Correlation between Sonographic Features and Central Neck Lymph Node Metastasis in Solitary Solid Papillary Thyroid Microcarcinoma with a Taller-Than-Wide Shape
Abstract
1. Introduction
2. Methods
2.1. Patient Selection
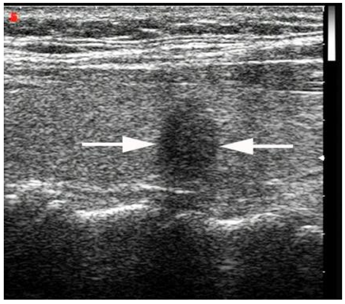
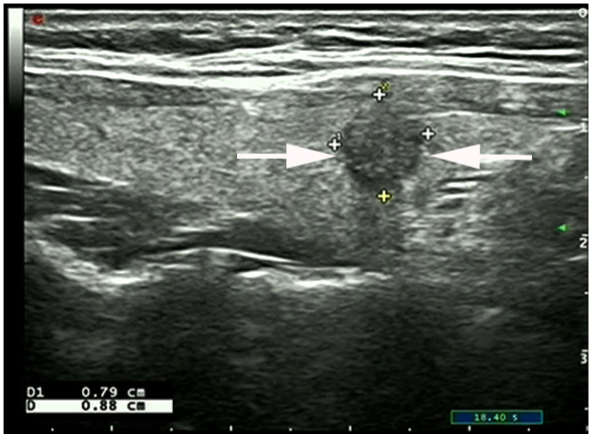
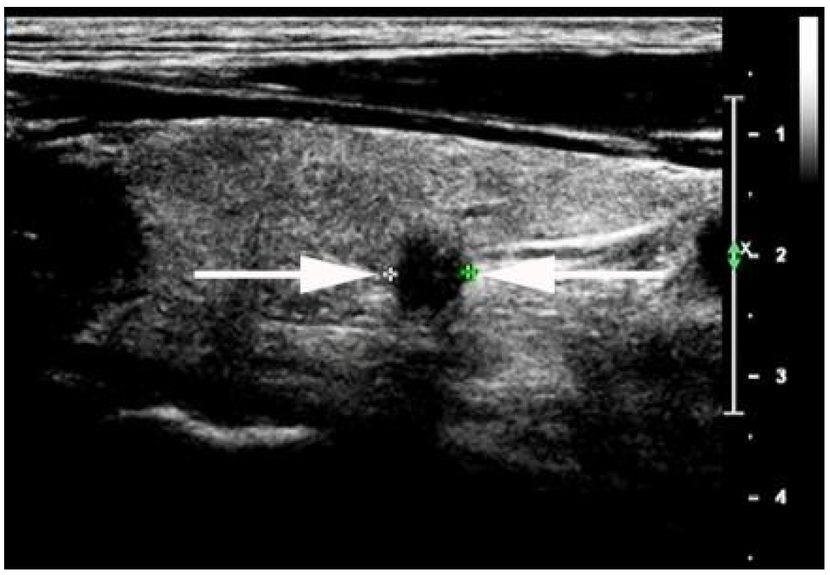
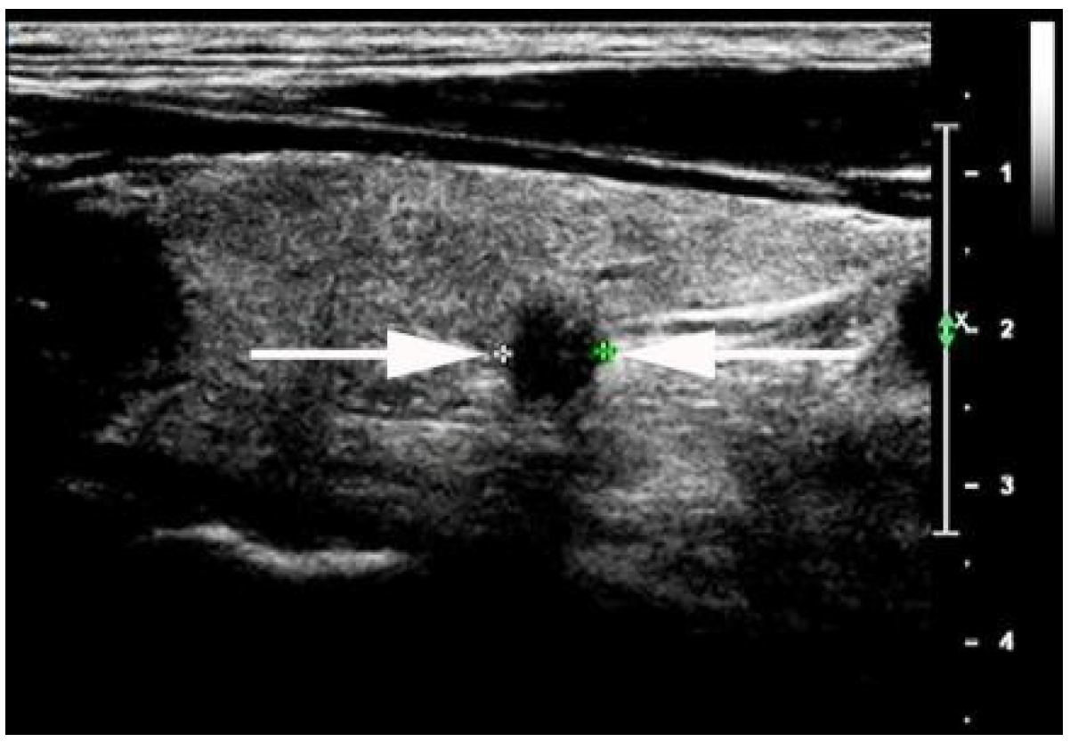
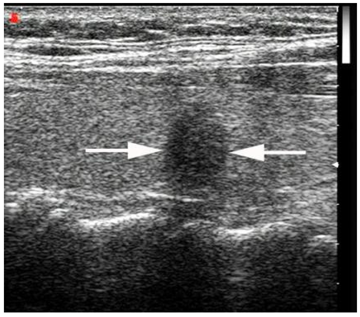
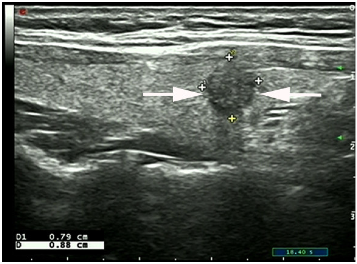
2.2. Ultrasound Imaging
2.3. Surgery and Pathological Examination
2.4. Statistical Analysis
3. Results
3.1. Clinical Characteristic
3.2. Correlation between Sonographic Features and Central Neck Lymph Node Metastasis in Solitary Solid PTMC with a Taller-than-Wide Shape
3.3. Effectiveness of Sex (Male) or (and) STCS in Predicting Central Lymph Node Metastasis in Solitary Solid PTMC with a Taller-than-Wide Shape
4. Discussion
5. Conclusions
Author Contributions
Funding
Institutional Review Board Statement
Informed Consent Statement
Data Availability Statement
Conflicts of Interest
References
- Miranda-Filho, A.; Lortet-Tieulent, J.; Bray, F.; Cao, B.; Franceschi, S.; Vaccarella, S.; Dal Maso, L. Thyroid cancer incidence trends by histology in 25 countries: A population-based study. Lancet Diabetes Endocrinol. 2021, 9, 225–234. [Google Scholar] [CrossRef] [PubMed]
- Siegel, R.L.; Miller, K.D.; Jemal, A. Cancer statistics. CA Cancer J. Clin. 2020, 70, 7–30. [Google Scholar] [CrossRef] [PubMed]
- Zuo, H.; Tang, W.; Yasuoka, H.; Nakamura, Y.; Ito, Y.; Miyauchi, A.; Kakudo, K. A review of 227 cases of small papillary thyroid carcinoma. Eur. J. Surg. Oncol. (EJSO) 2007, 33, 370–375. [Google Scholar] [CrossRef] [PubMed]
- Lim, H.; Devesa, S.S.; Sosa, J.A.; Check, D.; Kitahara, C.M. Trends in Thyroid Cancer Incidence and Mortality in the United States, 1974–2013. J. Am. Med. Assoc. 2017, 317, 1338–1348. [Google Scholar] [CrossRef]
- Huang, Y.; Yin, Y.; Zhou, W. Risk Factors for Central and Lateral Lymph Node Metastases in Patients with Papillary Thyroid Micro-Carcinoma: Retrospective Analysis on 484 Cases. Front. Endocrinol. 2021, 12, 640565. [Google Scholar] [CrossRef]
- Cao, X.J.; Wang, S.R.; Che, Y.; Liu, J.; Cong, Z.-B.; He, J.-F.; Wang, H.-L.; Liu, G.; Guo, J.-Q.; Hao, Y.; et al. Efficacy and Safety of Thermal Ablation for Treatment of Solitary T1N0M0 Papillary Thyroid Carcinoma: A Multicenter Retrospective Study. Radiology 2021, 300, 209–216. [Google Scholar] [CrossRef]
- Leboulleux, S.; Girard, E.; Rose, M.; Travagli, J.P.; Sabbah, N.; Caillou, B.; Hartl, D.M.; Lassau, N.; Baudin, E.; Schlumberger, M. Ultrasound Criteria of Malignancy for Cervical Lymph Nodes in Patients Followed Up for Differentiated Thyroid Cancer. J. Clin. Endocrinol. Metab. 2007, 92, 3590–3594. [Google Scholar] [CrossRef]
- Lee, D.; Ji, Y.; Sung, E.; Park, J.; Lee, Y.; Park, D.; Tae, K. Roles of ultrasonography and computed tomography in the surgical management of cervical lymph node metastases in papillary thyroid carcinoma. Eur. J. Surg. Oncol. (EJSO) 2013, 39, 191–196. [Google Scholar] [CrossRef]
- Wu, L.-M.; Gu, H.-Y.; Qu, X.-H.; Zheng, J.; Zhang, W.; Yin, Y.; Xu, J.-R. The accuracy of ultrasonography in the preoperative diagnosis of cervical lymph node metastasis in patients with papillary thyroid carcinoma: A meta-analysis. Eur. J. Radiol. 2012, 81, 1798–1805. [Google Scholar] [CrossRef]
- Xing, Z.; Qiu, Y.; Yang, Q.; Yu, Y.; Liu, J.; Fei, Y.; Su, A.; Zhu, J. Thyroid cancer neck lymph nodes metastasis: Meta-analysis of US and CT diagnosis. Eur. J. Radiol. 2020, 129, 109103. [Google Scholar] [CrossRef]
- Jiwang, L.; Yahong, L.; Kai, L.; Bo, H.; Yuejiao, Z.; Haotian, W.; Tao, Y. Clinicopathologic factors and preoperative ultrasonographic characteristics for predicting central lymph node metastasis in papillary thyroid microcarcinoma: A single center retrospective study. Braz. J. Otorhinolaryngol. 2020, 88, 36–45. [Google Scholar] [CrossRef]
- Yu, Y.; Yu, Z.; Li, M.; Wang, Y.; Yan, C.; Fan, J.; Xu, F.; Meng, H.; Kong, J.; Li, S.; et al. Model development to predict central lymph node metastasis in cN0 papillary thyroid microcarcinoma by machine learning. Ann. Transl. Med. 2022, 10, 892. [Google Scholar] [CrossRef]
- Zheng, X.; Peng, C.; Gao, M.; Zhi, J.; Hou, X.; Zhao, J.; Wei, X.; Chi, J.; Li, D.; Qian, B.; et al. Risk factors for cervical lymph node metastasis in papillary thyroid microcarcinoma: A study of 1,587 patients. Cancer Biol. Med. 2019, 16, 121–130. [Google Scholar]
- Xu, D.; Lv, X.; Wang, S.; Dai, W. Risk factors for predicting central lymph node metastasis in papillary thyroid microcarcinoma. Int. J. Clin. Exp. Pathol. 2014, 7, 6199–6205. [Google Scholar]
- Zhang, L.; Wei, W.-J.; Ji, Q.-H.; Zhu, Y.-X.; Wang, Z.-Y.; Wang, Y.; Huang, C.-P.; Shen, Q.; Li, D.-S.; Wu, Y. Risk Factors for Neck Nodal Metastasis in Papillary Thyroid Microcarcinoma: A Study of 1066 Patients. J. Clin. Endocrinol. Metab. 2012, 97, 1250–1257. [Google Scholar] [CrossRef]
- Wang, J.; Sheng, X.; Dai, Y.; Zhang, J.; Song, L.; Guo, Y. The Application Value of the Central Lymph Node Metastasis Risk Assessment Model in Papillary Thyroid Microcarcinoma of Stage cN0: A Study of 828 Patients. Front. Endocrinol. 2022, 13, 843573. [Google Scholar] [CrossRef]
- Chen, S.-P.; Hu, Y.-P.; Chen, B. Taller-Than-Wide Sign for Predicting Thyroid Microcarcinoma: Comparison and Combination of Two Ultrasonographic Planes. Ultrasound Med. Biol. 2014, 40, 2004–2011. [Google Scholar] [CrossRef]
- Kwak, J.Y.; Kim, E.-K.; Youk, J.H.; Kim, M.J.; Son, E.J.; Choi, S.H.; Oh, K.K. Extrathyroid Extension of Well-Differentiated Papillary Thyroid Microcarcinoma on US. Thyroid 2008, 18, 609–614. [Google Scholar] [CrossRef]
- Moon, S.J.; Kim, D.W.; Kim, S.J.; Ha, T.K.; Park, H.K.; Jung, S.J. Ultrasound assessment of degrees of extrathyroidal extension in papillary thyroid microcarcinoma. Endocr Pract. 2014, 20, 1037–1043. [Google Scholar] [CrossRef]
- Chung, S.R.; Baek, J.H.; Choi, Y.J.; Sung, T.Y.; Song, D.E.; Kim, T.Y.; Lee, J.H. Sonographic Assessment of the Extent of Extrathyroidal Extension in Thyroid Cancer. Korean J. Radiol. 2020, 21, 1187–1195. [Google Scholar] [CrossRef]
- Ramundo, V.; Di Gioia, C.R.T.; Falcone, R.; Lamartina, L.; Biffoni, M.; Giacomelli, L.; Filetti, S.; Durante, C.; Grani, G. Diagnostic Performance of Neck Ultrasonography in the Preoperative Evaluation for Extrathyroidal Extension of Suspicious Thyroid Nodules. World J. Surg. 2020, 44, 2669–2674. [Google Scholar] [CrossRef] [PubMed]
- Jeong, S.Y.; Chung, S.R.; Baek, J.H.; Choi, Y.J.; Sung, T.-Y.; Song, D.E.; Kim, T.Y. Sonographic assessment of minor extrathyroidal extension of papillary thyroid micro-carcinoma involving the posterior thyroid capsule. Eur. Radiol. 2022, 32, 6090–6096. [Google Scholar] [CrossRef] [PubMed]
- Kamaya, A.; Gross, M.; Akatsu, H.; Jeffrey, R.B. Recurrence in the thyroidectomy bed: Sonographic findings. AJR Am. J. Roentgenol. 2011, 196, 66–70. [Google Scholar] [CrossRef] [PubMed]
- Frates, M.C.; Parziale, M.P.; Alexander, E.K.; Barletta, J.A.; Benson, C.B. Role of Sonographic Characteristics of Thyroid Bed Lesions Identified Following Thyroidectomy in the Diagnosis or Exclusion of Recurrent Cancer. Radiology 2021, 299, 374–380. [Google Scholar] [CrossRef]
- Zhang, C.; Li, B.-J.; Liu, Z.; Wang, L.-L.; Cheng, W. Predicting the factors associated with central lymph node metastasis in clinical node-negative (cN0) papillary thyroid microcarcinoma. Eur. Arch. Oto-Rhino-Laryngology 2020, 277, 1191–1198. [Google Scholar] [CrossRef]
- Moon, H.J.; Kim, E.K.; Chung, W.Y.; Yoon, J.H.; Kwak, J.Y. Minimal extrathyroidal extension in patients with papillary thyroid mi-crocarcinoma: Is it a real prognostic factor? Ann. Surg. Oncol. 2011, 18, 1916–1923. [Google Scholar] [CrossRef]
- Gui, C.Y.; Qiu, S.L.; Peng, Z.H.; Wang, M. Clinical and pathologic predictors of central lymph node metastasis in papillary thyroid microcarcinoma: A retrospective cohort study. J. Endocrinol. Investig. 2017, 41, 403–409. [Google Scholar] [CrossRef]
- Yang, Z.; Heng, Y.; Qiu, W.; Tao, L.; Cai, W. Cervical Lymph Node Metastasis Differences in Patients with Unilateral or Bilateral Papillary Thyroid Microcarcinoma: A Multi-Center Analysis. J. Clin. Med. 2022, 11, 4929. [Google Scholar] [CrossRef]
- Fukushima, M.; Fukunari, N.; Murakami, T.; Kunii, Y.; Suzuki, S.; Kitaoka, M. Reconfirmation of the accuracy of the taller-than-wide sign in multicenter collaborative research in Japan. Endocr. J. 2021, 68, 897–904. [Google Scholar] [CrossRef]
- Han, B.; Hao, S.; Wu, J.; Fang, J.; Han, Z. Predictive features of central lymph node metastasis in papillary thyroid microcarcinoma: Roles of active surveillance in over-treatment. Front. Med. 2022, 9, 2908. [Google Scholar] [CrossRef]
- Fama, F.; Sindoni, A.; Cicciu, M.; Polito, F.; Piquard, A.; Saint-Marc, O.; Gioffre’-Florio, M.; Benvenga, S. Preoperatively undiagnosed papillary thyroid carcinoma in patients thyroidectomized for benign multinodular goiter. Arq. Bras. Endocrinol. Metabol. 2018, 62, 139–148. [Google Scholar] [CrossRef]
- Hay, I.D.; Hutchinson, M.E.; Gonzalez-Losada, T.; McIver, B.; Reinalda, M.E.; Grant, C.S.; Thompson, G.B.; Sebo, T.J.; Goellner, J.R. Papillary thyroid microcarcinoma: A study of 900 cases observed in a 60-year period. Surgery 2008, 144, 980–988. [Google Scholar] [CrossRef]
- Besic, N.; Pilko, G.; Petric, R.; Hocevar, M.; Zgajnar, J. Papillary thyroid microcarcinoma: Prognostic factors and treatment. J. Surg. Oncol. 2007, 97, 221–225. [Google Scholar] [CrossRef]
- Chow, S.-M.; Law, S.C.K.; Chan, J.K.C.; Au, S.-K.; Yau, S.; Lau, W.-H. Papillary microcarcinoma of the thyroid?Prognostic significance of lymph node metastasis and multifocality. Cancer 2003, 98, 31–40. [Google Scholar] [CrossRef]
- Molinaro, E.; Campopiano, M.C.; Elisei, R. Management of endocrine disease: Papillary thyroid microcarcinoma: Toward an active surveillance strategy. Eur. J. Endocrinol. 2021, 185, R23–R34. [Google Scholar] [CrossRef]
- Azizi, G.; Faust, K.; Ogden, L.; Been, L.; Mayo, M.L.; Piper, K.; Malchoff, C. 3-D Ultrasound and Thyroid Cancer Diagnosis: A Prospective Study. Ultrasound Med. Biol. 2021, 47, 1299–1309. [Google Scholar] [CrossRef]
- Gao, Y.; Qu, N.; Zhang, L.; Chen, J.-Y.; Ji, Q.-H. Preoperative ultrasonography and serum thyroid-stimulating hormone on predicting central lymph node metastasis in thyroid nodules as or suspicious for papillary thyroid microcarcinoma. Tumor Biol. 2015, 37, 7453–7459. [Google Scholar] [CrossRef]



| Parameters | CNLM Group (n = 45) | Nonmetastatic Group (n = 58) | p Value |
|---|---|---|---|
| Age (years) | 26–69 (43.35 ± 9.95) | 31–64 (46.26 ± 7.68) | 0.096 |
| Gender | 0.021 | ||
| Male/female (n) | 16/29 | 8/50 | |
| Position | 0.968 | ||
| Left/right/isthmic (n) | 17/28/0 | 22/36/0 | |
| Location | |||
| Upper pole (n) | 9 | 11 | 0.876 |
| Middle pole (n) | 22 | 31 | 0.796 |
| Lower pole (n) | 14 | 16 | 0.707 |
| Size (mm) | 4–10 (7.82 ± 1.68) | 4–10 (7.40 ± 1.61) | 0.195 |
| Echogenicity | |||
| Hyper/Isoechogenicity (n) | 0/0 | 0/0 | |
| Hypo echogenicity (n) | 35 | 39 | 0.484 |
| Mark hypo-echogenicity (n) | 10 | 19 | 0.340 |
| Margin | 1 | ||
| Regular (n) | 0 | 0 | |
| Irregular (n) | 44 | 59 | |
| Calcification (n) | 23 | 27 | 0.742 |
| Microcalcification (n) | 20 | 24 | 0.770 |
| Macrocalcification (n) | 3 | 3 | 0.739 |
| Without calcification (n) | 22 | 31 | 0.796 |
| STCS (n) | 37 | 17 | 0.0002 |
| Anterior capsule involved (n) | 15 | 7 | 0.018 |
| Posterior capsule involved (n) | 22 | 10 | 0.004 |
| Hashimoto’s thyroiditis (n) | 7 | 8 | 0.757 |
| Nodular goiter (n) | 4 | 4 | 0.765 |
| Parameters | Sensitivity (%) | Specificity (%) | PPV (%) | NPV (%) | Accuracy (%) |
|---|---|---|---|---|---|
| Male (n) | 35.56 (16/45) | 86.21 (50/58) | 66.67 (16/24) | 63.29 (50/79) | 64.08 (66/103) |
| STCS (n) | 82.22 (37/45) | 70.69 (41/58) | 68.52 (37/54) | 83.67 (41/49) | 75.73 (78/103) |
| Male + STCS (n) | 31.11 (14/45) | 96.55(56/58) | 87.50 (14/16) | 64.37 (56/87) | 67.96 (70/103) |
Disclaimer/Publisher’s Note: The statements, opinions and data contained in all publications are solely those of the individual author(s) and contributor(s) and not of MDPI and/or the editor(s). MDPI and/or the editor(s) disclaim responsibility for any injury to people or property resulting from any ideas, methods, instructions or products referred to in the content. |
© 2023 by the authors. Licensee MDPI, Basel, Switzerland. This article is an open access article distributed under the terms and conditions of the Creative Commons Attribution (CC BY) license (https://creativecommons.org/licenses/by/4.0/).
Share and Cite
Chen, S.-P.; Jiang, X.; Zheng, W.-W.; Luo, Y.-L. Correlation between Sonographic Features and Central Neck Lymph Node Metastasis in Solitary Solid Papillary Thyroid Microcarcinoma with a Taller-Than-Wide Shape. Diagnostics 2023, 13, 949. https://doi.org/10.3390/diagnostics13050949
Chen S-P, Jiang X, Zheng W-W, Luo Y-L. Correlation between Sonographic Features and Central Neck Lymph Node Metastasis in Solitary Solid Papillary Thyroid Microcarcinoma with a Taller-Than-Wide Shape. Diagnostics. 2023; 13(5):949. https://doi.org/10.3390/diagnostics13050949
Chicago/Turabian StyleChen, Shun-Ping, Xin Jiang, Wu-Wu Zheng, and Yin-Li Luo. 2023. "Correlation between Sonographic Features and Central Neck Lymph Node Metastasis in Solitary Solid Papillary Thyroid Microcarcinoma with a Taller-Than-Wide Shape" Diagnostics 13, no. 5: 949. https://doi.org/10.3390/diagnostics13050949
APA StyleChen, S.-P., Jiang, X., Zheng, W.-W., & Luo, Y.-L. (2023). Correlation between Sonographic Features and Central Neck Lymph Node Metastasis in Solitary Solid Papillary Thyroid Microcarcinoma with a Taller-Than-Wide Shape. Diagnostics, 13(5), 949. https://doi.org/10.3390/diagnostics13050949

