Vital Role of In-House 3D Lab to Create Unprecedented Solutions for Challenges in Spinal Surgery, Practical Guidelines and Clinical Case Series
Abstract
1. Introduction
2. Pathway
2.1. Click-on Guide for Cervical Pedicle Screws the Second Level Heading
Background
3. Device Description of Click-on Pedicle Guides
3.1. Anatomical Data Acquisition
3.2. Design
3.3. Guide Production
3.4. Preclinical Tests
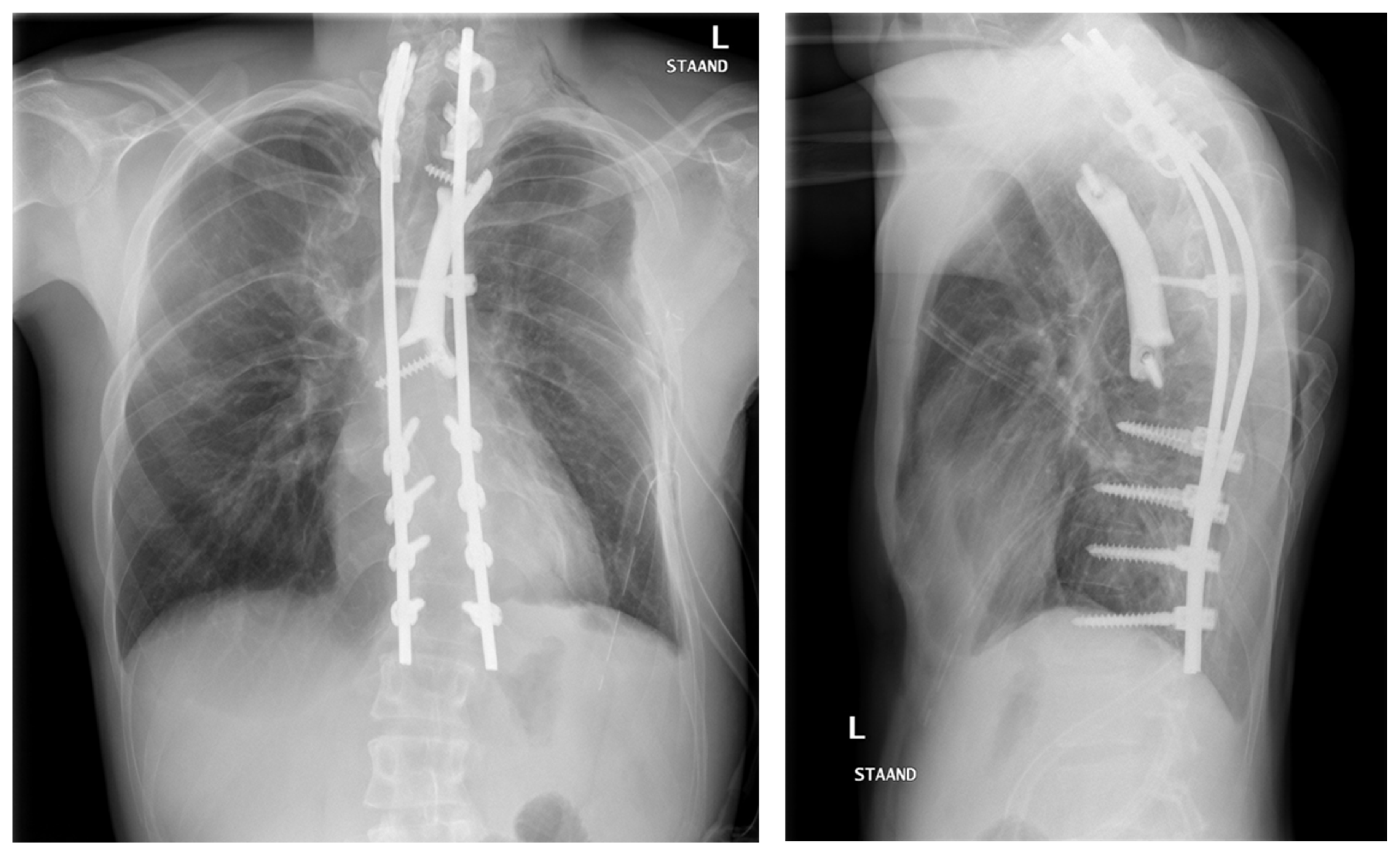
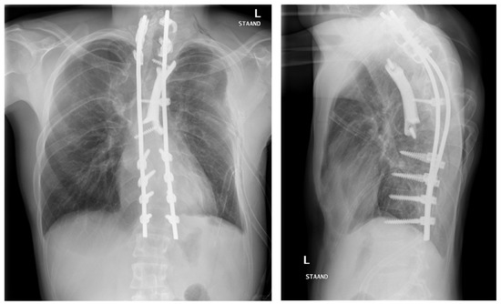
4. Clinical Application
5. Pathway 2: Spinal Column Prosthesis
Background
6. Device Description of Spinal Prosthesis
6.1. Anatomical Data Acquisition
6.2. Design
Implant Production
6.3. Clinical Experience with Spinal Prosthesis
7. Discussion
8. Conclusions
Supplementary Materials
Author Contributions
Funding
Institutional Review Board Statement
Informed Consent Statement
Conflicts of Interest
References
- Aimar, A.; Palermo, A.; Innocenti, B. The role of 3D printing in medical applications: A state of the art. J. Healthc. Eng. 2019, 2019, 5340616. [Google Scholar] [CrossRef] [PubMed]
- Wilson, C.E.; de Bruijn, J.D.; van Blitterswijk, C.A.; Verbout, A.J.; Dhert, W.J.A. Design and fabrication of standardized hydroxyapatite scaffolds with a defined macro-architecture by rapid prototyping for bone-tissue-engineering research. J. Biomed. Mater. Res. A 2004, 68, 123–132. [Google Scholar] [CrossRef] [PubMed]
- Willemsen, K.; Nizak, R.; Noordmans, H.J.; Castelein, R.M.; Weinans, H.; Kruyt, M.C. Challenges in the design and regulatory approval of 3D-printed surgical implants: A two-case series. Lancet Digit. Health 2019, 1, e163–e171. [Google Scholar] [CrossRef]
- Vlachopoulos, L.; Schweizer, A.; Graf, M.; Nagy, L.; Fürnstahl, P. Three-dimensional postoperative accuracy of extra-articular forearm osteotomies using CT-scan based patient-specific surgical guides. BMC Musculoskelet. Disord. 2015, 16, 336. [Google Scholar] [CrossRef]
- Calvo-Haro, J.A.; Pascau, J.; Asencio-Pascual, J.M.; Calvo-Manuel, F.; Cancho-Gil, M.J.; Del Cañizo López, J.F.; Perez-Mañanes, R. Point-of-care manufacturing: A single university hospital’s initial experience. 3D Print. Med. 2021, 7, 11. [Google Scholar] [CrossRef]
- Lander, B.; Atkinson-Grosjean, J. Translational science and the hidden research system in universities and academic hospitals: A case study. Soc. Sci. Med. 2011, 72, 537–544. [Google Scholar] [CrossRef]
- van den Broeck, J.; Vereecke, E.; Wirix-Speetjens, R.; vander Sloten, J. Segmentation accuracy of long bones. Med. Eng. Phys. 2014, 36, 949–953. [Google Scholar] [CrossRef]
- Gelaude, F.; vander Sloten, J.; Lauwers, B. Accuracy assessment of CT-based outer surface femur meshes. Comput. Aided Surg. 2008, 13, 188–199. [Google Scholar] [CrossRef]
- Ballard, D.H.; Mills, P.; Duszak, R., Jr.; Weisman, J.A.; Rybicki, F.J.; Woodard, P.K. Medical 3D printing cost-savings in orthopedic and maxillofacial surgery: Cost analysis of operating room time saved with 3D printed anatomic models and surgical guides. Acad. Radiol. 2020, 27, 1103–1113. [Google Scholar] [CrossRef]
- Fang, C.; Cai, H.; Kuong, E.; Chui, E.; Siu, Y.C.; Ji, T.; Drstvenšek, I. Surgical applications of three-dimensional printing in the pelvis and acetabulum: From models and tools to implants. Unfallchirurg 2019, 122, 278–285. [Google Scholar] [CrossRef]
- Dickler, H.B.; Korn, D.; Gabbe, S.G. Promoting translational and clinical science: The critical role of medical schools and teaching hospitals. PLoS Med. 2006, 3, e378. [Google Scholar] [CrossRef] [PubMed][Green Version]
- Suk Sl Lee, C.K.; Kim, W.J.; Park, Y.B.; Chung, Y.J.; Song, K.Y. Segmental pedicle screw fixation in the treatment of thoracic idiopathic scoliosis. J. Korean Orthop. Assoc. 1995, 30, 49–58. [Google Scholar] [CrossRef][Green Version]
- Garg, B.; Gupta, M.; Singh, M.; Kalyanasundaram, D. Outcome and safety analysis of 3D-printed patient-specific pedicle screw jigs for complex spinal deformities: A comparative study. Spine J. 2019, 19, 56–64. [Google Scholar] [CrossRef] [PubMed]
- Liu, K.; Zhang, Q.; Li, X.; Zhao, C.; Quan, X.; Zhao, R.; Li, Y. Preliminary application of a multi-level 3D printing drill guide template for pedicle screw placement in severe and rigid scoliosis. Eur. Spine J. 2017, 26, 1684–1689. [Google Scholar] [CrossRef]
- Polly, D.W., Jr.; Yaszemski, A.K.; Jones, K.E. Placement of thoracic pedicle screws. JBJS Essent. Surg. Tech. 2016, 6, e9. [Google Scholar] [CrossRef]
- Pijpker, P.A.; Kraeima, J.; Witjes, M.J.; Oterdoom, D.M.; Coppes, M.H.; Groen, R.J.; Kuijlen, J.M. Accuracy assessment of pedicle and lateral mass screw insertion assisted by customized 3D-Printed drill guides: A human cadaver study. Oper. Neurosurg. 2019, 16, 94–102. [Google Scholar] [CrossRef]
- Nakashima, H.; Yukawa, Y.; Imagama, S.; Kanemura, T.; Kamiya, M.; Yanase, M.; Kato, F. Complications of cervical pedicle screw fixation for nontraumatic lesions: A multicenter study of 84 patients. J. Neurosurg. Spine 2012, 16, 238–247. [Google Scholar] [CrossRef]
- Abumi, K.; Shono, Y.; Ito, M.; Taneichi, H.; Kotani, Y.; Kaneda, K. Complications of pedicle screw fixation in reconstructive surgery of the cervical spine. Spine 2000, 25, 962–969. [Google Scholar] [CrossRef]
- Ishikawa, Y.; Kanemura, T.; Yoshida, G.; Ito, Z.; Muramoto, A.; Ohno, S. Clinical accuracy of three-dimensional fluoroscopy-based computer-assisted cervical pedicle screw placement: A retrospective comparative study of conventional versus computer-assisted cervical pedicle screw placement. J. Neurosurg. Spine 2010, 13, 606–611. [Google Scholar] [CrossRef]
- Pijpker, P.A.; Kraeima, J.; Witjes, M.J.; Oterdoom, D.M.; Vergeer, R.A.; Coppes, M.H.; Kuijlen, J.M. Accuracy of Patient-Specific 3D-Printed Drill Guides for Pedicle and Lateral Mass Screw Insertion: An Analysis of 76 Cervical and Thoracic Screw Trajectories. Spine 2021, 46, 160. [Google Scholar] [CrossRef]
- Yu, Z.; Zhang, G.; Chen, X.; Chen, X.; Wu, C.; Lin, Y.; Lin, H. Application of a novel 3D drill template for cervical pedicle screw tunnel design: A cadaveric study. Eur. Spine J. 2017, 26, 2348–2356. [Google Scholar] [CrossRef] [PubMed]
- Kotani, Y.; Abumi, K.; Ito, M.; Minami, A. Improved accuracy of computer-assisted cervical pedicle screw insertion. J. Neurosurg. Spine 2003, 99, 257–263. [Google Scholar] [CrossRef]
- Richter, M.; Cakir, B.; Schmidt, R. Cervical pedicle screws: Conventional versus computer-assisted placement of cannulated screws. Spine 2005, 30, 2280–2287. [Google Scholar] [CrossRef] [PubMed]
- Ishikawa, Y.; Kanemura, T.; Yoshida, G.; Matsumoto, A.; Ito, Z.; Tauchi, R.; Nishimura, Y. Intraoperative, full-rotation, three-dimensional image (O-arm)–based navigation system for cervical pedicle screw insertion. J. Neurosurg. Spine 2011, 15, 472–478. [Google Scholar] [CrossRef] [PubMed]
- Ito, H.; Neo, M.; Yoshida, M.; Fujibayashi, S.; Yoshitomi, H.; Nakamura, T. Efficacy of computer-assisted pedicle screw insertion for cervical instability in RA patients. Rheumatol. Int. 2007, 27, 567–574. [Google Scholar] [CrossRef]
- Lee, G.Y.F.; Massicotte, E.M.; Rampersaud, Y.R. Clinical accuracy of cervicothoracic pedicle screw placement: A comparison of the “open” lamino-foraminotomy and computer-assisted techniques. Clin. Spine Surg. 2007, 20, 25–32. [Google Scholar] [CrossRef]
- Lemans, J.V.C.; Wijdicks, S.P.J.; Castelein, R.M.; Kruyt, M.C. Spring distraction system for dynamic growth guidance of early onset scoliosis: Two-year prospective follow-up of 24 patients. Spine J. 2021, 21, 671–681. [Google Scholar] [CrossRef]
- Wijdicks, S.P.J.; Lemans, J.V.C.; Verkerke, G.J.; Noordmans, H.J.; Castelein, R.M.; Kruyt, M.C. The potential of spring distraction to dynamically correct complex spinal deformities in the growing child. Eur. Spine J. 2021, 30, 714–723. [Google Scholar] [CrossRef]
- Gillespie, K.A.; Dickey, J.P. Biomechanical role of lumbar spine ligaments in flexion and extension: Determination using a parallel linkage robot and a porcine model. Spine 2004, 29, 1208–1216. [Google Scholar] [CrossRef]
- Wu, C.C.; Jin, H.M.; Yan, Y.Z.; Chen, J.; Wang, K.; Wang, J.L.; Wang, X.Y. Biomechanical role of the thoracolumbar ligaments of the posterior ligamentous complex: A finite element study. World Neurosurg. 2018, 112, e125–e133. [Google Scholar] [CrossRef]
- Kawabata, S.; Watanabe, K.; Hosogane, N.; Ishii, K.; Nakamura, M.; Toyama, Y.; Matsumoto, M. Surgical correction of severe cervical kyphosis in patients with neurofibromatosis Type 1: Report of 3 cases. J. Neurosurg. Spine 2013, 18, 274–279. [Google Scholar] [CrossRef] [PubMed]
- Cutler, D.M. The lifetime costs and benefits of medical technology. J. Health Econ. 2007, 26, 1081–1100. [Google Scholar] [CrossRef] [PubMed]
- Callahan, D. Health care costs and medical technology. In From Birth to Death and Bench to Clinic: The Hastings Center Bioethics Briefing Book for Journalists, Policymakers, and Campaigns; The Hastings Center: Philipstown, NY, USA, 2008; pp. 79–82. [Google Scholar]
- EUR-Lex. Regulation (EU) 2017/745 of the European Parliament and of the Council of 5 April 2017 on Medical Devices, Amending Directive 2001/83/EC, Regulation (EC) No 178/2002 and Regulation (EC) No 1223/2009 and Repealing Council Directives 90/385/EEC and 93/42/EE. 2017. Available online: https://eur-lex.europa.eu/legal-content/EN/TXT/PDF/?uri=CELEX:32017R0745&from=EN (accessed on 10 February 2022).
- Calvo-Haro, J.A.; Pascau, J.; Mediavilla-Santos, L.; Sanz-Ruiz, P.; Sánchez-Pérez, C.; Vaquero-Martín, J.; Perez-Mañanes, R. Conceptual evolution of 3D printing in orthopedic surgery and traumatology: From “do it yourself” to “point of care manufacturing”. BMC Musculoskelet. Disord. 2021, 22, 360. [Google Scholar] [CrossRef]
- Williams, F.C.; Hammer, D.A.; Wentland, T.R.; Kim, R.Y. Immediate teeth in fibulas: Planning and digital workflow with point-of-care 3D printing. J. Oral Maxillofac. Surg. 2020, 78, 1320–1327. [Google Scholar] [CrossRef]
- Li, K.H.C.; Kui, C.; Lee, E.K.M.; Ho, C.S.; Sunny Hei, S.H.; Wu, W.; Keenan, I.D. The role of 3D printing in anatomy education and surgical training: A narrative review. MedEdPublish 2017, 6. [Google Scholar] [CrossRef]
- Izard, S.G.; Juanes, J.A.; Peñalvo, F.J.G.; Estella, J.M.G.; Ledesma, M.J.S.; Ruisoto, P. Virtual reality as an educational and training tool for medicine. J. Med. Syst. 2018, 42, 50. [Google Scholar] [CrossRef] [PubMed]
- Tack, P.; Victor, J.; Gemmel, P.; Annemans, L. 3D-printing techniques in a medical setting: A systematic literature review. Biomed. Eng. Online 2016, 15, 115. [Google Scholar] [CrossRef]
- George, E.; Liacouras, P.; Rybicki, F.J.; Mitsouras, D. Measuring and establishing the accuracy and reproducibility of 3D printed medical models. Radiographics 2017, 37, 1424–1450. [Google Scholar] [CrossRef]
- Govaert, G.A.M.; Hietbrink, F.; Willemsen, K. Three-Dimensional Manufacturing of Personalized Implants in Orthopedic Trauma Surgery—Feasible Future or Fake News? JAMA Netw. Open 2021, 4, e210149. [Google Scholar] [CrossRef]












Publisher’s Note: MDPI stays neutral with regard to jurisdictional claims in published maps and institutional affiliations. |
© 2022 by the authors. Licensee MDPI, Basel, Switzerland. This article is an open access article distributed under the terms and conditions of the Creative Commons Attribution (CC BY) license (https://creativecommons.org/licenses/by/4.0/).
Share and Cite
Willemsen, K.; Magré, J.; Mol, J.; Noordmans, H.J.; Weinans, H.; Hekman, E.E.G.; Kruyt, M.C. Vital Role of In-House 3D Lab to Create Unprecedented Solutions for Challenges in Spinal Surgery, Practical Guidelines and Clinical Case Series. J. Pers. Med. 2022, 12, 395. https://doi.org/10.3390/jpm12030395
Willemsen K, Magré J, Mol J, Noordmans HJ, Weinans H, Hekman EEG, Kruyt MC. Vital Role of In-House 3D Lab to Create Unprecedented Solutions for Challenges in Spinal Surgery, Practical Guidelines and Clinical Case Series. Journal of Personalized Medicine. 2022; 12(3):395. https://doi.org/10.3390/jpm12030395
Chicago/Turabian StyleWillemsen, Koen, Joëll Magré, Jeroen Mol, Herke Jan Noordmans, Harrie Weinans, Edsko E. G. Hekman, and Moyo C. Kruyt. 2022. "Vital Role of In-House 3D Lab to Create Unprecedented Solutions for Challenges in Spinal Surgery, Practical Guidelines and Clinical Case Series" Journal of Personalized Medicine 12, no. 3: 395. https://doi.org/10.3390/jpm12030395
APA StyleWillemsen, K., Magré, J., Mol, J., Noordmans, H. J., Weinans, H., Hekman, E. E. G., & Kruyt, M. C. (2022). Vital Role of In-House 3D Lab to Create Unprecedented Solutions for Challenges in Spinal Surgery, Practical Guidelines and Clinical Case Series. Journal of Personalized Medicine, 12(3), 395. https://doi.org/10.3390/jpm12030395

