Hormonal and Metabolic Factors Influence the Action of Progesterone on the Endometrium of Women with Polycystic Ovary Syndrome
Abstract
1. Introduction
2. Materials and Methods
2.1. Subjects
2.2. Study Protocol
2.3. Preselection
2.3.1. PCOS-Study A
2.3.2. PCOS-Study B
2.4. Assays
2.5. Endometrial Biopsies
2.6. Morphological and Histomorphometric Analyses
2.7. Statistical Analyses
3. Results
3.1. Clinical Data
3.2. Metabolic Data
3.3. Ferriman–Gallwey Index and Laboratory Data
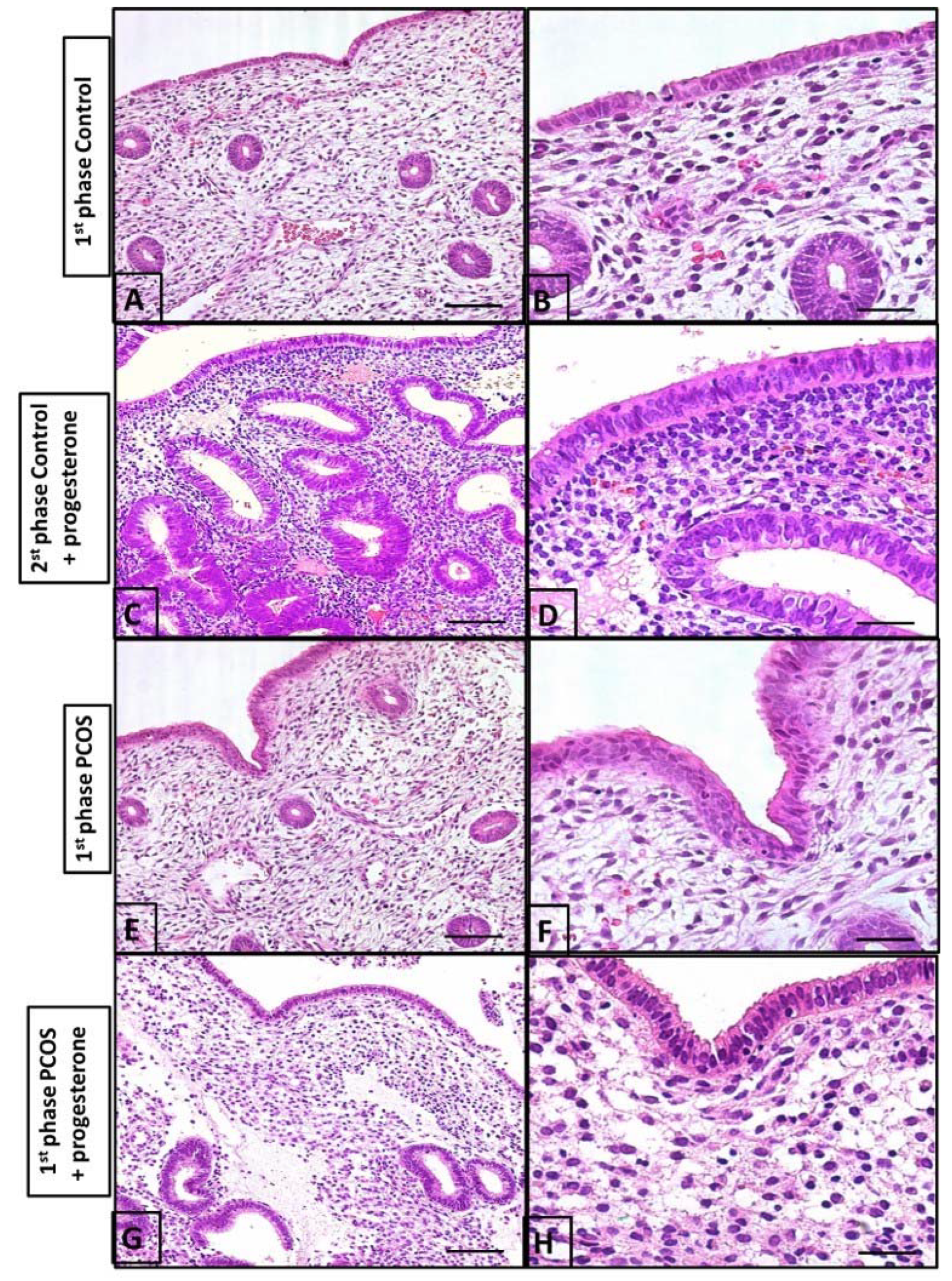
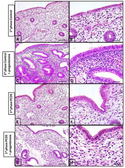
3.4. Histomorphologic Analysis
3.5. Histomorphometric Analysis
3.6. Spearman’s Correlation
4. Discussion
5. Conclusions
Author Contributions
Funding
Institutional Review Board Statement
Informed Consent Statement
Data Availability Statement
Acknowledgments
Conflicts of Interest
References
- Azziz, R.; Carmina, E.; Dewailly, D.; Diamanti-Kandarakis, E.; Escobar-Morreale, H.; Futterweit, W.; Janssen, O.E.; Legro, R.; Norman, R.; Taylor, A.E.; et al. Position statement: Criteria for Defining Polycystic Ovary Syndrome as a Predominantly Hyperandrogenic Syndrome: An Androgen Excess Society Guideline. J. Clin. Endocrinol. Metab. 2006, 91, 4237–4245. [Google Scholar] [CrossRef] [PubMed]
- Azziz, R.; Carmina, E.; Dewailly, D.; Diamanti-Kandarakis, E.; Escobar-Morreale, H.F.; Futterweit, W.; Janssen, O.E.; Legro, R.S.; Norman, R.; Taylor, A.E.; et al. The Androgen Excess and PCOS Society criteria for the polycystic ovary syndrome: The complete task force report. Fertil. Steril. 2009, 91, 456–488. [Google Scholar] [CrossRef]
- de Medeiros, S.F.; Yamamoto, M.M.W.; de Medeiros, M.A.S.; Barbosa, B.B.; Soares, J.M.; Baracat, E.C. Changes in clinical and biochemical characteristics of polycystic ovary syndrome with advancing age. Endocr. Connect. 2020, 9, 74–89. [Google Scholar] [CrossRef] [PubMed]
- Lopes, I.M.R.S.; Baracat, M.C.P.; Simões, M.J.; Simões, R.S.; Baracat, E.C.; Jr, J.M.S. Endométrio na janela de implantação em mulheres com síndrome dos ovários policísticos. Rev. Assoc. Med. Brasil. 2011, 57, 702–709. [Google Scholar] [CrossRef] [PubMed]
- Teede, H.J.; Misso, M.L.; Costello, M.F.; Dokras, A.; Laven, J.; Moran, L.; Piltonen, T.; Norman, R.J.; International PCOS Network Erratum. Recommendations from the international evidence-based guideline for the assessment and management of polycystic ovary syndrome. Hum. Reprod. 2018, 34, 388. [Google Scholar] [CrossRef]
- Shan, H.; Luo, R.; Guo, X.; Li, R.; Ye, Z.; Peng, T.; Liu, F.; Yang, Z. Abnormal Endometrial Receptivity and Oxidative Stress in Polycystic Ovary Syndrome. Front. Pharmacol. 2022, 13, 904942. [Google Scholar] [CrossRef]
- Junior, J.M.S.; de Sa, M.F.S.; Baracat, E.C. Should insulin resistance be always treated in polycystic ovary syndrome? Rev. Bras. Ginecol. Obstet. 2014, 36, 47–49. [Google Scholar] [CrossRef]
- Baracat, M.C.P.; Serafini, P.C.; Simões, R.D.S.; Maciel, G.A.; Soares, J.M.; Baracat, E.C. Systematic review of cell adhesion molecules and estrogen receptor expression in the endometrium of patients with polycystic ovary syndrome. Int. J. Gynecol. Obstet. 2015, 129, 1–4. [Google Scholar] [CrossRef]
- Lopes, I.M.R.S.; Maganhin, C.C.; Oliveira-Filho, R.M.; Simões, R.S.; Simões, M.J.; Iwata, M.C.; Baracat, E.C.; Soares, J.J.M. Histomorphometric Analysis and Markers of Endometrial Receptivity Embryonic Implantation in Women with Polycystic Ovary Syndrome during the Treatment with Progesterone. Reprod. Sci. 2014, 21, 930–938. [Google Scholar] [CrossRef]
- Dani, E.; De Jesus, S.M.; Walter, P.; Maria, S.J.; Cesar, S.P.; Chada, B.E. Blind aspiration biopsy versus a guided hysteroscopic technique for investigation of the endometrium in infertile women. Histol. Histopathol. 2016, 31, 981–986. [Google Scholar] [CrossRef]
- Guleken, Z.; Bulut, H.; Bulut, B.; Paja, W.; Orzechowska, B.; Parlinska-Wojtan, M.; Depciuch, J. Identification of polycystic ovary syndrome from blood serum using hormone levels via Raman spectroscopy and multivariate analysis. Spectrochim. Acta Part A Mol. Biomol. Spectrosc. 2022, 273, 121029. [Google Scholar] [CrossRef]
- Pu, H.; Wen, X.; Luo, D.; Guo, Z. Regulation of progesterone receptor expression in endometriosis, endometrial cancer, and breast cancer by estrogen, polymorphisms, transcription factors, epigenetic alterations, and ubiquitin-proteasome system. J. Steroid Biochem. Mol. Biol. 2022, 227, 106199. [Google Scholar] [CrossRef] [PubMed]
- Simões, R.S.; Soares-Jr, J.M.; Simões, M.J.; Nader, H.B.; Baracat, M.C.P.; Maciel, G.A.R.; Serafini, P.C.; Azziz, R.; Baracat, E.C. Small leucine-rich proteoglycans (SLRPs) in the endometrium of polycystic ovary syndrome women: A pilot study. J. Ovarian Res. 2017, 10, 54. [Google Scholar] [CrossRef] [PubMed]
- Simões, R.S.; Carbonel, A.A.F.; Borges, F.T.; Baracat, M.C.P.; Sasso, G.R.D.S.; Simões, M.J.; Serafini, P.C.; Soares, J.M.; Nader, H.B.; Baracat, E.C. Analysis of hyaluronic acid in the endometrium of women with polycystic ovary syndrome. Gynecol. Endocrinol. 2019, 35, 133–137. [Google Scholar] [CrossRef] [PubMed]
- Savaris, R.F.; Groll, J.M.; Young, S.L.; DeMayo, F.J.; Jeong, J.-W.; Hamilton, A.E.; Giudice, L.C.; Lessey, B.A. Progesterone Resistance in PCOS Endometrium: A Microarray Analysis in Clomiphene Citrate-Treated and Artificial Menstrual Cycles. J. Clin. Endocrinol. Metab. 2011, 96, 1737–1746. [Google Scholar] [CrossRef]
- Ejzenberg, D.; Gomes, T.J.O.; Monteleone, P.A.A.; Serafini, P.C.; Soares, J.M., Jr.; Baracat, E.C.; Soares, J.M. Prognostic factors for pregnancy after intrauterine insemination. Int. J. Gynecol. Obstet. 2019, 147, 65–72. [Google Scholar] [CrossRef]
- Sharpe, A.; Morley, L.C.; Tang, T.; Norman, R.J.; Balen, A.H. Metformin for ovulation induction (excluding gonadotrophins) in women with polycystic ovary syndrome. Cochrane Database Syst. Rev. 2019, 12, CD013505. [Google Scholar] [CrossRef]
- Walls, M.L.; Hunter, T.; Ryan, J.P.; Keelan, J.; Nathan, E.; Hart, R.J. In vitro maturation as an alternative to standard in vitro fertilization for patients diagnosed with polycystic ovaries: A comparative analysis of fresh, frozen and cumulative cycle outcomes. Hum. Reprod. 2015, 30, 88–96. [Google Scholar] [CrossRef]
- Trivax, B.; Azziz, R. Diagnosis of Polycystic Ovary Syndrome. Clin. Obstet. Gynecol. 2007, 50, 168–177. [Google Scholar] [CrossRef]
- Giordano, M.V.; Giordano, L.A.; Gomes, R.C.; Simões, R.S.; Nader, H.B.; Baracat, E.C.; Soares-Jr, J.M. The evaluation of endometrial sulfate glycosaminoglycans in women with polycystic ovary syndrome. Gynecol. Endocrinol. 2015, 31, 278–281. [Google Scholar] [CrossRef]
- Palomba, S.; Piltonen, T.T.; Giudice, L.C. Endometrial function in women with polycystic ovary syndrome: A comprehensive review. Hum. Reprod. Update 2021, 27, 584–618. [Google Scholar] [CrossRef] [PubMed]
- MacLean, J.A.; Hayashi, K. Progesterone Actions and Resistance in Gynecological Disorders. Cells 2022, 11, 647. [Google Scholar] [CrossRef] [PubMed]
- Walters, K.A.; Moreno-Asso, A.; Stepto, N.K.; Pankhurst, M.W.; Paris, V.R.; Rodgers, R.J. Key signalling pathways underlying the aetiology of polycystic ovary syndrome. J. Endocrinol. 2022, 25, R1–R26. [Google Scholar] [CrossRef]
- Yuen, V.G.; McNeill, J.H. Comparison of the glucose oxidase method for glucose determination by manual assay and automated analyzer. J. Pharmacol. Toxicol. Methods 2000, 44, 543–546. [Google Scholar] [CrossRef]
- Selvin, E.; Steffes, M.W.; Zhu, H.; Matsushita, K.; Wagenknecht, L.; Pankow, J.; Coresh, J.; Brancati, F.L. Glycated Hemoglobin, Diabetes, and Cardiovascular Risk in Nondiabetic Adults. N. Engl. J. Med. 2010, 362, 800–811. [Google Scholar] [CrossRef]
- Noyes, R.W.; Haman, J.O. Accuracy of endometrial dating; correlation of endometrial dating with basal body temperature and menses. Fertil Steril. 1953, 4, 504–517. [Google Scholar] [CrossRef] [PubMed]
- Giordano, L.A.; Giordano, M.V.; Gomes, R.C.T.; Simões, R.D.S.; Baracat, M.C.P.; Ferreira-Filho, E.S.; de Medeiros, S.F.; Baracat, E.C.; Soares-Júnior, J.M. Effects of clinical and metabolic variables and hormones on the expression of immune protein biomarkers in the endometrium of women with polycystic ovary syndrome and normal-cycling controls. Gynecol. Endocrinol. 2022, 38, 508–515. [Google Scholar] [CrossRef]
- Lai, T.-H.; Zhao, Y.; Shih, I.-M.; Ho, C.-L.; Bankowski, B.; Vlahos, N. Expression of L-selectin ligands in human endometrium during the implantation window after controlled ovarian stimulation for oocyte donation. Fertil. Steril. 2006, 85, 761–763. [Google Scholar] [CrossRef]
- Munro, M.G.; Critchley, H.O.; Fraser, I.S.; The FIGO Menstrual Disorders Committee. The two FIGO systems for normal and abnormal uterine bleeding symptoms and classification of causes of abnormal uterine bleeding in the reproductive years: 2018 revisions. Int. J. Gynecol. Obstet. 2018, 143, 393–408, Erratum in: Int. J. Gynecol. Obstet. 2019, 144, 237. [Google Scholar] [CrossRef]
- Fauser, B.C.; Tarlatzis, B.C.; Rebar, R.W.; Legro, R.S.; Balen, A.H.; Lobo, R.; Carmina, E.; Chang, J.; Yildiz, B.O.; Laven, J.S.; et al. Consensus on women’s health aspects of polycystic ovary syndrome (PCOS): The Amsterdam ESHRE/ASRM-Sponsored 3rd PCOS Consensus Workshop Group. Fertil. Steril. 2012, 97, 28–38.e25. [Google Scholar] [CrossRef]
- Griukova, A.; Deryabin, P.; Shatrova, A.; Burova, E.; Severino, V.; Farina, A.; Nikolsky, N.; Borodkina, A. Molecular basis of senescence transmitting in the population of human endometrial stromal cells. Aging 2019, 11, 9912–9931. [Google Scholar] [CrossRef]
- Maliqueo, M.; Clementi, M.; Gabler, F.; Johnson, M.C.; Palomino, A.; Sir-Petermann, T.; Vega, M. Expression of steroid receptors and proteins related to apoptosis in endometria of women with polycystic ovary syndrome. Fertil. Steril. 2003, 80, 812–819. [Google Scholar] [CrossRef]
- Heijnen, E.; Eijkemans, M.; Hughes, E.; Laven, J.; Macklon, N.; Fauser, B. A meta-analysis of outcomes of conventional IVF in women with polycystic ovary syndrome. Hum. Reprod. Updat. 2006, 12, 13–21. [Google Scholar] [CrossRef]
- Qiao, J.; Wang, L.; Li, R.; Zhang, X. Microarray evaluation of endometrial receptivity in Chinese women with polycystic ovary syndrome. Reprod. Biomed. Online 2008, 17, 425–435. [Google Scholar] [CrossRef]
- Yu, Q.; Wang, Z.; Su, F.; Wang, M. Effectiveness and safety of aspirin combined with letrozole in the treatment of polycystic ovary syndrome: A systematic review and meta-analysis. Ann. Palliat. Med. 2021, 10, 4632–4641. [Google Scholar] [CrossRef]
- Wang, L.; Lv, S.; Li, F.; Bai, E.; Yang, X. Letrozole Versus Clomiphene Citrate and Natural Cycle: Endometrial Receptivity During Implantation Window in Women With Polycystic Ovary Syndrome. Front. Endocrinol. 2021, 11, 532692. [Google Scholar] [CrossRef]
- Sakar, M.N.; Oğlak, S.C. Letrozole is superior to clomiphene citrate in ovulation induction in patients with polycystic ovary syndrome. Pak. J. Med. Sci. 2020, 36, 1460–1465. [Google Scholar] [CrossRef]
- Palomba, S.; Russo, T.; Orio, F., Jr.; Falbo, A.; Manguso, F.; Sammartino, A.; Tolino, A.; Colao, A.; Carmina, E.; Zullo, F. Uterine effects of clomiphene citrate in women with polycystic ovary syndrome: A prospective controlled study. Hum. Reprod. 2006, 21, 2823–2829. [Google Scholar] [CrossRef]





| Variables | PCOS (n = 28) | Control (n = 18) | * p Value |
|---|---|---|---|
| Age (Mean ± SD) * | 27.41 ± 5.73 | 30.11 ± 5.33 | 0.118 |
| Age at menarche (Mean ± SD) * | 12.89 ± 1.87 | 12.50 ± 2.94 | 0.581 |
| Marital status, n (%) ** | |||
| Married | 21 (75) | 9 (50) | |
| Single | 6 (21.43) | 7 (38.89) | |
| Divorced | 1 (3.57) | 2 (11.11) | 0.078 |
| Ethnicity, n (%) ** | |||
| White | 12 (42.86) | 8 (55.56) | |
| Afrodescent | 16 (57.14) | 10 (44.44) | 0.577 |
| Schooling, n (%) ** | |||
| Complete primary school | 6 (21.43) | 7 (38.89) | |
| Complete secondary school | 15 (53.57) | 6 (33.33) | |
| Complete College/University | 7 (25) | 5 (27.78) | 0.319 |
| Religion, n (%) ** | |||
| Catholic | 9 (32.14) | 8 (44.45) | |
| Evangelical | 8 (28.57) | 6 (33.33) | |
| Others | 11 (39.29) | 4 (22.22) | 0.481 |
| Family income ** | |||
| <2 minimum wages | 18 (64.29) | 10 (55.56) | |
| >2 minimum wages | 10 (35.71) | 8 (44.44) | 0.387 |
| Number of yearly menstrual cycles * | 3.18 ± 2.21 | 11.61 ± 0.61 | <0.001 |
| Duration of flow (days) * | 6.54 ± 4.36 | 5.44 ± 1.89 | 0.06 |
| Number of pregnancies * | 0.21 ± 0.42 | 0.72 ± 0.57 | 0.001 |
| Number of childbirths * | 0.21 ± 0.42 | 0.44 ± 0.61 | 0.176 |
| Groups | PCOS (n = 28) | Controls (n = 18) | p Value | ||
|---|---|---|---|---|---|
| Mean (±SD) | Median (P25–P75) | Mean (±SD) | Median (P25–P75) | ||
| Anthropometric data | |||||
| BMI (kg/m2) | 30.4 (±5.5) | 30.3 (26–35.5) | 30.5 (±5.2) | 31.6 (28.3–33.6) | 0.948 |
| Abdominal circumference (cm) | 103.9 (±14.8) | 104 (94.5–114) | 94.6 (±18.5) | 95.5 (80.3–110.8) | 0.065 |
| Glucose metabolism | |||||
| Glycated hemoglobin (%) | 5.7 (±0.3) | 5.6 (5.1–5.8) | 5.1 (±0.5) | 5.2 (4.9–5.4) | 0.001 |
| GTT0 (mg/mL) | 92 (±16.6) | 87 (84.5–95.5) | 88 (±8.1) | 88.5 (81.3–93.5) | 0.769 |
| GTT30 * (mg/mL) | 135 (±23.1) | 138 (120.5–144.8) | 110.1 (±20.3) | 101 (94.5–127) | 0.004 |
| GTT60 * (mg/mL) | 132 (±37.7) | 131 (107–148.3) | 104 (±19.2) | 105 (93.3–117.5) | 0.003 |
| GTT90 * (mg/mL) | 129 (±34.5) | 131.5 (102.3–143) | 102 (±23.1) | 111 (81–120.5) | 0.003 |
| GTT120 * (mg/mL) | 121.7 (±36.9) | 119 (101.8–134.5) | 105.1 (±20.1) | 107 (90.5–120) | 0.069 |
| INS0 (µUI/mL) | 41.1 (±41.4) | 32.4 (14.8–42.9) | 15.4 (±5.3) | 15.5 (12–17) | 0.002 |
| INS30 * (µUI/mL) | 172.9 (±90.1) | 176 (109.8–211.3) | 121.5 (±69.7) | 115.5 (60.5–156) | 0.06 |
| INS60 * (µUI/mL) | 186.6 (±97.6) | 180.5 (119–245.8) | 90.5 (±53.5) | 83.5 (50.5–117.3) | <0.001 |
| INS90 * (µUI/mL) | 205.8 (±132.4) | 178.5 (100.9–242.3) | 107.6 (±52.9) | 100 (67.8–147) | 0.007 |
| INS120 * (µUI/mL) | 185.9 (±133.7) | 155.3 (95.6–243.5) | 101.9 (±55.3) | 94.5 (59.3–120.5) | 0.029 |
| HOMA–IR | 9.7 (±10.5) | 6.5 (3.2–10.5) | 3.4 (±1.3) | 3.4 (2.5–3.7) | 0.003 |
| Matsuda Index | 1.72 (±1.1) | 1.3 (0.9–2.3) | 3.41 (±1.18) | 2.7 (2.2–4.2) | <0.001 |
| Lipid metabolism | |||||
| Total cholesterol (mg/mL) | 181.8 (±27.8) | 172 (163.8–192) | 185.4 (±28.9) | 185 (175–195.5) | 0.289 |
| HDL-cholesterol (mg/mL) | 39 (±13.6) | 37 (26–48) | 56.1 (±13.4) | 57 (47–60) | 0.001 |
| LDL-cholesterol (mg/mL) | 114.6 (±26.5) | 107 (98.8–125.3) | 112.9 (±33.1) | 111 (92.5–131.3) | 0.846 |
| Triglycerides (mg/mL) | 142.5 (±70.1) | 130 (98–168.3) | 93.6 (±43.1) | 83. (61.8–117.3) | 0.006 |
| PCOS (n = 28) | Control (n = 18) | * p Value | |||
|---|---|---|---|---|---|
| Groups | Mean (±SD) | Median (P25–P75) | Mean (±SD) | Median (P25–P75) | |
| F/G index (total score) | 14 (±6.6) | 11.5 (8–18) | 5.1 (±0.3) | 5 (4–5) | <0.001 |
| Free testosterone e fraction (ng/dL) | 1.3 (±0.6) | 1.1 (0.8–1.7) | 0.4 (±0.2) | 0.3 (0.2–0.5) | <0.001 |
| Percentage (%) | 2.0 (±0.5) | 2.0 (1.6–2.4) | 1.8 (±2.3) | 1.3 (1.0–1.7) | <0.001 |
| BioavT (ng/dL) 1 | 29.3 (±14.6) | 24.9 (18.6–39) | 6.4 (±5.3) | 6.4 (5.4–12.3) | <0.001 |
| Percentage (%) | 47.8 (±11.8) | 47.8 (38.3–56.6) | 29.3 (±10.8) | 28.9 (23.7–37.7) | <0.001 |
| SHBG (nmol/L) | 30.3 (±14.7) | 27 (18.8–39) | 71.6 (±45.1) | 58.5 (39.5–76.3) | <0.001 |
| Total TESTO (ng/dL) | 62.1 (±29.8) | 57.5 (40.8–72.8) | 28.1 (±8.1) | 26.5 (22–32.8) | <0.001 |
| DHEAS (µg/L) | 1910 (±1157.2) | 1713 (856–2528.8) | 1475 (±557.8) | 1477 (1385.8–1572.8) | 0.351 |
| A4 (ng/mL) | 1.8 (±0.7) | 1.8 (1.4–2.1) | 1 (±0.4) | 0.9 (0.8–1.2) | <0.001 |
| Estradiol(pmol/L) | 70.1 (±42.5) | 65 (40.8–80.4) | 57.6 (±28.3) | 56.5 (35.5–77) | 0.417 |
| FSH (mUI/mL) | 4.7 (±1.7) | 4.5 (3.6–6.1) | 6.2 (±1.4) | 6.4 (5.9–7.1) | 0.003 |
| LH(mUI/mL) | 9.9 (±4.6) | 9.9 (5.6–12.9) | 5.8 (±2.6) | 5.4 (4.2–6.6) | 0.001 |
| PRL (µg/DL) | 15.3 (±5.7) | 14.5 (11–19.8) | 14.9 (±4.9) | 14 (11–18.2) | 0.693 |
| Variables | Surface Epithelium | Glandular Epithelium | Stromal Cell Number | Blood Vessels |
|---|---|---|---|---|
| Oral glucose tolerance test | ||||
| Correlation coefficient | −0.082 | −0.189 | −0.010 | 0.001 |
| p value | 0.633 | 0.269 | 0.953 | 0.994 |
| Fasting insulin | ||||
| Correlation coefficient | 0.229 | 0.028 | 0.435 ** | −0.344 * |
| p value | 0.185 | 0.875 | 0.009 | 0.043 |
| BMI | ||||
| Correlation coefficient | −0.217 | −0.393 * | −0.225 | 0.150 |
| Abdominal circumference | ||||
| Correlation coefficient | −0.070 | −0.139 | 0.048 | −0.086 |
| p value | 0.691 | 0.425 | 0.785 | 0.624 |
| Abdominal circumference/height ratio | ||||
| Correlation coefficient | −0.078 | −0.214 | 0.062 | −0.108 |
| % Free testosterone | ||||
| Correlation coefficient | 0.431 ** | −0.139 | 0.434 ** | −0.348 * |
| p value | 0.009 | 0.419 | 0.008 | 0.038 |
| Bioavailable testosterone | ||||
| Correlation coefficient | 0.429 ** | −0.140 | 0.436 ** | −0.350 * |
| p value | 0.008 | 0.414 | 0.008 | 0.036 |
| FSH | ||||
| Correlation coefficient | −0.374 * | −0.131 | −0.406 * | 0.289 |
| p value | 0.025 | 0.447 | 0.014 | 0.087 |
| LH | ||||
| Correlation coefficient | 0.284 | −0.162 | 0.274 | −0.122 |
| p value | 0.093 | 0.345 | 0.106 | 0.478 |
| SDHEA | ||||
| Correlation coefficient | 0.026 | 0.178 | 0.274 | −0.085 |
| p value | 0.882 | 0.299 | 0.106 | 0.622 |
Disclaimer/Publisher’s Note: The statements, opinions and data contained in all publications are solely those of the individual author(s) and contributor(s) and not of MDPI and/or the editor(s). MDPI and/or the editor(s) disclaim responsibility for any injury to people or property resulting from any ideas, methods, instructions or products referred to in the content. |
© 2023 by the authors. Licensee MDPI, Basel, Switzerland. This article is an open access article distributed under the terms and conditions of the Creative Commons Attribution (CC BY) license (https://creativecommons.org/licenses/by/4.0/).
Share and Cite
Baracat, M.C.P.; Baracat, E.C.; Simões, R.S.; Simões, M.J.; Maciel, G.A.R.; Azziz, R.; Soares, J.M., Jr. Hormonal and Metabolic Factors Influence the Action of Progesterone on the Endometrium of Women with Polycystic Ovary Syndrome. Diagnostics 2023, 13, 382. https://doi.org/10.3390/diagnostics13030382
Baracat MCP, Baracat EC, Simões RS, Simões MJ, Maciel GAR, Azziz R, Soares JM Jr. Hormonal and Metabolic Factors Influence the Action of Progesterone on the Endometrium of Women with Polycystic Ovary Syndrome. Diagnostics. 2023; 13(3):382. https://doi.org/10.3390/diagnostics13030382
Chicago/Turabian StyleBaracat, Maria Candida P., Edmund C. Baracat, Ricardo S. Simões, Manuel J. Simões, Gustavo A. R. Maciel, Ricardo Azziz, and José Maria Soares, Jr. 2023. "Hormonal and Metabolic Factors Influence the Action of Progesterone on the Endometrium of Women with Polycystic Ovary Syndrome" Diagnostics 13, no. 3: 382. https://doi.org/10.3390/diagnostics13030382
APA StyleBaracat, M. C. P., Baracat, E. C., Simões, R. S., Simões, M. J., Maciel, G. A. R., Azziz, R., & Soares, J. M., Jr. (2023). Hormonal and Metabolic Factors Influence the Action of Progesterone on the Endometrium of Women with Polycystic Ovary Syndrome. Diagnostics, 13(3), 382. https://doi.org/10.3390/diagnostics13030382

