Altered Sleep Patterns in Wilson’s Disease Including Shortened REM Latency
Abstract
1. Introduction
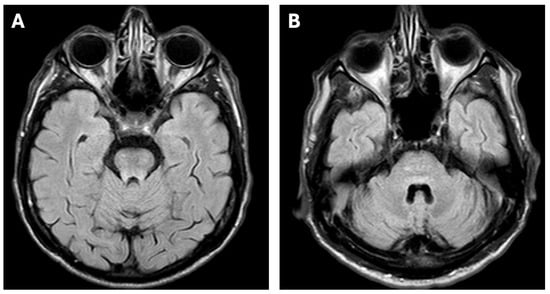
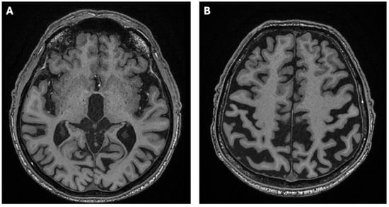
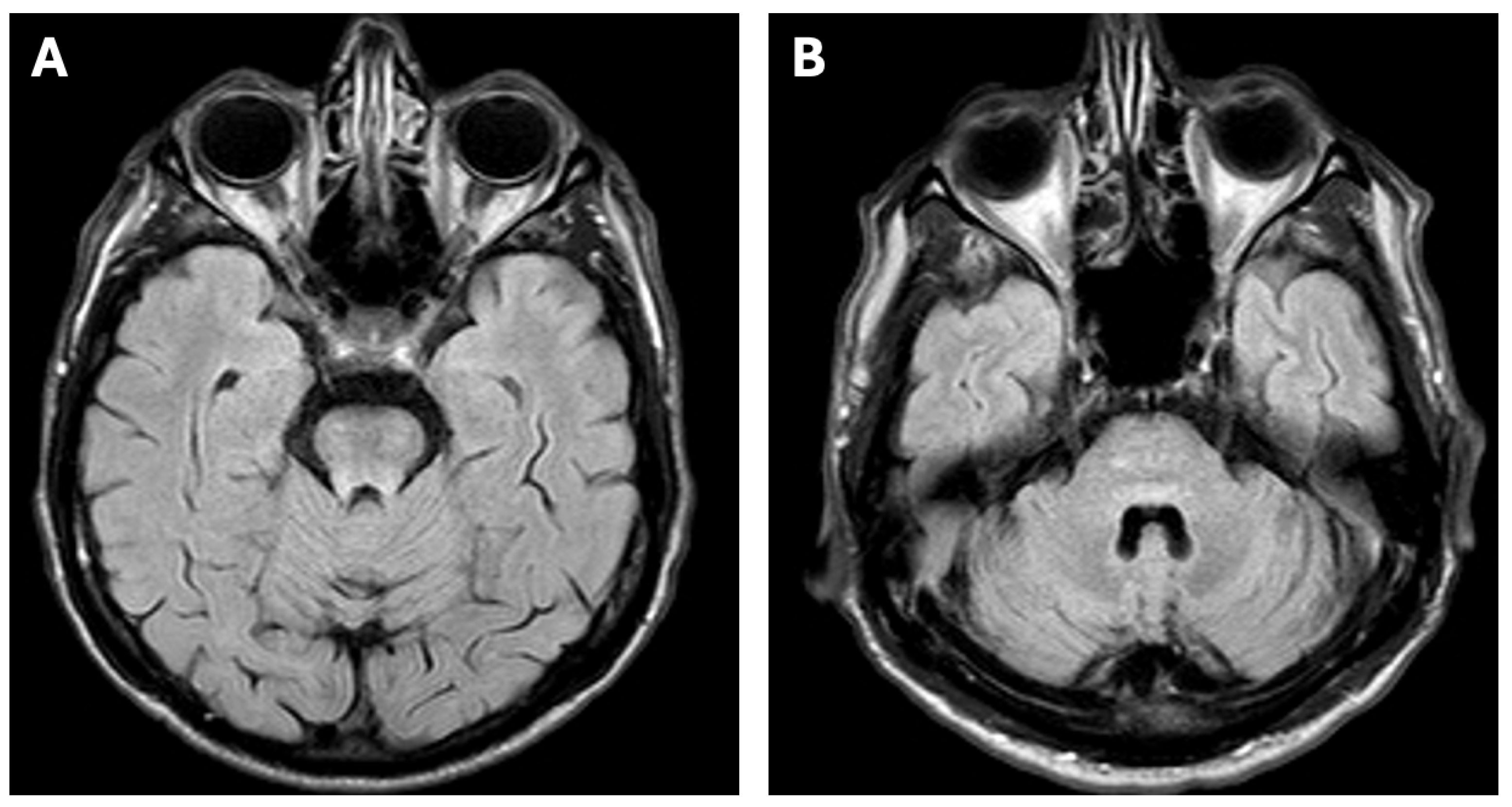
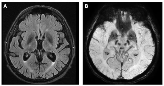
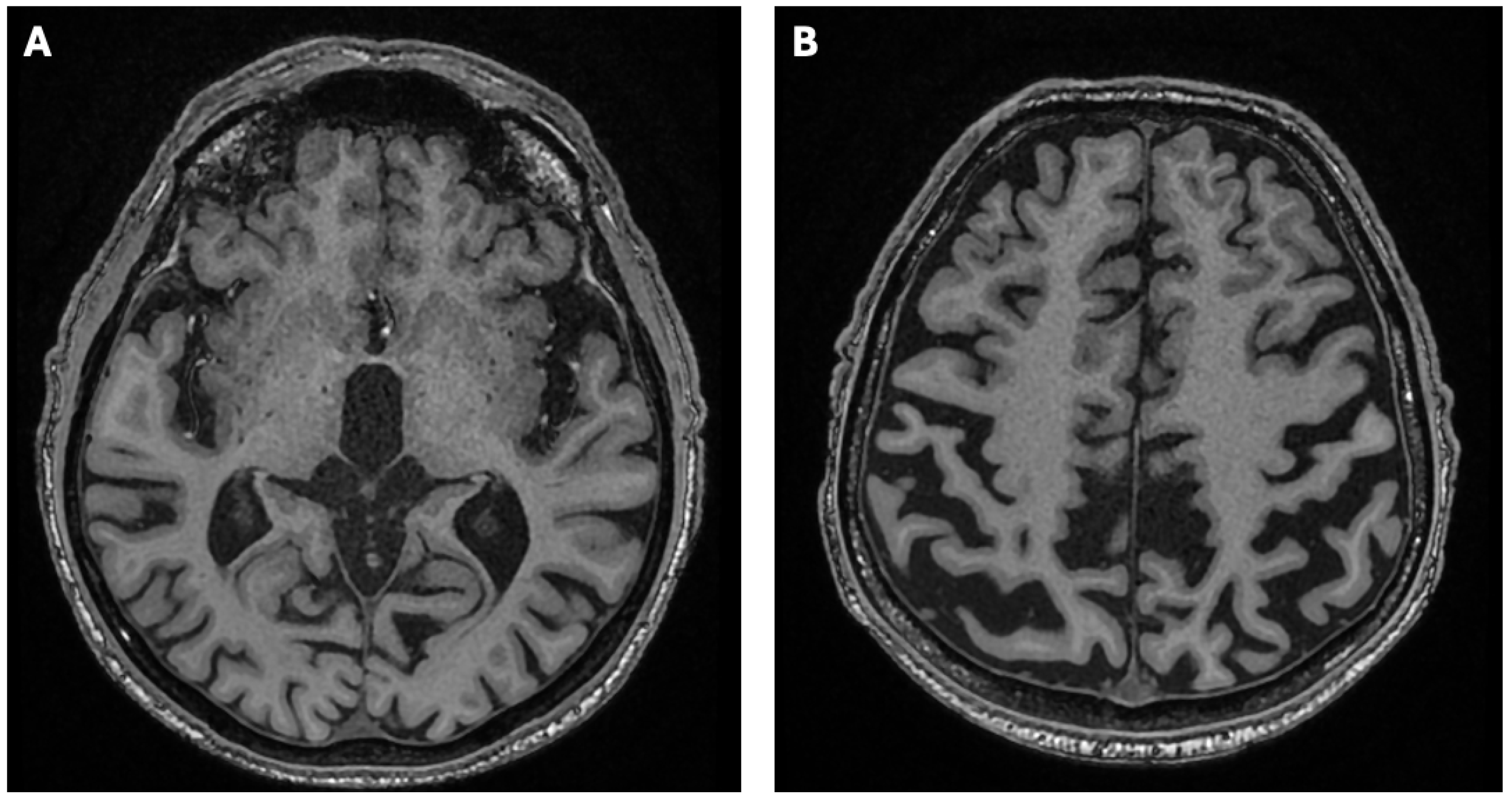
2. Case Report
3. Discussion
4. Study Limitations
5. Conclusions
Author Contributions
Funding
Institutional Review Board Statement
Informed Consent Statement
Data Availability Statement
Conflicts of Interest
References
- Schilsky, M.L.; Roberts, E.A.; Bronstein, J.M.; Dhawan, A.; Hamilton, J.P.; Rivard, A.M.; Washington, M.K.; Weiss, K.H.; Zimbrean, P.C. A multidisciplinary approach to the diagnosis and management of Wilson disease: Executive summary of the 2022 Practice Guidance on Wilson disease from the American Association for the Study of Liver Diseases. Hepatology 2023, 77, 1428–1455. [Google Scholar] [CrossRef]
- Heffter, H.; Tezayak, O.; Rosenthal, D. Long-term outcome of neurological Wilson’s disease. Park. Relat. Disord. 2018, 29, 48–53. [Google Scholar] [CrossRef] [PubMed]
- European Association for the Study of The Liver. EASL clinical practice guidelines: Wilson’s disease. J. Hepatol. 2012, 56, 671–685. [Google Scholar] [CrossRef] [PubMed]
- Litwin, T.; Dusek, P.; Szafrański, T.; Dzieżyc, K.; Członkowska, A.; Rybakowski, J.K. Psychiatric manifestations in Wilson’s disease: Possibilities and difficulties for treatment. Ther. Adv. Psychopharmacol. 2018, 8, 199–211. [Google Scholar] [CrossRef] [PubMed]
- Scheiber, I.F.; Bruha, R.; Dusek, P. Pathogenesis of Wilson disease. Handb Clin Neurol 2017, 142, 43–55. [Google Scholar]
- Akil, M.; Brewer, G.J. Psychiatric and behavioral abnormalities in Wilson’s disease. Adv. Neurol. 1995, 65, 171–178. [Google Scholar]
- Cochen De Cock, V.; Girardot-Tinant, N.; Woimant, F.; Poujois, A. Sleep abnormalities in Wilson’s Disease. Curr. Treat. Options Neurol. 2018, 20, 46. [Google Scholar] [CrossRef]
- Elwir, S.; Rahimi, R.S. Hepatic Encephalopathy: An Update on the Pathophysiology and Therapeutic Options. J. Clin. Transl. Hepatol. 2017, 5, 142–151. [Google Scholar] [CrossRef]
- Amann, V.C.; Maru, N.K.; Jain, V. Hypersomnolence in Wilson disease. J. Clin. Sleep Med. 2015, 11, 1341–1343. [Google Scholar] [CrossRef]
- Nevsimalova, S.; Buskova, J.; Bruha, R.; Bruha, R.; Kemlink, D.; Sonka, K.; Vitek, L.; Marecek, Z. Sleep disorders in Wilson’s disease. Eur. J. Neurol. 2011, 18, 184–190. [Google Scholar] [CrossRef]
- Netto, A.B.; Sinha, S.; Taly, A.B.; Panda, S.; Rao, S. Sleep in Wilsons’ disease: Polysomnography-based study. Neurol. India 2010, 58, 933–938. [Google Scholar]
- Tribl, G.G.; Trindade, M.C.; Bittencourt, T.; Lorenzi-Filho, G.; Cardoso Alves, R.; Ciampi de Andrade, D.; Fonoff, E.T.; Bor-Seng-Shu, E.; Machado, A.A.; Schenck, C.H.; et al. Wilson’s disease with and without rapid eye movement sleep behavior disorder compared to healthy matched controls. Sleep Med. 2016, 17, 179–185. [Google Scholar] [CrossRef]
- Trindade, M.C.; Bittencourt, T.; Lorenzi-Filho, G.; Alves, R.C.; de Andrade, D.C.; Fonoff, E.T.; Bor-Seng-Shu, E.; Machado, A.A.; Teixeira, M.J.; Barbosa, E.R.; et al. Restless legs syndrome in Wilson’s disease: Frequency, characteristic, and mimics. Acta Neurol. Scand. 2017, 135, 211–218. [Google Scholar] [CrossRef]
- Jernajczyk, W.; Litwin, T.; Czlonkowska, A.; Bembenek, J.P. Sleep disturbances in newly diagnosed treatment naïve patients with Wilson’s disease. Acta Neurol. Belg. 2022, 122, 745–751. [Google Scholar] [CrossRef] [PubMed]
- Litwin, T.; Dusek, P.; Antos, A.; Czlonkowska, A.; Bembenek, J. Tackling the neurological manifestations in Wilson’s disease–currently available treatment options. Expert Rev. Neurother. 2023, 23, 1249–1259. [Google Scholar] [CrossRef] [PubMed]
- Mogavero, M.P.; Godos, J.; Grosso, G.; Caraci, F.; Ferri, R. Rethinking the Role of Orexin in the Regulation of REM Sleep and Appetite. Nutrients 2023, 15, 3679. [Google Scholar] [CrossRef] [PubMed]
- Gromadzka, G.; Antos, A.; Sorysz, Z.; Litwin, T. Psychiatric Symptoms in Wilson’s Disease-Consequence of ATP7B Gene Mutations or Just Coincidence?-Possible Causal Cascades and Molecular Pathways. Int. J. Mol. Sci. 2024, 25, 12354. [Google Scholar] [CrossRef]
- Firneisz, G.; Szalany, F.; Halasz, P.; Komoly, S. Hypersomnia in Wilson’s disease: An unusual symptom in an unusual case. Acta Neurol. Scand. 2000, 101, 286–288. [Google Scholar] [CrossRef]
- Scammell, T.E. Narcolepsy. N. Engl. J. Med. 2015, 373, 2654e62. [Google Scholar] [CrossRef]
- Blackwell, J.E.; Alammar, H.A.; Weighall, A.R.; Kellar, I.; Nash, H.M. A systematic review of cognitive function and psychosocial well-being in school-age children with narcolepsy. Sleep Med. Rev. 2017, 34, 82e93. [Google Scholar] [CrossRef]
- Plazzi, G.; Serra, L.; Ferri, R. Nocturnal aspects of narcolepsy with cataplexy. Sleep Med. Rev. 2008, 12, 109e28. [Google Scholar] [CrossRef]
- Moorcroft, W.H. Understanding Sleep and Dreaming; Springer: Boston, MA, USA, 2013. [Google Scholar]
- Zhang, Y.; Ren, R.; Yang, L.; Zhang, H.; Shi, Y.; Sanford, L.D.; Tang, X. Polysomnographic nighttime features of narcolepsy: A systematic review and meta-analysis. Sleep Med. Rev. 2021, 58, 101488. [Google Scholar] [CrossRef]
- Cairns, A.; Bogan, R. Prevalence and Clinical Correlates of a Short Onset REM Period (SOREMP) during Routine PSG. Sleep 2015, 38, 1575–1581. [Google Scholar] [CrossRef][Green Version]
- American Academy of Sleep Medicine. International Classification of Sleep Disorders, Third Edition, Text Revision (ICSD-3-TR). American Academy of Sleep Medicine. 2023. Available online: https://aasm.org/wp-content/uploads/2023/05/ICSD-3-Text-Revision-Supplemental-Material.pdf (accessed on 12 October 2025).
- Anghel, L.; Ciubară, A.; Nechita, A.; Nechita, L.; Manole, C.; Baroiu, L.; Ciubară, A.B.; Mușat, C.L. Sleep Disorders Associated with Neurodegenerative Diseases. Diagnostics 2023, 13, 2898. [Google Scholar] [CrossRef]
- Ansseau, M.; Kupfer, D.J.; Reynolds, C.F., 3rd; McEachran, A.B. REM latency distribution in major depression: Clinical characteristics associated with sleep onset REM periods. Biol. Psychiatry 1984, 19, 1651–1666. [Google Scholar] [PubMed]
- Siegel, J.M. The Neuronal Control of Sleep and Waking; Springer: New York, NY, USA, 2002. [Google Scholar]
- Siegel, L.M. REM sleep. In Principles and Practice of Sleep Medicine; Kryger, M.H., Roth, T., Demant, W.C., Eds.; Elsevier: Amsterdam, The Netherlands, 2006. [Google Scholar]
- Jernajczyk, W.; Litwin, T.; Antos, A.; Bembenek, J.P. Improvement in sleep following treatment initiation in newly diagnosed, treatment-naïve patients with Wilson’s disease. Neurol. Sci. 2025, 46, 5161–5171. [Google Scholar] [CrossRef] [PubMed]
- Sharma, R.; Reiter, R.J.; Ma, Q. Melatonin: A hypothesis regarding its use to treat Wilson disease. Med. Hypotheses 2019, 133, 109408. [Google Scholar] [CrossRef] [PubMed]
- Åberg, F.; Shang, Y.; Strandberg, R.; Wester, A.; Widman, L.; Hagström, H. Four-fold increased mortality rate in patients with Wilson’s disease: A population-based cohort study of 151 patients. United Eur. Gastroenterol. J. 2023, 11, 852–860. [Google Scholar] [CrossRef]
- Zhang, X.; Zhou, L.; Peng, Y.; He, S.; Mao, Z.; Cai, J.; Geng, A.; Yang, H.; Huang, P. Melatonin alleviates brain injury in copper-laden rats: Underlying benefits for Wilson’s disease. Biochem. Pharmacol. 2024, 229, 116490. [Google Scholar] [CrossRef]
- Wang, Y.; Li, D.; Xu, K.; Wang, G.; Zhang, F. Copper homeostasis and neurodegenerative diseases. Neural Regen. Res. 2025, 20, 3124–3143. [Google Scholar] [CrossRef]
- Balijepalli, C.; Yan, K.; Gullapalli, L.; Barakat, S.; Chevrou-Severac, H.; Druyts, E.J. Quality of life in Wilson’s disease: A systematic review. J. Health Econ. Outcomes Res. 2021, 8, 105–113. [Google Scholar]
- Galano, A.; Medina, M.E.; Tan, D.X.; Reiter, R.J. Melatonin and its metabolites as copper chelating agents and their role in inhibiting oxidactive stress: A physicochemical analysis. J. Pineal Res. 2015, 58, 107–116. [Google Scholar] [CrossRef]
- Wohlgemuth, W.K.; Edinger, J.D.; Fins, A.I.; Sullivan, R.J., Jr. How many nights are enough? The short-term stability of sleep parameters in elderly insomniacs and normal sleepers. Psychophysiology 1999, 36, 233–244. [Google Scholar] [CrossRef]
- Gaines, J.; Vgontzas, A.N.; Fernandez-Mendoza, J.; Basta, M.; Pejovic, S.; He, F.; Bixler, E.O. Short- and Long-Term Sleep Stability in Insomniacs and Healthy Controls. Sleep 2015, 38, 1727–1734. [Google Scholar] [CrossRef]





| Polysomnography | ||
|---|---|---|
| Parameter | Baseline | Follow-Up Examination |
| Total sleep time, min. | 354.3 (100%) | 327.3 (100) |
| Stage 1N, min | 84.8 (23.9%) | 85 (26) |
| Stage 2N, min. (% TST) | 167.5 (47.3) | 112 (34.2) |
| Stage 3N, min. (% TST) | 36 (10.2) | 24 (7.3) |
| Stage REM, min. (% TST) | 66 (18.6) | 106.3 (32.5) |
| Sleep latency, min. | 4.5 | 11 |
| Latency stage 2, min. | 7 | 14.5 |
| Latency stage REM, min. | 5 | 19.5 |
| Sleep efficiency, % | 73.5 | 67.4 |
| AHI | 3.1 | 2.6 |
| WASO | 123.5 | 147 |
Disclaimer/Publisher’s Note: The statements, opinions and data contained in all publications are solely those of the individual author(s) and contributor(s) and not of MDPI and/or the editor(s). MDPI and/or the editor(s) disclaim responsibility for any injury to people or property resulting from any ideas, methods, instructions or products referred to in the content. |
© 2025 by the authors. Licensee MDPI, Basel, Switzerland. This article is an open access article distributed under the terms and conditions of the Creative Commons Attribution (CC BY) license (https://creativecommons.org/licenses/by/4.0/).
Share and Cite
Bembenek, J.P.; Litwin, T.; Antos, A.; Jernajczyk, W. Altered Sleep Patterns in Wilson’s Disease Including Shortened REM Latency. Diagnostics 2025, 15, 2771. https://doi.org/10.3390/diagnostics15212771
Bembenek JP, Litwin T, Antos A, Jernajczyk W. Altered Sleep Patterns in Wilson’s Disease Including Shortened REM Latency. Diagnostics. 2025; 15(21):2771. https://doi.org/10.3390/diagnostics15212771
Chicago/Turabian StyleBembenek, Jan Paweł, Tomasz Litwin, Agnieszka Antos, and Wojciech Jernajczyk. 2025. "Altered Sleep Patterns in Wilson’s Disease Including Shortened REM Latency" Diagnostics 15, no. 21: 2771. https://doi.org/10.3390/diagnostics15212771
APA StyleBembenek, J. P., Litwin, T., Antos, A., & Jernajczyk, W. (2025). Altered Sleep Patterns in Wilson’s Disease Including Shortened REM Latency. Diagnostics, 15(21), 2771. https://doi.org/10.3390/diagnostics15212771

