A Rare Case of Severe Pelvic Organ Prolapse with Massive Perineal Hernia in a Nulliparous Woman: A Case Report and Literature Review
Abstract
1. Introduction
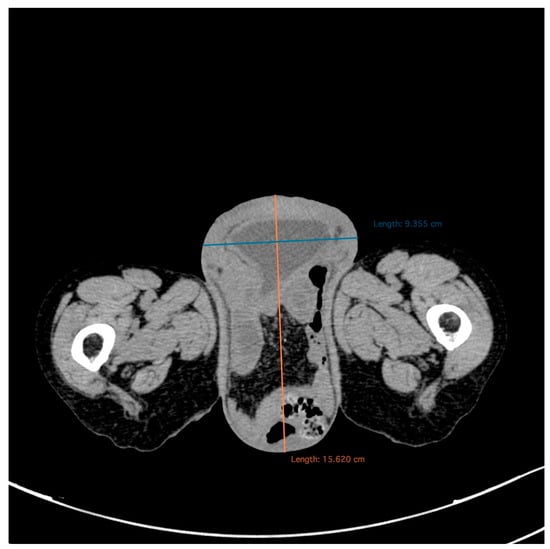
2. Case Report
3. Discussion
4. Conclusions
Author Contributions
Funding
Institutional Review Board Statement
Informed Consent Statement
Data Availability Statement
Conflicts of Interest
Abbreviations
| POP | Pelvic organ prolapse |
| POP-Q | Pelvic Organ Prolapse Quantification |
| CT | Computed tomography |
| MRI | Magnetic resonance imaging |
| dMRI | Dynamic magnetic resonance imaging |
| UDI-6 | Urogenital Distress Inventory-6 |
| IIQ-7 | Incontinence Impact Questionnaire-7 |
| ICIQ-SF | The International Consultation on Incontinence Short Form |
| SUI | Stress urinary incontinence |
| PISQ-12 | Pelvic Organ Prolapse/Urinary Incontinence Sexual Function Questionnaire |
| LSCP | Laparoscopic sacrocolpopexy |
References
- Tsui, W.L.; Ding, D.-C. Anterior Colporrhaphy and Paravaginal Repair for Anterior Compartment Prolapse: A Review. Medicina 2024, 60, 1865. [Google Scholar] [CrossRef]
- Swift, S.E. The Distribution of Pelvic Organ Support in a Population of Female Subjects Seen for Routine Gynecologic Health Care. Am. J. Obstet. Gynecol. 2000, 183, 277–285. [Google Scholar] [CrossRef]
- Paudel, S.; Chalise, A.; Dangal, G.; Bhandari, T.R.; Baral, G. Pelvic Organ Prolapse in Countries of Different Economy: A Systematic Review. Nepal J. Obstet. Gynaecol. 2019, 14, 7–21. [Google Scholar] [CrossRef]
- Yuk, J.-S.; Lee, J.H.; Hur, J.-Y.; Shin, J.-H. The Prevalence and Treatment Pattern of Clinically Diagnosed Pelvic Organ Prolapse: A Korean National Health Insurance Database-Based Cross-Sectional Study 2009–2015. Sci. Rep. 2018, 8, 1334. [Google Scholar] [CrossRef]
- Jokhio, A.H.; Rizvi, R.M.; MacArthur, C. Prevalence of Pelvic Organ Prolapse in Women, Associated Factors and Impact on Quality of Life in Rural Pakistan: Population-Based Study. BMC Womens Health 2020, 20, 82. [Google Scholar] [CrossRef]
- Vergeldt, T.F.M.; Weemhoff, M.; IntHout, J.; Kluivers, K.B. Risk Factors for Pelvic Organ Prolapse and Its Recurrence: A Systematic Review. Int. Urogynecol. J. 2015, 26, 1559–1573. [Google Scholar] [CrossRef]
- McLeod, L.J.; Lee, P.E. Pelvic Organ Prolapse. CMAJ 2023, 195, E1013. [Google Scholar] [CrossRef]
- Barber, M.D. Pelvic Organ Prolapse. BMJ 2016, 354, i3853. [Google Scholar] [CrossRef]
- Fatton, B.; de Tayrac, R.; Letouzey, V.; Huberlant, S. Pelvic Organ Prolapse and Sexual Function. Nat. Rev. Urol. 2020, 17, 373–390. [Google Scholar] [CrossRef]
- Riss, P.; Dwyer, P.L. The POP-Q Classification System: Looking Back and Looking Forward. Int. Urogynecol. J. 2014, 25, 439–440. [Google Scholar] [CrossRef]
- Payebto Zoua, E.; Boulvain, M.; Dällenbach, P. The Distribution of Pelvic Organ Support Defects in Women Undergoing Pelvic Organ Prolapse Surgery and Compartment Specific Risk Factors. Int. Urogynecol. J. 2022, 33, 405–409. [Google Scholar] [CrossRef]
- Chen, M.-C.; Lai, P.-H.; Ding, D.-C. The Beneficial Effects of Conservative Treatment with Biofeedback and Electrostimulation on Pelvic Floor Disorders. Tzu Chi Med. J. 2024, 36, 291–297. [Google Scholar] [CrossRef]
- Madhu, C.K.; Hashim, H. Surgery for Pelvic Organ Prolapse. Eur. Urol. Suppl. 2018, 17, 119–125. [Google Scholar] [CrossRef]
- Maher, C.; Feiner, B.; Baessler, K.; Schmid, C. Surgical Management of Pelvic Organ Prolapse in Women. Cochrane Database Syst. Rev. 2013, 5, CD004014. [Google Scholar] [CrossRef]
- Bhutia, K.; Li, X.; Ong, J.L.E.; Wong, K.; Han, H.C.; Chua, H.L. Short- and Long-Term Outcomes of Patients with Anterior Vaginal Wall Prolapse after Abdominal Paravaginal Cystocele Repair. Taiwan J. Obstet. Gynecol. 2025, 64, 499–503. [Google Scholar] [CrossRef]
- Baden, W.F.; Walker, T.A.; Lindsey, J.H. The Vaginal Profile. Texas Med. 1968, 64, 56–58. [Google Scholar]
- Sharabiany, S.; Brouwer, T.P.A.; Kreisel, S.I.; Musters, G.D.; Blok, R.D.; Hompes, R.; Tanis, P.J. Mesh, Flap or Combined Repair of Perineal Hernia after Abdominoperineal Resection—A Systematic Review and Meta-analysis. Colorectal Dis. 2022, 24, 1285–1294. [Google Scholar] [CrossRef]
- Mudalige, T.; Pathiraja, V.; Delanerolle, G.; Cavalini, H.; Wu, S.; Taylor, J.; Kurmi, O.; Elliot, K.; Hinchliff, S.; Atkinson, C.; et al. Systematic Review and Meta-analysis of the Pelvic Organ Prolapse and Vaginal Prolapse among the Global Population. BJUI Compass 2025, 6, e464. [Google Scholar] [CrossRef]
- Maspero, M.; Heilman, J.; Otero Piñeiro, A.; Steele, S.R.; Hull, T.L. Techniques of Perineal Hernia Repair: A Systematic Review and Meta-Analysis. Surgery 2023, 173, 312–321. [Google Scholar] [CrossRef]
- Siyoum, M.; Teklesilasie, W.; Alelgn, Y.; Astatkie, A. Inequality in Healthcare-Seeking Behavior among Women with Pelvic Organ Prolapse: A Systematic Review and Narrative Synthesis. BMC Women’s Health 2023, 23, 222. [Google Scholar] [CrossRef]
- Shahid, U.; Chen, Z.; Maher, C. Sacrocolpopexy: The Way I Do It. Int. Urogynecol. J. 2024, 35, 2107–2123. [Google Scholar] [CrossRef] [PubMed]
- Xiao, T.; Du, J.; Geng, J.; Li, L. Meta-Analysis of the Comparison of Laparoscopic Pectopexy and Laparoscopic Sacrocolpopexy in the Treatment of Pelvic Organ Prolapse. Int. J. Gynaecol. Obstet. 2025, 168, 978–986. [Google Scholar] [CrossRef] [PubMed]
- Ñíguez-Sevilla, I.; Sánchez-Ferrer, M.L.; Ruiz-Cotorruelo, V.L.; Wilczak, M.; Chmaj-Wierzchowska, K.; Solano-Calvo, J.A.; Pérez-Muñuzuri, M.E.; Salinas-Peña, J.R.; Arense-Gonzalo, J.J. Preliminary Results of a Multicenter Randomized Clinical Trial for Laparoscopic Repair of Pelvic Organ Prolapse: Sacropexy vs. Laparoscopic Lateral Suspension. J. Clin. Med. 2025, 14, 2069. [Google Scholar] [CrossRef]
- Xiao, X.; Yu, X.; Yin, L.; Zhang, L.; Feng, D.; Zhang, L.; Gong, Z.; Zhang, Q.; Lin, Y.; He, L. Surgical Outcomes of Sacrospinous Hysteropexy and Hysteropreservation for Pelvic Organ Prolapse: A Systematic Review of Randomized Controlled Trials. Front. Med. 2024, 11, 1399247. [Google Scholar] [CrossRef]
- Douligeris, A.; Kathopoulis, N.; Zachariou, E.; Mortaki, A.; Zacharakis, D.; Kypriotis, K.; Chatzipapas, I.; Protopapas, A. Laparoscopic Versus Vaginal Uterosacral Ligament Suspension in Women with Pelvic Organ Prolapse: A Systematic Review and Meta-Analysis of the Literature. J. Minim. Invasive Gynecol. 2024, 31, 477–487. [Google Scholar] [CrossRef]
- Pecorella, G.; Morciano, A.; Sparic, R.; Tinelli, A. Literature Review, Surgical Decision Making Algorithm, and AGREE II-S Comparison of National and International Recommendations and Guidelines in Pelvic Organ Prolapse Surgery. Int. J. Gynaecol. Obstet. 2024, 167, 560–572. [Google Scholar] [CrossRef]
- Laganà, A.S.; La Rosa, V.L.; Rapisarda, A.M.C.; Vitale, S.G. Pelvic Organ Prolapse: The Impact on Quality of Life and Psychological Well-Being. J. Psychosom. Obstet. Gynecol. 2018, 39, 164–166. [Google Scholar] [CrossRef]
- Handa, V.L.; Cundiff, G.; Chang, H.H.; Helzlsouer, K.J. Female Sexual Function and Pelvic Floor Disorders. Obstet. Gynecol. 2008, 111, 1045–1052. [Google Scholar] [CrossRef]
- Edenfield, A.L.; Levin, P.J.; Dieter, A.A.; Amundsen, C.L.; Siddiqui, N.Y. Sexual Activity and Vaginal Topography in Women with Symptomatic Pelvic Floor Disorders. J. Sex. Med. 2015, 12, 416–423. [Google Scholar] [CrossRef]
- Skorupska, K.; Grzybowska, M.E.; Kubik-Komar, A.; Rechberger, T.; Miotla, P. Identification of the Urogenital Distress Inventory-6 and the Incontinence Impact Questionnaire-7 Cutoff Scores in Urinary Incontinent Women. Health Qual. Life Outcomes 2021, 19, 87. [Google Scholar] [CrossRef] [PubMed]
- Doğan, K.; Öztoprak, M.Y.; Dura, M.C.; Aslan, İ.Ö. The Effect of Stress Incontinence and Pelvic Organ Prolapse Surgery on Sexual Function and Quality of Life. J. Turk. Ger. Gynecol. Assoc. 2024, 25, 96–101. [Google Scholar] [CrossRef] [PubMed]
- Hsieh, T.-H.; Chang, S.-D.; Lo, T.-S.; Lin, Y.-H.; Hsu, L.-T.; Liang, C.-C. Evaluation of Lower Urinary Tract Symptoms and Sexual Function after Laparoscopic Sacrocolpopexy. Taiwan J. Obstet. Gynecol. 2025, 64, 831–836. [Google Scholar] [CrossRef] [PubMed]
- Liang, C.-C.; Lo, T.-S.; Tseng, L.-H.; Lin, Y.-H.; Lin, Y.-J.; Chang, S.-D. Sexual Function in Women Following Transvaginal Mesh Procedures for the Treatment of Pelvic Organ Prolapse. Int. Urogynecol. J. 2012, 23, 1455–1460. [Google Scholar] [CrossRef]
- Su, T.-H.; Lau, H.-H. Validation of a Chinese Version of the Short Form of the Pelvic Organ Prolapse/Urinary Incontinence Sexual Questionnaire. J. Sex Med. 2010, 7, 3940–3945. [Google Scholar] [CrossRef]
- Mahmoudnejad, N.; Naserghandi, A.; Kasnavi, Q.; Zavareh, M.A.T. Uterine Procidentia in a Virgin Woman: A Rare Case. Urol. Case Rep. 2024, 57, 102862. [Google Scholar] [CrossRef]
- Ai, F.-F.; Mao, M.; Zhang, Y.; Kang, J.; Zhu, L. Successful Use of Pessary for Uterine Prolapse after Pelvic Trauma in a Nulliparous Young Female: A Case Report. Medicine 2018, 97, e0139. [Google Scholar] [CrossRef] [PubMed]
- Song, A.-Y.; Bae, J.-Y.; Park, J.-S.; Kim, T.-H. Surgical Treatment of Enlarged Cervical Leiomyoma with Concomitant Uterine Prolapse: A Case Report. J. Clin. Med. 2024, 13, 4210. [Google Scholar] [CrossRef]
- Payá Ten, C.; To, J.; Cui, N. Management of Procidentia in an Achondroplastic Patient. Int. Urogynecol. J. 2022, 33, 2061–2063. [Google Scholar] [CrossRef]
- Ko, P.-C.; Lo, T.-S. Delayed Onset Advanced Pelvic Organ Prolapse after Pelvic Trauma in a Nulliparous Young Female: Case Report. Int. Urogynecol. J. 2011, 22, 757–759. [Google Scholar] [CrossRef]
- Rana, A.; Rana, A. Juvenile Nulliparous Uterine Prolapse in an Unmarried 17-Year-Old Adolescent. Nepal J. Obstet. Gynaecol. 2022, 16, 90–93. [Google Scholar] [CrossRef]
- Nigam, A.; Choudhary, D.; Raghunandan, C. Large Nabothian Cyst: A Rare Cause of Nulliparous Prolapse. Case Rep. Obstet. Gynecol. 2012, 2012, 192526. [Google Scholar] [CrossRef][Green Version]
- Thanasa, A.; Thanasa, E.; Paraoulakis, I.; Kamaretsos, E.; Ziogas, A.; Kontogeorgis, G.; Grapsidi, V.; Gerokostas, E.-E.; Mylona, E.; Thanasas, I. Total Uterine Prolapse: A Rare Cause of Chronic Obstructive Uropathy Associated with Renal Dysfunction (A Case Report). Pan Afr. Med. J. 2023, 44, 57. [Google Scholar] [CrossRef]
- Rohini, E.; Indu, N.R.; Banu, A.S.; Hiremath, P.B.; Hiremath, R. Retrospective Audit of Genital Prolapse Management. Int. J. Reprod. Contracept. Obstet. Gynecol. 2022, 11, 1209–1213. [Google Scholar] [CrossRef]
- Rajabzadeh, F.; Mallah, F.; Sahebi, L.; Salehi-Pourmehr, H. Satisfaction and Quality of Life of Elderly Women with Pelvic Organ Prolapse Undergone Colpocleisis. J. Urol. Surg. 2024, 11, 173–178. [Google Scholar] [CrossRef]
- Lipetskaia, L.; Gupta, A.; Cheung, R.Y.K.; Khullar, V.; Ismail, S.; Bradley, M.; Karmakar, R.; Clifton, S.; Doo, J.; Quiroz, L. International Urogynecological Consultation Chapter 2.2: Imaging in the Diagnosis of Pelvic Organ Prolapse. Int. Urogynecol. J. 2025, 36, 759–781. [Google Scholar] [CrossRef]
- Sarpietro, G.; Foti, P.V.; Conte, C.; Matarazzo, M.G. Role of Magnetic Resonance Imaging in Pelvic Organ Prolapse Evaluation. Medicina 2023, 59, 2074. [Google Scholar] [CrossRef] [PubMed]
- El-Gohary, T.; Hamed, S.T.; El-Azizi, H.M.; Haggag, H.M.; Azzam, H. The Role of Pelvic Floor Ultrasound Correlated with Pelvic Organ Prolapse Quantification in the Assessment of Anterior and Apical Compartments of Pelvic Organ Prolapse. Egypt. J. Radiol. Nucl. Med. 2024, 55, 68. [Google Scholar] [CrossRef]
- García-Mejido, J.A.; Galán-Paez, J.; Solis-Martín, D.; Fernández-Palacín, F.; Fernández-Palacín, A.; Sainz-Bueno, J.A. Ultrasound Diagnosis of Pelvic Organ Prolapse Using Artificial Intelligence. JCM 2025, 14, 3634. [Google Scholar] [CrossRef]
- Pannu, H.K.; Genadry, R.; Kaufman, H.S.; Fishman, E.K. Computed Tomography Evaluation of Pelvic Organ Prolapse: Techniques and Applications. J. Comput. Assist. Tomogr. 2003, 27, 779. [Google Scholar] [CrossRef]
- Cai, S.; Xia, M.; Ding, Y.; Zeng, L. Clinical Value of Transperineal Ultrasound in Evaluating the Effects of Different Delivery Methods on the Primipara Pelvic Floor Structure and Function. Sci. Rep. 2024, 14, 23980. [Google Scholar] [CrossRef]
- Gilyadova, A.; Ishchenko, A.; Puchkova, E.; Mershina, E.; Petrovichev, V.; Reshetov, I. Diagnostic Value of Dynamic Magnetic Resonance Imaging (dMRI) of the Pelvic Floor in Genital Prolapses. Biomedicines 2023, 11, 2849. [Google Scholar] [CrossRef] [PubMed]
- Wadhwani, S.; Ratnaparkhi, C.; Dhok, A. Comparison of Dynamic Magnetic Resonance Defecography with Clinical Examination in Diagnosing Pelvic Floor Dysfunction: An Observational Study. Cureus 2023, 15, e51378. [Google Scholar] [CrossRef] [PubMed]
- Welch, E.K.; Ross, W.; Dengler, K.L.; Gruber, D.D.; Lamb, S. The “Ins and Outs” of Dynamic Magnetic Resonance Imaging for Female Pelvic Organ Prolapse. Int. Urogynecol. J. 2024, 35, 2223–2225. [Google Scholar] [CrossRef] [PubMed]




| Author, Year | Age | Parity | Organs Involved | Imaging | Operation/ Treatment | Follow-Up Time/ Recurrence |
|---|---|---|---|---|---|---|
| Mahmoudnejad et al., 2024 [35] | 65 | 0 (virgin) | Stage IV POP (procidentia) | - | Vaginal sacrospinous ligament fixation + partial vaginal resection | 4 years/ No recurrence |
| Ai et al., 2018 [36] | 29 | 0 (virgin) | Stage II cystocele, stage III uterine prolapse, and stage II rectocele | CT | Conservative (Gellhorn pessary) | 3 months/ No recurrence |
| Song et al., 2024 [37] | 48 | 0 | Cervical leiomyoma and stage III uterine prolapse | - | Robot-assisted vaginal hysterectomy followed by sacrocolpopexy | 3 months/ No recurrence |
| Payá Ten et al., 2021 [38] | 52 | 0 (virgin) | Stage IV POP (procidentia) | CT | Colpocleisis | Not mentioned/ No recurrence |
| Ko & Lo, 2011 [39] | 21 | 0 | Stage IV POP-Q | - | Sacrospinous ligament hysteropexy, anterior and posterior vaginal wall repair and perineorrhaphy | 3 months/ No recurrence |
| Rana et al., 2022 [40] | 17 | 0 (virgin) | Stage III POP (uterus) | - | Not done | - |
| Nigam et al., 2012 [41] | 21 | 0 | Cervix protrusion (apparent stage III POP secondary to large Nabothian cyst) | Ultrasound | Cyst excision | 6 weeks/ No recurrence |
Disclaimer/Publisher’s Note: The statements, opinions and data contained in all publications are solely those of the individual author(s) and contributor(s) and not of MDPI and/or the editor(s). MDPI and/or the editor(s) disclaim responsibility for any injury to people or property resulting from any ideas, methods, instructions or products referred to in the content. |
© 2025 by the authors. Licensee MDPI, Basel, Switzerland. This article is an open access article distributed under the terms and conditions of the Creative Commons Attribution (CC BY) license (https://creativecommons.org/licenses/by/4.0/).
Share and Cite
Rus, A.; Manea, A.; Cora, A.; Szabó, B.; Hălmaciu, I. A Rare Case of Severe Pelvic Organ Prolapse with Massive Perineal Hernia in a Nulliparous Woman: A Case Report and Literature Review. Diagnostics 2025, 15, 2481. https://doi.org/10.3390/diagnostics15192481
Rus A, Manea A, Cora A, Szabó B, Hălmaciu I. A Rare Case of Severe Pelvic Organ Prolapse with Massive Perineal Hernia in a Nulliparous Woman: A Case Report and Literature Review. Diagnostics. 2025; 15(19):2481. https://doi.org/10.3390/diagnostics15192481
Chicago/Turabian StyleRus, Andrea, Andrei Manea, Andrei Cora, Béla Szabó, and Ioana Hălmaciu. 2025. "A Rare Case of Severe Pelvic Organ Prolapse with Massive Perineal Hernia in a Nulliparous Woman: A Case Report and Literature Review" Diagnostics 15, no. 19: 2481. https://doi.org/10.3390/diagnostics15192481
APA StyleRus, A., Manea, A., Cora, A., Szabó, B., & Hălmaciu, I. (2025). A Rare Case of Severe Pelvic Organ Prolapse with Massive Perineal Hernia in a Nulliparous Woman: A Case Report and Literature Review. Diagnostics, 15(19), 2481. https://doi.org/10.3390/diagnostics15192481

