Cutaneous and Pulmonary Tuberculosis—Diagnostic and Therapeutic Difficulties in a Patient with Autoimmunity
Abstract
1. Introduction
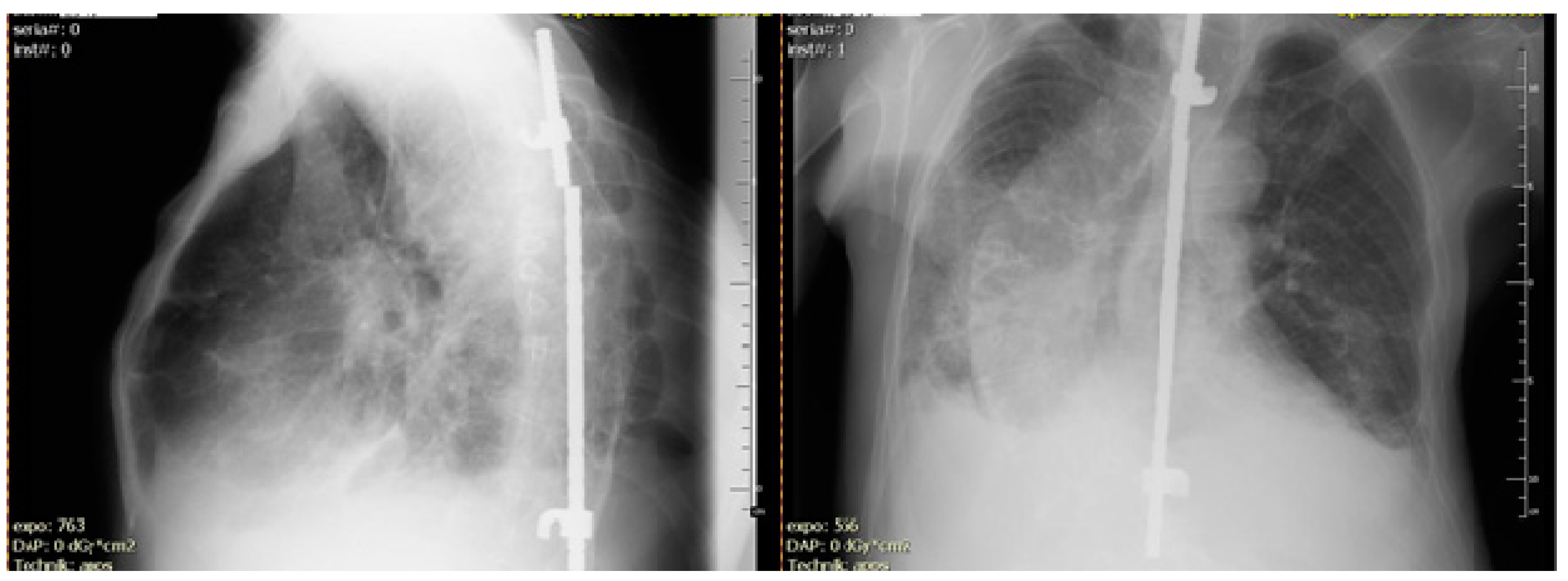
2. Case Study
3. Discussion
Author Contributions
Funding
Institutional Review Board Statement
Informed Consent Statement
Data Availability Statement
Acknowledgments
Conflicts of Interest
References
- Lee, J.Y. Diagnosis and Treatment of Extrapulmonary Tuberculosis. Tuberc. Respir. Dis. 2015, 78, 47–55. [Google Scholar] [CrossRef] [PubMed]
- Ramirez-Lapausa, M.; Menendez-Saldana, A.; Noguerado-Asensio, A. Extrapulmonary tuberculosis: An overview. Rev. Esp. Sanid. Penit. 2015, 17, 3–11. [Google Scholar] [CrossRef] [PubMed]
- Houston, A.; Macallan, D.C. Extrapulmonary tuberculosis. Medicine 2014, 42, 18–22. [Google Scholar] [CrossRef]
- Sandgren, A.; Hollo, V.; Van der Werf, M.J. Extrapulmonary tuberculosis in the European Union and European Economic Area, 2002 to 2011. EuroSurveillance 2013, 18, 20431. [Google Scholar] [CrossRef] [PubMed]
- Korzeniewska-Koseła, M.; Wesołowski, S. Tuberculosis in Poland in 2019. Przegl. Epidemiol. 2021, 75, 192–209. [Google Scholar] [CrossRef] [PubMed]
- van Zyl, L.; du Plessis, J.; Viljoen, J. Cutaneous tuberculosis overview and current treatment regimens. Tuberculosis 2015, 95, 629–638. [Google Scholar] [CrossRef] [PubMed]
- Santos, J.B.D.; Figueiredo, A.R.; Ferraz, C.E.; Oliveira, M.H.D.; Silva, P.G.D.; Medeiros, V.L.S.D. Cutaneous tuberculosis: Epidemiologic, etiopathogenic and clinical aspects-Part I. An. Bras. Dermatol. 2014, 89, 219–228. [Google Scholar] [CrossRef] [PubMed]
- Solis, A.H.; González, N.E.H.; Cazarez, F.; Pérez, P.M.; Diaz, H.O.O.; Escobar-Gutierrez, A.; Ortíz, I.C.; González, H.G.; Reding-Bernal, A.; Sabido, R.C. Skin biopsy: A pillar in the identification of cutaneous Mycobacterium tuberculosis infection. J. Infect. Dev. Ctries. 2012, 6, 626–631. [Google Scholar] [CrossRef] [PubMed]
- Augustynowicz-Kopeć, E.; Jagielski, T.; Kozińska, M.; Zabost, A.; Zwolska, Z. The significance of spoligotyping method in epidemiological investigations of tuberculosis. Adv. Respir. Med. 2007, 75, 22–31. [Google Scholar] [CrossRef]
- Alonso-Rodríguez, N.; Martínez-Lirola, M.; Herránz, M.; Sanchez-Benitez, M.; Barroso, P.; Bouza, E.; de Viedma, D.G. Evaluation of the new advanced 15-loci MIRU-VNTR genotyping tool in Mycobacterium tuberculosis molecular epidemiology studies. BMC Microbiol. 2008, 8, 34. [Google Scholar] [CrossRef] [PubMed]
- Kumar, B.; Rai, R.; Kaur, I.; Sahoo, B.; Muralidhar, S.; Das Radotra, B. Childhood cutaneous tuberculosis: A study over 25 years from northern India. Int. J. Dermatol. 2001, 40, 26–32. [Google Scholar] [CrossRef] [PubMed]
- Pandhi, D.; Reddy, B.; Chowdhary, S.; Khurana, N. Cutaneous tuberculosis in Indian children: The importance of screening for involvement of internal organs. J. Eur. Acad. Dermatol. Venereol. 2004, 18, 546–551. [Google Scholar] [CrossRef] [PubMed]
- Mehta, P.K.; Raj, A.; Singh, N.; Khuller, G.K. Diagnosis of extrapulmonary tuberculosis by PCR. FEMS Immunol. Med. Microbiol. 2012, 66, 20–36. [Google Scholar] [CrossRef]
- Mascaró, J.-M., Jr.; Baselga, E. Erythema Induratum of Bazin. Dermatol. Clin. 2008, 26, 439–445. [Google Scholar] [CrossRef] [PubMed]
- Segura, S.; Pujol, R.M.; Trindade, F.; Requena, L. Vasculitis in erythema induratum of Bazin: A histopathologic study of 101 biopsy specimens from 86 patients. J. Am. Acad. Dermatol. 2008, 59, 839–851. [Google Scholar] [CrossRef] [PubMed]
- Suraprasit, P.; Silpa-Archa, N.; Triwongwaranat, D. Cutaneous Miliary Tuberculosis in a Chronic Kidney Disease Patient. Case Rep. Dermatol. 2014, 6, 253–257. [Google Scholar] [CrossRef] [PubMed]
- Kumar, B.; Muralidhar, S. Cutaneous tuberculosis: A twenty-year prospective study. Int. J. Tuberc. Lung Dis. 1999, 3, 494–500. [Google Scholar] [PubMed]
- Kivanc-Altunay, I.; Baysal, Z.; Ekmekci, T.R.; Koslu, A. Incidence of cutaneous tuberculosis in patients with organ tuberculosis. Int. J. Dermatol. 2003, 42, 197–200. [Google Scholar] [CrossRef] [PubMed]
- Mahmud, T.A.K.; Paul, H.K.; Zakaria, A.S.M.; Rahman, M.A.; Chowdhury, M.A.J. Study on association of cutaneous tuberculosis with pulmonary tuberculosis. Bangladesh Med. Res. Counc. Bull. 2010, 36, 57–60. [Google Scholar] [CrossRef] [PubMed]
- Zdziarski, P.; Simon, K.; Majda, J. Mild form of Lyell’s syndrome as an consequence of inappropriate BCG revaccination—Case report. Pol. Merkur. Lek. Organ Pol. Towar. Lek. 2004, 17, 382–384. [Google Scholar]


Disclaimer/Publisher’s Note: The statements, opinions and data contained in all publications are solely those of the individual author(s) and contributor(s) and not of MDPI and/or the editor(s). MDPI and/or the editor(s) disclaim responsibility for any injury to people or property resulting from any ideas, methods, instructions or products referred to in the content. |
© 2023 by the authors. Licensee MDPI, Basel, Switzerland. This article is an open access article distributed under the terms and conditions of the Creative Commons Attribution (CC BY) license (https://creativecommons.org/licenses/by/4.0/).
Share and Cite
Kozińska, M.; Augustynowicz-Kopeć, E.; Gamian, A.; Chudzik, A.; Paściak, M.; Zdziarski, P. Cutaneous and Pulmonary Tuberculosis—Diagnostic and Therapeutic Difficulties in a Patient with Autoimmunity. Pathogens 2023, 12, 331. https://doi.org/10.3390/pathogens12020331
Kozińska M, Augustynowicz-Kopeć E, Gamian A, Chudzik A, Paściak M, Zdziarski P. Cutaneous and Pulmonary Tuberculosis—Diagnostic and Therapeutic Difficulties in a Patient with Autoimmunity. Pathogens. 2023; 12(2):331. https://doi.org/10.3390/pathogens12020331
Chicago/Turabian StyleKozińska, Monika, Ewa Augustynowicz-Kopeć, Andrzej Gamian, Anna Chudzik, Mariola Paściak, and Przemysław Zdziarski. 2023. "Cutaneous and Pulmonary Tuberculosis—Diagnostic and Therapeutic Difficulties in a Patient with Autoimmunity" Pathogens 12, no. 2: 331. https://doi.org/10.3390/pathogens12020331
APA StyleKozińska, M., Augustynowicz-Kopeć, E., Gamian, A., Chudzik, A., Paściak, M., & Zdziarski, P. (2023). Cutaneous and Pulmonary Tuberculosis—Diagnostic and Therapeutic Difficulties in a Patient with Autoimmunity. Pathogens, 12(2), 331. https://doi.org/10.3390/pathogens12020331

