Cardiovascular Manifestations of Patients with Long COVID
Abstract
1. Introduction
2. Materials and Methods
3. Results
3.1. Clinical and Laboratory Indicators of Long COVID
3.2. Cardiac Structure and Function Echocardiographic Parameters Suggesting Long COVID
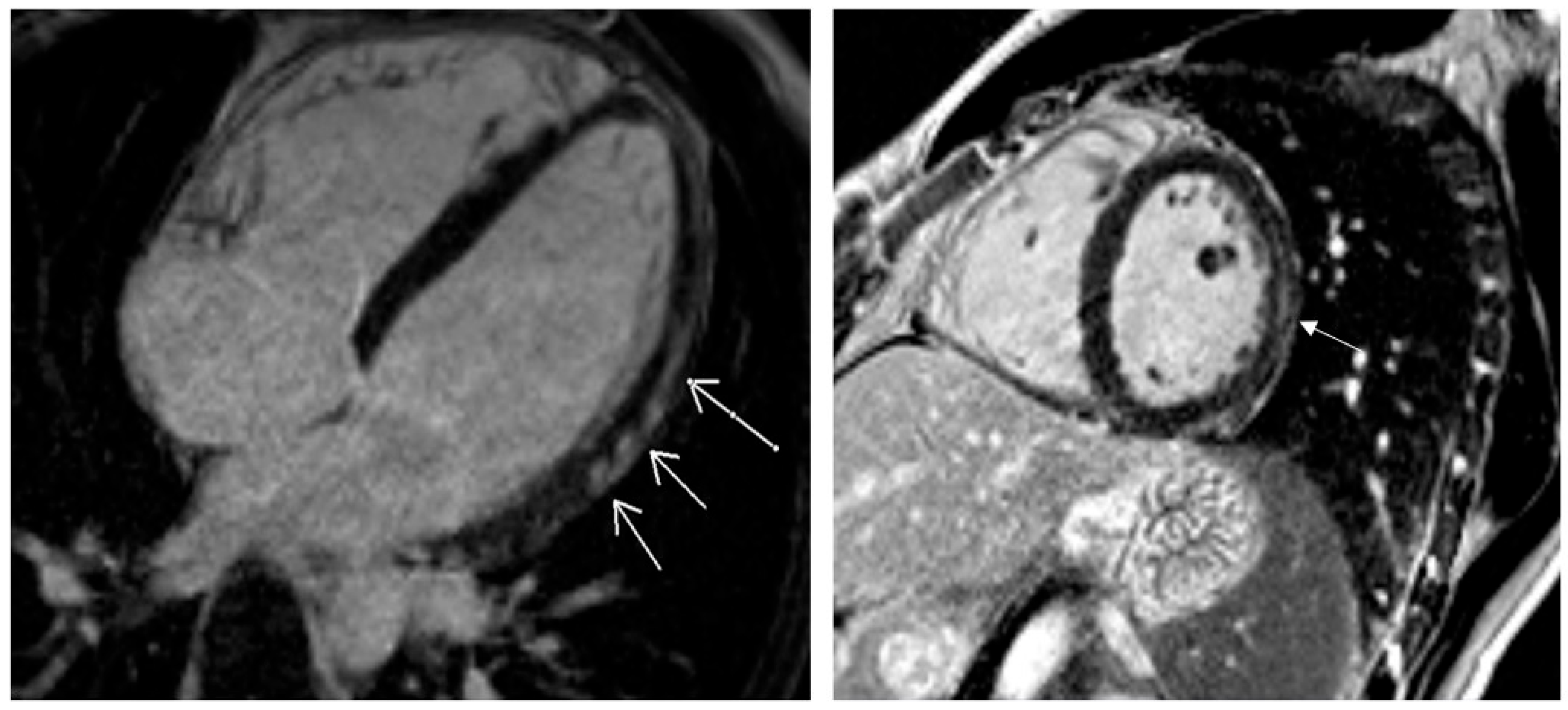
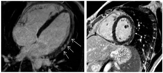
3.3. Cardiac Structure CMR Parameters Suggesting Long COVID
4. Discussion
4.1. Clinical Presentations and Laboratory Markers of Cardiovascular Manifestation
4.2. Multimodality Imaging Parameters in Long COVID Cardiovascular Manifestations
4.3. Limitations
5. Conclusions
Author Contributions
Funding
Institutional Review Board Statement
Informed Consent Statement
Data Availability Statement
Conflicts of Interest
Correction Statement
References
- Vu, Q.M.; Fitzpatrick, A.L.; Cope, J.R.; Bertolli, J.; Sotoodehnia, N.; West, T.E.; Gentile, N.; Unger, E.R. Estimates of Incidence and Predictors of Fatiguing Illness after SARS-CoV-2 Infection. Emerg. Infect. Dis. 2024, 30, 539–547. [Google Scholar] [CrossRef]
- Greenhalgh, T.; Manoj, S.; Perlowski, A.; Nikolich, J.Z. Long COVID: A clinical update. Lancet 2024, 404, 707–724. [Google Scholar] [CrossRef] [PubMed]
- National Institute for Health and Care Excellence. COVID-19 Rapid Guideline: Managing the Long-Term Effects of COVID-19. NICE Guideline [NG188]. Available online: https://www.nice.org.uk/guidance/ng188 (accessed on 25 January 2024).
- CDC. Post-COVID Conditions: Information for Healthcare Providers. 2022. Available online: https://www.cdc.gov/covid/hcp/clinical-overview/?CDC_AAref_Val=https://www.cdc.gov/coronavirus/2019-ncov/hcp/clinical-care/post-covid-conditions.html (accessed on 23 November 2022).
- Nabavi, N. Long covid: How to define it and how to manage it. BMJ 2020, 370, m3489. [Google Scholar] [CrossRef] [PubMed]
- Raman, B.; Bluemke, D.A.; Lüscher, T.F.; Neubaueret, S. Long COVID: Post-acute sequelae of COVID-19 with a cardiovascular focus. Eur. Heart J. 2022, 43, 1157–1172. [Google Scholar] [CrossRef]
- Peluso, M.J.; Deeks, S.G. Mechanisms of long COVID and the path toward therapeutics. Cell 2024, 187, 5500–5529. [Google Scholar] [CrossRef] [PubMed]
- Klein, J.; Wood, J.; Jaycox, J.R.; Dhodapkar, R.M.; Lu, P.; Gehlhausen, J.R.; Tabachnikova, A.; Greene, K.; Tabacof, L.; Malik, A.A.; et al. Distinguishing features of long COVID identified through immune profiling. Nature 2023, 623, 139–148. [Google Scholar] [CrossRef]
- Basso, C.; Leone, O.; Rizzo, S.; De Gaspari, M.; van der Wal, A.C.; Aubry, M.C.; Bois, M.C.; Lin, P.T.; Maleszewski, J.J. Pathological features of COVID-19-associated myocardial injury: A multicentre cardiovascular pathology study. Eur. Heart J. 2020, 41, 3827–3835. [Google Scholar] [CrossRef]
- Halushka, M.K.; Vander Heide, R.S. Myocarditis is rare in COVID-19 autopsies: Cardiovascular findings across 277 postmortem examinations. Cardiovasc. Pathol. 2021, 50, 107300. [Google Scholar] [CrossRef]
- Kawakami, R.; Sakamoto, A.; Kawai, K.; Gianatti, A.; Pellegrini, D.; Nasr, A.; Kutys, B.; Guo, L.; Cornelissen, A.; Mori, M.; et al. Pathological evidence for SARS-CoV-2 as a cause of myocarditis: JACC review topic of the week. J. Am. Coll. Cardiol. 2021, 77, 314–325. [Google Scholar] [CrossRef]
- Canale, M.P.; Menghini, R.; Martelli, E.; Federici, M. COVID-19–Associated Endothelial Dysfunction and Microvascular Injury. Card. Electrophysiol. Clin. 2021, 14, 21–28. [Google Scholar] [CrossRef]
- Heidecker, B.; Libby, P.; Vassiliou, V.S.; Roubille, F.; Vardeny, O.; Hassager, C.; Gatzoulis, M.A.; Mamas, M.A.; Cooper, L.T.; Shoenrath, F.; et al. Vaccination as a new form of cardiovascular prevention: A European Society of Cardiology clinical consensus statement. Eur. Heart J. 2025, 1–14. [Google Scholar] [CrossRef] [PubMed]
- Mahajan, S.; Kunal, S.; Shah, B.; Garg, S.; Palleda, G.M.; Bansal, A.; Batra, V.; Yusuf, J.; Mukhopadhyay, S.; Kumar, S.; et al. Left ventricular global longitudinal strain in COVID-19 recovered patients. Echocardiography 2021, 38, 1722–1730. [Google Scholar] [CrossRef]
- Kim, J.; Volodarskiy, A.; Sultana, R.; Pollie, M.P.; Yum, B.; Nambiar, L.; Tafreshi, R.; Mitlak, H.W.; RoyChoudhury, A.; Horn, E.M.; et al. Prognostic utility of right ventricular remodeling over conventional risk stratification in patients with COVID-19. J. Am. Coll. Cardiol. 2020, 76, 1965–1977. [Google Scholar] [CrossRef] [PubMed]
- Moody, W.E.; Liu, B.; Mahmoud-Elsayed, H.M.; Senior, J.; Lalla, S.S.; Khan-Kheil, A.M.; Brown, S.; Saif, A.; Moss, A.; Bradlow, W.M.; et al. Persisting adverse ventricular remodeling in COVID-19 survivors: A longitudinal echocardiographic study. J. Am. Soc. Echocardiogr. 2021, 34, 562–566. [Google Scholar] [CrossRef] [PubMed]
- Schellenberg, J.; Matits, L.; Bizjak, D.A.; Deibert, P.; Friedmann-Bette, B.; Göpel, S.; Merle, U.; Niess, A.; Frey, N.; Morath, O.; et al. Cardiac structure and function 1.5 years after COVID-19: Results from the EPILOC study. Infection, 2025; online ahead of print. [Google Scholar] [CrossRef]
- Asanin, M.; Ercegovac, M.; Krljanac, G.; Djukic, T.; Coric, V.; Jerotic, D.; Pljesa-Ercegovac, M.; Matic, M.; Milosevic, I.; Viduljevic, M.; et al. Antioxidant Genetic Variants Modify Echocardiography Indices in Long COVID. Int. J. Mol. Sci. 2023, 24, 10234. [Google Scholar] [CrossRef]
- Lang, R.M.; Badano, L.P.; Mor-Avi, V.; Afilalo, J.; Armstrong, A.; Ernande, L.; Flachskampf, F.A.; Foster, E.; Goldstein, S.A.; Kuznetsova, T.; et al. Recommendations for Cardiac Chamber Quantification by Echocardiography in Adults: An Update from the American Society of Echocardiography and the European Association of Cardiovascular Imaging. Eur. Heart J. Cardiovasc. Imaging 2015, 28, 233–271. [Google Scholar] [CrossRef]
- Cerqueira, M.D.; Weissman, N.J.; Dilsizian, V.; Jacobs, A.K.; Kaul, S.; Laskey, W.K.; Pennell, D.J.; Rumberger, J.A.; Ryan, T.; Verani, M.S. Standardized myocardial segmentation and nomenclature for tomographic imaging of the heart. A statement for healthcare professionals from the Cardiac Imaging Committee of the Council on Clinical Cardiology of the American Heart Association. Circulation 2002, 105, 539–542. [Google Scholar] [CrossRef]
- Nagueh, S.F.; Smiseth, O.A.; Appleton, C.P.; Byrd, B.F.; Dokainish, H.; Edvardsen, T.; Flachskampf, F.A.; Gillebert, T.C.; Klein, A.L.; Lancellotti, P.; et al. Recommendations for the Evaluation of Left Ventricular Diastolic Function by Echocardiography: An Update from the American Society of Echocardiography and the European Association of Cardiovascular Imaging. J. Am. Soc. Echocardiogr. 2016, 29, 277–314. [Google Scholar] [CrossRef]
- Smiseth, O.A.; Morris, D.A.; Cardim, N.; Cikes, M.; Delgado, V.; Donal, E.; Flachskampf, F.A.; Galderisi, M.; Gerber, B.L.; Gimelli, A.; et al. Multimodality imaging in patients with heart failure and preserved ejection fraction: An expert consensus document of the European Association of Cardiovascular Imaging. Eur. Heart J. Cardiovasc. Imaging 2022, 23, e34–e61. [Google Scholar] [CrossRef]
- Voigt, J.U.; Mălăescu, G.G.; Haugaa, K.; Badano, L. How to do LA strain. Eur. Heart J. Cardiovasc. Imaging 2020, 21, 715–717. [Google Scholar] [CrossRef]
- Messroghli, D.R.; Moon, J.C.; Ferreira, V.M.; Grosse-Wortmann, L.; He, T.; Kellman, P.; Mascherbauer, J.; Nezafat, R.; Salerno, M.; Schelbert, E.B.; et al. Clinical recommendations for cardiovascular magnetic resonance mapping of T1, T2, T2* and extracellular volume: A consensus statement by the Society for Cardiovascular Magnetic Resonance (SCMR) endorsed by the European Association for Cardiovascular Imaging (EACVI). J. Cardiovasc. Magn. Reson. 2017, 19, 75. [Google Scholar] [CrossRef] [PubMed]
- Shrestha, A.B.; Mehta, A.; Pokharel, P.; Mishra, A.; Adhikari, L.; Shrestha, S.; Yadav, R.S.; Khanal, S.; Sah, R.; Nowrouzi-Kia, B.; et al. Long COVID Syndrome and Cardiovascular Manifestations: A Systematic Review and Meta-Analysis. Diagnostics 2023, 13, 491. [Google Scholar] [CrossRef]
- Pérez-González, A.; Araújo-Ameijeiras, A.; Fernández-Villar, A.; Crespo, M.; Poveda, E. Cohort COVID-19 of the Galicia Sur Health Research Institute. Long COVID in hospitalized and non-hospitalized patients in a large cohort in Northwest Spain, a prospective cohort study. Sci. Rep. 2022, 12, 3369. [Google Scholar] [CrossRef]
- Sudre, C.H.; Murray, B.; Varsavsky, T.; Graham, M.S.; Penfold, R.S.; Bowyer, R.C.; Pujol, J.C.; Klaser, K.; Antonelli, M.; Canas, L.S.; et al. Attributes and predictors of long COVID. Nat. Med. 2021, 27, 626–631. [Google Scholar] [CrossRef]
- Huang, C.; Huang, L.; Wang, Y.; Li, X.; Ren, L.; Gu, X.; Kang, L.; Guo, L.; Liu, M.; Zhou, X.; et al. 6-month consequences of COVID-19 in patients discharged from hospital: A cohort study. Lancet 2023, 401, e21–e33. [Google Scholar] [CrossRef] [PubMed]
- Subramanian, A.; Nirantharakumar, K.; Hughes, S.; Myles, P.; Williams, T.; Gokhale, K.M.; Taverner, T.; Chandan, J.S.; Brown, K.; Simms-Williams, N.; et al. Symptoms and risk factors for long COVID in non-hospitalized adults. Nat. Med. 2022, 28, 1706–1714. [Google Scholar] [CrossRef]
- Matsumoto, C.; Shibata, S.; Kishi, T.; Morimoto, S.; Mogi, M.; Yamamoto, K.; Kobayashi, K.; Tanaka, M.; Asayama, K.; Yamamoto, E.; et al. Long COVID and hypertension-related disorders: A report from the Japanese Society of Hypertension Project Team on COVID-19. Hypertens. Res. 2022, 46, 601–619. [Google Scholar] [CrossRef]
- Lechuga, G.C.; Morel, C.M.; De-Simone, S.G. Hematological alterations associated with long COVID-19. Front. Physiol. 2023, 14, 1203472. [Google Scholar] [CrossRef]
- Bazdar, S.; Bloemsma, L.D.; Baalbaki, N.; Blankestijn, J.M.; Cornelissen, M.E.; Beijers, R.J.; Sondermeijer, B.M.; Wijck, Y.V.; Downward, G.S.; Maitland-van der Zee, A.H. Hemoglobin and Its Relationship with Fatigue in Long-COVID Patients Three to Six Months after SARS-CoV-2 Infection. Biomedicines 2024, 12, 1234. [Google Scholar] [CrossRef]
- Pasini, E.; Corsetti, G.; Romano, C.; Scarabelli, T.M.; Chen-Scarabelli, C.; Saravolatz, L.; Dioguardi, F.S. Serum metabolic Profile in Patients with Long-Covid (PASC) Syndrome: Clinical implications. Front. Med. 2021, 8, 714426. [Google Scholar] [CrossRef]
- Zeng, F.; Huang, Y.; Guo, Y.; Yin, M.; Chen, X.; Xiao, L.; Deng, G. Association of inflammatory markers with the severity of COVID-19: A meta-analysis. Int. J. Infect. Dis. 2020, 96, 467–474. [Google Scholar] [CrossRef] [PubMed]
- Pober, J.S.; Sessa, W.C. Evolving functions of endothelial cells in inflammation. Nat. Rev. Immunol. 2007, 7, 803–815. [Google Scholar] [CrossRef]
- Kotecha, T.; Knight, D.S.; Razvi, Y.; Kumar, K.; Vimalesvaran, K.; Thornton, G.; Patel, R.; Chacko, L.; Brown, J.T.; Coyle, C.; et al. Patterns of myocardial injury in recovered troponin-positive COVID-19 patients assessed by cardiovascular magnetic resonance. Eur. Heart J. 2021, 42, 1866–1878. [Google Scholar] [CrossRef]
- Bohmwald, K.; Diethelm-Varela, B.; Rodríguez-Guilarte, L.; Rivera, T.; Riedel, C.A.; González, P.A.; Kalergis, A.M. Pathophysiological, immunological, and inflammatory features of long COVID-19. Front. Immunol. 2024, 15, 1341600. [Google Scholar] [CrossRef] [PubMed]
- Crawford, A.; Fassett, R.G.; Geraghty, D.P.; Kunde, D.A.; Ball, M.J.; Robertson, I.K.; Coombes, J.S. Relationships between single nucleotide polymorphisms of antioxidant enzymes and disease. Gene 2012, 501, 89–103. [Google Scholar] [CrossRef]
- Voetsch, B.; Jin, R.C.; Bierl, C.; Benke, K.S.; Kenet, G.; Simioni, P.; Ottaviano, F.; Damasceno, B.P.; Annichino-Bizacchi, J.M. Promoter Polymorphisms in the Plasma Glutathione Peroxidase (GPx-3) Gene: A Novel Risk Factor for Arterial Ischemic Stroke Among Young Adults and Children. Stroke 2007, 38, 41–49. [Google Scholar] [CrossRef] [PubMed]
- Jerotic, D.; Ranin, J.; Bukumiric, Z.; Djukic, T.; Coric, V.; Savic-Radojevic, A.; Asanin, M.; Ercegovac, M.; Milosevic, I.; Pljesa-Ercegovaca, M.; et al. SOD2 rs4880 and GPX1 rs1050450 polymorphisms do not confer risk of COVID-19, but influence inflammation or coagulation parameters in Serbian cohort. Redox Rep. 2022, 27, 85–91. [Google Scholar] [CrossRef]
- Puntmann, V.O.; Martin, S.; Shchendrygina, A.; Hoffmann, J.; Ka, M.M.; Giokoglu, E.; Vanchin, B.; Holm, N.; Karyou, A.; Laux, G.S.; et al. Long-term cardiac pathology in individuals with mild initial COVID-19 illness. Nat. Med. 2022, 28, 2117–2123. [Google Scholar] [CrossRef]
- Huang, L.; Zhao, P.; Tang, D.; Zhu, T.; Han, R.; Zhan, C.; Liu, W.; Zeng, H.; Tao, Q.; Xia, L. Cardiac involvement in patients recovered from COVID-2019 identified using magnetic resonance imaging. JACC Cardiovasc. Imaging 2020, 13, 2330–2339. [Google Scholar] [CrossRef]
- Puntmann, V.O.; Carerj, M.L.; Wieters, I.; Fahim, M.; Arendt, C.; Hoffmann, J.; Shchendrygina, A.; Escher, F.; Vasa-Nicotera, M.; Zeiher, A.M.; et al. Outcomes of cardiovascular magnetic resonance imaging in patients recently recovered from coronavirus disease 2019 (COVID-19). JAMA Cardiol. 2020, 5, 1265–1273. [Google Scholar] [CrossRef]
- Rajpal, S.; Tong, M.S.; Borchers, J.; Zareba, K.M.; Obarski, T.P.; Simonetti, O.P.; Daniels, C.J. Cardiovascular magnetic resonance findings in competitive athletes recovering from COVID-19 infection. JAMA Cardiol. 2021, 6, 116–118. [Google Scholar] [CrossRef] [PubMed]
- Giustino, G.; Croft, L.B.; Stefanini, G.G.; Bragato, R.; Silbiger, J.J.; Vicenzi, M.; Danilov, T.; Kukar, N.; Shaban, N.; Kini, A.; et al. Characterization of Myocardial Injury in Patients With COVID-19. J. Am. Coll. Cardiol. 2020, 76, 2043–2055. [Google Scholar] [CrossRef] [PubMed]
- Li, R.; Wang, H.; Ma, F.; Cui, G.L.; Peng, L.Y.; Li, C.Z.; Zeng, H.-S.; Marian, A.J.; Wang, D.-W. Widespread myocardial dysfunction in COVID-19 patients detected by myocardial strain imaging using 2-D speckle-tracking echocardiography. Acta Pharmacol. Sin. 2021, 42, 1567–1574. [Google Scholar] [CrossRef]
- Friedrich, M.G.; Cooper, L.T. What we (don’t) know about myocardial injury after COVID-19. Eur. Heart J. 2021, 42, 1879–1882. [Google Scholar] [CrossRef] [PubMed]
- Freaney, P.M.; Shah, S.J.; Khan, S.S. COVID-19 and Heart Failure With Preserved Ejection Fraction. JAMA 2020, 324, 1499–1500. [Google Scholar] [CrossRef]
- Smiseth, O.A.; Fernandes, J.F.; Lamata, P. The challenge of understanding heart failure with supernormal left ventricular ejection fraction: Time for building the patient’s ‘digital twin’. Eur. Heart J. Cardiovasc. Imaging 2023, 24, 301–303. [Google Scholar] [CrossRef]
- Morris, D.A.; Ma, X.-X.; Belyavskiy, E.; Kumar, R.a.; Kropf, M.; Kraft, R.; Frydas, A.; Osmanglou, E.; Marquez, E.; Donal, E.; et al. Left ventricular longitudinal systolic function analysed by 2D speckle-tracking echocardiography in heart failure with preserved ejection fraction: A meta-analysis. Open Heart 2017, 25, e000630. [Google Scholar] [CrossRef]
- Supeł, K.; Wieczorkiewicz, P.; Przybylak, K.; Zielinska, M. 2D Strain Analysis in Myocarditis—Can We Be Any Closer to Diagnose the Acute Phase of the Disease? J. Clin. Med. 2023, 12, 2777. [Google Scholar] [CrossRef]
- Baycan, O.F.; Barman, H.A.; Atici, A.; Tatlisu, A.; Bolen, F.; Ergen, P.; Icten, S.; Gungor, B.; Caliskan, M. Evaluation of biventricular function in patients with COVID-19 using speckle tracking echocardiography. Int. J. Cardiovasc. Imaging 2021, 37, 135–144. [Google Scholar] [CrossRef]
- Croft, L.B.; Krishnamoorthy, P.; Ro, R.; Anastasius, M.; Zhao, W.; Buckley, S.; Argulian, E.; Sharma, S.K.; Kini, A.; Lerakis, S. Abnormal left ventricular global longitudinal strain by speckle tracking echocardiography in COVID-19 patients. Future Cardiol. 2021, 17, 655–661. [Google Scholar] [CrossRef]
- Cameli, M.; Mondillo, S.; Galderisi, M.; Mandoli, G.E.; Ballo, P.; Nistri, S.; Capo, V.; D’Ascenzi, F.; D’Andrea, A.; Esposito, R.; et al. Speckle tracking echocardiography: A practical guide. G. Ital. Di Cardiol. 2017, 18, 253–269. [Google Scholar] [CrossRef]
- Bhatia, H.S.; Bui, Q.M.; King, K.; DeMaria, A.; Daniels, L.B. Subclinical left ventricular dysfunction in COVID-19. IJC Heart Vasc. 2021, 34, 100770. [Google Scholar] [CrossRef] [PubMed]
- Tsampasian, V.; Bäck, M.; Bernardi, M.; Cavarretta, E.; Dębski, M.; Gati, S.; Hansen, D.; Kränkel, N.; Koskinas, K.C.; Niebauer, J.; et al. Cardiovascular disease as part of Long COVID: A systematic review. Eur. J. Prev. Cardiol. 2024, 32, 485–498. [Google Scholar] [CrossRef] [PubMed]







| Baseline Characteristics | Total (n = 176) | Long COVID | p | |
|---|---|---|---|---|
| No (n = 54) | Yes (n = 122) | |||
| Age, yr (mean ± SD) | 55.9 ± 12.3 | 56.07 ± 12.41 | 55.89 ± 12.24 | 0.453 |
| Sex m/f, n (%) | 103/73 (58.5/41.5) | 34/20 (63/37) | 69/53 (56.6/43.4) | 0.426 |
| Hospitalized, n (%) | 149 (84.7) | 41 (75.9) | 108 (88.5) | 0.032 |
| Length of hospital stay median (25th–75th percentile) | 12.37 ± 6.86 | 10.59 ± 4.14 | 13.11 ± 7.54 | 0.044 |
| Non-invasive mechanical ventilation (NIV), n, (%) | 1 (0.6) | 0 (0) | 1 (0.9) | 1.0 |
| Mechanically ventilation, n (%) | 1 (0.6) | 0 (0) | 1 (0.9) | 1.0 |
| BMI (kg/m2) (mean ± SD) | 28.9 ± 4.9 | 28.31 ± 4.73 | 29.22 ± 4.96 | 0.060 |
| SBP (mmHg) (mean ± SD) | 128.3 ± 19.5 | 130.93 ± 18.98 | 127.17 ± 19.65 | 0.239 |
| DBP (mmHg) (mean ± SD) | 78.5 ± 11.1 | 80.46 ± 11.59 | 77.66 ± 10.89 | 0.125 |
| Patient symptoms and clinical signs | ||||
| Irregular pulse or PVB, n (%) | 67 (38.1) | 16 (29.6) | 51 (41.8) | 0.125 |
| Palpitation or tachycardia, n (%) | 60 (34.1) | 15 (27.8) | 45 (36.9) | 0.240 |
| Tightness of chest, n (%) | 59 (33.5) | 16 (29.6) | 43 (35.2) | 0.467 |
| Risk factors | ||||
| Obese status | 0.052 | |||
| Obesity, n (%) | 62 (35.2) | 13 (24.1) | 49 (40.2) | |
| Pre-obesity, n (%) | 81 (46.0) | 32 (59.3) | 49 (40.2) | |
| Non-obese, n (%) | 33 (18.8) | 9 (16.7) | 24 (19.7) | |
| Smoking status | 0.861 | |||
| Current, n (%) | 23 (13.1) | 7 (13) | 16 (13.1) | |
| Previous, n (%) | 57 (32.4) | 16 (29.6) | 41 (33.6) | |
| Never, n (%) | 96 (54.5) | 31 (57.4) | 65 (53.3) | |
| Hypertension, n (%) | 81 (46.0) | 18 (33.3) | 63 (51.6) | 0.025 |
| Previous myocardial infarction, n (%) | 7 (4.0) | 1 (1.9) | 6 (4.9) | 0.678 |
| Previous stroke, n (%) | 3 (1.7) | 2 (3.7) | 1 (0.8) | 0.223 |
| Previous heart failure (n, %) | 0 (0.0) | |||
| Chronic obstructive pulmonary disease, n (%) | 10 (5.7) | 2 (3.7) | 8 (6.6) | 0.726 |
| Diabetes, n (%) | 29 (16.5) | 8 (14.8) | 21 (17.2) | 0.692 |
| Malignancy, n (%) | 10 (5.7) | 2 (3.7) | 8 (6.6) | 0.726 |
| Laboratory analysis | ||||
| Hs Troponin T (ng/mL) (mean ± SD) | 8.95 ± 12.8 | 7.63 ± 4.33 | 9.51 ± 14.97 | 0.377 |
| BNP (pg/mL), median (25th–75th percentile) | 18 (10–39) | 17 (10–29) | 18 (11–44) | 0.333 |
| D dimer, median (25th–75th percentile) | 0.34 (0.25–0.54) | 0.32 (0.23–0.50) | 0.35 (0.26–0.60) | 0.181 |
| Ferritin (g/L), median (25th–75th percentile) | 134.6 (78.8–230.8) | 149.5 (67.85–213.48) | 132.8 (86–238.5) | 0.824 |
| Leucocytes (×109) (mean ± SD) | 6.7 ± 1.8 | 6.40 ± 1.44 | 6.89 ± 1.88 | 0.090 |
| Haemoglobin (g/L) (mean ± SD) | 142 ± 12.8 | 145.46 ± 14.21 | 141.16 ± 12.02 | 0.040 |
| Hs CRP, median (25th–75th percentile) | 1.55(0.8–3.55) | 1.35 (0.8–3.33) | 2.0 (0.88–3.63) | 0.258 |
| Long COVID, Yes n = 122 | Long COVID, No n = 54 | p | |
|---|---|---|---|
| Conventional echocardiography LV parameters | |||
| LVM (g) mean ± SD | 177.1 ± 51.3 | 176.9 ± 47.8 | 0.380 |
| LVMI (g/m2) mean ± SD | 84.6 ± 21.3 | 86.1 ± 20.4 | 0.854 |
| LVEDV (mL) mean ± SD | 108.5 ± 29.9 | 109.8 ± 31.5 | 0.810 |
| LVEDVI (mL m2) mean ± SD | 55.8 ± 47.3 | 53.2 ± 12.1 | 0.681 |
| LVESV (mL) mean ± SD | 50.6 ± 17.6 | 48.3 ± 14.6 | 0.363 |
| LVESVI (mL m2) mean ± SD | 24.2 ± 7.5 | 23.7 ± 7.3 | 0.720 |
| LVEF (%) mean ± SD | 59.6 ± 5.5 | 62.3 ± 3.6 | 0.001 |
| E (m/s) mean ± SD | 0.59 ± 0.16 | 0.57 ± 0.10 | 0.538 |
| E/A mean ± SD | 0.92 ± 0.30 | 0.91 ± 0.25 | 0.820 |
| e’ septal (m/s) mean ± SD | 0.08 ± 0.06 | 0.07 ± 0.03 | 0.626 |
| e’ lateral (m/s) mean ± SD | 0.09 ± 0.03 | 0.10 ± 0.06 | 0.038 |
| E/e’ mean ± SD | 7.7 ± 2.4 | 7.3 ± 1.9 | 0.273 |
| DT (ms) mean ± SD | 214.2 ± 47.5 | 211.5 ± 54.6 | 0.753 |
| RVSP (mmHg) mean ± SD | 26.97 ± 6.26 | 26.57 ± 5.16 | 0.807 |
| Diastolic dysfunction, n (%) | 62 (50.8) | 28 (51.85) | 0.488 |
| Grade of diastolic dysfunction, n (%) | |||
| 1 | 58 (47.5) | 27 (50) | 0.486 |
| 2 | 6 (4.9) | 1 (1.85) | |
| 3 | 0 | 0 | |
| Echocardiographic signs of edema, n (%) | 33 (27.1) | 20 (37) | 0.272 |
| Echocardiographic signs of fibrosis, n (%) | 50 (41) | 17 (31.5) | 0.050 |
| Advanced echocardiography LV parameters | |||
| GLS endo (%) mean ± SD | −21.5 ± 2.9 | −22.5 ± 3.1 | 0.041 |
| GLS mid (%) mean ± SD | −19.1 ± 2.5 | −19.9 ± 2.7 | 0.048 |
| GLS epi (%) mean ± SD | −17.3 ± 2.3 | −17.9 ± 2.4 | 0.064 |
| Peak Systolic LS endo (%) mean ± SD | −20.9 ± 3.1 | −22.0 ± 3.2 | 0.038 |
| Peak Systolic LS mid (%) mean ± SD | −18.6 ± 2.7 | −19.5 ± 2.7 | 0.043 |
| Peak Systolic LS epi (%) mean ± SD | −16.8 ± 2.4 | −17.5 ± 2.5 | 0.056 |
| GLSr S (1/s) mean ± SD | −0.98 ± 0.15 | −1.03 ± 0.18 | 0.172 |
| GLSr E (1/s) mean ± SD | 1.07 ± 0.29 | 1.06 ± 0.28 | 0.747 |
| GLSr A (1/s) mean ± SD | 0.93 ± 0.22 | 0.97 ± 0.21 | 0.147 |
| LS Post-systolic shortening endo (s) mean ± SD | 0.032 ± 0.031 | 0.027 ± 0.020 | 0.301 |
| LS Post-systolic shortening mid (s) mean ± SD | 0.034 ± 0.031 | 0.029 ± 0.022 | 0.328 |
| LS Post-systolic shortening epi (s) mean ± SD | 0.036 ± 0.031 | 0.031 ± 0.024 | 0.357 |
| Peak Systolic CS endo (%) mean ± SD | −23.7 ± 4.2 | −24.7 ± 4.6 | 0.183 |
| Peak Systolic CS mid (%) mean ± SD | −15.4 ± 2.8 | −16.4 ± 3.2 | 0.056 |
| Peak Systolic CS epi (%) mean ± SD | −9.6 ± 2.3 | −10.5 ± 2.6 | 0.029 |
| CS Post-systolic shortening endo (s) mean ± SD | 0.086 ± 0.059 | 0.071 ± 0.056 | 0.093 |
| CS Post-systolic shortening mid (s) mean ± SD | 0.101 ± 0.069 | 0.075 ± 0.055 | 0.006 |
| CS Post-systolic shortening epi (s) mean ± SD | 0.138 ± 0.111 | 0.088 ± 0.064 | <0.001 |
| Torsion (°/cm) mean ± SD | 1.96 ± 0.72 | 2.02 ± 0.78 | 0.621 |
| Twist (°) mean ± SD | 15.03 ± 5.11 | 15.30 ± 5.63 | 0.749 |
| Time to peak twist (ms) mean ± SD | 345.27 ± 52.63 | 328.71 ± 54.20 | 0.053 |
| Peak rotation apex (°) mean ± SD | 7.99 ± 3.72 | 8.17 ± 3.99 | 0.774 |
| Time to peak rotation apex (ms) mean ± SD | 352.30 ± 117.63 | 359.08 ± 98.98 | 0.696 |
| Peak rotation base (°) mean ± SD | −6.68 ± 3.71 | −7.03 ± 4.17 | 0.594 |
| Time to peak rotation base (ms) mean ± SD | 407.47 ± 167.08 | 368.59 ± 122.61 | 0.115 |
| Conventional and advanced echocardiography RV parameters | |||
| RVEF (%) mean ± SD | 60.2 ± 10.1 | 61.0 ± 11.4 | 0.604 |
| RV FAC (%) mean ± SD | 45.4 ± 8.8 | 46.2 ± 10.1 | 0.613 |
| RV GLS (%) mean ± SD | −23.1 ± 6.4 | −23.4 ± 5.3 | 0.791 |
| Sa (cm/s) mean ± SD | 0.13 ± 0.03 | 0.12 ± 0.03 | 0.510 |
| Conventional echocardiography LA parameters | |||
| LAV (mL) mean ± SD | 53.4 ± 13.7 | 50.9 ± 13.2 | 0.259 |
| LAVI (mL/m2) mean ± SD | 26.8 ± 7.5 | 24.9 ± 6.4 | 0.099 |
| Advanced echocardiography LA parameters | |||
| LAs R (%) mean ± SD | 24.85 ± 5.96 | 27.22 ± 8.41 | 0.034 |
| Time to peak LAs R (ms) mean ± SD | 427.99 ± 53.21 | 399.79 ± 64.46 | 0.003 |
| LAs CD (%) mean ± SD | −13.06 ± 4.77 | −13.45 ± 5.32 | 0.622 |
| LAs pump (%) mean ± SD | −12.36 ± 3.89 | −13.28 ± 5.05 | 0.194 |
| Time to peak LAs pump (ms) mean ± SD | 741.34 ± 113.22 | 732.46 ± 108.04 | 0.627 |
| LAsr S (1/s) mean ± SD | 1.19 ± 0.75 | 1.23 ± 0.35 | 0.708 |
| Time to peak LAsr S (ms) mean ± SD | 178.17 ± 71.11 | 154.91 ± 50.55 | 0.031 |
| LAsr E (1/s) mean ± SD | −1.08 ± 0.46 | −1.06 ± 0.47 | 0.662 |
| Time to peak LAsr E (ms) mean ± SD | 526.90 ± 55.31 | 497.98 ± 75.63 | 0.005 |
| LAsr A (1/s) mean ± SD | −1.47 ± 1.27 | −1.61 ± 0.62 | 0.439 |
| Time to peak LAsr A (ms) mean ± SD | 832.05 ± 147.14 | 808.98 ± 120.59 | 0.313 |
| Variable | Univariate Analysis OR (95% CI) | p Value |
|---|---|---|
| LVEF | 0.023 (0.010–0.036) | 0.001 |
| GLSendo | 0.014 (0.009–0.037) | 0.220 |
| GLSmid | 0.014 (0.011–0.040) | 0.269 |
| Peak Systolic LS endo | 1.396 (1.061–3.854) | 0.264 |
| Peak Systolic LS mid | 1.276 (1.161–3.712) | 0.303 |
| Peak Systolic CS epi | 0.028 (0.001–0.055) | 0.041 |
| CS Post-systolic shortening endo | 0.855 (0.350–2.060) | 0.163 |
| CS Post-systolic shortening mid | 1.420 (0.309–2.530) | 0.013 |
| CS Post-systolic shortening epi | 1.489 (0.711–2.267) | <0.001 |
| LAs reservoir | 0.011 (0.001–0.021) | 0.034 |
| CMR Parameters | Long COVID |
|---|---|
| n = 67 | |
| LVEDV, mL (mean ± SD) | 126.71 ± 28.83 |
| LVEDVI, mL/m2 (mean ± SD) | 64.26 ± 12.87 |
| LVESV, mL (mean ± SD) | 46.52 ± 15.37 |
| LVESVI, mL/m2 (mean ± SD) | 24.14 ± 6.54 |
| LVEF, % (mean ± SD) | 61.97 ± 6.02 |
| LVSV, mL (mean ± SD) | 77.78 ± 16.22 |
| LVSVI, mL/m2 (mean ± SD) | 39.79 ± 7,93 |
| LVM, g (mean ± SD) | 116.24 ± 36.56 |
| LVCI, L/min/m2 (mean ± SD) | 2.71 ± 0.63 |
| RVEDV, mL (mean ± SD) | 125.34 ± 32.84 |
| RVEDVI, mL/m2 (mean ± SD) | 62.97 ± 14.36 |
| RVESV, mL (mean ± SD) | 49.96 ± 16.80 |
| RVESVI, mL/m2 (mean ± SD) | 24.97 ± 7.03 |
| RVEF, % (mean ± SD) | 61.64 ± 6.01 |
| RVSV, mL (mean ± SD) | 74.69 ± 17.88 |
| RVSVI, mL/m2 (mean ± SD) | 39.38 ± 8.06 |
| RVCI, L/min/m2 (mean ± SD) | 2.65 ± 0.58 |
| T1 native, ms (mean ± SD) | 1035.94 ± 111.43 |
| T1 native increase, n (%) | 14 (21.0) |
| T1 post-contrast, ms (mean ± SD) | 440.81 ± 99.55 |
| T1 post-contrast increase, n (%) | 13 (19.4) |
| T2 native, ms (mean ± SD) | 45.21 ± 3.05 |
| T2 post-contrast increase, n (%) | 15 (22.4) |
| LGE positive, n (%) | 29 (43.3) |
| LGE in ≥3 segments, n (%) | 25 (37.3) |
| LGE layers, n (%) | |
| epi | 11 (37.9) |
| epi or mid | 12 (41.4) |
| mid | 6 (20.7) |
| Total abnormal, n (%) | 39 (58.2) |
| LGE positive in T1 native increase patients (%) | 50.0 |
| LGE positive in T1 post-contrast increase patients (%) | 30.8 |
| LGE positive in T2 native increase patients (%) | 70.0 |
| Pericarditis, n (%) | 8 (12.5) |
Disclaimer/Publisher’s Note: The statements, opinions and data contained in all publications are solely those of the individual author(s) and contributor(s) and not of MDPI and/or the editor(s). MDPI and/or the editor(s) disclaim responsibility for any injury to people or property resulting from any ideas, methods, instructions or products referred to in the content. |
© 2025 by the authors. Licensee MDPI, Basel, Switzerland. This article is an open access article distributed under the terms and conditions of the Creative Commons Attribution (CC BY) license (https://creativecommons.org/licenses/by/4.0/).
Share and Cite
Krljanac, G.; Asanin, M.; Viduljevic, M.; Stankovic, S.; Simatovic, K.; Lasica, R.; Nedeljkovic-Arsenovic, O.; Maksimovic, R.; Zagorac, S.; Savic-Radojevic, A.; et al. Cardiovascular Manifestations of Patients with Long COVID. Diagnostics 2025, 15, 1771. https://doi.org/10.3390/diagnostics15141771
Krljanac G, Asanin M, Viduljevic M, Stankovic S, Simatovic K, Lasica R, Nedeljkovic-Arsenovic O, Maksimovic R, Zagorac S, Savic-Radojevic A, et al. Cardiovascular Manifestations of Patients with Long COVID. Diagnostics. 2025; 15(14):1771. https://doi.org/10.3390/diagnostics15141771
Chicago/Turabian StyleKrljanac, Gordana, Milika Asanin, Mihajlo Viduljevic, Stefan Stankovic, Kristina Simatovic, Ratko Lasica, Olga Nedeljkovic-Arsenovic, Ruzica Maksimovic, Slavisa Zagorac, Ana Savic-Radojevic, and et al. 2025. "Cardiovascular Manifestations of Patients with Long COVID" Diagnostics 15, no. 14: 1771. https://doi.org/10.3390/diagnostics15141771
APA StyleKrljanac, G., Asanin, M., Viduljevic, M., Stankovic, S., Simatovic, K., Lasica, R., Nedeljkovic-Arsenovic, O., Maksimovic, R., Zagorac, S., Savic-Radojevic, A., Djukic, T., Stevanovic, G., Pavlovic, V., & Simic, T. (2025). Cardiovascular Manifestations of Patients with Long COVID. Diagnostics, 15(14), 1771. https://doi.org/10.3390/diagnostics15141771

