Feasibility of Neovessel Embolization in a Large Animal Model of Tendinopathy: Safety and Efficacy of Various Embolization Agents
Abstract
:1. Introduction
2. Materials and Methods
2.1. Patellar Tendinopathy Induction
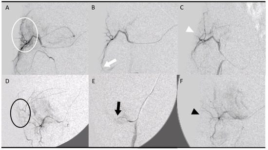
2.2. Angiography Explorations
2.3. Embolization Procedure
- The control group (2 pigs, 4 tendons) underwent diagnostic angiography alone at D7 (no embolization) and D14.
- Two groups (4 pigs, 8 tendons, 4 tendons in each group) were embolized with calibrated Embosphere® microspheres (Merit Medical, Paris, France) of either 50 to 100 µm (50–100 µm group) or 100 to 300 µm (100–300 µm group) diameter at D7 after collagenase injection. The microspheres were diluted to the 1/20th in NaCl and iodinated contrast was injected 0.1 per 0.1 mL according to the “pruning” technique [17] (Figure 2).
- The fourth group (2 pigs, 4 tendons) was embolized at D7 using an emulsion of imipenem/cilastatin (IMP/CS group) (500/500 mg) diluted in 10 mL of Visipaque iodinated contrast (GE Healthcare, Marlborough, MA, USA). The mixture was injected 0.1 per 0.1 mL until complete stasis of the feeding artery according to the Martinez et al. technique [18] was achieved (Figure 2).
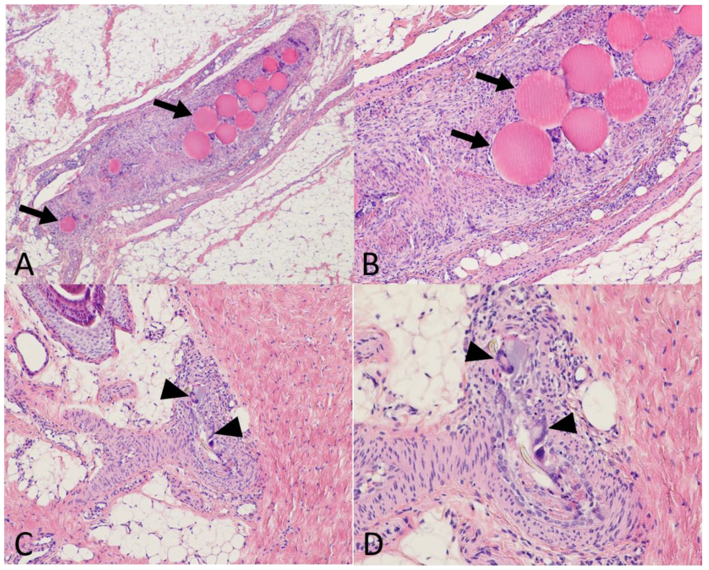
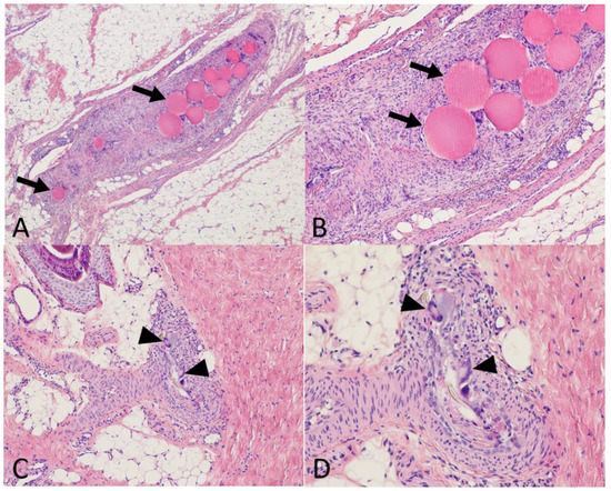
2.4. Histological Analyses
2.5. In Vitro Analysis
2.6. Study Endpoints
2.7. Statistical Analyses
3. Results
3.1. Technical Success
3.2. Safety
3.3. Efficacy
3.4. In Vitro Analysis
4. Discussion
4.1. Neoangiogenesis
4.2. Safety
4.3. In Vitro Analysis
4.4. Limitations
5. Conclusions
Author Contributions
Funding
Institutional Review Board Statement
Informed Consent Statement
Data Availability Statement
Conflicts of Interest
References
- Chen, P.C.; Wu, K.T.; Chou, W.Y.; Huang, Y.C.; Wang, L.Y.; Yang, T.H.; Siu, K.K.; Tu, Y.K. Comparative Effectiveness of Different Nonsurgical Treatments for Patellar Tendinopathy: A Systematic Review and Network Meta-analysis. Arthroscopy 2019, 35, 3117–3131. [Google Scholar] [CrossRef] [PubMed]
- Zayni, R.; Thaunat, M.; Fayard, J.M.; Hager, J.P.; Carrillon, Y.; Clechet, J.; Gadea, F.; Archbold, P.; Sonnery Cottet, B. Platelet-Rich Plasma as a Treatment for Chronic Patellar Tendinopathy: Comparison of a Single versus Two Consecutive Injections. Muscle Ligaments Tendons J. 2015, 5, 92–98. [Google Scholar] [CrossRef]
- Alfredson, H.; Ohberg, L.; Forsgren, S. Is vasculo-neural ingrowth the cause of pain in chronic Achilles tendinosis? An investigation using ultra- sonography and colour Doppler, immunohistochemistry, and diagnostic injections. Knee Surg. Sports Traumatol. Arthrosc. 2003, 11, 334–338. [Google Scholar] [CrossRef] [PubMed]
- Ashraf, S.; Wibberley, H.; Mapp, P.I.; Hill, R.; Wilson, D.; Walsh, D.A. Increased vascular penetration and nerve growth in the meniscus: A potential source of pain in osteoarthritis. Ann. Rheum. Dis. 2011, 70, 523–529. [Google Scholar] [CrossRef]
- Hoksrud, A.S.; Torgalsen, T.; Harstad, H.; Haugen, S.; Andersen, T.; Risberg, M.; Bahr, R. Ultrasound-guided sclerosis of neovessels in patellar tendinopathy: A prospective study of 101 patients. Am. J. Sports Med. 2012, 40, 542–547. [Google Scholar] [CrossRef] [PubMed]
- Okuno, Y.; Matsumura, N.; Oguro, S. Transcatheter arterial embolization using imipenem/cilastatin sodium for tendinopathy and enthesopathy refractory to nonsurgical management. J. Vasc. Interv. Radiol. 2013, 24, 787–792. [Google Scholar] [CrossRef] [PubMed]
- Talaie, R.; Torkian, P.; Clayton, A.; Wallace, S.; Cheung, H.; Chalian, M.; Golzarian, J. Emerging Targets for the Treatment of Osteoarthritis: New Investigational Methods to Identify Neo-Vessels as Possible Targets for Embolization. Diagnostics 2022, 12, 1403. [Google Scholar] [CrossRef]
- Fernández-Martínez, A.M.; Alonso-Burgos, A.; López, R.; Cuesta Marcos, M.T.; Baldi, S. Clinical Outcomes of Transcatheter Arterial Embolization for Secondary Stiff Shoulder. J. Vasc. Interv. Radiol. 2021, 32, 489–496. [Google Scholar] [CrossRef]
- Kim, G.H.; Shin, J.H.; Nam, I.C.; Chu, H.H.; Kim, J.H.; Yoon, H.K. Transcatheter Arterial Embolization for Benign Chronic Inflammatory Joint Pain: A Systematic Review and Meta-Analysis. J. Vasc. Interv. Radiol. 2022, 33, 538–545. [Google Scholar] [CrossRef]
- Okuno, Y.; Korchi, A.M.; Shinjo, T.; Kato, S.; Kaneko, T. Midterm Clinical Outcomes and MR Imaging Changes after Transcatheter Arterial Embolization as a Treatment for Mild to Moderate Radiographic Knee Osteoarthritis Resistant to Conservative Treatment. J. Vasc. Interv. Radiol. 2017, 28, 995–1002. [Google Scholar] [CrossRef]
- Okuno, Y.; Iwamoto, W.; Matsumura, N.; Oguro, S.; Yasumoto, T.; Kaneko, T.; Ikegami, H. Clinical Outcomes of Transcatheter Arterial Embolization for Adhesive Capsulitis Resistant to Conservative Treatment. J. Vasc. Interv. Radiol. 2017, 28, 161–167. [Google Scholar] [CrossRef] [PubMed]
- Iwamoto, W.; Okuno, Y.; Matsumura, N.; Kaneko, T.; Ikegami, H. Transcatheter arterial embolization of abnormal vessels as a treatment for lateral epicondylitis refractory to conservative treatment: A pilot study with a 2-year follow-up. J. Shoulder Elb. Surg. 2017, 26, 1335–1341. [Google Scholar] [CrossRef] [PubMed]
- Inui, S.; Yoshizawa, S.; Shintaku, T.; Kaneko, T.; Ikegami, H.; Okuno, Y. Intra-Arterial Infusion of Imipenem/Cilastatin Sodium through a Needle Inserted into the Radial Artery as a New Treatment for Refractory Trapeziometacarpal Osteoarthritis. J. Vasc. Interv. Radiol. 2021, 32, 1341–1347. [Google Scholar] [CrossRef]
- Hwang, J.H.; Park, S.W.; Kim, K.H.; Lee, S.J.; Oh, K.S.; Chung, S.W.; Moon, S.G. Early Results of Transcatheter Arterial Embolization for Relief of Chronic Shoulder or Elbow Pain Associated with Tendinopathy Refractory to Conservative Treatment. J. Vasc. Interv. Radiol. 2018, 29, 510–517. [Google Scholar] [CrossRef] [PubMed]
- Gremen, E.; Frandon, J.; Lateur, G.; Finas, M.; Rodière, M.; Horteur, C.; Benassayag, M.; Thony, F.; Pailhe, R.; Ghelfi, J. Safety and Efficacy of Embolization with Microspheres in Chronic Refractory Inflammatory Shoulder Pain: A Pilot Monocentric Study on 15 Patients. Biomedicines 2022, 10, 744. [Google Scholar] [CrossRef] [PubMed]
- Ghelfi, J.; Bacle, M.; Stephanov, O.; de Forges, H.; Soulairol, I.; Roger, P.; Ferretti, G.R.; Beregi, J.P.; Frandon, J. Collagenase-Induced Patellar Tendinopathy with Neovascularization: First Results towards a Piglet Model of Musculoskeletal Embolization. Biomedicines 2021, 10, 2. [Google Scholar] [CrossRef] [PubMed]
- Little, M.W.; Gibson, M.; Briggs, J.; Speirs, A.; Yoong, P.; Ariyanayagam, T.; Davies, N.; Tayton, E.; Tavares, S.; MacGill, S.; et al. Genicular artEry embolizatioN in patiEnts with oSteoarthrItiS of the Knee (GENESIS) Using Permanent Microspheres: Interim Analysis. Cardiovasc. Interv. Radiol. 2021, 44, 931–940. [Google Scholar] [CrossRef]
- Fernández Martínez, A.M.; Baldi, S.; Alonso-Burgos, A.; López, R.; Vallejo-Pascual, M.E.; Cuesta Marcos, M.T.; Romero Alonso, D.; Rodríguez Prieto, J.; Mauriz, J.L. Mid-Term Results of Transcatheter Arterial Embolization for Adhesive Capsulitis Resistant to Conservative Treatment. Cardiovasc. Interv. Radiol. 2021, 44, 443–451. [Google Scholar] [CrossRef]
- Fearon, A.; Dahlstrom, J.E.; Twin, J.; Cook, J.; Scott, A. The Bonar Score Revisited: Region of Evaluation Significantly Influences the Standardized Assessment of Tendon Degeneration. J. Sci. Med. Sport 2014, 17, 346–350. [Google Scholar] [CrossRef]
- Khan, K.M.; Cook, J.L.; Bonar, F.; Harcourt, P.; Astrom, M. Histopathology of Common Tendinopathies. Update and Implications for Clinical Management. Sports Med. 1999, 27, 393–408. [Google Scholar] [CrossRef]
- Maffulli, N.; Longo, U.G.; Franceschi, F.; Rabitti, C.; Denaro, V. Movin and Bonar Scores Assess the Same Characteristics of Tendon Histology. Clin. Orthop. Relat. Res. 2008, 466, 1605–1611. [Google Scholar] [CrossRef] [PubMed]
- Taguchi, H.; Tanaka, T.; Nishiofuku, H.; Fukuoka, Y.; Minamiguchi, K.; Taiji, R.; Takayama, K.; Takeda, M.; Hatakeyama, K.; Inoue, T.; et al. A Rat Model of Frozen Shoulder Demonstrating the Effect of Transcatheter Arterial Embolization on Angiography, Histopathology, and Physical Activity. J. Vasc. Interv. Radiol. 2021, 32, 376–383. [Google Scholar] [CrossRef] [PubMed]
- Uflacker, A.B.; Keefe, N.; Bruner, E.T.; Avery, A.; Salzar, R.; Henderson, K.; Spratley, M.; Nacey, N.; Miller, W.; Grewal, S.; et al. Assessing the Effects of Geniculate Artery Embolization in a Nonsurgical Animal Model of Osteoarthritis. J. Vasc. Interv. Radiol. 2022, 33, 1073–1082. [Google Scholar] [CrossRef]
- Zabrzyński, J.; Gagat, M.; Łapaj, Ł.; Paczesny, Ł.; Yataganbaba, A.; Szwedowski., D.; Huri, G. Relationship between long head of the biceps tendon histopathology and long-term functional results in smokers. A time to reevaluate the Bonar score? Ther. Adv. Chronic Dis. 2021, 12, 2040622321990262. [Google Scholar] [CrossRef]
- Szwedowski, D.; Jaworski, Ł.; Szwedowska, W.; Pękala, P.; Gagat, M. Neovascularization in Meniscus and Tendon Pathology as a Potential Mechanism in Regenerative Therapies: Special Reference to Platelet-Rich Plasma Treatment. Appl. Sci. 2021, 11, 8310. [Google Scholar] [CrossRef]
- Yamada, K.; Jahangiri, Y.; Li, J.; Gabr, A.; Anoushiravani, A.; Kumagai, K.; Uchida, B.; Farsad, K.; Horikawa, M. Embolic Characteristics of Imipenem-Cilastatin Particles In Vitro and In Vivo: Implications for Transarterial Embolization in Joint Arthropathies. J. Vasc. Interv. Radiol. 2021, 32, 1031–1039. [Google Scholar] [CrossRef] [PubMed]
- Kamisako, A.; Ikoma, A.; Koike, M.; Makitani, K.; Fukuda, K.; Higashino, N.; Shibuya, M.; Okuno, Y.; Minamiguchi, H.; Sonomura, T. Transcatheter arterial embolization of abnormal neovessels in a swine model of knee arthritis. Knee 2022, 36, 20–26. [Google Scholar] [CrossRef] [PubMed]
- Woodhams, R.; Nishimaki, H.; Ogasawara, G.; Fujii, K.; Yamane, T.; Ishida, K.; Kashimi, F.; Matsunaga, K.; Takigawa, M. Imipenem/cilastatin sodium (IPM/CS) as an embolic agent for transcatheter arterial embolisation: A preliminary clinical study of gastrointestinal bleeding from neoplasms. Springerplus 2013, 26, 344. [Google Scholar] [CrossRef]
- Koucheki, R.; Dowling, K.I.; Patel, N.R.; Matsuura, N.; Mafeld, S. Characteristics of Imipenem/Cilastatin: Considerations for Musculoskeletal Embolotherapy. J. Vasc. Interv. Radiol. 2021, 32, 1040–1043. [Google Scholar] [CrossRef]




| Clinical Findings | Pathologic Findings at Day 14 | |||||
|---|---|---|---|---|---|---|
| Groups | Immediate Transient Livedo | p-Value | Persistent Intracutaneous Ischemic Modifications | p-Value | Persistent Intracutaneous Embolization Agent | p-Value |
| Control (n = 4) | NA | 0.76 | NA | 0.02 | NA | 0.48 |
| 50–100 (n = 3) | 2 | 3 | 1 | |||
| 100–300 (n = 4) | 3 | 0 | 0 | |||
| IMP/CS (n = 4) | 2 | 1 | 1 | |||
| Angiographic Neovascularization (Visual Evaluation) | ||||||||
|---|---|---|---|---|---|---|---|---|
| Groups | Day 7 | Day 14 | ||||||
| None | Mild | Severe | p-value | None | Mild | Severe | p-value | |
| Controls (n = 4) | 0 | 1 | 3 | 0.87 | 0 | 1 | 3 | 0.04 |
| 50–100 (n = 3) | 0 | 1 | 2 | 2 | 1 | 0 | ||
| 100–300 (n = 4) | 0 | 1 | 3 | 2 | 2 | 0 | ||
| IMP/CS (n = 4) | 0 | 2 | 2 | 3 | 1 | 0 | ||
| Pathologic Findings on Day 14 | ||||||||
| Groups | Bonar global score | p-value | Bonar vascularity subclass | p-value | Neovessels/mm2 | p-value | Intratendinous embolization agent | p-value |
| Controls (n = 4) | 12 [10.5–13] | 0.15 | 2.5 [1.8–3.0] | 0.52 | 33 [29.5–36.8] | 0.07 | NA | 0.02 |
| 50–100 (n = 3) | 6 [6–7.5] | 1 [1.0–1.5] | 17 [16.5–20.5] | 3 | ||||
| 100–300 (n = 4) | 9 [6.5–11] | 2 [0.8–3.0] | 26 [24.8–27.8] | 3 | ||||
| IMP/CS (n = 4) | 8.5 [6.8–9.5] | 1 [1.0–1.3] | 23 [18.3–27.3] | 0 | ||||
Publisher’s Note: MDPI stays neutral with regard to jurisdictional claims in published maps and institutional affiliations. |
© 2022 by the authors. Licensee MDPI, Basel, Switzerland. This article is an open access article distributed under the terms and conditions of the Creative Commons Attribution (CC BY) license (https://creativecommons.org/licenses/by/4.0/).
Share and Cite
Ghelfi, J.; Soulairol, I.; Stephanov, O.; Bacle, M.; de Forges, H.; Sanchez-Ballester, N.; Ferretti, G.; Beregi, J.-P.; Frandon, J. Feasibility of Neovessel Embolization in a Large Animal Model of Tendinopathy: Safety and Efficacy of Various Embolization Agents. J. Pers. Med. 2022, 12, 1530. https://doi.org/10.3390/jpm12091530
Ghelfi J, Soulairol I, Stephanov O, Bacle M, de Forges H, Sanchez-Ballester N, Ferretti G, Beregi J-P, Frandon J. Feasibility of Neovessel Embolization in a Large Animal Model of Tendinopathy: Safety and Efficacy of Various Embolization Agents. Journal of Personalized Medicine. 2022; 12(9):1530. https://doi.org/10.3390/jpm12091530
Chicago/Turabian StyleGhelfi, Julien, Ian Soulairol, Olivier Stephanov, Marylène Bacle, Hélène de Forges, Noelia Sanchez-Ballester, Gilbert Ferretti, Jean-Paul Beregi, and Julien Frandon. 2022. "Feasibility of Neovessel Embolization in a Large Animal Model of Tendinopathy: Safety and Efficacy of Various Embolization Agents" Journal of Personalized Medicine 12, no. 9: 1530. https://doi.org/10.3390/jpm12091530
APA StyleGhelfi, J., Soulairol, I., Stephanov, O., Bacle, M., de Forges, H., Sanchez-Ballester, N., Ferretti, G., Beregi, J.-P., & Frandon, J. (2022). Feasibility of Neovessel Embolization in a Large Animal Model of Tendinopathy: Safety and Efficacy of Various Embolization Agents. Journal of Personalized Medicine, 12(9), 1530. https://doi.org/10.3390/jpm12091530

