PreS1 Containing HBc VLPs for the Development of a Combined Therapeutic/Prophylactic Hepatitis B Vaccine
Abstract
1. Introduction

2. Materials and Methods
2.1. Bacterial E. coli Strains
2.2. Design of HBc-preS1 Proteins and Expression Plasmids
2.3. Monoclonal Antibodies
2.4. Cultivation of Recombinant E. coli Cells and Purification of HBc-preS1 Proteins
2.5. Characterization of HBc-preS1 VLPs
2.6. The Antigenicity of the HBc-preS1 VLPs
2.7. Immunogenicity of the HBc-preS1 VLPs
2.8. CpG Oligodeoxynucleotide Packaging
2.9. The 3D Modeling of HBc-preS1 VLPs
3. Results
3.1. Modeling of HBc-preS1 Structures
3.2. The Expression of HBc-preS1 Proteins
3.3. Purification of HBc-preS1 Proteins as VLP
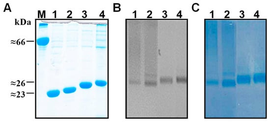
3.4. Characterization of HBc-preS VLP
3.5. Accessibility of the preS1 Epitope in the HBc-preS1 VLPs to the mAb MA18/7
3.6. Immunogenicity of HBc-preS1 VLPs
3.7. Packaging of Oligonucleotide ODN 1668 in Chimeric HBc-preS1 VLPs
4. Discussion
5. Patents
Author Contributions
Funding
Data Availability Statement
Acknowledgments
Conflicts of Interest
References
- Chen, H.L.; Lin, L.H.; Hu, F.C.; Lee, J.T.; Lin, W.T.; Yang, Y.J.; Huang, F.C.; Wu, S.F.; Chen, S.C.; Wen, W.H.; et al. Effects of maternal screening and universal immunization to prevent mother-to-infant transmission of HBV. Gastroenterology 2012, 142, 773–781. [Google Scholar] [CrossRef]
- Shouval, D.; Roggendorf, H.; Roggendorf, M. Enhanced immune response to hepatitis B vaccination through immunization with a Pre-S1/Pre-S2/S vaccine. Med. Microbiol. Immunol. 2015, 204, 57–68. [Google Scholar] [CrossRef] [PubMed]
- Suk-Fong Lok, A. Hepatitis B Treatment: What We Know Now and What Remains to Be Researched. Hepatol. Commun. 2018, 3, 8–19. [Google Scholar] [CrossRef]
- Backes, S.; Jäger, C.; Dembek, C.J.; Kosinska, A.D.; Bauer, T.; Stephan, A.S.; Dišlers, A.; Mutwiri, G.; Busch, D.H.; Babiuk, L.A.; et al. Protein-prime/modified vaccinia virus Ankara vector-boost vaccination overcomes tolerance in high-antigenemic HBV-transgenic mice. Vaccine 2016, 34, 923–932. [Google Scholar] [CrossRef] [PubMed]
- Whitacre, D.C.; Peters, C.J.; Sureau, C.; Nio, K.; Li, F.; Su, L.; Jones, J.E.; Isogawa, M.; Sallberg, M.; Frelin, L.; et al. Designing a therapeutic hepatitis B vaccine to circumvent immune tolerance. Hum. Vaccines Immunother. 2020, 16, 251–268. [Google Scholar] [CrossRef] [PubMed]
- Maeng, C.Y.; Ryu, C.J.; Gripon, P.; Guguen-Guillouzo, C.; Hong, H.J. Fine mapping of virus-neutralizing epitopes on hepatitis B virus PreS1. Virology 2000, 270, 9–16. [Google Scholar] [CrossRef] [PubMed]
- Bremer, C.M.; Sominskaya, I.; Skrastina, D.; Pumpens, P.; El Wahed, A.A.; Beutling, U.; Frank, R.; Fritz, H.J.; Hunsmann, G.; Gerlich, W.H.; et al. N-terminal myristoylation-dependent masking of neutralizing epitopes in the preS1 attachment site of hepatitis B virus. J. Hepatol. 2011, 55, 29–37. [Google Scholar] [CrossRef] [PubMed]
- Heermann, K.H.; Goldmann, U.; Schwartz, W.; Seyffarth, T.; Baumgarten, H.; Gerlich, W.H. Large surface proteins of hepatitis B virus containing the pre-S sequence. J. Virol. 1984, 52, 396–402. [Google Scholar] [CrossRef]
- Sominskaya, I.; Pushko, P.; Dreilina, D.; Kozlovskaya, T.; Pumpen, P. Determination of the minimal length of preS1 epitope recognized by a monoclonal antibody which inhibits attachment of hepatitis B virus to hepatocytes. Med. Microbiol. Immunol. 1992, 181, 215–226. [Google Scholar] [CrossRef]
- Germaschewski, V.; Murray, K. Screening a monoclonal antibody with a fusion-phage display library shows a discontinuity in a linear epitope within PreS1 of hepatitis B virus. J. Med. Virol. 1995, 45, 300–305. [Google Scholar] [CrossRef]
- Glebe, D.; Aliakbari, M.; Krass, P.; Knoop, E.V.; Valerius, K.P.; Gerlich, W.H. Pre-s1 antigen-dependent infection of Tupaia hepatocyte cultures with human hepatitis B virus. J. Virol. 2003, 77, 9511–9521. [Google Scholar] [CrossRef] [PubMed]
- Brian, P. Dunleavy Public Health Watch: New HBV Vaccine Shows Promise in Phase 3 Trial, 25 May 2021. Available online: https://www.contagionlive.com/view/public-health-watch-new-hbv-vaccine-shows-promise-in-phase-3-trial (accessed on 20 December 2022).
- Hellström, U.B.; Madalinski, K.; Sylvan, S.P. PreS1 epitope recognition in newborns after vaccination with the third-generation Sci-B-Vac vaccine and their relation to the antibody response to hepatitis B surface antigen. Virol. J. 2009, 6, 7. [Google Scholar] [CrossRef] [PubMed]
- Krawczyk, A.; Ludwig, C.; Jochum, C.; Fiedler, M.; Heinemann, F.M.; Shouval, D.; Roggendorf, M.; Roggendorf, H.; Lindemann, M. Induction of a robust T- and B-cell immune response in non- and low-responders to conventional vaccination against hepatitis B by using a third generation PreS/S vaccine. Vaccine 2014, 32, 5077–5082. [Google Scholar] [CrossRef] [PubMed]
- Murray, K.; Bruce, S.A.; Hinnen, A.; Wingfield, P.; van Erd, P.M.; de Reus, A.; Schellekens, H. Hepatitis B virus antigens made in microbial cells immunise against viral infection. EMBO J. 1984, 3, 645–650. [Google Scholar] [CrossRef] [PubMed]
- Iwarson, S.; Tabor, E.; Thomas, H.C.; Goodall, A.; Waters, J.; Snoy, P.; Shih, J.W.; Gerety, R.J. Neutralization of hepatitis B virus infectivity by a murine monoclonal antibody: An experimental study in the chimpanzee. J. Med. Virol. 1985, 16, 89–96. [Google Scholar] [CrossRef] [PubMed]
- Murray, K.; Bruce, S.A.; Wingfield, P.; van Eerd, P.; de Reus, A.; Schellekens, H. Protective immunisation against hepatitis B with an internal antigen of the virus. J. Med. Virol. 1987, 23, 101–107. [Google Scholar] [CrossRef]
- Roos, S.; Fuchs, K.; Roggendorf, M. Protection of woodchucks from infection with woodchuck hepatitis virus by immunization with recombinant core protein. J. Gen. Virol. 1989, 70 Pt 8, 2087–2095. [Google Scholar] [CrossRef]
- Schödel, F.; Neckermann, G.; Peterson, D.; Fuchs, K.; Fuller, S.; Will, H.; Roggendorf, M. Immunization with recombinant woodchuck hepatitis virus nucleocapsid antigen or hepatitis B virus nucleocapsid antigen protects woodchucks from woodchuck hepatitis virus infection. Vaccine 1993, 11, 624–628. [Google Scholar] [CrossRef]
- Menne, S.; Maschke, J.; Tolle, T.K.; Lu, M.; Roggendorf, M. Characterization of T-cell response to woodchuck hepatitis virus core protein and protection of woodchucks from infection by immunization with peptides containing a T-cell epitope. J. Virol. 1997, 71, 65–74. [Google Scholar] [CrossRef]
- Lu, M.; Hilken, G.; Kruppenbacher, J.; Kemper, T.; Schirmbeck, R.; Reimann, J.; Roggendorf, M. Immunization of woodchucks with plasmids expressing woodchuck hepatitis virus (WHV) core antigen and surface antigen suppresses WHV infection. J. Virol. 1999, 73, 281–289. [Google Scholar] [CrossRef]
- Lu, M.; Roggendorf, M. Evaluation of new approaches to prophylactic and therapeutic vaccinations against hepatitis B viruses in the woodchuck model. Intervirology 2001, 44, 124–131. [Google Scholar] [CrossRef]
- Zhang, E.; Kosinska, A.D.; Ma, Z.; Dietze, K.K.; Xu, Y.; Meng, Z.; Zhang, X.; Wang, J.; Wang, B.; Dittmer, U.; et al. Woodchuck hepatitis virus core antigen-based DNA and protein vaccines induce qualitatively different immune responses that affect T cell recall responses and antiviral effects. Virology 2015, 475, 56–65. [Google Scholar] [CrossRef] [PubMed]
- Miller, D.S.; Halpern, M.; Kotlarski, I.; Jilbert, A.R. Vaccination of ducks with a whole-cell vaccine expressing duck hepatitis B virus core antigen elicits antiviral immune responses that enable rapid resolution of de novo infection. Virology 2006, 348, 297–308. [Google Scholar] [CrossRef] [PubMed]
- Boudewijns, R.; Ma, J.; Neyts, J.; Dallmeier, K. A novel therapeutic HBV vaccine candidate induces strong polyfunctional cytotoxic T cell responses in mice. JHEP Rep. 2021, 3, 100295. [Google Scholar] [CrossRef]
- Pyrski, M.; Rugowska, A.; Wierzbiński, K.R.; Kasprzyk, A.; Bogusiewicz, M.; Bociąg, P.; Samardakiewicz, S.; Czyż, M.; Kurpisz, M.; Pniewski, T. HBcAg produced in transgenic tobacco triggers Th1 and Th2 response when intramuscularly delivered. Vaccine 2017, 35, 5714–5721. [Google Scholar] [CrossRef]
- Pyrski, M.; Mieloch, A.A.; Plewiński, A.; Basińska-Barczak, A.; Gryciuk, A.; Bociąg, P.; Murias, M.; Rybka, J.D.; Pniewski, T. Immunization with Plant-Derived HBcAg as a Potential Therapeutic Vaccine against Chronic Hepatitis B. Vaccines 2019, 7, 211. [Google Scholar] [CrossRef] [PubMed]
- Sanada, T.; Yamamoto, N.; Kayesh, M.E.H.; Tsukiyama-Kohara, K.; Hasegawa, H.; Miyazaki, T.; Takano, J.I.; Shiogama, Y.; Yasutomi, Y.; Goh, Y.; et al. Intranasal vaccination with HBs and HBc protein combined with carboxyl vinyl polymer induces strong neutralizing antibody, anti-HBs IgA, and IFNG response. Biochem. Biophys. Res. Commun. 2019, 520, 86–92. [Google Scholar] [CrossRef] [PubMed]
- Spellman, M.; Martin, J.T. Treatment of chronic hepatitis B infection with DV-601, a therapeutic vaccine. J. Hepatol. 2011, 54, S302. [Google Scholar] [CrossRef]
- Li, J.; Ge, J.; Ren, S.; Zhou, T.; Sun, Y.; Sun, H.; Gu, Y.; Huang, H.; Xu, Z.; Chen, X.; et al. Hepatitis B surface antigen (HBsAg) and core antigen (HBcAg) combine CpG oligodeoxynucletides as a novel therapeutic vaccine for chronic hepatitis B infection. Vaccine 2015, 33, 4247–4254. [Google Scholar] [CrossRef]
- Betancourt, A.A.; Delgado, C.A.; Estévez, Z.C.; Martínez, J.C.; Ríos, G.V.; Aureoles-Roselló, S.R.; Zaldívar, R.A.; Guzmán, M.A.; Baile, N.F.; Reyes, P.A.; et al. Phase I clinical trial in healthy adults of a nasal vaccine candidate containing recombinant hepatitis B surface and core antigens. Int. J. Infect. Dis. 2007, 11, 394–401. [Google Scholar] [CrossRef]
- Lobaina, Y.; Michel, M.L. Chronic hepatitis B: Immunological profile and current therapeutic vaccines in clinical trials. Vaccine 2017, 35, 2308–2314. [Google Scholar] [CrossRef] [PubMed]
- Lopez, M.; Rodriguez, E.N.; Lobaina, Y.; Musacchio, A.; Falcon, V.; Guillen, G.; Aguilar, J.C. Characterization of the size distribution and aggregation of virus-like nanoparticles used as active ingredients of the HeberNasvac therapeutic vaccine against chronic hepatitis B. Adv. Nat. Sci. Nanosci. Nanotechnol. 2017, 8, 025009. [Google Scholar] [CrossRef]
- Al Mahtab, M.; Akbar, S.M.F.; Aguilar, J.C.; Guillen, G.; Penton, E.; Tuero, A.; Yoshida, O.; Hiasa, Y.; Onji, M. Treatment of chronic hepatitis B naïve patients with a therapeutic vaccine containing HBs and HBc antigens (a randomized, open and treatment controlled phase III clinical trial). PLoS ONE 2018, 13, e0201236. [Google Scholar] [CrossRef]
- Chain, B.M.; Myers, R. Variability and conservation in hepatitis B virus core protein. BMC Microbiol. 2005, 5, 33. [Google Scholar] [CrossRef]
- Birnbaum, F.; Nassal, M. Hepatitis B virus nucleocapsid assembly: Primary structure requirements in the core protein. J. Virol. 1990, 64, 3319–3330. [Google Scholar] [CrossRef]
- Seifer, M.; Standring, D.N. A protease-sensitive hinge linking the two domains of the hepatitis B virus core protein is exposed on the viral capsid surface. J. Virol. 1994, 68, 5548–5555. [Google Scholar] [CrossRef]
- Pumpens, P.; Grens, E. The true story and advantages of the famous Hepatitis B virus core particles: Outlook 2016. Mol. Biol. 2016, 50, 558–576. [Google Scholar] [CrossRef]
- Pumpens, P.; Pushko, P. Order Blubervirales. In Virus-like Particles: A Comprehensive Guide; CRC Press/Taylor & Francis Group: Boca Raton, FL, USA; London, UK; New York, NY, USA, 2022; pp. 563–602. [Google Scholar]
- Hatton, T.; Zhou, S.; Standring, D.N. RNA- and DNA-binding activities in hepatitis B virus capsid protein: A model for their roles in viral replication. J Virol. 1992, 66, 5232–5241. [Google Scholar] [CrossRef]
- Gallina, A.; Bonelli, F.; Zentilin, L.; Rindi, G.; Muttini, M.; Milanesi, G. A recombinant hepatitis B core antigen polypeptide with the protamine-like domain deleted self-assembles into capsid particles but fails to bind nucleic acids. J. Virol. 1989, 63, 4645–4652. [Google Scholar] [CrossRef]
- Wynne, S.A.; Crowther, R.A.; Leslie, A.G. The crystal structure of the human hepatitis B virus capsid. Mol. Cell 1999, 3, 771–780. [Google Scholar] [CrossRef]
- Salfeld, J.; Pfaff, E.; Noah, M.; Schaller, H. Antigenic determinants and functional domains in core antigen and e antigen from hepatitis B virus. J. Virol. 1989, 63, 798–808. [Google Scholar] [CrossRef] [PubMed]
- Sällberg, M.; Rudén, U.; Wahren, B.; Noah, M.; Magnius, L.O. Human and murine B-cells recognize the HBeAg/beta (or HBe2) epitope as a linear determinant. Mol. Immunol. 1991, 28, 719–726. [Google Scholar] [CrossRef] [PubMed]
- Pumpens, P.; Grens, E. HBV core particles as a carrier for B cell/T cell epitopes. Intervirology 2001, 44, 98–114. [Google Scholar] [CrossRef] [PubMed]
- Pumpens, P.; Ulrich, R.; Sasnauskas, K.; Kazaks, A.; Ose, V.; Grens, E. Construction of novel vaccines on the basis of the virus-like particles: Hepatitis B virus proteins as vaccine carriers. In Medicinal Protein Engineering; Khudyakov, Y., Ed.; CRC Press, Taylor & Francis Group: Boca Raton, FL, USA; London, UK; New York, NY, USA, 2008; pp. 205–248. [Google Scholar]
- Bichko, V.; Pushko, P.; Dreilina, D.; Pumpen, P.; Gren, E. Subtype ayw variant of hepatitis B virus. DNA primary structure analysis. FEBS Lett. 1985, 185, 208–212. [Google Scholar] [CrossRef] [PubMed]
- Pettersen, E.F.; Goddard, T.D.; Huang, C.C.; Couch, G.S.; Greenblatt, D.M.; Meng, E.C.; Ferrin, T.E. UCSF Chimera—A visualization system for exploratory research and analysis. J. Comput. Chem. 2004, 25, 1605–1612. [Google Scholar] [CrossRef]
- Pushko, P.; Pumpens, P.; Grens, E. Development of Virus-Like Particle Technology from Small Highly Symmetric to Large Complex Virus-Like Particle Structures. Intervirology 2013, 56, 141–165. [Google Scholar] [CrossRef] [PubMed]
- Zeltins, A. Construction and characterization of virus-like particles: A review. Mol. Biotechnol. 2013, 53, 92–107. [Google Scholar] [CrossRef]
- Borisova, G.P.; Kalis, J.V.; Dishler, A.V.; Pumpen, P.P.; Gren, E.J.; Tsibinogin, V.V.; Kukaine, R.A. Expression of Human Hepatitis B-virus Core Antigen Gene Variants in Escherichia coli. Biopolym. Cell 1985, 1, 99–105. [Google Scholar] [CrossRef]
- Sominskaya, I.; Skrastina, D.; Petrovskis, I.; Dishlers, A.; Berza, I.; Mihailova, M.; Jansons, J.; Akopjana, I.; Stahovska, I.; Dreilina, D.; et al. A VLP library of C-terminally truncated Hepatitis B core proteins: Correlation of RNA encapsidation with a Th1/Th2 switch in the immune responses of mice. PLoS ONE 2013, 8, e75938. [Google Scholar] [CrossRef]
- Strods, A.; Ose, V.; Bogans, J.; Cielens, I.; Kalnins, G.; Radovica, I.; Kazaks, A.; Pumpens, P.; Renhofa, R. Preparation by alkaline treatment and detailed characterisation of empty hepatitis B virus core particles for vaccine and gene therapy applications. Sci. Rep. 2015, 5, 11639. [Google Scholar] [CrossRef]
- Petrovskis, I.; Lieknina, I.; Dislers, A.; Jansons, J.; Bogans, J.; Akopjana, I.; Zakova, J.; Sominskaya, I. Production of the HBc Protein from Different HBV Genotypes in E. coli. Use of Reassociated HBc VLPs for Packaging of ss- and dsRNA. Microorganisms 2021, 9, 283. [Google Scholar] [CrossRef] [PubMed]
- Freivalds, J.; Dislers, A.; Ose, V.; Pumpens, P.; Tars, K.; Kazaks, A. Highly efficient production of phosphorylated hepatitis B core particles in yeast Pichia pastoris. Protein Expr. Purif. 2011, 75, 218–224. [Google Scholar] [CrossRef] [PubMed]
- Krieger, J.; Stifter, K.; Riedl, P.; Schirmbeck, R. Cationic domains in particle-forming and assembly-deficient HBV core antigens capture mammalian RNA that stimulates Th1-biased antibody responses by DNA vaccination. Sci. Rep. 2018, 8, 14660. [Google Scholar] [CrossRef] [PubMed]
- Krieger, J.; Riedl, P.; Stifter, K.; Roman-Sosa, G.; Seufferlein, T.; Wagner, M.; Schirmbeck, R. Endogenously Expressed Antigens Bind Mammalian RNA via Cationic Domains that Enhance Priming of Effector CD8 T Cells by DNA Vaccination. Mol. Ther. 2019, 27, 661–672. [Google Scholar] [CrossRef]
- Riedl, P.; Buschle, M.; Reimann, J.; Schirmbeck, R. Binding immune-stimulating oligonucleotides to cationic peptides from viral core antigen enhances their potency as adjuvants. Eur. J. Immunol. 2002, 32, 1709–1716. [Google Scholar] [CrossRef]
- Riedl, P.; Stober, D.; Oehninger, C.; Melber, K.; Reimann, J.; Schirmbeck, R. Priming Th1 immunity to viral core particles is facilitated by trace amounts of RNA bound to its arginine-rich domain. J. Immunol. 2002, 168, 4951–4959. [Google Scholar] [CrossRef]
- Skrastina, D.; Bulavaite, A.; Sominskaya, I.; Kovalevska, L.; Ose, V.; Priede, D.; Pumpens, P.; Sasnauskas, K. High immunogenicity of a hydrophilic component of the hepatitis B virus preS1 sequence exposed on the surface of three virus-like particle carriers. Vaccine 2008, 26, 1972–1981. [Google Scholar] [CrossRef]
- Sominskaya, I.; Skrastina, D.; Dislers, A.; Vasiljev, D.; Mihailova, M.; Ose, V.; Dreilina, D.; Pumpens, P. Construction and immunological evaluation of multivalent hepatitis B virus (HBV) core virus-like particles carrying HBV and HCV epitopes. Clin. Vaccine Immunol. 2010, 17, 1027–1033. [Google Scholar] [CrossRef]
- Dishlers, A.; Skrastina, D.; Renhofa, R.; Petrovskis, I.; Ose, V.; Lieknina, I.; Jansons, J.; Pumpens, P.; Sominskaya, I. The hepatitis B virus core variants that expose foreign C-terminal insertions on the outer surface of virus-like particles. Mol. Biotechnol. 2015, 57, 1038–1049. [Google Scholar] [CrossRef]
- Soberόn, X.; Covarrubias, L.; Bolivar, F. Construction and characterization of new cloning vehicles, IV. Deletion derivatives of pBR322 and pBR325. Gene 1980, 9, 287–305. [Google Scholar] [CrossRef]
- Ovchinnikov, I.A.; Sverdlov, E.D.; Tsarev, S.A.; Khodkova, E.M.; Monastyrskaia, G.S. Direct expression of the gene of human leukocyte interferon F in Escherichia coli cells. Dokl. Akad. Nauk SSSR 1982, 265, 238–242. (In Russian) [Google Scholar]
- Bichko, V.; Schodel, F.; Nassal, M.; Gren, E.; Berzinsh, I.; Borisova, G.; Miska, S.; Peterson, D.L.; Gren, E.; Pushko, P.; et al. Epitopes recognized by antibodies to denatured core protein of hepatitis B virus. Mol. Immunol. 1993, 30, 221–231. [Google Scholar] [CrossRef] [PubMed]
- Kazaks, A.; Balmaks, R.; Voronkova, T.; Ose, V.; Pumpens, P. Melanoma vaccine candidates from chimeric hepatitis B core virus-like particles carrying a tumor-associated MAGE-3 epitope. J. Biotechnol. 2008, 3, 1429–1436. [Google Scholar] [CrossRef] [PubMed]
- Reddy, V.S.; Natarajan, P.; Okerberg, B.; Li, K.; Damodaran, K.V.; Morton, R.T.; Brooks, C.L., 3rd; Johnson, J.E. Virus particle explorer (VIPER), a website for virus capsid structures and their computational analyses. J. Virol. 2001, 75, 11943–11947. [Google Scholar] [CrossRef]
- Bates, P.A.; Kelley, L.A.; MacCallum, R.M.; Sternberg, M.J. Enhancement of protein modeling by human intervention in applying the automatic programs 3D-JIGSAW and 3D-PSSM. Proteins 2001, 45 (Suppl. S5), 39–46. [Google Scholar] [CrossRef] [PubMed]
- Borisova, G.; Arya, B.; Dislers, A.; Borschukova, O.; Tsibinogin, V.; Skrastina, D.; Eldarov, M.A.; Pumpens, P.; Skryabin, K.G.; Grens, E. Hybrid hepatitis B virus nucleocapsid bearing an immunodominant region from hepatitis B virus surface antigen. J. Virol. 1993, 67, 3696–3701. [Google Scholar] [CrossRef]
- Borisova, G.; Borschukova, O.; Skrastina, D.; Dislers, A.; Ose, V.; Pumpens, P.; Grens, E. Behavior of a short preS1 epitope on the surface of hepatitis B core particles. Biol. Chem. 1999, 380, 315–324. [Google Scholar] [CrossRef]
- Fehr, T.; Skrastina, D.; Pumpens, P.; Zinkernagel, R.M. T cell-independent type I antibody response against B cell epitopes expressed repetitively on recombinant virus particles. Proc. Natl. Acad. Sci. USA 1998, 95, 9477–9481. [Google Scholar] [CrossRef]
- Kazaks, A.; Borisova, G.; Cvetkova, S.; Kovalevska, L.; Ose, V.; Sominskaya, I.; Pumpens, P.; Skrastina, D.; Dislers, A. Mosaic hepatitis B virus core particles presenting the complete preS sequence of the viral envelope on their surface. J. Gen. Virol. 2004, 85 Pt 9, 2665–2670. [Google Scholar] [CrossRef] [PubMed]
- Stahl, S.J.; Murray, K. Immunogenicity of peptide fusions to hepatitis B virus core antigen. Proc. Natl. Acad. Sci. USA 1989, 86, 6283–6287. [Google Scholar] [CrossRef]
- Shiau, A.L.; Murray, K. Mutated epitopes of hepatitis B surface antigen fused to the core antigen of the virus induce antibodies that react with the native surface antigen. J. Med. Virol. 1997, 51, 159–166. [Google Scholar] [CrossRef]
- Murray, K.; Shiau, A.L. The core antigen of hepatitis B virus as a carrier for immunogenic peptides. Biol. Chem. 1999, 380, 277–283. [Google Scholar] [CrossRef] [PubMed]
- Schödel, F.; Will, H.; Milich, D.R. Hybrid hepatitis-B virus core/pre-S particles expressed in live attenuated Salmonellae for oral immunization. In Vaccines 91; Brown, F., Chanock, R.M., Ginsberg, H.S., Lerner, R.A., Eds.; Cold Spring Harbor Laboratory Press: Cold Spring Harbor, NY, USA, 1991; pp. 319–325. [Google Scholar]
- Schödel, F.; Peterson, D.; Hughes, J.; Milich, D.R. A virulent Salmonella expressing hybrid hepatitis B virus core/pre-S genes for oral vaccination. Vaccine 1993, 11, 143–148. [Google Scholar] [CrossRef] [PubMed]
- Schödel, F.; Kelly, S.M.; Peterson, D.L.; Milich, D.R.; Curtiss, R., 3rd. Hybrid hepatitis B virus core-pre-S proteins synthesized in avirulent Salmonella typhimurium and Salmonella typhi for oral vaccination. Infect. Immun. 1994, 62, 1669–1676. [Google Scholar] [CrossRef] [PubMed]
- Chen, X.; Li, M.; Le, X.; Ma, W.; Zhou, B. Recombinant hepatitis B core antigen carrying preS1 epitopes induce immune response against chronic HBV infection. Vaccine 2004, 22, 439–446. [Google Scholar] [CrossRef] [PubMed]
- Malik, I.R.; Chen, A.; Brass, A.; Ahlén, G.; Rahman, M.; Sällberg, M.; Qureshi, J.A.; Frelin, L. A bi-functional hepatitis B virus core antigen (HBcAg) chimera activates HBcAg-specific T cells and preS1-specific antibodies. Scand. J. Infect. Dis. 2012, 44, 55–59. [Google Scholar] [CrossRef] [PubMed]
- Gerlich, W.H. Do we need better hepatitis B vaccines? Indian J. Med. Res. 2017, 145, 414–419. [Google Scholar]











Disclaimer/Publisher’s Note: The statements, opinions and data contained in all publications are solely those of the individual author(s) and contributor(s) and not of MDPI and/or the editor(s). MDPI and/or the editor(s) disclaim responsibility for any injury to people or property resulting from any ideas, methods, instructions or products referred to in the content. |
© 2023 by the authors. Licensee MDPI, Basel, Switzerland. This article is an open access article distributed under the terms and conditions of the Creative Commons Attribution (CC BY) license (https://creativecommons.org/licenses/by/4.0/).
Share and Cite
Dishlers, A.; Petrovskis, I.; Skrastina, D.; Zarina, I.; Lieknina, I.; Jansons, J.; Akopjana, I.; Zakova, J.; Ose, V.; Sominskaya, I. PreS1 Containing HBc VLPs for the Development of a Combined Therapeutic/Prophylactic Hepatitis B Vaccine. Microorganisms 2023, 11, 972. https://doi.org/10.3390/microorganisms11040972
Dishlers A, Petrovskis I, Skrastina D, Zarina I, Lieknina I, Jansons J, Akopjana I, Zakova J, Ose V, Sominskaya I. PreS1 Containing HBc VLPs for the Development of a Combined Therapeutic/Prophylactic Hepatitis B Vaccine. Microorganisms. 2023; 11(4):972. https://doi.org/10.3390/microorganisms11040972
Chicago/Turabian StyleDishlers, Andris, Ivars Petrovskis, Dace Skrastina, Ieva Zarina, Ilva Lieknina, Juris Jansons, Inara Akopjana, Jelena Zakova, Velta Ose, and Irina Sominskaya. 2023. "PreS1 Containing HBc VLPs for the Development of a Combined Therapeutic/Prophylactic Hepatitis B Vaccine" Microorganisms 11, no. 4: 972. https://doi.org/10.3390/microorganisms11040972
APA StyleDishlers, A., Petrovskis, I., Skrastina, D., Zarina, I., Lieknina, I., Jansons, J., Akopjana, I., Zakova, J., Ose, V., & Sominskaya, I. (2023). PreS1 Containing HBc VLPs for the Development of a Combined Therapeutic/Prophylactic Hepatitis B Vaccine. Microorganisms, 11(4), 972. https://doi.org/10.3390/microorganisms11040972

