Next Article in Journal
Detection of Old and New World Relapsing Fever Borreliae in Ornithodoros Ticks Collected from Warthog Burrows in Zambia
Previous Article in Journal
Domiciliation of Trichoderma asperellum Suppresses Globiosporangium ultimum and Promotes Pea Growth, Ultrastructure, and Metabolic Features
 
 
Font Type:
Arial Georgia Verdana
Font Size:
Aa Aa Aa
Line Spacing:
Column Width:
Background:
Article

Sphingomonas sediminicola Is an Endosymbiotic Bacterium Able to Induce the Formation of Root Nodules in Pea (Pisum sativum L.) and to Enhance Plant Biomass Production

1
Unité Ecologie et Dynamique des Systèmes Anthropisés (EDYSAN, UMR7058 CNRS), Université de Picardie Jules Verne (UPJV), 80000 Amiens, France
2
Unité Mixte de Recherche 1318 INRA-AgroParisTech, Institut Jean-Pierre Bourgin, Institut National de la Recherche Agronomique et de l'Environnement (INRAE), 78026 Versailles, France
3
Centre de Ressources Régionales en Biologie Moléculaire (CRRBM), Université de Picardie Jules Verne (UPJV), 80000 Amiens, France
4
AgroStation, 68700 Aspach-le-Bas, France
*
Author to whom correspondence should be addressed.
Microorganisms 2023, 11(1), 199; https://doi.org/10.3390/microorganisms11010199
Submission received: 7 December 2022 / Revised: 9 January 2023 / Accepted: 10 January 2023 / Published: 12 January 2023
(This article belongs to the Section Plant Microbe Interactions)

Abstract

The application of bacterial bio-inputs is a very attractive alternative to the use of mineral fertilisers. In ploughed soils including a crop rotation pea, we observed an enrichment of bacterial communities with Sphingomonas (S.) sediminicola. Inoculation experiments, cytological studies, and de novo sequencing were used to investigate the beneficial role of S. sediminicola in pea. S. sediminicola is able to colonise pea plants and establish a symbiotic association that promotes plant biomass production. Sequencing of the S. sediminicola genome revealed the existence of genes involved in secretion systems, Nod factor synthesis, and nitrogenase activity. Light and electron microscopic observations allowed us to refine the different steps involved in the establishment of the symbiotic association, including the formation of infection threads, the entry of the bacteria into the root cells, and the development of differentiated bacteroids in root nodules. These results, together with phylogenetic analysis, demonstrated that S. sediminicola is a non-rhizobia that has the potential to develop a beneficial symbiotic association with a legume. Such a symbiotic association could be a promising alternative for the development of more sustainable agricultural practices, especially under reduced N fertilisation conditions.

1. Introduction

In the last fifty years, conventional agriculture has been based on mechanisation and extensive use of synthetic fertilisers and pesticides to increase yields [1], which had a negative impact on the environment [2]. More sustainable approaches are sought to compete these intensive practices. The approaches that focus on better management practices [3], precision-agriculture technologies [4], plant breeding strategies [5], or taking advantage of crop biodiversity [6] are the most suitable.
In particular, agriculture based on biological interactions, such as those with rhizospheric microorganisms, is very promising [7]. In recent years, it has been shown that inoculation with symbiotic or nonsymbiotic bacterial strains can significantly improve crop productivity [8,9,10,11]. These bacteria are generally described as plant-growth-promoting rhizobacteria (PGPR), which consist of free-living rhizobacteria and symbiotic bacteria. Free-living rhizobacteria such as Acetobacter, Azospirillum, Bacillus, Pseudomonas, and Klebsiella can improve plant performance by producing growth regulators (e.g., auxin, cytokinins, gibberellin) or through their aminocyclopropane carboxylate deaminase (ACCD) activity, which lowers ethylene levels known to inhibit plant growth [8,10,11]. Other species, such as Bacillus drentensis or Pseudomonas putida [10,12], can also improve access to nutrients such as nitrogen (N) or phosphorus, or through iron scavenging from the rhizosphere.
In legumes, specific symbiotic bacteria, called rhizobia, are able to develop specialised organs (nodules), in which the symbiont fixes atmospheric N2 [13] and converts it into ammonia (NH3) that can be readily assimilated by the plant to support its growth and development [14]. In return, the bacteria benefit from the carbohydrates provided by the plants and are protected in a niche that allows N2 fixation. Such a symbiosis provides about 200 million tons of fixed N per year [12] and saves 35–60% of the fossil energy needed to produce mineral fertilisers used in conventional agriculture [15]. So far, nodulation of legumes has been described only with α-, β-, and γ-rhizobia [16,17,18]. All the α-rhizobia group within only 15 genera in the order Hyphomicrobiales (=Rhizobiales): Rhizobium, Mesorhizobium, Ensifer (e.g., Sinorhizobium), Bradyrhizobium, Allorhizobium, Pararhizobium, Neorhizobium, Aminobacter, Phyllobacterium, Microrhizobium, Azorhizobium, Ochrobactrum, Methylobacterium, Devosia, and Shinellai, whereas the β-rhizobia are found in three genera of the Burkholderiales: Paraburkholderia, Cupriavidus (e.g., Ralstonia), and Trinickia [16,17,18]. The γ-rhizobia refers to certain strains of Pseudomonas that may be able to induce root nodulation in black locust (Robinia pseudoacacia). However, this result remains controversial and requires further confirmation [16].
The process of nodulation that occurs in the legumes/rhizobia symbiotic association is well described [19]. In pea for example, this symbiotic association leads to the formation of indeterminate nodules consisting of a meristematic zone (I), an infection zone (II), an interzone (II–III) characterised by an accumulation of amyloplasts where N2 fixation occurs (III), and a senescent zone (IV). One of the key factors for the effectiveness of the symbiosis lies in the differentiation of the bacterium into bacteroids. Bacteroid differentiation is represented by three different morphotypes, namely, the U (undifferentiated), S (large spherical), and E (large elongated bacteroids) [20,21,22,23]. Moreover, the bacteroid morphotype is largely dependent on the host plant rather than its bacterial partner. Therefore, in a biodiversity-based agricultural system, it is important to use the most appropriate legume that will allow soil N2-fixing bacterial communities to develop nodules containing the most differentiated bacteroid morphotypes and thus the greatest N2-fixing efficiency [23].
Conventional intensive agriculture generally has a negative effect on the diversity of bacterial communities in the soil [24,25,26], especially to the detriment of rhizobia species [27,28]. This shift in soil bacterial communities’ structure is often accompanied by an increase in the abundance of some bacterial groups, such as Sphingomonas, particularly during crop rotation, depending on ploughing practices or introduction of cover crops, and also as a consequence of N fertilisation [29,30,31,32]. Sphingomonas species are α-Proteobacteria commonly found in the rhizosphere and phyllosphere of plants [33,34,35,36,37]. Although S. melonis is a plant pathogen [38], most Sphingomonas species are beneficial to plants, notably by limiting the development of plant pathogens [39], stimulating plant growth [40], or improving plant resistance to abiotic stresses [41,42]. In a recent study, we found that S. sediminicola can represent up to 40% of the total bacterial population in conventionally ploughed soils that contained a crop rotation with pea [29]. To date, studies that have addressed S. sediminicola [43,44] have relied on the taxonomy of the bacterium and have not examined its interaction with plants.
In the present study, pea plants were inoculated with S. sediminicola to evaluate the beneficial role of this species in pea plant inoculation. Controlled growth chamber experiment, cytological studies, and de novo sequencing of the S. sediminicola genome showed that S. sediminicola is able to colonise pea plants and develop root nodules, allowing the establishment of a symbiotic association that promotes plant biomass production. This finding suggests that S. sediminicola has a strong potential to increase both N nutrition and yield in legumes, enhancing their ability to produce green manure during crop rotation in the context of sustainable agricultural production.

2. Materials and Methods

2.1. Bacterial Materials

The bacterial strains used in this study were Sphingomonas sediminicola (DSM-18106) [43], kanamycin-resistant DH5-α Escherichia coli carrying GusA under the constitutive promoter pNeo in the pOPS0385 plasmid (Addgene ID #133235) [44], and Rhizobium leguminosarum bv. viciae Rlv3841 [45]. S. sediminicola was grown in R2A medium (VWR, Fontenay-sous-Bois, France) for 72 h at 30 °C (constant shaking at 150 rpm), R. leguminosarum at 28 °C (150 rpm) in tryptone-yeast extract (TY) medium [46], and the E. coli strain was grown at 37 °C for 24 h (200 rpm) in LB medium (Luria–Bertani, Sigma Aldrich, St. Louis, MO, USA). Bacterial concentration (CFU mL−1) was determined by the spiral method using an EasySpiral® automatic plater (Intersciences, Mourjou, France) and counted using a Scan®500 (Interscience). At DO600 nm = 0.75, the S. sediminicola culture corresponded to 2 106 CFU mL−1, while 1 108 CFU mL−1 was obtained with R. leguminosarum culture.
Mutation of S. sediminicola conferring a resistance to rifampicin was generated spontaneously by plating the bacteria on R2A medium containing rifampicin (25 mg L−1) [46]. Using bacterial conjugation [47], the plasmid pOPS0385 carrying GusA was transferred into S. sediminicolaRif, giving S. sediminicolaRif [pOPS0385]. This strain was grown in R2A containing 20 mg L−1 kanamycin and 25 mg L−1 rifampicin.

2.2. Controlled Growth Chamber Experiment

Pea (Pisum sativum, cv. Douce Provence, Jardiland, Paris, France) seeds were surface-sterilised with a 3.5% (v/v) bleach solution, cold-stratified for 48 h, and germinated in the dark on a 1% (w/v) agar medium at 21 °C. Five days after germination, etiolated seedlings were transferred to a Quickpot QP 6 T/20 system (Puteaux, Limas, Villefranche-sur-Saône, France) containing 500 g sterile N-rich (Floradur B, NPK = 18-10-20; Puteaux), N-limited (Horticole Fal, NPK = 4-4-4; Puteaux) potting soil or 200 g sterile N-free substrate (vermiculite; Puteaux). Plants were grown with a 16 h light/8 h dark photoperiod at 21 °C with a light intensity of 400 µmol m−2 s−1 and inoculated with 1 mL by seed of S. sediminicola or R. leguminosarum (2 106 and 1 108 CFU, respectively). For noninoculated seeds, 1 mL of R2A or TY bacterial growth medium was used. Plants were grown until flowering (approximately 30 days post-inoculation, dpi) and watered every 3 to 4 days with sterile tap water (N-rich condition), distilled water (N-deprived condition), or N-free Fahraeus solution [48]. The experiment was repeated at least three times independently, each time with 10 to 20 per modality.

2.3. Molecular Analyses

From a pool of 3 to 5 surface-sterilised nodules, DNA was extracted using CTAB buffer (2% w/v cetyltrimethylammonium bromide, 100 mM Tris-HCl, 1.4 M NaCl, 20 mM EDTA). Five nanograms of DNA were used to perform a quantitative polymerase chain reaction (qPCR) with a LightCyler 480 system (Roche Diagnostics, Rotkreuz, Switzerland) using Sphingomonas- and Rhizobium-specific primers and universal 16SrRNA primers (Table S1). Calibration ranges (0 to 4 ng µL−1) were performed for the 16SrRNA and Rhizobium markers from Rlv3841, while that for Sphingomonas was determined using S. sediminicola DNA. The 16S rRNA abundance was corrected to account for variations in gene copy-number according to the 16S copy number database rrnDB [49], i.e., 3 copies for R. leguminosarum and 1 copy for S. sediminicola.
S. sediminicola genome sequencing was performed by Beijing Genomics Institute (BGI, TaI Po, Hong Kong). S. sediminicola DNA from a single colony was isolated using the EZNA Tissue DNA Kit (Omega Biotek, Norcross, GA, USA). A negative control consisting only of DNA extraction solutions was included in the DNA extraction procedure to exclude cross-contamination. Genomic libraries were prepared with the Nextera XT Library Prep kit (Illumina, MA, Canton, OH, USA) and checked with the Agilent 2100 Bioanalyzer (Agilent Technologies, Santa Clara, CA, USA) using the Agilent High Sensitivity DNA Kit (Agilent Technologies). Libraries were then pooled in equimolar amounts according to quantification by the Qubit ds-DNA HS Assay (Thermo Fisher Scientific, Waltham, MA, USA) and sequenced using a Hiseq 2500 (Illumina). The quality of the sequencing raw data was checked using FastQC (v0.11.8). Trimmomatic (v0.39) [50] was used to remove the adapters (ILLUMINACLIP option) and low-quality regions (HEADCROP:12 and SLIDINGWINDOW:5:30). Sequences with a length shorter than 80 base pairs (bp) were discarded. A total of 5 independent sequences were generated with an average of 592 Mb. Using the tools of the KBase platform [51], the assembly of the sequences was performed with SPAdes (v3.15.3). Basic assembly properties were assessed using QUAST (v4.4) and genome annotation using Prokka (v1.14.5). Annotations were also manually checked using the BLASTx program from the NCBI database (https://blast.ncbi.nlm.nih.gov/Blast.cgi (accessed on 7 December 2022)) and validated according to sequence similarity scores, E-values, and coverage. Prokka analysis also generated the functional categories of these annotations by comparing them in the SEED system ontology. Gene Ontology analysis and Metacyc pathway analysis were also performed using the QuickGO and MetaCyc databases, respectively [52,53]. Circular visualisations were created using the Circular Genome Visualization Tool (v0.0.2) from the KBase platform.
The similarity of S. sediminicola genome sequences compared to that of other bacteria was analysed by calculating the pairwise Average Nucleotide Identity (ANIb and ANIm) values using JSpecies software with the integrated BLAST algorithm [54]. In silico DNA–DNA hybridisations (DDH) values were obtained using the Genome-to-Genome Distance Calculator (GGDC 2.1; http://ggdc.dsmz.de/distcalc2.php (accessed on 7 December 2022), [55]) and the recommended BLAST + alignment. The bacterial genome sequences were downloaded from the GenBank database (https://www.ncbi.nlm.nih.gov/genbank/ (accessed on 7 December 2022)).

2.4. Phylogenetic Analyses

Multiple sequence alignments of the nifH, parA, nodABCD, and nfeD sequences were performed individually using CLUSTALW (https://www.genome.jp/toolsbin/clustalw (accessed on 7 December 2022)). CLUSTALW first calculated a pairwise genetic distance between the sequences with degrees of similarity between each pair. Then, a phylogenetic tree was constructed for each alignment using the neighbour-joining algorithm with no distance corrections. The trees were generated in the Interactive Tree of Life (iTOL) programs (v6.5.2) [56]. The sequence accessions from NCBI (https://www.ncbi.nlm.nih.gov/ (accessed on 7 December 2022)) are indicated in the phylogenetic tree after the species name. The bootstrap values of the phylogenetic tree are indicated in blue.

2.5. Acetylene Reduction Assay

Acetylene (C2H2) was prepared according to Postgate [57] from 1 g of calcium carbide (CaC2; Sigma Aldrich) dissolved in 150 mL of distilled water producing 15.625 mmol of C2H2. ARA was performed in 250 mL flasks containing detached nodulated root system. Ten percent of the flask volume was replaced with C2H2 [58], and after 1 h of incubation, a gas aliquot (1 mL) was analysed using an ethylene (C2H4) analyser (F-950, Felix Instruments, Camas, WA, USA). Ammoniacal silver nitrate (10 g L−1) was used to precipitate residual acetylene [59]. Nase activity from the detached root system was expressed in µmol C2H4 h−1 plant−1.

2.6. Macroscopic and Microscopic Observations

To monitor root nodule colonisation, S. sediminicolaRif [pOPS0385] (2 106 CFU) was inoculated into 5-day-old etiolated peas growing in sterile vermiculite. Plants were grown under the same conditions as in the controlled growth chamber experiment and watered with N-free Fahraeus solution. The experiment was repeated three times independently. Detection of β-glucuronidase (GUS) enzyme activity (blue colour) in nodule sections of pea inoculated with S. sediminicolaRif [pOPS0385] was visualised with 5-bromo-4-chloro-3-indolyl glucuronide (X-Gluc; Sigma-Aldrich). The staining buffer was prepared under high stringency conditions for ferro- and ferricyanide concentrations (2.5 mM ferroferricyanide buffer, K3Fe(CN)6, K4Fe(CN)6, Sigma-Aldrich) to limit diffusion of GUS product in sodium phosphate buffer (0.1 M NaH2PO4, 0.1 M Na2HPO4, pH 7.0 and 0.1% (v/v) Tritton; Sigma-Aldrich) with X-Gluc (1 mg mL−1) previously dissolved in dimethylformamide (Sigma-Aldrich). Staining for GUS activity was performed on surface-sterilised nodules for 45 min at 37 °C in the dark. Macroscopic visualisation of nodules was performed using a stereomicroscope (ZEISS SteREO Discovery V20, Carl Zeiss, Göttingen, Germany). For the visualisation of GUS activity at the intracellular level, detached nodules were fixed for 1 h in 3% (w/v) glutaraldehyde in 0.1 M phosphate buffer (pH 7.4); dehydrated gradually using ethanol solutions from 15, 30, 50, 70, 80, 90, and 100%; and then embedded in LR white resin (Sigma-Aldrich). Polymerisation was carried out in gelatin capsules for 10 h at 54 °C. Sections of 4 to 6 µm were cut with a histological diamond knife and floated on drops of sterile water on silanised slides at 60 °C. Sections were back stained with periodic acid–Schiff (PAS) [60] to visualise the insoluble polysaccharides (cell wall and starch). For both light and electron microscopy, nodules were fixed in 3% (w/v) glutaraldehyde dissolved in 0.1 M cacodylate buffer for 3 h at room temperature. Samples were then washed in the cacodylate buffer and post-fixed for 1 h in 1% (w/v) OsO4. The samples were then processed and embedded in resin as described above to visualise the GUS activity. For light microscopy, 1 µm thin sections were placed on silanised slides and stained first with PAS and then with Azur II (Agar Scientific, Stansted, Essex, England) 1% (w/v) in water. Observations were carried out on a Nikon Eclipse E800 microscope (Nikon, Tokyo, Japan). For electron microscopy, 70 nm ultrathin sections were mounted on 400-mesh nickel grids or 200-mesh nickel carbon formvar-coated grids, dried at 37 °C, counterstained with 5% uranyl acetate in water, and observed with a Tecnai F20 FEI Corpelectron microscope at 120 kV (FEI, Hillsboro, OR, USA).

2.7. Statistical Analysis

Means were compared between plants inoculated with S. sediminicola or R. leguminosarum and non-inoculated plants using the Kruskal–Wallis test (p < 0.05) followed by pairwise Wilcoxon rank sum tests with Holm’s p-adjust method for multiple comparisons. All statistical testing was carried out in R (v4.0.4; http://www.r-project.org/) using agricolae [61] and ggpubr [62] packages.

3. Results

3.1. Sphingomonas sediminicola Improved Pea Biomass Production

First, the effect of S. sediminicola inoculation on the main phenotypic traits of pea plants was investigated. On a sterile NPK 18-10-20 potting soil (N-rich substrate), we observed that both shoot and root dry weights of 30-dpi-old plants inoculated with S. sediminicola were at least twice higher those of non-inoculated plants (p < 0.001; Figure 1a,b). Although shoot height was not altered in the inoculated plants (Figure 1c), we observed that the main root was significantly longer compared to that of non-inoculated plants (p < 0.001; Figure 1d).
To compare the effect of S. sediminicola inoculation on the different phenotypic traits measured, a rhizobia species (R. leguminosarum) that develops a typical N2-fixing association in pea was used as a positive control. We observed an increase in both shoot and root biomass production when plants were inoculated with Rhizobium (p = 0.027 and <0.001, respectively, Figure 1a,b) compared to non-inoculated plants. We also observed that shoot height was higher in plants inoculated with R. leguminosarum (p < 0.001), while root length was not changed. On a sterile NPK 4-4-4 potting soil (N-limited substrate) and on sterile vermiculite (N-free substrate), an increase in both plant biomass production and shoot height was observed in the presence of R. leguminosarum. In all non-inoculated plants (>100), the presence of nodules was never observed. In the plants inoculated with R. leguminosarum, the percentage of plants with nodules increased under N-deficient conditions and reached 70% under N-free conditions with 5 to 88 nodules in nodulated plants (Figure 1e).
When plants growing on the N-rich substrate were inoculated with S. sediminicola, root nodules were never observed. However, 37.5% and 76.5% of the plants inoculated with S. sediminicola and grown under N-limited and N-free conditions, respectively (Figure 1e), developed numerous nodule-like structures similar to those observed when the plants were inoculated with R. leguminosarum (Figure 2a). The Sphingomonas-specific gene was detected in these detached nodules. In contrast, no amplification was observed when Rhizobium-specific primers were used. Conversely, in nodules that developed after inoculation with R. leguminosarum, PCR amplification products were detected with the Rhizobium-specific primers but not with the Sphingomonas-specific primers (Figure 2b). In the detached root system of plants inoculated with S. sediminicola, nitrogenase activity was detected at levels comparable to those measured in plants inoculated with R. leguminosarum (Figure 2c).

3.2. Sphingomonas sediminicola Genome Contains the Genetic Information Necessary to Induce Nodulation

de novo whole-genome sequencing showed that S. sediminicola had a chromosome of 2,756,125 bp with a GC content of 62.88%. Thus, the genome coverage of the different sequencing runs ranged from 165 to 260X. The bacterial genome was composed of 2764 complete coding sequences (CDSs) and 64 tRNA sequences (Figure 3a). The similarity of S. sediminicola genome sequence compared to that of S. sediminicola KACC 15039, Sphingomonas azotifigens, and some rhizobia was analysed using ANI-Blast (ANIb), ANI-MUMmer (ANIm), and in silico DDH. High ANIb, ANim, and DDH values (>96%) were found between the genomes of S. sediminicola and S. sediminicola KACC 15039, whereas comparisons with the other selected genomes gave much lower values depending on the three types of analysis (Table 1).
Among these CDSs, the most abundant were those encoding proteins involved in amino acids and related metabolism (6.8%), membrane transport (5.8%), protein fate (5.3%), carbohydrate metabolism (4.3%), and some small molecules (including cofactors, vitamins, prosthetic groups) (4.2%) (Figure 3b). More precisely, and despite the detection of 1018 CDSs encoding proteins of unknown function, we found that some show strong homology with genes involved in iron uptake (fur, piuB), storage (bfrA, bfrD, bfd), transport (feoB, fecR, fieF, tonB), scavenging (entS, yfiZ), phosphorus transport (pstABCS), and signal transduction (phoBHRU). Genes encoding proteins involved in tryptophan biosynthesis (trpABCD) and, interestingly, in N2 fixation (fixJKL, nifSU-like) were also identified (Figure 3a, Table S2).
The presence of a plasmid of 519,958 bp was also detected. It contained a number of CDSs showing strong similarity to genes involved in the replication of low-copy-number plasmids (parABC), nodule formation and development (nodABCDEFLMPQ, nolKVT; noeLJ), N2 fixation (nifBHRUX, fixGHIJNOPQS), and nitrate assimilation (narGHIJKQ, napA, nirBD). In addition, this structure harboured two clusters of CDSs sharing strong similarities with genes of type three (T3SS, escRSTUV; sctDOPQ) and four (T4SS, virB2,3,4,6,9,10,11) encoding proteins involved in secretion systems. We also identified other CDSs sharing strong homology with bacA (Bacteroid development protein A), acdS genes, and a number of genes involved in the regulation of bacterial motility when chemical attraction occurs in the rhizosphere (cheCY, fliL, flbD, flgDF) (Figure 3c, Table S3).
Phylogenetic analysis showed that the nifH sequence of S. sediminicola clustered with that of another Sphingomonas species (S. azotifigens) in the clade that included Azorhizobium caulinodans. In addition, we found that S. sediminicola nifH sequence was also closer to those of the selected β-rhizobia and Bradyrhizobium species compared with the sequences of other α-rhizobia (Figure 4). Conversely, the partitioning system (parA) sequences of S. sediminicola and S. azotifigens were more closely related to that of Rhizobium than that of other Sphingomonas species (Figure S1a). Unlike those of nodC, the nodA and nodB sequences of S. sediminicola were found to be quite similar to those of Rhizobium (Figure S1b–d). The nodD sequence of S. sediminicola was close to that of Azorhizobium caulinodans, whereas the nfeD sequences formed a cluster unique to Sphingomonas species and distinctly different from those of other bacterial genera (Figure S1e,f).

3.3. Sphingomonas sediminicola Induced the Formation of Nodules

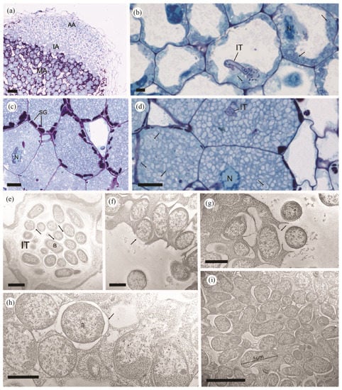
To unequivocally demonstrate that S. sediminicola is responsible in pea plants for nodule formation, inoculation of pea plants with a modified S. sediminicola strain containing a GUS reporter gene (S. sediminicolaRif [pOPS0385]) was performed in sterile vermiculite and with an N-free nutrient solution. This experiment was performed to determine if the reporter gene activity could be detected in the nodule tissues. Compared with the wild-type strain, the changes in shoot and root biomass production and in the number of nodules per plant were similar (Figure S2). We also verified that the wild-type strain did not exhibit GUS activity, either under free-living conditions or in the nodules of inoculated plants. In mature nodules (30 dpi), GUS activity (blue staining) was detected only in the central area of the nodules (Figure 5a, arrow), whereas roots (R), vascular bundles (VB), cortical cell layers (C), and apical area (AA) remained unstained. Thinner nodule sections confirmed that GUS activity was present in the majority of cells in the central zone of the nodule (Figure 5b–d). In this area, we also observed that some cells containing large vacuoles remained unstained (stars) (Figure 5b,c), similar to those of the cortical area (C) (Figure 5c). PAS counterstaining also revealed the presence of numerous starch granules (SG) appearing as dark-red dots. At higher magnification (Figure 5d), GUS staining was visible in small particles corresponding to bacteroids (B) with an expected size of 1 µm.
To refine the cellular structure of the central zone of the nodules and to determine whether the infected cells contained bacteroids, light and electron microscopy experiments were performed on thin and ultrathin sections of nodule tissue, respectively. An overview of a nodule longitudinal thin section (Figure 6a) confirmed that three distinct cell types were clearly observed, consisting of an apical area (AA) characteristic of indeterminate pea nodules [61] containing small cells without starch, an intermediate area (IA) composed of larger blue-stained cells without starch, and a fully differentiated and mature area (MA) represented by large blue-stained cells with numerous starch granules (Figure 6a). Infection threads (ITs) were frequently observed in the intermediate area. These ITs contained small spherical or rod-shaped, blue-stained particles resembling bacteria (Figure 6b). These blue-stained particles were also detected in the cytoplasm of the adjacent cells (Figure 6b, arrows). Magnification of the central area allowed us to detect within the cell cytoplasm the presence of many almost unstained ovoid particles (Figure 6c) surrounded by a white halo (Figure 6d, arrows). It is likely that a membrane surrounding these particles was present, thus indicating that they could be bacterial symbiosomes.
Transmission electron microscopy (TEM) experiments confirmed that the particles observed by light microscopy were symbiotic bacteria and that they were polymorphic. In the intra- or intercellular IT near the apical area visible in Figure 6b, the average surface of the bacteria (B) was 0.46 ± 0.11 µm2 (Figure 6e and Figure S3). We also observed that the bacteria were surrounded by an electron-transparent matrix (arrows), which was itself included in a slightly denser fibrous matrix with no separation of membranes between the two matrices. In many cells of the apical area and in cells containing IT, the size of the bacteria ranged from 0.5 to 1 μm, and as in the central zone of the nodule, we observed many membrane structures, suggesting that an endocytosis process had occurred (Figure 6f,g, arrows). This process probably resulted in the formation of symbiosomes called bacteroids, each consisting of a single symbiotic bacterium and a peribacteroid membrane (Figure 6h, arrow). The size of this structure changed while the nodule developed to reach an average surface of 1.62 ± 0.66 µm2 in the intermediate area and 4.37 ± 1.56 µm2 in the mature area (Figure S3 and Figure 6i).

4. Discussion

Enrichment of Sphingomonas has been frequently observed in agricultural soils after crop rotation, ploughing, cover crops establishment, and in relation to N fertilisation [29,63]. However, these studies dealt with metabarcoding characterisation of bacterial communities and did not directly address the function of Sphingomonas species [64,65,66]. In particular, the predominance of S. sediminicola in the pea rhizosphere raised the question of its role as a biological indicator in conventionally tilled agricultural soils [29]. In the present study, we showed that S. sediminicola improved plant biomass production similarly to other PGPR [8,11,67], such as Azospirillum brasilense [68], Bacillus licheniformis [69], Pseudomonas aeruginosa [70], or other Sphingomonas species. For example, S. LK11 was able to stimulate growth and biomass production in soybean [71] and tomato [40]. A similar effect was observed in Arabidopsis thaliana with S. Cra20 [64]. The mechanisms underlying these beneficial effects mainly involve facilitation of nutrient acquisition (phosphorus, iron), modulation of plant hormone levels and ACCD activity [72].
The S. sediminicola genome sequence allowed us to predict the potential capabilities of this strain. First, the size of the S. sediminicola genome (2.75 Mb) is among the smallest compared to other Sphingomonas genomes, ranging from 2.88 Mb in Sphingomonas sp. W1-2-3 [66] to 6.58 Mb in S. sanxanigenens [73]. As ANI values below 95–96% or 70% for DDH are the cut-off points for delineating bacterial species, the genome of S. sediminicola analysed in the present study was found to be quite different from that of rhizobia species and to be similar to that of Sphingomonas sediminicola KACC 15,039 [43]. However, we identified an extrachromosomal element of 520 kb containing a CDS that has strong homologies with low-copy-number plasmids carrying a partitioning locus, called the ParABC cassette [74]. Therefore, this extrachromosomal element could be a plasmid that we named pSs01. Within the Sphingomonas genus, many plasmids have been identified, and most of them have this ABC partitioning system [75,76] and are also large, such as pCAR3 in Sphingomonas sp. KA, pISP0 in Sphingomonas sp. MM-1, and pSWIT01 in Sphingomonas wittichii RW1 [77]. We found some CDSs on the chromosome of S. sediminicola that show homology with genes involved in iron absorption (fur), iron storage (bacterioferritins bfrA and ferrodoxin bfrD), and iron transport (ferrous iron transporters, feoAB), as well as a gene encoding a pump involved in ferrous ion efflux (fieF) [78]. In parallel, we identified CDSs close to genes related to the synthesis of enterobactin siderophores (entS) and siderophore transporters (yfiZ, tonB). These genes are present in many PGPR such as Enterobacter sp. J49 [79], Bradyrhizobium yuanmingense [80], or R. cellulosilyticum [81] and Sphingomonas pokkalii [82]. CDSs involved in phosphorus metabolism, such as specific inorganic phosphorus transporters (pstABCS) and transcriptional regulators of phosphorus metabolism (phoBHRU), have also been identified on the chromosome of S. sediminicola. These components are found in several PGPRs, such as Burkholderia cenocepacia [83], Paenibacillus sonchi [84], or Pseudomonas psychrotolerans [85]. CDSs sharing homologies with genes related to tryptophan biosynthesis (trpABCD), which may act as a biosynthetic precursor of auxins, were found in the S. sediminicola genome. Many PGPR, such as Acetobacter, Azospirillum, Bacillus, Bradyrhizobium, Burkholderia, Klebsiella, Pseudomonas, Rhizobium, Xanthomonas [86,87], and Sphingomonas LK11 [37,66], are auxin producers. Interestingly, we identified a CDS in pSs01 that shows strong homology with acdS, a gene encoding the enzyme ACCD. This bacterial enzyme catalyses the reduction and cleavage of the ethylene precursor (ACC) produced by plants [88]. Therefore, the next step will be to further characterise these bacterial properties that may explain the improved plant performance when S. sediminicola is inoculated not only with pea, but also with other monocotyledonous and dicotyledonous species.
One of the most striking results of our study was that S. sediminicola was able to induce nodulation on pea roots. Root nodule development is a process restricted to very specific plant–bacteria interactions, usually involving rhizobia and legumes [16,17,18]. During this interaction, and under N-deficient conditions, flavonoids are excreted by the plant into the rhizosphere and interact with the bacterial transcription factor NodD [89], which activates the transcription of a set of nodulation (nod) genes. In the well-characterised Rhizobium–legume symbiosis, nodABC transcription leads to the synthesis and secretion of lipochitooligosaccharides, the so-called Nod factor (NF), which triggers the entry of the bacteria and nodulation [89,90]. Interestingly, we found several CDSs with strong similarity to nodABC and nodD in plasmid pSs01. The presence or absence of specific nodulation genes (nod, noe, and nol) determines NF structure [91] by controlling host specificity [17]. The NF structure is also specific to the host plant species and can also be altered according to environmental conditions [90]. In R. leguminosarum, nodEL are involved in the formation of root nodules in pea and clover [92,93], while in R. meliloti, nodHPQ are required for alfalfa nodulation. It is also likely that nodHPQ are involved in the process of soybean nodulation in Bradyrhizobium japonicum [93]. A number of CDSs identified in the genome of S. sediminicola shared strong homology with genes controlling host specificity, such as nodELMPQ [92,94,95]. Such a finding suggests that S. sediminicola could be able to induce nodule formation in temperate legume species other than pea, as well as in tropical legumes.
It is known that other biological components such as root colonisation and symbiont recognition and suppression of the plant immune system are involved in the establishment of a rhizobia–legume symbiosis. All these steps require specific secretion systems, namely, types 1, 3, and 4 [96], which translocate effectors into the host plant. In R. leguminosarum bv. viciae, the type 1 protein secretion system (T1SS), which is encoded by the prsD and prsE genes, is involved in the secretion of EPS-glycanases [97]. These enzymes play a key role in biofilm formation both during root colonisation and in the initial steps of symbiotic interaction [96]. In the chromosome of S. sediminicola, CDSs encode proteins similar to prsD and prsE, suggesting that EPS-glycanases can be excreted by the bacteria.
Host-produced flavonoids induce expression of the nodD gene encoding NF, which also activates expression of type 3 secretion genes (T3SS). We identified in the plasmid pSs01 that many CDSs share strong similarities with the members of the T3SS [98] that form a cluster of genes similar to that found in the T3SS core components of the Rhc-I subgroup [99]. T3SS is the only secretion system involved in the establishment of symbiosis with legumes [100]. This type of T3SS is present in many rhizobia, such as R. elti, Ensifer (Sinorhizobium) fredii, and Bradyrhizobium japonicum [99]. Close to the T3SS cluster in pSs01, we also identified nine CDSs sharing strong similarities with T4SS–b, which is functionally similar to the T3SS-Rch-1 [100]. T4SS has been identified in some rhizobia, such as Mesorhizobium loti R7A [101] and R. etli CFN42 [102].
In temperate legumes that develop indeterminate nodules, N2 fixation occurs in infected cells located in the zone III. This zone is visible in the root nodules of pea plants inoculated with S. sediminicola (Figure 5). It is known that the leghaemoglobin in this zone prevents the inhibition of the NAse enzyme by O2 while maintaining cellular respiration [103,104]. Thus, ATP can be produced via oxidative phosphorylation by a cytochrome c oxidase (Cbb3-type) in the mitochondria [104,105,106]. The genes fixNOQP [16,105], which encode cytochrome c oxidase, are located near the fixGHIS genes that enable the assembly of Cbb3. We found two clusters of CDSs in the S. sediminicola genome that have very strong homologies with fixNOQP and fixGHIS. These two clusters were located next to each other on pSs01. They were also found in a similar position as in the symbiotic plasmids pSymA and p110 of Ensifer (Sinorhizobium) meliloti [17] and R. leguminosarum, respectively [105], and in the symbiotic islands of Bradyrhizobium japonicum USDA 110 [105]. The regulation of the fixNOQP and fixGHIS operons is usually controlled by the fixJKL genes, which were also present in pSs01. As in some rhizobia, such as R. leguminosarum 3841 [105], the fixKL regulatory genes were located on the chromosome of S. sediminicola, while the fixJ gene was found on the plasmid pSs01. As in Ensifer meliloti [105], fixNOQP were also located in S. sediminicola next to the CDSs, exhibiting strong homology to genes encoding proteins involved in the control of N metabolism, such as napA (a periplasmic nitrate reductase), nirDB, and narGHIJKQ (involved in nitrite and nitrate reduction, respectively).
Regulation of O2 partial pressure during symbiotic N2 fixation by rhizobia is also an essential process for maintaining a fully active Nase. In these bacterial species, the nifAB and nifHDKEN genes are involved in the synthesis and assembly of the enzyme [17,107]. nifA encodes a transcriptional regulator required for the transcription of nifB, nifN, and nifHDKEX. nifH encodes a reductase that enables the production of NH4+ from atmospheric N2, while nifB is required for the biosynthesis of a specific cofactor located at the active site of Nase. The assembly of this cofactor, composed of iron molybdenum (FeMo-co), is in turn initiated by the gene products nifS and nifU [107,108]. Several CDSs with similarity to nifBHU were identified in the megaplasmid of S. sediminicola. The nifS gene was located on its chromosome as well as other CDSs sharing homologies with nifX, nifE, and nifN, which encode the NAse FeMo-cofactor [16]. Such a distribution of the different nif genes on a plasmid and on the chromosome has also been found in other rhizobia, such as Ensifer meliloti [17]. The analysis of the S. sediminicola genome allowed the identification of several genes encoding proteins involved in the onset of atmospheric N2 fixation. However, some of the genes essential to this process, such as nifD and nifK [109], were not identified in this species. As this analysis also revealed the presence of several genes encoding proteins of unknown function, further work is required to determine whether some of these genes are essential for a fully functional Nase enzyme. Our phylogenetic analysis showed that the acquisition of nodulation genes by S. sediminicola involved dozens of genes and was thus rather complex. Therefore, it can be hypothesised that the sequences of S. sediminicola nifD and nifK are so distant from those of other rhizobia that they could not be identified on the basis of sequence homologies alone.
At the ultrastructural level, different cell types were identified in the mature root nodules of pea plants inoculated with S. sediminicola, which are characteristic of indeterminate nodules. From their apical to their basal area, these nodules are composed of an initial zone of meristematic cells that give rise to cells that form the infection zone with some cell layers full of starch granules, followed by cells in which the bacteria progressively differentiate [20,110]. Light and electron microscopic observations allowed us to follow the different steps in the establishment of the symbiotic association at the cellular level, including the penetration of the bacteria into the root cells and the formation of a symbiosome. In particular, the presence of IT and an electron-translucid matrix probably corresponding to an infection droplet that allows a direct contact between the bacteria and the root cell membrane was clearly visible in the apical zone. We were also able to visualise the process of bacterial endocytosis through the plasma membrane in the infected zone, followed by the development of a symbiosome compartment in which the bacteria differentiate into bacteroids [111]. This differentiation is known to be plant host dependent [112], and in legumes belonging to the inverted repeat–lacking clade (IRLC), this process leads to terminal differentiation of their bacterial endosymbionts, resulting in endoreduplication of the genome, cell enlargement, and loss of cell division ability [113]. In nodules of pea inoculated with S. sediminicola, we identified bacteria in the infection zone that were similar in size to those previously observed in free-living bacteria [43] (i.e., 0.5 µm diameter by 1 µm length), while in zone III, the size of the bacteroids increased fivefold and is characteristic of the differentiation of bacteroids when they begin to fix atmospheric N2 [20]. This observation suggests that in the symbiotic association of S. sedimincola and pea, the resulting indeterminate nodules contain E-type bacteroids. However, it would be useful to analyse the expression of NCR-like genes by RT-qPCR and the DNA content by flow cytometry.
In conclusion, our results rekindle current concepts on nodulation of legumes both biological and evolutionary perspectives, especially for further agronomic applications. For almost a century, it was generally assumed that all legumes could form nodules only when inoculated with bacteria of the order Hyphomicrobiales (=Rhizobiales), which belong to the α-Proteobacteria (α-rhizobia). Then, in the last two decades, the discovery of modulating bacteria belonging not to the classical α-rhizobia but to the β- or γ-Proteobacteria (β- or γ-rhizobia) has overturned the postulate that only α-rhizobia are able to develop N2-fixing symbiotic associations with legumes [16,17,18]. By showing that within the α-Proteobacteria, nodulation of legumes is not restricted to the Hyphomicrobiales but can also occur in the Sphingomonadales, it can be suggested that the classification of α-rhizobia taxa could be revised to include S. sediminicola or other species belonging to the Sphingomonadales.

5. Conclusions

In summary, our work demonstrates that S. sediminicola possesses strong potential with respect to legume N nutrition, yield, and their ability to produce green manure, as this soil bacterium can develop functional root nodules when inoculated with pea. To further promote the biological and agronomic importance of the Sphingomonas–legume association, more research is needed to (1) decipher the structural and regulatory elements involved in such an association both during its establishment and during the onset of N2 fixation; (2) evaluate the benefits of such an association in agricultural systems where peas or other legumes are grown either as the main crop, as green manure, or as an associated crop in the presence or absence of Rhizobium; and (3) investigate its short- or long-term effects on the microbial community in the rhizosphere of the surrounding plant and on soil properties.

Supplementary Materials

The following supporting information can be downloaded at https://www.mdpi.com/article/10.3390/microorganisms11010199/s1. Table S1: Primers used to target specific gene sequences. Table S2: List of genes in the genome of Sphingomonas sediminicola. The coordinates in bp are given for each CDS identified by the Prokka analyses with their orientation as well as their description and symbol. Table S3: List of genes in the plasmid pSs1 of S. sediminicola. The coordinates in bp are given for each CDS with their orientation. The sequence similarity scores, E-values, and coverage from Blast analysis are indicated, as well as the blast target sequences. Figure S1: Phylogenetic tree of the multiple sequence alignment of (a) parA, (b) nodA, (c) nodB, (d) nodC, (e) nodD, and (f) nfeD sequences from atmospheric N2 fixing symbiotic and non-symbiotic bacterial species. Sphingomonas sediminicola is in red. Bootstrap values of the phylogenetic tree are indicated in blue. Figure S2: Effect of inoculation with Sphingomonas sediminicolaRif [pOPS0385] (purple) or Rhizobium leguminosarum (red) on some phenotypic traits of peas compared to uninoculated peas (black) when plants were grown in the absence of nitrogen. (a) Shoot height, (b) root length. (c) Shoot and (d) root dry weight (DW). (e) Number of root nodules per plant. Statistical differences were based on Wilcoxon rank sum tests with Holm’s p-adjust. *, p < 0.05; **, p < 0.01; ***, p < 0.001; ns, not significant. Figure S3: Measurement of the surface area of S. sediminicola in three different root nodule zones. Surface areas were measured by TEM image analysis on 30 to 50 longitudinally sectioned bacteria or bacteroids; partial and transverse sections were not included in the measurements. Significant differences (different letters) between infection threads and intermediate and mature zones were determined by ANOVA followed by Tukey–Kramer HSD at a 95% confidence limit.

Author Contributions

C.M., V.S., F.D. and J.D. conceived the project and designed the experiments. C.M., M.C., A.P., F.D., L.G. and J.D. performed the experimental analysis. C.M., B.H., F.D. and J.D. analysed the data and prepared the manuscript with contributions from all authors. All authors approved the submitted version. All authors have read and agreed to the published version of the manuscript.

Funding

This research was funded by AgroStation, the Région Hauts de France, and the European Regional Development Fund (ERDF) within the framework of the ERDF/FSE 2014–2020 through PhD grant (CM). The funders had no role in study design, data collection and analysis, decision to publish, or preparation of the manuscript.

Data Availability Statement

Whole-genome sequencing data associated with this study has been deposited in the NCBI Sequence Read Archive under accession number PRJNA818132.

Acknowledgments

We thank Philip Poole from the University of Oxford for the donation of the Rhizobium leguminosarum bv. viciae strain. The authors warmly thank Gaelle Mongelard and Stéphanie Guénin (CRRBM, UPJV) for their technical assistance with molecular biology equipment, Hervé Demailly (Greenhouse Platform, UPJV) for his support during the greenhouse experiments, and Arash Jamali (Electron Microscopy Platform, UPJV) for his assistance in the TEM analysis.

Conflicts of Interest

The authors declare no conflict of interest.

References

  1. Barros-Rodríguez, A.; Rangseekaew, P.; Lasudee, K.; Pathom-aree, W.; Manzanera, M. Impacts of Agriculture on the Environment and Soil Microbial Biodiversity. Plants 2021, 10, 2325. [Google Scholar] [CrossRef] [PubMed]
  2. Foley, J.A.; DeFries, R.; Asner, G.P.; Barford, C.; Bonan, G.; Carpenter, S.R.; Chapin, F.S.; Coe, M.T.; Daily, G.C.; Gibbs, H.K.; et al. Global Consequences of Land Use. Science 2005, 309, 570–574. [Google Scholar] [CrossRef] [PubMed]
  3. Ingram, J. Agronomist–Farmer Knowledge Encounters: An Analysis of Knowledge Exchange in the Context of Best Management Practices in England. Agric. Hum. Values 2008, 25, 405–418. [Google Scholar] [CrossRef]
  4. Balafoutis, A.T.; Beck, B.; Fountas, S.; Tsiropoulos, Z.; Vangeyte, J.; van der Wal, T.; Soto-Embodas, I.; Gómez-Barbero, M.; Pedersen, S.M. Smart Farming Technologies—Description, Taxonomy and Economic Impact. In Precision Agriculture: Technology and Economic Perspectives; Springer: Cham, Switzerland, 2017; pp. 21–77. [Google Scholar]
  5. Vanloqueren, G.; Baret, P.V. How Agricultural Research Systems Shape a Technological Regime That Develops Genetic Engineering but Locks out Agroecological Innovations. Res. Policy 2009, 38, 971–983. [Google Scholar] [CrossRef]
  6. Thorman, R.E.; Nicholson, F.A.; Topp, C.F.E.; Bell, M.J.; Cardenas, L.M.; Chadwick, D.R.; Cloy, J.M.; Misselbrook, T.H.; Rees, R.M.; Watson, C.J.; et al. Towards Country-Specific Nitrous Oxide Emission Factors for Manures Applied to Arable and Grassland Soils in the UK. Front. Sustain. Food Syst. 2020, 4, 62. [Google Scholar] [CrossRef]
  7. Timmusk, S.; Behers, L.; Muthoni, J.; Muraya, A.; Aronsson, A.-C. Perspectives and Challenges of Microbial Application for Crop Improvement. Front. Plant Sci. 2017, 8, 49. [Google Scholar] [CrossRef]
  8. Backer, R.; Rokem, J.S.; Ilangumaran, G.; Lamont, J.; Praslickova, D.; Ricci, E.; Subramanian, S.; Smith, D.L. Plant Growth-Promoting Rhizobacteria: Context, Mechanisms of Action, and Roadmap to Commercialization of Biostimulants for Sustainable Agriculture. Front. Plant Sci. 2018, 9, 1473. [Google Scholar] [CrossRef] [PubMed]
  9. Babalola, O.O. Beneficial Bacteria of Agricultural Importance. Biotechnol. Lett. 2010, 32, 1559–1570. [Google Scholar] [CrossRef] [PubMed]
  10. Kumari, B.; Mallick, M.; Solanki, M.; Solanki, A.; Hora, A.; Guo, W. Plant Growth Promoting Rhizobacteria (PGPR): Modern Prospects for Sustainable Agriculture. In Plant Health under Biotic Stress; Springer: Singapore, 2019; pp. 109–127. [Google Scholar]
  11. Oleńska, E.; Małek, W.; Wójcik, M.; Swiecicka, I.; Thijs, S.; Vangronsveld, J. Beneficial Features of Plant Growth-Promoting Rhizobacteria for Improving Plant Growth and Health in Challenging Conditions: A Methodical Review. Sci. Total Environ. 2020, 743, 140682. [Google Scholar] [CrossRef]
  12. Jensen, E.S.; Peoples, M.B.; Boddey, R.M.; Gresshoff, P.M.; Hauggaard-Nielsen, H.; Alves, B., Jr.; Morrison, M.J. Legumes for Mitigation of Climate Change and the Provision of Feedstock for Biofuels and Biorefineries. A Review. Agron. Sustain. Dev. 2012, 32, 329–364. [Google Scholar] [CrossRef]
  13. Masson-Boivin, C.; Sachs, J.L. Symbiotic Nitrogen Fixation by Rhizobia—The Roots of a Success Story. Curr. Opin. Plant Biol. 2018, 44, 7–15. [Google Scholar] [CrossRef] [PubMed]
  14. Peix, A.; Ramírez-Bahena, M.H.; Velázquez, E.; Bedmar, E.J. Bacterial Associations with Legumes. Crit. Rev. Plant Sci. 2015, 34, 17–42. [Google Scholar] [CrossRef]
  15. Ferguson, B.J.; Indrasumunar, A.; Hayashi, S.; Lin, M.-H.; Lin, Y.-H.; Reid, D.E.; Gresshoff, P.M. Molecular Analysis of Legume Nodule Development and Autoregulation. J. Integr. Plant Biol. 2010, 52, 61–76. [Google Scholar] [CrossRef] [PubMed]
  16. Chen, W.F.; Wang, E.T.; Ji, Z.J.; Zhang, J.J. Recent development and new insight of diversification and symbiosis specificity of legume rhizobia: Mechanism and application. J. Appl. Microbiol. 2021, 131, 553–563. [Google Scholar] [CrossRef] [PubMed]
  17. Geddes, B.A.; Kearsley, J.; Morton, R.; diCenzo, G.C.; Finan, T.M. Chapter Eight—The Genomes of Rhizobia. Adv. Bot. Res. 2020, 94, 213–249. [Google Scholar]
  18. El Idrissi, M.M.; Abdelmoumen, K. Conventional and Unconventional Symbiotic Nitrogen Fixing Bacteria Associated with Legumes. In Microbial Symbionts: Functions and Molecular Interactions on Host; Elsevier Academic Press: Amsterdam, The Netherlands, 2022; ISBN 978-0-323-99334-0. [Google Scholar]
  19. Boivin, S.; Lepetit, M. Partner Preference in the Legume-Rhizobia Symbiosis and Impact on Legume Inoculation Strategies. Adv. Bot. Res. 2020, 94, 323–348. [Google Scholar] [CrossRef]
  20. Kazmierczak, T.; Yang, L.; Boncompagni, E.; Meilhoc, E.; Frugier, F.; Frendo, P.; Bruand, C.; Gruber, V.; Brouquisse, R. Legume Nodule Senescence: A Coordinated Death Mechanism between Bacteria and Plant Cells. Adv. Bot. Res. 2020, 94, 181–212. [Google Scholar] [CrossRef]
  21. Oke, V.; Long, S.R. Bacteroid Formation in the Rhizobium–Legume Symbiosis. Curr. Opin. Microbiol. 1999, 2, 641–646. [Google Scholar] [CrossRef]
  22. Oono, R.; Schmitt, I.; Sprent, J.I.; Denison, R.F. Multiple Evolutionary Origins of Legume Traits Leading to Extreme Rhizobial Differentiation. New Phytol. 2010, 187, 508–520. [Google Scholar] [CrossRef]
  23. Kondorosi, E.; Mergaert, P.; Kereszt, A. A paradigm for endosymbiotic life: Cell differentiation of Rhizobium bacteria provoked by host plant factors. Annu. Rev. Microbiol. 2013, 67, 611–628. [Google Scholar] [CrossRef]
  24. Ramirez, K.S.; Craine, J.M.; Fierer, N. Consistent Effects of Nitrogen Amendments on Soil Microbial Communities and Processes across Biomes. Glob. Chang. Biol. 2012, 18, 1918–1927. [Google Scholar] [CrossRef]
  25. Verzeaux, J.; Alahmad, A.; Habbib, H.; Nivelle, E.; Roger, D.; Lacoux, J.; Decocq, G.; Hirel, B.; Catterou, M.; Spicher, F.; et al. Cover Crops Prevent the Deleterious Effect of Nitrogen Fertilisation on Bacterial Diversity by Maintaining the Carbon Content of Ploughed Soil. Geoderma 2016, 281, 49–57. [Google Scholar] [CrossRef]
  26. Zeng, J.; Liu, X.; Song, L.; Lin, X.; Zhang, H.; Shen, C.; Chu, H. Nitrogen Fertilization Directly Affects Soil Bacterial Diversity and Indirectly Affects Bacterial Community Composition. Soil Biol. Biochem. 2016, 92, 41–49. [Google Scholar] [CrossRef]
  27. Muthini, M.; Awino, R.; Kirui, K.C.; Koech, K.; Jalloh, A.A.; Njeru, E.M. Optimizing Rhizobium-Legume Symbiosis in Smallholder Agroecosystems. In Sustainable Agriculture Reviews 45: Legume Agriculture and Biotechnology Vol 1; Guleria, P., Kumar, V., Lichtfouse, E., Eds.; Sustainable Agriculture Reviews; Springer International Publishing: Cham, Switzerland, 2020; pp. 159–177. ISBN 978-3-030-53017-4. [Google Scholar]
  28. Karmakar, K.; Rana, A.; Rajwar, A.; Sahgal, M.; Johri, B.N. Legume-Rhizobia Symbiosis Under Stress. Plant Microbes Symbiosis Appl. Facet. 2015, 12, 241–258. [Google Scholar]
  29. Alahmad, A.; Decocq, G.; Spicher, F.; Kheirbeik, L.; Kobaissi, A.; Tétu, T.; Dubois, F.; Duclercq, J. Cover Crops in Arable Lands Increase Functional Complementarity and Redundancy of Bacterial Communities. J. Appl. Ecol. 2018, 56, 651–664. [Google Scholar] [CrossRef]
  30. Lin, S.-Y.; Shen, F.-T.; Lai, W.-A.; Zhu, Z.-L.; Chen, W.-M.; Chou, J.-H.; Lin, Z.-Y.; Young, C.-C. Sphingomonas formosensis sp. Nov., a Polycyclic Aromatic Hydrocarbon-Degrading Bacterium Isolated from Agricultural Soil. Int. J. Syst. Evol. Microbiol. 2012, 62, 1581–1586. [Google Scholar] [CrossRef]
  31. Huang, H.-D.; Wang, W.; Ma, T.; Li, G.-Q.; Liang, F.-L.; Liu, R.-L. Sphingomonas sanxanigenens sp. Nov., Isolated from Soil. Int. J. Syst. Evol. Microbiol. 2009, 59, 719–723. [Google Scholar] [CrossRef]
  32. Li, B.-B.; Roley, S.S.; Duncan, D.S.; Guo, J.; Quensen, J.F.; Yu, H.-Q.; Tiedje, J.M. Long-Term Excess Nitrogen Fertilizer Increases Sensitivity of Soil Microbial Community to Seasonal Change Revealed by Ecological Network and Metagenome Analyses. Soil Biol. Biochem. 2021, 160, 108349. [Google Scholar] [CrossRef]
  33. Kämpfer, P.; Busse, H.-J.; McInroy, J.A.; Glaeser, S.P.Y. Sphingomonas zeae sp. Nov., Isolated from the Stem of Zea Mays. Int. J. Syst. Evol. Microbiol. 2015, 65, 2542–2548. [Google Scholar] [CrossRef]
  34. Chung, E.J.; Jo, E.J.; Yoon, H.S.; Song, G.C.; Jeon, C.O.; Chung, Y.R. Sphingomonas oryziterrae sp. nov. and Sphingomonas jinjuensis sp. nov. Isolated from Rhizosphere Soil of Rice (Oryza sativa L.). Int. J. Syst. Evol. Microbiol. 2011, 61, 2389–2394. [Google Scholar] [CrossRef]
  35. Xie, C.-H.; Yokota, A. Sphingomonas azotifigens sp. nov., a Nitrogen-Fixing Bacterium Isolated from the Roots of Oryza sativa. Int. J. Syst. Evol. Microbiol. 2006, 56, 889–893. [Google Scholar] [CrossRef] [PubMed]
  36. Vorholt, J.A. Microbial Life in the Phyllosphere. Nat. Rev. Microbiol. 2012, 10, 828–840. [Google Scholar] [CrossRef] [PubMed]
  37. Khan, A.L.; Waqas, M.; Kang, S.-M.; Al-Harrasi, A.; Hussain, J.; Al-Rawahi, A.; Al-Khiziri, S.; Ullah, I.; Ali, L.; Jung, H.-Y.; et al. Bacterial Endophyte sphingomonas sp. LK11 Produces Gibberellins and IAA and Promotes Tomato Plant Growth. J. Microbiol. 2014, 52, 689–695. [Google Scholar] [CrossRef] [PubMed]
  38. Buonaurio, R.; Stravato, V.M.; Kosako, Y.; Fujiwara, N.; Naka, T.; Kobayashi, K.; Cappelli, C.; Yabuuchi, E. Sphingomonas melonis sp. nov., a Novel Pathogen That Causes Brown Spots on Yellow Spanish Melon Fruits. Int. J. Syst. Evol. Microbiol. 2002, 52, 2081–2087. [Google Scholar] [PubMed]
  39. Innerebner, G.; Knief, C.; Vorholt, J.A. Protection of Arabidopsis Thaliana against Leaf-Pathogenic Pseudomonas Syringae by Sphingomonas Strains in a Controlled Model System. Appl. Environ. Microbiol 2011, 77, 3202–3210. [Google Scholar] [CrossRef] [PubMed]
  40. Asaf, S.; Khan, A.L.; Khan, M.A.; Imran, Q.M.; Yun, B.-W.; Lee, I.-J. Osmoprotective Functions Conferred to Soybean Plants via Inoculation with Sphingomonas sp. LK11 and Exogenous Trehalose. Microbiol. Res. 2017, 205, 135–145. [Google Scholar] [CrossRef] [PubMed]
  41. Khan, A.L.; Waqas, M.; Asaf, S.; Kamran, M.; Shahzad, R.; Bilal, S.; Khan, M.A.; Kang, S.-M.; Kim, Y.-H.; Yun, B.-W.; et al. Plant Growth-Promoting Endophyte sphingomonas sp. LK11 Alleviates Salinity Stress in Solanum Pimpinellifolium. Environ. Exp. Bot. 2017, 133, 58–69. [Google Scholar] [CrossRef]
  42. Huy, H.; Jin, L.; Lee, K.C.; Kim, S.-G.; Lee, J.-S.; Ahn, C.-Y.; Oh, H.-M. 2014 Sphingomonas daechungensis sp. nov., Isolated from Sediment of a Eutrophic Reservoir. Int. J. Syst. Evol. Microbiol. 2014, 64, 1412–1418. [Google Scholar] [CrossRef]
  43. An, D.-S.; Liu, Q.-M.; Lee, H.-G.; Jung, M.-S.; Kim, S.-C.; Lee, S.-T.; Im, W.-T. Sphingomonas ginsengisoli sp. nov. and Sphingomonas sediminicola sp. nov. Int. J. Syst. Evol. Microbiol. 2013, 63, 496–501. [Google Scholar] [CrossRef]
  44. Mendoza-Suárez, M.A.; Geddes, B.A.; Sánchez-Cañizares, C.; Ramírez-González, R.H.; Kirchhelle, C.; Jorrin, B.; Poole, P.S. Optimizing Rhizobium-Legume Symbioses by Simultaneous Measurement of Rhizobial Competitiveness and N2 Fixation in Nodules. Proc. Natl. Acad. Sci. USA 2020, 117, 9822–9831. [Google Scholar] [CrossRef]
  45. Beringer, J. R Factor Transfer in Rhizobium Leguminosarum | Microbiology Society. Microbiology 1974, 84, 188–198. [Google Scholar] [CrossRef]
  46. Johnston, A.W.B. Beringer Identification of the Rhizobium Strains in Pea Root Nodules Using Genetic Markers. Microbiology 1975, 87, 343–350. [Google Scholar] [CrossRef]
  47. Wathugala, N.D.; Hemananda, K.M.; Yip, C.B.; Hynes, M.F. Defining the Requirements for the Conjugative Transfer of Rhizobium Leguminosarum Plasmid PRleVF39b. Microbiology 2020, 166, 318–331. [Google Scholar] [CrossRef] [PubMed]
  48. Lodeiro, A.R.; González, P.; Hernández, A.; Balagué, L.J.; Favelukes, G. Comparison of Drought Tolerance in Nitrogen-Fixing and Inorganic Nitrogen-Grown Common Beans. Plant Sci. 2000, 154, 31–41. [Google Scholar] [CrossRef]
  49. Stoddard, S.F.; Smith, B.J.; Hein, R.; Roller, B.R.K.; Schmidt, T.M. RrnDB: Improved Tools for Interpreting RRNA Gene Abundance in Bacteria and Archaea and a New Foundation for Future Development. Nucleic Acids Res. 2015, 43, D593–D598. [Google Scholar] [CrossRef] [PubMed]
  50. Bolger, A.M.; Lohse, M.; Usadel, B. Trimmomatic: A Flexible Trimmer for Illumina Sequence Data. Bioinformatics 2014, 30, 2114–2120. [Google Scholar] [CrossRef]
  51. Allen, B.; Drake, M.; Harris, N.; Sullivan, T. Using KBase to Assemble and Annotate Prokaryotic Genomes. Curr. Protoc. Microbiol. 2017, 46, 1E.13.1–1E.13.18. [Google Scholar] [CrossRef] [PubMed]
  52. Binns, D.; Dimmer, E.; Huntley, R.; Barrell, D.; O’Donovan, C.; Apweiler, R. QuickGO: A Web-Based Tool for Gene Ontology Searching. Bioinformatics 2009, 25, 3045–3046. [Google Scholar] [CrossRef]
  53. Caspi, R.; Altman, T.; Dale, J.M.; Dreher, K.; Fulcher, C.A.; Gilham, F.; Kaipa, P.; Karthikeyan, A.S.; Kothari, A.; Krummenacker, M.; et al. The MetaCyc Database of Metabolic Pathways and Enzymes and the BioCyc Collection of Pathway/Genome Databases. Nucleic Acids Res. 2010, 38, D473. [Google Scholar] [CrossRef]
  54. Richter, M.; Rosselló-Móra, R.; Oliver Glöckner, F.; Peplies, J. JSpeciesWS: A web server for prokaryotic species circumscription based on pairwise genome comparison. Bioinformatics 2016, 32, 929–931. [Google Scholar] [CrossRef]
  55. Meier-Kolthoff, J.P.; Auch, A.F.; Klenk, H.P.; Göker, M. Genome sequence-based species delimitation with confidence intervals and improved distance functions. BMC Bioinform. 2013, 14, 60. [Google Scholar] [CrossRef] [PubMed]
  56. Letunic, I.; Bork, P. Interactive Tree Of Life (ITOL) v5: An Online Tool for Phylogenetic Tree Display and Annotation. Nucleic Acids Res. 2021, 49, W293–W296. [Google Scholar] [CrossRef] [PubMed]
  57. Postgate, J.R. Chapter XIII The Acetylene Reduction Test for Nitrogen Fixation. Methods Microbiol. 1972, 6, 343–356. [Google Scholar]
  58. Herdina; Silsbury, J.H. Estimating Nitrogenase Activity of Faba Bean (Vicia Faba) by Acetylene Reduction (Ar) Assay. Funct. Plant Biol. 1990, 17, 489–502. [Google Scholar] [CrossRef]
  59. David, K.A.V.; Apte, S.K.; Banerji, A.; Thomas, J. Acetylene Reduction Assay for Nitrogenase Activity: Gas Chromatographic Determination of Ethylene Per Sample in Less Than One Minute. Appl. Environ. Microbiol. 1980, 39, 1078–1080. [Google Scholar] [CrossRef]
  60. Sangwan, R.S.; Bourgeois, Y.; Brown, S.; Vasseur, G. Characterization of Competent Cells and Early Events of Agrobacterium-Mediated Genetic Transformation in Arabidopsis Thalina. Planta 1992, 188, 439–456. [Google Scholar] [CrossRef]
  61. Mendiburu, F. de Agricolae: Statistical Procedures for Agricultural Research. 2021. Available online: https://CRAN.R-project.org/package=agricolae (accessed on 7 December 2022).
  62. Kassambara, A. Ggpubr: “ggplot2” Based Publication Ready Plots. 2020. Available online: https://cran.r-project.org/package=ggpubr (accessed on 7 December 2022).
  63. Dong, W.; Liu, E.; Yan, C.; Tian, J.; Zhang, H.; Zhang, Y. Impact of No Tillage vs. Conventional Tillage on the Soil Bacterial Community Structure in a Winter Wheat Cropping Succession in Northern China. Eur. J. Soil Biol. 2017, 80, 35–42. [Google Scholar] [CrossRef]
  64. Luo, Y.; Wang, F.; Huang, Y.; Zhou, M.; Gao, J.; Yan, T.; Sheng, H.; An, L. Sphingomonas sp. Cra20 Increases Plant Growth Rate and Alters Rhizosphere Microbial Community Structure of Arabidopsis Thaliana Under Drought Stress. Front. Microbiol. 2019, 10, 1221. [Google Scholar] [CrossRef]
  65. Luo, Y.; Zhou, M.; Zhao, Q.; Wang, F.; Gao, J.; Sheng, H.; An, L. Complete Genome Sequence of Sphingomonas sp. Cra20, a Drought Resistant and Plant Growth Promoting Rhizobacteria. Genomics 2020, 112, 3648–3657. [Google Scholar] [CrossRef]
  66. Asaf, S.; Numan, M.; Khan, A.L.; Al-Harrasi, A. Sphingomonas: From Diversity and Genomics to Functional Role in Environmental Remediation and Plant Growth. Crit. Rev. Biotechnol. 2020, 40, 138–152. [Google Scholar] [CrossRef]
  67. Bhat, M.A.; Kumar, V.; Bhat, M.A.; Wani, I.A.; Dar, F.L.; Farooq, I.; Bhatti, F.; Koser, R.; Rahman, S.; Jan, A.T. Mechanistic Insights of the Interaction of Plant Growth-Promoting Rhizobacteria (PGPR) With Plant Roots Toward Enhancing Plant Productivity by Alleviating Salinity Stress. Front. Microbiol. 2020, 11, 1952. [Google Scholar] [CrossRef] [PubMed]
  68. Pii, Y.; Aldrighetti, A.; Valentinuzzi, F.; Mimmo, T.; Cesco, S. Azospirillum Brasilense Inoculation Counteracts the Induction of Nitrate Uptake in Maize Plants. J. Exp. Bot. 2019, 70, 1313–1324. [Google Scholar] [CrossRef]
  69. Katsenios, N.; Andreou, V.; Sparangis, P.; Djordjevic, N.; Giannoglou, M.; Chanioti, S.; Stergiou, P.; Xanthou, M.-Z.; Kakabouki, I.; Vlachakis, D.; et al. Evaluation of Plant Growth Promoting Bacteria Strains on Growth, Yield and Quality of Industrial Tomato. Microorganisms 2021, 9, 2099. [Google Scholar] [CrossRef] [PubMed]
  70. Arif, M.S.; Riaz, M.; Shahzad, S.M.; Yasmeen, T.; Akhtar, M.J.; Riaz, M.A.; Jassey, V.E.J.; Bragazza, L.; Buttler, A. Associative Interplay of Plant Growth Promoting Rhizobacteria (Pseudomonas Aeruginosa QS40) with Nitrogen Fertilizers Improves Sunflower (Helianthus annuus L.) Productivity and Fertility of Aridisol. Appl. Soil Ecol. 2016, 108, 238–247. [Google Scholar] [CrossRef]
  71. Asaf, S.; Khan, M.A.; Khan, A.L.; Waqas, M.; Shahzad, R.; Kim, A.-Y.; Kang, S.-M.; Lee, I.-J. Bacterial Endophytes from Arid Land Plants Regulate Endogenous Hormone Content and Promote Growth in Crop Plants: An Example of Sphingomonas sp. and Serratia Marcescens. J. Plant Interact. 2017, 12, 31–38. [Google Scholar] [CrossRef]
  72. Glick, B.R. Plant Growth-Promoting Bacteria: Mechanisms and Applications. Scientifica 2012, 5, 15. [Google Scholar] [CrossRef] [PubMed]
  73. Huang, H.-Y.; Li, J.; Zhao, G.-Z.; Zhu, W.-Y.; Yang, L.-L.; Tang, H.-Y.; Xu, L.-H.; Li, W.-J. Sphingomonas endophytica SP. Nov., Isolated from Artemisia annua L. Int. J. Syst. Evol. Microbiol. 2009, 62, 1576–1580. [Google Scholar] [CrossRef]
  74. Pinto, U.M.; Pappas, K.M.; Winans, S.C. The ABCs of Plasmid Replication and Segregation. Nat. Rev. Microbiol. 2012, 10, 755–765. [Google Scholar] [CrossRef]
  75. Yeon, S.-M.; Kim, Y.-C. Characterization of Plasmid PSY3 in Sphingobium Chungbukense DJ77. J. Microbiol. 2009, 47, 796–800. [Google Scholar] [CrossRef]
  76. Poehlein, A.; Wübbeler, J.H.; Daniel, R.; Steinbüchel, A. Draft Genome Sequences of Sphingomonas Mucosissima DSM 17494 and Sphingomonas Dokdonensis DSM 21029. Am. Soc. Microbiol. 2017, 5, e00889-17. [Google Scholar] [CrossRef]
  77. Stolz, A. Degradative Plasmids from Sphingomonads. FEMS Microbiol. Lett. 2014, 350, 9–19. [Google Scholar] [CrossRef] [PubMed]
  78. Andrés-Barrao, C.; Lafi, F.F.; Alam, I.; de Zélicourt, A.; Eida, A.A.; Bokhari, A.; Alzubaidy, H.; Bajic, V.B.; Hirt, H.; Saad, M.M. Complete Genome Sequence Analysis of Enterobacter sp. SA187, a Plant Multi-Stress Tolerance Promoting Endophytic Bacterium. Front. Microbiol. 2017, 8, 2023. [Google Scholar] [CrossRef]
  79. Ludueña, L.M.; Anzuay, M.S.; Angelini, J.G.; McIntosh, M.; Becker, A.; Rupp, O.; Goesmann, A.; Blom, J.; Fabra, A.; Taurian, T. Genome Sequence of the Endophytic Strain enterobacter sp. J49, a Potential Biofertilizer for Peanut and Maize. Genomics 2019, 111, 913–920. [Google Scholar] [CrossRef] [PubMed]
  80. Toniutti, M.A.; Albicoro, F.J.; Castellani, L.G.; López García, S.L.; Fornasero, L.V.; Zuber, N.E.; Vera, L.M.; Vacca, C.; Cafiero, J.H.; Winkler, A.; et al. Genome Sequence of Bradyrhizobium Yuanmingense Strain P10 130, a Highly Efficient Nitrogen-Fixing Bacterium That Could Be Used for Desmodium Incanum Inoculation. Gene 2021, 768, 145267. [Google Scholar] [CrossRef]
  81. Igiehon, N.O.; Babalola, O.O.; Aremu, B.R. Genomic Insights into Plant Growth Promoting Rhizobia Capable of Enhancing Soybean Germination under Drought Stress. BMC Microbiol. 2019, 19, 159. [Google Scholar] [CrossRef] [PubMed]
  82. Menon, R.R.; Kumari, S.; Kumar, P.; Verma, A.; Krishnamurthi, S.; Rameshkumar, N. Sphingomonas pokkalii sp. nov., a Novel Plant Associated Rhizobacterium Isolated from a Saline Tolerant Pokkali Rice and Its Draft Genome Analysis. Syst. Appl. Microbiol. 2019, 42, 334–342. [Google Scholar] [CrossRef] [PubMed]
  83. You, M.; Fang, S.; MacDonald, J.; Xu, J.; Yuan, Z.-C. Isolation and Characterization of Burkholderia Cenocepacia CR318, a Phosphate Solubilizing Bacterium Promoting Corn Growth. Microbiol. Res. 2020, 233, 126–395. [Google Scholar] [CrossRef]
  84. Brito, L.F.; López, M.G.; Straube, L.; Passaglia, L.M.P.; Wendisch, V.F. Inorganic Phosphate Solubilization by Rhizosphere Bacterium Paenibacillus Sonchi: Gene Expression and Physiological Functions. Front. Microbiol. 2020, 11, 3122. [Google Scholar] [CrossRef] [PubMed]
  85. Kang, S.-M.; Asaf, S.; Khan, A.L.; Lubna; Khan, A.; Mun, B.-G.; Khan, M.A.; Gul, H.; Lee, I.-J. Complete Genome Sequence of Pseudomonas Psychrotolerans CS51, a Plant Growth-Promoting Bacterium, Under Heavy Metal Stress Conditions. Microorganisms 2020, 8, 382. [Google Scholar] [CrossRef]
  86. Tsavkelova, E.A.; Klimova, S.Y.; Cherdyntseva, T.A.; Netrusov, A.I. Microbial Producers of Plant Growth Stimulators and Their Practical Use: A Review. Appl. Biochem. Microbiol. 2006, 42, 117–126. [Google Scholar] [CrossRef]
  87. Castillo, P.; Molina, R.; Andrade, A.; Vigliocco, A.; Alemano, S.; Cassán, F.D. Phytohormones and Other Plant Growth Regulators Produced by PGPR: The Genus Azospirillum. In Handbook for Azospirillum; Springer: Cham, Switzerland, 2015; pp. 115–138. [Google Scholar]
  88. Glick, B.R. Bacteria with ACC Deaminase Can Promote Plant Growth and Help to Feed the World. Microbiol. Res. 2014, 169, 30–39. [Google Scholar] [CrossRef] [PubMed]
  89. Long, S.R. SnapShot: Signaling in Symbiosis. Cell 2016, 167, 582–582.e1. [Google Scholar] [CrossRef] [PubMed]
  90. Mbengue, M.D.; Hervé, C.; Debellé, F. Nod Factor Signaling in Symbiotic Nodulation. Adv. Bot. Res. 2020, 94, 1–39. [Google Scholar]
  91. Basu, S.; Kumar, G. Nitrogen Fixation in Legume-Rhizobium Symbiosis: The Root of the Success Story. Plant Microbe Symbiosis 2020, 3, 35–54. [Google Scholar]
  92. Fisher, R.F.; Long, S.R. Rhizobium –Plant Signal Exchange. Nature 1992, 357, 655–660. [Google Scholar] [CrossRef]
  93. Dénarié, J.; Debellé, F.; Rosenberg, C. Signaling and Host Range Variation in Nodulation. Annu. Rev. Microbiol. 1992, 46, 497–531. [Google Scholar] [CrossRef]
  94. Downie, J.A.; Surin, B.P. Either of Two Nod Gene Loci Can Complement the Nodulation Defect of a Nod Deletion Mutant of Rhizobium Leguminosarum Bv Viciae. Mol. Gen. Genet. 1990, 222, 81–86. [Google Scholar] [CrossRef]
  95. Wheatley, R.M.; Ford, B.L.; Li, L.; Aroney, S.T.N.; Knights, H.E.; Ledermann, R.; East, A.K.; Ramachandran, V.K.; Poole, P.S. Lifestyle Adaptations of Rhizobium from Rhizosphere to Symbiosis. Proc. Natl. Acad. Sci. USA 2020, 117, 23823–23834. [Google Scholar] [CrossRef]
  96. Lucke, M.; Correa, M.G.; Levy, A. The Role of Secretion Systems, Effectors, and Secondary Metabolites of Beneficial Rhizobacteria in Interactions With Plants and Microbes. Front. Plant Sci. 2020, 11, 1718. [Google Scholar] [CrossRef]
  97. Russo, D.M.; Williams, A.; Edwards, A.; Posadas, D.M.; Finnie, C.; Dankert, M.; Downie, J.A.; Zorreguieta, A. Proteins Exported via the PrsD-PrsE Type I Secretion System and the Acidic Exopolysaccharide Are Involved in Biofilm Formation by Rhizobium Leguminosarum. J. Bacteriol. 2006, 188, 4474–4486. [Google Scholar] [CrossRef]
  98. Deng, W.; Marshall, N.C.; Rowland, J.L.; McCoy, J.M.; Worrall, L.J.; Santos, A.S.; Strynadka, N.C.J.; Finlay, B.B. Assembly, Structure, Function and Regulation of Type III Secretion Systems. Nat. Rev. Microbiol. 2017, 15, 323–337. [Google Scholar] [CrossRef] [PubMed]
  99. Tampakaki, A. Commonalities and Differences of T3SSs in Rhizobia and Plant Pathogenic Bacteria. Front. Plant Sci. 2014, 5, 114. [Google Scholar] [CrossRef]
  100. Nelson, M.S.; Sadowsky, M.J. Secretion Systems and Signal Exchange between Nitrogen-Fixing Rhizobia and Legumes. Front. Plant Sci. 2015, 6, 491. [Google Scholar] [CrossRef] [PubMed]
  101. Miwa, H.; Okazaki, S. How Effectors Promote Beneficial Interactions. Curr. Opin. Plant Biol. 2017, 38, 148–154. [Google Scholar] [CrossRef]
  102. Lacroix, B.; Citovsky, V. A Functional Bacterium-to-Plant DNA Transfer Machinery of Rhizobium Etli. PLoS Pathog. 2016, 12, e1005502. [Google Scholar] [CrossRef]
  103. Guinel, F.C. Getting around the Legume Nodule: I. The Structure of the Peripheral Zone in Four Nodule Types. Botany 2009, 87, 1117–1138. [Google Scholar] [CrossRef]
  104. Singh, S.; Varma, A. Structure, Function, and Estimation of Leghemoglobin. Rhizobium Biol. Biotechnol. 2017, 50, 309–330. [Google Scholar]
  105. Kopat, V.V.; Chirak, E.R.; Kimeklis, A.K.; Safronova, V.I.; Belimov, A.A.; Kabilov, M.R.; Andronov, E.E.; Provorov, N.A. Evolution of FixNOQP Genes Encoding Cytochrome Oxidase with High Affinity to Oxygen in Rhizobia and Related Bacteria. Russ. J. Genet. 2017, 53, 766–774. [Google Scholar] [CrossRef]
  106. Pitcher, R.S.; Watmough, N.J. The Bacterial Cytochrome Cbb3 Oxidases. Biochim. Biophys. Acta (BBA) Bioenerg. 2004, 1655, 388–399. [Google Scholar] [CrossRef]
  107. Masson-Boivin, C.; Giraud, E.; Perret, X.; Batut, J. Establishing Nitrogen-Fixing Symbiosis with Legumes: How Many Rhizobium Recipes? Trends Microbiol. 2009, 17, 458–466. [Google Scholar] [CrossRef]
  108. Zhao, D.; Curatti, L.; Rubio, L.M. Evidence for NifU and NifS Participation in the Biosynthesis of the Iron-Molybdenum Cofactor of Nitrogenase. J. Biol. Chem. 2007, 282, 37016–37025. [Google Scholar] [CrossRef] [PubMed]
  109. Dos Santos, P.C.; Fang, Z.; Mason, S.W.; Setubal, J.C.; Dixon, R. Distribution of Nitrogen Fixation and Nitrogenase-like Sequences amongst Microbial Genomes. BMC Genom. 2012, 13, 162. [Google Scholar] [CrossRef] [PubMed]
  110. Wang, Q.; Liu, J.; Zhu, H. Genetic and Molecular Mechanisms Underlying Symbiotic Specificity in Legume-Rhizobium Interactions. Front. Plant Sci. 2018, 9, 313. [Google Scholar] [CrossRef] [PubMed]
  111. Haag, A.F.; Arnold, M.F.F.; Myka, K.K.; Kerscher, B.; Dall’Angelo, S.; Zanda, M.; Mergaert, P.; Ferguson, G.P. Molecular Insights into Bacteroid Development during Rhizobium–Legume Symbiosis. FEMS Microbiol. Rev. 2013, 37, 364–383. [Google Scholar] [CrossRef]
  112. Mergaert, P.; Uchiumi, T.; Alunni, B.; Evanno, G.; Cheron, A.; Catrice, O.; Mausset, A.E.; Barloy-Hubler, F.; Galibert, F.; Kondorosi, A.; et al. Eukaryotic control on bacterial cell cycle and differentiation in the Rhizobium-legume symbiosis. Proc. Natl. Acad. Sci. USA 2006, 103, 5230–5235. [Google Scholar] [CrossRef] [PubMed]
  113. Montiel, J.; Szűcs, A.; Boboescu, I.Z.; Gherman, V.D.; Kondorosi, E.; Kereszt, A. Terminal bacteroid differentiation is associated with variable morphological changes in legume species belonging to the inverted repeat-lacking clade. Mol. Plant-Microbe Interact. 2016, 29, 210–219. [Google Scholar] [CrossRef] [PubMed]
Figure 1. Phenotypic traits of uninoculated peas (black) and peas inoculated with Rhizobium leguminosarum (red) or Sphingomonas sediminicola (green) grown under N-rich (NPK = 18-10-20), N-limited (NPK = 4-4-4), and N-free (vermiculite) substrate. Plants were harvested at flowering (about 30 days post-inoculation). (a) Dry weight of shoots and (b) roots. (c) Shoot height and (d) root length. (e) Number of root nodules in plants grown under the three different N-fertilisation conditions. The percentage of nodulated plants is given in brackets. Statistical differences were based on Wilcoxon rank sum tests with Holm’s p-adjust. *, p < 0.05; **, p < 0.01; ***, p < 0.001; ns, not significant.
Figure 1. Phenotypic traits of uninoculated peas (black) and peas inoculated with Rhizobium leguminosarum (red) or Sphingomonas sediminicola (green) grown under N-rich (NPK = 18-10-20), N-limited (NPK = 4-4-4), and N-free (vermiculite) substrate. Plants were harvested at flowering (about 30 days post-inoculation). (a) Dry weight of shoots and (b) roots. (c) Shoot height and (d) root length. (e) Number of root nodules in plants grown under the three different N-fertilisation conditions. The percentage of nodulated plants is given in brackets. Statistical differences were based on Wilcoxon rank sum tests with Holm’s p-adjust. *, p < 0.05; **, p < 0.01; ***, p < 0.001; ns, not significant.
Microorganisms 11 00199 g001
Figure 2. Characteristics of nodules. (a) The picture shows the presence of root nodules in plants inoculated with Rhizobium leguminosarum (left) and Sphingomonas sediminicola (right) grown under N-limited conditions. Scale = 1 cm. (b) Number of copies of the universal 16SrRNA as well as Sphingomonas and Rhizobium genes in nodules of pea plants inoculated with S. sediminicola (green) and R. leguminosarum (red). (c) Measured nitrogenase activity using the ARA with the noninoculated and non-nodulating root system (black) of pea plants, as well as the nodulated root system of peas inoculated with R. leguminosarum (red) and S. sediminicola (green). Statistical differences were based on Wilcoxon rank sum tests with Holm’s p-adjust. ***, p < 0.001; ns, not significant.
Figure 2. Characteristics of nodules. (a) The picture shows the presence of root nodules in plants inoculated with Rhizobium leguminosarum (left) and Sphingomonas sediminicola (right) grown under N-limited conditions. Scale = 1 cm. (b) Number of copies of the universal 16SrRNA as well as Sphingomonas and Rhizobium genes in nodules of pea plants inoculated with S. sediminicola (green) and R. leguminosarum (red). (c) Measured nitrogenase activity using the ARA with the noninoculated and non-nodulating root system (black) of pea plants, as well as the nodulated root system of peas inoculated with R. leguminosarum (red) and S. sediminicola (green). Statistical differences were based on Wilcoxon rank sum tests with Holm’s p-adjust. ***, p < 0.001; ns, not significant.
Microorganisms 11 00199 g002
Figure 3. Structure of the Sphingomonas sediminicola genome. (a) The size of the bacterial chromosome is 2.75 Mb. (b) Functional categories of chromosomal and plasmid CDSs according to the SEED system ontology. (c) Circular map of the S. sediminicola plasmid (pSs1). The broad arrows in the outer circle indicate genes encoding nod (red), nol, noe, nfeD (orange), nif, fix (dark green), nar, nir, napA (light green), T3SS (dark pink), T4SS (light pink), replication (grey), motility, chemotaxis (light blue), relevant (brown), and other coding regions (white). In (a,c), the outer concentric circles (blue) encompass the location and direction of the coding region (CDS), the circle in the middle (black) indicates the % GC content, and the inner circle indicates the GC skew [(G − C)/(G + C)] as positive (green) or negative (purple).
Figure 3. Structure of the Sphingomonas sediminicola genome. (a) The size of the bacterial chromosome is 2.75 Mb. (b) Functional categories of chromosomal and plasmid CDSs according to the SEED system ontology. (c) Circular map of the S. sediminicola plasmid (pSs1). The broad arrows in the outer circle indicate genes encoding nod (red), nol, noe, nfeD (orange), nif, fix (dark green), nar, nir, napA (light green), T3SS (dark pink), T4SS (light pink), replication (grey), motility, chemotaxis (light blue), relevant (brown), and other coding regions (white). In (a,c), the outer concentric circles (blue) encompass the location and direction of the coding region (CDS), the circle in the middle (black) indicates the % GC content, and the inner circle indicates the GC skew [(G − C)/(G + C)] as positive (green) or negative (purple).
Microorganisms 11 00199 g003
Figure 4. Phylogenetic tree of nifH sequences. Sequence accessions from NCBI (https://www.ncbi.nlm.nih.gov/) are indicated after the name of the species. Sphingomonas sediminicola is written in red for easy location. Bootstrap values of the phylogenetic tree are indicated in blue font.
Figure 4. Phylogenetic tree of nifH sequences. Sequence accessions from NCBI (https://www.ncbi.nlm.nih.gov/) are indicated after the name of the species. Sphingomonas sediminicola is written in red for easy location. Bootstrap values of the phylogenetic tree are indicated in blue font.
Microorganisms 11 00199 g004
Figure 5. Overview and thin sections of pea nodules after inoculation with Sphingomonas sediminicola [pOPS0385] expressing a GUS reporter gene. (a) View of the nodule in which GUS enzyme activity (blue staining) was detected in the central zone, while the roots (R), apical area (AA), cortical cell layers (C), and vascular bundles (VB) remained unstained. (bd) Thin sections of a nodule counterstained with periodic acid–Schiff (PAS) show that GUS activity was only detected in the central area (b,c). Most of the blue staining was associated with a granular texture (d) compatible with the GUS signal inside bacteria (B), while no signal was seen in the cortical cell layers (C), the vascular bundle (VB), nor in some cells containing large vacuoles (*). PAS counterstaining revealed the presence of numerous starch granules (SG). Bars represent 500 μm (a) or 50 μm (bd).
Figure 5. Overview and thin sections of pea nodules after inoculation with Sphingomonas sediminicola [pOPS0385] expressing a GUS reporter gene. (a) View of the nodule in which GUS enzyme activity (blue staining) was detected in the central zone, while the roots (R), apical area (AA), cortical cell layers (C), and vascular bundles (VB) remained unstained. (bd) Thin sections of a nodule counterstained with periodic acid–Schiff (PAS) show that GUS activity was only detected in the central area (b,c). Most of the blue staining was associated with a granular texture (d) compatible with the GUS signal inside bacteria (B), while no signal was seen in the cortical cell layers (C), the vascular bundle (VB), nor in some cells containing large vacuoles (*). PAS counterstaining revealed the presence of numerous starch granules (SG). Bars represent 500 μm (a) or 50 μm (bd).
Microorganisms 11 00199 g005
Figure 6. Detailed structural and ultrastructural analysis of a nodule formed after inoculation of peas with Sphingomonas sediminicola. (a) Light microscopic photograph of a nodule showing different cell types characterising an apical area (AA), an interzone (IA), and a mature area (MA), with the latter two containing symbiosomes. (b) Detail of an infection thread (IT) invading the cell and releasing a bacterium in the apical zone. (c,d) Enlargements of the symbiosomes in the cells of the central zone of the nodule. Arrows underline obvious symbiosome structures (N) indicating cell nuclei and (SG) starch granules. (ei) Ultrathin sections of nodules taken with a transmission electron microscope. (e) Cross-section of an infection thread (IT) with free-living bacteria (B) inside an electron transparent matrix (arrows). The presence of bacteroids surrounded by a peribacteroid membrane can be seen in (f,g), together with the appearance of an endocytosis process (arrows). (h) Detail of a symbiosome consisting of bacteria (B) clearly isolated from the host cytoplasm by a surrounding membrane (arrow). (i) Details of fully enlarged and differentiated symbiosomes in the mature area of the nodules. Bars represent 100 μm (a), 10 μm (bd), 1 μm (eh), and 5 μm (i).
Figure 6. Detailed structural and ultrastructural analysis of a nodule formed after inoculation of peas with Sphingomonas sediminicola. (a) Light microscopic photograph of a nodule showing different cell types characterising an apical area (AA), an interzone (IA), and a mature area (MA), with the latter two containing symbiosomes. (b) Detail of an infection thread (IT) invading the cell and releasing a bacterium in the apical zone. (c,d) Enlargements of the symbiosomes in the cells of the central zone of the nodule. Arrows underline obvious symbiosome structures (N) indicating cell nuclei and (SG) starch granules. (ei) Ultrathin sections of nodules taken with a transmission electron microscope. (e) Cross-section of an infection thread (IT) with free-living bacteria (B) inside an electron transparent matrix (arrows). The presence of bacteroids surrounded by a peribacteroid membrane can be seen in (f,g), together with the appearance of an endocytosis process (arrows). (h) Detail of a symbiosome consisting of bacteria (B) clearly isolated from the host cytoplasm by a surrounding membrane (arrow). (i) Details of fully enlarged and differentiated symbiosomes in the mature area of the nodules. Bars represent 100 μm (a), 10 μm (bd), 1 μm (eh), and 5 μm (i).
Microorganisms 11 00199 g006
Table 1. Average nucleotide identity (ANI) and in silico DNA–DNA hybridisation (DDH) comparisons between Sphingomonas sediminicola, S. sediminicola KACC 15039, Sphingomonas azotifigens, and some rhizobia genome sequences.
Table 1. Average nucleotide identity (ANI) and in silico DNA–DNA hybridisation (DDH) comparisons between Sphingomonas sediminicola, S. sediminicola KACC 15039, Sphingomonas azotifigens, and some rhizobia genome sequences.
SpeciesGenBank Assembly AccessionANIb [%]ANIm [%]In Silico DDH (%)
Sphingomonas sediminicola KACC 15039GCA_014489515.199.9499.9396.50
Sphingomonas azotifigens NBRC 15497 [T]GCA_002091475.169.8983.6813.20
Methylobacterium sp. 4-46GCA_000019365.167.1382.8212.70
Methylobacterium symbioticum SB0023/3 [T]GCA_902141845.167.0783.4712.60
Methylobacterium nodulans ORS 2060 [T]GCA_000022085.166.9083.6312.70
Mesorhizobium opportunistum WSM2075 [T]GCA_000176035.266.9083.4912.60
Mesorhizobium amorphae CCNWGS0123GCA_001686985.166.8483.3112.60
Azorhizobium caulinodans ORS 571 [T]GCA_000010525.166.8383.8312.70
Rhizobium phaseoli R630GCA_001664205.166.8283.1812.70
Mesorhizobium japonicum MAFF 303099 [T]GCA_000009625.166.8082.6212.70
Bradyrhizobium elkanii USDA 76 [T]GCA_012871055.166.7582.5612.70
Bradyrhizobium japonicum USDA 6 [T]GCA_013752735.166.7483.2112.60
Sinorhizobium fredii NGR234GCA_000018545.166.6983.2512.70
Mesorhizobium loti DSM 2626 [T]GCA_003148495.166.6783.5112.70
Rhizobium etli CFN 42 [T]GCA_000092045.166.6683.4112.70
Sinorhizobium meliloti SM11GCA_000218265.166.6683.3512.70
Bradyrhizobium diazoefficiens USDA 110 [T]GCA_001642675.166.6283.2312.70
Mesorhizobium ciceri biovar biserrulae WSM1271GCA_000185905.166.6183.3712.70
Bradyrhizobium canariense BTA-1 [T]GCA_019402665.166.5782.9412.60
Rhizobium leguminosarum bv. viciae 3841GCA_000009265.166.5784.3312.60
Rhizobium bangladeshense BLR175 [T]GCA_017357245.166.5084.1612.60
Neorhizobium galegae bv. officinalis bv. officinalis str. HAMBI 1141GCA_000731295.166.3682.9812.60
Rhizobium tropici CIAT 899 [T]GCA_000330885.166.2284.2012.60
Cupriavidus taiwanensis LMG 19424 [T]GCA_000069785.165.4582.9212.60
Paraburkholderia sprentiae WSM5005 [T]GCA_001865575.264.8583.0512.60
Paraburkholderia phymatum STM815 [T]GCA_000020045.164.8283.0712.60
Frankia alni ACN14a [T]GCA_000058485.164.7382.7512.50
Paraburkholderia phenoliruptrix BR3459aGCA_000300095.1 64.7183.9212.50
Frankia casuarinae CcI3 [T]GCA_000013345.164.2382.4212.50
Disclaimer/Publisher’s Note: The statements, opinions and data contained in all publications are solely those of the individual author(s) and contributor(s) and not of MDPI and/or the editor(s). MDPI and/or the editor(s) disclaim responsibility for any injury to people or property resulting from any ideas, methods, instructions or products referred to in the content.

Share and Cite

MDPI and ACS Style

Mazoyon, C.; Hirel, B.; Pecourt, A.; Catterou, M.; Gutierrez, L.; Sarazin, V.; Dubois, F.; Duclercq, J. Sphingomonas sediminicola Is an Endosymbiotic Bacterium Able to Induce the Formation of Root Nodules in Pea (Pisum sativum L.) and to Enhance Plant Biomass Production. Microorganisms 2023, 11, 199. https://doi.org/10.3390/microorganisms11010199

AMA Style

Mazoyon C, Hirel B, Pecourt A, Catterou M, Gutierrez L, Sarazin V, Dubois F, Duclercq J. Sphingomonas sediminicola Is an Endosymbiotic Bacterium Able to Induce the Formation of Root Nodules in Pea (Pisum sativum L.) and to Enhance Plant Biomass Production. Microorganisms. 2023; 11(1):199. https://doi.org/10.3390/microorganisms11010199

Chicago/Turabian Style

Mazoyon, Candice, Bertrand Hirel, Audrey Pecourt, Manuella Catterou, Laurent Gutierrez, Vivien Sarazin, Fréderic Dubois, and Jérôme Duclercq. 2023. "Sphingomonas sediminicola Is an Endosymbiotic Bacterium Able to Induce the Formation of Root Nodules in Pea (Pisum sativum L.) and to Enhance Plant Biomass Production" Microorganisms 11, no. 1: 199. https://doi.org/10.3390/microorganisms11010199

APA Style

Mazoyon, C., Hirel, B., Pecourt, A., Catterou, M., Gutierrez, L., Sarazin, V., Dubois, F., & Duclercq, J. (2023). Sphingomonas sediminicola Is an Endosymbiotic Bacterium Able to Induce the Formation of Root Nodules in Pea (Pisum sativum L.) and to Enhance Plant Biomass Production. Microorganisms, 11(1), 199. https://doi.org/10.3390/microorganisms11010199

Note that from the first issue of 2016, this journal uses article numbers instead of page numbers. See further details here.

Article Metrics

Back to TopTop