Isolation, Identification, and Characterization of Aeromonas veronii from Chinese Soft-Shelled Turtle (Trionyx sinensis)
Abstract
1. Introduction
2. Materials and Methods
2.1. Trionyx Sinensis
2.2. Isolation of Pathogens
2.3. Identification of the Pathogen
2.3.1. Morphological Characterization
2.3.2. Biochemical Characterization of Isolate XC-1908
2.3.3. 16S rRNA Gene Sequencing
2.4. Biochemical Analysis of Serum Samples of CSSTs
2.5. Artificial Infection of CSSTs Using Strain XC-1908
2.6. Histopathological Analysis
2.7. Antibiotic Susceptibility Testing
3. Results
3.1. Clinical Symptoms of Diseased CSSTs
3.2. Morphological Characterization of the Isolated Bacterium
3.3. Pathogenicity of Isolate XC-1908
3.4. 16S rRNA Gene Sequencing Analysis
3.5. Biochemical Characterization of Isolate XC-1908
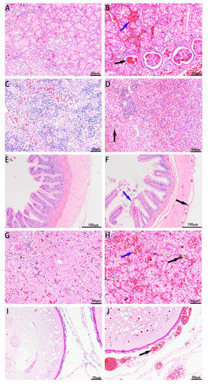
3.6. Histopathological Changes in Diseased CSSTs
3.7. Biochemical Analysis of Serum Samples
3.8. Antibiotic Susceptibility Analysis
4. Discussion
5. Conclusions
Author Contributions
Funding
Institutional Review Board Statement
Data Availability Statement
Conflicts of Interest
References
- Lyu, S.; Yuan, X.; Liu, L.; Zhang, H.; Yu, Z.; Hang, X.; Shi, W.; Wu, Y. Application of a recombinant replicase to localize the Trionyx sinensis hemorrhagic syndrome virus and evaluate its effects on antiviral genes of T. sinensis. J. Zhejiang Univ. Sci. B 2021, 22, 295–304. [Google Scholar] [CrossRef]
- Chu, D.; Zhu, D.; Wu, H.; Li, C.; Zhang, H.; Chen, Y.; Han, X.; Liu, N.; He, Y.; Li, Y.; et al. Development of the embryonic liver and pancreas of the Chinese softshell turtleb Trionyx sinensis. J. Histotechnol. 2021, 44, 2–11. [Google Scholar] [CrossRef]
- Tang, Z.H.; Chen, B.J.; Niu, C.J. Antioxidant defense response during hibernation and arousal in Chinese soft-shelled turtle Pelodiscus sinensis juveniles. Cryobiology 2021, 99, 46–54. [Google Scholar] [CrossRef]
- Fan, N.N.; Hu, K.; Yang, Y.B.; Chen, X.X.; Yang, X.L. Isolation, identification and pathological study of sarcoidosis in Trionyx sinensis. Microbiol. China 2019, 46, 798–810. [Google Scholar]
- Lv, Z.; Hu, Y.; Tan, J.; Wang, X.; Liu, X.; Zeng, C. Comparative Transcriptome Analysis Reveals the Molecular Immunopathogenesis of Chinese Soft-Shelled Turtle (Trionyx sinensis) Infected with Aeromonas hydrophila. Biology 2021, 10, 1218. [Google Scholar] [CrossRef]
- Zhang, Y.; Fang, X.; Chen, X.; Wang, H.; Liu, J.; Liang, X.; Gu, Y.; Fang, C.; Yang, Y. Bacillus cereus causes fatal disease in soft-shelled turtle (Trionyx sinensis). Aquaculture 2022, 547, 737473. [Google Scholar] [CrossRef]
- Shen, J.Y.; Pan, X.Y.; Yu, X.P.; Yin, W.L.; Cao, Z.; Wu, Y.L. Pathogen in white abdominal shell disease of soft-shelled turtle (Trionyx sinensis). J. Fish. Sci. China 2007, 5, 815–822. [Google Scholar]
- Liu, G.X.; Li, J.; Jiang, Z.; Zhu, X.; Gao, X.; Jiang, Q.; Wang, J.; Wei, W.; Zhang, X. Pathogenicity of Aeromonas veronii causing mass mortalities of Odontobutis potamophila and its induced host immune response. Fish Shellfish Immunol. 2022, 125, 180–189. [Google Scholar] [CrossRef] [PubMed]
- Parte, A.C.; Sarda Carbasse, J.; Meier-Kolthoff, J.P.; Reimer, L.C.; Goker, M. List of Prokaryotic names with Standing in Nomenclature (LPSN) moves to the DSMZ. Int. J. Syst. Evol. Microbiol. 2020, 70, 5607–5612. [Google Scholar] [CrossRef]
- Tekedar, H.C.; Kumru, S.; Blom, J.; Perkins, A.D.; Griffin, M.J.; Abdelhamed, H.; Karsi, A.; Lawrence, M.L. Comparative genomics of Aeromonas veronii: Identification of a pathotype impacting aquaculture globally. PLoS ONE 2019, 14, 0221018. [Google Scholar] [CrossRef]
- Wu, C.J.; Wu, J.J.; Yan, J.J.; Lee, H.C.; Lee, N.Y.; Chang, C.M.; Shih, H.I.; Wu, H.M.; Wang, L.R.; Ko, W.C. Clinical significance and distribution of putative virulence markers of consecutive clinical Aeromonas isolates in southern Taiwan. J. Infect. 2007, 54, 151–158. [Google Scholar] [CrossRef] [PubMed]
- Chen, C.; Zu, S.; Zhang, D.; Zhao, Z.; Ji, Y.; Xi, H.; Shan, X.; Qian, A.; Han, W.; Gu, J. Oral vaccination with recombinant Lactobacillus casei expressing Aha1 fused with CTB as an adjuvant against Aeromonas veronii in common carp (Cyprinus carpio). Microb. Cell. Fact. 2022, 21, 114. [Google Scholar] [CrossRef] [PubMed]
- Wu, T.L.; Shan, X.F.; Meng, Q.F.; Guo, S.; Wang, L.; Qian, A.D. Advances in Aeromonas veronii. Chin. J. Vet. Drug 2011, 45, 41–44. [Google Scholar]
- Moyes, R.B.; Reynolds, J.; Breakwell, D.P. Differential staining of bacteria: Gram stain. Curr. Protoc. Microbiol. 2009, 15, A-3C. [Google Scholar] [CrossRef] [PubMed]
- Arroyo, E.; Enríquez, L.; Sánchez, A.; Ovalle, M.; Olivas, A. Scanning electron microscopy of bacteria Tetrasphaera duodecadis. Scanning 2014, 36, 547–550. [Google Scholar] [CrossRef]
- Loy, A.; Lehner, A.; Lee, N.; Adamczyk, J.; Meier, H.; Ernst, J.; Schleifer, K.H.; Wagner, M. Oligonucleotide Microarray for 16S rRNA Gene-Based Detection of All Recognized Lineages of Sulfate-Reducing Prokaryotes in the Environment. Appl. Environ. Microb. 2002, 68, 5064–5081. [Google Scholar] [CrossRef]
- Lin, X.X.; Ye, Y.T.; Wu, P.; Teng, F.; Wang, M.; Jiang, R.; Duan, R.H.; Chen, G.; Gao, L.S.; Liu, J.C.; et al. The Injury Effect of Infection by Cyprinid Herpesvirus 2 (CyHV-2) on tissues and Organs of Gibel Carp (Carassiua Auratus Gibelio). Chin. J. Fish 2016, 29, 16–23. [Google Scholar]
- Reed, L.J. A simple method of estimating fifty percent endpoints. Am. J. Epidemiol. 1938, 27, 493–497. [Google Scholar] [CrossRef]
- Xiao, Z.; Li, X.; Xue, M.; Zhang, M.; Liu, W.; Fan, Y.; Chen, X.; Chu, Z.; Gong, F.; Zeng, L.; et al. Vibrio metschnikovii, a Potential Pathogen in Freshwater-Cultured Hybrid Sturgeon. Animals 2022, 12, 1011. [Google Scholar] [CrossRef]
- Saitou, N.; Nei, M. The neighbor-joining method: A new method for reconstructing phylogenetic trees. Mol. Biol. Evol. 1987, 4, 406–425. [Google Scholar]
- Chen, F.; Sun, J.; Han, Z.; Yang, X.; Xian, J.A.; Lv, A.; Hu, X.; Shi, H. Isolation, Identification and Characteristics of Aeromonas veronii From Diseased Crucian Carp (Carassius auratus gibelio). Front. Microbiol. 2019, 10, 2742. [Google Scholar] [CrossRef] [PubMed]
- Wang, B.; Hu, J.; Feng, J.; Zhang, Y.; Sun, Y.; Jiang, B.; Li, W.; Liu, C.; Huang, Y.; Su, Y. Acute septicemia and immune response of spotted sea bass (Lateolabrax maculatus) to Aeromonas veronii infection. Fish Shellfish Immunol. 2022, 124, 47–55. [Google Scholar] [CrossRef]
- Zhu, M.; Wang, X.R.; Li, J.; Li, G.Y.; Liu, Z.P.; Mo, Z.L. Identification and virulence properties of Aeromonas veronii bv. sobria isolates causing an ulcerative syndrome of loach Misgurnus anguillicaudatus. J. Fish. Dis. 2016, 39, 777–781. [Google Scholar] [CrossRef]
- Lazado, C.C.; Zilberg, D. Pathogenic characteristics of Aeromonas veronii isolated from the liver of a diseased guppy (Poecilia reticulata). Lett. Appl. Microbiol. 2018, 67, 476–483. [Google Scholar] [CrossRef] [PubMed]
- Abbott, S.L.; Cheung, W.K.; Janda, J.M. The genus Aeromonas: Biochemical characteristics, atypical reactions, and phenotypic identification schemes. J. Clin. Microbiol 2003, 41, 2348–2357. [Google Scholar] [CrossRef] [PubMed]
- Xu, W.; Gui, Y.Q.; Yan, L.; Lan, Z.; Hui, Z. Isolation and identification on pathogenic bacteria of “rotten skin” disease in Chinese giant salamander (Andrias davidianus). Chin. J. Zoonoses 2010, 26, 944–948. [Google Scholar]
- Ye, Y.; Jiang, Y.; Fan, T.; Jiang, Q.; Cheng, Y.; Lu, J.; Lin, L. Resistance characterization, virulence factors, and ERIC-PCR fingerprinting of Aeromonas veronii strains isolated from diseased Trionyx sinensis. Foodborne Pathog. Dis. 2012, 11, 1053–1055. [Google Scholar] [CrossRef] [PubMed]
- Miao, Y.; Zhao, X.; Adam, F.E.A.; Xie, Q.; Feng, H.; Ding, J.; Bai, X.; Wang, J.; Yang, Z. Isolation and Identification of Aeromonas veronii in Sheep with Fatal Infection in China: A Case Report. Microorganisms 2023, 11, 333. [Google Scholar] [CrossRef]
- Cai, S.H.; Wu, Z.H.; Jian, J.C.; Lu, Y.S.; Tang, J.F. Characterization of pathogenic Aeromonas veronii bv. veronii associated with ulcerative syndrome from chinese longsnout catfish (Leiocassis longirostris Günther). Braz. J. Microbiol. 2012, 43, 382–388. [Google Scholar] [CrossRef] [PubMed]
- Pei, C.; Song, H.; Zhu, L.; Qiao, D.; Yan, Y.; Li, L.; Zhao, X.; Zhang, J.; Jiang, X.; Kong, X. Identification of Aeromonas veronii isolated from largemouth bass (Micropterus salmoides) and histopathological analysis. Aquaculture 2021, 540, 736707. [Google Scholar] [CrossRef]
- Xiao, Z.; Xue, M.; Wu, X.; Zeng, L.; Zhu, Y.; Jiang, N.; Fan, Y.; Zhou, Y. Isolation and identification of Staphylococcus warneri from diseased Coreius guichenoti. Aquac. Rep. 2022, 22, 100988. [Google Scholar] [CrossRef]
- Dong, H.T.; Techatanakitarnan, C.; Jindakittikul, P.; Thaiprayoon, A.; Taengphu, S.; Charoensapsri, W.; Khunrae, P.; Rattanarojpong, T.; Senapin, S. Aeromonas jandaei and Aeromonas veronii caused disease and mortality in Nile tilapia, Oreochromis niloticus (L.). J. Fish Dis. 2017, 40, 1395–1403. [Google Scholar] [CrossRef] [PubMed]
- Qamar, A.; Waheed, J.; Zhang, Q.; Namula, Z.; Chen, Z.; Chen, J.J. Immunotoxicological effects of dioxin-like polychlorinated biphenyls extracted from Zhanjiang Bay sediments in zebrafish. Environ. Monit. Assess. 2020, 192, 479. [Google Scholar] [CrossRef]
- Wang, Y.W.; Field, C.J.; Sim, J.S. Dietary polyunsaturated fatty acids alter lymphocyte subset proportion and proliferation, serum immunoglobulin G concentration, and immune tissue development in chicks. Poult. Sci. 2000, 79, 1741–1748. [Google Scholar] [CrossRef] [PubMed]
- Xu, X.J.; Xu, B.; Wang, J.; Su, Y.Q.; Zhang, Z.W.; Chen, X. Studies on blood chemistry indices and histopathology of Pseudosciaena crocea artificially challenged with Vibrio harveyi. J. Fish. China 2010, 34, 618–625. [Google Scholar] [CrossRef]
- Tan, Y.; Zhao, Q.; Shu, W.Q.; Chen, H. K-B Paper Diffusion Method Drug Sensitivity Test. Clin. Lab. Med. 2010, 7, 2290–2291. [Google Scholar]






| Reaction | Result | Reaction | Result |
|---|---|---|---|
| A1 Negative Control | N | E1 Gelatin | B |
| A2 Dextrin | P | E2 Glycyl-L-Proline | B |
| A3 D-Maltose | B | E3 L-Alanine | B |
| A4 D-Trehalose | P | E4 L-Arginine | B |
| A5 D-Cellobiose | B | E5 L-Aspartic Acid | B |
| A6 Gentiobiose | B | E6 L-Glutamic Acid | B |
| A7 Sucrose | B | E7 L-Histidine | B |
| A8 D-Turanose | B | E8 L-Pyroglutamic Acid | B |
| A9 Stachyose | B | E9 L-Serine | B |
| A10 Positive Control | B | E10 Lincomycin | N |
| A11 Acidic PH PH6 | B | E11 Guanidine HCl | B |
| A12 Acidic PH PH5 | N | E12 Niaproof 4 | B |
| B1 D-Raffinose | B | F1 Pectin | B |
| B2 α-D-Lactose | B | F2 D-Galacturonic Acid | B |
| B3 D-Melibiose | B | F3 L L-Galactonic Acid Lactone | B |
| B4 β-Methyl-D-Glucoside | B | F4 D-Gluconic Acid | B |
| B5 D-Salicin | B | F5 D-Glucuronic Acid | B |
| B6 N-Acetyl-D-Glucosamine | B | F6 Glucuronamide | N |
| B7 N-Acetyl-β-D-Mannosamine | B | F7 Mucic Acid | B |
| B8 N-Acetyl-D-Galactosamine | N | F8 Quinic Acid | B |
| B9 N-Acetyl Neuraminic Acid | B | F9 D-Saccharic Acid | B |
| B10 1% NaCl | B | F10 Vancomycin | B |
| B11 4% NaCl | N | F11 Tetrazolium Violet | B |
| B12 8% NaCl | N | F12 Tetrazolium Blue | B |
| C1 α-D-Glucose | B | G1 P-Hydroxy-Phenylacetic Acid | N |
| C2 D-Mannose | B | G2 Methyl Pyruvate | B |
| C3 D-Fructose | B | G3 D-Lactic Acid Methyl Ester | B |
| C4 D-Galactose | B | G4 L-Lactic Acid | B |
| C5 3-Methyl Glucose | N | G5 Citric Acid | B |
| C6 D-Fucose | N | G6 6α-Keto-Glutaric Acid | B |
| C7 L-Fucose | N | G7 D-Malic Acid | N |
| C8 L-Rhamnose | N | G8 L-Malic Acid | B |
| C9 Inosine | N | G9 Bromo-Succinic Acid | B |
| C10 1% Sodium Lactate | B | G10 Nalidixic Acid | B |
| C11 Fusidic Acida | N | G11 Lithium Chloride | B |
| C12 D-Serine | B | G12 Potassium Tellurite | N |
| D1 D-Sorbitol | B | H1 Tween 40 | B |
| D2 D-Mannitol | B | H2 γ-Amino-Butyric Acid | B |
| D3 D-Arabitol | N | H3 α-Hydroxy-Butyric Acid | B |
| D4 myo-lnositol | B | H4 β-Hydroxy-D,L-Butyric Acid | N |
| D5 Glycerol | B | H5 α-Keto-Butyric Acid | B |
| D6 D-Glucose-6-PO4 | B | H6 Acetoacetic Acid | N |
| D7 D-Fructose-6-PO4 | B | H7 Propionic Acid | N |
| D8 D-Aspartic Acid | N | H8 Acetic Acid | B |
| D9 D-Serine | B | H9 Formic Acid | N |
| D10 Troleandomycin | B | H10 Aztreonam | N |
| D11 Rifamycin SV | B | H11 Sodium Butyrate | N |
| D12 Minocycline | N | H12 Sodium Bromate | N |
| Drug | Concentration | Inhibition Zone (mm) | Sensitivity |
|---|---|---|---|
| Ceftriaxone | 30 μg | 34 | S |
| Enrofloxacin | 10 μg | 13 | I |
| Doxycycline | 30 μg | 18 | S |
| Sulfanilamide | 300 IU | 8.5 | R |
| Gentamicin | 10 μg | 16 | S |
| Neomycin | 30 μg | 17 | I |
| Fluphenazole | 30 μg | 32 | S |
| Carbenicillin | 100 μg | 6 | R |
| Cefradine | 30 μg | 20 | S |
| Erythromycin | 15 μg | 7 | R |
| Benazicillin | 1 μg | 6 | R |
| Ampicillin | 10 μg | 11 | I |
| Meldimycin | 30 μg | 15 | I |
| Streptomycin | 10 μg | 7 | R |
| Clindamycin | 2 μg | 6 | R |
| Polymyxin | 300 IU | 12 | I |
Disclaimer/Publisher’s Note: The statements, opinions and data contained in all publications are solely those of the individual author(s) and contributor(s) and not of MDPI and/or the editor(s). MDPI and/or the editor(s) disclaim responsibility for any injury to people or property resulting from any ideas, methods, instructions or products referred to in the content. |
© 2023 by the authors. Licensee MDPI, Basel, Switzerland. This article is an open access article distributed under the terms and conditions of the Creative Commons Attribution (CC BY) license (https://creativecommons.org/licenses/by/4.0/).
Share and Cite
Hu, X.; Xiao, Z.; Li, B.; Xue, M.; Jiang, N.; Fan, Y.; Chen, P.; Qi, F.; Kong, X.; Zhou, Y. Isolation, Identification, and Characterization of Aeromonas veronii from Chinese Soft-Shelled Turtle (Trionyx sinensis). Microorganisms 2023, 11, 1304. https://doi.org/10.3390/microorganisms11051304
Hu X, Xiao Z, Li B, Xue M, Jiang N, Fan Y, Chen P, Qi F, Kong X, Zhou Y. Isolation, Identification, and Characterization of Aeromonas veronii from Chinese Soft-Shelled Turtle (Trionyx sinensis). Microorganisms. 2023; 11(5):1304. https://doi.org/10.3390/microorganisms11051304
Chicago/Turabian StyleHu, Xiaowei, Zidong Xiao, Bo Li, Mingyang Xue, Nan Jiang, Yuding Fan, Peng Chen, Feng Qi, Xianghui Kong, and Yong Zhou. 2023. "Isolation, Identification, and Characterization of Aeromonas veronii from Chinese Soft-Shelled Turtle (Trionyx sinensis)" Microorganisms 11, no. 5: 1304. https://doi.org/10.3390/microorganisms11051304
APA StyleHu, X., Xiao, Z., Li, B., Xue, M., Jiang, N., Fan, Y., Chen, P., Qi, F., Kong, X., & Zhou, Y. (2023). Isolation, Identification, and Characterization of Aeromonas veronii from Chinese Soft-Shelled Turtle (Trionyx sinensis). Microorganisms, 11(5), 1304. https://doi.org/10.3390/microorganisms11051304

