Characteristics of Infections in Hemodialysis Patients: Results from a Single-Center 29-Month Observational Cohort Study from Romania
Abstract
1. Introduction
2. Materials and Methods
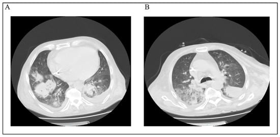
3. Results
- •
- Root split—HD: Non-dialyzed patients followed the left branch and exhibited a low mortality rate (15%), whereas dialyzed patients proceeded to the right branch for further stratification.
- •
- Second level—comorbidity burden (cut-point >4 diagnoses): HD patients with ≤4 comorbidities had an intermediate mortality of 21%; those with >4 underwent additional partitioning.
- •
- Third level—LOS (≤14 d): Short admissions within the high-comorbidity HD subgroup were ominous, prompting a final age split.
- •
- Terminal split—age (>72 y): The combination of HD, >4 comorbidities, short LOS, and age > 72 years defined the worst-prognosis phenotype, with an observed mortality of 80% (8 deaths/10 cases).
3.1. Microbiological Examinations Results
3.2. Treatment
4. Discussion
5. Conclusions
Author Contributions
Funding
Institutional Review Board Statement
Informed Consent Statement
Data Availability Statement
Conflicts of Interest
Abbreviations
| CVC | Central venous catheters |
| HD | Hemodialysis |
| CKD | Chronic kidney disease |
| BMI | Body mass index |
| CRP | C-reactive protein |
| CART | Classification and regression tree |
References
- United States Renal Data System. USRDS 2016 Annual Data Report: Atlas of Chronic Kidney Disease and End-Stage Renal Disease in the United States; United States Renal Data System: Bethesda, MD, USA, 2016.
- Saran, R.; Robinson, B.; Abbott, K.C.; Agodoa, L.Y.C.; Albertus, P.; Ayanian, J.; Balkrishnan, R.; Bragg-Gresham, J.; Cao, J.; Chen, J.L.T.; et al. US Renal Data System 2016 Annual Data Report: Epidemiology of Kidney Disease in the United States. Am. J. Kidney Dis. 2017, 69, A7–A8, Erratum in Am. J. Kidney Dis. 2017, 69, 712. [Google Scholar] [CrossRef] [PubMed]
- Vanholder, R.; Ringoir, S. Polymorphonuclear cell function and infection in dialysis. Kidney Int. Suppl. 1992, 38, S91–S95. [Google Scholar]
- Parkkinen, J.; von Bonsdorff, L.; Peltonen, S.; Grönhagen-Riska, C.; Rosenlöf, K. Catalytically active iron and bacterial growth in serum of haemodialysis patients after i.v. iron-saccharate administration. Nephrol. Dial. Transplant. 2000, 15, 1827–1834. [Google Scholar] [CrossRef]
- Torres, A.; Peetermans, W.E.; Viegi, G.; Blasi, F. Risk factors for community-acquired pneumonia in adults in Europe: A literature review. Thorax 2013, 68, 1057–1065. [Google Scholar] [CrossRef]
- Cheikh Hassan, H.I.; Tang, M.; Djurdjev, O.; Langsford, D.; Sood, M.M.; Levin, A. Infection in advanced chronic kidney disease leads to increased risk of cardiovascular events, end-stage kidney disease and mortality. Kidney Int. 2016, 90, 897–904. [Google Scholar] [CrossRef]
- Allon, M.; Depner, T.A.; Radeva, M.; Bailey, J.; Beddhu, S.; Butterly, D.; Coyne, D.W.; Gassman, J.J.; Kaufman, A.M.; Kaysen, G.A.; et al. Impact of Dialysis Dose and Membrane on Infection-Related Hospitalization and Death. J. Am. Soc. Nephrol. 2003, 14, 1863–1870. [Google Scholar] [CrossRef]
- Dalrymple, L.S.; Go, A.S. Epidemiology of Acute Infections among Patients with Chronic Kidney Disease. Clin. J. Am. Soc. Nephrol. 2008, 3, 1487–1493. [Google Scholar] [CrossRef]
- Litjens, N.H.R.; van Druningen, C.J.; Betjes, M.G.H. Progressive loss of renal function is associated with activation and depletion of naive T lymphocytes. Clin. Immunol. 2006, 118, 83–91. [Google Scholar] [CrossRef] [PubMed]
- Lim, W.H.; Kireta, S.; Leedham, E.; Russ, G.R.; Coates, P.T. Uremia impairs monocyte and monocyte-derived dendritic cell function in hemodialysis patients. Kidney Int. 2007, 72, 1138–1148. [Google Scholar] [CrossRef]
- Gollapudi, P.; Yoon, J.-W.; Gollapudi, S.; Pahl, M.V.; Vaziri, N.D. Leukocyte Toll-Like Receptor Expression in End-Stage Kidney Disease. Am. J. Nephrol. 2010, 31, 247–254. [Google Scholar] [CrossRef] [PubMed]
- Kausz, A.T.; Gilbertson, D.T. Overview of Vaccination in Chronic Kidney Disease. Adv. Chronic Kidney Dis. 2006, 13, 209–214. [Google Scholar] [CrossRef]
- Tokars, J.I. Bloodstream infections in hemodialysis patients: Getting some deserved attention. Infect. Control Hosp. Epidemiol. 2002, 23, 713–715. [Google Scholar] [CrossRef]
- Kessler, M.; Hoen, B.; Mayeux, D.; Hestin, D.; Fontenaille, C. Bacteremia in patients on chronic hemodialysis. A multicenter prospective survey. Nephron 1993, 64, 95–100. [Google Scholar] [CrossRef] [PubMed]
- Foley, R.N.; Guo, H.; Snyder, J.J.; Gilbertson, D.T.; Collins, A.J. Septicemia in the United States dialysis population, 1991 to 1999. J. Am. Soc. Nephrol. 2004, 15, 1038–1045. [Google Scholar] [CrossRef]
- Sarnak, M.J.; Jaber, B.L. Mortality caused by sepsis in patients with end-stage renal disease compared with the general population. Kidney Int. 2000, 58, 1758–1764. [Google Scholar] [CrossRef] [PubMed]
- Tokars, J.I.; Miller, E.R.; Stein, G. New national surveillance system for hemodialysis-associated infections: Initial results. Am. J. Infect. Control 2002, 30, 288–295. [Google Scholar] [CrossRef] [PubMed][Green Version]
- Nguyen, D.B.; Shugart, A.; Lines, C.; Shah, A.B.; Edwards, J.; Pollock, D.; Sievert, D.; Patel, P.R. National Healthcare Safety Network (NHSN) Dialysis Event Surveillance Report for 2014. Clin. J. Am. Soc. Nephrol. 2017, 12, 1139–1146. [Google Scholar] [CrossRef]
- Beathard, G.A.; Urbanes, A. Infection associated with tunneled hemodialysis catheters. Semin. Dial. 2008, 21, 528–538. [Google Scholar] [CrossRef]
- Sarnak, M.J.; Jaber, B.L. Pulmonary Infectious Mortality Among Patients With End-Stage Renal Disease. Chest 2001, 120, 1883–1887. [Google Scholar] [CrossRef]
- Dalrymple, L.S.; Katz, R.; Kestenbaum, B.; de Boer, I.H.; Fried, L.; Sarnak, M.J.; Shlipak, M.G. The Risk of Infection-Related Hospitalization With Decreased Kidney Function. Am. J. Kidney Dis. 2012, 59, 356–363. [Google Scholar] [CrossRef]
- James, M.T.; Quan, H.; Tonelli, M.; Manns, B.J.; Faris, P.; Laupland, K.B.; Hemmelgarn, B.R. CKD and Risk of Hospitalization and Death With Pneumonia. Am. J. Kidney Dis. 2009, 54, 24–32. [Google Scholar] [CrossRef]
- James, M.T. Risk of Bloodstream Infection in Patients With Chronic Kidney Disease Not Treated With Dialysis. Arch. Intern. Med. 2008, 168, 2333. [Google Scholar] [CrossRef]
- Vanholder, R.; Schepers, E.; Pletinck, A.; Nagler, E.V.; Glorieux, G. The Uremic Toxicity of Indoxyl Sulfate and p-Cresyl Sulfate. J. Am. Soc. Nephrol. 2014, 25, 1897–1907. [Google Scholar] [CrossRef] [PubMed]
- Schepers, E.; Meert, N.; Glorieux, G.; Goeman, J.; Van der Eycken, J.; Vanholder, R. P-cresylsulphate, the main in vivo metabolite of p-cresol, activates leucocyte free radical production. Nephrol. Dial. Transplant. 2006, 22, 592–596. [Google Scholar] [CrossRef] [PubMed]
- Kim, H.Y.; Yoo, T.-H.; Hwang, Y.; Lee, G.H.; Kim, B.; Jang, J.; Yu, H.T.; Kim, M.C.; Cho, J.-Y.; Lee, C.J.; et al. Indoxyl sulfate (IS)-mediated immune dysfunction provokes endothelial damage in patients with end-stage renal disease (ESRD). Sci. Rep. 2017, 7, 3057. [Google Scholar] [CrossRef]
- Pletinck, A.; Glorieux, G.; Schepers, E.; Cohen, G.; Gondouin, B.; Van Landschoot, M.; Eloot, S.; Rops, A.; Van De Voorde, J.; De Vriese, A.; et al. Protein-Bound Uremic Toxins Stimulate Crosstalk between Leukocytes and Vessel Wall. J. Am. Soc. Nephrol. 2013, 24, 1981–1994. [Google Scholar] [CrossRef]
- Lin, C.-J.; Wu, C.-J.; Pan, C.-F.; Chen, Y.-C.; Sun, F.-J.; Chen, H.-H. Serum protein-bound uraemic toxins and clinical outcomes in haemodialysis patients. Nephrol. Dial. Transplant. 2010, 25, 3693–3700. [Google Scholar] [CrossRef]
- Banerjee, T.; Meyer, T.W.; Shafi, T.; Hostetter, T.H.; Melamed, M.; Zhu, Y.; Powe, N.R. Free and total p-cresol sulfate levels and infectious hospitalizations in hemodialysis patients in CHOICE and HEMO. Medicine 2017, 96, e5799. [Google Scholar] [CrossRef]
- Tang, W.H.W.; Wang, Z.; Levison, B.S.; Koeth, R.A.; Britt, E.B.; Fu, X.; Wu, Y.; Hazen, S.L. Intestinal Microbial Metabolism of Phosphatidylcholine and Cardiovascular Risk. N. Engl. J. Med. 2013, 368, 1575–1584. [Google Scholar] [CrossRef] [PubMed]
- Wang, Z.; Klipfell, E.; Bennett, B.J.; Koeth, R.; Levison, B.S.; DuGar, B.; Feldstein, A.E.; Britt, E.B.; Fu, X.; Chung, Y.-M.; et al. Gut flora metabolism of phosphatidylcholine promotes cardiovascular disease. Nature 2011, 472, 57–63. [Google Scholar] [CrossRef]
- Zeisel, S.H.; Warrier, M. Trimethylamine N-Oxide, the Microbiome, and Heart and Kidney Disease. Annu. Rev. Nutr. 2017, 37, 157–181. [Google Scholar] [CrossRef] [PubMed]
- Sack, M.N.; Fyhrquist, F.Y.; Saijonmaa, O.J.; Fuster, V.; Kovacic, J.C. Basic Biology of Oxidative Stress and the Cardiovascular System. J. Am. Coll. Cardiol. 2017, 70, 196–211. [Google Scholar] [CrossRef] [PubMed]
- Vaziri, N.D. Oxidative stress in uremia: Nature, mechanisms, and potential consequences. Semin. Nephrol. 2004, 24, 469–473. [Google Scholar] [CrossRef] [PubMed]
- Landray, M.J.; Wheeler, D.C.; Lip, G.Y.H.; Newman, D.J.; Blann, A.D.; McGlynn, F.J.; Ball, S.; Townend, J.N.; Baigent, C. Inflammation, endothelial dysfunction, and platelet activation in patients with chronic kidney disease: The chronic renal impairment in Birmingham (CRIB) study. Am. J. Kidney Dis. 2004, 43, 244–253. [Google Scholar] [CrossRef]
- Salmon, A.H.J.; Ferguson, J.K.; Burford, J.L.; Gevorgyan, H.; Nakano, D.; Harper, S.J.; Bates, D.O.; Peti-Peterdi, J. Loss of the Endothelial Glycocalyx Links Albuminuria and Vascular Dysfunction. J. Am. Soc. Nephrol. 2012, 23, 1339–1350. [Google Scholar] [CrossRef]
- Seliger, S.L.; Salimi, S.; Pierre, V.; Giffuni, J.; Katzel, L.; Parsa, A. Microvascular endothelial dysfunction is associated with albuminuria and CKD in older adults. BMC Nephrol. 2016, 17, 82. [Google Scholar] [CrossRef]
- Wang, H.E.; Shapiro, N.I.; Safford, M.M.; Griffin, R.; Judd, S.; Rodgers, J.B.; Warnock, D.G.; Cushman, M.; Howard, G. High-Sensitivity C-Reactive Protein and Risk of Sepsis. PLoS ONE 2013, 8, e69232. [Google Scholar] [CrossRef]
- Wang, H.E.; Shapiro, N.I.; Griffin, R.; Safford, M.M.; Judd, S.; Howard, G. Inflammatory and endothelial activation biomarkers and risk of sepsis: A nested case-control study. J. Crit. Care 2013, 28, 549–555. [Google Scholar] [CrossRef]
- Yende, S.; Tuomanen, E.I.; Wunderink, R.; Kanaya, A.; Newman, A.B.; Harris, T.; De Rekeneire, N.; Kritchevsky, S.B. Preinfection Systemic Inflammatory Markers and Risk of Hospitalization Due to Pneumonia. Am. J. Respir. Crit. Care Med. 2005, 172, 1440–1446. [Google Scholar] [CrossRef]
- Chonchol, M.; Greene, T.; Zhang, Y.; Hoofnagle, A.N.; Cheung, A.K. Low Vitamin D and High Fibroblast Growth Factor 23 Serum Levels Associate with Infectious and Cardiac Deaths in the HEMO Study. J. Am. Soc. Nephrol. 2016, 27, 227–237. [Google Scholar] [CrossRef]
- Bacchetta, J.; Salusky, I.B.; Hewison, M. Beyond mineral metabolism, is there an interplay between FGF23 and vitamin D in innate immunity? Pediatr. Nephrol. 2013, 28, 577–582. [Google Scholar] [CrossRef] [PubMed]
- Centers for Disease Control and Prevention (CDC). Invasive methicillin-resistant Staphylococcus aureus infections among dialysis patients--United States, 2005. MMWR Morb. Mortal. Wkly. Rep. 2007, 56, 197–199. [Google Scholar]
- Jacobsson, G.; Dashti, S.; Wahlberg, T.; Andersson, R. The epidemiology of and risk factors for invasive Staphylococcus aureus infections in western Sweden. Scand. J. Infect. Dis. 2007, 39, 6–13. [Google Scholar] [CrossRef] [PubMed]
- Almirall, J.; Gonzalez, J.; Rello, J.; Campistol, J.M.; Montoliu, J.; Puig de la Bellacasa, J.; de la Bellacasa, J.P.; Revert, L.; Gatell, J.M. Infection of hemodialysis catheters: Incidence and mechanisms. Am. J. Nephrol. 1989, 9, 454–459. [Google Scholar] [CrossRef]
- Swartz, R.D.; Messana, J.M.; Boyer, C.J.; Lunde, N.M.; Weitzel, W.F.; Hartman, T.L. Successful use of cuffed central venous hemodialysis catheters inserted percutaneously. J. Am. Soc. Nephrol. 1994, 4, 1719–1725. [Google Scholar] [CrossRef] [PubMed]
- Centers for Disease Control and Prevention (CDC). Staphylococcus aureus resistant to vancomycin—United States, 2002. MMWR Morb. Mortal. Wkly. Rep. 2002, 51, 565–567. [Google Scholar]
- Calfee, D.P. Multidrug-Resistant Organisms in Dialysis Patients. Semin. Dial. 2013, 26, 447–456. [Google Scholar] [CrossRef]
- Rteil, A.; Kazma, J.M.; El Sawda, J.; Gharamti, A.; Koubar, S.H.; Kanafani, Z.A. Clinical characteristics, risk factors and microbiology of infections in patients receiving chronic hemodialysis. J. Infect. Public Health 2020, 13, 1166–1171. [Google Scholar] [CrossRef]
- Berman, S.J.; Johnson, E.W.; Nakatsu, C.; Alkan, M.; Chen, R.; LeDuc, J. Burden of infection in patients with end-stage renal disease requiring long-term dialysis. Clin. Infect. Dis. 2004, 39, 1747–1753. [Google Scholar] [CrossRef]
- Abbott, K.C.; Agodoa, L.Y. Hospitalizations for Bacterial Endocarditis after Initiation of Chronic Dialysis in the United States. Nephron 2002, 91, 203–209. [Google Scholar] [CrossRef] [PubMed]


| Characteristic | HD Group (N = 30) | Non-HD Group (N = 26) | p (Pearson Chi-Square) |
|---|---|---|---|
| Age in years, mean ± SD | 65.47 ± 17.07 | 74.31 ± 13.17 | 0.472 |
| Male gender (n, %) | 18, 60% | 12, 46.15% | 0.300 |
| Urban area residence (n, %) | 16, 53.33% | 14, 53.84% | ≥0.10 |
| Length of stay in days, mean ± SD, 95% CI, Median | 14.7 ± 13.1, 9.4–20.0, 10 | 15.0 ± 15.1, 9.3–20.6; 10.5 | ≥0.55 |
| Hypertension (n, %) | 23, 76.66% | 10, 38.46% | ≥0.10 |
| Other cardiac pathology (n, %) | 25, 83.33% | 11, 42.30% | ≥0.10 |
| Solid tumors (n, %) | 3, 10% | 2, 7.69% | ≥0.10 |
| Hematologic disorders (n, %) | 3, 10% | 1, 3.84% | ≥0.10 |
| Urological pathology (n, %) | 3, 10% | 1, 3.84% | 0.056 |
| Psychiatric pathology (n, %) | 3, 10% | 0, 0.0% | 0.056 |
| Prior neurological event (n, %) | 9, 30% | 0, 0.0% | ≥0.10 |
| Type 2 diabetes mellitus (n, %) | 11, 36.66% | 0, 0.0% | ≥0.10 |
| Other endocrine disorders (n, %) | 6, 20% | 0, 0.0% | ≥0.10 |
| Nutritional status | |||
| BMI 18.5–24.9 kg/m2 (n, %) | 14, 46.66% | 16, 61.53% | 0.240 |
| BMI 25–29.9 kg/m2 (n, %) | 4, 13.33% | 5, 19.23% | |
| BMI > 30 kg/m2 (n, %) | 12, 40% | 5, 19.23% | |
| Access site for HD | |||
| AV fistula (n, %) | 20, 66.66% | - | - |
| Tunneled CVCs (n, %) | 10, 33.33% | - | |
| Status at the time of discharge | |||
| Favorable outcome (n, %) | 16, 53.33% | 22, 84.61% | 0.012 |
| Unfavorable outcome (deceased) (n, %) | 14, 46.66% | 4, 15.38% | |
| O2 therapy during hospitalization | |||
| Oxygen mask (n, %) | 8, 26.66% | 6, 23.07% | 0.353 |
| High-flow nasal oxygen (n, %) | 2, 6.66% | 0, 0.0% | 0.180 |
| Continuous positive airway pressure (n, %) | 2, 6.66% | 0, 0.0% | 0.180 |
| Orotracheal intubation and mechanical ventilation (n, %) | 9, 30% | 4, 15.38% | 0.196 |
| Hemodialysis | No | Yes | p (Mann–Whitney U Test, 2-Tailed) | Total (n = 56) | |||
|---|---|---|---|---|---|---|---|
| Mean | Std. Deviation | Mean | Std. Deviation | Mean | Std. Deviation | ||
| Urea min. level | 79.50 | 31.82 | 120.00 | 66.46 | 0.457 | 78.60 | 41.32 |
| Creatinine min. level | 2.59 | 0.23 | 3.40 | 1.37 | 0.001 | 2.91 | 1.93 |
| Urea max. level | 200.50 | 149.20 | 226.00 | 82.02 | 0.197 | 132.63 | 62.55 |
| Creatinine max. level | 4.67 | 2.81 | 7.14 | 2.46 | 0.001 | 7.24 | 16.31 |
| Aspartate aminotransferase | 1987.50 | 2772.56 | 20.00 | 9.89 | 0.004 | 129.64 | 537.04 |
| Alanine aminotransferase | 496.70 | 660.43 | 40.50 | 36.06 | 0.191 | 63.26 | 147.48 |
| Sodium | 128.00 | 9.89 | 138.50 | 4.95 | 0.044 | 138.65 | 5.84 |
| Potassium | 4.99 | 0.69 | 5.14 | 1.04 | 0.008 | 4.4193 | 0.92 |
| LDH | 601.00 | 458.20 | 337.77 | 69.26 | 0.129 | 327.86 | 195.84 |
| CPK | 48.00 | 15.55 | 40.00 | 12.72 | 0.823 | 208.68 | 339.31 |
| Amylase | 48.50 | 38.89 | 38.50 | 14.84 | 0.678 | 85.94 | 107.22 |
| C-reactive protein | 117.85 | 98.90 | 226.30 | 173.88 | 0.412 | 206.06 | 158.08 |
| Fibrinogen | 555.07 | 157.65 | 577.48 | 348.72 | 0.697 | 592.21 | 299.27 |
| Erythrocyte sedimentation rate | 47.56 | 28.18 | 40.23 | 39.52 | 0.275 | 42.13 | 35.72 |
| Procalcitonin | 8.54 | 23.94 | 9.90 | 21.61 | 0.385 | 22.57 | 98.20 |
| Neutrophil to Lymphocyte Ratio | 36.61 | 32.50 | 23.54 | 2.41 | 0.857 | 18.35 | 15.00 |
| Crosstabulation | ||||
|---|---|---|---|---|
| Hemodialysis | ||||
| No | Yes | Total | ||
| Fever | No | 7 | 13 | 20 |
| Yes | 19 | 17 | 36 | |
| Chi-Square Tests | Asymptotic Significance (2-sided) | |||
| Pearson | 0.201 | |||
| Chills | No | 12 | 18 | 30 |
| Yes | 14 | 12 | 26 | |
| Chi-Square Tests | Exact Sig. (2-sided) | |||
| Fisher’s Exact Test | 0.421 | |||
| Cough | No | 9 | 19 | 28 |
| Yes | 17 | 11 | 28 | |
| Chi-Square Tests | Asymptotic Significance (2-sided) | |||
| Pearson | 0.032 | |||
| Dyspnea | No | 11 | 20 | 31 |
| Yes | 15 | 10 | 25 | |
| Chi-Square Tests | Exact Sig. (2-sided) | |||
| Fisher’s Exact Test | 0.106 | |||
| Cardiac Manifestations | No | 15 | 23 | 38 |
| Yes | 11 | 7 | 18 | |
| Chi-Square Tests | Exact Sig. (2-sided) | |||
| Fisher’s Exact Test | 0.159 | |||
| Urinary manifestation | No | 17 | 27 | 44 |
| Yes | 9 | 3 | 12 | |
| Chi-Square Tests | Exact Sig. (2-sided) | |||
| Fisher’s Exact Test | 0.047 | |||
| Digestive Manifestations | No | 18 | 21 | 39 |
| Yes | 8 | 9 | 17 | |
| Chi-Square Tests | Exact Sig. (2-sided) | |||
| Fisher’s Exact Test | 1.000 | |||
| Skin Lesions | No | 21 | 26 | 47 |
| Yes | 5 | 4 | 9 | |
| Chi-Square Tests | Exact Sig. (2-sided) | |||
| Fisher’s Exact Test | 0.719 | |||
| Neurological Manifestations | No | 18 | 15 | 33 |
| Yes | 8 | 15 | 23 | |
| Chi-Square Tests | Asymptotic Significance (2-sided) | |||
| Pearson | 0.145 | |||
| Crosstabulation | ||||
| Hemodialysis | ||||
| No | Yes | Total | ||
| Fever | No | 7 | 13 | 20 |
| Yes | 19 | 17 | 36 | |
| Chi-Square Tests | Asymptotic Significance (2-sided) | |||
| Pearson | 0.201 | |||
| Chills | No | 12 | 18 | 30 |
| Yes | 14 | 12 | 26 | |
| Chi-Square Tests | Exact Sig. (2-sided) | |||
| Fisher’s Exact Test | 0.421 | |||
| Cough | No | 9 | 19 | 28 |
| Yes | 17 | 11 | 28 | |
| Chi-Square Tests | Asymptotic Significance (2-sided) | |||
| Pearson | 0.032 | |||
| Dyspnea | No | 11 | 20 | 31 |
| Yes | 15 | 10 | 25 | |
| Chi-Square Tests | Exact Sig. (2-sided) | |||
| Fisher’s Exact Test | 0.106 | |||
| Cardiac Manifestations | No | 15 | 23 | 38 |
| Yes | 11 | 7 | 18 | |
| Chi-Square Tests | Exact Sig. (2-sided) | |||
| Fisher’s Exact Test | 0.159 | |||
| Urinary manifestation | No | 17 | 27 | 44 |
| Yes | 9 | 3 | 12 | |
| Chi-Square Tests | Exact Sig. (2-sided) | |||
| Fisher’s Exact Test | 0.047 | |||
| Digestive Manifestations | No | 18 | 21 | 39 |
| Yes | 8 | 9 | 17 | |
| Chi-Square Tests | Exact Sig. (2-sided) | |||
| Fisher’s Exact Test | 1.000 | |||
| Skin Lesions | No | 21 | 26 | 47 |
| Yes | 5 | 4 | 9 | |
| Chi-Square Tests | Exact Sig. (2-sided) | |||
| Fisher’s Exact Test | 0.719 | |||
| Neurological Manifestations | No | 18 | 15 | 33 |
| Yes | 8 | 15 | 23 | |
| Chi-Square Tests | Asymptotic Significance (2-sided) | |||
| Pearson | 0.145 | |||
| Predictor | Coding/Unit | Adjusted OR | 95% CI | p-Value |
|---|---|---|---|---|
| Primary multivariable logistic regression (outcome: death at discharge) | ||||
| Hemodialysis (HD) | Yes vs. No | 38.22 | 1.55–940.53 | 0.026 |
| Hypotension | Yes vs. No | 17.55 | 1.46–210.92 | 0.024 |
| Sex | Male vs. Female | 4.41 | 1.29–15.11 | 0.018 |
| Age | Per year | 1.03 | 0.99–1.08 | 0.171 |
| Comorbidity count | Per diagnosis | 1.32 | 0.91–1.92 | 0.150 |
| Length of stay (LOS) | Per day | 0.94 | 0.84–1.04 | 0.206 |
| Sensitivity model (augmented with log2 maximum creatinine; interpretation per doubling) | ||||
| Hemodialysis (HD) | Yes vs. No | 49.17 | 1.56–1550.24 | 0.027 |
| Hypotension | Yes vs. No | 20.03 | 1.31–305.13 | 0.031 |
| Sex | Male vs. Female | 4.34 | 1.19–15.90 | 0.027 |
| Max creatinine (log2) | Per doubling | 0.83 | 0.50–1.38 | 0.480 |
| Type of Harvested Specimens | No. of Harvested Specimens | No. of Positive Samples | % of Positive Samples | 95% CI |
|---|---|---|---|---|
| Blood | 32 | 26 | 81.2% | 64.7–91.1 |
| Tracheal aspirate | 9 | 7 | 77.8% | 45.3–93.7 |
| Urine | 32 | 21 | 65.6% | 48.3–79.6 |
| Sputum samples | 10 | 5 | 50.0% | 23.7–76.3 |
| Pharyngeal swab | 38 | 13 | 34.2% | 21.2–50.1 |
| Catheter tip | 4 | 4 | 100% | - |
| Wound secretions | 6 | 4 | 66.7% | - |
| Stool samples | 8 | 1 | 12.5% | - |
| Class | Overall n/N (%) | Non-HD n/27 (%) | HD n/29 (%) | p (HD vs. Non-HD) |
|---|---|---|---|---|
| Carbapenems | 6/56 (10.7) | 1/27 (3.7) | 5/29 (17.2) | 0.195 |
| Fluoroquinolones | 17/56 (30.4) | 9/27 (33.3) | 8/29 (27.6) | 0.773 |
| Tetracyclines | 12/56 (21.4) | 4/27 (14.8) | 8/29 (27.6) | 0.334 |
| Aminoglycosides | 9/56 (16.1) | 2/27 (7.4) | 7/29 (24.1) | 0.146 |
| Glycopeptides | 6/56 (10.7) | 1/27 (3.7) | 5/29 (17.2) | 0.195 |
Disclaimer/Publisher’s Note: The statements, opinions and data contained in all publications are solely those of the individual author(s) and contributor(s) and not of MDPI and/or the editor(s). MDPI and/or the editor(s) disclaim responsibility for any injury to people or property resulting from any ideas, methods, instructions or products referred to in the content. |
© 2026 by the authors. Licensee MDPI, Basel, Switzerland. This article is an open access article distributed under the terms and conditions of the Creative Commons Attribution (CC BY) license.
Share and Cite
Birlutiu, V.; Birlutiu, R.-M. Characteristics of Infections in Hemodialysis Patients: Results from a Single-Center 29-Month Observational Cohort Study from Romania. Microorganisms 2026, 14, 230. https://doi.org/10.3390/microorganisms14010230
Birlutiu V, Birlutiu R-M. Characteristics of Infections in Hemodialysis Patients: Results from a Single-Center 29-Month Observational Cohort Study from Romania. Microorganisms. 2026; 14(1):230. https://doi.org/10.3390/microorganisms14010230
Chicago/Turabian StyleBirlutiu, Victoria, and Rares-Mircea Birlutiu. 2026. "Characteristics of Infections in Hemodialysis Patients: Results from a Single-Center 29-Month Observational Cohort Study from Romania" Microorganisms 14, no. 1: 230. https://doi.org/10.3390/microorganisms14010230
APA StyleBirlutiu, V., & Birlutiu, R.-M. (2026). Characteristics of Infections in Hemodialysis Patients: Results from a Single-Center 29-Month Observational Cohort Study from Romania. Microorganisms, 14(1), 230. https://doi.org/10.3390/microorganisms14010230
