Simple Summary
The greater wax moth, Galleria mellonella Linnaeus (Lepidoptera: Pyralidae), is a ubiquitous pest of the apicultural industry. We identified two novel aldehyde oxidase genes through transcriptomic analysis (GmelAOX2 and GmelAOX3) that are related to its olfactory system. GmelAOX2 is part of the clade with odorant-degrading enzyme function and shows sex-biased expression, and both GmelAOX2 and GmelAOX3 are more highly expressed in male antennae rather than female antennae. These enzymes have a crucial role in metabolizing sex pheromone compounds as well as plant-derived aldehydes, which are related to honeycombs and the life cycle of G. mellonella.
Abstract
Odorant-degrading enzymes (ODEs) are proposed to degrade/inactivate volatile organic compounds (VOCs) on a millisecond timescale. Thus, ODEs play an important role in the insect olfactory system as a reset mechanism. The inhibition of these enzymes could incapacitate the olfactory system and, consequently, disrupt chemical communication, promoting and complementing the integrated pest management strategies. Here, we report two novel aldehyde oxidases, AOX-encoding genes GmelAOX2 and GmelAOX3, though transcriptomic analysis in the greater wax moth, Galleria mellonella. GmelAOX2 was clustered in a clade with ODE function, according to phylogenetic analysis. Likewise, to unravel the profile of volatiles that G. mellonella might face besides the sex pheromone blend, VOCs were trapped from honeycombs and the identification was made by gas chromatography–mass spectrometry. Semi-quantitative RT-PCR showed that GmelAXO2 has a sex-biased expression, and qRT-PCR indicated that both GmelAOX2 and GmelAOX3 have a higher relative expression in male antennae rather than female antennae. A functional assay revealed that antennal extracts had the strongest enzymatic activity against undecanal (4-fold) compared to benzaldehyde (control). Our data suggest that these enzymes have a crucial role in metabolizing sex pheromone compounds as well as plant-derived aldehydes, which are related to honeycombs and the life cycle of G. mellonella.
1. Introduction
In insects, mating or threat avoidance, as well as host and food seeking, are mainly results of the interaction between volatile organic compounds (VOCs) and a well-tuned olfactory system [1,2]. The transport, transduction, and degradation of VOCs are carried out by olfactory proteins, such as odorant-binding proteins (OBPs), odorant receptors (ORs), and odorant-degrading enzymes (ODEs) [3,4,5,6]. Briefly, chemical cues enter through cuticular pores placed in hair-like structures called sensilla on antennae, towards the sensillar lymph where OBPs bind and transport molecules to the ORs. Once receptors are activated, a transduction signal is started, unleashing insect behavioral response. Finally, ODEs rapidly degrade the odorant stimuli in order to avoid the accumulation of compounds in the peripheral space, leading to rapid signal termination [4]. This allows the recovery and maintenance of the sensitivity of the olfactory system by its resetting on a millisecond (ms) timescale, and thus receive new chemical signals [7]. Noteworthy, there are different families of ODEs involved in stimuli deactivation, such as carboxylesterases (CXEs), aldehyde oxidases (AOXs), glutathione-S-transferases (GSTs), and cytochrome P450 (CYPs). Particularly, CXEs and AOXs have been studied as ODEs [8]; in fact, the first ODE (a CXE) was classified as a pheromone-degrading enzyme (PDE), being specifically present in male antennae of moth Antherea polyphemus Cramer [9]. This PDE was able to rapidly degrade (in an estimated half-life of 15 ms) the sex pheromone (E,Z)-6,11-hexadecadienyl acetate according to in vivo and in vitro assays [10]. Another PDE was identified in the scarab beetle Popillia japonica Newman, being only expressed in male antennae. The authors reported that both the native and recombinant enzymes showed preference against the sex pheromone, (R)-japonilure, rather than its enantiomer, (S)-japonilure (behavioral antagonist) [11]. On the other hand, the first AOX in moths was characterized in the tobacco hornworm Manduca sexta Linnaeus, and reported as a dimer from column chromatography with an estimated molecular weight of 295 kDa [12]. This AOX was classified as a PDE (MsexAOX) because it had nearly 60% greater expression in male than female antennae. Additionally, kinetic parameters of MsexAOX showed a preference for the pheromone compound, (E,Z)-10,12-hexadecadienal (bombykal) (Km 5.4 µM), compared with other VOCs, such as propanal (Km 6.8 µM) and benzaldehyde (Km 225.1 µM) [12]. Complementary, Merlin et al. [13] proposed that the MbraAOX-encoding gene from cabbage armyworm Mamestra brassicae Linnaeus is active at the sensillar lymph level and that its expression is restricted to olfactory sensilla (i.e., Sensilla trichoidea, Str I) through in situ hybridization (ISH). In functional terms, these enzymes can transform aldehyde-type semiochemicals into inactive forms, such as carboxylic acids [14]. Nowadays, several moth species use a blend of chemicals as sex pheromones, where aldehydes can act as either major or minor components. For example, (Z,Z)-7,11-hexadecadienal, (E)-11,13-tetradecadienal, and (E,E,Z,Z)-4,6,11,13-hexadecatetraenal act as major pheromone components for the moths citrus leaf-miner Phyllocnistis citrella Stainton, the eastern black-headed budworm Acleris variana Fernald, and the promethea moth Callosamia promethea Drury, respectively [15,16,17]. On the other hand, aldehyde-based pheromones can act as minor components, such as (E)-10-hexadecenal, (E,E)-8,10-dodecadienal, and (E,Z)-6,11-hexadecadienal for the legume podborer Maruca vitrata Fabricius, the codling moth Cydia pomonella Linnaeus, and A. polyphemus, respectively [18,19,20]. Noteworthy, aldehydes can also act as behavioral antagonists. For instance, females of Bombyx mori Linnaeus emit bombykal in their pheromone blend in addition to bombykol as a behavioral antagonist [21].
The fact that A. polyphemus and B. mori use aldehydes in their life cycle supports the presence of AOXs that could metabolize these semiochemicals. Thus, Rybczynski et al. [22] identified antenna-specific aldehyde oxidases (AOXs) in antennal extracts from A. polyphemus and B. mori, which were more abundant in males than females through polyacrylamide gel electrophoresis (PAGE). Likewise, Zhang et al. [23] found four putative AOX genes in the rice leaf-folder Cnaphalocrocis medinalis Guenné through transcriptomic analysis. The authors reported that CmedAOX2-encoding transcript was more expressed in male than female antennae, indicating a putative degradation role for the sex pheromone blend, (Z)-11-octadecenal and (Z)-13-octadecenal. On the contrary, there are some exceptions where AOXs can degrade other aldehyde-based pheromone compounds, with no involvement of sex-biased expression. For instance, recent studies in the cotton bollworm Helicoverpa armigera Hübner identified six full-length AOX genes, from which HarmAOX2 was suggested as PDE for inactivating (Z)-11-hexadecenal and (Z)-9-hexadecenal through specific and significant expression in adult antennae of both sexes [24].
The greater wax moth, Galleria mellonella Linnaeus (Lepidoptera: Pyralidae), is an important pest of honeybee products [25]. Larvae of G. mellonella use honeycombs to make silken galleries, disrupting the development and growth of bees; this event is called Galleriasis [26]. Interestingly, its mating is highlighted by males producing an acoustic signal and a sex pheromone blend, mainly formed by aldehydes nonanal and undecanal (major components) [27] that attract conspecific females. These aldehyde-type compounds have been reported from different sources, such as insect sex pheromone [17,28,29,30,31], VOCs from plants [32,33,34], as well as in beehive products, such as honey, pollen, wax, and propolis [35,36,37,38]. The usual methods to manage this pest are based on chemical insecticides, e.g., naphthalene, methyl bromide, paradichlorobenzene, and carbon dioxide (CO2); however, these compounds (except CO2) represent a health risk and lead to residues in honeybee products [25,39]. Furthermore, no environmentally friendly control methods have been reported for G. mellonella thus far. Whereas research in OBPs, ORs, and other olfactory proteins, such as ionotropic receptors (IRs), gustatory receptors (GRs), and chemosensory proteins (CSPs) has been conducted in G. mellonella from transcriptome [40,41], no ODEs have been studied in depth. Therefore, the understanding of semiochemical degradation mechanisms by AOXs in antennae of G. mellonella would provide the necessary information to corroborate or reject the use of these enzymes as targets through their inhibition and, subsequently, disruption of chemical communication for insect pest control. In this work, we take advantage of transcriptomic data from G. mellonella obtained in our laboratory where some aldehyde oxidase enzymes might be involved in the degradation of pheromone components, as well as beehive-derived volatiles. Here, we report the phylogenetic relation, relative expression, and enzymatic activity of two novel AOX-encoding genes, GmelAOX2 and GmelAOX3, from the antennae of G. mellonella.
2. Materials and Methods
2.1. Insect Rearing
Wild G. mellonella were obtained from honeycombs located in the Quepe sector of La Araucanía region, and their rearing was established according to the methodology reported by Zamorano [42] using a diet based on a mixture of sugar in freshly boiled distilled water, to which glycerin and vitamins were added. The food source was based on cereals Nestum® and wheat germ, both mixed in the proportions suggested by the same author. Foster boxes (plastic) were arranged with a rectangular top window, covered by a mesh bonded with silicone, and stored in a growth chamber (ShelLab) at a temperature of 28 ± 1 °C. Once eggs were obtained from moths, they were disposed in control tape towards the diet, facilitating feeding and larval development. Larvae were individualized in plastic pots until reaching the adult stage.
2.2. Collection of Honeycomb Volatiles
Volatiles were trapped by using four sterilized borosilicate glass chambers [43]. Honeycomb pieces of 5 cm × 5 cm were introduced and placed at the bottom of the chambers. In two upper outlets (per chamber) were Porapak-Q (Divinylbenzene/Ethyl vinyl benzene) columns (100 mg). A positive/negative pressure air system was used according to Agelopoulos et al. [44]; the air was dried and purified before passing through the glass chamber. The trapping of volatile compounds was carried out for 24 h. Then, compounds were desorbed from the Porapak-Q column with 1 mL of hexane and concentrated up to 50 µL under nitrogen (N2) flow [45].
2.3. Honeycomb Volatile Identification by GC/MS
The volatile compounds (1 µL) were analyzed using a gas chromatograph (Thermo Scientific Trace 1300, Milan, Italy) coupled to a mass spectrometer (GC/MS) (Thermo Scientific ISQ 7000) equipped with an HP-5 (5% cross-linked phenyl-methyl siloxane) capillary column (30 m, 0.25 mm, 0.25 µm). Helium (He) was used as the carrier gas, with a flow rate of 1 mL/min. Mass spectrum acquisition was performed in the mass range from 30 to 500 m/z. Ionization was performed by electron impact at 70 eV with an ion source at 250 °C. The GC oven was programmed to remain at 40 °C for 2 min and increase by 4 °C/min to 250 °C, holding for 5 min. The temperatures of the GC injector, transfer line, and detector were 250 °C [45]. Tentative structural assignments were made by comparing their mass spectra with the MS library (NIST), as well as by comparison of their Kovats indices by using the n-alkanes (C9-C21) and (C21-C40) series with Kovats indices published from the literature and the injection of standards (Sigma-Aldrich, St. Louis, MO, USA).
2.4. Identification of AOX Transcripts by Comparing Two Transcriptome Data of G. mellonella
The AOX identification was assisted by using the whole-head (head plus antennae) transcriptome for G. mellonella [41] assembled in our laboratory, and the antennal transcriptome assembled by Zhao et al. [40]. Firstly, an in-house database of lepidopteran AOXs created with sequences reported in the literature was used in order to make a local BLAST through the makeblastdb script for nucleotide and protein with the data set obtained from the assembled transcriptomes. Subsequently, transcripts were identified by local searches using the Tools of NCBI BLASTx and BLASTn [46] between our database and the assembled data set of G. mellonella. BLAST hits with e-values < 1.0 × 10−5 were considered to be significant [47], and genes were assigned to each contig based on the BLAST hits with the highest score value. The open reading frame (ORF) of each unigene was determined by using the ORF finder tool (https://www.ncbi.nlm.nih.gov/orffinder, accessed on 25 July 2022), and sequences with >1000 amino acids (aa) were selected. These sequences were used as a database in order to compare them with the transcriptome assembled by Zhao et al. [40], and the identification was carried out as mentioned above. In addition, the InterPro platform was used to evaluate their gene ontology (GO), and sequences were submitted to Expasy to calculate their molecular weight in silico.
2.5. Phylogenetic Analysis of G. mellonella AOXs
The phylogenetic analysis was carried out using identified AOX transcripts in G. mellonella, and sequences from a study on AOXs Lepidoptera [48]. Full-length aa sequences that include conserved domains were aligned using MAFFT server7 [49]. GUIDANCE2 server8 was used to check the consistency of the multiple sequence alignment [50]. Briefly, the consistency of the alignment was measured with a score less than 0.5, in which sequences were deleted. It is worth noting that confidence scores near 1 and 0 suggest a highly and poorly consistent alignment, respectively. Finally, phylogenetic analysis was performed using the maximum-likelihood method with FastTree software [51]. To highlight clades, specific taxa, and functional evidence, the phylogenetic tree was edited using FigTree software9 and image editor Inkscape 0.48 software.
2.6. Total RNA Extraction, cDNA Synthesis, and Primer Design
Total RNA extraction was performed following the methodology proposed by Gu et al. [52], using different tissue samples (antennae, n = 100; legs, n = 50; wings, n = 50; bodies without legs, wings, and heads, n = 10) from males and females extracted with TRIzol reagent (Invitrogen, Carlsbad, CA, USA). Moreover, the RNA concentration was analyzed using a Quantus Fluorometer (Promega). The RNA integrity was checked by 1% agarose gel electrophoresis, and samples were stored at −80 °C until use. From the RNA samples, through the semi-quantitative RT-PCR technique and using a thermocycler (GeneTechnologies), a stock of cDNA was generated at a concentration of 100 ng/µL for each tissue. AffinityScript qPCR cDNA Synthesis Kit (Stratagene, Cedar Creek, TX, USA) was used following the manufacturer's instructions. Finally, primers used for every AOX transcript were designed using the PrimerQuest® program (IDT, Coralville, IA, USA).
2.7. Analysis of Tissue Distribution by Semi-Quantitative RT-PCR
Amplification of GmelAOXs in several tissues (antennae, bodies, legs, and wings) from males and females was carried out following Gu et al. [52] and Lizana et al. [41], and the PCR mix is mentioned in Supplementary Table S1. The housekeeping gene β-actin (accession code KP331524) was used as an endogenous gene and positive control for the analysis. The PCR program for β-actin was performed under the following conditions: an initial denaturation step of 95 °C for 2 min, followed by 35 cycles of (1) denaturation step of 95 °C for 30 s, (2) annealing step of 48 °C for 30 s, (3) extension of 72 °C for 1 min, and a final extension for 10 min at 72 °C. PCR products were analyzed on 1% agarose gel and visualized after staining with SYBR™. The PCR program for AOXs consisted of an initial denaturation step of 95 °C for 3 min, followed by 35 cycles of (1) denaturation step of 95 °C for 30 s, (2) annealing step of 50 °C for 30 s, (3) extension of 72 °C for 1 min, and a final extension for 10 min at 72 °C.
2.8. Analysis of GmelAOXs Relative Expression by qRT-PCR
All qRT-PCR reactions were performed using Brilliant II SYBR Green qPCR Master mix in qPCR-compatible equipment. The following cycling conditions were used: 95 °C for 10 min, followed by 40 cycles at 95 °C for 30 s, 57 °C for 30 s, and 72 °C for 1 min. The presence of a specific amplified PCR product was verified for each reaction by melt curve analysis, with 95 °C for 15 s, 55 °C for 1 min, and 95 °C for 15 s. The specific primers used in this study were designed using the PrimerQuest® program (IDT, Coralville, IA, USA), and their efficiencies (ranging from 90% to 110%) were validated by standard curve with five 10× serial dilutions of antennal cDNA. The housekeeping gene β-actin was used as an internal control. All the experiments were performed using three biological replicates, each with three technical replicates. The relative quantification was analyzed by the 2−ΔΔCt based on the Pffafl method [53]. Statistical differences between tissues from males and females were analyzed by one-way ANOVA with Tukey’s test (p < 0.05) using SPSS Statistics 22. Semi-quantitative PCR and qRT-PCR primers are listed in Table S1.
2.9. AOX Activity from Antennal Extract
Enzymatic activity was performed using different aldehyde substrates according to Wang et al. [54]. Thiazolyl blue tetrazolium bromide (MTT) was used as the electron acceptor and phenazine methosulfate (PMS) was the electron donor. Then, the enzymatic activity was measured according to the purple insoluble MTT formazan formation. Protein concentration was measured by the Bradford method using bovine serum albumin as a quantitative standard. The reaction contained fresh crude antennal extracts (75 µg), 3 mM aldehyde substrate dissolved in DMSO, 0.1 M potassium phosphate buffer (pH 8.0), 0.4 mM MTT, and 0.1 mM PMS. Then, it was incubated at 30 °C for 1 h, and the reaction was quenched with 10% acetic acid. The reaction was determined at 570 nm using a UV-5100B spectrophotometer (Metash Instruments, Shanghai, China). All experiments were performed in triplicate.
3. Results
3.1. Volatile Organic Compounds in Honeycombs
Supplementary Table S1 contains the complete profile of volatiles according to retention time and their structure class. A total of 74 VOCs were identified from infested honeycombs. For instance, terpenes such as α-pinene, camphene, β-pinene, α-terpinene, limonene, γ-terpinene, linalool, 3-terpineol, limonene-1,2-diol, solongifolene, (E)-thujopsene, α-caryophyllene, β-ionone, (+)-β-selinene, α-muurolene, β-bisabolene, α-cadinol, (Z,Z)-farnesol, murgantiol, and sclarene were identified. In addition, several esters were found, such as hexyl acetate, ethyl phenylacetate, n-octyl acetate, linalyl butyrate, isobornyl butyrate, 3-octyl tiglate, methyl cycloundecanecarboxylate, isobutyl decanoate, ethyl tetradecanoate, 3-hexenyl-(Z)-cinnamate, 10-undecenyl angelate, ethyl-(Z)-7-hexadecenoate, (Z)-4-hexadecenyl acetate, incensole acetate, methyl-(Z)-communate, 2-ethylhexyl-(E)-4-methoxycinnamate, and integerrimine. Other types of compounds were identified, such as alcohols, ketones, ethers, alkanes, furans, carboxylic acids, and phenols. Likewise, aldehyde-type compounds were found, including octanal, nonanal, (E)-2-nonenal, undecanal, (Z)-2-dodecenal, α-sinensal, (Z)-10-hexadecenal, and (E,E,Z,Z)-4,6,11,13-hexadecatetraenal (Table 1).
Table 1.
Honeycomb volatiles identified by GC/MS.
3.2. AOX-Related Transcripts Obtained by Comparing Two Transcriptomes
According to the results from the comparison of the whole-head transcriptome assembled in our laboratory and the antennal transcriptome reported by Zhao et al. [40], it was possible to identify two AOX transcripts. From BLASTp analysis, sequences with unigenes DN3568 and DN34847 were matched with two aldehyde oxidases (accession code QPF77599.1 and QPF77600.1) of G. mellonella, which were retrieved from the NCBI database with identity percentages of 99.13% and 99.18%, respectively. These sequences were annotated as GmelAOX2 and GmelAOX3, and can be found in Supplementary Table S1. Thus, GmelAOX2 and GmelAOX3 had ORFs of 3816 and 3675 nucleotides (nt), respectively. In addition, both aa sequences presented the three typical domains of AOXs, namely (1) two 2Fe-2S clusters, (2) FAD-binding, and (3) molybdenum cofactor (Moco) binding, based on a search of the InterPro platform. On the other hand, the results of the theoretical molecular weight in these enzymes according to the Expasy platform showed that GmelAOX2 and GmelAOX3 have subunits of 141 and 134 kDa, respectively. According to phylogenetic analysis (Figure 1), only GmelAOX2 has a linage related to the clade with ODE function, and is closely associated to AtraAOX2 from the navel orangeworm Amyelois transitella Walker, with a high bootstrap value (>70%).
Figure 1.
Phylogenetic tree of AOXs identified in G. mellonella transcriptomes as well as sequences from a previous report in lepidopteran [48]. Black circles show functional AOX reported in A. transitella (AtraAOX2), P. xylostella (PxylAOX3), and B. mori (BmorAOX5). Gray line shows AOXs clustered in the clade with ODE function. In green are the xanthine dehydrogenases (XDHs) and in red are GmelAOXs. Confidence scores are indicated as red circles (>70%) in nodes.
3.3. Tissue Distribution and Relative Expression Levels of GmelAOX2 and GmelAOX3
Our results suggest that enzymes do not have a tissue-specific expression; GmelAOX2 and GmelAOX3 are slightly expressed in the male body, and the latter is also expressed in the female body (Figure 2). Besides body, PCR products of both enzymes were presented in male rather than female antennae. On the other hand, there were significant differences in relative expression of GmelAOXs between tissues according to qRT-PCR results (Figure 3). We found two GmelAOX genes (GmelAOX2 and GmelAOX3) enriched in antennae compared to other tissues tested, and the level of these genes in male antennae was significantly higher than in female antennae.
Figure 2.
Electrophoresis with 1% agarose gel. Galleria mellonella aldehyde oxidase (AOX) transcript levels in different tissues tested by semiquantitative RT-PCR. All reactions were run under the same experimental conditions. Ant., antennae; Body (without head, wings, and legs); Legs; Wings. (
) female; (
) male.
) female; (
) male.
Figure 3.
Galleria mellonella aldehyde oxidase (AOX) transcript levels in female and male antennae tested by qRT-PCR. Black and gray bars indicate males and females, respectively. Different lowercase letters indicate significant differences (one-way ANOVA with Tukey’s test, p < 0.05). Male antennae, mA; female antennae, fA; male body, mB; female body, fB; male legs, mL; female legs, fL; male wings, mW; female wings, fW.
3.4. AOXs Activity from Antennal Extract
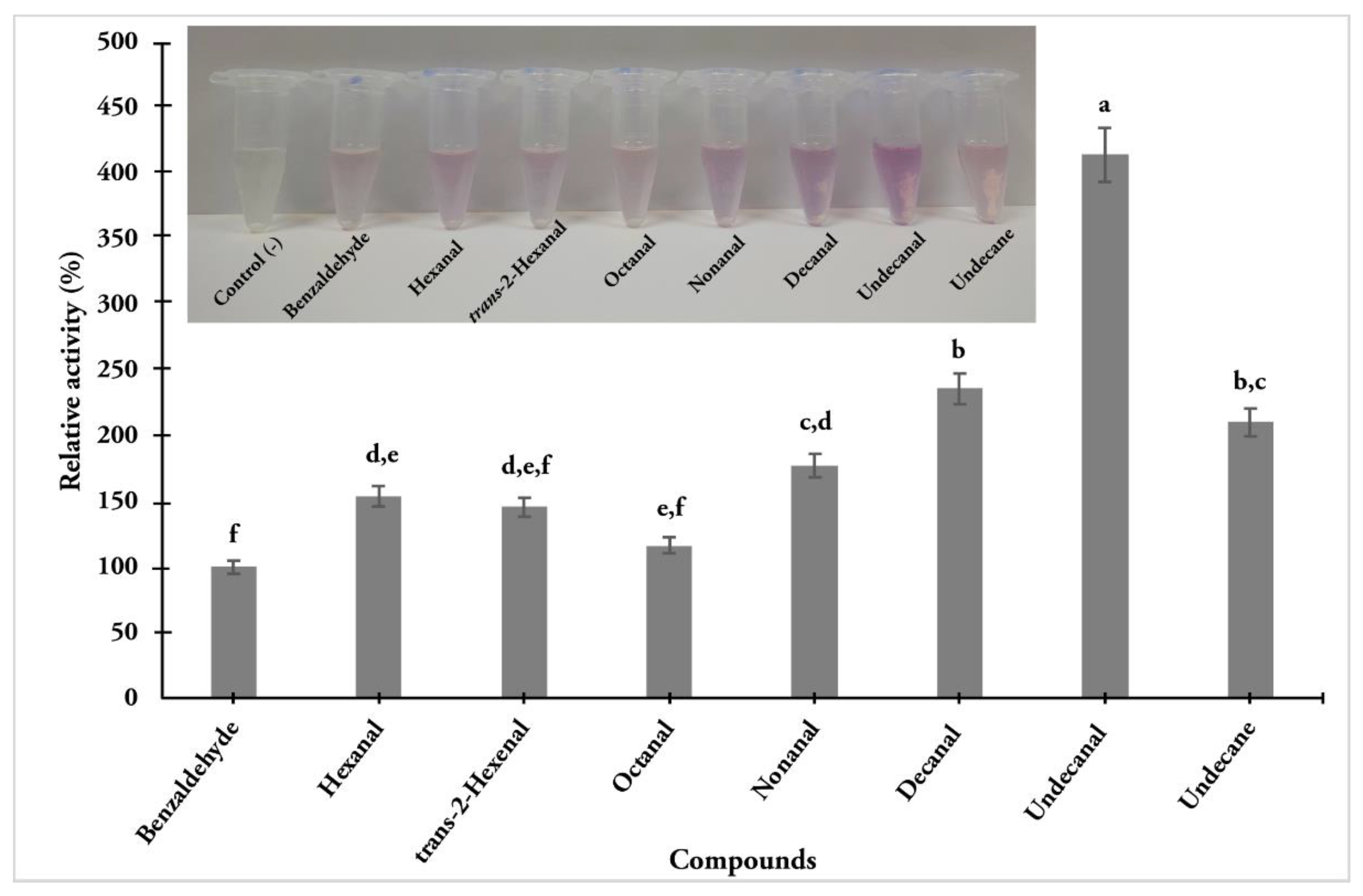
In order to evaluate the enzymatic activity of GmelAOXs in antennal extracts, some aldehydes of those previously identified from honeycombs, as well as pheromone components, were selected. It is worth noting that some aldehydes were not commercially available, and other structurally similar compounds were included, such as trans-2-hexenal, hexenal, and decanal. Moreover, undecane was included as the corresponding alkane of undecanal. The activity was presented as relative activity (%), where benzaldehyde was used as a standard (100%) according to Choo et al. [29]. Figure 4 shows the results obtained, where undecanal had the highest activity, followed by decanal, undecane, nonanal, hexanal, trans-2-hexanal, and octanal. Notably, undecane showed the third-highest activity even without presenting an aldehyde in its structure.
Figure 4.
Relative activity of substrates oxidation by antennal extracts of G. mellonella. The oxidation of substrates (3 mM) by antennal extract (75 µg) was determined at 30 °C and quenched with 10% acetic acid. The reduction in MTT was measured spectrophotometrically at 570 nm. Activity is observed according to the purple insoluble MTT formazan formation. A blank was set as a negative control by adding buffer only. ANOVA was followed by Tukey’s test for multiple comparisons for an average mean comparison. Different letters indicate significant differences (p < 0.05).
4. Discussion
Here, we identified several compounds in honeycombs infested with G. mellonella. Among these chemicals, nonanal and undecanal are reported as part of its sex pheromone blend [25,63]. Likewise, other aldehydes are associated with bees and their products, such as octanal from honey and wax [55,56,57], (E)-2-nonenal with propolis [60], and α-sinensal with honey [35]. On the other hand, (Z)-2-dodecenal is a volatile found in clementine oil [64], (Z)-10-hexadecenal has been reported as a pheromone in some lepidopteran of the Crambidae family [65,66], and (E,E,Z,Z)-4,6,11,13-hexadecatetraenal has been identified as the major sex pheromone of C. promethea [17].
G. mellonella is a ubiquitous pest to honeycombs and a nocturnal insect which lays eggs inside honeycombs, especially when bees are less active [67]. Moreover, when adults emerge from the pupa stage, they fly toward the trees to mate. So, this moth must rely on its olfactory system for detecting and decoding semiochemicals, and thus define its behavior. The clearance of compounds that remain in the sensillar lymph is a critical step in the olfaction process, which is carried out by ODEs, in order to facilitate the entrance of new stimuli in the antennae [4]. Research around ODEs is limited, where most studies have been reported in Lepidoptera, namely the antennal esterase SlCX7 in the cotton leafworm Spodoptera littoralis Boisduval, which can hydrolyze the pheromone and plant compounds [68]. In addition, Ref. [69] identified an ODE gene from the polyphagous moth S. exigua Hübner, namely SexiCXE10, which showed high activity for ester plant volatiles. In terms of AOXs, studies are even scarcer. Bioinformatic analyses have served to identify putative enzymes; for instance, four AOXs were reported in C. medinalis, three mainly found in the adult abdomen and one enriched in antennae [23]. Another author identified three AOXs in the pink borer Sesamia inferens Walker; two were antennae-specific (SinfAOX1 and SinfAOX2) and one (SinfAOX3) was expressed in antennae and the abdomen [30]. The phylogenetic relationships of these enzymes have allowed the clustering of AOXs with ODE function [48]. Phylogenetic analysis showed that both GmelAOX2 and GmelAOX3 have evolved from xanthine dehydrogenases (XDHs) (Figure 1), similarly to other reported AOXs [23,70], due to gene duplication events [71]. Remarkably, GmelAOX2 was grouped in the clade with ODE function, where other functionally studied AOXs [29,54,72] are found, shedding light on its role as an ODE.
As a result of semi-quantitative RT-PCR, tissue-specific expression was not performed because GmelAOX2 was expressed in the body and antennae of males, and GmelAOX3 was expressed in the body of both sexes and male antennae only. However, we suggest that at least GmelAOX2 has a sex-biased expression in male antennae according to RT-PCR, despite its slight expression in the body. The expression of these enzymes in the body might be associated with a detoxification process, due to the degradation of xenobiotic compounds such as pesticides [70]. In fact, AOXs are able to use several compounds as substrates, i.e., N-heterocyclics, N-oxides, azo dyes, and aldehydes with different hydrocarbon chain sizes [73]. In contrast to the expression of AOXs in the body, their expression in antennae would be involved in the degradation of sex pheromone components or aldehyde-type plant volatiles, being potentially classified as PDEs [24]. Huang et al. [70] showed an expression of two AOXs in C. pomonella (CpomAXO1 and CpomAOX2) in several tissues (antennae, thoraxes, abdomens, legs, and wings), but they propose a role in odorant degradation when these enzymes are expressed in antennae even if they are not specific to this tissue. Insect antennae are the main olfactory organs; therefore, the expression of AOXs in these structures would be closely related to the degradation process of semiochemicals [24]. Thus, studies in S. inferens and C. medinalis have shown significant differences in the relative expression of these AOXs (SinfAOX1, SinfAOX2, and CmedAOX2) according to qRT-PCR, where male antennae showed a higher expression [23,30]. Here, GmelAOX2 and GmelAOX3 showed a higher expression in males (Figure 3). Interestingly, it is common for conspecific females to synthesize and release the sex pheromone to attract males [74]; however, in G. mellonella, males produce the sex pheromone [25]. Therefore, a higher expression of AOXs in male antennae could help to rapidly degrade aldehyde-type compounds that are part of the sex pheromone blend of G. mellonella, allowing the entrance of other chemical cues. Notably, low mRNA expression does not always imply low protein levels or low enzyme activities [75]. Preliminarily, these results indicate that both aldehyde oxidases in G. mellonella could be classified as general odorant-degrading enzymes (GODEs) instead of PDEs.
The AOX function in insects towards semiochemical degradation has been recently studied from pheromone gland extracts of B. mori (BmorAOX5), where they were active over several aldehydes (i.e., benzaldehyde, salicylaldehyde, vanillic aldehyde, heptanal, and propanal) [72]. Furthermore, Wang et al. [54] evaluated the activity of a recombinant AOX (PxylAOX3) from the diamondback moth Plutella xylostella Linnaeus, where it was capable of degrading its sex pheromone components and several aldehyde-type volatiles derived from plants. Antennal extracts were capable of metabolizing aldehyde-type compounds, such as some of those identified from infested honeycombs. Data published by Leyrer and Monroe [27] indicate that G. mellonella’s sex pheromone blend has two major components, nonanal and undecanal, in a ratio of 7:3. Taking this into account, the strongest activity on undecanal (4-fold) compared to benzaldehyde (control) in antennal extracts is consistent. Although nonanal is present in a greater proportion than undecanal, 1.7-fold higher enzyme activity compared with control was obtained. Moreover, hexanal, octanal, and decanal, reported as minor sex pheromone components of G. mellonella [25], performed more activity than control. Studies show that aldehyde-type VOCs have insecticide activity against some dipterans, such as hexanal and octanal as toxic compounds to Drosophila sechellia Tsacas and Baechli and D. melanogaster Meigen, respectively [76]. In addition, decanal has shown toxicity against the scarab beetle Tribolium castaneum Herbst [77], and nonanal has shown toxicity against S. frugiperda Wlaker [78]. Undecanal was also reported as a repellent against mosquito Anopheles gambiae (s.l.) [79]. The degradation of these compounds by GmelAOXs shed light on the key role in the olfaction process of this insect. The fact that males present a higher expression of AOXs supports a metabolization of their own pheromone components. The antennal extracts also showed activity over trans-2-hexenal, a compound also reported as an insecticide to T. castaneum [80]. Although undecane was surprisingly active in antennal extracts, it is likely that other enzymes are present in the antennae, i.e., monooxygenases [81,82], that are capable of transforming the alkane to a corresponding alcohol (undecanol), and then it is dehydrogenated to the corresponding aldehyde (undecanal) by alcohol dehydrogenases [30,70]. Bearing this in mind, this study shows that AOXs presented in antennal extracts were able to metabolize several compounds. GmelAOX2 could play a more active role in the degradation of aldehyde-type compounds compared to GmelAOX3 due to its phylogenetic relationship with AtraAOX2 from the pyralid moth A. transitella. Moreover, we have not had success in the expression of the active forms of both enzymes GmelAOX2 and GmelAOX3 by using a bacterial expression system. Other heterologous expression systems (e.g., baculovirus expression system) could be evaluated in further studies in order to corroborate a pheromone-biased degradation of these enzymes.
In conclusion, we have demonstrated that two novel AOX transcripts are expressed in G. mellonella, and GmelAOX2 has a sex-biased expression. These enzymes have a crucial role in metabolizing sex pheromone compounds as well as plant-derived aldehydes, which are related to honeycombs and the life cycle of G. mellonella. Thus, new strategies for integrated pest management are required, and in the case of G. mellonella, the search for antagonist compounds capable of inhibiting AOXs represents an alternative.
Supplementary Materials
The following supporting information can be downloaded at: https://www.mdpi.com/article/10.3390/insects13121143/s1, Figure S1: The 1% electrophoresis gel of β-actin gene. F: female; M: male; Ant: antennae. Image was edited using Inkscape software. Table S1: Profile volatile. Primer and PCR set-up. Transcriptome annotation. Enzyme activity [83,84,85,86,87,88,89,90,91,92,93,94,95,96,97,98,99,100,101,102,103,104,105,106,107,108,109,110,111,112,113,114,115,116,117,118,119,120,121].
Author Contributions
Conceptualization, R.G., H.V. and A.M.; methodology, R.G., H.V. and I.A.; software, R.G. and H.V.; validation, R.G., H.V. and A.M.; formal analysis, R.G.; investigation, R.G.; data curation, R.G., H.V. and I.A.; writing—original draft preparation, R.G.; writing—review and editing, H.V., A.M. and A.Q.; visualization, R.G. and I.A.; supervision, H.V., A.M. and A.Q.; project administration, R.G.; funding acquisition, R.G. All authors have read and agreed to the published version of the manuscript.
Funding
This research received no external funding.
Institutional Review Board Statement
Not applicable.
Informed Consent Statement
Not applicable.
Data Availability Statement
The data presented in this study are available in article or Supplementary Material.
Acknowledgments
The authors would like to thank the ANID N° 21190666 scholarship and project DIUFRO DI21-1002.
Conflicts of Interest
The authors declare that the research was conducted in the absence of any commercial or financial relationships that could be construed as a potential conflict of interest.
References
- Sato, K.; Touhara, K. Insect Olfaction: Receptors, Signal Transduction, and Behavior. In Results and Problems in Cell Differentiation; Korsching, S., Meyerhof, W., Eds.; Springer: Berlin/Heidelberg, Germany, 2008; pp. 203–220. [Google Scholar] [CrossRef]
- Zhou, J.J. Odorant-Binding Proteins in Insects. In Vitamins and Hormones; Litwack, G., Ed.; Elsevier: London, UK, 2010; pp. 241–272. [Google Scholar] [CrossRef]
- Kaissling, K.E. Kinetics of olfactory responses might largely depend on the odorant-receptor interaction and the odorant deactivation postulated for flux detectors. J. Comp. Physiol. 2013, 199, 879–896. [Google Scholar] [CrossRef] [PubMed]
- Leal, W. Odorant Reception in Insects: Roles of receptors, binding proteins, and degrading enzymes. Annu. Rev. Entomol. 2013, 58, 373–391. [Google Scholar] [CrossRef] [PubMed]
- Pelosi, P.; Iovinella, I.; Zhu, J.; Wang, G.; Dani, F. Beyond chemoreception: Diverse tasks of soluble olfactory proteins in insects. Biol. Rev. 2017, 93, 184–200. [Google Scholar] [CrossRef]
- Chertemps, T.; Maïbèche, M. Odor Degrading Enzymes and Signal Termination. In Insect Pheromone Biochemistry and Molecular Biology; Blomquist, G.J., Vogt, R.G., Eds.; Elsevier: Amsterdam, The Netherlands, 2021; pp. 619–644. [Google Scholar]
- Ishida, Y.; Leal, W.S. Rapid inactivation of a moth pheromone. Proc. Natl. Acad. Sci. USA 2005, 102, 14075–14079. [Google Scholar] [CrossRef] [PubMed]
- Chertemps, T.; Younus, F.; Steiner, C.; Durand, N.; Coppin, C.W.; Pandey, G.; Oakeshott, J.G.; Maïbèche, M. An antennal carboxylesterase from Drosophila melanogaster, esterase 6, is a candidate odorant-degrading enzyme toward food odorant. Front. Physiol. 2015, 6, 315. [Google Scholar] [CrossRef]
- Vogt, R.; Riddiford, L.M. Pheromone binding and inactivation by moth antennae. Nature 1981, 293, 161–163. [Google Scholar] [CrossRef]
- Vogt, R.G.; Riddiford, L.M.; Prestwich, G.D. Kinetic properties of a sex pheromone-degrading enzyme: The sensillar esterase of Antheraea polyphemus. Proc. Natl. Acad. Sci. USA 1985, 82, 8827–8831. [Google Scholar] [CrossRef]
- Ishida, Y.; Leal, W.S. Chiral discrimination of the Japanese beetle sex pheromone and a behavioral antagonist by a pheromone-degrading enzyme. Proc. Natl. Acad. Sci. USA 2008, 105, 9076–9080. [Google Scholar] [CrossRef]
- Rybczynski, R.; Reagan, J.; Lerner, M. A pheromone-degrading aldehyde oxidase in the antennae of the moth Manduca sexta. J. Neurosci. 1989, 9, 1341–1353. [Google Scholar] [CrossRef] [PubMed]
- Merlin, C.; François, M.C.; Bozzolan, F.; Pelletier, J.; Jacquin-Joly, E.; Maïbèche-Coisne, C. A new aldehyde oxidase selectively expressed in chemosensory organs of insects. Biochem. Biophys. Res. Commun. 2005, 332, 4–10. [Google Scholar] [CrossRef]
- Guerrero, A.; Rosell, G. Biorational approaches for insect control by enzymatic inhibition. Curr. Med. Chem. 2005, 12, 461–469. [Google Scholar] [CrossRef] [PubMed]
- Ando, T.; Taguchi, K.; Uchiyama, M.; Ujiye, T.; Kuroko, H. (7Z,11Z)-7,11-Hexadecadienal: Sex Attractant of the Citrus Leafminer Moth, Phyllocnistis citrella Stainton (Lepidoptera, Phyllocnistidae). Agric. Biol. Chem. 1985, 49, 3633–3635. [Google Scholar] [CrossRef][Green Version]
- Gries, G.; Li, J.; Gries, R.; Bowers, W.; West, R.; Wimalaratne, P.; Khaskin, G.; Skip-King, G.G.; Slessor, K.N. (E)-11,13-Tetradecadienal: Major sex pheromone component of the eastern blackheaded budworm, Acleris variana (Fem.) (Lepidoptera: Tortricidae). J. Chem. Ecol. 1994, 20, 1–8. [Google Scholar] [CrossRef] [PubMed][Green Version]
- Gago, R.; Allison, J.D.; McElfresh, J.S.; Haynes, K.F.; McKenney, J.; Guerrero, A.; Millar, J.G. A tetraene aldehyde as the major sex pheromone component of the promethea moth (Callosamia promethea (Drury)). J. Chem. Ecol. 2013, 39, 1263–1272. [Google Scholar] [CrossRef] [PubMed]
- Kochansky, J.; Tette, J.; Taschenberg, E.F.; Cardé, R.T.; Kaissling, K.E.; Röelofs, W.L. Sex pheromone of the Moth Antheraea polyphemus. J. Insect Physiol. 1975, 21, 1977–1983. [Google Scholar] [CrossRef]
- Ebbinghaus, D.; Lösel, P.M.; Lindemann, M.; Scherkenbeck, J.; Zebitz, C.P.W. Detection of major and minor sex pheromone components by the male Codling Moth Cydia pomonella (Lepidoptera: Tortricidae). J. Insect Physiol. 1997, 44, 49–58. [Google Scholar] [CrossRef] [PubMed]
- Downham, M.C.A.; Hall, D.R.; Chamberlain, D.J.; Cork, A.; Farman, D.I.; Tamò, M.; Dahounto, D.; Datinon, B.; Adetonah, S. Minor components in the sex pheromone of the legume podborer: Maruca vitrata. Development of an attractive blend. J. Chem. Ecol. 2003, 29, 989–1011. [Google Scholar] [CrossRef]
- Kaissling, K.E.; Kasang, G. A new pheromone of the silkworm moth Bombyx mori. Sensory pathway and behavioral effect. Naturwissenschaften 1978, 65, 382–384. [Google Scholar] [CrossRef]
- Rybczynski, R.; Vogt, R.G.; Lerner, M.R. Antennal-specific pheromone-degrading aldehyde oxidases from the Moths Antheraea polyphermus and Bombyx mori. J. Biol. Chem. 1990, 265, 19712–19715. [Google Scholar] [CrossRef]
- Zhang, Y.X.; Wang, W.L.; Li, M.Y.; Li, S.G.; Liu, L.S. Identification of putative carboxylesterase and aldehyde oxidase genes from the antennae of the rice leaffolder, Cnaphalocrosis medinalis (Lepidoptera: Pyralidae). J. Asia-Pac. Entomol. 2017, 20, 907–913. [Google Scholar] [CrossRef]
- Xu, W.; Liao, Y. Identification and characterization of aldehyde oxidases (AOXs) in the cotton bollworm. Sci. Nat. 2017, 104, 94. [Google Scholar] [CrossRef] [PubMed]
- Kwadha, C.; Ong´amo, G.; Ndegwa, P.; Raina, S.; Fombong, A. The biology and control of the greater wax Moth, Galleria mellonella. Insects 2017, 8, 61. [Google Scholar] [CrossRef]
- Williams, J.L. Insects: Lepidoptera (Moths). In Honey Bee Pests, Predators, and Diseases; Morse, R., Flottum, K., Eds.; AI Root Company: Medina, OH, USA, 1997; pp. 121–141. [Google Scholar]
- Leyrer, R.; Monroe, R. Isolation and identification of the scent of the moth, Galleria mellonella, and a revaluation of its sex pheromone. J. Insect Physiol. 1973, 19, 2267–2271. [Google Scholar] [CrossRef]
- Butenandt, A.; Beckman, R.; Stamm, D.; Hecker, E. Über den sexuallockstoff des seidenspinners Bombyx mori. Reindarstellung und konstitution. Z. Naturforsch. B 1959, 14, 283–284. [Google Scholar] [CrossRef]
- Choo, Y.M.; Pelletier, J.; Atungulu, E.; Leal, W.S. Identification and characterization of an antennae-specific aldehyde oxidase from the Navel Orangeworm. PLoS ONE 2013, 8, e67794. [Google Scholar] [CrossRef]
- Zhang, Y.N.; Xia, Y.H.; Zhu, J.Y.; Li, S.Y.; Dong, S.L. Putative Pathway of Sex Pheromone Biosynthesis and Degradation by Expression Patterns of genes Identified from Female Pheromone Gland and Adult Antenna of Sesamia inferens (Walker). J. Chem. Ecol. 2014, 40, 439–451. [Google Scholar] [CrossRef]
- Foster, S.; Anderson, K. Production and distribution of aldehyde and alcohol sex pheromone components in the pheromone gland of females of the Moth Chloridea virescens. J. Chem. Ecol. 2018, 47, 9–17. [Google Scholar] [CrossRef]
- Hao, C.Y.; Fan, R.; Qin, X.W.; Hu, L.S.; Tan, L.H.; Xu, F.; Wu, B.W. Characterization of volatile compounds in ten Piper species cultivated in Hainan Island, South China. Int. J. Food Prop. 2018, 21, 633–644. [Google Scholar] [CrossRef]
- González-Mas, M.C.; Rambla, J.L.; López-Gresa, M.P.; Blázquez, M.A.; Granell, A. Volatile compounds in Citrus essential oils: A comprehensive review. Front. Plant Sci. 2019, 10, 12. [Google Scholar] [CrossRef]
- Giuffrè, A.M.; Capocasale, M.; Macrì, R.; Caracciolo, M.; Zappia, C.; Poiana, M. Volatile profiles of extra virgin olive oil, olive pomace oil, soybean oil and palm oil in different heating conditions. LWT 2020, 117, 108631. [Google Scholar] [CrossRef]
- Castro-Vázquez, L.; Díaz-Maroto, M.C.; Pérez-Coello, M.S. Aroma composition and new chemical markers of Spanish citrus honeys. Food Chem. 2007, 103, 601–606. [Google Scholar] [CrossRef]
- Lima-Neto, J.; Lopes, J.A.; Moita-Neto, J.M.; Lima, S.G.; Luz, C.F.; Citó, A.M. Volatile compounds and palynological analysis from pollen pots of stingless bees from the mid-north region of Brazil. Braz. J. Pharm. Sci. 2017, 53, 1–9. [Google Scholar] [CrossRef]
- Pattamayutanon, P.; Angeli, S.; Thakeow, P.; Abraham, J.; Disayathanoowat, T.; Chantawannakul, P. Volatile organic compounds of Thai honeys produced from several floral sources by different honey bee species. PLoS ONE 2017, 12, e0172099. [Google Scholar] [CrossRef]
- Abd El-Wahed, A.A.; Khalifa, S.A.M.; Sheikh, B.Y.; Farag, M.A.; Saeed, A.; Larik, F.A.; Koca-Caliskan, U.; AlAjmi, M.F.; Hassan, M.; Wahabi, H.A.; et al. Bee Venom Composition: From Chemistry to Biological Activity. In Studies in Natural Products Chemistry; Rahman, A., Ed.; Elsevier: Amsterdam, The Netherlands, 2019; pp. 459–484. [Google Scholar]
- Ritter, W.; Akratanakul, P. Honey Bee Diseases and Pests: A Practical Guide; FAO, Ed.; FAO: Rome, Italy, 2006; pp. 1–42. Available online: https://www.fao.org/3/a0849e/A0849E.pdf (accessed on 16 July 2022).
- Zhao, H.X.; Xiao, W.Y.; Ji, C.H.; Ren, Q.; Xia, X.S.; Zhang, X.F.; Huang, W.Z. Candidate chemosensory genes identified from the grater wax moth, Galleria mellonella, through a transcriptomic analysis. Sci. Rep. 2019, 9, 10032. [Google Scholar] [CrossRef] [PubMed]
- Lizana, P.; Machuca, J.; Larama, G.; Quiroz, A.; Mutis, A.; Venthur, H. Mating-based regulation and ligand binding of an odorant-binding protein support the inverse sexual communication of the greater wax moth, Galleria mellonella (Lepidoptera: Pyralidae). Insect Mol. Biol. 2020, 29, 337–351. [Google Scholar] [CrossRef] [PubMed]
- Zamorano, D. Utilización de un extracto alcohólico de Neem (Azadirachta indica A. Juss.) para el control de Galleria mellonella L. (Lepidoptera: Pyralidae). Ph.D. Thesis, Universidad Austral de Chile, Facultad de Ciencias Agrarias, Escuela de Agronomía, Valdivia, Chile, 2011. Available online: http://cybertesis.uach.cl/tesis/uach/2011/fac764u/doc/fac764u.pdf (accessed on 20 July 2022).
- Vernon, R.S.; Borden, J.H.; Pierce, H.D.; Oehlschlager, A.C. Host Selection by Hylemya antiqua. Laboratory bioassay and methods of obtaining host volatiles. J. Chem. Ecol. 1977, 3, 359–368. [Google Scholar] [CrossRef]
- Agelopoulos, N.G.; Hooper, A.M.; Maniar, S.P.; Pickett, J.A.; Wadhams, L.J. A novel approach for isolation of volatile chemicals released by individual leaves of a plant in situ. J. Chem. Ecol. 1999, 25, 1411–1425. [Google Scholar] [CrossRef]
- Parra, L.; Mutis, A.; Ceballos, R.; Lizama, M.; Pardo, F.; Perich, F.; Quiroz, A. Volatiles released from Vaccinium corymbosum were attractive to Aegorhinus superciliosus (Coleoptera: Curculionidae) in an olfatometric bioassay. Environ. Entomol. 2009, 38, 781–789. [Google Scholar] [CrossRef]
- Altschul, S.F.; Madden, T.L.; Schäffer, A.A.; Zhang, J.; Zhang, Z.; Miller, W.; Lipman, D.K. Gapped BLAST and PSI-BLAST: A new generation of protein database search programs. Nucleic Acids Res. 1997, 25, 3389–3402. [Google Scholar] [CrossRef]
- Anderson, I.; Brass, A. Searching DNA databases for similarities to DNA sequences: When is a match significant? Bioinformatics 1998, 14, 349–356. [Google Scholar] [CrossRef]
- Godoy, R.; Mutis, A.; Carabajal-Paladino, L.; Venthur, H. Genome-Wide identification of aldehyde oxidase genes in moths and butterflies suggests new insights into their function as odorant-degrading enzymes. Front. Ecol. Evol. 2022, 10, 823119. [Google Scholar] [CrossRef]
- Katoh, K.; Rozewicki, J.; Yamada, K.D. MAFFT online service: Multiple sequence alignment, interactive sequence choice and visualization. Brief. Bioinform. 2019, 20, 1160–1166. [Google Scholar] [CrossRef]
- Sela, I.; Ashkenazy, H.; Katoh, K.; Pupko, T. GUIDANCE2: Accurate detection of unreliable alignment regions accounting for the uncertainty of multiple parameters. Nucleic Acids Res. 2015, 43, W7–W14. [Google Scholar] [CrossRef]
- Price, M.; Dehal, P.; Arkin, A. FastTree 2—Approximately maximum- likelihood trees for large alignments. PLoS ONE 2010, 5, e9490. [Google Scholar] [CrossRef]
- Gu, S.H.; Zhou, J.J.; Gao, S.; Wang, D.H.; Li, X.C.; Guo, Y.Y.; Zhang, Y.J. Identification and comparative expression analysis of odorant binding protein genes in the tobacco cutworm Spodoptera litura. Sci. Rep. 2015, 5, 13800. [Google Scholar] [CrossRef]
- Pfaffl, M.W. A new mathematical model for relative quantification in real-time RT-PCR. Nucleic Acids Res. 2001, 29, 16–21. [Google Scholar] [CrossRef]
- Wang, M.M.; He, M.; Wang, H.; Ma, Y.F.; Dewer, Y.; Zhang, F.; He, P. A candidate aldehyde oxidase in the antennae of the diamondback moth, Plutella xylostella (L.), is potentially involved in the degradation of pheromones, plant-derived volatiles and the detoxification of xenobiotics. Pestic. Biochem. Phys. 2021, 171, 104726. [Google Scholar] [CrossRef]
- Ferber, C.E.; Nursten, H.E. The aroma of beeswax. J. Sci. Food Agric. 1977, 28, 511–518. [Google Scholar] [CrossRef]
- Radovic, B.S.; Careri, M.; Mangia, A.; Musci, M.; Gerboles, M.; Anklam, E. Contribution of dynamic headspace GC-MS analysis of aroma compounds to authenticity testing of honey. Food Chem. 2001, 72, 511–520. [Google Scholar] [CrossRef]
- Torto, B.; Suazo, A.; Alborn, H.; Tumlinson, J.; Teal, P. Response of the small beetle (Aethina tumida) to a blend of chemicals identified from honeybee (Apis mellifera) volatiles. Apidologie 2005, 36, 523–532. [Google Scholar] [CrossRef]
- Zehentbauer, G.; Reineccius, G.A. Determination of key aroma components of Cheddar cheese using dynamic headspace dilution assay. Flavour Fragr. J. 2002, 17, 300–305. [Google Scholar] [CrossRef]
- Schmitt, T.; Herzner, G.; Weckerle, B.; Schreier, P.; Strohm, E. Volatiles of foraging honeybees Apis mellifera (Hymenoptera: Apidae) and their potential role as semiochemicals. Apidologie 2007, 38, 164–170. [Google Scholar] [CrossRef]
- Mohtar, L.; Rodríguez, S.; Nazareno, M. Comparative analysis of volatile compounds profiles of propolis from different provenances. J. Sci. Food Agric. 2017, 98, 3409–3415. [Google Scholar] [CrossRef] [PubMed]
- Marques, F.; McElfresh, J.S.; Millar, J. Kováts Retention Indexes of Monounsaturated C12, C14, and C16 Alcohols, Acetates and Aldehydes Commonly Found in Lepidopteran Pheromone Blends. J. Braz. Chem. Soc. 2000, 11, 592–599. [Google Scholar] [CrossRef]
- Adams, R.P. Identification of Essential Oil Components by Gas Chromatography/Mass Spectrometry; Allured Publishing: Carol Stream, IL, USA, 2007; ISBN 1932633219. [Google Scholar]
- Flint, H.; Merkle, J. Mating behavior, sex pheromone responses, and radiation sterilization of the greater wax moth (Lepidoptera: Pyralidae). J. Econ. Entomol. 1983, 76, 467–472. [Google Scholar] [CrossRef]
- Chisholm, M.; Jell, J.; Cass, D. Characterization of the major odorants found in the peel oil of Citrus reticulata Blanco cv. Clementine using gas chromatography-olfactometry. Flavour Fragr. J. 2003, 18, 275–281. [Google Scholar] [CrossRef]
- Boo, K.S. Variation in sex pheromone composition of a few selected lepidopteran species. J. Asia-Pac. Entomol. 1998, 1, 17–23. [Google Scholar] [CrossRef]
- El-Sayed, A.M.; Gibb, A.R.; Mitchell, V.J.; Manning, L.A.; Revell, J.; Thistleton, B.; Suckling, D.M. Identification of the sex pheromone of Conogethes pluto: A pest of Alpinia. Chemoecology 2013, 23, 93–101. [Google Scholar] [CrossRef]
- Nielsen, R.A.; Brister, D. The greater wax moth: Adult behavior. Ann. Entomol. Soc. Am. 1977, 70, 101–103. [Google Scholar] [CrossRef]
- Durand, N.; Carot-Sans, G.; Bozzolan, F.; Rosell, G.; Siaussat, D.; Debernand, S.; Chertemps, T.; Maïbèche-Coisne, M. Degradation of pheromone and plant volatile components by a same Odorant-degrading enzyme in the Cotton Leafworm, Spodoptera littoralis. PLoS ONE 2011, 6, e29147. [Google Scholar] [CrossRef]
- He, P.; Zhang, Y.N.; Yang, K.; Li, Z.Q.; Dong, S.L. An antenna-biased carboxylesterase is specifically active to plant volatiles in Spodoptera exigua. Pestic. Biochem. Phys. 2015, 123, 93–100. [Google Scholar] [CrossRef]
- Huang, X.; Liu, L.; Su, X.; Feng, J. Identification of biotransformation enzymes in the antennae of codling moth Cydia pomonella. Gene 2016, 580, 73–79. [Google Scholar] [CrossRef]
- Kurosaki, M.; Bolis, M.; Fratelli, M.; Barzago, M.M.; Pattini, L.; Perretta, G.; Terao, M.; Garattini, E. Structure and evolution of vertebrate aldehyde oxidases: From gene duplication to gene suppression. Cell. Mol. Life Sci. 2013, 70, 1807–1830. [Google Scholar] [CrossRef]
- Zhang, Y.; Yang, Y.; Shen, G.; Mao, X.; Jiao, M.; Lin, Y. Identification and characterization of aldehyde oxidase 5 in the pheromone gland of the Silkworm (Lepidoptera: Bombycidae). J. Insect Sci. 2020, 20, 31. [Google Scholar] [CrossRef]
- Coleman, M.; Vontas, J.G.; Hemingway, J. Molecular characterization of the amplified aldehyde oxidase from insecticide resistance Culex quinquefasciatus. Eur. J. Biochem. 2002, 269, 768–779. [Google Scholar] [CrossRef]
- Ando, T.; Inomata, S.I.; Yamamoto, M. Lepidopteran Sex Pheromones. In The Chemistry of Pheromones and Other Semiochemicals I; Schulz, S., Ed.; Springer: Berlin/Heidelberg, Germany, 2004; pp. 51–96. [Google Scholar]
- Newman, J.; Ghaemmaghami, S.; Ihmels, J.; Breslow, D.; Noble, M.; DeRisi, J.; Weissman, J.S. Single-cell proteomic analysis of S. cerevisiae reveals the architecture of biological noise. Nature 2006, 441, 840–846. [Google Scholar] [CrossRef]
- Legal, L.; Moulin, B.; Jallon, J.M. The Relation between Structures and Toxicity of Oxygenated Aliphatic Compounds Homologous to the Insecticide Octanoic Acid and the Chemotaxis of Two Species of Drosophila. Pestic. Biochem. Physiol. 1999, 65, 90–101. [Google Scholar] [CrossRef]
- Tian, Y.; Fan, H.; Wang, Y.; Zheng, Y.; Hu, D.; Du, S. Insecticidal and Repellent Activities of Volatile Constituents from Litsea dilleniifolia P. Y. Pai et P. H. Huang Against Stored-Product Insects. Rec. Nat. Prod. 2022, 16, 398–403. [Google Scholar] [CrossRef]
- Flores-Macías, A.; Flores-Sánchez, M.A.; León-Herrera, L.R.; Mondragón-Olguín, V.M.; Zavala-Gómez, C.E.; Tapia-Pérez, A.D.; Campos-Guillén, J.; Amaro-Reyes, A.; Sandoval-Cárdenas, D.; Romero-Gómez, S.; et al. Activity of chloroformic extract from Salvia connivens (Lamiales: Lamiaceae) and its principal compounds against Spodoptera frugiperda (Lepidoptera: Noctuidae). Appl. Sci. 2021, 11, 11813. [Google Scholar] [CrossRef]
- Omolo, M.O.; Ndiege, I.O.; Hassanali, A. Semiochemical signatures associated with differential attraction of Anopheles gambiae to human feet. PLoS ONE 2021, 16, e0260149. [Google Scholar] [CrossRef]
- Cui, K.; He, L.; Cui, G.; Zhang, T.; Chen, Y.; Zhang, T.; Mu, W.; Liu, F. Biological activity of trans-2-Hexanal against the storage insect pest Tribolium castaneum (Coleoptera: Tenebrionidae) and mycotoxigenic storange fungi. J. Econ. Entomol. 2021, 114, 979–987. [Google Scholar] [CrossRef]
- Wojtasek, H.; Leal, W.S. Degradation of an alkaloid pheromone from the pale-brown chafer, Phyllopertha diversa (Coleoptera: Scarabaeidae), by an insect olfactory cytochrome P450. FEBS Lett. 1999, 458, 333–336. [Google Scholar] [CrossRef] [PubMed]
- Scott, J.G.; Wen, Z. Cytochromes P450 of insects: The tip of the iceberg. Pest Manag. Sci. 2001, 57, 958–967. [Google Scholar] [CrossRef] [PubMed]
- Pino, J.; Marbot, R.; Delgado, A.; Zumárraga, C.; Sauri, E. Volatile constituents of propolis from honey bees and stingless bees from Yucatán. J. Essent. Oil Res. 2006, 18, 53–56. [Google Scholar] [CrossRef]
- Choi, H.S. Character impact odorants of Citrus hallabong [(C. unshiu Marcov x C. sinensis Osbeck) x C. reticulata Blanco] Cold-Pressed Peel Oil. J. Agric. Food. Chem. 2003, 51, 2687–2692. [Google Scholar] [CrossRef] [PubMed]
- Panseri, S.; Manzo, A.; Chiesa, L.; Giorgi, A. Melissopalynological and volatile compounds analysis of buckwheat honey from different geographical origins and their role in botanical determination. J. Chem. 2013, 904202, 1–11. [Google Scholar] [CrossRef]
- Adams, R.P. The leaf essential oils and chemotaxonomy of Juniperus sect. Juniperus. Biochem. System. Ecol. 1998, 26, 637–645. [Google Scholar] [CrossRef]
- Karioti, A.; Skaltsa, H.; Demetzos, C.; Perdetzoglou, D.; Economakis, C.D.; Salem, A.B. Effect of nitrogen concentration of the nutrient solution on the volatile constituents of leaves of Salvia fruticosa Mill. in solution culture. J. Agric. Food Chem. 2003, 51, 6505–6508. [Google Scholar] [CrossRef]
- Kaskoniene, V.; Venskutonis, P. Floral markers in honey of various botanical and geographic origins: A review. Compr. Rev. Food Sci. Food Saf. 2010, 9, 620–634. [Google Scholar] [CrossRef]
- Hamm, S.; Bleton, J.; Connan, J.; Tchapla, A. A chemical investigation by headspace SPME and GC-MS of volatile and semi-volatile terpenes in various olibanum samples. Phytochemistry 2005, 66, 1499–1514. [Google Scholar] [CrossRef]
- Skaltsa, H.D.; Demetzos, C.; Lazari, D.; Sokovic, M. Essential oil analysis and antimicrobial activity of eight Stachys species from Greece. Phytochemistry 2003, 64, 743–752. [Google Scholar] [CrossRef] [PubMed]
- De Kraker, J.W.; Schurink, M.; Franssen, M.C.; König, W.A.; De Groot, A.; Bouwmeester, H.J. Hydroxylation of sesquiterpenes by enzymes from chicory (Cichorium intybus L.) roots. Tetrahedron 2003, 59, 409–418. [Google Scholar] [CrossRef]
- Tellez, M.R.; Canel, C.; Rimando, A.M.; Duke, S.O. Differential accumulation of isoprenoids in glanded and glandless Artemisia annua L. Phytochemistry 1999, 52, 1035–1040. [Google Scholar] [CrossRef]
- Apel, M.A.; Sobral, M.; Schapoval, E.E.; Henriques, A.T.; Menut, C.; Bessiere, J.M. Essential oil composition of Eugenia florida and Eugenia mansoi. J. Essent. Oil Res. 2004, 16, 321–322. [Google Scholar] [CrossRef]
- Zahn, D.K.; Moreira, J.A.; Millar, J.G. Identification, synthesis, and bioassay of a male-specific aggregation pheromone from the harlequin bug, Murgantia histrionica. J. Chem. Ecol. 2008, 34, 238–251. [Google Scholar] [CrossRef]
- Jordán, M.J.; Margaria, C.A.; Shaw, P.E.; Goodner, K.L. Volatile components and aroma active compounds in aqueous essence and fresh pink Guava fruit puree (Psidium guajava L.) by GC-MS and multidimensional GC/GC-O. J. Agric. Food Chem. 2003, 51, 1421–1426. [Google Scholar] [CrossRef]
- Sotomayor, J.A.; Martinez, R.M.; Garcia, A.J.; Jordan, M.J. Thymus zygis subsp. Gracilis: Watering level effect on phytomass production and essential oil quality. J. Agric. Food Chem. 2004, 52, 5418–5424. [Google Scholar] [CrossRef]
- Tepe, B.; Donmez, E.; Unlu, M.; Candan, F.; Daferera, D.; Vardar-Unlu, G.; Polissiou, M.; Sokmen, A. Antimicrobial and antioxidative activities of the essential oils and methanol extracts of Salvia cryptantha (Montbret et Aucher ex Benth.) and Salvia multicaulis (Vahl). Food Chem. 2004, 84, 519–525. [Google Scholar] [CrossRef]
- Adams, R.P.; Dev, V. Synthesis and GC-MS analysis of angelates and tiglates as an aid to identification of these components in essential oils. Flavour Fragr. J. 2010, 25, 71–74. [Google Scholar] [CrossRef]
- Ali, N.A.; Wurster, M.; Arnold, N.; Teicher, A.; Schmidt, J.; Lindequist, U.; Wessjohann, L. Chemical composition and biological activity of essential oils from the Oleogum resins of three endemic soqotraen Boswellia species. Rec. Nat. Prod. 2008, 2, 6–12. [Google Scholar]
- Demyttenaere, J.C.; Sánchez-Martínez, J.I.; Verhé, R.; Sandra, P.; De Kimpe, N. Analysis of volatiles of malt whisky by solid-phase microextraction and stir bar sorptive extraction. J. Chromatogr. A. 2003, 985, 221–232. [Google Scholar] [CrossRef] [PubMed]
- El-Sayed, A.M.; Heppelthwaite, V.J.; Manning, L.M.; Gibb, A.R.; Suckling, D.M. Volatile constituents of fermented sugar baits and their attraction to lepidopteran species. J. Agric. Food Chem. 2005, 53, 953–958. [Google Scholar] [CrossRef]
- Wang, Q.; Yang, Y.; Zhao, X.; Zhu, B.; Nan, P.; Zhao, J.; Wang, L.; Chen, F.; Liu, Z.; Zhong, Y. Chemical variation in the essential oil of Ephedra sinica from Northeastern China. Food Chem. 2006, 98, 52–58. [Google Scholar] [CrossRef]
- McDaniel, C.A.; Schmidt, J.O.; Howard, R.W. Mandibular gland secretions of the male beewolves Philanthus crabroniformis, P. barbatus, and P. pulcher (Hymenoptera: Sphecidae). J. Chem. Ecol. 1992, 18, 27–37. [Google Scholar] [CrossRef]
- De Simon, B.F.; Estruelas, E.; Munoz, A.M.; Cadahia, E.; Sanz, M. Volatile compounds in acacia, chestnut, cherry, ash, and oak woods, with a view to their use in cooperage. J. Agri. Food Chem. 2009, 57, 3217–3227. [Google Scholar] [CrossRef]
- Witte, L.; Rubiolo, P.; Bicchi, C.; Hartmann, T. Comparative analysis of pyrrolizidine alkaloids from natural sources by gas chromatography-mass spectrometry. Phytochemistry 1993, 32, 187–196. [Google Scholar] [CrossRef]
- DeGrandi-Hoffman, G.; Chambers, M.; Hooper, J.; Schneider, S. Description of an intermorph between a worker and queen in african honey bees Apis mellifera scutellata (Hymenoptera: Apidae). Ann. Entomol. Soc. Am. 2004, 97, 1299–1305. [Google Scholar] [CrossRef]
- Zhao, Y.; Li, J.; Xu, Y.; Duan, H.; Fan, W.; Zhao, G. Extraction, preparation and identification of volatile compounds in Changyu XO Brandy. Chin. J. Chromatogr. 2008, 26, 212–222. [Google Scholar] [CrossRef]
- Morteza-Semnani, K.; Akbarzadeh, M.; Moshiri, K. The essential oil composition of Eupatorium cannabinum L. from Iran. Flavour Fragr. J. 2006, 21, 521–523. [Google Scholar] [CrossRef]
- Gómez, E.; Ledbetter, C.A.; Hartsell, P.L. Volatile compounds in apricot, plum, and their interspecific hybrids. J. Agric. Food Chem. 1993, 41, 1669–1676. [Google Scholar] [CrossRef]
- Suwannapong, G.; Benbow, M.; Chinokul, C.; Seanbualuang, P.; Sivaram, V. Bioassay of the mandibular gland pheromones of Apis florea on the foraging activity of dwarf honey bees. J. Apic. Res. 2011, 50, 212–217. [Google Scholar] [CrossRef]
- Leffingwell, J.C.; Alford, E.D. Volatile constituents of perique tobacco. Elec. J. Env. Agricult. Food Chem. 2005, 4, 899–915. Available online: http://www.leffingwell.com/download/Volatile%20Constituents%20of%20Perique%20Tobacco4.pdf (accessed on 1 September 2022).
- Rostad, C.E.; Pereira, W.E. Kovats and Lee Retention Indices determined by Gas Chromatography/Mass Spectrometry for organic compounds of environmental interest. J. High. Resolut Chromatogr. Chromatogr. Commun. 1986, 9, 328–334. [Google Scholar] [CrossRef]
- Jaramillo, J.; Torto, B.; Mwenda, D.; Troeger, A.; Borgemeister, C.; Poehling, H.M.; Francke, W. Coffee berry borer joins bark beetles in coffee klatch. PLoS ONE 2013, 8, e74277. [Google Scholar] [CrossRef] [PubMed]
- Harrison, B.M.; Priest, F.G. Composition of peaks used in the preparation of malt for Scotch Whisky production - influence of geographical source and extraction depth. J. Agric. Food Chem. 2009, 57, 2385–2391. [Google Scholar] [CrossRef]
- Graham, J. The Attraction of Bumble Bee (Hymenoptera: Apidae, Bombus impatiens Cresson) Colonies to Small Hive Beetles (Coleoptera: Nitidulidae, Aethina tumida Murray). 2009; A thesis presented to the graduate school of the University of Florida. Available online: http://ufdc.ufl.edu/UFE0024736/00001 (accessed on 1 September 2022).
- Lai, W.C.; Song, C. Temperature-programmed retention indices for GC. and GC-MS analysis of coal- and petroleum-derived liquid fuels. Fuel. 1995, 74, 1436–1451. [Google Scholar] [CrossRef]
- Zaikin, V.G.; Borisov, R.S. Chromatographic-mass spectrometric analysis of Fischer-Tropsch synthesis products. J. Anal. Chem. 2002, 57, 544–551. [Google Scholar] [CrossRef]
- Jordán, M.J.; Margaría, C.A.; Shaw, P.E.; Goodner, K.L. Aroma active components in aqueous kiwi fruit essence and kiwi fruit puree by GC-MS and multidimensional GC/GC-O. J. Agric. Food Chem. 2002, 50, 5386–5390. [Google Scholar] [CrossRef]
- Karabadagias, I.; Karabadagias, V.; Badeka, A. The honey volatile code: A collective study and extended version. Foods. 2019, 8, 508. [Google Scholar] [CrossRef]
- Pino, J.A.; Mesa, J.; Munoz, Y.; Marti, M.P.; Marbot, R. Volatile components from mango (Mangifera indica L.) cultivars. J. Agric. Food Chem. 2005, 53, 2213–2223. [Google Scholar] [CrossRef]
- Kim, K.R.; Kim, H. Gas chromatographic profiling and screening for phenols as isobutoxycarbonyl derivatives in aqueous samples. J. Chromatogr. A 2000, 866, 87–96. [Google Scholar] [CrossRef]
Publisher’s Note: MDPI stays neutral with regard to jurisdictional claims in published maps and institutional affiliations. |
© 2022 by the authors. Licensee MDPI, Basel, Switzerland. This article is an open access article distributed under the terms and conditions of the Creative Commons Attribution (CC BY) license (https://creativecommons.org/licenses/by/4.0/).



