A New Lighting System for Surgical Vision Optimization in Barbed Pharyngoplasty for OSA
Abstract
:1. Introduction
2. Materials and Methods
2.1. Patients’ Selection
2.2. Surgical Procedure
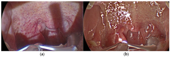
2.3. The Illumination Device
2.4. Mounting the KLAROTM Device on Tongue Retractor
2.5. Study Design
2.6. Statistical Analysis
3. Results
3.1. Intraoperative Quality of Visualization of Anatomical Structures According to the Surgeon: Headlamp vs. KLAROTM
3.2. Intraoperative Quality of Visualization of Anatomical Structures According to the Residents: Headlamp vs. KLAROTM
4. Discussion
5. Conclusions
Author Contributions
Funding
Institutional Review Board Statement
Informed Consent Statement
Data Availability Statement
Acknowledgments
Conflicts of Interest
References
- Mantovani, M.; Minetti, A.; Torretta, S.; Pincherle, A.; Tassone, G.; Pignataro, L. The “Barbed Roman Blinds” technique: A step forward. Acta Otorhinolaryngol. Ital. 2013, 33, 128. [Google Scholar] [PubMed]
- Patil, S.P.; Ayappa, I.A.; Caples, S.M.; Kimoff, R.J.; Patel, S.R.; Harrod, C.G. Treatment of Adult Obstructive Sleep Apnea with Positive Airway Pressure: An American Academy of Sleep Medicine Clinical Practice Guideline. J. Clin. Sleep Med. 2019, 15, 335–343. [Google Scholar] [CrossRef] [PubMed]
- Ramar, K.; Dort, L.C.; Katz, S.G.; Lettieri, C.J.; Harrod, C.G.; Thomas, S.M.; Chervin, R.D. Clinical Practice Guideline for the Treatment of Obstructive Sleep Apnea and Snoring with Oral Appliance Therapy: An Update for 2015. J. Clin. Sleep Med. 2015, 11, 773–827. [Google Scholar] [CrossRef] [PubMed]
- Chiu, F.H.; Chen, C.Y.; Lee, J.C.; Hsu, Y.S. Effect of Modified Uvulopalatopharyngoplasty without Tonsillectomy on Obstructive Sleep Apnea: Polysomnographic Outcome and Correlation with Drug-Induced Sleep Endoscopy. Nat. Sci. Sleep 2021, 13, 11–19. [Google Scholar] [CrossRef] [PubMed]
- Kent, D.; Stanley, J.; Aurora, R.N.; Levine, C.; Gottlieb, D.J.; Spann, M.D.; Torre, C.A.; Green, K.; Harrod, C.G. Referral of adults with obstructive sleep apnea for surgical consultation: An American Academy of Sleep Medicine clinical practice guideline. J. Clin. Sleep Med. 2021, 17, 2499–2505. [Google Scholar] [CrossRef] [PubMed]
- Sheen, D.; Abdulateef, S. Uvulopalatopharyngoplasty. Oral. Maxillofac. Surg. Clin. North Am. 2021, 33, 295–303. [Google Scholar] [CrossRef] [PubMed]
- Vicini, C.; Meccariello, G.; Montevecchi, F.; De Vito, A.; Frassineti, S.; Gobbi, R.; Pelucchi, S.; Iannella, G.; Magliulo, G.; Cammaroto, G. Effectiveness of barbed repositioning pharyngoplasty for the treatment of obstructive sleep apnea (OSA): A prospective randomized trial. Sleep Breath. 2020, 24, 687–694. [Google Scholar] [CrossRef] [PubMed]
- Casale, M.; Moffa, A.; Giorgi, L.; Sabatino, L.; Pierri, M.; Lugo, R.; Baptista, P.; Rinaldi, V. No-cutting remodelling intra-pharyngeal surgery can avoid CPAP in selected OSA patients: Myth or reality? Eur. Arch. Otorhinolaryngol. 2022, 279, 5039–5045. [Google Scholar] [CrossRef] [PubMed]
- Gulotta, G.; Iannella, G.; Meccariello, G.; Cammaroto, G.; Visconti, I.C.; de Vincentiis, M.; Greco, A.; Pelucchi, S.; Magliulo, G.; Ruoppolo, G.; et al. Barbed suture Extrusion and Exposure in palatoplasty for OSA: What does it mean? Am. J. Otolaryngol. 2021, 42, 102994. [Google Scholar] [CrossRef] [PubMed]
- Sahni, D. Is there an Increased Incidence of Cervical Degenerative Disease in Surgeons who use Loupes and a Headlight? J. Spine Surg. 2015, 4, 5. [Google Scholar]
- Festa, B.M.; Zuppardo, J.; Costantino, A.; Ferreli, F.; Spriano, G.; Mercante, G.; De Virgilio, A. High-definition 3D exoscope-assisted tonsillectomy. Am. J. Otolaryngol. 2022, 44, 103674. [Google Scholar] [CrossRef] [PubMed]
- Moffa, A.; Rinaldi, V.; Mantovani, M.; Pierri, M.; Fiore, V.; Costantino, A.; Pignataro, L.; Baptista, P.; Cassano, M.; Casale, M. Different barbed pharyngoplasty techniques for retropalatal collapse in obstructive sleep apnea patients: A systematic review. Sleep Breath. 2020, 24, 1115–1127. [Google Scholar] [CrossRef] [PubMed]



| Headlamp (n° 15) | KLAROTM (n° 15) | p-Value | |||||
|---|---|---|---|---|---|---|---|
| Good | Moderate | Poor | Good | Moderate | Poor | ||
| Uvula | 10 | 5 | 0 | 13 | 2 | 0 | 0.08 |
| Posterior Pharyngeal Wall | 9 | 6 | 0 | 11 | 4 | 0 | 0.16 |
| Palatopharyngeus muscle | 6 | 4 | 5 | 8 | 4 | 3 | 0.04 |
| In and exit point | 6 | 7 | 2 | 9 | 5 | 1 | 0.04 |
| Needle tip | 7 | 5 | 3 | 10 | 4 | 1 | 0.02 |
| Headlamp (n° 15) | KLAROTM (n° 15) | p-Value | |||||
|---|---|---|---|---|---|---|---|
| Good | Moderate | Poor | Good | Moderate | Poor | ||
| Uvula | 8 | 5 | 2 | 9 | 5 | 1 | 0.16 |
| Posterior Pharyngeal Wall | 9 | 5 | 1 | 11 | 3 | 1 | 0.16 |
| Palatopharyngeus muscle | 3 | 8 | 4 | 5 | 8 | 2 | 0.04 |
| In and exit point | 6 | 6 | 3 | 8 | 6 | 1 | 0.04 |
| Needle tip | 5 | 7 | 3 | 8 | 6 | 1 | 0.02 |
Disclaimer/Publisher’s Note: The statements, opinions and data contained in all publications are solely those of the individual author(s) and contributor(s) and not of MDPI and/or the editor(s). MDPI and/or the editor(s) disclaim responsibility for any injury to people or property resulting from any ideas, methods, instructions or products referred to in the content. |
© 2023 by the authors. Licensee MDPI, Basel, Switzerland. This article is an open access article distributed under the terms and conditions of the Creative Commons Attribution (CC BY) license (https://creativecommons.org/licenses/by/4.0/).
Share and Cite
Sabatino, L.; Moffa, A.; Iafrati, F.; Di Giovanni, S.; De Benedetto, L.; Giorgi, L.; Baptista, P.; Vicini, C.; De Vito, A.; Casale, M. A New Lighting System for Surgical Vision Optimization in Barbed Pharyngoplasty for OSA. J. Pers. Med. 2023, 13, 1320. https://doi.org/10.3390/jpm13091320
Sabatino L, Moffa A, Iafrati F, Di Giovanni S, De Benedetto L, Giorgi L, Baptista P, Vicini C, De Vito A, Casale M. A New Lighting System for Surgical Vision Optimization in Barbed Pharyngoplasty for OSA. Journal of Personalized Medicine. 2023; 13(9):1320. https://doi.org/10.3390/jpm13091320
Chicago/Turabian StyleSabatino, Lorenzo, Antonio Moffa, Francesco Iafrati, Simone Di Giovanni, Luigi De Benedetto, Lucrezia Giorgi, Peter Baptista, Claudio Vicini, Andrea De Vito, and Manuele Casale. 2023. "A New Lighting System for Surgical Vision Optimization in Barbed Pharyngoplasty for OSA" Journal of Personalized Medicine 13, no. 9: 1320. https://doi.org/10.3390/jpm13091320
APA StyleSabatino, L., Moffa, A., Iafrati, F., Di Giovanni, S., De Benedetto, L., Giorgi, L., Baptista, P., Vicini, C., De Vito, A., & Casale, M. (2023). A New Lighting System for Surgical Vision Optimization in Barbed Pharyngoplasty for OSA. Journal of Personalized Medicine, 13(9), 1320. https://doi.org/10.3390/jpm13091320

