Is SARS-CoV-2 Directly Responsible for Cardiac Injury? Clinical Aspects and Postmortem Histopathologic and Immunohistochemical Analysis
Abstract
:1. Introduction
2. Materials and Methods
3. Results
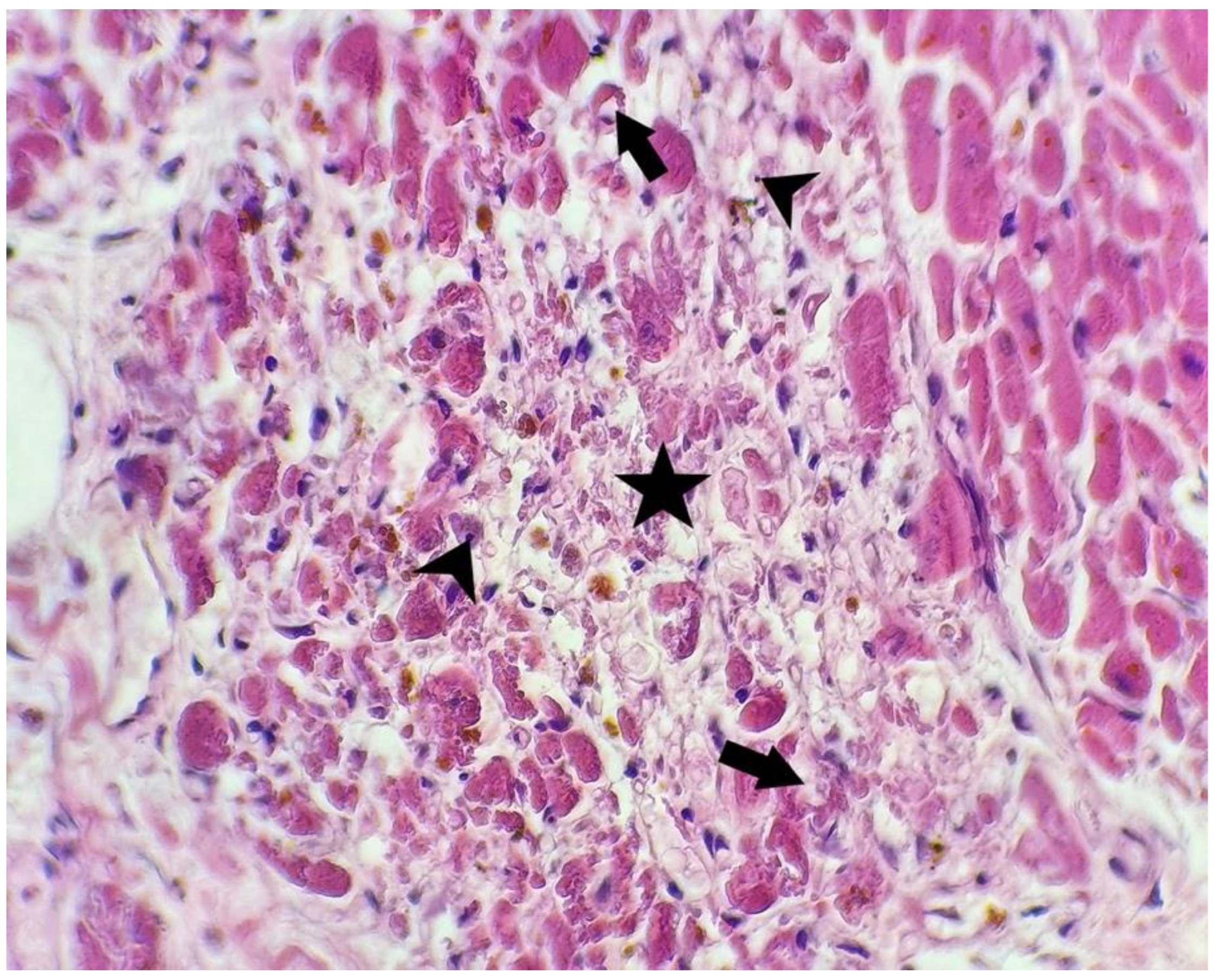
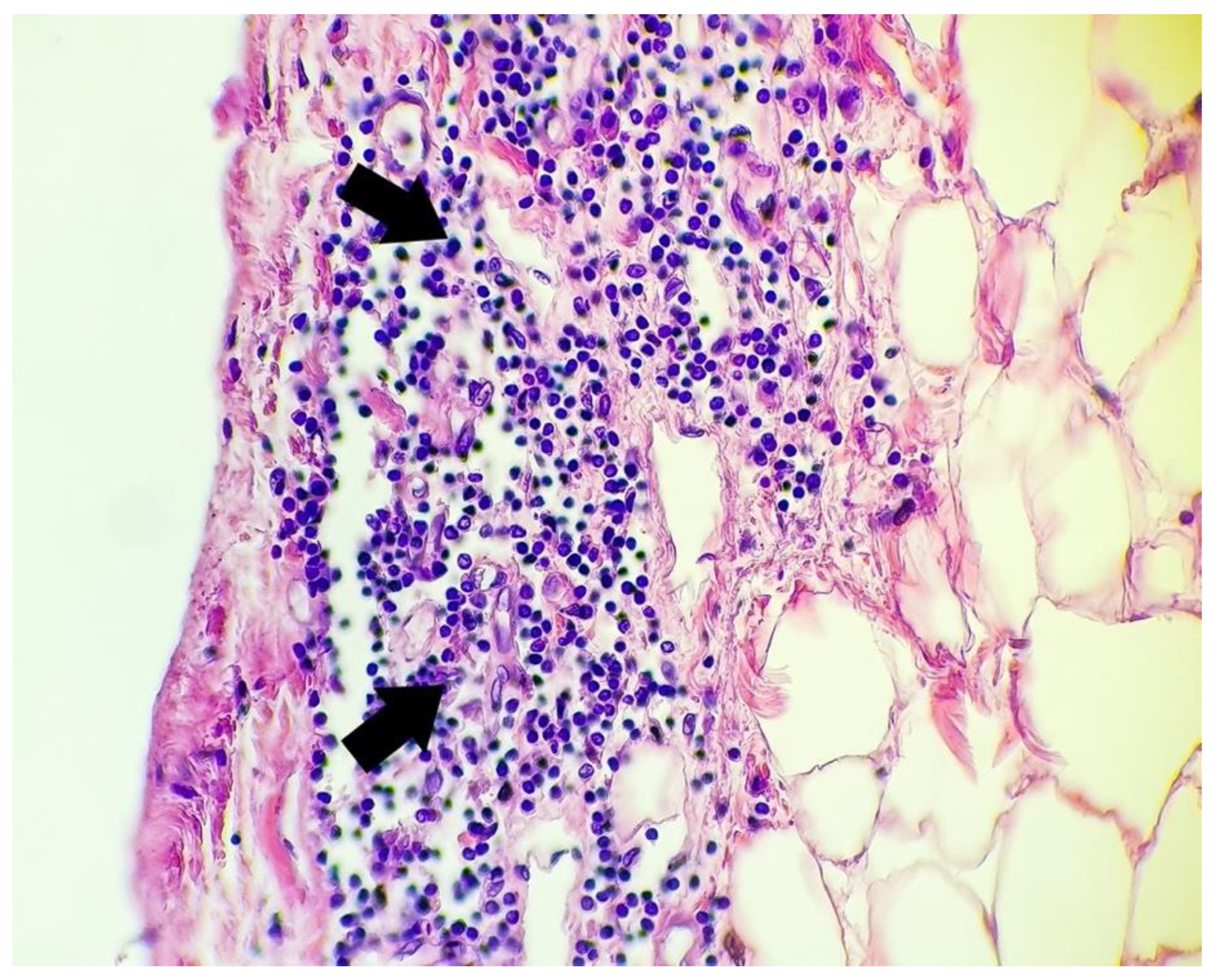
3.1. Microscopic Cardiac Examination of Our 16 Postmortem Patients Revealed the following Changes
- Chronic alterations of the heart
- -
- Fatty infiltration of the myocardium: five cases
- -
- Focal or diffuse areas of fibrosis interposed between myocardial fibers, sequestrating groups, or individual myocytes: 11 cases. In two cases, we observed the appearance of granulation tissue, defined by newly formed blood vessels along with some scattered lymphocytes
- -
- Severe atherosclerosis of the coronary arteries: two cases
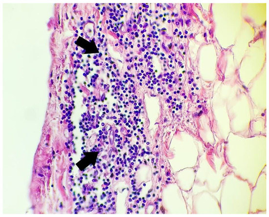
- Acute inflammatory and vascular lesions
- -
- Lymphocytic inflammatory infiltrate in the subepicardial region and/or visceral pericardium: nine cases
- -
- Marked vascular congestion with large numbers of neutrophils within the vascular lumen: five cases
- -
- Vascular thrombosis: three cases
- -
- Marked vascular congestion: three cases
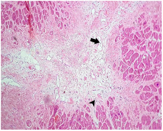
- Acute ischemic or apoptotic injury (myocytic suffering)
- -
- Vacuolar degeneration of myocytes: four cases
- -
- Areas of undulated and/or fragmented myocardial fibers, with eosinophilia and nuclear pyknosis with or without enucleation of the myocytes: nine cases
- -
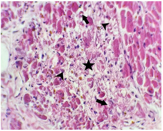
- In one case (with positivity for SARS-CoV-2 antibody), we observed a large area of myocardial necrosis with enucleated muscle fibers, eosinophilia, extravasated erythrocytes, scattered lymphocytes, neutrophils, and necrotic debris, with a halo of granulation tissue composed of newly formed capillaries, macrophages, and lymphocytic infiltrate.
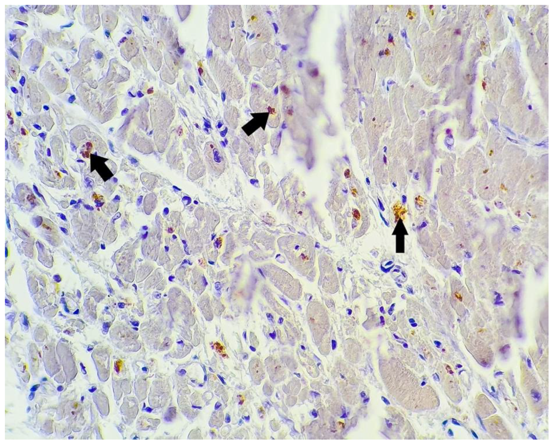
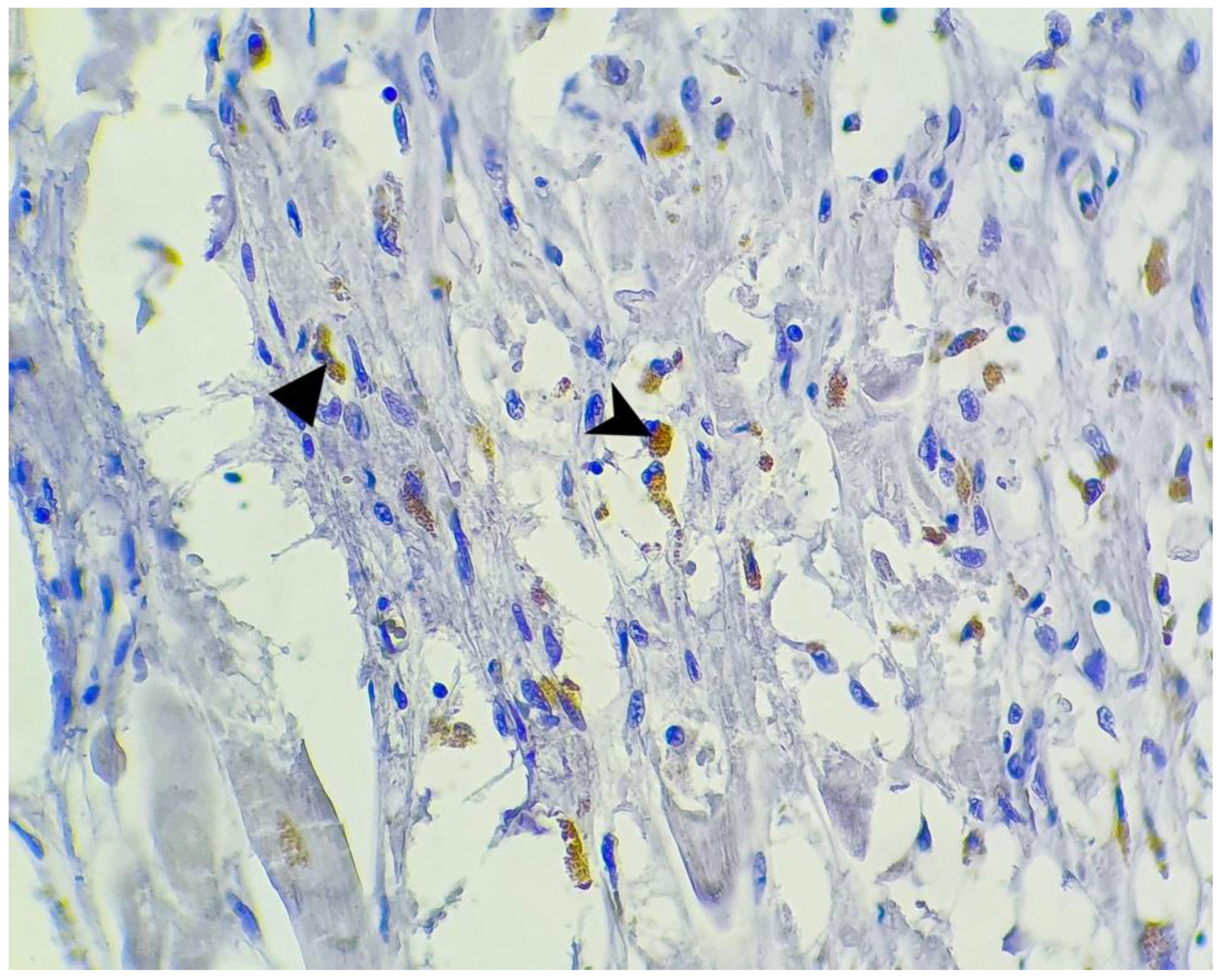
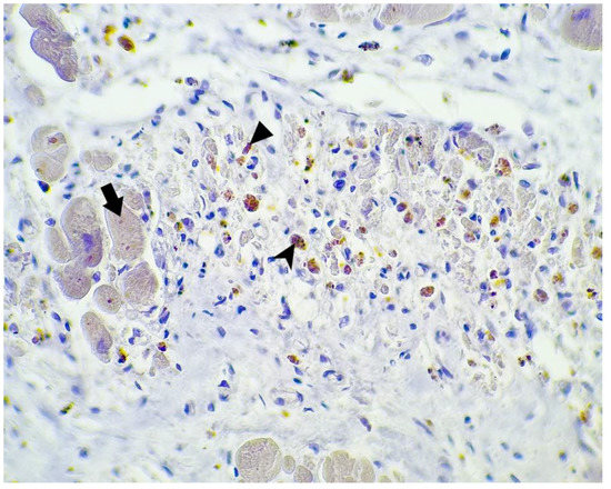
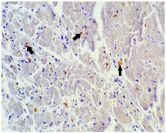
3.2. Immunohistochemical Study
4. Discussion
5. Conclusions
Author Contributions
Funding
Institutional Review Board Statement
Informed Consent Statement
Data Availability Statement
Conflicts of Interest
References
- Epidemiology Working Group for NCIP Epidemic Response, Chinese Center for Disease Control and Prevention. The epidemiological characteristics of an outbreak of 2019 novel coronavirus diseases (COVID-19) in China. Zhonghua Liu Xing Bing Xue Za Zhi 2020, 41, 145–151. [Google Scholar] [CrossRef]
- Driggin, E.; Madhavan, M.V.; Bikdeli, B.; Chuich, T.; Laracy, J.; Biondi-Zoccai, G.; Brown, T.S.; Der-Nigoghossian, C.; Zidar, D.A.; Haythe, J.; et al. Cardiovascular Considerations for Patients, Health Care Workers, and Health Systems During the COVID-19 Pandemic. J. Am. Coll. Cardiol. 2020, 75, 2352–2371. [Google Scholar] [CrossRef] [PubMed]
- Szekely, Y.; Lichter, Y.; Taieb, P.; Banai, A.; Hochstadt, A.; Merdler, I.; Oz, A.G.; Rothschild, E.; Baruch, G.; Peri, Y.; et al. Spectrum of Cardiac Manifestations in COVID-19: A Systematic Echocardiographic Study. Circulation 2020, 142, 342–353. [Google Scholar] [CrossRef] [PubMed]
- Liu, K.; Fang, Y.-Y.; Deng, Y.; Liu, W.; Wang, M.-F.; Ma, J.-P.; Xiao, W.; Wang, Y.-N.; Zhong, M.-H.; Li, C.-H.; et al. Clinical characteristics of novel coronavirus cases in tertiary hospitals in Hubei Province. Chin. Med. J. 2020, 133, 1025–1031. [Google Scholar] [CrossRef] [PubMed]
- Wang, D.; Hu, B.; Hu, C.; Zhu, F.; Liu, X.; Zhang, J.; Wang, B.; Xiang, H.; Cheng, Z.; Xiong, Y.; et al. Clinical Characteristics of 138 Hospitalized Patients With 2019 Novel Coronavirus-Infected Pneumonia in Wuhan, China. JAMA 2020, 323, 1061–1069, Erratum in JAMA 2021, 325, 1113. [Google Scholar] [CrossRef] [PubMed]
- Guzik, T.J.; Mohiddin, S.A.; DiMarco, A.; Patel, V.; Savvatis, K.; Marelli-Berg, F.M.; Madhur, M.S.; Tomaszewski, M.; Maffia, P.; D’Acquisto, F.; et al. COVID-19 and the cardiovascular system: Implications for risk assessment, diagnosis, and treatment options. Cardiovasc. Res. 2020, 116, 1666–1687. [Google Scholar] [CrossRef]
- Shi, S.; Qin, M.; Shen, B.; Cai, Y.; Liu, T.; Yang, F.; Gong, W.; Liu, X.; Liang, J.; Zhao, Q.; et al. Association of Cardiac Injury with Mortality in Hospitalized Patients With COVID-19 in Wuhan, China. JAMA Cardiol. 2020, 5, 802–810. [Google Scholar] [CrossRef] [Green Version]
- Lala, A.; Johnson, K.W.; Januzzi, J.L.; Russak, A.J.; Paranjpe, I.; Richter, F.; Zhao, S.; Somani, S.; Van Vleck, T.; Vaid, A.; et al. Prevalence and Impact of Myocardial Injury in Patients Hospitalized With COVID-19 Infection. J. Am. Coll. Cardiol. 2020, 76, 533–546. [Google Scholar] [CrossRef]
- Huang, L.; Zhao, P.; Tang, D.; Zhu, T.; Han, R.; Zhan, C.; Liu, W.; Zeng, H.; Tao, Q.; Xia, L. Cardiac Involvement in Patients Recovered From COVID-2019 Identified Using Magnetic Resonance Imaging. JACC Cardiovasc. Imaging 2020, 13, 2330–2339. [Google Scholar] [CrossRef]
- Puntmann, V.O.; Carerj, M.L.; Wieters, I.; Fahim, M.; Arendt, C.; Hoffmann, J.; Shchendrygina, A.; Escher, F.; Vasa-Nicotera, M.; Zeiher, A.M.; et al. Outcomes of Cardiovascular Magnetic Resonance Imaging in Patients Recently Recovered from Coronavirus Disease 2019 (COVID-19). JAMA Cardiol. 2020, 5, 1265–1273, Erratum in JAMA Cardiol. 2020, 5, 1308. [Google Scholar] [CrossRef]
- Rajpal, S.; Tong, M.S.; Borchers, J.; Zareba, K.M.; Obarski, T.P.; Simonetti, O.P.; Daniels, C.J. Cardiovascular Magnetic Resonance Findings in Competitive Athletes Recovering From COVID-19 Infection. JAMA Cardiol. 2021, 6, 116–118, Erratum in JAMA Cardiol. 2021, 6, 123. [Google Scholar] [CrossRef]
- Lindner, D.; Fitzek, A.; Bräuninger, H.; Aleshcheva, G.; Edler, C.; Meissner, K.; Scherschel, K.; Kirchhof, P.; Escher, F.; Schultheiss, H.-P.; et al. Association of Cardiac Infection With SARS-CoV-2 in Confirmed COVID-19 Autopsy Cases. JAMA Cardiol. 2020, 5, 1281–1285. [Google Scholar] [CrossRef] [PubMed]
- Fox, S.E.; Li, G.; Akmatbekov, A.; Harbert, J.L.; Lameira, F.S.; Brown, J.Q.; Heide, R.S.V. Unexpected Features of Cardiac Pathology in COVID-19 Infection. Circulation 2020, 142, 1123–1125. [Google Scholar] [CrossRef] [PubMed]
- Zheng, Y.Y.; Ma, Y.T.; Zhang, J.Y.; Xie, X. COVID-19 and the cardiovascular system. Nat. Rev. Cardiol. 2020, 17, 259–260. [Google Scholar] [CrossRef] [PubMed] [Green Version]
- Chen, L.; Li, X.; Chen, M.; Feng, Y.; Xiong, C. The ACE2 expression in human heart indicates new potential mechanism of heart injury among patients infected with SARS-CoV-2. Cardiovasc. Res. 2020, 116, 1097–1100, Erratum in Cardiovasc Res. 2020, 116, 1994. [Google Scholar] [CrossRef] [Green Version]
- Cooper, L.T., Jr. Myocarditis. N. Engl. J. Med. 2009, 360, 1526–1538. [Google Scholar] [CrossRef] [Green Version]
- Chinese Clinical Guidance for COVID-19 Pneumonia Diagnosis and Treatment, 7th ed.; China National Health Commission: Beijing, China, 2020.
- Bourgonje, A.R.; Abdulle, A.E.; Timens, W.; Hillebrands, J.L.; Navis, G.J.; Gordijn, S.J.; Bolling, M.C.; Dijkstra, G.; Voors, A.A.; Osterhaus, A.D.; et al. Angiotensin-converting enzyme 2 (ACE2), SARS-CoV-2 and the pathophysiology of coronavirus disease 2019 (COVID-19). J. Pathol. 2020, 251, 228–248. [Google Scholar] [CrossRef]
- Datta, P.K.; Liu, F.; Fischer, T.; Rappaport, J.; Qin, X. SARS-CoV-2 pandemic and research gaps: Understanding SARS-CoV-2 interaction with the ACE2 receptor and implications for therapy. Theranostics 2020, 10, 7448–7464. [Google Scholar] [CrossRef]
- Rahban, M.; Stanek, A.; Hooshmand, A.; Khamineh, Y.; Ahi, S.; Kazim, S.N.; Ahmad, F.; Muronetz, V.; Abousenna, M.S.; Zolghadri, S.; et al. Infection of Human Cells by SARS-CoV-2 and Molecular Overview of Gastrointestinal, Neurological, and Hepatic Problems in COVID-19 Patients. J. Clin. Med. 2021, 10, 4802. [Google Scholar] [CrossRef]
- Follmer, C. Viral Infection-Induced Gut Dysbiosis, Neuroinflammation, and α-Synuclein Aggregation: Updates and Perspectives on COVID-19 and Neurodegenerative Disorders. ACS Chem. Neurosci. 2020, 11, 4012–4016. [Google Scholar] [CrossRef]
- Bradley, C.P.; Teng, F.; Felix, K.M.; Sano, T.; Naskar, D.; Block, K.E.; Huang, H.; Knox, K.S.; Littman, D.R.; Wu, H.-J.J. Segmented Filamentous Bacteria Provoke Lung Autoimmunity by Inducing Gut-Lung Axis Th17 Cells Expressing Dual TCRs. Cell Host Microbe 2017, 22, 697–704.e4. [Google Scholar] [CrossRef]
- Deffner, F.; Scharr, M.; Klingenstein, S.; Klingenstein, M.; Milazzo, A.; Scherer, S.; Wagner, A.; Hirt, B.; Mack, A.F.; Neckel, P.H. Histological Evidence for the Enteric Nervous System and the Choroid Plexus as Alternative Routes of Neuroinvasion by SARS-CoV2. Front. Neuroanat. 2020, 14, 596439. [Google Scholar] [CrossRef] [PubMed]
- Zou, X.; Fang, M.; Li, S.; Wu, L.; Gao, B.; Gao, H.; Ran, X.; Bian, Y.; Li, R.; Yu, S.; et al. Characteristics of Liver Function in Patients With SARS-CoV-2 and Chronic HBV Coinfection. Clin. Gastroenterol. Hepatol. 2021, 19, 597–603. [Google Scholar] [CrossRef] [PubMed]
- Kawakami, R.; Sakamoto, A.; Kawai, K.; Gianatti, A.; Pellegrini, D.; Nasr, A.; Kutys, B.; Guo, L.; Cornelissen, A.; Mori, M.; et al. Pathological Evidence for SARS-CoV-2 as a Cause of Myocarditis: JACC Review Topic of the Week. J. Am. Coll. Cardiol. 2021, 77, 314–325. [Google Scholar] [CrossRef] [PubMed]
- Zhang, X.; Tan, Y.; Ling, Y.; Lu, G.; Liu, F.; Yi, Z.; Jia, X.; Wu, M.; Shi, B.; Xu, S.; et al. Viral and host factors related to the clinical outcome of COVID-19. Nature 2020, 583, 437–440. [Google Scholar] [CrossRef]







| Gender | Age (Years) | Hypertension | Heart Failure | Chronic Atrial Fibrillation | Coronary Artery Bypass Surgery | Diabetes | Chronic Kidney Disease | Obesity | Pneumonia | Hematological Disease/Neoplasm |
|---|---|---|---|---|---|---|---|---|---|---|
| M | 35 | Y | ||||||||
| M | 79 | |||||||||
| M | 72 | Y | Y | Y | Y | Y | Anemia | |||
| M | 43 | Y | ||||||||
| M | 50 | Y | Y | Y | ||||||
| M | 68 | Y | Y | Y | Y | |||||
| M | 61 | Y | ||||||||
| M | 80 | Y | Liver and bone metastases with unknown point of origin | |||||||
| M | 35 | Y | Y | |||||||
| M | 79 | Y | Y | Y | Y | Y | Y | Y | Y | |
| M | 58 | Y | Chronic lymphocytic leukemia | |||||||
| M | 74 | Y | Y | Y | Y | Multiple sclerosis | ||||
| M | 68 | Y | Y | Y | ||||||
| M | 77 | Y | Y | Y | Y | Y | Y | Rectal, bladder tumor | ||
| M | 72 | Y | Y | Y | Acute injury | Y | Lymphocytic leukemia | |||
| F | 76 | Y | Y | Y | Y | Cecum tumor |
| Cause of Death | <14 Days Since Admission | >14 Days Since Admission | Total |
|---|---|---|---|
| Acute respiratory distress secondary to pneumonia | 8 cases | 1 case | 9 cases |
| Pulmonary thromboembolism | 2 cases | 1 case | 3 cases |
| Peritonitis | 1 case | 1 case | 2 cases |
| Chronic pulmonary insufficiency secondary to diffuse fibrosis | - | 2 cases | 2 cases |
| CASE | Macroscopic Cardiac Examination |
|---|---|
| Case no. 1 | - |
| Case no. 2 | Right and left ventricular hypertrophy Myocardosclerosis Atherosclerosis of the coronary arteries |
| Case no. 3 | - |
| Case no. 4 | Flaccid cardiac consistency Right atrial and ventricular dilatation Diffuse hyperemic areas alternating with pale areas on the myocardial cut surface Punctiform microhemorrhages on cut surface |
| Case no. 5 | Right atrial and ventricular dilatation Mild left ventricular hypertrophy |
| Case no. 6 | Right atrial and ventricular dilatation Severe left ventricular hypertrophy Diffuse hyperemic areas alternating with pale areas on the myocardial cut surface Well-circumscribed hemorrhagic patch with a pale halo on the cut surface of the inferior septal wall of the myocardium |
| Case no. 7 | Flaccid cardiac consistency Right atrial and ventricular dilatation Left ventricular hypertrophy Atherosclerosis of the coronary arteries |
| Case no. 8 | Right atrial and ventricular dilatation Left ventricular hypertrophy Myocardosclerosis Atherosclerosis of the coronary arteries |
| Case no. 9 | Diffuse hyperemic areas |
| Case no. 10 | Dilated cardiomyopathy Fibrous scar at the anterior-inferior margin of the left ventricle Myocardosclerosis Atherosclerosis of the coronary arteries |
| Case no. 11 | Myocardosclerosis Atherosclerosis of the coronary arteries |
| Case no. 12 | Left ventricular hypertrophy Anterior descendent coronary artery angioplasty |
| Case no. 13 | Right atrial and ventricular dilatation Left ventricular hypertrophy |
| Case no. 14 | Dilated cardiomyopathy Flaccid cardiac consistency Atherosclerosis of the coronary arteries |
| Case no. 15 | Dilated cardiomyopathy Atherosclerosis of the coronary arteries Multiple coronary angioplasties |
| Case no. 16 | Right atrial and ventricular dilatation Left ventricular hypertrophy |
| CASE | Microscopic Cardiac Examination |
|---|---|
| Case no. 1 |
Epicardial fat with fatty infiltration of the myocardium Small patches of fibrosis in the subendocardial region with surrounding scattered inflammatory cells Vacuolar degeneration of the myocytes in the subendocardial regions Small areas of fragmented myocardial fibers, with eosinophilia and nuclear pyknosis Scattered lymphocytic inflammatory infiltrate in the subepicardial region |
| Case no. 2 | Large extended areas of fibrosis interposed between myocardial fibers, sequestrating groups, or individual myocytes. Patchy inflammatory lymphocytic infiltrate in subepicardial space and visceral pericardium. Small areas of fragmented myocardial fibers, with eosinophilia and nuclear pyknosis; in some parts enucleation of the myocytes Small areas of scattered neutrophils and extravasated erythrocytes replacing the myocardial fibers |
| Case no. 3 | Focal areas of fibrosis interposed between myocardial fibers, sequestrating groups, or individual myocytes Vacuolar degeneration of scattered myocytes Small number of neutrophils in the perivascular region of some medium size arterial vessels Scattered lymphocytic inflammatory infiltrate in the subepicardial region |
| Case no. 4 |
Small areas of fatty infiltration of the myocardium. Vascular congestion with numerous intraluminal neutrophils, some of which extravasate in the interstitium along with some lymphocytes Marked vascular congestion Limited area of prominent lymphocytic infiltration of the vascular wall of the large and medium size vessels with edema and endothelial erosions Small areas of fragmented and/or undulated myocardial fibers with eosinophilia and nuclear pyknosis; in some parts enucleation of the myocytes Patchy inflammatory lymphocytic infiltrate in the subepicardial space and visceral pericardium Small patches of fine fibrotic bands interposed between myocardial fibers. In these areas there is also fatty infiltration and capillarization along with some scattered lymphocytes (suggesting a recent acute injury in the reparative phase) |
| Case no. 5 | Microthrombi formation in the small blood vessels within the myocardium Small areas of undulation of the myocardial fibers |
| Case no. 6 | Rich diffuse inflammatory lymphocytic infiltrate in the subepicardial space visceral pericardium, with focal fibrin deposits on the surface Large extended areas of fibrosis interposed between myocardial fibers, sequestrating groups or individual myocytes, with thick, poorly cellularized, horizontally-arranged collagen fibers. In these patches of fibrosis, there is a more myxoid appearance, with an increased number of blood vessels and with a perivascular scattered lymphocytic infiltrate Small, poorly-defined areas of myocardial fibers with cytoplasmic vacuolation, nuclear pyknosis, apoptosis, and necrotic debris between these fibers Undamaged myocytes near the fibrotic patches suffered nuclear enlargement, with irregular borders and granular fine dispersed chromatin, a sign of cellular suffering Severe atherosclerosis of the coronary arteries with secondary subocclusion Large area of myocardial necrosis with enucleated muscle fibers, eosinophilia, extravasated erythrocytes, scattered lymphocytes and neutrophils and necrotic debris, with a halo of granulation tissue composed of newly-formed capillaries, macrophages, and lymphocytic infiltrate |
| Case no. 7 | Small and medium-sized vessel thrombosis Small areas of scattered lymphocytic and neutrophilic inflammatory infiltrate in the subepicardial region |
| Case no. 8 | Small patches of fibrosis, more predominantly in the perivascular region Small areas of fragmented and/or undulated myocardial fibers with eosinophilia. Scattered lymphocytic inflammatory infiltrate in the subepicardial region |
| Case no. 9 | Small patches of fibrosis in the subpericardial region Small patches of fibrosis in the subendocardial region Small areas of fatty infiltration of the myocardium Undulation of the myocardial fibers Myocardial fiber fragmentation with nuclear pyknosis and enucleation Marked vascular congestion with large numbers of neutrophils within the vascular lumen Patchy inflammatory lymphocytic infiltrate in the subepicardial space and visceral pericardium. Small number of extravasated lymphocytes in the perivascular space Subendocardial necrosis with eosinophilia, enucleation, vacuolization, and cytoplasmic intumescence of the myocytes |
| Case no. 10 | Extended diffuse fibrosis interposed between large groups of myocardial fibers, in a transmural fashion Myocardial fiber hypertrophy Marked vascular congestion Severe atherosclerosis of the coronary arteries with partial obstruction and calcification |
| Case no. 11 | Patch of myocardial injury with myocytic fragmentation, eosinophilia, nuclear pyknosis, or enucleation with scattered lymphocytic infiltrate Vacuolation and eosinophilia of myocardial fibers near the subepicardial space. |
| Case no. 12 | Vascular congestion Focal areas of fibrosis interposed between myocardial fibers, sequestrating groups, or individual myocytes |
| Case no. 13 | Marked vascular congestion with large numbers of neutrophils within the vascular lumen Small patches of fibrosis interposed between myocardial fibers, sequestrating groups, or individual myocytes, more prominent in the subendocardial region Fatty infiltration of the myocardium |
| Case no. 14 | Small vessel thrombosis Fine fibrotic bands interposed between myocardial fibers with patches of fibrosis forming in the subendocardial region |
| Case no. 15 | Rich diffuse lymphocytic infiltrate in the subepicardial region Fibrosis bands between groups of myocardial fibers Scattered small number of lymphocytes in the perivascular region |
| Case no. 16 | Fatty infiltration of the myocardium. Eosinophilia, myocardial fragmentation, and undulation |
Publisher’s Note: MDPI stays neutral with regard to jurisdictional claims in published maps and institutional affiliations. |
© 2022 by the authors. Licensee MDPI, Basel, Switzerland. This article is an open access article distributed under the terms and conditions of the Creative Commons Attribution (CC BY) license (https://creativecommons.org/licenses/by/4.0/).
Share and Cite
Oprinca, G.-C.; Oprinca-Muja, L.-A.; Mihalache, M.; Birlutiu, R.-M.; Birlutiu, V. Is SARS-CoV-2 Directly Responsible for Cardiac Injury? Clinical Aspects and Postmortem Histopathologic and Immunohistochemical Analysis. Microorganisms 2022, 10, 1258. https://doi.org/10.3390/microorganisms10071258
Oprinca G-C, Oprinca-Muja L-A, Mihalache M, Birlutiu R-M, Birlutiu V. Is SARS-CoV-2 Directly Responsible for Cardiac Injury? Clinical Aspects and Postmortem Histopathologic and Immunohistochemical Analysis. Microorganisms. 2022; 10(7):1258. https://doi.org/10.3390/microorganisms10071258
Chicago/Turabian StyleOprinca, George-Călin, Lilioara-Alexandra Oprinca-Muja, Manuela Mihalache, Rares-Mircea Birlutiu, and Victoria Birlutiu. 2022. "Is SARS-CoV-2 Directly Responsible for Cardiac Injury? Clinical Aspects and Postmortem Histopathologic and Immunohistochemical Analysis" Microorganisms 10, no. 7: 1258. https://doi.org/10.3390/microorganisms10071258
APA StyleOprinca, G.-C., Oprinca-Muja, L.-A., Mihalache, M., Birlutiu, R.-M., & Birlutiu, V. (2022). Is SARS-CoV-2 Directly Responsible for Cardiac Injury? Clinical Aspects and Postmortem Histopathologic and Immunohistochemical Analysis. Microorganisms, 10(7), 1258. https://doi.org/10.3390/microorganisms10071258

