Nocardia cyriacigeorgica in a Mallard (Anas platyrhynchos) from Arizona, USA
Abstract
1. Introduction
2. Case Report
2.1. History
2.2. Necropsy Findings
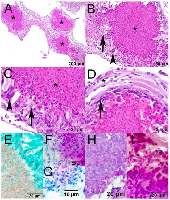
2.3. Histopathological Findings
2.4. Diagnostic Findings
3. Discussion
4. Conclusions
Supplementary Materials
Author Contributions
Funding
Institutional Review Board Statement
Informed Consent Statement
Data Availability Statement
Acknowledgments
Conflicts of Interest
References
- Churgin, S.M.; Teng, J.L.L.; Ho, J.H.P.; Graydon, R.; Martelli, P.; Lee, F.K.; Hui, S.W.; Fong, J.Y.H.; Lau, S.K.P.; Woo, P.C.Y. First case report of fatal Nocardia nova infection in yellow-bibbed lory (Lorius chlorocercus) identified by multilocus sequencing. BMC Vet. Res. 2019, 15, 4. [Google Scholar] [CrossRef] [PubMed]
- Ginn, P.E.; Mansell, J.E.K.L.; Rakich, P.M. Skin and appendages. In Jubb, Kennedy, and Palmer’s Pathology of Domestic Animals, 5th ed.; Maxie, M.G., Ed.; Elsevier: Philadelphia, PA, USA, 2007; pp. 686–687. [Google Scholar]
- Traxler, R.M.; Bell, M.E.; Lasker, B.; Headd, B.; Shieh, W.J.; McQuiston, J.R. Updated review on Nocardia species: 2006–2021. Clin. Microbiol. Rev. 2022, 35, e0002721. [Google Scholar] [CrossRef] [PubMed]
- Genus Nocardia. Available online: https://lpsn.dsmz.de/genus/nocardia (accessed on 2 April 2025).
- Duggal, S.D.; Chugh, T.D. Nocardiosis: A Neglected Disease. Med. Princ. Pract. 2020, 29, 514–523. [Google Scholar] [CrossRef] [PubMed]
- Beaman, B.L.; Sugar, A.M. Nocardia in naturally acquired and experimental infections in animals. J. Hyg. 1983, 91, 393–419. [Google Scholar] [CrossRef]
- Maekawa, S.; Yoshida, T.; Wang, P.C.; Chen, S.C. Current knowledge of nocardiosis in teleost fish. J. Fish. Dis. 2018, 41, 413–419. [Google Scholar] [CrossRef]
- Darzi, M.M.; Mir, M.S.; Nashiruddullah, N.; Kamil, S.A. Nocardiosis in domestic pigeons (Columba livia). Vet. Rec. 2006, 158, 834–836. [Google Scholar] [CrossRef]
- Palomba, E.; Liparoti, A.; Tonizzo, A.; Castelli, V.; Alagna, L.; Bozzi, G.; Ungaro, R.; Muscatello, A.; Gori, A.; Bandera, A. Nocardia infections in the immunocompromised host: A case series and literature review. Microorganisms 2022, 10, 1120. [Google Scholar] [CrossRef]
- Farris, A.B.; Nielsen, G.P. Genitourinary infectious disease pathology. In Diagnostic Pathology of Infectious Disease, 2nd ed.; Kradin, R.L., Ed.; Elsevier: Boston, MA, USA, 2018; pp. 429–467. [Google Scholar]
- Conville, P.S.; Brown-Elliott, B.A.; Smith, T.; Zelazny, A.M. The complexities of Nocardia taxonomy and identification. J. Clin. Microbiol. 2018, 56, e01419-17. [Google Scholar] [CrossRef]
- Pollock, C. Body Condition Scoring in Birds. Available online: https://lafeber.com/vet/body-condition-scoring/ (accessed on 30 May 2025).
- Knowles, S.; Leis, E.M.; Richard, J.C.; Cole, R.; Agbalog, R.E.; Putnam, J.G.; Goldberg, T.L.; Waller, D.L. A novel gonadotropic microsporidian parasite (Microsporidium clinchi n. sp.) infecting a declining population of pheasantshell mussels (Actinonaias pectorosa) (Unioinidae) from the Clinch River, USA. Parasitologia 2022, 2, 1–12. [Google Scholar] [CrossRef]
- Shearn-Bochsler, V.; Schulz, J.L.; Dobbs, R.C.; Lorch, J.M.; Waddle, J.H.; Grear, D.A. Novel dermatophilosis and concurrent amyloidosis in sanderlings (Calidris alba) from Louisiana, USA. J. Wildl. Dis. 2018, 54, 189–192. [Google Scholar] [CrossRef]
- Spackman, E.; Senne, D.A.; Myers, T.J.; Bulaga, L.L.; Garber, L.P.; Perdue, M.L.; Lohman, K.; Daum, L.T.; Suarez, D.L. Development of a real-time reverse transcriptase PCR assay for type A influenza virus and the avian H5 and H7 hemagglutinin subtypes. J. Clin. Microbiol. 2002, 40, 3256–3260. [Google Scholar] [CrossRef] [PubMed]
- Breadner, S. Chronic Nocardia infection in a hyacinth macaw. In Proceedings of the Annual Conference, Association of Avian Veterinarians, Reno, Nevada, 28–30 September 1994; pp. 283–286. [Google Scholar]
- Long, P.; Choi, G.; Silberman, M. Nocardiosis in two Pesquet’s parrots (Psittrichas fulgidus). Avian Dis. 1983, 27, 855–859. [Google Scholar] [CrossRef] [PubMed]
- Ehrsam, H.; Hauser, B. Nocardiose bei blaufliigel-konigssittichen (Alisterus amboinensis hypophonius). Schweiz. Arch. Tierheilk. 1979, 121, 195–200. [Google Scholar]
- Nemeth, N.M.; Gonzalez-Astudillo, V.; Oesterle, P.T.; Howerth, E.W. A 5-Year retrospective review of avian diseases diagnosed at the Department of Pathology, University of Georgia. J. Comp. Pathol. 2016, 155, 105–120. [Google Scholar] [CrossRef]
- Baumgartner, R.; Hoop, R.K.; Widmer, R. Atypical nocardiosis in a red-lored Amazon parrot (Amazona autumnalis autumnalis). J. Assoc. Avian Vet. 1994, 8, 125–127. [Google Scholar] [CrossRef]
- Park, F.J.; Jaensch, S. Unusual multifocal granulomatous disease caused by actinomycetous bacteria in a nestling Derbyan parrot (Psittacula derbiana). Aust. Vet. J. 2009, 87, 63–65. [Google Scholar] [CrossRef]
- Raidal, S.R. Bilateral necrotizing pectenitis causing blindness in a rainbow lorikeet (Trichoglossus haematodus). Avian Pathol. 1997, 26, 871–876. [Google Scholar] [CrossRef]
- Pal, M. Spontaneous nocardial infection in a grey parrot (Psittacus erithaagus). Indian. Vet. Med. J. 1988, 12, 252–254. [Google Scholar]
- Parnell, M.J.; Hubbard, G.B.; Fletcher, K.C.; Schmidt, R.E. Nocardia asteroides infection in a purple throated sunbird (Nectarinia sperapa). Vet. Pathol. 1983, 20, 497–500. [Google Scholar] [CrossRef]
- Bergmann, A.; Schueppel, K.E.; Kronberger, H. Nocardiose bei einem turkisvogel (Cyanerpes cyaneus). In Proceedings of the Verhandlungsbericht Des XV. Internationalen Symposiums über die Erkrankungen der Zootiere, Kolmarden, Sweden, 27 June–1 July 1973; pp. 293–296. [Google Scholar]
- Iyer, P.K.; Rao, A.T.; Acharjyo, L.N.; Sahu, S.; Mishra, S.K. Systemic nocardiosis in a hill mynah (Gracula religiosa). A pathological study. Mycopathol. Mycol. Appl. 1972, 48, 223–229. [Google Scholar] [CrossRef]
- Reynolds, T.L.; Barnes, H.J.; Wolfe, B.; Lu, L.; Camp, D.M.; Malarkey, D.E. Bilateral nocardial endophthalmitis in a prothonotary warbler (Protonotaria citrea). Vet. Pathol. 2009, 46, 120–123. [Google Scholar] [CrossRef] [PubMed]
- Gazdzinski, P. Pulmonary Nocardiosis in turkey poults. Zootecnica International, 3 February 2020; pp. 50–53. [Google Scholar]
- Pier, A.C.; Fichtner, R.E. Distribution of serotypes of Nocardia asteroides from animal, human, and environmental sources. J. Clin. Microbiol. 1981, 13, 548–553. [Google Scholar] [CrossRef] [PubMed]
- Cooper, J.E. Post-mortem findings in East African birds of prey. J. Wildl. Dis. 1973, 9, 368–375. [Google Scholar] [CrossRef] [PubMed]
- Iyer, P.K.; Rao, P.P. Suspected pulmonary nocardiosis in a duck. Sabouraudia 1971, 9, 79–80. [Google Scholar] [CrossRef]
- Bacciarini, L.N.; Posthaus, H.; Pagan, O.; Miserez, R. Nocardia nova causing pulmonary nocardiosis of black crakes (Limnocorax flavirostra). Vet. Pathol. 1999, 36, 345–347. [Google Scholar] [CrossRef]
- Sileo, L.; Sievert, P.R.; Samuel, M.D. Causes of mortality of albatross chicks at Midway Atoll. J. Wildl. Dis. 1990, 26, 329–338. [Google Scholar] [CrossRef]
- Pope, C.R. Pathology of lymphoid organs with emphasis on immunosuppression. Vet. Immunol. Immunopathol. 1991, 30, 31–44. [Google Scholar] [CrossRef]
- Xu, S.; Wei, M.; Li, G.; Li, Z.; Che, Y.; Han, L.; Jia, W.; Li, F.; Li, D.; Li, Z. Comprehensive analysis of the Nocardia cyriacigeorgica complex reveals five species-level clades with different evolutionary and pathogenicity characteristics. mSystems 2022, 7, e0140621. [Google Scholar] [CrossRef]
- Lv, H.; Chen, M.; Ji, Y.; Pan, L.; Hong, X.; Ge, Y. A rare case of a subcutaneous abscess caused by Nocardia cyriacigeorgica in an immunocompetent patient. Infect. Drug Resist. 2023, 16, 263–268. [Google Scholar] [CrossRef]
- Knowles, S.; Berlowski-Zier, B.M.; Justice-Allen, A.; Bodenstein, B.L.; Lorch, J.M. Nocardia cyriacigeorgica in a Mallard Duck: U.S. Geological Survey Data Release. Available online: https://doi.org/10.5066/P1CG84WG (accessed on 22 April 2025).

Disclaimer/Publisher’s Note: The statements, opinions and data contained in all publications are solely those of the individual author(s) and contributor(s) and not of MDPI and/or the editor(s). MDPI and/or the editor(s) disclaim responsibility for any injury to people or property resulting from any ideas, methods, instructions or products referred to in the content. |
© 2025 by the authors. Licensee MDPI, Basel, Switzerland. This article is an open access article distributed under the terms and conditions of the Creative Commons Attribution (CC BY) license (https://creativecommons.org/licenses/by/4.0/).
Share and Cite
Knowles, S.; Berlowski-Zier, B.M.; Justice-Allen, A.; Bodenstein, B.L.; Lorch, J.M. Nocardia cyriacigeorgica in a Mallard (Anas platyrhynchos) from Arizona, USA. Pathogens 2025, 14, 698. https://doi.org/10.3390/pathogens14070698
Knowles S, Berlowski-Zier BM, Justice-Allen A, Bodenstein BL, Lorch JM. Nocardia cyriacigeorgica in a Mallard (Anas platyrhynchos) from Arizona, USA. Pathogens. 2025; 14(7):698. https://doi.org/10.3390/pathogens14070698
Chicago/Turabian StyleKnowles, Susan, Brenda M. Berlowski-Zier, Anne Justice-Allen, Barbara L. Bodenstein, and Jeffrey M. Lorch. 2025. "Nocardia cyriacigeorgica in a Mallard (Anas platyrhynchos) from Arizona, USA" Pathogens 14, no. 7: 698. https://doi.org/10.3390/pathogens14070698
APA StyleKnowles, S., Berlowski-Zier, B. M., Justice-Allen, A., Bodenstein, B. L., & Lorch, J. M. (2025). Nocardia cyriacigeorgica in a Mallard (Anas platyrhynchos) from Arizona, USA. Pathogens, 14(7), 698. https://doi.org/10.3390/pathogens14070698

