Frequency and Demographic Profile of Odontogenic Cysts in Riyadh, Saudi Arabia: Retrospective Multicenter Study
Abstract
1. Introduction
2. Method and Materials
- Patients with histopathological features compatible with the diagnosis of OCs.
- Patients with available demographic, clinical, pathological reports, and histological slides.
- Patients with incomplete clinical data.
- Patients with missing pathological specimens.
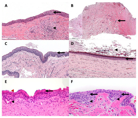
3. Results
4. Discussion
5. Conclusions
Author Contributions
Funding
Institutional Review Board Statement
Informed Consent Statement
Data Availability Statement
Conflicts of Interest
References
- Johnson, N.R.; Gannon, O.M.; Savage, N.W.; Batstone, M.D. Frequency of odontogenic cysts and tumors: A systematic review. J. Investig. Clin. Dent. 2014, 5, 9–14. [Google Scholar] [CrossRef]
- Bishop, J.A.C.; John, K.C.; Gale, N.; Helliwell, T.; Hyrcza, M.D.; Lewis, J.S., Jr.; Loney, E.L.; Mehortra, R.; Nete, O.; Muller, S.; et al. WHO Classification of Tumors of Head and Neck Tumours, 5th ed.; Internatinal Agency for Research on Cancer: Lyon, France, 2022; Volume 9. [Google Scholar]
- Fowler, C.B.; Brannon, R.B.; Kessler, H.P.; Castle, J.T.; Kahn, M.A. Glandular odontogenic cyst: Analysis of 46 cases with special emphasis on microscopic criteria for diagnosis. Head Neck Pathol. 2011, 5, 364–375. [Google Scholar] [CrossRef]
- El-Naggar, A.K.; Grandis, C.J., Jr.; Takata, T.; Slootweg, P.J. WHO Classification of Head and Neck Tumours, 4th ed.; IARC Publications: Lyon, France, 2017; Volume 9. [Google Scholar]
- Stojanov, I.J.; Schaefer, I.M.; Menon, R.S.; Wasman, J.; Gokozan, H.N.; Garcia, E.P.; Baur, D.A.; Woo, S.B.; Sholl, L.M. Biallelic PTCH1 Inactivation Is a Dominant Genomic Change in Sporadic Keratocystic Odontogenic Tumors. Am. J. Surg. Pathol. 2020, 44, 553–560. [Google Scholar] [CrossRef]
- Jones, A.V.; Craig, G.T.; Franklin, C.D. Range and demographics of odontogenic cysts diagnosed in a UK population over a 30-year period. J. Oral Pathol. Med. 2006, 35, 500–507. [Google Scholar] [CrossRef]
- Tamiolakis, P.; Thermos, G.; Tosios, K.I.; Sklavounou-Andrikopoulou, A. Demographic and Clinical Characteristics of 5294 Jaw Cysts: A Retrospective Study of 38 Years. Head Neck Pathol. 2019, 13, 587–596. [Google Scholar] [CrossRef]
- Sharifian, M.J.; Khalili, M. Odontogenic cysts: A retrospective study of 1227 cases in an Iranian population from 1987 to 2007. J. Oral Sci. 2011, 53, 361–367. [Google Scholar] [CrossRef]
- Al Sheddi, M.A. Odontogenic cysts. A clinicopathological study. Saudi Med. J. 2012, 33, 304–308. [Google Scholar]
- Al-Rawi, M.A.N.H.; Al-Zuebi, I.E.; Hariri, R.A.; Salah, E.W. Prevalence of odontogenic cysts and tumors among UAE population. J. Orofac. Sci. 2013, 5, 95–100. [Google Scholar] [CrossRef]
- Ali, M.A. Biopsied jaw lesions in Kuwait: A six-year retrospective analysis. Med. Princ. Pract. 2011, 20, 550–555. [Google Scholar] [CrossRef]
- Ochsenius, G.; Escobar, E.; Godoy, L.; Penafiel, C. Odontogenic cysts: Analysis of 2944 cases in Chile. Med. Oral Patol. Oral Cir. Bucal. 2007, 12, E85–E91. [Google Scholar]
- Avelar, R.L.; Antunes, A.A.; Carvalho, R.W.; Bezerra, P.G.; Oliveira Neto, P.J.; Andrade, E.S. Odontogenic cysts: A clinicopathological study of 507 cases. J. Oral Sci. 2009, 51, 581–586. [Google Scholar] [CrossRef]
- Meningaud, J.P.; Oprean, N.; Pitak-Arnnop, P.; Bertrand, J.C. Odontogenic cysts: A clinical study of 695 cases. J. Oral Sci. 2006, 48, 59–62. [Google Scholar] [CrossRef]
- Acikgoz, A.; Uzun-Bulut, E.; Ozden, B.; Gunduz, K. Prevalence and distribution of odontogenic and nonodontogenic cysts in a Turkish population. Med. Oral Patol. Oral Cir. Bucal. 2012, 17, e108–e115. [Google Scholar] [CrossRef]
- Daley, T.D.; Wysocki, G.P.; Pringle, G.A. Relative incidence of odontogenic tumors and oral and jaw cysts in a Canadian population. Oral Surg. Oral Med. Oral Pathol. 1994, 77, 276–280. [Google Scholar] [CrossRef]
- Tortorici, S.; Amodio, E.; Massenti, M.F.; Buzzanca, M.L.; Burruano, F.; Vitale, F. Prevalence and distribution of odontogenic cysts in Sicily: 1986-2005. J. Oral Sci. 2008, 50, 15–18. [Google Scholar] [CrossRef]
- Lin, L.M.; Ricucci, D.; Lin, J.; Rosenberg, P.A. Nonsurgical root canal therapy of large cyst-like inflammatory periapical lesions and inflammatory apical cysts. J. Endod. 2009, 35, 607–615. [Google Scholar] [CrossRef]
- Ackermann, G.; Cohen, M.A.; Altini, M. The paradental cyst: A clinicopathologic study of 50 cases. Oral Surg. Oral Med. Oral Pathol. 1987, 64, 308–312. [Google Scholar] [CrossRef]
- Jones, A.V.; Franklin, C.D. An analysis of oral and maxillofacial pathology found in children over a 30-year period. Int. J. Paediatr. Dent. 2006, 16, 19–30. [Google Scholar] [CrossRef]
- Akhila, C.N.V.; Sreenath, G.; Prakash, A.R.; Rajini Kanth, M.; Reddy, A.V.S.; Kumar, S.N. Expression of stem cell marker cytokeratin 19 in reduced enamel epithelium, dentigerous cyst and unicystic ameloblastoma—A comparative analysis. J. Oral Maxillofac. Pathol. 2021, 25, 136–140. [Google Scholar] [CrossRef]
- Ledesma-Montes, C.; Hernandez-Guerrero, J.C.; Garces-Ortiz, M. Clinico-pathologic study of odontogenic cysts in a Mexican sample population. Arch. Med. Res. 2000, 31, 373–376. [Google Scholar] [CrossRef]
- Prockt, A.P.; Schebela, C.R.; Maito, F.D.; Sant’Ana-Filho, M.; Rados, P.V. Odontogenic cysts: Analysis of 680 cases in Brazil. Head Neck Pathol. 2008, 2, 150–156. [Google Scholar] [CrossRef] [PubMed]
- Aquilanti, L.; Mascitti, M.; Togni, L.; Rubini, C.; Nori, A.; Tesei, A.; Rappelli, G.; Santarelli, A. Non-neoplastic jaw cysts: A 30-year epidemiological study of 2150 cases in the Italian population. Br. J. Oral Maxillofac. Surg. 2021, 59, 168–173. [Google Scholar] [CrossRef] [PubMed]
- Aguilo, L.; Cibrian, R.; Bagan, J.V.; Gandia, J.L. Eruption cysts: Retrospective clinical study of 36 cases. ASDC J. Dent. Child 1998, 65, 102–106. [Google Scholar] [PubMed]
- Thalakoti, S.; Geller, T. Basal cell nevus syndrome or Gorlin syndrome. Handb. Clin. Neurol. 2015, 132, 119–128. [Google Scholar] [CrossRef]
- Mohanty, S.; Dabas, J.; Verma, A.; Gupta, S.; Urs, A.B.; Hemavathy, S. Surgical management of the odontogenic keratocyst: A 20-year experience. Int. J. Oral Maxillofac. Surg. 2021, 50, 1168–1176. [Google Scholar] [CrossRef]
- Morgan, T.A.; Burton, C.C.; Qian, F. A retrospective review of treatment of the odontogenic keratocyst. J. Oral Maxillofac. Surg. 2005, 63, 635–639. [Google Scholar] [CrossRef]
- Sharif, F.; Oliver, R.; Sweet, C.; Sharif, M.O. Interventions for the treatment of keratocystic odontogenic tumours (KCOT, odontogenic keratocysts (OKC)). Cochrane Database Syst. Rev. 2010, 9, CD008464. [Google Scholar] [CrossRef]
- Myoung, H.; Hong, S.P.; Hong, S.D.; Lee, J.I.; Lim, C.Y.; Choung, P.H.; Lee, J.H.; Choi, J.Y.; Seo, B.M.; Kim, M.J. Odontogenic keratocyst: Review of 256 cases for recurrence and clinicopathologic parameters. Oral Surg. Oral Med. Oral Pathol. Oral Radiol. Endod. 2001, 91, 328–333. [Google Scholar] [CrossRef]
- Chrcanovic, B.R.; Gomez, R.S. Glandular odontogenic cyst: An updated analysis of 169 cases reported in the literature. Oral Dis. 2018, 24, 717–724. [Google Scholar] [CrossRef]
- Kambalimath, D.H.; Kambalimath, H.V.; Agrawal, S.M.; Singh, M.; Jain, N.; Anurag, B.; Michael, P. Prevalence and distribution of odontogenic cyst in Indian population: A 10 year retrospective study. J. Maxillofac. Oral Surg. 2014, 13, 10–15. [Google Scholar] [CrossRef]





| Inflammatory Cysts | Abbreviation | Definition | Clinical Presentation | Radiographic Presentation |
|---|---|---|---|---|
| Radicular cyst (Apical) * | ARC | Inflammatory cyst associated with nonvital tooth. | Asymptomatic or swelling with history of pain or abscess. | Well-demarcated radiolucency associated with the apex of necrotic tooth. |
| Residual Cyst | RC | ARC remained after tooth extraction. | Incidental finding in radiograph. | Round to oval radiolucency at the site of previous tooth extraction. |
| Inflammatory collateral cyst | ICC | Buccal to roots of partially or recently erupted permanent molars. | Pericoronitis or asymptomatic swelling. | Well-demarcated radiolucency located buccally to the tooth. |
| Developmental cysts | ||||
| Dentigerous cyst + | DC | Developmental cyst surrounding the crown of unerupted tooth. | Asymptomatic cyst frequently discovered when the tooth fails to erupt, most commonly in the third molars or canine. | Well-demarcated radiolucency associated with impacted tooth and attach to the cemento-enamel junction. |
| Hyperplastic dental follicle | HDF | Pericoronal radiolucency associated with an impacted tooth. | ||
| Eruption cyst | EC | Superficial EC occurs in the soft tissue. | Bluish to reddish nodule covering an unerupted permanent central incisor or first molar. | N/A |
| Odontogenic keratocyst | OKC | Aggressive parakeratinzed OC with high recurrence rate. | Asymptomatic swelling commonly occurs in the posterior mandible. | Well-demarcated unilocular or multilocular radiolucency with anterior-posterior expansion, 35% associated with an unerupted tooth. |
| Orthokeratinized odontogenic cyst | OOC | Rare, orthokeratinized OC with insignificant recurrence rate. | Asymptomatic swelling and many found incidentally. | Well-demarcated unilocular radiolucency, 70% associated with an impacted tooth. |
| Glandular odontogenic cyst | GOC | Rare, aggressive OC showing glandular differentiation. | Slowly expansile swelling, most commonly in the mandible with anterior preference. | Well-demarcated unilocular or multilocular radiolucency that shows tooth displacement and root resorption. Lesions tend to reach a large size and cross the midline of the mandible. |
| Calcifying odontogenic cyst | COC | Rare OC shows ghost cells that tend to calcify and are commonly seen with odontoma. | Asymptomatic lesions with equal mandible to maxilla preference. | Well-demarcated unilocular mixed radiopaque lesion, one-third of the cases are radiolucency. |
| Lateral periodontal cyst and Botryoid odontogenic cyst | LPC/BOC | Rare OC shows non-keratinized epithelium with epithelial plaques. | Asymptomatic cyst between mandibular canine and premolar alveolar bone. | Pear-shaped radiolucency between mandibular canine and premolars, BOC is a variant of LPC showing multilocular radiolucency with a high recurrence rate. |
| Gingival cyst of adult | GCA | Soft tissue analogue of LPC, most commonly located in the mandibular attached gingiva. | Painless discrete bluish and translucent nodule between canine and premolars. | N/A |
| Inflammatory Cysts | Essential Histological Features |
|---|---|
| Radicular cyst (Apical) | The cyst is lined by non-keratinized stratified squamous epithelium exhibiting plexiform proliferation, exocytosis, and spongiosis. The cyst wall consists of fibrovascular tissue with a variable amount of inflammation. |
| Residual Cyst | |
| Inflammatory collateral cyst | |
| Developmental cysts | |
| Dentigerous cyst | The cyst is lined by uniformly thin non-keratinized stratified squamous epithelium, and the cyst wall consists of delicately collagenous stroma. |
| Hyperplastic dental follicle | The mass consists mainly of delicately collagenous stroma with occasional odontogenic rests. Occasionally, reduced enamel epithelium is present. |
| Eruption cyst | The cyst is lined by uniformly thin non-keratinized stratified squamous epithelium within the lamina propria. |
| Odontogenic keratocyst | The cyst is lined by uniformly thin parakeratinzed keratinized stratified squamous epithelium with a corrugated surface and hyperchromatic palisaded nuclei of the basal cell layer. The cyst wall consists of a fibrovascular stroma. Keratin may be present the cyst lumen. |
| Orthokeratinized odontogenic cyst | The cyst is lined by uniformly thin orthokeratinized keratinized stratified squamous epithelium with a flat, non-descriptive basal cell layer. Keratin may be present in the cyst lumen. |
| Glandular odontogenic cyst | The cyst usually shows multiple compartments and is lined by squamous or cuboidal epithelium with variable thickness. The most essential criterion is the presence of abluminal hobnail cells. The cyst lining may show cilia, microcysts, mucous cells, clear cells, papillary tufting, apocrine snouting and epithelial plaques. |
| Calcifying odontogenic cyst | The cyst is lined by ameloblastic epithelium with a variable amount of ghost cells which may undergo dystrophic calcification. The cyst wall consists of fibrovascular tissue with occasional subepithelial dentinoid deposition. |
| Lateral periodontal cyst and Botryoid odontogenic cyst | The cyst is lined by uniformly thin flat cuboidal cells with multiple epithelial plaques and clear cells. The cyst wall consists of fibrovascular tissueBotryoid odontogenic cyst shows multiple compartments with a similar cystic lining of the lateral periodontal cyst. |
| Gingival cyst of adult | The cyst is lined by uniformly thin flat cuboidal cells with multiple epithelial plaques and clear cells in the lamina propria. |
| All Three lefts | KAMC | KFMC | PSMMC | p-Value | |
|---|---|---|---|---|---|
| Cases | 372 | 141 | 82 | 149 | |
| Age Mean (SD) | 30 (16.6) | 31 (15.9) | 29.9 (17.4) | 34.3 (16.6) | 0.1002 |
| Gender Male | 225 | 83 | 44 | 98 | |
| Female | 147 | 58 | 38 | 51 | |
| Male: Female ratio | 1.53:1 | 1.43:1 | 1.15:1 | 1.92:1 | |
| Mandible: Maxilla ratio | 1.1:1 | 1.2:1 | 1.1:1 | 1.1:1 |
| Number of Case | Age Mean (SD) | Gender | Location | |||
|---|---|---|---|---|---|---|
| M | F | Mandible | Maxilla | |||
| Inflammatory Cysts | ||||||
| Apical radicular cyst | 186 (50.0%) | 34.2 (14.8) | 102 (54.8%) | 84 (45.2%) | 101 (54.31%) | 85 (45.69%) |
| Residual cyst | 4 (1.1%) | 43.2 (10.2) | 3 (75.0%) | 1 (25.0%) | 2 (50.0%) | 2 (50.0%) |
| Inflammatory collateral cyst | 1 (0.3%) | 9 (NA) | 1(100%) | 0 (0.0%) | 1 (100%) | 0 |
| Developmental cysts | ||||||
| Dentigerous cyst | 109 (29.3%) | 26 (15.2) | 72 (66.1%) | 37 (33.9%) | 70 (64.2%) | 39 (35.8%) |
| Hyperplastic dental follicle | 4 (1.1%) | 12.5 (4.5) | 1 (25.0%) | 3 (75.0%) | 2 (50.0%) | 2 (50.0%) |
| Eruption cyst | 2 (0.5%) | 2 | 1 (50.0%) | 1 (50.0%) | 2 (100%) | 0 (0%) |
| Odontogenic keratocyst | 53 (14.2%) | 34.6 (20.1) | 38 (71.7%) | 15(28.3%) | 39 (73.6%) | 14 (26.4%) |
| Orthokeratinized odontogenic cyst | 2 (0.5%) | 39.5 (20.5) | 0 (0%) | 2 (100%) | 2 (100%) | 0 |
| Glandular odontogenic cyst | 8 (2.1%) | 40.75 (10.2) | 4(50.0%) | 4(50.0%) | 1 (12.5%) | 7 (87.5%) |
| Lateral periodontal cyst | 3 (0.9%) | 49.3 (12.7) | 3 (100%) | 0 | 2 (66.7%) | 1 (33.3%) |
| Total | 372 | 225 | 147 | 196 | 179 | |
| Total Cases | Treatment | |||||
|---|---|---|---|---|---|---|
| Enucleation without Curettage | Enucleation with Curettage | Excision | Marsupialization | Resection | ||
| Inflammatory cysts | ||||||
| Apical radicular cyst | 172 (48.9%) | 97 (56.4%) | 12 (7%) | 61 (35.5%) | 2 (1.2%) | 0 (0%) |
| Residual cyst | 4 (1.1%) | 2 (50.0%) | 1 (25.0%) | 1 (25.0%) | 0 (0%) | 0 (0%) |
| Inflammatory collateral cyst | 1 (0.3%) | 0 (0%) | 0 (0%) | 0 (0%) | 1 (100%) | 0 (0%) |
| Developmental cysts | ||||||
| Dentigerous cyst | 106 (30.1%) | 64 (60.4%) | 6 (5.7%) | 34 (32.1%) | 2 (1.9%) | 0 (0%) |
| Hyperplastic dental follicle | 4 (1.1%) | 0 (0%) | 0 (0%) | 4 (100%) | 0 (0%) | 0 (0%) |
| Eruption cyst | 1 (0.3%) | 0 (0%) | 0 (0%) | 1 (100%) | 0 (0%) | 0 (0%) |
| Odontogenic keratocyst | 52 (14.8%) | 20 (38.5%) | 12 (23.1%) | 17 (23.7%) | 1 (1.9%) | 2 (3.8%) |
| Orthokeratinized odontogenic cyst | 2 (0.6%) | 0 (0%) | 1 (50.0% | 1 (50.0%) | 0 (0%) | 0 (0%) |
| Glandular odontogenic cyst | 8 (2.2%) | 2 (25.0%) | 2 (25.0%) | 3 (37.5%) | 0 (0%) | 1 (12.5%) |
| Lateral periodontal cyst | 2 (0.6%) | 1 (50.0%) | 0 (0%) | 1 (50.0%) | 0 (0%) | 0 (0%) |
| Total | 352 | 186 (52.8%) | 34 (9.6%) | 123 (35.0%) | 6 (1.7%) | 3 (0.9%) |
| Number of Cases | Recurrence | No Recurrence | Follow-Up Period | |
|---|---|---|---|---|
| Apical radicular cyst | 159 | 1 (0.62%) | 158 (99.8%) | 6 months–Three years |
| Dentigerous cyst | 92 | 4(4.3%) | 88 (95.7%) | One year–Seven years |
| Odontogenic keratocyst | 47 | 8 (17.0%) | 39 (83.0%) | One year–Two years |
| Total | 298 | 13 (4.4%) | 285 (95.6%) | N/A |
| Current study (Three Centers), Riyadh, SA | Al-Rawi et al., Tawam Hospital, Abu Dhabi, UAE [10] | Alsheddi et al., King Saud University, Riyadh, KSA [9] | Ali MA et al., Kuwait University, Jabriya, Kuwait [11] | |
|---|---|---|---|---|
| Sample size | 372 | 121 | 470 | 200 |
| Period | 12 years | 20 years | 26 years | 5 years |
| Mean Age | 32 years | NR | 30 years | NR |
| Male: Female ratio | 1.53:1 | 0.86:1 | 1.4:1 | 1.5:1 |
| Mandible: Maxilla ratio | 1.1:1 | 1.3:1 | 1.1:1 | 1.7:1 |
| Inflammatory cysts | ||||
| Apical radicular cyst | 186 (50.0%) | 96 (79.3%) | 302 (54.9%) | 95 (47.5%) |
| Residual cyst | 4 (1.1%) | NR | 31 (5.6%) | 8 (4.0%) |
| Inflammatory collateral cyst | 1 (0.3%) | NR | 5 (0.9%) | NR |
| Developmental cysts | ||||
| Dentigerous cyst | 109 (29.3%) | 17 (14.0%) | 118(21.5%) | 51(25.5%) |
| Eruption cyst | 2 (0.5%) | NR | 1 (0.2%) | NR |
| Odontogenic keratocyst | 53 (14.2%) | NR | 69 (12.6%) | 30 (15.5%) |
| Orthokeratinized odontogenic cyst | 2 (0.54%) | NR | 7 (1.3%) | 3 (1.5%) |
| Glandular odontogenic cyst | 8 (2.1%) | NR | 5 (0.9%) | 3 (1.5%) |
| Calcifying odontogenic cyst | NR | NR | 11(2.0%) | 4 (2.0%) |
| Lateral periodontal cyst | 3 (0.8%) | 8 (6.6%) | NR | NR |
| Gingival cyst of adult | NR | NR | 1 (0.2%) | NR |
| Other cysts | ||||
| Odontogenic cyst, NOS | 4 (1.1%) | NR | NR | 6 (3.0%) |
| Current study (Three Centers), Riyadh, SA | Meningaud et al., Pitié-Salpêtrière University Hospital, Paris, France [14] | Ochsenius et al., University of Chile Chile [12] | Açikgöz et al., Ondokuz Mayis University Turkey [15] | Daley et al., University of Western Ontario, Canada [16] | |
|---|---|---|---|---|---|
| Sample size | 372 | 695 | 2944 | 452 | 6847 |
| Period | 12 years | 10 years | 28 years | 9 years | 26 years |
| Mean age | 32 years | 41.8 | NR | NR | NR |
| Male: Female ratio | 1.53:1 | 1.86:1 | 1.1:1 | 1:1.1 | NR |
| Mandible: Maxilla ratio | 1.1:1 | 3:1 | 0.67:1 | 1:1 | NR |
| Inflammatory cysts | |||||
| Apical radicular cyst | 186 (50%) | 372 (53.5%%) | 1494 (50.7%) | 251 (54.7%) | 4468 (65.15%) |
| Residual cysts | 4 (1.1%) | 32 (4.6%) | 328 (11.2%) | NR | NR |
| Inflammatory collateral cyst | 1 (0.3%) | NR | 113 (3.8%) | NR | 33 (0.48%) |
| Developmental cysts | |||||
| Dentigerous cyst | 109 (29.3%) | 154 (22.3%) | 546(18.5%) | 122 (26.6%) | 1662 (24.08%) |
| Eruption cysts | 2 (0.5%) | NR | NR | NR | 40 (0.58%) |
| Odontogenic keratocyst | 53 (14.2%) | 133 (19.1%) | 421 (14.3%) | 15 (3.3%) | 335 (4.88%) |
| Orthokeratinized odontogenic cyst | 2 (0.54%) | NR | NR | NR | NR |
| Glandular odontogenic cyst | 8 (2.1%) | 2 (0.2%%) | NR | NR | 6 (0.04%) |
| Calcifying odontogenic cyst | NR | NR | NR | NR | 18 (4.59%) |
| Lateral periodontal cyst and Botryoid odontogenic cyst | 3 (0.8%) | 2 (0.2%) | 17 (0.6%) | 1(0.2%) | 106 (1.48%) |
| Gingival cyst of adult | NR | NR | 10 (0.3%) | NR | 33 (0.48%) |
| Other cysts | |||||
| Odontogenic cyst, NOS | 4 (1.1%) | NR | NR | NR | NR |
Disclaimer/Publisher’s Note: The statements, opinions and data contained in all publications are solely those of the individual author(s) and contributor(s) and not of MDPI and/or the editor(s). MDPI and/or the editor(s) disclaim responsibility for any injury to people or property resulting from any ideas, methods, instructions or products referred to in the content. |
© 2023 by the authors. Licensee MDPI, Basel, Switzerland. This article is an open access article distributed under the terms and conditions of the Creative Commons Attribution (CC BY) license (https://creativecommons.org/licenses/by/4.0/).
Share and Cite
Almazyad, A.; Almutairi, M.; Almadan, N.; Alamro, M.; Maki, F.; AlQuwayz, T.S.; Alrumeh, A.S. Frequency and Demographic Profile of Odontogenic Cysts in Riyadh, Saudi Arabia: Retrospective Multicenter Study. Diagnostics 2023, 13, 355. https://doi.org/10.3390/diagnostics13030355
Almazyad A, Almutairi M, Almadan N, Alamro M, Maki F, AlQuwayz TS, Alrumeh AS. Frequency and Demographic Profile of Odontogenic Cysts in Riyadh, Saudi Arabia: Retrospective Multicenter Study. Diagnostics. 2023; 13(3):355. https://doi.org/10.3390/diagnostics13030355
Chicago/Turabian StyleAlmazyad, Asma, Marzouq Almutairi, Nasser Almadan, Mohammed Alamro, Fahad Maki, Turki S. AlQuwayz, and Assem S. Alrumeh. 2023. "Frequency and Demographic Profile of Odontogenic Cysts in Riyadh, Saudi Arabia: Retrospective Multicenter Study" Diagnostics 13, no. 3: 355. https://doi.org/10.3390/diagnostics13030355
APA StyleAlmazyad, A., Almutairi, M., Almadan, N., Alamro, M., Maki, F., AlQuwayz, T. S., & Alrumeh, A. S. (2023). Frequency and Demographic Profile of Odontogenic Cysts in Riyadh, Saudi Arabia: Retrospective Multicenter Study. Diagnostics, 13(3), 355. https://doi.org/10.3390/diagnostics13030355

