Tuberculosis in a Migrant Population: Integrated Management of a Case through the Prevention Department and Hospital Services
Abstract
1. Overview
2. Internal Management of Tuberculosis Contacts
- Close contacts: people who live with the patient or who have shared the same confined space for numerous hours a day;
- Regular contacts: people who regularly share the same closed space;
- Occasional contacts: people who occasionally share the same closed place.
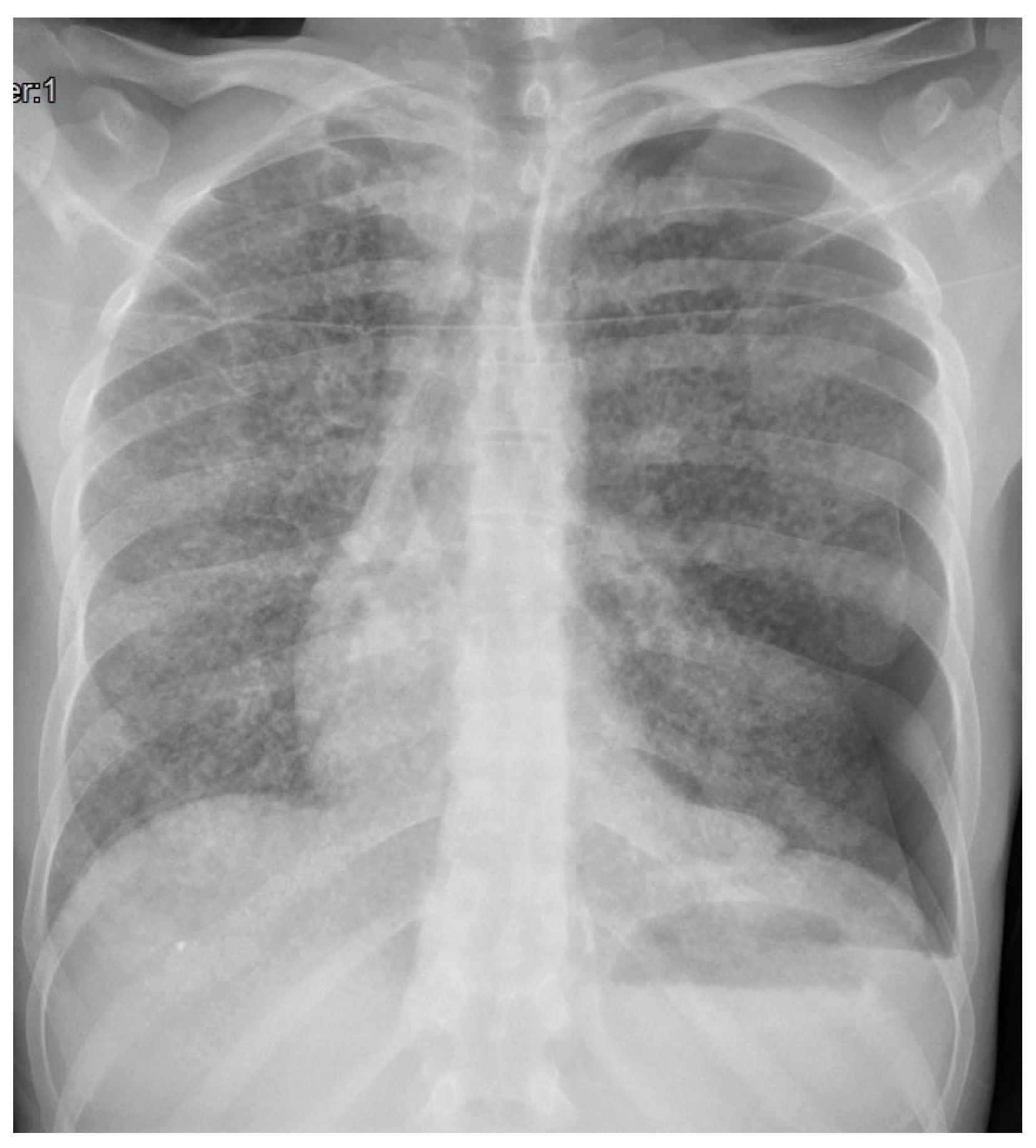
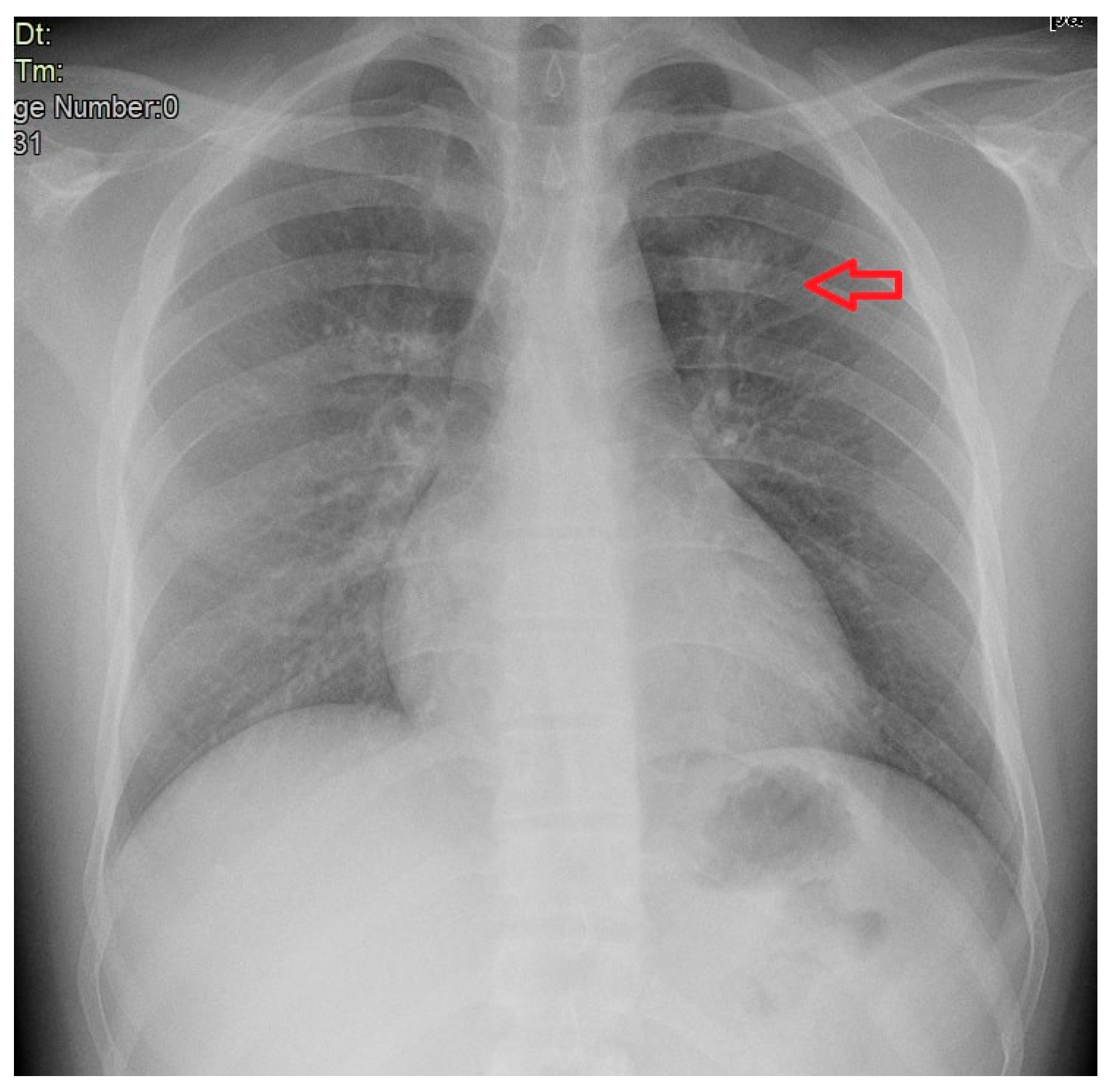
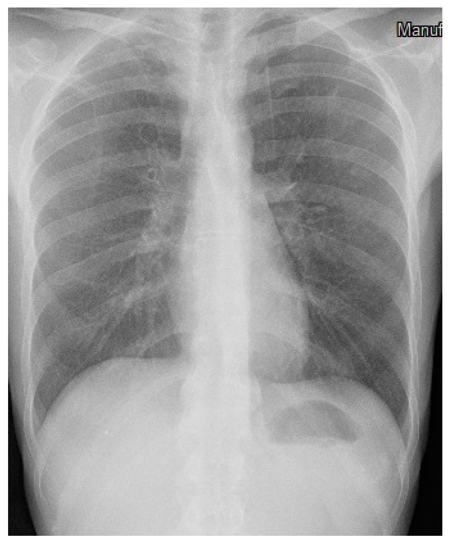
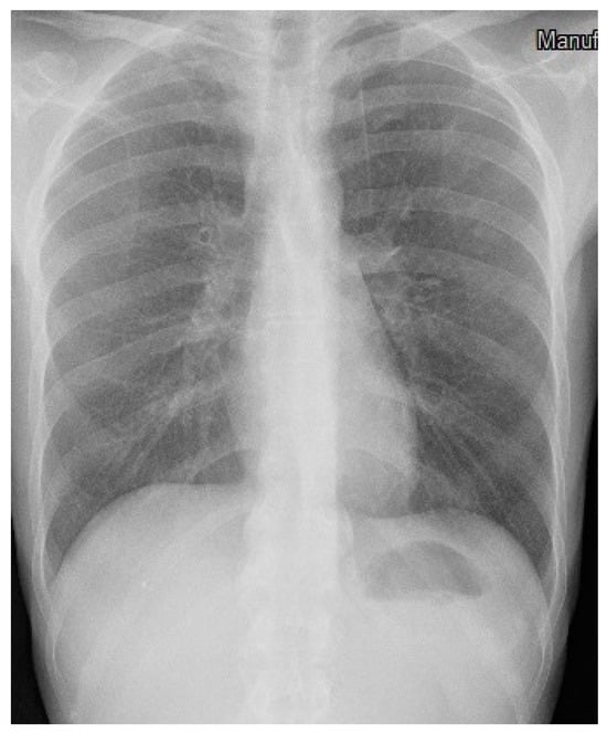
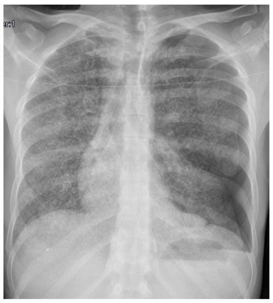
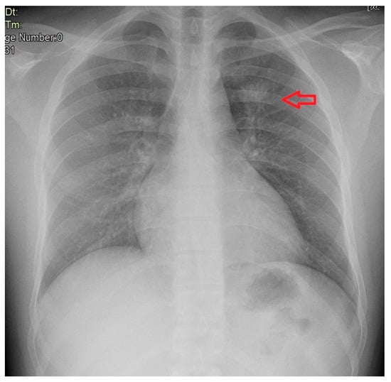
3. Case Description
- One subject who recently underwent a health screening and tested positive in the quantiferon test but had a negative X-ray was already in the care of the Infectious Diseases Unit;
- Three subjects who had a positive quantiferon test in the past and had already finished therapy for LTBI underwent a control X-ray, which was negative;
- Thirteen subjects had negative quantiferon tests on 9 November 2023;
- Two subjects who underwent a quantiferon test on 9 November 2023 resulting in minimal signs of reactivity (low-intensity positivity) had negative chest X-rays. They were taken over by Infectious Diseases to start therapy for LTBI.
- Two positive cases were under treatment in the Infectious Diseases Unit;
- Seven CAS operators had two negative screening tests;
- One subject, who was no longer a guest of the CAS, underwent diagnostic tests;
- Eighteen CAS contacts tested negative on both screening tests;
- Nine CAS contacts were diagnosed with LTBI.
4. Clinical Case Management
5. Conclusions
Author Contributions
Funding
Data Availability Statement
Conflicts of Interest
References
- Barberis, I.; Bragazzi, N.L.; Galluzzo, L.; Martini, M. The history of tuberculosis: From the first historical records to the isolation of Koch’s bacillus. J. Prev. Med. Hyg. 2017, 58, E9–E12. [Google Scholar] [PubMed]
- European Centre for Disease Prevention and Control; World Health Organization. Tuberculosis Surveillance and Monitoring in Europe. 2023. Available online: https://www.ecdc.europa.eu/sites/default/files/documents/tuberculosis-surveillance-monitoring-2023.pdf (accessed on 27 February 2024).
- Ahmad, S. Pathogenesis, immunology, and diagnosis of latent Mycobacterium tuberculosis infection. Clin. Dev. Immunol. 2011, 2011, 814943. [Google Scholar] [CrossRef] [PubMed]
- Moroni, M.; Esposito, R.; Antinori, S. Malattie Infettive. In Ottava Edizione; Edra Masson: Milan, Italy, 2014; ISBN 9788821436901. [Google Scholar]
- Bloom, B.R.; Atun, R.; Cohen, T.; Dye, C.; Fraser, H.; Gomez, G.B.; Knight, G.; Murray, M.; Nardell, E.; Rubin, E.; et al. Tuberculosis. In Major Infectious Diseases, 3rd ed.; Holmes, K.K., Bertozzi, S., Bloom, B.R., Jha, P., Eds.; The International Bank for Reconstruction and Development/The World Bank: Washington, DC, USA, 2017. [Google Scholar]
- Rahlwes, K.C.; Dias, B.R.S.; Campos, P.C.; Alvarez-Arguedas, S.; Shiloh, M.U. Pathogenicity and virulence of Mycobacterium tuberculosis. Virulence 2023, 14, 2150449. [Google Scholar] [CrossRef] [PubMed]
- Khabibullina, N.F.; Kutuzova, D.M.; Burmistrova, I.A.; Lyadova, I.V. The Biological and Clinical Aspects of a Latent Tuberculosis Infection. Trop. Med. Infect. Dis. 2022, 7, 48. [Google Scholar] [CrossRef] [PubMed]
- Alsayed, S.S.R.; Gunosewoyo, H. Tuberculosis: Pathogenesis, Current Treatment Regimens and New Drug Targets. Int. J. Mol. Sci. 2023, 24, 5202. [Google Scholar] [CrossRef] [PubMed]
- Kotze, L.A.; Beltran, C.G.G.; Lang, D.; Loxton, A.G.; Cooper, S.; Meiring, M.; Koegelenberg, C.F.N.; Allwood, B.W.; Malherbe, S.T.; Hiemstra, A.M.; et al. Establishment of a Patient-Derived, Magnetic Levitation-Based, Three-Dimensional Spheroid Granuloma Model for Human Tuberculosis. mSphere 2021, 6, e0055221. [Google Scholar] [CrossRef] [PubMed]
- World Health Organization. Tuberculosis. Available online: https://www.who.int/news-room/fact-sheets/detail/tuberculosis (accessed on 1 March 2024).
- Pai, M.; Nicol, M.P.; Boehme, C.C. Tuberculosis Diagnostics: State of the Art and Future Directions. Microbiol. Spectr. 2016, 4. [Google Scholar] [CrossRef] [PubMed]
- Lewinsohn, D.M.; Leonard, M.K.; LoBue, P.A.; Cohn, D.L.; Daley, C.L.; Desmond, E.; Keane, J.; Lewinsohn, D.A.; Loeffler, A.M.; Mazurek, G.H.; et al. Official American Thoracic Society/Infectious Diseases Society of America/Centers for Disease Control and Prevention Clinical Practice Guidelines: Diagnosis of Tuberculosis in Adults and Children. Clin. Infect. Dis. 2017, 64, e1–e33. [Google Scholar] [CrossRef]
- Burrill, J.; Williams, C.J.; Bain, G.; Conder, G.; Hine, A.L.; Misra, R.R. Tuberculosis: A radiologic review. Radiographics 2007, 27, 1255–1273. [Google Scholar] [CrossRef] [PubMed]
- Nahid, P.; Dorman, S.E.; Alipanah, N.; Barry, P.M.; Brozek, J.L.; Cattamanchi, A.; Chaisson, L.H.; Chaisson, R.E.; Daley, C.L.; Grzemska, M.; et al. Official American Thoracic Society/Centers for Disease Control and Prevention/Infectious Diseases Society of America Clinical Practice Guidelines: Treatment of Drug-Susceptible Tuberculosis. Clin. Infect. Dis. 2016, 63, e147–e195. [Google Scholar] [CrossRef] [PubMed]
- National Institute for Health and Care Excellence. Tuberculosis, NICE Guidelines. 2016. Available online: https://www.nice.org.uk/guidance/ng33/resources/tuberculosis-pdf-1837390683589 (accessed on 1 March 2024).
- Italian National Institute of Health. Tuberculosis, Epidemiological Features, General Data. Available online: https://www.epicentro.iss.it/tubercolosi/epidemiologia (accessed on 1 March 2024).
- Jeffries, C.; Lobue, P.; Chorba, T.; Metchock, B.; Kashef, I. Role of the Health Department in Tuberculosis Prevention and Control-Legal and Public Health Considerations. Microbiol. Spectr. 2017, 5. [Google Scholar] [CrossRef] [PubMed]
- Linee Guida per il Controllo Della Malattia Tubercolare, su Proposta del Ministro della Sanità, ai Sensi Dell’art. 115, Comma 1, Lettera b), del Decreto Legislativo 31 Marzo 1998, n. 112. Available online: https://www.salute.gov.it/portale/documentazione/p6_2_2_1.jsp?lingua=italiano&id=615 (accessed on 1 March 2024).
- Deliberazione della Giunta Regionale del Veneto n. 2053 del 03 luglio 2007. Nuove Linee guida per il controllo della Tubercolosi nella Regione Veneto e costituzione Comitato Strategico per la Lotta Alla TBC. Available online: https://bur.regione.veneto.it/BurvServices/pubblica/DettaglioDgr.aspx?id=198620 (accessed on 1 March 2024).
- Sollai, S.; Galli, L.; de Martino, M.; Chiappini, E. Systematic review and meta-analysis on the utility of Interferon-gamma release assays for the diagnosis of Mycobacterium tuberculosis infection in children: A 2013 update. BMC Infect Dis. 2014, 14 (Suppl. S1), S6. [Google Scholar] [CrossRef] [PubMed]
- Napoli, C.; Ferretti, F.; Di Ninno, F.; Orioli, R.; Marani, A.; Sarlo, M.G.; Prestigiacomo, C.; De Luca, A.; Orsi, G.B. Screening for Tuberculosis in Health Care Workers: Experience in an Italian Teaching Hospital. Biomed. Res. Int. 2017, 2017, 7538037. [Google Scholar] [CrossRef] [PubMed]
- National Institute for Health, Migration and Poverty; Italian National Institute of Health; Italian Society of Migration Medicine. National Guidelines for the Control of Tuberculosis among Immigrants in Italy; Sistema Nazionale per le Linee Guida: Rome, Italy, 2024; Available online: https://www.inmp.it/lg/LG_Tubercolosi.pdf (accessed on 1 March 2024)ISBN 9788898544202.
- Mixed Migration Center. The Journey of Pakistanis to Italy: Drivers, Routes and Relationships with Traffickers. MMC Europe 4 Mi Snapshot. 2022. Available online: https://mixedmigration.org/wp-content/uploads/2022/03/219_Il_viaggio_dei_Pakistani_verso_l_Italia_drivers_rotte_e_rapporti_con_i_trafficanti.pdf (accessed on 18 March 2024).
- World Health Organization. Global Health Observatory Data Repository. Tuberculosis, Incident Data by Who Region. Available online: https://apps.who.int/gho/data/view.main.57036ALL?lang=en (accessed on 18 March 2024).
- Nikolova, M.; Markova, R.; Drenska, R.; Muhtarova, M.; Todorova, Y.; Dimitrov, V.; Taskov, H.; Saltini, C.; Amicosante, M. Antigen-specific CD4- and CD8-positive signatures in different phases of Mycobacterium tuberculosis infection. Diagn. Microbiol. Infect. Dis. 2013, 75, 277–281. [Google Scholar] [CrossRef] [PubMed]
- Petruccioli, E.; Chiacchio, T.; Pepponi, I.; Vanini, V.; Urso, R.; Cuzzi, G.; Barcellini, L.; Cirillo, D.M.; Palmieri, F.; Ippolito, G.; et al. First characterization of the CD4 and CD8 T-cell responses to QuantiFERON-TB Plus. J. Infect. 2016, 73, 588–597. [Google Scholar] [CrossRef] [PubMed]
- Cinquetti, S.; De Polo, A.; Marcotrigiano, V.; Battistin, M.; Bino, E.; De Mattia, G.; Fagherazzi, J.; Fiorito, N.; Manzi, M.; Voltolini, A.; et al. Lessons Learned from the COVID-19 Vaccination Campaigns in Veneto Region: Population Vaccination Centers as Support for the Traditional Outpatient Model. Vaccines 2023, 11, 1695. [Google Scholar] [CrossRef] [PubMed]
- Marcotrigiano, V.; Pattavina, F.; Blangiardi, L.; Salerno, G.; Dalena, A.; Del Bianco, F.; Di Fant, M.; Fabbro, A.; Forgiarini, M.; Lanzilotti, C.; et al. The Preventive Health Professions in Italy: The Efficient Use of Resources, Skills and Best Practice during the Pandemic. Healthcare 2022, 10, 1906. [Google Scholar] [CrossRef] [PubMed]





| Countries, Territories, and Areas | Number of Incident Tuberculosis Cases (C.I. 95%) | Incidence of Tuberculosis * (C.I. 95%) |
|---|---|---|
| Pakistan | 615,000 (450,000–821,000) | 266 (194–355) |
| Iran | 10,000 (7800–13,000) | 12 (8.8–15) |
| Turkiye | 12,000 (9600–15,000) | 14 (11–18) |
| Greece | 220 (190–260) | 2.1 (1.8–2.5) |
| North Macedonia | 240 (180–300) | 11 (8.4–14) |
| Serbia | 1100 (900–1200) | 14 (12–17) |
| Bosnia and Herzegovina | 810 (610–1000) | 25 (19–32) |
| Croatia | 180 (150–200) | 4.4 (3.7–5) |
| Slovenia | 91 (78–100) | 4.3 (3.7–5) |
| Italy | 2700 (2300–3200) | 4.6 (3.9–5.3) |
Disclaimer/Publisher’s Note: The statements, opinions and data contained in all publications are solely those of the individual author(s) and contributor(s) and not of MDPI and/or the editor(s). MDPI and/or the editor(s) disclaim responsibility for any injury to people or property resulting from any ideas, methods, instructions or products referred to in the content. |
© 2024 by the authors. Licensee MDPI, Basel, Switzerland. This article is an open access article distributed under the terms and conditions of the Creative Commons Attribution (CC BY) license (https://creativecommons.org/licenses/by/4.0/).
Share and Cite
Fiorito, N.; Piacentini, D.; Cian, S.; Voltolini, A.; Fagherazzi, J.; Bino, E.; Brancher, M.; De Luca, G.; Battistin, M.; Manzi, M.; et al. Tuberculosis in a Migrant Population: Integrated Management of a Case through the Prevention Department and Hospital Services. Microorganisms 2024, 12, 1216. https://doi.org/10.3390/microorganisms12061216
Fiorito N, Piacentini D, Cian S, Voltolini A, Fagherazzi J, Bino E, Brancher M, De Luca G, Battistin M, Manzi M, et al. Tuberculosis in a Migrant Population: Integrated Management of a Case through the Prevention Department and Hospital Services. Microorganisms. 2024; 12(6):1216. https://doi.org/10.3390/microorganisms12061216
Chicago/Turabian StyleFiorito, Nahuel, Daniela Piacentini, Serena Cian, Anna Voltolini, Jacopo Fagherazzi, Erica Bino, Marika Brancher, Giorgia De Luca, Marica Battistin, Mattia Manzi, and et al. 2024. "Tuberculosis in a Migrant Population: Integrated Management of a Case through the Prevention Department and Hospital Services" Microorganisms 12, no. 6: 1216. https://doi.org/10.3390/microorganisms12061216
APA StyleFiorito, N., Piacentini, D., Cian, S., Voltolini, A., Fagherazzi, J., Bino, E., Brancher, M., De Luca, G., Battistin, M., Manzi, M., Marcotrigiano, V., Vedana, A., Napoli, C., & Cinquetti, S. (2024). Tuberculosis in a Migrant Population: Integrated Management of a Case through the Prevention Department and Hospital Services. Microorganisms, 12(6), 1216. https://doi.org/10.3390/microorganisms12061216

