACGAACGAGACT-3′ | 5′-GGACATCTAAGGGCATCACA-3′ |
| Occludin | 5′-TCATCGCCTCCATCGTCTAC-3′ | 5′-TCTTACTGCGCGTCTTCTGG-3′ |
| Claudin-1 | 5′-TGGAGGATGACCAGGTGAAGA-3′ | 5′-CGAGCCACTCTGTTGCCATA-3′ |
| Time after Placement (h) | Time of Feed Deprivation (h) | SEM | p-Value | ||
|---|---|---|---|---|---|
| 0 | 24 | 48 | |||
| 0 | 76.63 | 74.08 | 73.04 | 6.941 | 0.869 |
| 24 | 147.4 | 161.0 | 159.2 | 9.191 | 0.306 |
| 48 | 274.4 a | 254.2 a | 157.3 b | 11.24 | 0.000 |
| 72 | 245.0 a | 146.3 b | 256.9 a | 20.80 | 0.000 |
| 120 | 222.7 a | 204.4 a | 144.2 b | 11.37 | 0.000 |
| 168 | 191.1 | 209.4 | 210.0 | 8.639 | 0.075 |
| Time after Placement (h) | Time of Feed Deprivation (h) | SEM | p-Value | ||
|---|---|---|---|---|---|
| 0 | 24 | 48 | |||
| 0 | 110.1 | 118.2 | 115.6 | 5.463 | 0.350 |
| 24 | 181.6 | 166.7 | 168.7 | 12.81 | 0.469 |
| 48 | 195.3 | 187.0 | 198.9 | 5.446 | 0.115 |
| 72 | 203.8 | 206.8 | 192.3 | 10.32 | 0.362 |
| 120 | 181.0 | 183.5 | 194.6 | 10.75 | 0.426 |
| 168 | 199.7 | 186.6 | 185.5 | 9.153 | 0.256 |
| Time after Placement (h) | Time of Feed Deprivation (h) | SEM | p-Value | ||
|---|---|---|---|---|---|
| 0 | 24 | 48 | |||
| 0 | 184.6 | 189.5 | 190.8 | 15.32 | 0.912 |
| 24 | 156.4 b | 216.3 a | 223.3 a | 10.24 | 0.000 |
| 48 | 182.4 b | 272.1 a | 296.3 a | 23.34 | 0.000 |
| 72 | 209.7 | 205.1 | 210.4 | 10.04 | 0.851 |
| 120 | 212.7 | 206.8 | 214.5 | 8.685 | 0.657 |
| 168 | 199.9 | 196.7 | 207.7 | 9.375 | 0.501 |
| Time after Placement (h) | Time of Feed Deprivation (h) | SEM | p-Value | ||
|---|---|---|---|---|---|
| 0 | 24 | 48 | |||
| 0 | 33.56 | 35.47 | 33.76 | 3.261 | 0.816 |
| 24 | 32.91 | 31.53 | 32.08 | 2.358 | 0.842 |
| 48 | 40.84 a | 28.46 b | 37.17 a | 3.124 | 0.004 |
| 72 | 37.90 a | 24.85 b | 28.40 b | 2.556 | 0.000 |
| 120 | 32.95 a | 29.09 a | 19.72 b | 2.147 | 0.000 |
| 168 | 34.73 a | 29.25 a | 17.78 b | 2.630 | 0.000 |
© 2020 by the authors. Licensee MDPI, Basel, Switzerland. This article is an open access article distributed under the terms and conditions of the Creative Commons Attribution (CC BY) license (http://creativecommons.org/licenses/by/4.0/).
Share and Cite
Wang, J.; Wang, D.; Li, K.; Xia, L.; Wang, Y.; Jiang, L.; Heng, C.; Guo, X.; Liu, W.; Zhan, X. Effects of First Feed Administration on Small Intestinal Development and Plasma Hormones in Broiler Chicks. Animals 2020, 10, 1568. https://doi.org/10.3390/ani10091568
Wang J, Wang D, Li K, Xia L, Wang Y, Jiang L, Heng C, Guo X, Liu W, Zhan X. Effects of First Feed Administration on Small Intestinal Development and Plasma Hormones in Broiler Chicks. Animals. 2020; 10(9):1568. https://doi.org/10.3390/ani10091568
Chicago/Turabian StyleWang, Jiangshui, Dianchun Wang, Kaixuan Li, Lei Xia, Yuanyuan Wang, Lei Jiang, Chianning Heng, Xiuyun Guo, Wei Liu, and Xiuan Zhan. 2020. "Effects of First Feed Administration on Small Intestinal Development and Plasma Hormones in Broiler Chicks" Animals 10, no. 9: 1568. https://doi.org/10.3390/ani10091568
APA StyleWang, J., Wang, D., Li, K., Xia, L., Wang, Y., Jiang, L., Heng, C., Guo, X., Liu, W., & Zhan, X. (2020). Effects of First Feed Administration on Small Intestinal Development and Plasma Hormones in Broiler Chicks. Animals, 10(9), 1568. https://doi.org/10.3390/ani10091568

