Ex Vivo Propagation of Pinctada Birnavirus Using Mantle Tissue Fragment Culture: Application for Measuring Replication at Different Temperatures, TCID50 Assay, and UV Sensitivity
Abstract
1. Introduction
2. Materials and Methods
2.1. Pearl Oysters
2.2. Reverse Transcription Quantitative PCR (RT-qPCR)
2.3. Infection Source
2.4. Mantle Regions Suitable for PiBV Ex Vivo Propagation
2.5. Reproducibility of PiBV Propagation Using the Marginal Zone of the Mantle
2.6. Effects of Rearing Water Temperature and Incubation Temperature on PiBV Proliferation
2.7. Histological Analysis of Cultured Uninfected Mantle Tissue
2.8. RT-qPCR-Based TCID50 Measurement
2.9. Inactivation by Ultraviolet (UV) Light
2.10. Statistical Analysis
3. Results
3.1. Mantle Regions Suitable for PiBV Ex Vivo Propagation
3.2. Reproducibility of PiBV Propagation Using the Marginal Zone of the Mantle
3.3. Effect of Cultivation Temperature on PiBV Propagation
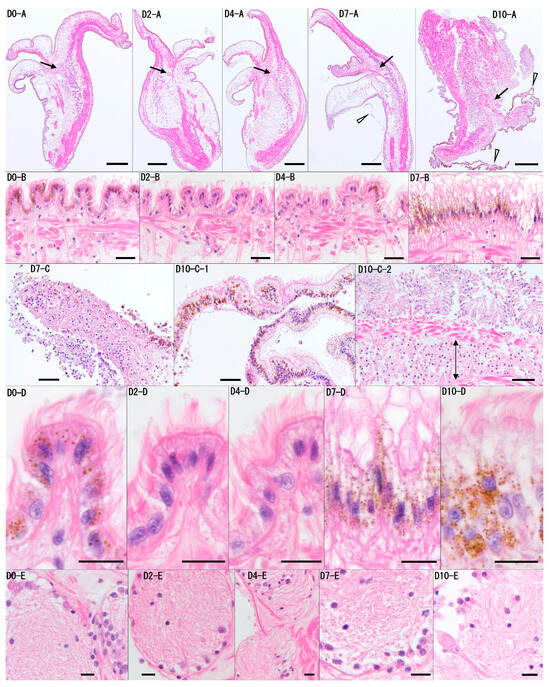
3.4. Histological Analysis of Cultured Uninfected Mantle Tissue
3.5. RT-qPCR-Based TCID50 Measurement
3.6. Inactivation by UV Light
4. Discussion
Supplementary Materials
Author Contributions
Funding
Institutional Review Board Statement
Informed Consent Statement
Data Availability Statement
Acknowledgments
Conflicts of Interest
References
- Matsuyama, T.; Miwa, S.; Mekata, T.; Matsuura, Y.; Takano, T.; Nakayasu, C. Mass Mortality of Pearl Oyster (Pinctada fucata (Gould)) in Japan in 2019 and 2020 Caused by an Unidentified Infectious Agent. PeerJ 2021, 9, e12180. [Google Scholar] [CrossRef] [PubMed]
- Matsuyama, T.; Miwa, S.; Mekata, T.; Kiryu, I.; Kuriyama, I.; Atsumi, T.; Itano, T.; Kawakami, H. A Novel Birnavirus Identified as the Causative Agent of Summer Atrophy of Pearl Oyster (Pinctada fucata (Gould)). PeerJ 2024, 12, e17321. [Google Scholar] [CrossRef] [PubMed]
- Sano, M.; Kuriyama, I.; Komaru, A. Characteristics of Mantle Gene Expression and Bacterial Flora in Akoya Pearl Oysters Pinctada fucata with Mantle Atrophy. Aquac. Sci. 2021, 69, 13–20. [Google Scholar]
- Sano, N.; Matsuyama, T.; Inoue, N. Electron Probe Microanalysis and Gene Expression Analysis of Melanization Caused by Summer Atrophy Virus in the Akoya Pearl Oyster (Pinctada fucata). Aquaculture 2024, 579, 740218. [Google Scholar] [CrossRef]
- Enders, J.F.; Weller, T.H.; Robbins, F.C. Cultivation of the Lansing Strain of Poliomyelitis Virus in Cultures of Various Human Embryonic Tissues. Science 1949, 109, 85–87. [Google Scholar] [CrossRef]
- Yoshino, T.P.; Bickham, U.; Bayne, C.J. Molluscan Cells in Culture: Primary Cell Cultures and Cell Lines. Can. J. Zool. 2013, 91, 391–404. [Google Scholar] [CrossRef]
- Bayne, C.J. Invertebrate Cell Culture Considerations: Insects, Ticks, Shellfish, and Worms. Methods Cell Biol. 1998, 57, 187–201. [Google Scholar]
- Rinkevich, B. Cell Cultures from Marine Invertebrates: New Insights for Capturing Endless Stemness. Mar. Biotechnol. 2011, 13, 345–354. [Google Scholar] [CrossRef]
- Hansen, E.L. Initiating a Cell Line from Embryos of the Snail Biomphalaria glabrata. Tca Man. 1979, 5, 1009–1014. [Google Scholar] [CrossRef]
- Nakatsugawa, T.; Nagai, T.; Hiya, K.; Nishizawa, T.; Muroga, K. A Virus Isolated from Juvenile Japanese Black Abalone Nordotis discus discus Affected with Amyotrophia. Dis. Aquat. Org. 1999, 36, 159–161. [Google Scholar] [CrossRef][Green Version]
- Morga, B.; Faury, N.; Guesdon, S.; Chollet, B.; Renault, T. Haemocytes from Crassostrea gigas and OsHV-1: A Promising In Vitro System to Study Host/Virus Interactions. J. Invertebr. Pathol. 2017, 150, 45–53. [Google Scholar] [CrossRef] [PubMed]
- Ji, A.; Li, X.; Fang, S.; Qin, Z.; Bai, C.; Wang, C.; Zhang, Z. Primary Culture of Zhikong Scallop Chlamys farreri Hemocytes as an In Vitro Model for Studying Host-Pathogen Interactions. Dis. Aquat. Org. 2017, 125, 217–226. [Google Scholar] [CrossRef] [PubMed]
- Matsuyama, T.; Takano, T.; Nishiki, I.; Fujiwara, A.; Kiryu, I.; Inada, M.; Sakai, T.; Terashima, S.; Matsuura, Y.; Isowa, K.; et al. A Novel Asfarvirus-like Virus Identified as a Potential Cause of Mass Mortality of Abalone. Sci. Rep. 2020, 10, 4620. [Google Scholar] [CrossRef] [PubMed]
- Potts, R.W.A.; Gutierrez, A.P.; Cortés-Araya, Y.; Houston, R.D.; Bean, T.P. Developments in Marine Invertebrate Primary Culture Reveal Novel Cell Morphologies in the Model Bivalve Crassostrea gigas. PeerJ 2020, 8, e9180. [Google Scholar] [CrossRef] [PubMed]
- Potts, R.W.A.; Regan, T.; Ross, S.; Bateman, K.; Hooper, C.; Paley, R.; Houston, R.D.; Bean, T.P. Laboratory Replication of Ostreid Herpes Virus (OsHV-1) Using Pacific Oyster Tissue Explants. Viruses 2024, 16, 1343. [Google Scholar] [CrossRef]
- Chu, J.T.S.; Lamers, M.M. Organoids in Virology. npj Viruses 2024, 2, 5. [Google Scholar] [CrossRef]
- Awaji, M.; Suzuki, T. Monolayer Formation and DNA Synthesis of the Outer Epithelial Cells from Pearl Oyster Mantle in Coculture with Amebocytes. In Vitro Cell. Dev. Biol. Anim. 1998, 34, 486–491. [Google Scholar] [CrossRef]
- Yoon, J.; Gu, W.-B.; Konuma, M.; Kobayashi, M.; Yokoi, H.; Osada, M.; Nagasawa, K. Gene Delivery Available in Molluscan Cells by Strong Promoter Discovered from Bivalve-Infectious Virus. Proc. Natl. Acad. Sci. USA 2022, 119, e2209910119. [Google Scholar] [CrossRef]
- Bell, T.A.; Lightner, D.V. A Handbook of Normal Penaeid Shrimp Histology; World Aquaculture Society: San Antonio, TX, USA, 1988. [Google Scholar]
- Spearman, C. The Method of Right and Wrong Cases (Constant Stimuli) without Gauss’s Formulae. Br. J. Psychol. 1908, 2, 227. [Google Scholar] [CrossRef]
- Karber, G. Beitrag zur kollektiven Behandlung pharmakologischer Reihenversuche. Arch. Exp. Pathol. Pharmakol. 1931, 162, 956. [Google Scholar] [CrossRef]
- R Core Team. R: A Language and Environment for Statistical Computing; R Foundation for Statistical Computing: Vienna, Austria, 2024. [Google Scholar]
- Hothorn, T.; Hornik, K.; Wiel, M.A.V.D.; Zeileis, A. Implementing a Class of Permutation Tests: The Coin Package. J. Stat. Soft. 2008, 28, 1–23. [Google Scholar] [CrossRef]
- Schneider, G.; Chicken, E.; Becvarik, R. NSM3: Functions and Datasets to Accompany Hollander, Wolfe, and Chicken—Nonparametric Statistical Methods, Third Edition. R Package Version 1.18. 2023. Available online: https://CRAN.R-project.org/package=NSM3 (accessed on 13 September 2024).
- Chou, H.-Y.; Li, H.-J.; Lo, C.-F. Pathogenicity of a Birnavirus to Hard Clam (Meretrix lusoria) and Effect of Temperature Stress on Its Virulence. Fish Pathol. 1994, 29, 171–175. [Google Scholar] [CrossRef]
- Kitamura, S.-I.; Jung, S.-J.; Suzuki, S. Seasonal Change of Infective State of Marine Birnavirus in Japanese Pearl Oyster Pinctada fucata. Arch. Virol. 2000, 145, 2003–2014. [Google Scholar] [CrossRef] [PubMed]
- Lu, T.; Yang, Y.; Chen, C.; Wang, W.; Liao, C. Quantifying the Impact of Temperature Variation on Birnavirus Transmission Dynamics in Hard Clams Meretrix lusoria. J. Fish Dis. 2020, 43, 57–68. [Google Scholar] [CrossRef]
- De Kantzow, M.; Hick, P.; Becker, J.; Whittington, R. Effect of Water Temperature on Mortality of Pacific Oysters Crassostrea gigas Associated with Microvariant Ostreid Herpesvirus 1 (OsHV-1 µVar). Aquacult. Environ. Interact. 2016, 8, 419–428. [Google Scholar] [CrossRef]
- Martenot, C.; Denechère, L.; Hubert, P.; Metayer, L.; Oden, E.; Trancart, S.; Travaillé, E.; Houssin, M. Virulence of Ostreid Herpesvirus 1 μVar in Sea Water at 16 °C and 25 °C. Aquaculture 2015, 439, 1–6. [Google Scholar] [CrossRef]
- Delisle, L.; Petton, B.; Burguin, J.F.; Morga, B.; Corporeau, C.; Pernet, F. Temperature Modulate Disease Susceptibility of the Pacific Oyster Crassostrea gigas and Virulence of the Ostreid Herpesvirus Type 1. Fish Shellfish Immunol. 2018, 80, 71–79. [Google Scholar] [CrossRef]
- Suja, C.P.; Srinivasa Raghavan, V.; Jayasankar, V.; Divipala, I.; Bareen Mohamed, M.; Koncies Mary, B.; Vijayan, K.K. Evaluation of Different Media for Cell Proliferation in Mantle Tissue Culture of the Green Mussel, Perna viridis (Linnaeus, 1758). Indian J. Fish. 2017, 64, 224–228. [Google Scholar] [CrossRef][Green Version]
- Tsujii, T. Studies on the Mechanism of Shell-and Pearl-Formation in Mollusca (With 21 Text-Figures and XIII Plates). J. Fac. Fish. Prefect. Univ. Mie 1962, 5, 1. [Google Scholar]
- Awaji, M.; Machii, A. Fundamental Studies on In Vivo and In Vitro Pearl Formation—Contribution of Outer Epithelial Cells of Pearl Oyster Mantle and Pearl Sacs. Aqua-BioSci. Monogr. 2011, 4, 1–39. [Google Scholar] [CrossRef]
- Marin, F. The Formation and Mineralization of Mollusk Shell. Front Biosci. 2012, S4, 1099–1125. [Google Scholar] [CrossRef] [PubMed]
- Fang, Z.; Feng, Q.; Chi, Y.; Xie, L.; Zhang, R. Investigation of Cell Proliferation and Differentiation in the Mantle of Pinctada fucata (Bivalve, Mollusca). Mar. Biol. 2008, 153, 745–754. [Google Scholar] [CrossRef]
- Joubert, C.; Piquemal, D.; Marie, B.; Manchon, L.; Pierrat, F.; Zanella-Cléon, I.; Cochennec-Laureau, N.; Gueguen, Y.; Montagnani, C. Transcriptome and Proteome Analysis of Pinctada margaritifera Calcifying Mantle and Shell: Focus on Biomineralization. BMC Genom. 2010, 11, 613. [Google Scholar] [CrossRef] [PubMed]
- Sato, Y.; Inoue, N.; Ishikawa, T.; Ishibashi, R.; Obata, M.; Aoki, H.; Atsumi, T.; Komaru, A. Pearl Microstructure and Expression of Shell Matrix Protein Genes MSI31 and MSI60 in the Pearl Sac Epithelium of Pinctada fucata by In Situ Hybridization. PLoS ONE 2013, 8, e52372. [Google Scholar] [CrossRef] [PubMed]
- Funabara, D.; Ohmori, F.; Kinoshita, S.; Koyama, H.; Mizutani, S.; Ota, A.; Osakabe, Y.; Nagai, K.; Maeyama, K.; Okamoto, K.; et al. Novel Genes Participating in the Formation of Prismatic and Nacreous Layers in the Pearl Oyster as Revealed by Their Tissue Distribution and RNA Interference Knockdown. PLoS ONE 2014, 9, e84706. [Google Scholar] [CrossRef]
- Zhang, Y.; Jiao, Y.; Li, Y.; Tian, Q.; Du, X.; Deng, Y. Comprehensive Analysis of microRNAs in the Mantle Central and Mantle Edge Provide Insights into Shell Formation in Pearl Oyster Pinctada fucata martensii. Comp. Biochem. Physiol. B Biochem. Mol. Biol. 2021, 252, 110508. [Google Scholar] [CrossRef]
- Hashimoto, N.; Matsuyama, T.; Iwahashi, Y.; Nagai, K. Effects of Water Temperature and Infection History on Severity of Summer Atrophy in Juvenile Akoya Pearl Oyster Pinctada fucata martensii. Fish. Sci. 2024. [Google Scholar] [CrossRef]
- Tomaru, Y.; Kumatabara, Y.; Kawabata, Z.; Nakano, S. Effect of Water Temperature and Chlorophyll Abundance on Shell Growth of the Japanese Pearl Oyster, Pinctada fucata martensii, in Suspended Culture at Different Depths and Sites: Shell Growth of Pearl Oyster. Aquacult. Res. 2002, 33, 109–116. [Google Scholar] [CrossRef]
- Numaguchi, K. Effect of Water Temperature on the Filtration Rate of Japanese Pearl Oyster, Pinctada fucata martensii. Aquac. Sci. 1994, 42, 1–6. [Google Scholar]
- Valero, Y.; Mokrani, D.; Chaves-Pozo, E.; Arizcun, M.; Oumouna, M.; Meseguer, J.; Esteban, M.Á.; Cuesta, A. Vaccination with UV-Inactivated Nodavirus Partly Protects European Sea Bass against Infection, While Inducing Few Changes in Immunity. Dev. Comp. Immunol. 2018, 86, 171–179. [Google Scholar] [CrossRef]
- Kitamura, S.; Kamata, S.; Nakano, S.; Suzuki, S. Solar UV Radiation Does Not Inactivate Marine Birnavirus in Coastal Seawater. Dis. Aquat. Org. 2004, 58, 251–254. [Google Scholar] [CrossRef] [PubMed][Green Version]
- Øye, A.; Rimstad, E. Inactivation of Infectious Salmon Anaemia Virus, Viral Haemorrhagic Septicaemia Virus and Infectious Pancreatic Necrosis Virus in Water Using UVC Irradiation. Dis. Aquat. Org. 2001, 48, 1–5. [Google Scholar] [CrossRef] [PubMed]
- Parvizi, F.; Monsefi, M.; Noori, A.; Ranjbar, M.S. Mantle Histology and Histochemistry of Three Pearl Oysters: Pinctada persica, Pinctada radiata and Pteria penguin. Molluscan Res. 2018, 38, 11–20. [Google Scholar] [CrossRef]







Disclaimer/Publisher’s Note: The statements, opinions and data contained in all publications are solely those of the individual author(s) and contributor(s) and not of MDPI and/or the editor(s). MDPI and/or the editor(s) disclaim responsibility for any injury to people or property resulting from any ideas, methods, instructions or products referred to in the content. |
© 2025 by the authors. Licensee MDPI, Basel, Switzerland. This article is an open access article distributed under the terms and conditions of the Creative Commons Attribution (CC BY) license (https://creativecommons.org/licenses/by/4.0/).
Share and Cite
Matsuyama, T.; Atsumi, T.; Kiryu, I.; Umeda, K.; Morimoto, N. Ex Vivo Propagation of Pinctada Birnavirus Using Mantle Tissue Fragment Culture: Application for Measuring Replication at Different Temperatures, TCID50 Assay, and UV Sensitivity. Pathogens 2025, 14, 76. https://doi.org/10.3390/pathogens14010076
Matsuyama T, Atsumi T, Kiryu I, Umeda K, Morimoto N. Ex Vivo Propagation of Pinctada Birnavirus Using Mantle Tissue Fragment Culture: Application for Measuring Replication at Different Temperatures, TCID50 Assay, and UV Sensitivity. Pathogens. 2025; 14(1):76. https://doi.org/10.3390/pathogens14010076
Chicago/Turabian StyleMatsuyama, Tomomasa, Takashi Atsumi, Ikunari Kiryu, Kousuke Umeda, and Natsuki Morimoto. 2025. "Ex Vivo Propagation of Pinctada Birnavirus Using Mantle Tissue Fragment Culture: Application for Measuring Replication at Different Temperatures, TCID50 Assay, and UV Sensitivity" Pathogens 14, no. 1: 76. https://doi.org/10.3390/pathogens14010076
APA StyleMatsuyama, T., Atsumi, T., Kiryu, I., Umeda, K., & Morimoto, N. (2025). Ex Vivo Propagation of Pinctada Birnavirus Using Mantle Tissue Fragment Culture: Application for Measuring Replication at Different Temperatures, TCID50 Assay, and UV Sensitivity. Pathogens, 14(1), 76. https://doi.org/10.3390/pathogens14010076

