You are currently viewing a new version of our website. To view the old version click .
Microorganisms
  • Article
  • Open Access

25 November 2025

Characterization and Pathogenicity of Mannheimia glucosida Isolated from Sheep

,
,
,
,
and
1
College of Animal & Veterinary Sciences, Southwest Minzu University, Chengdu 610041, China
2
Department of Agricultural and Biosystems Engineering, South Dakota State University, Brookings, SD 57007, USA
*
Author to whom correspondence should be addressed.
This article belongs to the Section Molecular Microbiology and Immunology

Abstract

Bacteria of the genus Mannheimia are major pathogens of respiratory diseases in ruminants and pose a significant threat to the global ruminant industry. However, the biological characteristics and pathogenic mechanisms of Mannheimia glucosida remain unclear. In this study, we isolated five strains of M. glucosida, which specifically hydrolyzed esculin, from sheep with respiratory disease in China. All five strains of M. glucosida were found to encode the adhesion-related gene adh and the anti-phagocytosis-related gene plpD, as determined by a virulence gene assay. Moreover, all M. glucosida isolates were resistant to streptomycin. Phylogenetic analysis based on 16S rRNA, infB, and sodA genes showed that the sodA gene could be a valuable indication for the analysis of bacterial genetic evolution in the genus Mannheimia. By mouse modeling, M. glucosida D251 was further found to cause multiorgan damage with an LD50 of 1.35 × 106 CFU. Meanwhile, by combining whole genome sequencing with bioinformatic analysis, we found that the D251 genome encodes a large number of virulence and drug resistance genes. Finally, we established a highly sensitive and specific PCR assay for M. glucosida. Collectively, these results indicate that M. glucosida may be an important pathogen in respiratory disease in sheep in China and provides a theoretical basis for the clinical diagnosis and treatment of this disease.

1. Introduction

Sheep are an economically and culturally important farm animal. Respiratory diseases are the most common and serious threats to large-scale sheep farms worldwide []. Currently, various pathogens are known to be responsible for respiratory diseases in sheep. These include Mannheimia haemolytica, Pasteurella multocida, parainfluenza virus type 3, respiratory syncytial virus, and Mycoplasma ovipneumoniae []. An increasing number of studies indicate that bacteria belonging to the genus Mannheimia are significantly implicated in respiratory diseases affecting sheep [,,]. The genus Mannheimia comprises five distinct species: M. haemolytica, Mannheimia glucosida, Mannheimia ruminalis, Mannheimia granulomatis, and Mannheimia varigena []. Among these pathogens, M. haemolytica has been the subject of extensive research, as it is recognized not only as the primary causative agent of “shipping fever” in cattle but also as a significant pathogen responsible for pneumonia in sheep and adult cattle [,]. Nevertheless, research on M. glucosida has been comparatively underdeveloped, and its biological characteristics and pathogenic potential remain inadequately elucidated.
M. glucosida was initially classified as the A11 serotype of M. haemolytica. However, in 1999, Angen et al. redefined it as M. glucosida based on findings from DNA-DNA hybridization and 16S rRNA sequencing analyses []. The primary distinction between this pathogen and other members of the Mannheimia genus lies in its ability to produce β-glucosidase, an enzyme capable of hydrolyzing esculin []. M. glucosida was initially isolated from the nasal cavities of healthy cattle and sheep []. However, in 2002, Angen et al. isolated a strain of M. glucosida from a sheep with pneumonia []. Furthermore, Omaleki et al. isolated nine strains of M. glucosida from sheep with mastitis []. The findings of these studies indicate that M. glucosida may represent a potential pathogen warranting further exploration of its pathogenicity.
The use of antibiotics is the mainstay of treatment for respiratory disease caused by bacteria of the genus Mannheimia, which are common opportunistic pathogens of the respiratory tract. Research has been conducted on the identification of drug-resistance genes in M. haemolytica isolates obtained from cattle suffering from respiratory disease []. The findings show that these isolates possess multiple resistance genes, which contribute to an elevated level of antimicrobial resistance []. Similarly, 73 strains of M. haemolytica isolated from healthy sheep were resistant to penicillin and 9 strains were resistant to chlortetracycline and oxytetracycline []. The rise in drug resistance among bacteria belonging to the genus Mannheimia has been linked to the presence of mobile genetic elements, which have demonstrated the capacity for transfer between Pasteurella multocida, M. haemolytica, and Escherichia coli []. However, drug resistance in M. glucosida, an important bacterium in the genus Mannheimia, has not been studied, and this will be one of the focuses of future work.
The detection of bacteria of the genus Mannheimia is particularly important for the treatment of respiratory diseases. Various assays have been developed, such as polymerase chain reaction (PCR), multiplex PCR, fluorescent quantitative PCR, and recombinase polymerase amplification (RPA), each designed to specifically identify one or multiple pathogenic bacterial species. Kumar et al. established a triple PCR assay targeting specific genes of M. haemolytica, which enables the specific identification of M. haemolytica isolates []. Furthermore, a fluorescent quantitative PCR technique has been developed that enables the specific identification of bacteria belonging to the genus Mannheimia []. Four pathogens, M. haemolytica, P. multocida, Histophilus somni, and Mycoplasma bovis, can be detected using the RPA method []. Although multiple assays have been established, methods for the specific detection of M. glucosida are still needed.
In this study, five strains of M. glucosida, characterized by their specific ability to hydrolyze esculin, were isolated from sheep exhibiting respiratory disease. Subsequently, comprehensive biochemical characterization, virulence assessment, and drug resistance analysis of M. glucosida were conducted. The pathogenicity of isolate D251 was validated through a mouse model, which demonstrated its capacity to induce multi-organ damage. These results suggest that M. glucosida may be an important pathogen in respiratory disease in sheep. Meanwhile, we sequenced the whole genome of D251 and established a species-specific PCR assay for M. glucosida. This will provide novel ideas for the rapid diagnosis of clinical respiratory diseases.

2. Materials and Methods

2.1. Collection of Clinical Samples

Nasal cotton swabs were obtained from thirty adult sheep exhibiting pronounced respiratory symptoms, including cough, nasal discharge, dyspnea, and fever. The entire sheep farm has a total of 2000 sheep. These samples were subsequently inoculated onto whole blood agar plates for further analysis.

2.2. Isolation and Cultivation of Strains

Thirty whole blood agar plates were placed in a 37 °C incubator (normal atmospheric environment) for 20 h, and then a single colony of suspected Mannheimia bacteria was streaked onto TSA containing 5% horse serum for purification. After three rounds of purification, single purified colonies were picked for Gram staining microscopy. The confirmed single colony was inoculated into 2 mL of TSB containing 5% horse serum for bacterial enrichment and cultured at 37 °C with constant shaking for 8 h. The purified enrichment was used for DNA extraction and PCR detection.

2.3. Extraction of Total DNA

Total DNA was extracted from the isolated strains utilizing the phenol-chloroform extraction method. The resulting DNA samples were subsequently stored at a temperature of −20 °C.

2.4. PCR Identification of Mannheimia

In order to determine whether the isolated strain is a member of Mannheimia, we reference the multiple PCR method of Mannheimia established by Alexander []. This method can detect M. haemolytica, M. glucosida, and M. ruminalis. The primer sequences are shown in Table S1. The reaction program is 95 °C for 5 min; 35 cycles of 94 °C for 30 s and annealing temperature for 30 s, and 72 °C for 40 s; 72 °C for 10 min, 4 °C to end the reaction. The PCR products were analyzed by 1.5% agarose gel electrophoresis, and the results were observed in the gel imaging analysis system.

2.5. Biochemical Test of Isolated Strains

According to the characteristics of M. glucosida [], which can hydrolyze esculin, this study will carry out the hydrolysis of esculin to determine how many of the strains identified as Mannheimia by multiple PCR are M. glucosida. To further analyze the biochemical characteristics of the isolated M. glucosida, we placed the isolated strains in the VITEK 2 automatic biochemical identification instrument for additional biochemical research.

2.6. Virulence Gene Detection

To detect the important virulence genes carried by M. glucosida, the virulence gene PCR assays established by Klima et al. and García-Alvarez et al. were referenced [,]. The PCR assays were carried out for the virulence genes gcp, gs60, tbpA, tbpB, lktC, nmaA, adh, and plpD. The primer information is shown in Table S1.

2.7. Antimicrobial Susceptibility Testing

The antimicrobial susceptibility of the M. glucosida isolates was assessed using the Kirby-Bauer disk diffusion method according to CLSI guidelines []. Firstly, the purified single colony was inoculated into TSB medium containing 5% horse serum and incubated at 37 °C for 8 h. Secondly, the bacterial concentration was adjusted to 1.5 × 108 colony-forming units (CFU)/mL using TSB enrichment solution. Then, 100 μL of the diluted bacterial solution was pipetted and uniformly spread onto TSA plates containing 5% horse serum using a sterilized applicator stick. The sensitized tablets were placed with a 2 cm interval between each plate for the sensitization test. The disc concentrations for the eight antibiotics are as follows: Florfenicol, 30 μg; Cephalothin, 30 μg; Doxycycline, 30 μg; Cephalexin, 30 μg; Streptomycin, 10 μg; Kanamycin, 30 μg; Gentamicin, 30 μg; and Cefoxitin, 30 μg. The plates were inverted and incubated at 37 °C for 20 h, and the results were assessed based on the inhibitory effect of the bacteria. The drug sensitization results were classified into three categories: sensitive (S), intermediary (I), and resistant (R), according to the diameter of the inhibition zone.

2.8. Analysis of the Pathogenicity of M. glucosida in Mice

To ascertain the 50% lethal dose (LD50), we employed six concentrations ranging from 1.0 × 104 CFU/mL to 1.0 × 109 CFU/mL and conducted experiments on a cohort of 30 specific pathogen-free (SPF) BALB/c mice, aged between 6 and 8 weeks. Mice were used instead of sheep to conduct preliminary pathogenicity screening under controlled conditions. Before the test, the mice were kept under normal conditions for 3 days, during which their activities and mental status were observed and normalized. Each concentration was injected intraperitoneally into 5 mice at a volume of 0.5 mL per mouse. Simultaneously, 5 mice in the control group were injected with PBS using the same inoculation method and dose. The morbidity and mortality of mice in each group were observed and recorded at all times, and the LD50 was calculated using the modified Koch’s method. Concurrently, the deceased mice were subjected to dissection, during which the liver, spleen, lungs, and kidneys were systematically collected. These organs were subsequently fixed in 4% paraformaldehyde and forwarded to Chengdu Rilai Biotechnology Co. for the preparation of tissue sections and hematoxylin and eosin (HE) staining, facilitating the examination of pathological alterations. In addition, to analyze the infestation of each organ in the mice by the strain, we extracted total DNA from each organ of the deceased mice and tested it against M. glucosida.

2.9. Sequence Analysis of the lktA Gene

To investigate the molecular characterization of the lktA gene from the isolated strain of M. glucosida, three pairs of primers (Table S1) that were previously developed in our laboratory were employed for the segmental amplification of the complete lktA gene. The resulting PCR products were subsequently dispatched to Sangon Bioengineering (Shanghai) Co. (Shanghai, China) for further analysis. The SeqMan software (https://www.dnastar.com/, accessed on 16 April 2023) was employed to sequence and splice the fragments of the lktA gene in order to obtain the complete coding sequence (CDS). Additionally, a homology analysis of the lktA gene across five isolates was conducted utilizing the BLAST tool (https://blast.ncbi.nlm.nih.gov/Blast.cgi, accessed on 18 April 2023) provided by the National Center for Biotechnology Information (NCBI). Furthermore, an evolutionary tree was constructed using the MAGA software, version 7.0.26.

2.10. Whole Genome Sequencing, Splicing and Assembly

The whole genome sequencing of M. glucosida was completed by Shanghai Lingen Biotechnology Co., Ltd. (Shanghai, China).

2.11. Establishment of Species-Specific PCR for M. glucosida

Since M. glucosida can hydrolyze esculin, and the enzyme involved in hydrolyzing esculin is β-glucosidase, this study refers to the gene encoding β-glucosidase (bglA) of M. glucosida D251 strain. The fragment size is 758bp, sequence is following: bglA-F: 5′-ATGAAATTCCGTTGGGCTTAG-3′; bglA-R:5′-CTTTATCGTAAGCACCCAGTCC-3′. To determine the optimal annealing temperature, the following temperatures were tested: 51 °C, 53 °C, 55 °C, 57 °C, 59 °C, and 60 °C.

2.12. Sensitivity and Specificity Analysis of Species-Specific PCR

The optimized PCR conditions were used to amplify the genomic DNA of M. haemolytica, M. ruminalis, P. multocida, M. ovispneumoniae, and E. coli as templates for the PCR specificity test. The amplified products were subjected to 1.5% agarose gel electrophoresis, and the results were observed using a gel imaging analysis system.
To study the lower limit of detection of the bacterial genome by this method, the concentration of the genomic DNA of the M. glucosida D251 strain was measured with a nucleic acid protein detector. According to its genome size, an online tool (https://cels.uri.edu/gsc/cndna.html, accessed on 12 December 2023) was used to calculate the copy number. Subsequently, a 10-fold gradient dilution was performed to prepare different concentrations of DNA.
Furthermore, to study the lower limit of detection of colony-forming units (CFU) in the bacterial solution using this method, we employed the plate count method to determine the concentration of the isolated strain D251 and performed a 10-fold gradient dilution. The phenol-chloroform method was utilized to extract DNA from each bacterial solution, and the DNA template was then amplified under optimized PCR conditions. The amplified products were analyzed by 1.5% agarose gel electrophoresis, and the results were observed in the gel imaging analysis system.

2.13. Identification of Clinical Samples by Species-Specific PCR

In order to evaluate the detection rate of the established PCR method for M. glucosida in clinical samples and to initially understand the prevalence of M. glucosida in sheep, we analyzed samples from 80 individuals in Gansu Province, Qinghai Province, and Ganzi Prefecture, Sichuan, China. Samples of sheep nasal swabs were extracted using a phenol-chloroform method for DNA extraction and tested according to the established PCR method.

3. Results

3.1. Isolation and Identification of M. glucosida

To better understand the prevalence of M. glucosida in sheep, bacterial isolation was first conducted. Single colonies were obtained by inoculation on blood agar plates and purified three times. The identification of M. glucosida was conducted using PCR techniques targeting the genus Mannheimia, in conjunction with the esculin hydrolysis assay. Five strains (D251, G2, G3, G4, G5) of M. glucosida were successfully obtained through isolation procedures. Isolated M. glucosida exhibits the formation of smooth and glossy colonies when cultured on blood agar plates (Figure 1A). The primer sets LKT, LKT2, and HP all specifically amplified M. glucosida DNA fragments with the correct sizes (Figure 1B–D). Furthermore, it was observed that M. glucosida possesses the unique ability to hydrolyze esculin, a characteristic that is not exhibited by either M. haemolytica or M. ruminalis (Figure 1E). The findings suggest that all five isolates belong to the M. glucosida species.
Figure 1. Isolation and Identification of M. glucosida. (A) Growth status of M. glucosida isolates on blood agar plates. Amplification results of five strains of M. glucosida using (B) LKT, (C) LKT2, and (D) HP primers. M, Marker; 1–5, D251, G2, G3, G4, G5; N, Negative control. (E) Esculin hydrolysis assay.

3.2. Biochemical Characteristics of M. glucosida

The analysis of biochemical properties revealed that all five isolates tested positive for β-glucosidase and esculin (Table 1). In contrast, both M. haemolytica and M. ruminalis showed negative results. Furthermore, all isolates exhibited positive reactions to the ADO (Adonitol), dCEL (D-cellobiose), d-GLU (D-glucose), d-MAN (D-mannitol), and SAC (Sucrose) (Table S2). These results will provide a strong basis for the identification of M. glucosida.
Table 1. Biochemical characterizations of different strains.

3.3. Pathogenicity Assays of M. glucosida in Mice

Through virulence-associated gene testing, the adh, plpD, tbpA, tbpB, gcp, gs60, and lktC genes were specifically amplified in the isolates of M. glucosida, suggesting a possible strong virulence of the isolates (Figure 2A). In the five strains of M. glucosida, the detection rate was 100% for the adhesion-related adh and colonization-related plpd genes, 80% for tbpA, tbpB, gcp, gs60, and lktC, and 0% for the nmaA gene (Table 2). These results suggest that M. glucosida may have a strong ability to adhere and colonize in vivo. To further understand the pathogenicity of M. glucosida, strain D251 was selected for analysis. The LD50 of D251 was determined to be 1.35 × 106 CFU/mL through experimentation utilizing a murine model of infection (Table 3). Pathological examinations indicated the presence of multiple organ injuries in the mice that succumbed to D251 (Figure 2B). In the dead mice, there was hepatocellular steatosis in the liver, splenic sinus stasis in the spleen, inflammatory cell infiltration with predominantly rod-nucleated neutrophils in the lungs, and glomerular necrosis in the kidneys. Furthermore, M. glucosida was detected in different organs of mice (Figure 2C). These results suggest that M. glucosida has a broad colonization ability and strong pathogenicity in mice, but its pathogenic potential in ruminants needs to be further investigated.
Figure 2. Pathogenicity assays of M. glucosida in mice. (A) Results of the virulence gene test in M. glucosida. (B) HE staining observation of each organ tissue. The green arrow in the liver indicates hepatocellular steatosis. The yellow arrow in the spleen indicates splenic sinus stasis. Inflammatory cell infiltration is indicated by the blue arrow in the lung. Glomerular necrosis is indicated by the green arrow in the kidney. Scale bar, 50 μm. (C) Detection of M. glucosida in different tissue organs using LKT, LKT2, and HP primers. 1: heart; 2: liver; 3: spleen; 4: lung; 5: kidney; 6: brain; 7: rectum; 8: twelve Finger intestine; N: control.
Table 2. Virulence profiles of M. glucosida strains isolated from sheep.
Table 3. LD50 determination of M. glucosida in mice.

3.4. Antimicrobial Resistance Analysis of M. glucosida

To evaluate the susceptibility of the isolates to clinically used antibiotics, a disc susceptibility test was performed. The results revealed that all five strains of M. glucosida exhibited resistance to streptomycin while demonstrating susceptibility to florfenicol, ceftiofur, and cefoxitin (Table 4). In addition, M. glucosida showed intermediate resistance to aminoglycoside antibiotics. These data may provide some theoretical basis for the treatment of clinical infections caused by M. glucosida.
Table 4. Antimicrobial resistance of the isolated strains.

3.5. Phylogenetic Analysis of M. glucosida

Further phylogenetic analysis of lktA genes and housekeeping genes was conducted to characterize the genetic evolution of M. glucosida []. The lktA genotype analysis was first performed by retrieving lktA gene information from GenBank (Table S3). It was found that five isolates belonged to the lktA4 genotype (Figure 3A). The G3 strain belonged to the lktA4.5 subtype, while the G4 and G5 strains belonged to the lktA4.3 subtype. D251 (indicated with G1 in Figure 3) and G2 were not associated with any branch and were classified as belonging to novel subtypes designated lktA4.7 and lktA4.8, respectively. Subsequently, information on housekeeping genes was searched for in the GenBank database (Table S4), and a phylogenetic analysis was performed. Based on the 16S rRNA and infB gene, M. glucosida is in the same large branch as M. haemolytica, suggesting that it is more closely related to M. haemolytica (Figure 3B,C). It is also suggested that the 16S rRNA gene and the infB gene exhibit a higher degree of conservation in M. glucosida and M. haemolytica, rendering them unsuitable for the identification of bacterial species within the genus Mannheimia. Based on the sodA gene, all M. glucosida are in the same branch and are distantly related to the other bacteria of Mannheimia spp (Figure 3D). The results show that the sodA gene varies greatly between different Mannheimia species. SodA could be a better target for developing diagnostic assays compared to the more conserved 16S rRNA and infB genes.
Figure 3. Phylogenetic analysis of (A) lktA, (B) 16S rRNA, (C) infB, and (D) sodA genes in M. glucosida. Strain D251 is indicated by G1 in the figure.

3.6. Whole-Genome Sequencing Analysis of M. glucosida

Due to the current lack of genomic information on M. glucosida, strain D251 was further selected for whole genome sequencing. The NCBI accession number for the D251 genome is CP176502. The D251 genome size is 2.4 Mb with 41% GC content (Figure 4A). There are 2279 genes on the D215 genome, of which 2183 are protein-coding genes. The COG functional classification of genomic proteins revealed that the genome of D251 encodes a large number of proteins with unknown functions in addition to metabolism-related proteins. Exploring the biological functions of these unknown proteins will help us understand the pathogenic properties of M. glucosida (Figure 4B). The genes carried on the D251 genome were categorized into five classes by KEGG annotation: (A) Metabolism, (B) Genetic Information Processing, (C) Environmental Information Processing, (D) Cellular Processes, and (E) Organismal Systems (Figure 4C). 79.5% (2065/2597) of these genes are involved in metabolic processes.
Figure 4. Whole genome sequencing analysis of M. glucosida D251. (A) Genome map of strain D251. The outermost circle of the map identifies the genome size; the second and third circles show the CDS on the positive and negative strands, with different colors indicating the functional classification of the different COGs of the CDSs; the fourth circle shows the rRNAs and tRNAs; and the fifth circle shows the GC content. (B) Statistic of genomic protein COG function. (C) KEGG pathway annotation. A, Metabolism; B, Genetic Information Processing; C, Environmental Information Processing; D, Cellular Processes; E, Organismal Systems.

3.7. Prediction of Virulence and Resistance Genes in M. glucosida

Prediction of virulence genes based on the D251 whole genome sequence using the VFDB online database (http://www.mgc.ac.cn/VFs/, accessed on 3 February 2024). A total of 96 virulence genes were predicted in D251, of which 29 were endotoxin-associated virulence genes, 23 were iron uptake-associated virulence genes, and 14 and 11 were associated with immunomodulation and adhesion, respectively (Table S5). These data suggest that the pathogenesis of M. glucosida D251 may involve a complex process, warranting additional comprehensive research. CARD (https://card.mcmaster.ca/, accessed on 6 May 2024) prediction revealed that multiple resistance genes were encoded in the D251 genome, including five fosfomycin resistance genes, three fluoroquinolone resistance genes, two neomycin resistance genes, and one streptomycin resistance gene, respectively (Table 5). The results suggest that M. glucosida D251 may be resistant to a variety of antibiotics, and further determination of its resistance phenotype by drug sensitivity testing with more antibiotics is needed. Furthermore, in combination with the previous analysis of the drug sensitivity test, it is suggested that the predicted streptomycin resistance gene may mediate the resistance of D251 to streptomycin.
Table 5. Genetic prediction of antibiotic resistance in M. glucosida.

3.8. Establishment of the Specific Detection for M. glucosida

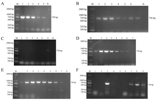
In response to the absence of an efficient detection technique for M. glucosida, we developed a species-specific PCR method. Since β-glucosidase, the product of the bglA gene encoded in M. glucosida, is involved in the hydrolysis of esculin, specific amplification primers for bglA were designed. Amplification of the corresponding genes from five isolates using this primer resulted in a single band of the expected size (Figure 5A). The results show that the primer can be used for the detection of M. glucosida. The PCR protocol was optimized through the application of a gradient annealing temperature, resulting in the identification of 59 °C as the optimal annealing temperature (Figure 5B). To verify the specificity of the optimized PCR method, various bacterial strains were tested. The results indicated that amplification was observed exclusively for M. glucosida, whereas neither M. haemolytica nor M. ruminalis, among other species, exhibited amplification (Figure 5C). Furthermore, sensitivity analysis revealed that the lower limit of genomic detection for M. glucosida was 27.8 copies per reaction (Figure 5D). This PCR method has a lower detection limit of 56 CFU/mL for M. glucosida pure culture (Figure 5E). Subsequently, 80 sheep nasal swab samples from different provinces were tested using this PCR method, and the detection rate of M. glucosida was found to be 22.5% (18/80). The results indicate that this PCR method can be used to detect M. glucosida in clinical samples and also suggest that this pathogen is more widely infected in sheep (Figure 5F).
Figure 5. Establishment of a specific PCR detection method for M. glucosida. (A) Detection results of five isolates. 1–5: D251, G2, G3, G4, G5. N: control. (B) Optimization of PCR annealing temperature. 1–6: 60 °C, 59 °C, 57 °C, 55 °C, 53 °C, 51 °C. N: control. (C) PCR specificity analysis. 1: E. coli; 2: M. haemolytica; 3: M. ruminalis; 4: P. multocida; 5: M. ovipneumoniae; 6: M. glucosida; N: control. (D) Sensitivity analysis of genomic DNA for PCR detection. 1–7: 7.1 × 101~7.1 × 10−5 ng/μL. (E) Sensitivity analysis of CFU for PCR detection. 1–8: 5.6 × 107~5.6 × 100 CFU/mL. (F) PCR detection of M. glucosida in clinical samples. 1: control. 2–9: clinical samples.

4. Discussion

Bacteria of the genus Mannheimia are important pathogens in cattle and sheep, posing a serious constraint to the development of ruminant farming [,]. Although M. haemolytica has been extensively studied, there is a dearth of research on M. glucosida. In this study, we have biologically characterized sheep-derived M. glucosida. For the first time, we have supplemented the genomic information of M. glucosida and established a species-specific PCR method for it.
Bacteria of the genus Mannheimia include M. haemolytica, M. glucosida, M. ruminalis, M. granulomatis, and M. varigena []. M. haemolytica, a major pathogen responsible for respiratory disease syndromes in ruminants, causes fibrotic and necrotizing lobar pneumonia, as well as pleuropneumonia []. The important virulence factor of M. haemolytica is leukotoxin (LKT), which specifically interacts with the β2 integrin receptor on leukocytes []. LKT promotes the release of pro-inflammatory cytokines at low concentrations [], while at high concentrations, it causes swelling and necrosis of leukocytes, resulting in lung injury [,]. The lktA genotype of M. haemolytica and that of M. glucosida occupy distinct evolutionary branches. In the present study, the sheep-derived M. glucosida encodes the lktA gene, which produces LKTs and belongs to the lktA4 genotype. However, the mechanism of action of M. glucosida LKT in its infection is not known. In addition to LKTs, several virulence factors have been identified in M. haemolytica, including LPS, outer membrane proteins, and capsules []. In this study, all five isolates of M. glucosida were found to encoded virulence-associated genes adh and plpD, suggesting that M. glucosida exhibits a pronounced capacity for adhesion and colonization. Furthermore, the high virulence of M. glucosida D251 was confirmed by a mouse infection model, which resulted in multiple organ damage in mice. The results of this study suggest that M. glucosida may be a potentially important pathogen. Due to the limitations of cross-species pathogenicity models, future research should further utilize sheep models to investigate the pathogenicity of M. glucosida in sheep. If confirmed as a pathogen, M. glucosida likely acts as an opportunistic agent, causing disease when the host immunity is decreased or during periods of stress, such as during transport or malnutrition []. In contrast to M. haemolytica, the isolation rate of M. glucosida is observed to be 20–30% in healthy sheep, whereas it constitutes less than 5% in diseased animals []. This distribution implies that M. glucosida may be more closely linked to a symbiotic association with the host rather than exhibiting pathogenic tendencies. Future studies will employ metagenomic analysis to determine its specific abundance within the sheep respiratory tract microbiota and its interactions with other microorganisms, while further validating its symbiotic status through 16S rRNA sequencing.
The use of antibiotics is the primary treatment option for respiratory disease syndromes in ruminants. Antibiotic treatment often fails because bacteria carry drug-resistant genes. Multiple resistance genes have been identified in M. haemolytica, and some of these resistance genes are located within mobile genetic elements [,]. Streptomycin resistance was found in all five strains of M. glucosida, which may be mediated by the encoded streptomycin resistance gene. Further prediction revealed that the genome of M. glucosida carries multiple resistance genes, but the corresponding antibiotic resistance phenotypes need to be further validated. These results suggest that M. glucosida may serve as a reservoir of resistance genes that provide antibiotic resistance to respiratory pathogens. Further validation and research on the resistance of M. glucosida to antibiotics hold significant implications for guiding clinical antibiotic use. Furthermore, subsequent investigations will expand antimicrobial susceptibility testing to encompass additional classes of antibiotics in order to enhance the resistance profile characterization of M. glucosida.
Currently, for the detection of M. glucosida, the main methods are isolation and culture of bacteria and biochemical identification, which is time-consuming and complicated. For M. haemolytica, several studies have established rapid PCR detection methods [,,]. In established multiplex PCR methods and fluorescent quantitative PCR methods, although M. glucosida is efficiently identified, bacteria such as M. haemolytica and M. ruminalis are also identified [,]. In this study, primers were designed to establish a PCR method using bglA, a gene encoding β-glucosidase on the D251 genome, based on the hydrolysis of esculin by M. glucosida. This PCR method specifically identifies M. glucosida, but not bacteria such as M. haemolytica, M. ruminalis, and P. multocida. The PCR method established in this study provides a theoretical basis for the rapid diagnosis of M. glucosida.

5. Conclusions

Overall, the present study was carried out to characterize the biological properties of the sheep-derived M. glucosida and to assess its pathogenicity in mice. In addition, the whole genome sequence analysis of M. glucosida was conducted for the first time, facilitating a deeper understanding of the genetic attributes of clinical isolates and their associated molecular mechanisms of resistance. A species-specific PCR method was further established to provide a rapid and reliable method for the detection of clinical M. glucosida. The availability of this specific diagnostic tool will facilitate faster and more accurate identification of M. glucosida in veterinary clinical settings, thereby aiding in timely disease management and control.

Supplementary Materials

The following supporting information can be downloaded at: https://www.mdpi.com/article/10.3390/microorganisms13122676/s1. Table S1: All primers used in this study. Table S2: Biochemical characterization of isolated strains. Table S3: Information on the lktA genotype in M. glucosida. Table S4: Information on housekeeping genes in strains. Table S5: Prediction of virulence factors in M. glucosida.

Author Contributions

Q.G.: Writing—original draft, Writing—review & editing, Visualization, Supervision, Formal analysis, Data curation, Conceptualization. M.G.: Methodology, Investigation, Data curation. T.G.: Methodology, Writing—review & editing, Software. Y.Y.: Supervision, Methodology, Project administration. X.S.: Validation, Software, Investigation. F.Y.: Writing—review & editing, Supervision, Resources, Project administration, Funding acquisition, Formal analysis, Data curation, Conceptualization. All authors have read and agreed to the published version of the manuscript.

Funding

This study was supported by National Key Research and Development Program (2023YFD1802500), Innovation Team Development Funds for Sichuan Mutton Goat & Sheep (SCCXTD-2024-14), Scientific and Technological Innovation Team for Qinghai-Tibetan Plateau Research in Southwest Minzu University (2024CXTD08), and the Fundamental Research Funds for the Central Universities, Southwest Minzu University (ZYN2024191).

Institutional Review Board Statement

All methods were conducted in accordance with the Southwest Minzu University’s Institutional Animal Care and Use Committee (SWUN-MR0056, 6 March 2023), and recommendations in the Regulations of the People’s Republic of China on the Administration of Laboratory Animal Affairs.

Data Availability Statement

The original contributions presented in this study are included in the article/Supplementary Materials. Further inquiries can be directed to the corresponding author.

Acknowledgments

The authors would like to thank the Key Laboratory of Veterinary Medicine of Universities of Sichuan Province for providing the facilities for this study. And we appreciate the assistance of all the staff members.

Conflicts of Interest

The authors declare no conflicts of interest.

References

  1. Katsarou, E.I.; Lianou, D.T.; Michael, C.K.; Vasileiou, N.G.C.; Papadopoulos, E.; Petinaki, E.; Fthenakis, G.C. Associations of Climatic Variables with Health Problems in Dairy Sheep Farms in Greece. Climate 2024, 12, 175. [Google Scholar] [CrossRef]
  2. Ackermann, M.R.; Brogden, K.A. Response of the ruminant respiratory tract to Mannheimia (Pasteurella) haemolytica. Microbes Infect. 2000, 2, 1079–1088. [Google Scholar] [CrossRef]
  3. Kehrenberg, C.; Schulzetanzil, G.; Martel, J.L.; Chaslus-Dancla, E.; Schwarz, S. Antimicrobial resistance in Pasteurella and Mannheimia: Epidemiology and genetic basis. Vet. Res. 2001, 32, 323–339. [Google Scholar] [CrossRef]
  4. Deressa, A.; Asfaw, Y.; Lubke, B.; Kyule, M.W.; Zessin, K.H. Molecular detection of Pasteurella multocida and Mannheimia haemolytica in sheep respiratory infections in Ethiopia. Int. J. Appl. Res. Vet. Med. 2010, 8, 101–108. [Google Scholar]
  5. Harhay, G.P.; Murray, R.W.; Lubbers, B.; Griffin, D.; Koren, S.; Phillippy, A.M.; Harhay, D.M.; Bono, J.; Clawson, M.L.; Heaton, M.P.; et al. Complete closed genome sequences of four Mannheimia varigena isolates from cattle with shipping fever. Genome Announc. 2014, 2, e00088-14. [Google Scholar] [CrossRef]
  6. Angen, O.; Mutters, R.; Caugant, D.A.; Olsen, J.E.; Bisgaard, M. Taxonomic relationships of the (Pasteurella) haemolytica complex as evaluated by DNA-DNA hybridizations and 16S rRNA sequencing with proposal of Mannheimia haemolytica gen. nov. comb. nov. Mannheimia granulomatis comb. nov. Mannheimia glucosida sp. nov. glucosida sp. nov. Mannheimia ruminalis sp. nov. and Mannheimia varigena sp. nov. Int. J. Syst. Bacteriol. 1999, 49, 67–86. [Google Scholar] [PubMed]
  7. Singh, K.; Ritchey, J.W.; Confer, A.W. Mannheimia haemolytica: Bacterial-host interactions in bovine pneumonia. Vet. Pathol. 2011, 48, 338–348. [Google Scholar] [CrossRef]
  8. Biesheuvel, M.M.; van Schaik, G.; Meertens, N.M.; Peperkamp, N.H.; van Engelen, E.; van Garderen, E. Emergence of fatal Mannheimia haemolytica infections in cattle in the Netherlands. Vet. J. 2021, 268, 105576. [Google Scholar] [CrossRef] [PubMed]
  9. Jaramillo-Arango, C.J.; Hernández-Castro, R.; Suárez-Güemes, F.; Martínez-Maya, J.J.; Aguilar-Romero, F.; Jaramillo-Meza, L.; Trigo, F.J. Characterisation of Mannheimia spp. strains isolated from bovine nasal exudate and factors associated to isolates, in dairy farms in the Central Valley of Mexico. Res. Vet. Sci. 2008, 84, 7–13. [Google Scholar] [CrossRef]
  10. Angen, O.; Quirie, M.; Donachie, W.; Bisgaard, M. Investigations on the species specificity of Mannheimia (Pasteurella) haemolytica serotyping. Vet. Microbiol. 1999, 65, 283–290. [Google Scholar] [CrossRef] [PubMed]
  11. Angen, O.; Ahrens, P.; Bisgaard, M. Phenotypic and genotypic characterization of Mannheimia (Pasteurella) haemolytica-like strains isolated from diseased animals in Denmark. Vet. Microbiol. 2002, 84, 103–114. [Google Scholar] [CrossRef]
  12. Omaleki, L.; Barber, S.R.; Allen, J.L.; Browning, G.F. Mannheimia species associated with ovine mastitis. J. Clin. Microbiol. 2010, 48, 3419–3422. [Google Scholar] [CrossRef]
  13. Stanford, K.; Zaheer, R.; Klima, C.; McAllister, T.; Peters, D.; Niu, Y.D.; Ralston, B. Antimicrobial Resistance in Members of the Bacterial Bovine Respiratory Disease Complex Isolated from Lung Tissue of Cattle Mortalities Managed with or without the Use of Antimicrobials. Microorganisms 2020, 8, 288. [Google Scholar] [CrossRef] [PubMed]
  14. Jackson, W.; Tucker, J.; Fritz, H.; Bross, C.; Adams, J.; Silva, M.; Lorenz, C.; Marshall, E. Antimicrobial susceptibility profiles among commensal Mannheimia haemolytica and Pasteurella multocida isolated from apparently healthy sheep processed in California: Results from a cross-sectional pilot study. Prev. Vet. Med. 2024, 233, 106360. [Google Scholar] [CrossRef] [PubMed]
  15. Klima, C.L.; Zaheer, R.; Cook, S.R.; Booker, C.W.; Hendrick, S.; Alexander, T.W.; McAllister, T.A. Pathogens of bovine respiratory disease in North American feedlots conferring multidrug resistance via integrative conjugative elements. J. Clin. Microbiol. 2014, 52, 438–448. [Google Scholar] [CrossRef] [PubMed]
  16. Kumar, J.; Dixit, S.K.; Kumar, R. Rapid detection of Mannheimia haemolytica in lung tissues of sheep and from bacterial culture. Vet. World 2015, 8, 1073–1077. [Google Scholar] [CrossRef]
  17. Guenther, S.; Schierack, P.; Grobbel, M.; Lübke-Becker, A.; Wieler, L.H.; Ewers, C. Real-time PCR assay for the detection of species of the genus Mannheimia. J. Microbiol. Methods 2008, 75, 75–80. [Google Scholar] [CrossRef]
  18. Conrad, C.C.; Daher, R.K.; Stanford, K.; Amoako, K.K.; Boissinot, M.; Bergeron, M.G.; Alexander, T.; Cook, S.; Ralston, B.; Zaheer, R.; et al. A Sensitive and Accurate Recombinase Polymerase Amplification Assay for Detection of the Primary Bacterial Pathogens Causing Bovine Respiratory Disease. Front. Vet. Sci. 2020, 7, 208. [Google Scholar] [CrossRef]
  19. Alexander, T.W.; Cook, S.R.; Yanke, L.J.; Booker, C.W.; Morley, P.S.; Read, R.R.; Gow, S.P.; McAllister, T.A. A multiplex polymerase chain reaction assay for the identification of Mannheimia haemolytica, Mannheimia glucosida and Mannheimia ruminalis. Vet. Microbiol. 2008, 130, 165–175. [Google Scholar] [CrossRef]
  20. Klima, C.L.; Alexander, T.W.; Hendrick, S.; McAllister, T.A. Characterization of Mannheimia haemolytica isolated from feedlot cattle that were healthy or treated for bovine respiratory disease. Can. J. Vet. Res. 2014, 78, 38–45. [Google Scholar]
  21. García-Alvarez, A.; Fernández-Garayzábal, J.F.; Chaves, F.; Pinto, C.; Cid, D. Ovine Mannheimia haemolytica isolates from lungs with and without pneumonic lesions belong to similar genotypes. Vet. Microbiol. 2018, 219, 80–86. [Google Scholar] [CrossRef]
  22. CLSI Supplement M100; Performance Standards for Antimicrobial Susceptibility Testing. 31st ed. CLSI: Malvern, PA, USA, 2022.
  23. Gioia, J.; Qin, X.; Jiang, H.; Clinkenbeard, K.; Lo, R.; Liu, Y.; Fox, G.E.; Yerrapragada, S.; McLeod, M.P.; McNeill, T.Z.; et al. The genome sequence of Mannheimia haemolytica A1: Insights into virulence, natural competence, and Pasteurellaceae phylogeny. J. Bacteriol. 2006, 188, 7257–7266. [Google Scholar] [CrossRef]
  24. Albelda, S.M.; Buck, C.A. Integrins and other cell adhesion molecules. FASEB J. Off. Publ. Fed. Am. Soc. Exp. Biol. 1990, 4, 2868. [Google Scholar] [CrossRef]
  25. Maheswaran, S.K.; Kannan, M.S.; Weiss, D.J.; Reddy, K.R.; Townsend, E.L.; Yoo, H.S.; Lee, B.W.; Whiteley, L.O. Enhancement of neutrophil-mediated injury to bovine pulmonary endothelial cells by Pasteurella haemolytica leukotoxin. Infect. Immun. 1993, 61, 2618–2625. [Google Scholar] [CrossRef]
  26. Atapattu, D.N.; Czuprynski, C.J. Mannheimia haemolytica leukotoxin induces apoptosis of bovine lymphoblastoid cells (BL-3) via a caspase-9-dependent mitochondrial pathway. Infect. Immun. 2005, 73, 5504–5513. [Google Scholar] [CrossRef]
  27. Thumbikat, P.; Dileepan, T.; Kannan, M.S.; Maheswaran, S.K. Mechanisms underlying Mannheimia haemolytica leukotoxin-induced oncosis and apoptosis of bovine alveolar macrophages. Microb. Pathog. 2005, 38, 161–172. [Google Scholar] [CrossRef]
  28. Zecchinon, L.; Fett, T.; Desmecht, D. How Mannheimia haemolytica defeats host defence through a kiss of death mechanism. Vet. Res. 2005, 36, 133–156. [Google Scholar] [CrossRef] [PubMed]
  29. Davies, R.L.; Whittam, T.S.; Selander, R.K. Sequence diversity and molecular evolution of the leukotoxin (lktA) gene in bovine and ovine strains of Mannheimia (Pasteurella) haemolytica. J. Bacteriol. 2001, 183, 1394–1404. [Google Scholar] [CrossRef] [PubMed]
  30. Clawson, M.L.; Murray, R.W.; Sweeney, M.T.; Apley, M.D.; DeDonder, K.D.; Capik, S.F.; Larson, R.L.; Lubbers, B.V.; White, B.J.; Kalbfleisch, T.S.; et al. Genomic signatures of Mannheimia haemolytica that associate with the lungs of cattle with respiratory disease, an integrative conjugative element, and antibiotic resistance genes. BMC Genom. 2016, 17, 982. [Google Scholar] [CrossRef]
  31. Andrés-Lasheras, S.; Zaheer, R.; Klima, C.; Sanderson, H.; Ortega Polo, R.; Milani, M.R.M.; Vertenten, G.; McAllister, T.A. Serotyping and antimicrobial resistance of Mannheimia haemolytica strains from European cattle with bovine respiratory disease. Res. Vet. Sci. 2019, 124, 10–12. [Google Scholar] [CrossRef]
  32. Klima, C.L.; Zaheer, R.; Briggs, R.E.; McAllister, T.A. A multiplex PCR assay for molecular capsular serotyping of Mannheimia haemolytica serotypes 1, 2, and 6. J. Microbiol. Methods 2017, 139, 155–160. [Google Scholar] [CrossRef] [PubMed]
Disclaimer/Publisher’s Note: The statements, opinions and data contained in all publications are solely those of the individual author(s) and contributor(s) and not of MDPI and/or the editor(s). MDPI and/or the editor(s) disclaim responsibility for any injury to people or property resulting from any ideas, methods, instructions or products referred to in the content.

Article Metrics

Citations

Article Access Statistics

Article metric data becomes available approximately 24 hours after publication online.